Early Weight-Bearing Using Narrow Symmetrical Distal Fibular Plate: Preliminary Results
Abstract
1. Introduction
2. Materials and Methods
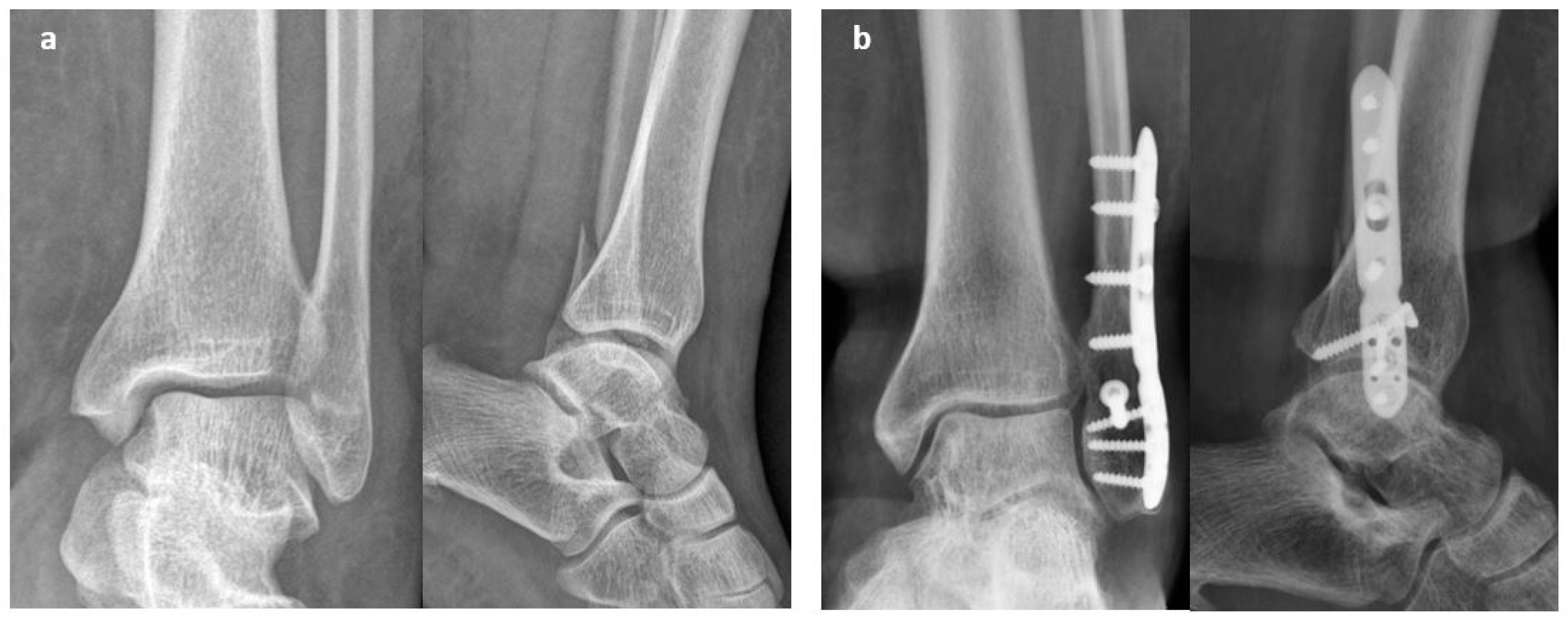
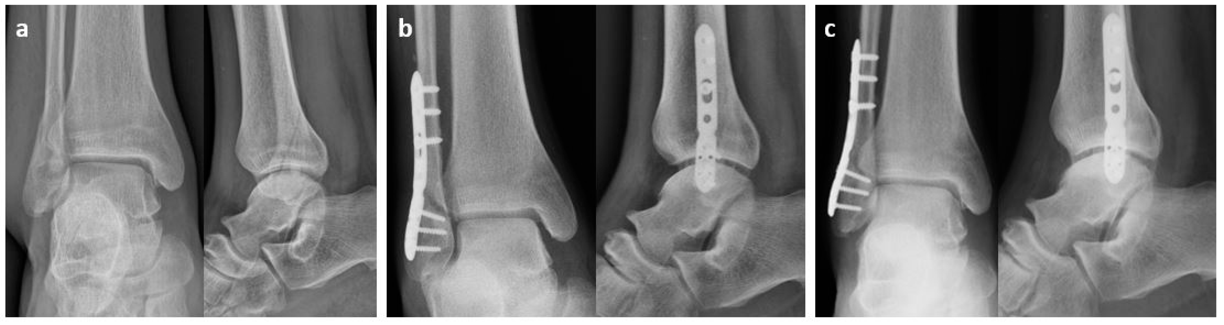
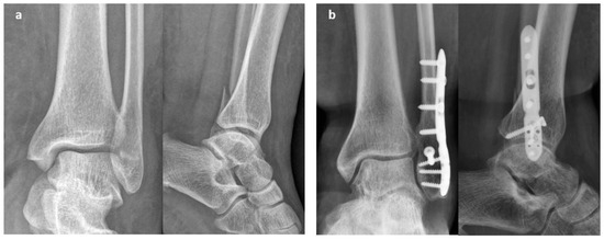
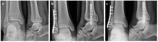
2.1. Surgical Procedure
2.2. Patient Evaluation
2.3. Statistical Analysis
3. Results
4. Discussion
5. Conclusions
Author Contributions
Funding
Institutional Review Board Statement
Informed Consent Statement
Data Availability Statement
Conflicts of Interest
References
- Lash, N.; Horne, G.; Fielden, J.; Devane, P. Ankle fractures: Functional and lifestyle outcomes at 2 years. ANZ J. Surg. 2002, 72, 724–730. [Google Scholar] [CrossRef]
- Jensen, S.L.; Andresen, B.K.; Mencke, S.; Nielsen, P.T. Epidemiology of ankle fractures. A prospective population-based study of 212 cases in Aalborg, Denmark. Acta Orthop. Scand. 1998, 69, 48–50. [Google Scholar] [CrossRef] [PubMed]
- van Staa, T.P.; Dennison, E.M.; Leufkens, H.G.; Cooper, C. Epidemiology of fractures in England and Wales. Bone 2001, 29, 517–522. [Google Scholar] [CrossRef]
- White, T.; Bugler, K. Ankle fractures. In Rockwood and Green’s Fractures in Adults, 9th ed.; Tornetta, P., 3rd, Ricci, W.M., Court-Brown, C.M., McQueen, M.M., McKee, M., Eds.; Wolters Kluwer: Philadelphia, PA, USA, 2020; Volume 2, pp. 2822–2876. [Google Scholar]
- Shibuya, N.; Davis, M.L.; Jupiter, D.C. Epidemiology of foot and ankle fractures in the United States: An analysis of the National Trauma Data Bank (2007 to 2011). J. Foot Ankle Surg. 2014, 53, 606–608. [Google Scholar] [CrossRef]
- Jupiter, D.C.; Hsu, E.S.; Liu, G.T.; Reilly, J.G.; Shibuya, N. Risk factors for short-term complication after open reduction and internal fixation of ankle fractures: Analysis of a large insurance claims database. J. Foot Ankle Surg. 2020, 59, 239–245. [Google Scholar] [CrossRef]
- Han, S.M.; Wu, T.H.; Wen, J.X.; Wang, Y.; Cao, L.; Wu, W.-J.; Gao, B.-L. Radiographic analysis of adult ankle fractures using combined Danis-Weber and Lauge-Hansen classification systems. Sci. Rep. 2020, 10, 7655. [Google Scholar] [CrossRef] [PubMed]
