Abstract
Atrial fibrillation is a prevalent cardiac arrhythmia influenced by multifactorial mechanisms, including the emerging role of epicardial adipose tissue. Left atrial epicardial adipose tissue, through its endocrine and paracrine activities, contributes to atrial remodeling by fostering inflammation, fibrosis, and electrical remodeling. Objectives: This review aims to explore the interaction between left atrial epicardial adipose tissue and atrial dysfunction, highlighting the utility of strain imaging as a diagnostic and prognostic tool in atrial fibrillation management. Additionally, it examines emerging therapeutic strategies targeting epicardial adipose tissue to improve outcomes. Methods: We analyzed recent advances in imaging techniques, with a specific focus on speckle-tracking echocardiography for non-invasive strain assessment. Strain imaging parameters, including atrial reservoir, conduit, and contractile strain, were evaluated alongside volumetric measures of epicardial adipose tissue. Emerging therapies, such as weight management and GLP-1 receptor agonists, were reviewed for their impact on left atrial epicardial adipose tissue and atrial remodeling. Results: Strain imaging demonstrates a significant association between reduced strain parameters and atrial remodeling induced by left atrial epicardial adipose tissue. Combining strain assessment with volumetric measures enhances diagnostic accuracy and stratification of patients at risk for recurrent or progressive atrial fibrillation. Emerging therapies, particularly GLP-1 receptor agonists, show promise in reducing epicardial adipose tissue volume and mitigating atrial remodeling, thereby improving catheter ablation outcomes. Conclusions: Strain imaging is a valuable tool for the early detection of atrial dysfunction and personalized treatment planning in atrial fibrillation. Integrating these imaging approaches into routine clinical practice can optimize atrial fibrillation management and improve patient outcomes.
1. Introduction
Atrial fibrillation (AF) is a cardiac arrhythmia commonly observed in adults and arises from multifactorial mechanisms [1]. Among these, epicardial adipose tissue (EAT) has gained significant attention for its influence on atrial structure and function [2]. Left atrial epicardial adipose tissue (LA-EAT), located between the atrial myocardium and the pericardium, plays a critical role in cardiovascular health through its dynamic contributions beyond mere adipose composition [3]. Its unique position and endocrine activity drive atrial remodeling and inflammation, thereby contributing to the development of AF [4]. LA-EAT secretes pro-inflammatory cytokines and adipokines, promoting atrial fibrosis, inflammation, and electrical remodeling, which establish a substrate conducive to atrial arrhythmias [5]. Additionally, its mechanical compression of atrial walls exacerbates pathological changes, increasing the risk of AF [6].
AF ablation has become increasingly widespread and effective in recent years, offering significant benefits for many patients [7]. However, a considerable number of individuals experience recurrences following the procedure. Patient selection can be improved by assessing atrial dyssynchrony indices, which provide valuable insights into the underlying substrate and may help identify candidates most likely to benefit from ablation.
Left atrial strain, measured using speckle-tracking echocardiography, has emerged as a valuable tool for non-invasive assessment of atrial function. This technique evaluates myocardial deformation, dividing the imaging results into three phases: reservoir strain, conduit strain, and booster strain (Figure 1) [8]. Strain imaging enables early detection of atrial dysfunction before structural abnormalities become apparent, facilitating timely intervention and risk stratification [9]. This review examines the interplay between LA-EAT and atrial remodeling, emphasizing the clinical utility of atrial strain analysis in screening, management, and prognosis.
Figure 1.
Phases of left atrial strain in a healthy subject.
2. Composition and Functions of Epicardial Adipose Tissue
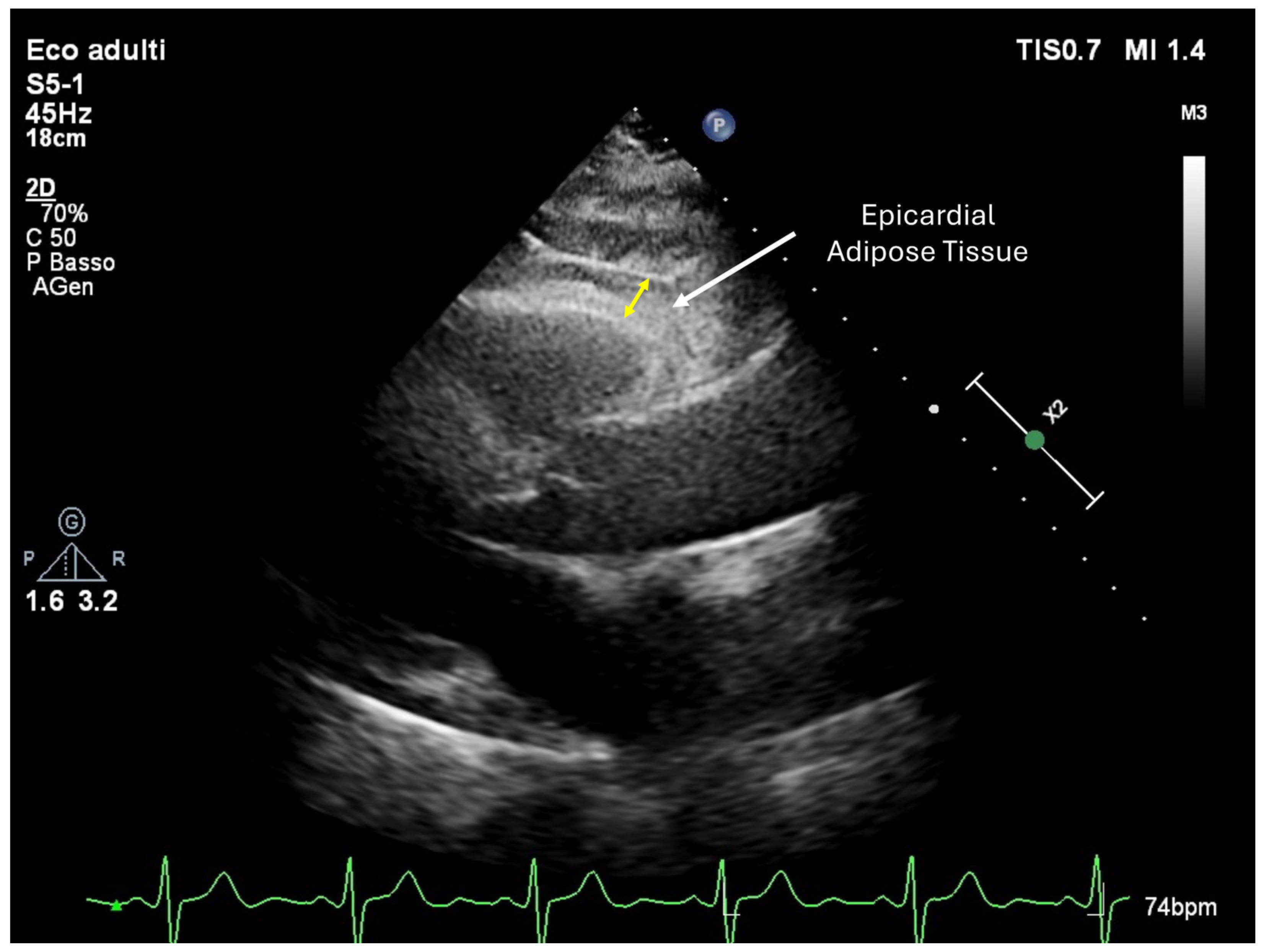
EAT is a unique visceral fat depot located between the myocardium and the visceral layer of the pericardium (Figure 2) [10]. Unlike subcutaneous fat, EAT shares the same microcirculation as the myocardium, enabling direct metabolic and paracrine interactions. Its composition includes adipocytes, inflammatory cells, fibroblasts, and abundant vascular structures [11]. Among its adipocytes, a subset resembling brown adipose tissue exhibits thermogenic properties through uncoupling protein-1, which facilitates energy dissipation as heat [12]. While brown adipose tissue is generally considered beneficial due to its role in energy expenditure, its contribution to cardiac pathophysiology within EAT warrants further exploration [13].
