An Incidental Discovery of the Intrathoracic Accessory Liver Lobe in a 72-Year-Old Man: Case Report and Literature Review
Abstract
1. Introduction
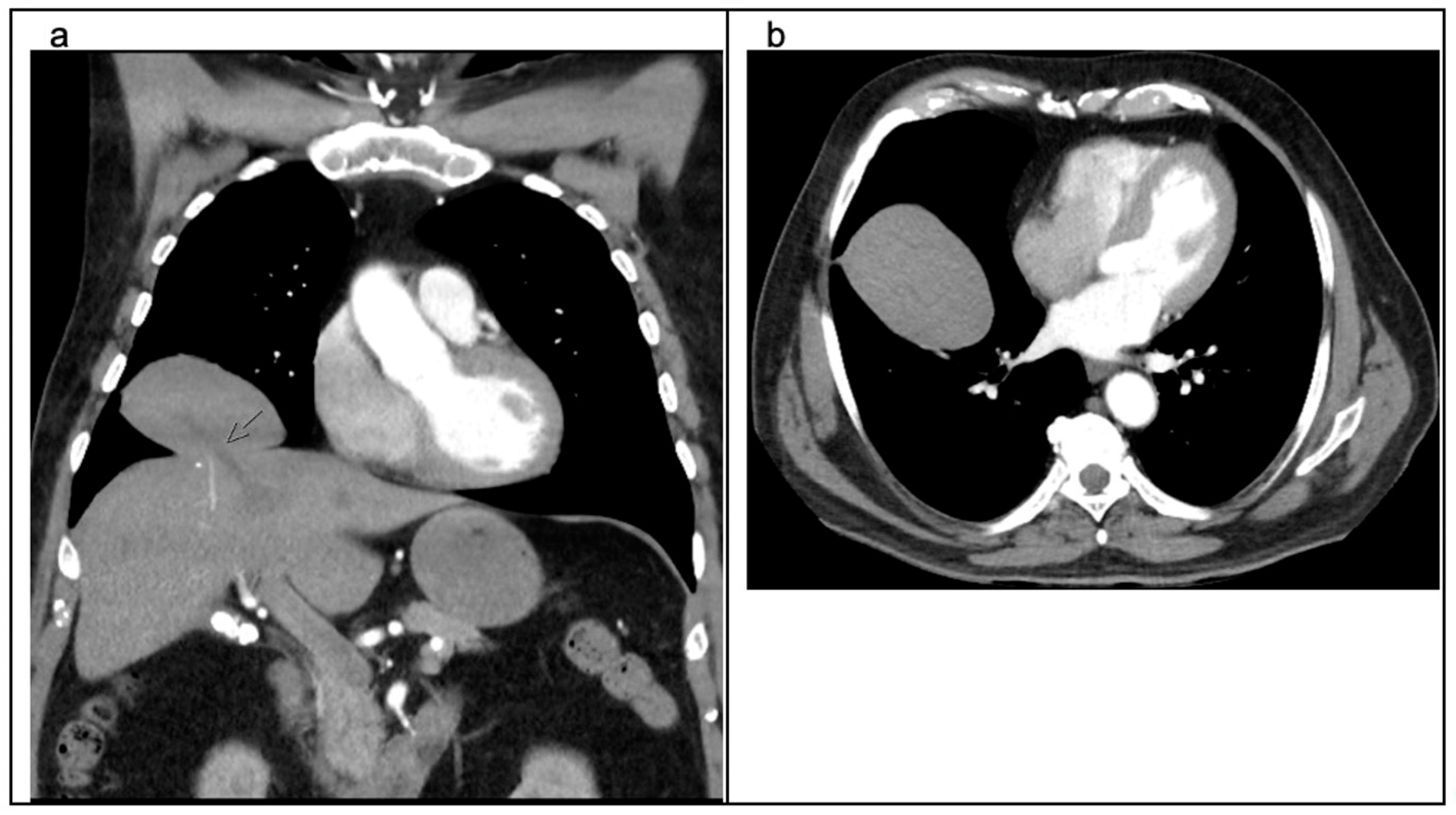
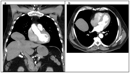
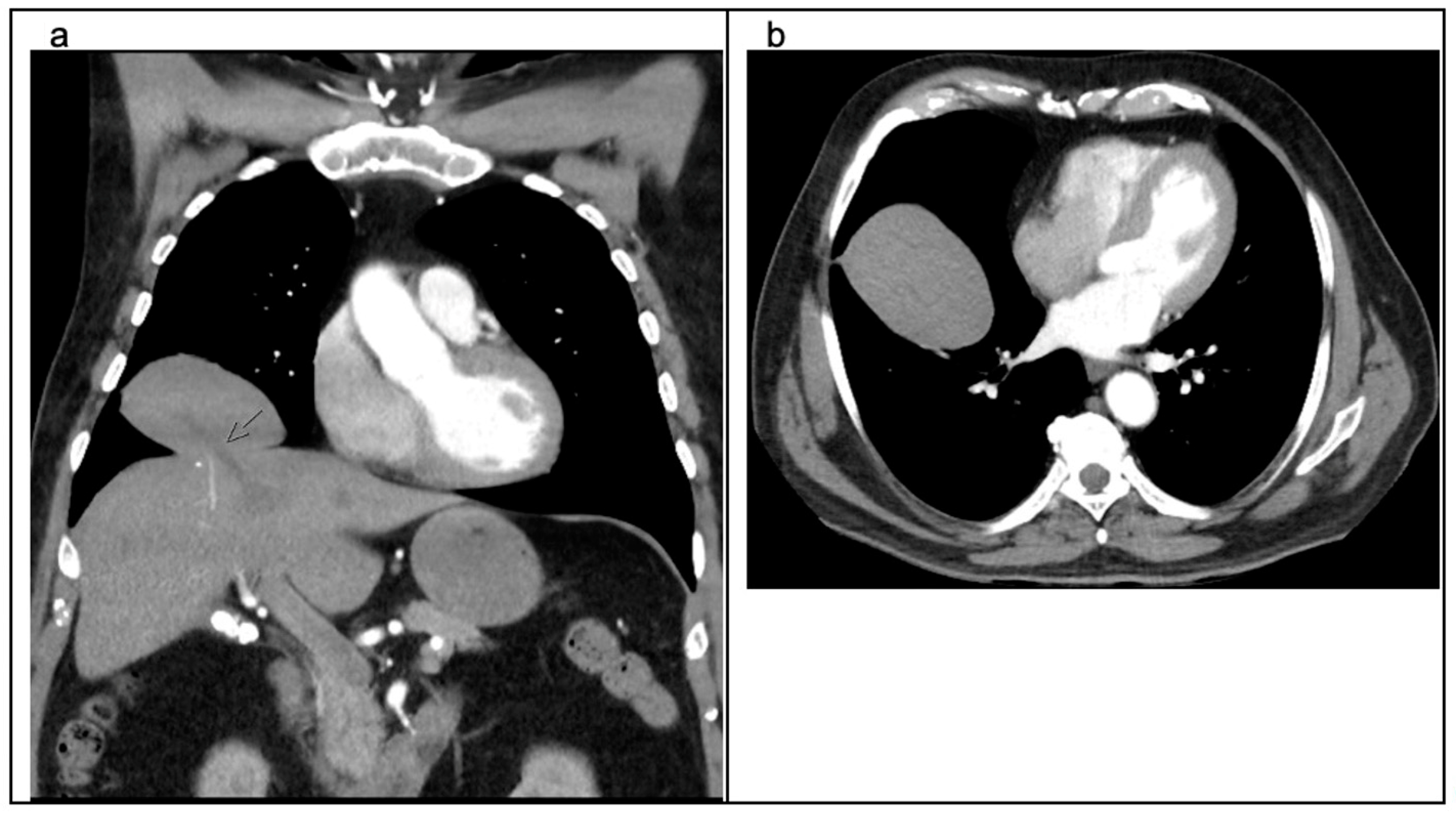
2. Detailed Case Description
3. Discussion
4. Conclusions
Author Contributions
Funding
Institutional Review Board Statement
Informed Consent Statement
Data Availability Statement
Conflicts of Interest
References
- Negru, D.; Tudorache, C.; Marinescu, M.; Grigoras, M.; Crumpei, F.; Georgescu, S. Torsion and infarction of an accessory liver lobe. Rev. Med. Chir. Soc. Med. Nat. Iasi. 2007, 111, 442–445. [Google Scholar] [PubMed]
- Garba, E.S.; Ameh, E.A. Isolated rupture of an accessory liver from blunt abdominal trauma in childhood. Pediatr. Surg. Int. 2002, 18, 62–63. [Google Scholar] [CrossRef] [PubMed]
- Jambhekar, K.; Pandey, T.; Kaushik, C.; Shah, H.R. Intermittent torsion of accessory hepatic lobe: An unusual cause of recurrent right upper quadrant pain. Indian J. Radiol. Imaging 2010, 20, 135–137. [Google Scholar] [CrossRef] [PubMed]
- Faraj, W.; Dar, F.; Marangoni, G.; Alvarez, F.E.; Howlader, M.; Mukherji, D.; Heaton, N.; Rela, M. Liver transplantation for syndromic biliary atresia with a pedunculated accessory hepatic lobe. Pediatr. Transplant. 2010, 14, E1–E3. [Google Scholar] [CrossRef] [PubMed]
- Pujari, B.D.; Deodhare, S.G. Symptomatic accessory lobe of liver with a review of the literature. Postgrad. Med. J. 1976, 52, 234–236. [Google Scholar] [CrossRef] [PubMed]
- Wang, C.; Cheng, L.; Zhang, Z.; Xie, T.; Ding, H.; Deng, Q.; Yuan, Z. Accessory lobes of the liver: A report of 3 cases and review of the literature. Intractable Rare Dis. Res. 2012, 1, 86–91. [Google Scholar] [CrossRef][Green Version]
- Kutner, M.A.; Bromberg, A.; Korst, R.J.; Lee, B.E. An unusual case of dysphagia from intrathoracic liver. Ann. Thorac. Surg. 2010, 90, e54–e55. [Google Scholar] [CrossRef]