- Court-Brown, C.M.; McBirnie, J.; Wilson, G. Adult ankle fractures--an increasing problem? Acta Orthop. Scand. 1998, 69, 43–47. [Google Scholar] [CrossRef]
- Leyes, M.; Torres, R.; Guillen, P. Complications of open reduction and internal fixation of ankle fractures. Foot Ankle Clinic. 2003, 8, 13–147. [Google Scholar] [CrossRef]
- Sharma, T.; Farrugia, P. Early versus late weight bearing & ankle mobilization in the postoperative management of ankle fractures: A systematic review and meta-analysis of randomized controlled trials. Foot Ankle Surg. 2022, 28, 827–835. [Google Scholar] [CrossRef] [PubMed]
- Gougoulias, N.; Sakellariou, A. Ankle Fractures. In European Surgical Orthopaedics and Traumatology; Bentley, G., Ed.; Springer: Berlin/Heidelberg, Germany, 2014. [Google Scholar]
- Roos, E.M.; Brandsson, S.; Karlsson, J. Validation of the foot and ankle outcome score for ankle ligament reconstruction. Foot Ankle Int. 2001, 22, 788–794. [Google Scholar] [CrossRef]
- Chapman, C.R.; Casey, K.L.; Dubner, R.; Foley, K.M.; Gracely, R.H.; Reading, A.E. Pain measurement: An overview. Pain 1985, 22, 1–31. [Google Scholar] [CrossRef]
- Mendelsohn, H.A. Nonunion of malleolar fracture of the ankle. Clin. Orthop. Relat. Res. 1965, 11, 103–118. [Google Scholar]
- Stover, C.N. A Functional Semirigid Support System for Ankle Injuries. Phys. Sportsmed. 1979, 7, 71–78. [Google Scholar] [CrossRef]
- Brink, O.; Staunstrup, H.; Sommer, J. Stable lateral malleolar fractures treated with aircast ankle brace and DonJoy R.O.M.-Walker brace: A prospective randomized study. Foot Ankle Int. 1996, 17, 679–684. [Google Scholar] [CrossRef]
- van den Berg, C.; Haak, T.; Weil, N.L.; Hoogendoorn, J.M. Functional bracing treatment for stable type B ankle fractures. Injury 2018, 49, 1607–1611. [Google Scholar] [CrossRef]
- Stassen, R.C.; Franssen, S.; Meesters, B.; Boonen, B.; de Loos, E.R.; van Vugt, R. Prospective randomized controlled trial: Early weight bearing after conservative treatment of Weber B ankle fractures (pancake trial). Eur. J. Orthop. Surg. Traumatol. 2024, 34, 591–598. [Google Scholar] [CrossRef] [PubMed] [PubMed Central]