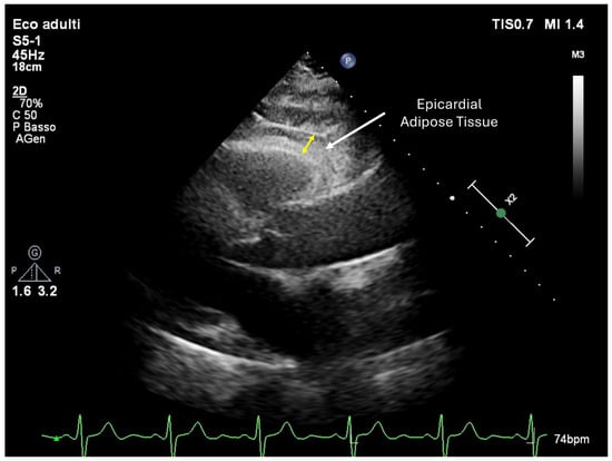
Figure 2.
Transthoracic echocardiography in parasternal long-axis view showing epicardial adipose tissue (arrow). The yellow arrow indicates the epicardial adipose tissue thickness.
EAT functions through endocrine and paracrine mechanisms, secreting bioactive molecules such as adipokines (e.g., adiponectin, leptin), cytokines (e.g., interleukin-6, tumor necrosis factor-α), and chemokines [14]. While certain adipokines, like adiponectin, exert cardioprotective effects, the majority of secreted factors from inflamed or expanded EAT create a pro-inflammatory and pro-fibrotic environment. This dual role highlights its significant impact on cardiac health, particularly in the pathogenesis of AF, where its proximity to the myocardium facilitates direct paracrine and mechanical interactions [15].
3. Left Atrial Epicardial Adipose Tissue and Atrial Fibrillation
The proximity of EAT to the atrial myocardium enables direct paracrine and mechanical interactions that contribute to the pathogenesis of AF. Studies have shown that increased LA-EAT volume correlates with heightened secretion of inflammatory cytokines (Table 1) and oxidative stress, fostering a pro-arrhythmic substrate [16]. Additionally, LA-EAT has been implicated in atrial fibrosis and electrical remodeling, both of which are critical precursors to AF [17] and must be analyzed to improve the stratification of arrhythmic risk.
Table 1.
Inflammatory markers elevated in the presence of increased epicardial fat, their roles in inflammation and atrial fibrillation, and their contributions as secreted products of epicardial fat influencing atrial remodeling and fibrosis.
Local epi-myocardial or intra-myocardial adiposity, influenced by aging, obesity, or cardiovascular disease, is a better predictor of atrial fibrillation risk than general adiposity [18]. Previous studies have shown that chronic obesity leads to extensive biatrial endocardial remodeling, with decreased endocardial voltages in the posterior LA and infiltration of adjacent posterior LA myocardium by epicardial fat, creating a distinctive substrate for AF development [19].
Mechanistically, EAT promotes structural remodeling through its endocrine activity and infiltration between cardiomyocytes. It also surrounds ganglionated plexi, modulating autonomic activity [20]. Conversely, autonomic dysfunction can alter the endocrine activity of EAT, creating a feedback loop. Emerging preventive strategies aim to reduce epicardial adiposity through weight loss or target autonomic neurotransmitter secretion to lower recurrence rates after AF ablation or surgery [21,22].
4. Atrial Strain and Volumetric Assessment as Markers of Atrial Remodeling
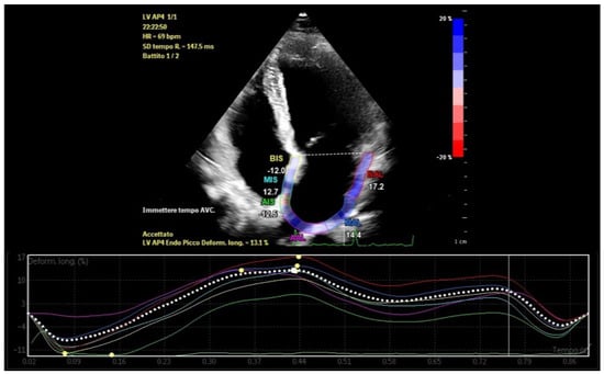
Atrial strain, assessed via speckle-tracking echocardiography, quantifies myocardial deformation and provides insights into atrial reservoir and contractile functions [23]. This technique allows early detection of subtle atrial dysfunction, even before structural abnormalities manifest [24]. Strain imaging also identifies and quantifies atrial dyssynchrony, which reflects temporal discrepancies in atrial deformation during the cardiac cycle (Figure 3) [25,26].
Figure 3.
Left atrial strain showing dyssynchrony in a patient with recurrent episodes of paroxysmal atrial fibrillation and abundant left atrial epicardial adipose tissue.
Tissue Doppler imaging complements strain analysis by measuring myocardial velocities at atrial walls, providing information on atrial conduction time (normal values 113.6–126.4 msec) and magnitude (Figure 4) [27]. Together, these modalities enhance diagnostic accuracy by revealing regional delays in atrial contraction caused by inflammation and fibrosis associated with LA-EAT.
Figure 4.
Measurement of atrial conduction time with tissue Doppler imaging.
Furthermore, volumetric assessment of the left atrium, such as the left atrial volume index (LAVI), provides additional data on atrial size and remodeling (Figure 5) [28]. Increased LAVI correlates with chronic atrial stress and remodeling [29]. Combining strain, tissue Doppler imaging, and volumetric measurements improves the detection of atrial pathology and aids in risk stratification and severity assessment.
Figure 5.
Apical 4-chamber view obtained through transthoracic echocardiography demonstrating left atrial volume assessment using the biplane area–length method.
However, it is important to remember that atrial remodeling is influenced by a variety of mechanisms beyond the impact of EAT, including structural, electrical, and molecular changes driven by comorbidities and genetic predispositions [30]. Hypertension and heart failure promote atrial stretch and pressure overload, leading to fibrosis and chamber dilation [31,32]. Diabetes mellitus induces glycosylation of cardiac proteins and enhances oxidative damage, promoting atrial fibrosis [33]. Genetic predispositions also play a significant role, with variants in genes encoding ion channels (e.g., KCNQ1, SCN5A) and structural proteins increasing susceptibility to arrhythmogenic atrial remodeling [34,35]. Additionally, age-related changes in atrial tissue, including collagen deposition and myocyte degeneration, naturally predispose older individuals to atrial dysfunction [36]. Potential confounding factors include coexisting systemic inflammation from autoimmune conditions, lifestyle factors like sedentary behavior or smoking, and concurrent medications that may independently affect atrial structure and function [37].
While increasingly recognized as a valuable tool for assessing atrial remodeling, left atrial strain imaging faces several technical challenges that limit its widespread clinical adoption [38]. One of the primary concerns is inter-operator variability, which arises from the manual nature of strain analysis. The process requires precise delineation of the atrial endocardial borders, a task complicated by the intricate anatomy of the left atrium, particularly near the pulmonary vein junctions. These discrepancies become even more pronounced when coupled with inter-vendor differences, affecting reproducibility [39].
Another significant limitation is the dependency of strain imaging on high-quality echocardiographic images. Suboptimal imaging conditions, such as poor acoustic windows or motion artifacts, can compromise the accuracy of strain measurements. Factors like a poor acoustic window or suboptimal patient positioning during imaging further exacerbate these issues, reducing the reliability of the modality in certain patient populations.
Moreover, the lack of standardized parameter measurement presents a major barrier, limiting the ability to compare results across studies or integrate strain imaging into large-scale clinical guidelines.
Cardiac MRI represents the gold standard for assessing atrial strain and LAVI due to its precision and reproducibility; however, its use is more limited compared to echocardiography because of higher costs, longer acquisition times, and reduced availability in routine clinical practice.
5. Clinical Implications of Atrial Dyssynchrony
Strain-derived indices of dyssynchrony can identify individuals at high risk for AF by revealing left atrial mechanical dispersion before overt arrhythmia occurs [40]. Assessing atrial dyssynchrony after paroxysmal atrial fibrillation episodes helps tailor ablation strategies, as patients with significant dyssynchrony may require more extensive substrate modification [41]. Serial strain imaging offers a non-invasive method to monitor improvements in dyssynchrony following interventions such as catheter ablation or therapies targeting EAT volume and inflammation [42].