- Eiserth, P. Beiträge zur Kenntnis der Nebenlebern. Virchows Arch. 1940, 307, 307–313. [Google Scholar] [CrossRef]
- Watanabe, M.; Matsura, T.; Takatori, Y.; Ueki, K.; Kobatake, T.; Hidaka, M.; Hirakawa, H.; Fukukmoto, S.; Shimada, Y. Five cases of ectopic liver and a case of accessory lobe of the liver. Endoscopy 1989, 21, 39–42. [Google Scholar] [CrossRef]
- Sato, S.; Watanabe, M.; Nagasawa, S.; Niigaki, M.; Sakai, S.; Akagi, S. Laparoscopic observations of congenital anomalies of the liver. Gastrointest. Endosc. 1998, 47, 136–140. [Google Scholar] [CrossRef]
- Adin, M.E.; Çetinçakmak, M.G.; Deniz, M.A.; Göya, C. Accessory liver within the thoracic cavity. Surg. Radiol. Anat. 2018, 40, 1085–1091. [Google Scholar] [CrossRef]
- Kurt, A.; Yazıcıoğlu, K.R.; Tosun, Ö.; Coşkun, M. Right sided diaphragmatic hernia in an adult without history of trauma: Unusual CT findings. Eur. J. Gen. Med. 2004, 1, 55–57. [Google Scholar]
- Lemaigre, F.P. Mechanisms of Liver Development: Concepts for Understanding Liver Disorders and Design of Novel Therapies. Gastroenterology 2009, 137, 62–79. [Google Scholar] [CrossRef]
- Ito, F.; Ando, H.; Watanabe, Y.; Seo, T.; Murahashi, O.; Harada, T.; Kaneko, K.; Ishiguro, Y. An accessory lobe of the liver disturbing closure of the umbilical ring. Pediatr. Surg. Int. 1999, 15, 394–396. [Google Scholar] [CrossRef]
- Nora, E.; Carr, C.E. Umbilical accessory liver. Am. J. Obstet. Gynecol. 1946, 52, 330–335. [Google Scholar] [CrossRef]
- Kesavaramanujam, S.; Morell, M.C.; Harigovind, D.; Bhimmanapalli, C.; Cassaro, S. Total thoracic herniation of the liver: A case of delayed right-sided diaphragmatic hernia after blunt trauma. Surg. Case Rep. 2020, 6, 178. [Google Scholar] [CrossRef]
- Elmasalme, F.; Aljudaibi, A.; Matbouly, S.; Hejazi, N.; Zuberi, M.S. Torsion of an accessory lobe of the liver in an infant. J. Pediatr. Surg. 1995, 30, 1348–1350. [Google Scholar] [CrossRef] [PubMed]
- Grunz, J.; Luisiri, A.; Cradock, T. Torsion of a hepatic lobe in the neonate–ultrasound findings. Pediatr. Radiol. 1992, 22, 192–193. [Google Scholar] [CrossRef] [PubMed]