- Smeeing, D.P.; Houwert, R.M.; Briet, J.P.; Kelder, J.C.; Segers, M.J.; Verleisdonk, E.J.; Leenen, L.P.; Hietbrink, F. Weight-bearing and mobilization in the postoperative care of ankle fractures: A systematic review and meta-analysis of randomized controlled trials and cohort studies. PLoS ONE 2015, 10, e0118320. [Google Scholar] [CrossRef]
- Smeeing, D.P.J.; Houwert, R.M.; Briet, J.P.; Groenwold, R.H.H.; Lansink, K.W.W.; Leenen, L.P.H.; van der Zwaal, P.; Hoogendoorn, J.M.; van Heijl, M.; Verleisdonk, E.J.; et al. Weight-bearing or non-weight-bearing after surgical treatment of ankle fractures: A multicenter randomized controlled trial. Eur. J. Trauma Emerg. Surg. 2020, 46, 121–130. [Google Scholar] [CrossRef] [PubMed]
- Gul, A.; Batra, S.; Mehmood, S.; Gillham, N. Immediate unprotected weight-bearing of operatively treated ankle fractures. Acta Orthop. Belg. 2007, 73, 360–365. [Google Scholar]
- Donken, C.; Al-Khateeb, H.; Verhofstad, M.H.J.; van Laarhoven, C. Surgical versus conservative interventions for treating ankle fractures in adults. Cochrane Database Syst. Rev. 2012, 8, CD008470. [Google Scholar] [CrossRef]
- Gougoulias, N.; Sakellariou, A. When is a simple fracture of the lateral malleolus not so simple? How to assess stability, which ones to fix and the role of the deltoid ligament. Bone Jt. J. 2017, 99-B, 851–855. [Google Scholar] [CrossRef]
- Aiyer, A.A.; Zachwieja, E.C.; Lawrie, C.M.; Kaplan, J.R.M. Management of isolated lateral malleolus fractures. J. Am. Acad. Orthop. Surg. 2019, 27, 50–59. [Google Scholar] [CrossRef] [PubMed]
- McConnell, T.; Creevy, W.; Tornetta, P., 3rd. Stress examination of supination external rotation-type fibular fractures. J. Bone Jt. Surg. Am. 2004, 86, 2171–2178. [Google Scholar] [CrossRef] [PubMed]
- Schock, H.J.; Pinzur, M.; Manion, L.; Stover, M. The use of gravity or manual-stress radiographs in the assessment of supination-external rotation fractures of the ankle. J. Bone Jt. Surg. Br. 2007, 89, 1055–1059. [Google Scholar] [CrossRef] [PubMed]
- Seidel, A.; Krause, F.; Weber, M. Weightbearing vs gravity stress radiographs for stability evaluation of supination-external rotation fractures of the Ankle. Foot Ankle Int. 2017, 38, 736–744. [Google Scholar] [CrossRef]
- Zeni, F.; Cavazos, D.R.; Bouffard, J.A.; Vaidya, R. Indications and Interpretation of Stress Radiographs in Supination External Rotation Ankle Fractures. Cureus 2023, 15, e38092. [Google Scholar] [CrossRef]