6. Measurable Parameters of Left Atrial Strain
Left atrial strain values significantly differ between patients with increased LA-EAT and healthy individuals [43,44].
Left atrial strain assessment encompasses three main components:
- Reservoir function (positive strain): Peak atrial longitudinal Strain (PALS) measures the atrial expansion during ventricular systole, when the atrium fills with blood from the pulmonary veins, reflecting atrial compliance and the ability to accommodate pulmonary venous return. Reduced reservoir strain is indicative of impaired atrial compliance, which can result from increased EAT-induced fibrosis or inflammation.
- Conduit function: This assesses the atrium’s role as a conduit during early ventricular diastole, reflecting its capacity to passively transfer blood from the pulmonary veins to the left ventricle. Decreased conduit strain suggests early atrial stiffening or impaired ventricular filling, conditions often exacerbated by EAT-related paracrine dysfunction.
- Contractile strain: Peak atrial contraction strain (PACS) measures the active contraction of the atrium during late diastole. A reduction in contractile strain points to impaired atrial contractility, potentially caused by the mechanical compression and electrical remodeling induced by LA-EAT.
In healthy subjects, typical values for left atrial reservoir strain range from 35 to 45%, conduit strain from 18 to 25%, and contractile strain from 10 to 15% [45]. In contrast, patients with increased LA-EAT often exhibit markedly reduced values (Table 2): reservoir strain below 25%, conduit strain reduced to 12–18%, and contractile strain falling below 8% [46]. These reductions reflect the adverse mechanical and inflammatory effects of LA-EAT on atrial function.
Table 2.
Comparison of left atrial strain parameters between healthy patients and those with abundant periatrial epicardial adipose tissue.
It is worth noting that LA strain measurements must be obtained in sinus rhythm, since it is technically challenging to assess during AF due to irregular atrial activity and the absence of a distinct contractile phase. Parameters such as reservoir strain can still be evaluated but are less reproducible and typically require averaging over multiple cardiac cycles to improve reliability. Several studies have highlighted that atrial strain parameters and left atrial remodeling are significant predictors of AF recurrence and are closely linked to atrial function recovery post-ablation [47,48,49,50].
7. Effects of Epicardial Adipose Tissue on Left Atrial Dyssynchrony
Patients with increased LA-EAT frequently exhibit temporal discrepancies in atrial contraction [51]. Electrophysiological studies (EPSs) in these patients reveal prolonged atrial conduction times, reduced voltage in the left atrium, and expanded low-voltage zones [52]. These findings indicate structural and electrical remodeling driven by EAT-related inflammatory and mechanical effects, which contribute to dyssynchronous atrial activation and predispose the patient to AF.
The combination of inflammation, oxidative stress, and ionic channel alteration leads to conduction abnormalities and heightened susceptibility to ectopic electrical activity [53]. LA-EAT’s physical proximity to the atrial myocardium may also cause mechanical deformation, further impeding atrial diastole and inducing asynchronous atrial contraction.
Left atrial dyssynchrony exacerbates AF risk by facilitating reentrant circuit formation through heterogeneous conduction patterns, increasing atrial pressure and volume load due to ineffective contraction, and driving further structural remodeling—creating a vicious cycle of atrial dysfunction and arrhythmogenesis [54]. In patients with increased LA-EAT, left atrial strain dyssynchrony reflects disrupted coordination of atrial myocardium contraction.
Regional dyssynchrony in strain patterns is a prominent feature in these patients, characterized by variability in time to peak strain (TTP) across atrial segments (Figure 6). This variability indicates asynchronous contraction, with the posterior and inferior walls of the left atrium—regions adjacent to EAT deposits—frequently showing the most delayed TTP. Strain curves in these segments often exhibit nonuniformity, with delayed or flattened peaks compared to unaffected regions. Segments nearest to large EAT deposits demonstrate the greatest dyssynchrony, underscoring the localized impact of EAT on atrial mechanics [55].
Figure 6.
Left atrial strain in a patient with abundant left atrial epicardial adipose tissue. Time−to−peak variability and reduced peak atrial longitudinal strain are recorded.
The global dyssynchrony index, defined as the difference between maximum and minimum TTP across all atrial segments, quantifies this dyssynchrony. In patients with increased EAT, the index is significantly elevated, often exceeding 20%, compared to less than 10% in healthy individuals [56,57]. This disparity highlights EAT’s role in disrupting atrial synchrony.
Global atrial strain, particularly PALS, is notably reduced in patients with increased EAT [58]. This reduction reflects impaired atrial deformation and further compromises mechanical function.
Conduction abnormalities are also frequently observed in affected segments. Echocardiographic tissue Doppler imaging often shows delayed atrial contraction, particularly in the A’ wave, within regions influenced by EAT [59]. This conduction delay emphasizes EAT’s broad impact on atrial synchrony and electrical activity, significantly disrupting overall atrial function (Table 3).
Table 3.
Parameters measurable by left atrial strain analysis to assess left atrial dyssynchrony. Comparison of expected values in healthy individuals and in patients with abundant left atrial epicardial adipose tissue.
8. Effects of Ablation on Atrial Dyssynchrony and Remodeling
Catheter ablation in patients with atrial dyssynchrony and increased LA-EAT aims to restore electrical homogeneity and mitigate arrhythmogenic substrates. However, extensive atrial fibrosis, which is common in patients with significant EAT, may limit the success of ablation [60]. In such cases, persistent dyssynchrony may necessitate adjunctive therapies to address the underlying substrate [61]. Therefore, identifying patients who are most likely to benefit from radiofrequency ablation while distinguishing them from those at higher risk of recurrence is crucial. Addressing atrial dyssynchrony in the presence of increased LA-EAT, with subsequent myeloperoxidase secretion and fibroblasts activation, necessitates a multimodal approach [62]. Serial assessments of atrial strain and volumetric parameters after ablation can track improvements in dyssynchrony and guide long-term management.
Patients with increased LA-EAT often exhibit specific findings during EPS due to adipose accumulation and infiltration [63]. These include the effects of the pro-inflammatory and fibrotic effects of EAT on atrial tissue. Additionally, the mechanical compression exerted by EAT can alter atrial geometry, further exacerbating conduction heterogeneity and creating a substrate for reentrant arrhythmias [64].
9. Therapeutic Implications and Future Directions
Combining ablation with therapies targeting EAT, such as anti-inflammatory agents, weight management, and metabolic optimization, may enhance procedural success. Long-term strategies should aim to address the underlying pathophysiological mechanisms to improve outcomes in this challenging subset of patients. GLP-1 receptor agonists (such as Liraglutide and Semaglutide) have been shown to significantly reduce EAT volume, likely through their effects on systemic glucose metabolism, lipid profiles, and direct anti-inflammatory properties [65,66,67]. By decreasing EAT, these agents not only improve metabolic health but may also mitigate the local inflammatory and mechanical impacts of LA-EAT on cardiac structures, potentially reducing the risk of AF and other cardiovascular complications [68].
Novel anti-inflammatory therapies offer promising strategies to mitigate the effects of EAT on atrial remodeling and AF. IL-6 inhibitors (e.g., tocilizumab) and TNF-α blockers (e.g., infliximab) show potential in reducing these effects, while statins and galectin-3 inhibitors target EAT volume and fibrosis. Adiponectin modulators and SGLT2 inhibitors further address EAT-driven inflammation and oxidative stress. Lifestyle interventions, including omega-3-rich diets and exercise, enhance outcomes. These therapies collectively represent a step forward in managing EAT-driven AF, though further studies are needed to confirm their efficacy and integration into clinical practice.
For therapeutic guidance, monitoring strain parameters over time allows the evaluation of the efficacy of treatments targeting EAT, such as weight reduction or anti-inflammatory therapies. Additionally, strain assessment is instrumental in pre-ablation planning by identifying patients with advanced remodeling [69]. Those with significantly reduced strain values, especially in reservoir or contractile function, are more likely to exhibit extensive atrial fibrosis and may experience less favorable outcomes from catheter ablation. Recognizing such cases enables refined patient selection, prioritizing individuals with preserved atrial strain who are more likely to benefit from the procedure. Conversely, patients with severe remodeling might require adjunctive or alternative therapeutic approaches to optimize treatment outcomes.
