Sinonasal Mass in the Setting of Prior Maxillofacial Surgery and Solid Organ Malignancy
Abstract
1. Introduction
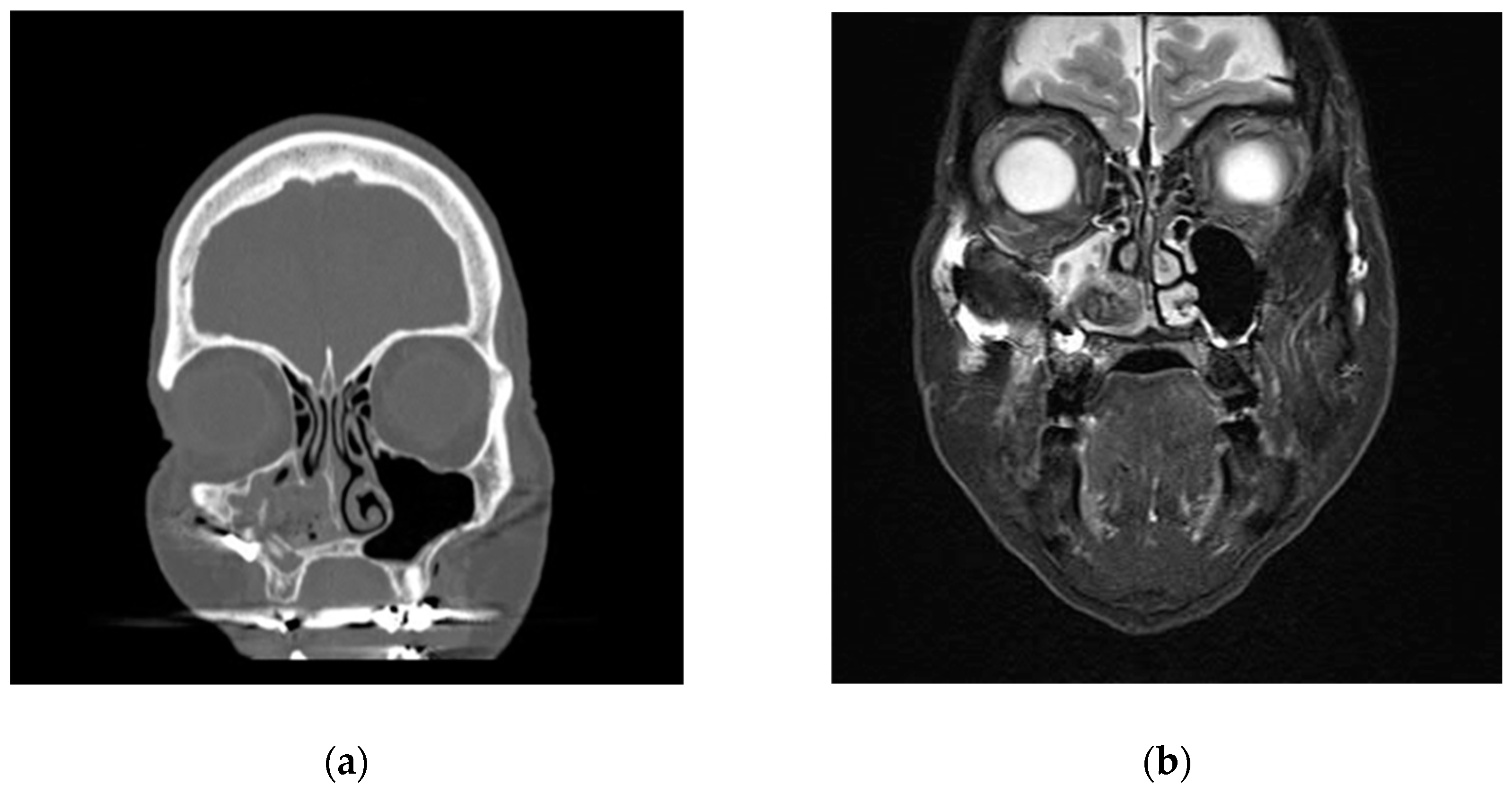
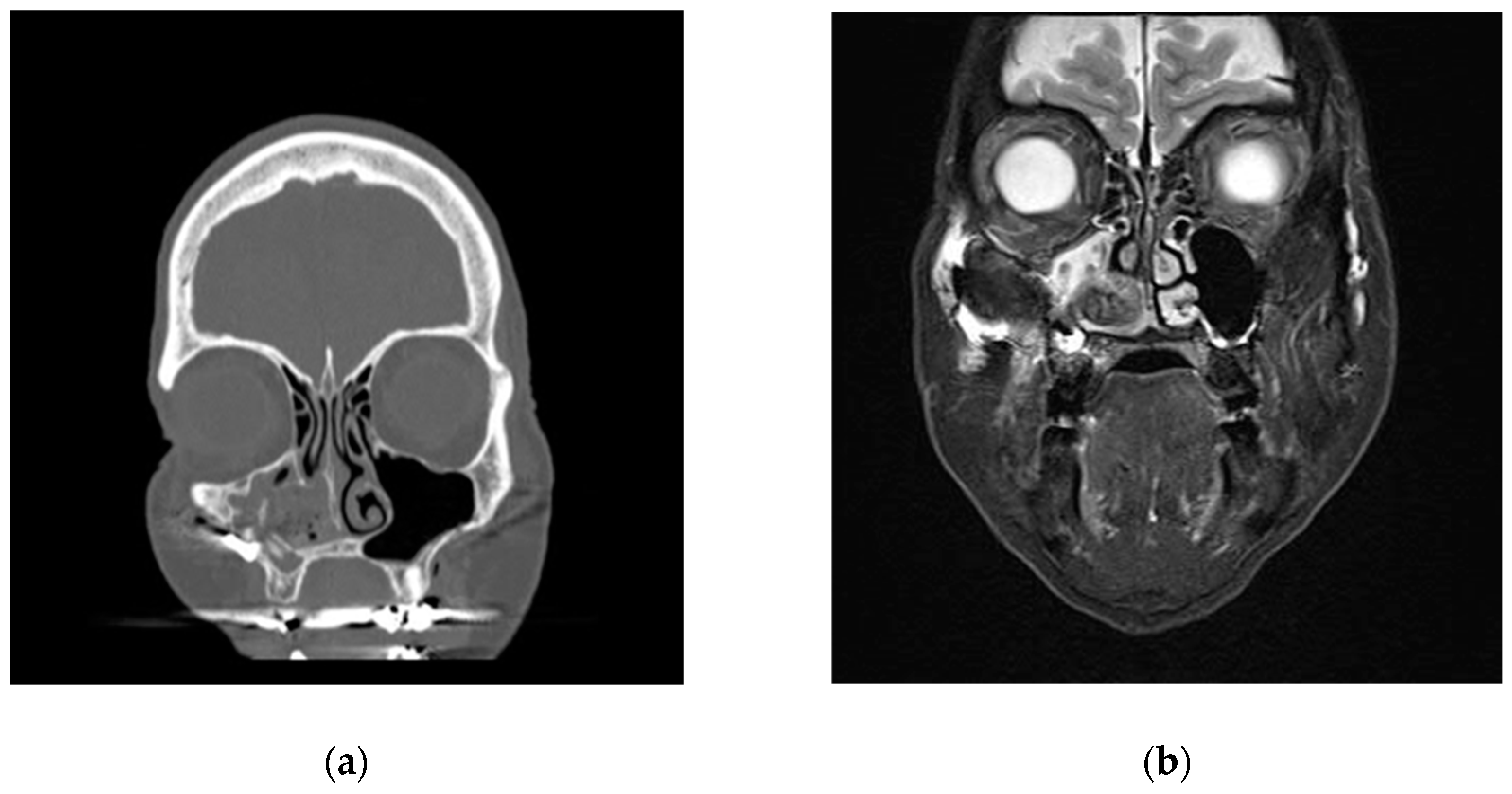
2. Case Presentation
3. Discussion
4. Conclusions
Author Contributions
Funding
Institutional Review Board Statement
Informed Consent Statement
Data Availability Statement
Conflicts of Interest
References
- Raz, E.; Win, W.; Hagiwara, M.; Lui, Y.W.; Cohen, B.; Fatterpekar, G.M. Fungal Sinusitis. Neuroimaging Clin. N. Am. 2015, 25, 569–576. [Google Scholar] [CrossRef] [PubMed]
- Nicolai, P.; Lombardi, D.; Tomenzoli, D.; Villaret, A.B.; Piccioni, M.; Mensi, M.; Maroldi, R. Fungus Ball of the Paranasal Sinuses: Experience in 160 Patients Treated with Endoscopic Surgery. Laryngoscope 2009, 119, 2275–2279. [Google Scholar] [CrossRef] [PubMed]
- Liu, X.; Liu, C.; Wei, H.; He, S.; Dong, S.; Zhou, B.; Zhang, L.; Li, Y. A Retrospective Analysis of 1,717 Paranasal Sinus Fungus Ball Cases from 2008 to 2017. Laryngoscope 2020, 130, 75–79. [Google Scholar] [CrossRef]
- Lai, J.-C.; Lee, H.-S.; Chen, M.-K.; Tsai, Y.-L. Patient Satisfaction and Treatment Outcome of Fungus Ball Rhinosinusitis Treated by Functional Endoscopic Sinus Surgery. Eur. Arch. Otorhinolaryngol. 2011, 268, 227–230. [Google Scholar] [CrossRef] [PubMed]
- Reghunath, A.; Mittal, M.K.; Thukral, B.B.; Sinha, M. Approach to Sinonasal Masses: A Comprehensive Review. J. Head Neck Physicians Surg. 2022, 10, 14. [Google Scholar] [CrossRef]
- Akbulut, N.; Kurşun Çakmak, E.Ş.; Bayrak, S. Assessment of Maxillary Sinus Changes After Le Fort I Osteotomy Surgery. J. Craniofac. Surg. 2020, 31, e497–e501. [Google Scholar] [CrossRef]
