Odontogenic Myxoma in the Anterior Part of the Mandible—A Case Report
Abstract
1. Introduction
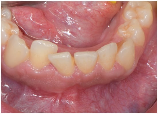
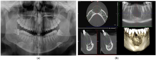
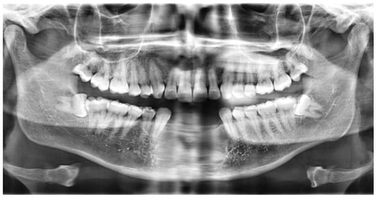
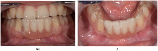
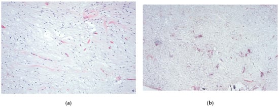
2. Case Report
3. Discussion
4. Conclusions
Author Contributions
Funding
Institutional Review Board Statement
Informed Consent Statement
Data Availability Statement
Conflicts of Interest
References
- Halfpenny, W.; Verey, A.; Bardsley, V. Myxoma of the mandibular condyle. A case report and review of the literature. Oral Surg. Oral Med. Oral Pathol. Oral Radiol. Endodontol. 2000, 90, 348–353. [Google Scholar] [CrossRef]
- Thoma, K.H.; Goldman, H.M. Central myxoma of the jaw. Oral Surg. Oral Med. Oral Pathol. 1947, 33, 532–540. [Google Scholar] [CrossRef]
- Soluk-Tekkesin, M.; Wright, J.M. The World Health Organization Classification of Odontogenic Lesions: A Summary of the Changes of the 2022 (5th) Edition. Turk. Patoloji. Derg. 2022, 38, 168–184. [Google Scholar] [CrossRef]
- Best-Rocha, A.; Patel, K.; Hicks, J.; Edmonds, J.L.; Paldino, M.J.; Wu, H. Novel Association of Odontogenic Myxoma with Constitutional Chromosomal 1q21 Microduplication: Case Report and Review of the Literature. Pediatr. Dev. Pathol. 2016, 19, 139–145. [Google Scholar] [CrossRef]
- Rosa, A.C.G.; Rosa, C.A.; da Cruz, E.Z.; Alves, F.F.; de Senna, A.M. Odontogenic myxoma in childhood. Hum. Pathol. Rep. 2023, 32, 300707. [Google Scholar] [CrossRef]
- Ghazali, A.B.; Arayasantiparb, R.; Juengsomjit, R.; Lam-ubol, A. Central Odontogenic Myxoma: A Radiographic Analysis. Int. J. Dent. 2021, 2021, 1093412. [Google Scholar] [CrossRef]
- Tavakoli, M.; Williamson, R. Odontogenic myxomas: What is the ideal treatment? BMJ Case Rep. 2019, 12, e228540. [Google Scholar] [CrossRef]
- Manjunath, S.; Gupta, A.; Swetha, P.; Moon, N.; Singh, S.; Singh, A. Report of a rare case of an odontogenic myxoma of the maxilla and review of literature. Ann. Med. Health Sci. Res. 2014, 4 (Suppl. S1), S45–S48. [Google Scholar] [CrossRef]
- Kiresur, M.; Hemavathy, S. An aggressive odontogenic myxoma of the maxilla. Indian J. Dent. 2014, 5, 214–217. [Google Scholar] [CrossRef]
- Ramesh, S.; Govindraju, P.; Pachipalusu, B. Odontogenic myxoma of posterior maxilla—A rare case report. J. Fam. Med. Prim. Care 2020, 9, 1744–1748. [Google Scholar] [CrossRef]
- Sivakumar, G.; Kavitha, B.; Saraswathi, T.; Sivapathasundharam, B. Odontogenic myxoma of maxilla. Indian J. Dent. Res. 2008, 19, 62–65. [Google Scholar] [CrossRef]
- Chrcanovic, B.R.; Gomez, R.S. Odontogenic myxoma: An updated analysis of 1692 cases reported in the literature. Oral Dis. 2019, 25, 676–683. [Google Scholar] [CrossRef]
- Ghalayani, P.; Jahanshahi, G.; Mohagheghiyan, H. Odontogenic myxoma of maxilla in an atypical location: A case report. J. Dent. 2013, 14, 41–45. [Google Scholar]