10. Advantages of Electroporation for AF Ablation in Patients with Left Atrial Epicardial Adipose Tissue
Traditional ablation of AF, typically performed using radiofrequency or cryoablation, is often ineffective in patients with significant EAT due to specific physiological and anatomical challenges [70,71]. EAT can electrically insulate the myocardium, reducing the transmission of thermal energy and resulting in incomplete lesion formation [72]. Furthermore, its presence alters local conduction properties and creates heterogeneous atrial substrate areas, complicating the identification of critical ablation targets. Atrial mapping in patients with EAT often reveals low-voltage zones (Figure 7), fractionated electrograms, and areas of slowed conduction, reflecting the patchy fibrosis and structural remodeling caused by EAT [73]. These abnormalities further complicate the traditional ablation approach by increasing the likelihood of arrhythmia recurrence due to incomplete substrate modification.
Figure 7.
Three-dimensional electroanatomic map of the heart showing low-voltage areas, indicative of fibrotic tissue or the influence of epicardial adipose tissue. Unipolar map showing healty epicardial tissue (violet). Colors from orange to blue indicate lower voltages.
In this context, electroporation ablation, specifically pulsed field ablation (PFA), provides a promising alternative [74]. PFA uses high-voltage electrical pulses to induce irreversible electroporation, directly targeting myocardial cells without relying on thermal energy. This technique effectively creates precise lesions regardless of the insulating effects of EAT, as it does not depend on heat conductivity [75]. Moreover, PFA’s ability to selectively ablate myocardial tissue while sparing adjacent structures, such as the esophagus and phrenic nerve, enhances both safety and efficacy [76]. When combined with detailed atrial mapping to identify and target low-voltage and arrhythmogenic zones, PFA offers a highly effective strategy for treating AF in patients with significant EAT.
11. Advanced Imaging
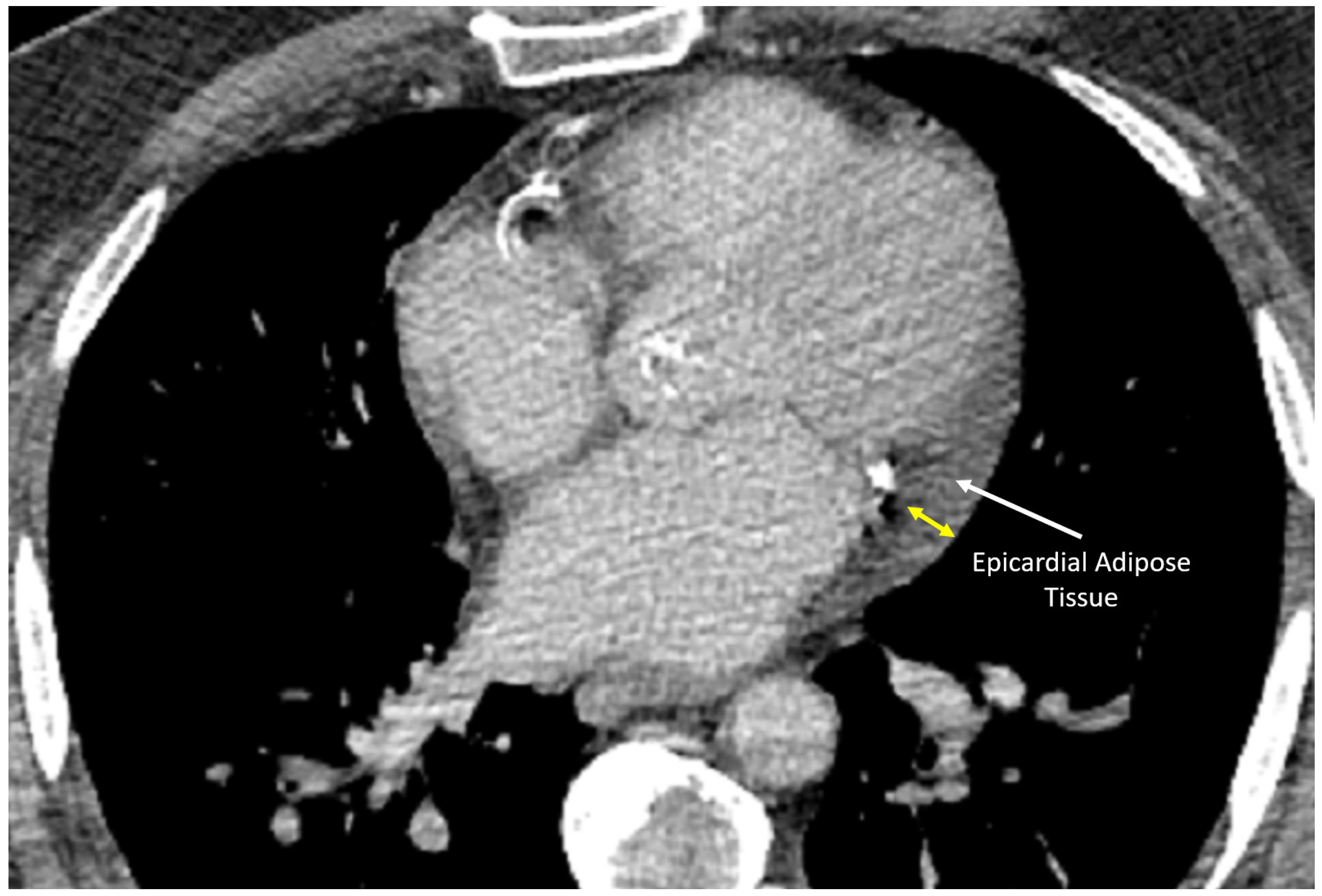
Cardiac computed tomography (Figure 8), cardiac magnetic resonance (CMR), and nuclear medicine techniques offer advanced imaging capabilities for assessing atrial pathophysiology and EAT. CMR, with its high spatial resolution and late gadolinium enhancement (LGE), allows precise quantification of atrial fibrosis and EAT volume, complementing echocardiographic strain analysis by providing direct visualization of structural remodeling [77]. Nuclear imaging, such as PET with 18F-FDG tracers, evaluates metabolic activity and inflammation in EAT but is less accessible and more invasive [78].
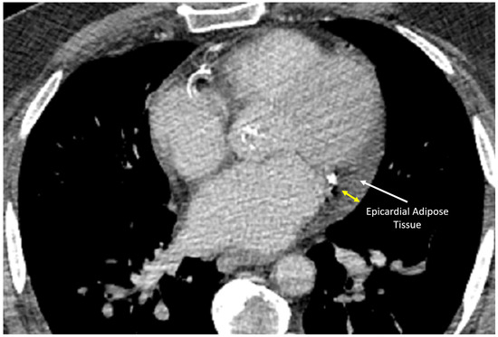
Figure 8.
Computed tomography scan of the chest showing the cardiovascular structures and epicardial adipose tissue (arrow).
In healthy hearts, epicardial fat is minimal, with normal epicardial fat thickness generally under 5 mm and atrial adiposity largely absent or undetectable within the myocardium. In AF patients, epicardial fat thickness often increases to 6–8 mm or more, and atrial adipose infiltration is significantly higher, typically 20–30% above normal levels.
In cases of AF combined with fibrosis, atrial adiposity can rise by up to 30–50% compared to normal hearts, with fibrotic tissue comprising 10–25% of the atrial wall, as identified via LGE in CMR. Adipose tissue frequently co-localizes with fibrosis, creating a structural and electrical substrate for AF progression. CMR techniques such as fat–water separation and T1 mapping are essential for quantifying these abnormalities, offering precise insights into the relationship between adiposity, fibrosis, and disease severity.
Previous studies have emphasized the usefulness of CT-guided EAT identification in patients undergoing cardioneuroablation, highlighting the importance of both anatomic and functional assessments of EAT in relation to the LA [79].
Although cardiac MRI and PET scans are highly accurate diagnostic tools, their limited accessibility and high cost make them less feasible in routine practice, particularly in resource-limited settings. As a result, echocardiography remains a cornerstone for the assessment of atrial remodeling due to its wide availability, cost-effectiveness, and practicality.