- Sangüesa, C.; Esteban, M.J.; Gomez, J.; Cotina, H. Liver accessory lobe torsion in the infant. Pediatr. Radiol. 1995, 25, 153–154. [Google Scholar] [CrossRef] [PubMed]
- Azmy, A.; Boddy, S.A.; Eckstein, H.B. Torsion of gall bladder, embedded in an accessory lobe of liver in a neonate with Beckwith syndrome. Z. Kinderchir. Grenzgeb. 1980, 30, 277–279. [Google Scholar] [CrossRef] [PubMed]
- Ladurner, R.; Brandacher, G.; Mark, W.; Iannetti, C.; Lottersberger, C.; Steurer, W.; Königsrainer, A.; Margreiter, R. Complete hepatic ischemia due to torsion of a large accessory liver lobe: First case to require transplantation. Transpl. Int. 2005, 18, 467–469. [Google Scholar] [CrossRef]
- Woldeyes, D.H. The occurrence of an additional (accessory) lobe of liver and undescended testis in a single cadaver: A case report. J. Med. Case Rep. 2019, 13, 357. [Google Scholar] [CrossRef]
- Wynn, J.; Yu, L.; Chung, W.K. Genetic causes of congenital diaphragmatic hernia. Semin. Fetal Neonatal Med. 2014, 19, 324–330. [Google Scholar] [CrossRef] [PubMed]
- Silva, C.I.S.; Müller, N.L. Case 158. In The Teaching Files: Chest; Elsevier Enhanced Digital Version; Elsevier Health Sciences: Amsterdam, The Netherlands, 2010. [Google Scholar]
- Spellar, K.; Lotfollahzadeh, S.; Gupta, N. Diaphragmatic Hernia. [Updated 21 August 2023]. In StatPearls [Internet]; StatPearls Publishing: Treasure Island, FL, USA, 2024. [Google Scholar]
- Han, S.; Soylu, L. Accessory liver lobe in the left thoracic cavity. Ann. Thorac. Surg. 2009, 87, 1933–1934. [Google Scholar] [CrossRef] [PubMed]
- Chapman-Fredricks, J.; Birusingh, R.; Ricci, M.; Rodriguez, M. Intracaval liver with cardiac extension. A new developmental anomaly? Fetal Pediatr. Pathol. 2010, 29, 401–406. [Google Scholar] [CrossRef] [PubMed]
- Chen, Y.Y.; Huang, T.W.; Chang, H.; Hsu, H.H.; Lee, S.C. Intrathoracic caudate lobe of the liver: A case report and literature review. World J. Gastroenterol. 2014, 20, 5147–5152. [Google Scholar] [CrossRef] [PubMed]