- Schepers, T.; Van Lieshout, E.M.; De Vries, M.R.; Van der Elst, M. Increased rates of wound complications with locking plates in distal fibular fractures. Injury 2011, 42, 1125–1129. [Google Scholar] [CrossRef] [PubMed]





| Mean | Range | |
|---|---|---|
| Age (years) | 41 | 18–64 |
| BMI * (Kg/m2) | 23 | 18–29 |
| Surgical time (minutes) | 40 | 30–65 |
| Hospitalization (days) | 2.6 | 1–5 |
| ASA | 1.3 | 1–3 |
| Sex | 4 Female/11 Male |
Disclaimer/Publisher’s Note: The statements, opinions and data contained in all publications are solely those of the individual author(s) and contributor(s) and not of MDPI and/or the editor(s). MDPI and/or the editor(s) disclaim responsibility for any injury to people or property resulting from any ideas, methods, instructions or products referred to in the content. |
© 2024 by the authors. Licensee MDPI, Basel, Switzerland. This article is an open access article distributed under the terms and conditions of the Creative Commons Attribution (CC BY) license (https://creativecommons.org/licenses/by/4.0/).
Share and Cite
Tigani, D.; Leonida, C.M.; Mobilia, G.; Donadono, C.; Ortolani, A.; Melucci, G.; Stallone, S. Early Weight-Bearing Using Narrow Symmetrical Distal Fibular Plate: Preliminary Results. Osteology 2024, 4, 151-158. https://doi.org/10.3390/osteology4030012
Tigani D, Leonida CM, Mobilia G, Donadono C, Ortolani A, Melucci G, Stallone S. Early Weight-Bearing Using Narrow Symmetrical Distal Fibular Plate: Preliminary Results. Osteology. 2024; 4(3):151-158. https://doi.org/10.3390/osteology4030012
Chicago/Turabian StyleTigani, Domenico, Corrado Maria Leonida, Giuseppe Mobilia, Cesare Donadono, Alessandro Ortolani, Giuseppe Melucci, and Stefano Stallone. 2024. "Early Weight-Bearing Using Narrow Symmetrical Distal Fibular Plate: Preliminary Results" Osteology 4, no. 3: 151-158. https://doi.org/10.3390/osteology4030012
APA StyleTigani, D., Leonida, C. M., Mobilia, G., Donadono, C., Ortolani, A., Melucci, G., & Stallone, S. (2024). Early Weight-Bearing Using Narrow Symmetrical Distal Fibular Plate: Preliminary Results. Osteology, 4(3), 151-158. https://doi.org/10.3390/osteology4030012