12. Conclusions
The integration of strain imaging, tissue Doppler analysis, and volumetric assessment has enhanced our ability to identify and quantify atrial remodeling and dyssynchrony. These modalities facilitate risk stratification, guide therapeutic interventions, and monitor the efficacy of treatments targeting LA-EAT.
Future research should focus on refining imaging techniques, optimizing therapeutic interventions, and exploring the interplay between systemic metabolic factors and LA-EAT. Moreover, the development and application of AI models hold significant potential in this field. AI can aid in the automation of image analysis, improve diagnostic accuracy, and uncover complex patterns within multimodal datasets that may elude traditional approaches.
By addressing the root mechanisms underlying AF and leveraging advanced diagnostic tools, including AI-driven insights, alongside therapeutic innovations, clinicians can significantly enhance outcomes for this challenging patient population.
Author Contributions
Conceptualization, F.C.; methodology, P.C., I.C., C.M. (Ciro Mauro), R.G. and F.Z.; software, V.C. and N.V.; validation, C.M. (Crescenzo Materazzi); formal analysis, P.C. and I.C.; investigation, C.M. (Ciro Mauro).; resources, R.G.; data curation, F.C. and V.C.; writing—original draft preparation, F.C.; writing—review and editing, F.C.; visualization, C.M. (Crescenzo Materazzi); supervision, P.C. and C.M. (Ciro Mauro); echocardiographical evaluations, F.C., R.G. and V.C.; electrophysiological evaluations, F.C., S.C. and M.V. All authors have read and agreed to the published version of the manuscript.
Funding
This research received no external funding.
Institutional Review Board Statement
Not applicable.
Informed Consent Statement
Not applicable.
Data Availability Statement
The datasets are available from the corresponding author on reasonable request.
Acknowledgments
Valentina Capone was supported by the CardioPath program.
Conflicts of Interest
The authors declare no conflicts of interest.
Abbreviations
| AF | Atrial fibrillation |
| EAT | Epicardial adipose tissue |
| LA-EAT | Left atrial epicardial adipose tissue |
| LAVI | Left atrial volume index |
| PALS | Peak atrial longitudinal strain |
| PACS | Peak atrial contraction strain |
| EPS | Electrophysiological study |
| TTP | Time to peak |
References
- Chen, M.A. Multimorbidity in Older Adults with Atrial Fibrillation. Clin. Geriatr. Med. 2016, 32, 315–329. [Google Scholar] [CrossRef]
- Takahashi, N.; Abe, I.; Kira, S.; Ishii, Y. Role of epicardial adipose tissue in human atrial fibrillation. J. Arrhythm. 2023, 39, 93–110. [Google Scholar] [CrossRef] [PubMed]
- Ansaldo, A.M.; Montecucco, F.; Sahebkar, A.; Dallegri, F.; Carbone, F. Epicardial adipose tissue and cardiovascular diseases. Int. J. Cardiol. 2019, 278, 254–260. [Google Scholar] [CrossRef] [PubMed]
- Conte, M.; Petraglia, L.; Cabaro, S.; Valerio, V.; Poggio, P.; Pilato, E.; Attena, E.; Russo, V.; Ferro, A.; Formisano, P.; et al. Epicardial Adipose Tissue and Cardiac Arrhythmias: Focus on Atrial Fibrillation. Front. Cardiovasc. Med. 2022, 9, 932262. [Google Scholar] [CrossRef]
- Vyas, V.; Hunter, R.J.; Longhi, M.P.; Finlay, M.C. Inflammation and adiposity: New frontiers in atrial fibrillation. Europace 2020, 22, 1609–1618. [Google Scholar] [CrossRef] [PubMed]
- Couselo-Seijas, M.; Rodríguez-Mañero, M.; González-Juanatey, J.R.; Eiras, S. Updates on epicardial adipose tissue mechanisms on atrial fibrillation. Obes. Rev. 2021, 22, e13277. [Google Scholar] [CrossRef] [PubMed]
- Tzeis, S.; Gerstenfeld, E.P.; Kalman, J.; Saad, E.; Shamloo, A.S.; Andrade, J.G.; Barbhaiya, C.R.; Baykaner, T.; Boveda, S.; Calkins, H.; et al. 2024 European Heart Rhythm Association/Heart Rhythm Society/Asia Pacific Heart Rhythm Society/Latin American Heart Rhythm Society expert consensus statement on catheter and surgical ablation of atrial fibrillation. J. Interv. Card. Electrophysiol. 2024, 67, 921–1072. [Google Scholar] [CrossRef]
- O’Neill, T.; Kang, P.; Hagendorff, A.; Tayal, B. The Clinical Applications of Left Atrial Strain: A Comprehensive Review. Medicina 2024, 60, 693. [Google Scholar] [CrossRef] [PubMed]
- Mannina, C.; Ito, K.; Jin, Z.; Yoshida, Y.; Russo, C.; Nakanishi, K.; Elkind, M.S.V.; Rundek, T.; Homma, S.; Di Tullio, M.R. Left Atrial Strain and Incident Atrial Fibrillation in Older Adults. Am. J. Cardiol. 2023, 206, 161–167. [Google Scholar] [CrossRef] [PubMed]
- Le Jemtel, T.H.; Samson, R.; Ayinapudi, K.; Singh, T.; Oparil, S. Epicardial Adipose Tissue and Cardiovascular Disease. Curr. Hypertens. Rep. 2019, 21, 36. [Google Scholar] [CrossRef] [PubMed]
- Mukherjee, A.G.; Renu, K.; Gopalakrishnan, A.V.; Jayaraj, R.; Dey, A.; Vellingiri, B.; Ganesan, R. Epicardial adipose tissue and cardiac lipotoxicity: A review. Life Sci. 2023, 328, 121913. [Google Scholar] [CrossRef] [PubMed]
- Chechi, K.; Richard, D. Thermogenic potential and physiological relevance of human epicardial adipose tissue. Int. J. Obes. Suppl. 2015, 5 (Suppl. S1), S28–S34. [Google Scholar] [CrossRef]
- Doukbi, E.; Soghomonian, A.; Sengenès, C.; Ahmed, S.; Ancel, P.; Dutour, A.; Gaborit, B. Browning Epicardial Adipose Tissue: Friend or Foe? Cells 2022, 11, 991. [Google Scholar] [CrossRef]
- Matloch, Z.; Cinkajzlova, A.; Mraz, M.; Haluzik, M. The Role of Inflammation in Epicardial Adipose Tissue in Heart Diseases. Curr. Pharm. Des. 2018, 24, 297–309. [Google Scholar] [CrossRef]
- Berg, G.; Miksztowicz, V.; Morales, C.; Barchuk, M. Epicardial Adipose Tissue in Cardiovascular Disease. Adv. Exp. Med. Biol. 2019, 1127, 131–143. [Google Scholar] [CrossRef]
- Zain, S.; Shamshad, T.; Kabir, A.; Khan, A.A. Epicardial Adipose Tissue and Development of Atrial Fibrillation (AFIB) and Heart Failure With Preserved Ejection Fraction (HFpEF). Cureus 2023, 15, e46153. [Google Scholar] [CrossRef] [PubMed]
- Zhou, M.; Wang, H.; Chen, J.; Zhao, L. Epicardial adipose tissue and atrial fibrillation: Possible mechanisms, potential therapies, and future directions. Pacing Clin. Electrophysiol. 2020, 43, 133–145. [Google Scholar] [CrossRef] [PubMed]
- Iacobellis, G. Aging Effects on Epicardial Adipose Tissue. Front. Aging 2021, 2, 666260. [Google Scholar] [CrossRef] [PubMed]