- Ung, K.A.; Campbell, B.A.; Duplan, D.; Ball, D.; David, S. Impact of the lung oncology multidisciplinary team meetings on the management of patients with cancer. Asia Pac. J. Clin. Oncol. 2016, 12, e298–e304. [Google Scholar] [CrossRef] [PubMed]
- Ost, D.E.; Gould, M.K. Decision Making in Patients with Pulmonary Nodules. Am. J. Respir. Crit. Care Med. 2012, 185, 363–372. [Google Scholar] [CrossRef] [PubMed]
- Hierro, C.R.; Rueda, F.V.; Cruz, V.V.; Betancor, C.L.; Montoro, J.A. Focal nodular hyperplasia on accessory lobe of the liver: Preoperative diagnosis and management. J. Pediatr. Surg. 2013, 48, 251–254. [Google Scholar] [CrossRef] [PubMed]
- Wang, X.; Zhang, Q.; Xu, K. Hepatocellular carcinoma arising from left accessory liver lobe supplied by the branch of left hepatic artery: A case report. Medicine 2019, 98, e16912. [Google Scholar] [CrossRef]
- Huo, L.; Dang, Y.; Feng, R.; Zhuang, H.; Li, F. Hepatocelluar carcinoma in an accessory lobe of the liver revealed by 11C-acetate PET with a negative finding on FDG imaging. Clin. Nucl. Med. 2012, 37, 393–395. [Google Scholar] [CrossRef] [PubMed]
- Arakawa, M.; Kimura, Y.; Sakata, K.; Kubo, Y.; Fukushima, T.; Okuda, K. Propensity of ectopic liver to hepato- carcinogenesis: Case reports and a review of the literature. Hepatology 1999, 29, 57–61. [Google Scholar] [CrossRef] [PubMed]
- Nagavalli, A.; Polanski, S.; Peterson, C.M.; Birkholz, J.H.; Burdette, A.S. The liver twist: A case of accessory liver lobe torsion presenting after mild trauma. Radiol. Case Rep. 2021, 16, 2817–2823. [Google Scholar] [CrossRef] [PubMed]
- Seo, U.H.; Lee, H.J.; Ryu, W.S.; Kwak, J.M.; Shin, B.K.; Kim, W.B.; Lee, S.I.; Park, S.S.; Choi, J.W.; Kim, S.H.; et al. Laparoscopic Resection of a Hepatocellular Carcinoma Arising from an Ectopic Liver. Surg. Laparosc. Endosc. Percutaneous Tech. 2008, 18, 508–510. [Google Scholar] [CrossRef]