- Spencer, K.R.; Smith, A. Odontogenic myxoma: Case report with reconstructive considerations. Aust. Dent. J. 1998, 43, 209–212. [Google Scholar] [CrossRef]
- Vallejo, G.H.; Cohn, C.; Penin, A.G.; Lara, S.M.; Menendez, F.L.; Moreno, J.J. Myxoma of the jaws. Report of three cases. Med. Oral. 2001, 6, 106–113. [Google Scholar]
- Brannon, R.B. Central odontogenic fibroma, myxoma (odontogenic myxoma, fibromyxoma), and central odontogenic granular cell tumor. Oral Maxillofac. Surg. Clin. N. Am. 2004, 16, 359–374. [Google Scholar] [CrossRef]
- Lin, Y.-L.; Basile, J.R. A case of odontogenic myxoma with unusual histological features mimicking a fibro-osseous process. Head Neck Pathol. 2010, 4, 253–256. [Google Scholar] [CrossRef]
- Banasser, A.M.; Bawazir, M.M.; Islam, M.N.; Bhattacharyya, I.; Cohen, D.M.; Fitzpatrick, S.G. Odontogenic Myxoma: A 23-Year Retrospective Series of 38 Cases. Head Neck Pathol. 2020, 14, 1021–1027. [Google Scholar] [CrossRef]
- Bisla, S.; Gupta, A.; Narwal, A.; Singh, V. Odontogenic myxoma: Ambiguous pathology of anterior maxilla. BMJ Case Rep. 2020, 13, e234933. [Google Scholar] [CrossRef]
- Ayinala, M.; Shetty, G. Rehabilitation of Maxillary Defect Using Zygomatic Implant Retained Obturator. Case Rep. Dent. 2021, 2021, 2391331. [Google Scholar] [CrossRef]
- Tarjan, A.; Rezaee, M.; Danesteh, H.; Samirani-Nezhad, N. Odontogenic myxoma with pain and uncommon histological feature in the mandible: A case report and review the literature. J. Oral Maxillofac. Pathol. 2021, 25, 356–360. [Google Scholar] [CrossRef] [PubMed]
- Kharbouch, J.; Aziz, Z.; Benzenzoum, Z.; Hattab, M.S.K.; Aboulouidad, S.; Fawzi, S.; Hattab, N.M. Maxillary and mandibular odontogenic myxomas: Case report. Pan Afr. Med. J. 2022, 42, 103. [Google Scholar] [PubMed]
- White, J.A.; Ramer, N.; Wentland, T.R.; Cohen, M. The Rare Radiographic Sunburst Appearance of Odontogenic Myxomas: A Case Report and Review of the Literature. Head Neck Pathol. 2020, 14, 1105–1110. [Google Scholar] [CrossRef] [PubMed]
- Shin, H.S.D.; Kim, M.S.D.; Kim, B.H.D.; Lim, H.J.D.; Lee, J.D. Reconstruction of mandibular defects with bone marrow-derived stem cells in odontogenic myxoma. J. Craniofacial Surg. 2020, 31, e236–e239. [Google Scholar] [CrossRef]
- Smojver, I.; Vuletić, M.; Manojlović, S.; Gabrić, D. Multidisciplinary Approach to Rehabilitation after Tumor Resective Jaw Surgery: A 9-Year Follow-Up. Case Rep. Dent. 2020, 2020, 8867320. [Google Scholar] [CrossRef]
- Shafer, W.G.; Hine, M.K.; Levy, B.M. A Textbook of Oral Pathology, 4th ed.; Elsevier-Saunders: Philadelphia, PA, USA, 2003; pp. 258–317. [Google Scholar]
- Perrotti, V.; Rubini, C.; Fioroni, M.; Piattelli, A. Soft tissue myxoma: Report of an unusual case located on the gingiva. J. Clin. Periodontol. 2006, 33, 76–78. [Google Scholar] [CrossRef]