- Mahajan, R.; Lau, D.H.; Brooks, A.G.; Shipp, N.J.; Manavis, J.; Wood, J.P.; Finnie, J.W.; Samuel, C.S.; Royce, S.G.; Twomey, D.J.; et al. Electrophysiological, Electroanatomical, and Structural Remodeling of the Atria as Consequences of Sustained Obesity. J. Am. Coll. Cardiol. 2015, 66, 1–11. [Google Scholar] [CrossRef]
- Ernault, A.C.; Verkerk, A.O.; Bayer, J.D.; Aras, K.; Montañés-Agudo, P.; Mohan, R.A.; Veldkamp, M.; Rivaud, M.R.; de Winter, R.; Kawasaki, M.; et al. Secretome of atrial epicardial adipose tissue facilitates reentrant arrhythmias by myocardial remodeling. Heart Rhythm 2022, 19, 1461–1470. [Google Scholar] [CrossRef]
- Kim, M.Y.; Coyle, C.; Tomlinson, D.R.; Sikkel, M.B.; Sohaib, A.; Luther, V.; Leong, K.M.; Malcolme-Lawes, L.; Low, B.; Sandler, B.; et al. Ectopy-triggering ganglionated plexuses ablation to prevent atrial fibrillation: GANGLIA-AF study. Heart Rhythm 2022, 19, 516–524. [Google Scholar] [CrossRef] [PubMed]
- Musikantow, D.R.; Reddy, V.Y.; Skalsky, I.; Shaburishvili, T.; van Zyl, M.; O’Brien, B.; Coffey, K.; Reilly, J.; Neuzil, P.; Asirvatham, S.; et al. Targeted ablation of epicardial ganglionated plexi during cardiac surgery with pulsed field electroporation (NEURAL AF). J. Interv. Card. Electrophysiol. 2023. [Google Scholar] [CrossRef] [PubMed]
- Inoue, K.; Khan, F.H.; Remme, E.W.; Ohte, N.; García-Izquierdo, E.; Chetrit, M.; Moñivas-Palomero, V.; Mingo-Santos, S.; Andersen, Ø.S.; Gude, E.; et al. Determinants of left atrial reservoir and pump strain and use of atrial strain for evaluation of left ventricular filling pressure. Eur. Heart J. Cardiovasc. Imaging 2021, 23, 61–70, Erratum in Eur. Heart J. Cardiovasc. Imaging 2022, 23, 136. [Google Scholar] [CrossRef] [PubMed]
- Cameli, M.; Mandoli, G.E.; Loiacono, F.; Sparla, S.; Iardino, E.; Mondillo, S. Left atrial strain: A useful index in atrial fibrillation. Int. J. Cardiol. 2016, 220, 208–213. [Google Scholar] [CrossRef]
- Cho, G.Y.; Jo, S.H.; Kim, M.K.; Park, W.J.; Choi, Y.J.; Hong, K.S.; Oh, D.J.; Rhim, C.Y. Left atrial dyssynchrony assessed by strain imaging in predicting future development of atrial fibrillation in patients with heart failure. Int. J. Cardiol. 2009, 134, 336–341. [Google Scholar] [CrossRef]
- Sánchez, F.J.; Gonzalez, V.A.; Farrando, M.; Baigorria Jayat, A.O.; Segovia-Roldan, M.; García-Mendívil, L.; Ordovás, L.; Prado, N.J.; Pueyo, E.; Diez, E.R. Atrial Dyssynchrony Measured by Strain Echocardiography as a Marker of Proarrhythmic Remodeling and Oxidative Stress in Cardiac Surgery Patients. Oxid. Med. Cell. Longev. 2020, 2020, 8895078. [Google Scholar] [CrossRef]
- Mohamed Ibrahim, I.; Taha Hassanin, M.; El Zaki, M.M. Tissue Doppler-derived atrial dyssynchrony predicts new-onset atrial fibrillation during hospitalization for ST-elevation myocardial infarction. Echocardiography 2019, 36, 1799–1805. [Google Scholar] [CrossRef]
- Njoku, A.; Kannabhiran, M.; Arora, R.; Reddy, P.; Gopinathannair, R.; Lakkireddy, D.; Dominic, P. Left atrial volume predicts atrial fibrillation recurrence after radiofrequency ablation: A meta-analysis. Europace 2018, 20, 33–42. [Google Scholar] [CrossRef] [PubMed]
- Cacciapuoti, F.; Scognamiglio, A.; Paoli, V.D.; Romano, C.; Cacciapuoti, F. Left Atrial Volume Index as Indicator of Left Ventricular Diastolic Dysfunction: Comparation between Left Atrial Volume Index and Tissue Myocardial Performance Index. J. Cardiovasc. Ultrasound 2012, 20, 25–29. [Google Scholar] [CrossRef]
- Qiu, D.; Peng, L.; Ghista, D.N.; Wong, K.K.L. Left Atrial Remodeling Mechanisms Associated with Atrial Fibrillation. Cardiovasc. Eng. Technol. 2021, 12, 361–372. [Google Scholar] [CrossRef]
- Huang, Y.; Zhao, J.; Zhou, Z.; Guo, X.; Xu, Y.; Huang, T.; Meng, S.; Cao, Z.; Xu, D.; Zhao, Q.; et al. Persistent hypertension induces atrial remodeling and atrial fibrillation through DNA damage and ATM/CHK2/p53 signaling pathway. Biochim. Biophys. Acta Mol. Basis Dis. 2025, 1871, 167534. [Google Scholar] [CrossRef] [PubMed]
- Reddy, Y.N.V.; Borlaug, B.A.; Gersh, B.J. Management of Atrial Fibrillation Across the Spectrum of Heart Failure With Preserved and Reduced Ejection Fraction. Circulation 2022, 146, 339–357. [Google Scholar] [CrossRef] [PubMed]
- Qian, L.L.; Liu, X.Y.; Li, X.Y.; Yang, F.; Wang, R.X. Effects of Electrical Remodeling on Atrial Fibrillation in Diabetes Mellitus. Rev. Cardiovasc. Med. 2023, 24, 3. [Google Scholar] [CrossRef] [PubMed]
- Yoneda, Z.T.; Anderson, K.C.; Quintana, J.A.; O’Neill, M.J.; Sims, R.A.; Glazer, A.M.; Shaffer, C.M.; Crawford, D.M.; Stricker, T.; Ye, F.; et al. Early-Onset Atrial Fibrillation and the Prevalence of Rare Variants in Cardiomyopathy and Arrhythmia Genes. JAMA Cardiol. 2021, 6, 1371–1379. [Google Scholar] [CrossRef] [PubMed]
- Pavel, M.A.; Chen, H.; Hill, M.; Sirdhar, A. A Titin Missense Variant Causes Atrial Fibrillation. Preprint. medRxiv 2024. [Google Scholar] [CrossRef]
- Lin, Y.K.; Chen, Y.A.; Lee, T.I.; Chen, Y.C.; Chen, S.A.; Chen, Y.J. Aging Modulates the Substrate and Triggers Remodeling in Atrial Fibrillation. Circ. J. 2018, 82, 1237–1244. [Google Scholar] [CrossRef] [PubMed]
- Martins, I.L.F.; Almeida, F.V.D.S.; Souza, K.P.; Brito, F.C.F.; Rodrigues, G.D.; Scaramello, C.B.V. Reviewing Atrial Fibrillation Pathophysiology from a Network Medicine Perspective: The Relevance of Structural Remodeling, Inflammation, and the Immune System. Life 2023, 13, 1364. [Google Scholar] [CrossRef]
- Buggey, J.; Hoit, B.D. Left atrial strain: Measurement and clinical application. Curr. Opin. Cardiol. 2018, 33, 479–485. [Google Scholar] [CrossRef]
- Pathan, F.; Zainal Abidin, H.A.; Vo, Q.H.; Zhou, H.; D’Angelo, T.; Elen, E.; Negishi, K.; Puntmann, V.O.; Marwick, T.H.; Nagel, E. Left atrial strain: A multi-modality, multi-vendor comparison study. Eur. Heart J. Cardiovasc. Imaging 2021, 22, 102–110. [Google Scholar] [CrossRef]
- Sørensen, E.; Myrstad, M.; Solberg, M.G.; Øie, E.; Platonov, P.G.; Carlson, J.; Tveit, A.; Aarønaes, M. Left atrial dyssynchrony in veteran endurance athletes with and without paroxysmal atrial fibrillation. Echocardiography 2023, 40, 679–686. [Google Scholar] [CrossRef]