- Eliason, M.J.; Schafer, J.; Archer, B.; Capra, G. The Impact on Nasal Septal Anatomy and Physiology Following Le Fort I Osteotomy for Orthognathic Surgery. J. Craniofac. Surg. 2021, 32, 277–281. [Google Scholar] [CrossRef] [PubMed]
- Mensi, M.; Piccioni, M.; Marsili, F.; Nicolai, P.; Sapelli, P.L.; Latronico, N. Risk of Maxillary Fungus Ball in Patients with Endodontic Treatment on Maxillary Teeth: A Case-Control Study. Oral Surg. Oral Med. Oral Pathol. Oral Radiol. Endod. 2007, 103, 433–436. [Google Scholar] [CrossRef]
- Tomazic, P.V.; Dostal, E.; Magyar, M.; Lang-Loidolt, D.; Wolf, A.; Koele, W.; Truschnegg, A.; Stammberger, H.; Payer, M. Potential Correlations of Dentogenic Factors to the Development of Clinically Verified Fungus Balls: A Retrospective Computed Tomography-Based Analysis. Laryngoscope 2016, 126, 39–43. [Google Scholar] [CrossRef] [PubMed]
- Abi-Fadel, F.; Smith, P.R.; Ayaz, A.; Sundaram, K. Paranasal Sinus Involvement in Metastatic Carcinoma. J. Neurol. Surg. Rep. 2012, 73, 57–59. [Google Scholar] [CrossRef] [PubMed][Green Version]
- Ma, C.; Ryan, M.W.; Marple, B.F.; Halderman, A.A. Fungal Sinusitis: A Spectrum of Disease. Int. Forum Allergy Rhinol. 2021, 11, 935–937. [Google Scholar] [CrossRef]
- Seo, Y.-J.; Kim, J.; Kim, K.; Lee, J.-G.; Kim, C.-H.; Yoon, J.-H. Radiologic Characteristics of Sinonasal Fungus Ball: An Analysis of 119 Cases. Acta Radiol. 2011, 52, 790–795. [Google Scholar] [CrossRef] [PubMed]
- Fadda, G.L.; Allevi, F.; Rosso, C.; Martino, F.; Pipolo, C.; Cavallo, G.; Felisati, G.; Saibene, A.M. Treatment of Paranasal Sinus Fungus Ball: A Systematic Review and Meta-Analysis. Ann. Otol. Rhinol. Laryngol. 2021, 130, 1302–1310. [Google Scholar] [CrossRef]