- Rius, J.M.; Nadal, A.; Lahor, E.; Mtui, B.; Brunet, L. Unusual presentation of localized gingival enlargement associated with a slow-growing odontogenic myxoma. Int. J. Oral Sci. 2013, 5, 172–175. [Google Scholar] [CrossRef]
- Raubenheimer, E.J.; Noffke, C.E. Peripheral odontogenic myxoma: A review of the literature and report of two cases. J. Maxillofac. Oral Surg. 2012, 11, 101–104. [Google Scholar] [CrossRef]
- Simon, E.N.; Merkx, M.A.; Vuhahula, E.; Ngassapa, D.; Stoelinga, P.J. Odontogenic myxoma: A clinicopathological study of 33 cases. Int. J. Oral Maxillofac. Surg. 2004, 33, 333–337. [Google Scholar] [CrossRef]
- Li, T.-J.; Sun, L.-S.; Luo, H.-Y. Odontogenic myxoma: A clinicopathologic study of 25 cases. Arch. Pathol. Lab. Med. 2006, 130, 1799–1806. [Google Scholar] [CrossRef]
- Kumar, P.; Yadav, S.; Singh, A.; Tyagi, S. Recurrent case of central giant cell granuloma with multiple soft tissue involvement. Natl. J. Maxillofac. Surg. 2014, 5, 60–66. [Google Scholar] [CrossRef] [PubMed]
- Sarkar, R. Pathological and clinical features of primary osseous tumours of the jaw. J. Bone Oncol. 2014, 3, 90–95. [Google Scholar] [CrossRef] [PubMed]
- Obermeier, K.T.; Hartung, J.T.; Hildebrandt, T.; Dewenter, I.; Smolka, W.; Hesse, E.; Fegg, F.; Otto, S.; Malenova, Y.; Abdullah, A. Fibrous Dysplasia of the Jaw: Advances in Imaging and Treatment. J. Clin. Med. 2023, 12, 4100. [Google Scholar] [CrossRef] [PubMed]
- Sun, Z.; Sun, H.; Yang, R.; Zwahlen, R.; Zhao, Y. Aneurysmal bone cysts of the jaws. Int. J. Surg. Pathol. 2009, 17, 311–322. [Google Scholar] [CrossRef]
- Dotta, J.H.; Miotto, L.N.; Spin-Neto, R.; Ferrisse, T.M. Odontogenic Myxoma: Systematic review and bias analysis. Eur. J. Clin. Investig. 2020, 50, e13214. [Google Scholar] [CrossRef]
- Francisco, A.; Chulam, T.; Silva, F.; Ribeiro, D.; Pinto, C.; Gondak, R.; Kowalski, L.; Gonçalves-Filho, J. Clinicopathologic analysis of 14 cases of odontogenic myxoma and review of the literature. J. Clin. Exp. Dent. 2017, 9, e560–e563. [Google Scholar] [CrossRef]
- Manne, R.K.; Kumar, V.S.; Sarath, P.V.; Anumula, L.; Mundlapudi, S.; Tanikonda, R. Odontogenic Myxoma of the Mandible. Case Rep. Dent. 2012, 2012, 4–7. [Google Scholar] [CrossRef][Green Version]
- Zhang, J.; Wang, H.; He, X.; Niu, Y.; Li, X. Radiographic examination of 41 cases of odontogenic myxomas on the basis of conventional radiographs. Dentomaxillofacial Radiol. 2007, 36, 160–167. [Google Scholar] [CrossRef]
- McClure, D.K.; Dahlin, D.C. Myxoma of bone. Report of three cases. Mayo Clin Proc. 1977, 52, 249–253. [Google Scholar]
- Kawase-Koga, Y.; Saijo, H.; Hoshi, K.; Takato, T.; Mori, Y. Surgical management of odontogenic myxoma: A case report and review of the literature. BMC Res. Notes 2014, 7, 214. [Google Scholar] [CrossRef]
- Rocha, A.C.; Gaujac, C.; Ceccheti, M.M.; Amato-Filho, G.; Machado, G.G. Treatment of recurrent mandibular myxoma by curettage and cryotherapy after thirty years. Clinics 2009, 64, 149–152. [Google Scholar] [CrossRef]