- Kobayashi, Y.; Okura, H.; Kobayashi, Y.; Okawa, K.; Banba, K.; Hirohata, A.; Tamada, T.; Obase, K.; Hayashida, A.; Yoshida, K. Assessment of atrial synchrony in paroxysmal atrial fibrillation and impact of pulmonary vein isolation for atrial dyssynchrony and global strain by three-dimensional strain echocardiography. J. Am. Soc. Echocardiogr. 2014, 27, 1193–1199. [Google Scholar] [CrossRef] [PubMed]
- Ciuffo, L.; Tao, S.; Gucuk Ipek, E.; Zghaib, T.; Balouch, M.; Lima, J.A.C.; Nazarian, S.; Spragg, D.D.; Marine, J.E.; Berger, R.D.; et al. Intra-Atrial Dyssynchrony During Sinus Rhythm Predicts Recurrence After the First Catheter Ablation for Atrial Fibrillation. JACC Cardiovasc. Imaging 2019, 12, 310–319. [Google Scholar] [CrossRef]
- Wu, A.; Yang, Z.; Zhang, X.; Lin, Z.; Lu, H. Association Between Epicardial Adipose Tissue and Left Atrial and Ventricular Function in Patients With Heart Failure: A Systematic Review and Meta-Analysis. Curr. Probl. Cardiol. 2023, 48, 101979. [Google Scholar] [CrossRef] [PubMed]
- Jin, X.; Hung, C.L.; Tay, W.T.; Soon, D.; Sim, D.; Sung, K.T.; Loh, S.Y.; Lee, S.; Jaufeerally, F.; Ling, L.H.; et al. Epicardial adipose tissue related to left atrial and ventricular function in heart failure with preserved versus reduced and mildly reduced ejection fraction. Eur. J. Heart Fail. 2022, 24, 1346–1356. [Google Scholar] [CrossRef] [PubMed]
- Pathan, F.; D’Elia, N.; Nolan, M.T.; Marwick, T.H.; Negishi, K. Normal Ranges of Left Atrial Strain by Speckle-Tracking Echocardiography: A Systematic Review and Meta-Analysis. J. Am. Soc. Echocardiogr. 2017, 30, 59–70.e8. [Google Scholar] [CrossRef] [PubMed]
- Chahine, Y.; Chamoun, N.; Kassar, A.; Bockus, L.; Macheret, F.; Akoum, N. Atrial fibrillation substrate and impaired left atrial function: A cardiac MRI study. Europace 2024, 26, euae258. [Google Scholar] [CrossRef]
- Hopman, L.H.G.A.; Mulder, M.J.; van der Laan, A.M.; Bhagirath, P.; Demirkiran, A.; von Bartheld, M.B.; Kemme, M.J.B.; van Rossum, A.C.; Allaart, C.P.; Götte, M.J.W. Left atrial strain is associated with arrhythmia recurrence after atrial fibrillation ablation: Cardiac magnetic resonance rapid strain vs. feature tracking strain. Int. J. Cardiol. 2023, 378, 23–31. [Google Scholar] [CrossRef]
- Brás, P.G.; Cunha, P.S.; Timóteo, A.T.; Portugal, G.; Galrinho, A.; Laranjo, S.; Cruz, M.C.; Valente, B.; Rio, P.; Delgado, A.S.; et al. Evaluation of left atrial strain imaging and integrated backscatter as predictors of recurrence in patients with paroxysmal, persistent, and long-standing persistent atrial fibrillation undergoing catheter ablation. J. Interv. Card. Electrophysiol. 2024, 67, 479–492. [Google Scholar] [CrossRef] [PubMed]
- Nielsen, A.B.; Skaarup, K.G.; Djernæs, K.; Hauser, R.; San José Estépar, R.; Sørensen, S.K.; Ruwald, M.H.; Hansen, M.L.; Worck, R.H.; Johannessen, A.; et al. Left atrial contractile strain predicts recurrence of atrial tachyarrhythmia after catheter ablation. Int. J. Cardiol. 2022, 358, 51–57. [Google Scholar] [CrossRef] [PubMed]
- Dong, J.; Kwan, E.; Bergquist, J.A.; Steinberg, B.A.; Dosdall, D.J.; DiBella, E.V.R.; MacLeod, R.S.; Bunch, T.J.; Ranjan, R. Ablation-induced left atrial mechanical dysfunction recovers in weeks after ablation. J. Interv. Card. Electrophysiol. 2024, 67, 1547–1556. [Google Scholar] [CrossRef] [PubMed]
- Chyou, J.Y.; Barkoudah, E.; Dukes, J.W.; Goldstein, L.B.; Joglar, J.A.; Lee, A.M.; Lubitz, S.A.; Marill, K.A.; Sneed, K.B.; Streur, M.M.; et al. Atrial Fibrillation Occurring During Acute Hospitalization: A Scientific Statement from the American Heart Association. Circulation 2023, 147, e676–e698, Erratum in Circulation 2023, 147, e717. [Google Scholar] [CrossRef] [PubMed]
- Kuklik, P.; Schäffer, B.; Hoffmann, B.A.; Ganesan, A.N.; Schreiber, D.; Moser, J.M.; Akbulak, R.Ö.; Sultan, A.; Steven, D.; Maesen, B.; et al. Local Electrical Dyssynchrony During Atrial Fibrillation: Theoretical Considerations and Initial Catheter Ablation Results. PLoS ONE 2016, 11, e0164236. [Google Scholar] [CrossRef]
- Patel, K.H.K.; Hwang, T.; Se Liebers, C.; Ng, F.S. Epicardial adipose tissue as a mediator of cardiac arrhythmias. Am. J. Physiol. Heart Circ. Physiol. 2022, 322, H129–H144. [Google Scholar] [CrossRef] [PubMed]
- Lau, D.H.; Linz, D.; Sanders, P. New Findings in Atrial Fibrillation Mechanisms. Card. Electrophysiol. Clin. 2019, 11, 563–571. [Google Scholar] [CrossRef] [PubMed]
- Zhen, X.W.; Li, W.C.; Wang, H.; Song, N.P.; Zhong, L. Does types of atrial fibrillation matter in the impairment of global and regional left ventricular mechanics and intra-ventricular dyssynchrony? Front. Cardiovasc. Med. 2022, 9, 1019472. [Google Scholar] [CrossRef]
- Xie, J.M.; Fang, F.; Zhang, Q.; Chan, J.Y.-S.; Yip, G.W.K.; Sanderson, J.E.; Lam, Y.-Y.; Yan, B.P.-Y.; Yu, C.M. Atrial dysfunction and interatrial dyssynchrony predict atrial high rate episodes: Insight into the distinct effects of right atrial appendage pacing. J. Cardiovasc. Electrophysiol. 2012, 23, 384–390. [Google Scholar] [CrossRef] [PubMed]
- Karsum, E.H.; Andersen, D.M.; Modin, D.; Biering-Sørensen, S.R.; Mogelvang, R.; Jensen, G.; Schnohr, P.; Gislason, G.; Biering-Sørensen, T. The prognostic value of left atrial dyssynchrony measured by speckle tracking echocardiography in the general population. Int. J. Cardiovasc. Imaging 2021, 37, 1679–1688. [Google Scholar] [CrossRef]
- Liao, J.N.; Chao, T.F.; Hung, C.L.; Chen, S.A. The decrease in peak atrial longitudinal strain in patients with atrial fibrillation as a practical parameter for stroke risk stratification. Heart Rhythm 2021, 18, 538–544. [Google Scholar] [CrossRef] [PubMed]
- Müller, P.; Weijs, B.; Bemelmans, N.M.A.A.; Mügge, A.; Eckardt, L.; Crijns, H.J.G.M.; Bax, J.J.; Linz, D.; den Uijl, D.W. Echocardiography-derived total atrial conduction time (PA-TDI duration): Risk stratification and guidance in atrial fibrillation management. Clin. Res. Cardiol. 2021, 110, 1734–1742. [Google Scholar] [CrossRef] [PubMed]
- Anagnostopoulos, I.; Kousta, M.; Kossyvakis, C.; Paraskevaidis, N.T.; Vrachatis, D.; Deftereos, S.; Giannopoulos, G. Epicardial Adipose Tissue and Atrial Fibrillation Recurrence following Catheter Ablation: A Systematic Review and Meta-Analysis. J. Clin. Med. 2023, 12, 6369. [Google Scholar] [CrossRef]