- Lasser, A.; Wilson, G.L. Ectopic liver tissue mass in the thoracic cavity. Cancer 1975, 36, 1823–1826. [Google Scholar] [CrossRef]
- Tancredi, A.; Cuttitta, A.; Giorgio, D.; Scaramuzzi, R. Ectopic hepatic tissue misdiagnosed as a tumor of lung. Updates Surg. 2010, 62, 121–123. [Google Scholar] [CrossRef]


Disclaimer/Publisher’s Note: The statements, opinions and data contained in all publications are solely those of the individual author(s) and contributor(s) and not of MDPI and/or the editor(s). MDPI and/or the editor(s) disclaim responsibility for any injury to people or property resulting from any ideas, methods, instructions or products referred to in the content. |
© 2024 by the authors. Licensee MDPI, Basel, Switzerland. This article is an open access article distributed under the terms and conditions of the Creative Commons Attribution (CC BY) license (https://creativecommons.org/licenses/by/4.0/).
Share and Cite
Polikarpova, A.; Bains, H.K.; Thomson, S.; Gao, Y.; Morris, D.L. An Incidental Discovery of the Intrathoracic Accessory Liver Lobe in a 72-Year-Old Man: Case Report and Literature Review. Surgeries 2024, 5, 84-91. https://doi.org/10.3390/surgeries5010010
Polikarpova A, Bains HK, Thomson S, Gao Y, Morris DL. An Incidental Discovery of the Intrathoracic Accessory Liver Lobe in a 72-Year-Old Man: Case Report and Literature Review. Surgeries. 2024; 5(1):84-91. https://doi.org/10.3390/surgeries5010010
Chicago/Turabian StylePolikarpova, Aleksandra, Harinder K. Bains, Samuel Thomson, Yijun Gao, and David L. Morris. 2024. "An Incidental Discovery of the Intrathoracic Accessory Liver Lobe in a 72-Year-Old Man: Case Report and Literature Review" Surgeries 5, no. 1: 84-91. https://doi.org/10.3390/surgeries5010010
APA StylePolikarpova, A., Bains, H. K., Thomson, S., Gao, Y., & Morris, D. L. (2024). An Incidental Discovery of the Intrathoracic Accessory Liver Lobe in a 72-Year-Old Man: Case Report and Literature Review. Surgeries, 5(1), 84-91. https://doi.org/10.3390/surgeries5010010