- Hamama, J.; Khalfi, L.; Fiqhi, K.; EL Khatib, K. Odontogenic Myxoma of Maxilla: Conservative or Radical Surgery? Int. Arch. Oral Maxillofac. Surg. 2018, 2, 4. [Google Scholar] [CrossRef]
- Boffano, P.; Gallesio, C.; Barreca, A.; Bianchi, F.A.; Garzino-Demo, P.; Roccia, F. Surgical treatment of odontogenic myxoma. J. Craniofacial Surg. 2011, 22, 982–987. [Google Scholar] [CrossRef]
- Saalim, M.; Sansare, K.; Karjodkar, F.; Farman, A.; Goyal, S.; Sharma, S. Recurrence rate of odontogenic myxoma after different treatments: A systematic review. Br. J. Oral Maxillofac. Surg. 2019, 57, 9859–9891. [Google Scholar] [CrossRef]
- Kevy, S.V.; Jacobson, M.S. Comparison of methods for point of care preparation of autologous platelet gel. J. Extracorpor. Technol. 2004, 36, 28–35. [Google Scholar] [CrossRef]
- Dolder, J.V.D.; Mooren, R.; Vloon, A.P.; Stoelinga, P.J.; Jansen, J.A. Platelet-rich plasma: Quantification of growth factor levels and the effect on growth and differentiation of rat bone marrow cells. Tissue Eng. 2006, 12, 3067–3073. [Google Scholar] [CrossRef]
- Pereira, N.B.; Bastos, V.C.; de Souza, J.C.; Diniz, M.G.; Vitório, J.G.; Kitten, G.T.; Andrade, L.d.O.; de Avelar, G.F.; Castro, W.H.; Bernardes, V.F.; et al. First insights for targeted therapies in odontogenic myxoma. Clin. Oral Investig. 2020, 24, 2451–2458. [Google Scholar] [CrossRef]







Disclaimer/Publisher’s Note: The statements, opinions and data contained in all publications are solely those of the individual author(s) and contributor(s) and not of MDPI and/or the editor(s). MDPI and/or the editor(s) disclaim responsibility for any injury to people or property resulting from any ideas, methods, instructions or products referred to in the content. |
© 2025 by the authors. Licensee MDPI, Basel, Switzerland. This article is an open access article distributed under the terms and conditions of the Creative Commons Attribution (CC BY) license (https://creativecommons.org/licenses/by/4.0/).
Share and Cite
Vladić, M.B.; Vuletić, M.; Seiwerth, S.; Gabrić, D. Odontogenic Myxoma in the Anterior Part of the Mandible—A Case Report. Surgeries 2025, 6, 28. https://doi.org/10.3390/surgeries6020028
Vladić MB, Vuletić M, Seiwerth S, Gabrić D. Odontogenic Myxoma in the Anterior Part of the Mandible—A Case Report. Surgeries. 2025; 6(2):28. https://doi.org/10.3390/surgeries6020028
Chicago/Turabian StyleVladić, Monika Burja, Marko Vuletić, Sven Seiwerth, and Dragana Gabrić. 2025. "Odontogenic Myxoma in the Anterior Part of the Mandible—A Case Report" Surgeries 6, no. 2: 28. https://doi.org/10.3390/surgeries6020028
APA StyleVladić, M. B., Vuletić, M., Seiwerth, S., & Gabrić, D. (2025). Odontogenic Myxoma in the Anterior Part of the Mandible—A Case Report. Surgeries, 6(2), 28. https://doi.org/10.3390/surgeries6020028