- Chen, J.; Mei, Z.; Yang, Y.; Dai, C.; Wang, Y.; Zeng, R.; Liu, Q. Epicardial adipose tissue is associated with higher recurrence risk after catheter ablation in atrial fibrillation patients: A systematic review and meta-analysis. BMC Cardiovasc. Disord. 2022, 22, 264. [Google Scholar] [CrossRef]
- Meulendijks, E.R.; Al-Shama, R.F.M.; Kawasaki, M.; Fabrizi, B.; Neefs, J.; Wesselink, R.; Ernault, A.C.; Piersma, S.; Pham, T.V.; Jimenez, C.R.; et al. Atrial epicardial adipose tissue abundantly secretes myeloperoxidase and activates atrial fibroblasts in patients with atrial fibrillation. J. Transl. Med. 2023, 21, 366. [Google Scholar] [CrossRef]
- Nalliah, C.J.; Bell, J.R.; Raaijmakers, A.J.A.; Waddell, H.M.; Wells, S.P.; Bernasochi, G.B.; Montgomery, M.K.; Binny, S.; Watts, T.; Joshi, S.B.; et al. Epicardial Adipose Tissue Accumulation Confers Atrial Conduction Abnormality. J. Am. Coll. Cardiol. 2020, 76, 1197–1211. [Google Scholar] [CrossRef] [PubMed]
- Poggi, A.L.; Gaborit, B.; Schindler, T.H.; Liberale, L.; Montecucco, F.; Carbone, F. Epicardial fat and atrial fibrillation: The perils of atrial failure. Europace 2022, 24, 1201–1212. [Google Scholar] [CrossRef]
- Zhao, N.; Wang, X.; Wang, Y.; Yao, J.; Shi, C.; Du, J.; Bai, R. The Effect of Liraglutide on Epicardial Adipose Tissue in Type 2 Diabetes. J. Diabetes Res. 2021, 2021, 5578216. [Google Scholar] [CrossRef] [PubMed]
- Cacciapuoti, F.; Mauro, C.; D’Andrea, D.; Capone, V.; Liguori, C.; Cacciapuoti, F. Epicardial adipose tissue and residual cardiovascular risk: A comprehensive case analysis and therapeutic insights with Liraglutide. J. Cardiovasc. Med. 2024, 25, 637–641. [Google Scholar] [CrossRef]
- Manubolu, V.S.; Lakshmanan, S.; Kinninger, A.; Ahmad, K.; Susarla, S.; Seok, H.J.; Hamal, S.; Dahal, S.; Roy, S.K.; Budoff, M.J. Effect of Semaglutide on Epicardial Adipose Tissue in Type 2 Diabetes: Insights From the STOP (Semaglutide Treatment effect On coronary atherosclerosis Progression) Randomized Trial. J. Am. Coll. Cardiol. 2024, 84, 865–867. [Google Scholar] [CrossRef]
- Yaribeygi, H.; Maleki, M.; Nasimi, F.; Jamialahmadi, T.; Stanford, F.C.; Sahebkar, A. Benefits of GLP-1 Mimetics on Epicardial Adiposity. Curr. Med. Chem. 2023, 30, 4256–4265. [Google Scholar] [CrossRef]
- Yu, Z.X.; Yang, W.; Yin, W.S.; Peng, K.X.; Pan, Y.L.; Chen, W.W.; Du, B.B.; He, Y.Q.; Yang, P. Clinical utility of left atrial strain in predicting atrial fibrillation recurrence after catheter ablation: An up-to-date review. World J. Clin. Cases 2022, 10, 8063–8075. [Google Scholar] [CrossRef]
- Andrade, J.G.; Champagne, J.; Dubuc, M.; Deyell, M.W.; Verma, A.; Macle, L.; Leong-Sit, P.; Novak, P.; Badra-Verdu, M.; Sapp, J.; et al. Cryoballoon or Radiofrequency Ablation for Atrial Fibrillation Assessed by Continuous Monitoring: A Randomized Clinical Trial. Circulation 2019, 140, 1779–1788. [Google Scholar] [CrossRef] [PubMed]
- Cherian, T.S.; Callans, D.J. Recurrent Atrial Fibrillation After Radiofrequency Ablation: What to Expect. Card. Electrophysiol. Clin. 2020, 12, 187–197. [Google Scholar] [CrossRef] [PubMed]
- Nodera, M.; Ishida, T.; Hasegawa, K.; Kakehashi, S.; Mukai, M.; Aoyama, D.; Miyazaki, S.; Uzui, H.; Tada, H. Epicardial adipose tissue density predicts the presence of atrial fibrillation and its recurrence after catheter ablation: Three-dimensional reconstructed image analysis. Heart Vessel. 2024, 39, 696–705. [Google Scholar] [CrossRef] [PubMed]
- Qiu, B.; Li, F.; Sang, C.; Shen, J.; Shao, Y.; Chen, W.; Hu, X.; Li, C.; Hu, C.; Zhang, C.; et al. Combination of Epicardial Adipose Tissue and Left Atrial Low-Voltage Areas Predicting Atrial Fibrillation Recurrence after Radiofrequency Ablation. Cardiology 2024, 1–8. [Google Scholar] [CrossRef]
- Tabaja, C.; Younis, A.; Hussein, A.A.; Taigen, T.L.; Nakagawa, H.; Saliba, W.I.; Sroubek, J.; Santangeli, P.; Wazni, O.M. Catheter-Based Electroporation: A Novel Technique for Catheter Ablation of Cardiac Arrhythmias. JACC Clin. Electrophysiol. 2023, 9, 2008–2023. [Google Scholar] [CrossRef] [PubMed]
- Verma, A.; Haines, D.E.; Boersma, L.V.; Sood, N.; Natale, A.; Marchlinski, F.E.; Calkins, H.; Sanders, P.; Packer, D.L.; Kuck, K.H.; et al. Pulsed Field Ablation for the Treatment of Atrial Fibrillation: PULSED AF Pivotal Trial. Circulation 2023, 147, 1422–1432. [Google Scholar] [CrossRef] [PubMed]
- Matos, C.D.; Hoyos, C.; Miranda-Arboleda, A.F.; Diaz, J.C.; Hincapie, D.; Patino, C.; Hernadez, R.H.; Zei, P.C.; Romero, J.E.; Osorio, J. Pulsed Field Ablation of Atrial Fibrillation: A Comprehensive Review. Rev. Cardiovasc. Med. 2023, 24, 337. [Google Scholar] [CrossRef] [PubMed]
- Leo, L.A.; Paiocchi, V.L.; Schlossbauer, S.A.; Ho, S.Y.; Faletra, F.F. The Intrusive Nature of Epicardial Adipose Tissue as Revealed by Cardiac Magnetic Resonance. J. Cardiovasc. Echogr. 2019, 29, 45–51. [Google Scholar] [CrossRef] [PubMed]
- Wang, B.; Xu, Y.D.; Shao, S.; Zhai, L.S.; Qian, B.; Zhang, F.F.; Wang, J.F.; Shao, X.L.; Wang, Y.T. Association between inflammation activity of left atrial epicardial adipose tissue measured by 18F-FDG PET/CT and atrial fibrillation. Zhonghua Xin Xue Guan Bing Za Zhi 2021, 49, 1213–1219. [Google Scholar] [CrossRef]
- Markman, T.M.; Khoshknab, M.; Santangeli, P.; Marchlinski, F.E.; Nazarian, S. Feasibility of Computed Tomography-Guided Cardioneuroablation for Atrial Fibrillation. JACC Clin. Electrophysiol. 2022, 8, 1449–1450. [Google Scholar] [CrossRef] [PubMed]
Disclaimer/Publisher’s Note: The statements, opinions and data contained in all publications are solely those of the individual author(s) and contributor(s) and not of MDPI and/or the editor(s). MDPI and/or the editor(s) disclaim responsibility for any injury to people or property resulting from any ideas, methods, instructions or products referred to in the content. |
© 2025 by the authors. Licensee MDPI, Basel, Switzerland. This article is an open access article distributed under the terms and conditions of the Creative Commons Attribution (CC BY) license (https://creativecommons.org/licenses/by/4.0/).