- Zhang, J.; Li, Y.; Lu, X.; Wang, X.; Zang, H.; Wang, T.; Zhou, B.; Zhang, L. Analysis of Fungal Ball Rhinosinusitis by Culturing Fungal Clumps under Endoscopic Surgery. Int. J. Clin. Exp. Med. 2015, 8, 5925–5930. [Google Scholar] [PubMed]
- COVID-19-Associated Rhino-Orbital Mucormycosis: Histological and Electron Microscopy Characteristics. Available online: https://www.mdpi.com/2075-4418/14/4/429 (accessed on 26 December 2024).


Disclaimer/Publisher’s Note: The statements, opinions and data contained in all publications are solely those of the individual author(s) and contributor(s) and not of MDPI and/or the editor(s). MDPI and/or the editor(s) disclaim responsibility for any injury to people or property resulting from any ideas, methods, instructions or products referred to in the content. |
© 2025 by the authors. Licensee MDPI, Basel, Switzerland. This article is an open access article distributed under the terms and conditions of the Creative Commons Attribution (CC BY) license (https://creativecommons.org/licenses/by/4.0/).
Share and Cite
Qu, Y.; Mecham, J.C.; Marino, M.J. Sinonasal Mass in the Setting of Prior Maxillofacial Surgery and Solid Organ Malignancy. Sinusitis 2025, 9, 2. https://doi.org/10.3390/sinusitis9010002
Qu Y, Mecham JC, Marino MJ. Sinonasal Mass in the Setting of Prior Maxillofacial Surgery and Solid Organ Malignancy. Sinusitis. 2025; 9(1):2. https://doi.org/10.3390/sinusitis9010002
Chicago/Turabian StyleQu, Yihuai, Jeffrey C. Mecham, and Michael J. Marino. 2025. "Sinonasal Mass in the Setting of Prior Maxillofacial Surgery and Solid Organ Malignancy" Sinusitis 9, no. 1: 2. https://doi.org/10.3390/sinusitis9010002
APA StyleQu, Y., Mecham, J. C., & Marino, M. J. (2025). Sinonasal Mass in the Setting of Prior Maxillofacial Surgery and Solid Organ Malignancy. Sinusitis, 9(1), 2. https://doi.org/10.3390/sinusitis9010002

