Sign in to use this feature.

Years

Between: -

Subjects

remove_circle_outline
remove_circle_outline
remove_circle_outline
remove_circle_outline
remove_circle_outline
remove_circle_outline
remove_circle_outline
remove_circle_outline

Journals

Article Types

Countries / Regions

Search Results (43)

Search Parameters:
Keywords = fungal rhinosinusitis

Order results
Result details
Results per page
Select all
Export citation of selected articles as:
13 pages, 509 KB  
Case Report
Severe Secondary Atrophic Rhinitis with Extensive Osteomyelitis Following COVID-19-Associated Necrotizing Rhinitis: A Case Report and Microbiological Analysis
by Anton Danylevych, Sofiya Tsolko, Iryna Tymechko, Olena Korniychuk and Yulian Konechnyi
Reports 2025, 8(4), 237; https://doi.org/10.3390/reports8040237 - 18 Nov 2025
Viewed by 364
Abstract
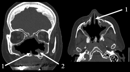
Background and Clinical Significance: Atrophic rhinitis (AR) is a rare, chronic inflammatory condition characterized by progressive atrophy of the nasal mucosa and underlying bone. The present report describes a case of severe secondary AR as a sequela of COVID-19-associated necrotizing rhinitis, highlighting [...] Read more.
Background and Clinical Significance: Atrophic rhinitis (AR) is a rare, chronic inflammatory condition characterized by progressive atrophy of the nasal mucosa and underlying bone. The present report describes a case of severe secondary AR as a sequela of COVID-19-associated necrotizing rhinitis, highlighting the diagnostic and management challenges posed by multi-drug resistant pathogens and extensive anatomical destruction. Case Presentation: A 75-year-old female developed progressive necrotizing rhinosinusitis with osteomyelitis following a COVID-19 infection. Computed tomography (CT) confirmed an osteolytic process and subsequent profound anatomical destruction, while histopathology ruled out invasive fungal disease. The resulting cavity was colonized by multi-drug resistant Pseudomonas aeruginosa and Staphylococcus aureus. Management and Outcome: Management focused on preventing crust formation through a structured “nasal rest” protocol, supplemented by cleansing nasal douching with a surfactant (baby soap) and mechanical crust removal. This treatment led to significant clinical improvement, with reduced crusting and complete resolution of ozena symptoms. Conclusions: This case illustrates the potential for SARS-CoV-2 infection to precipitate severe necrotizing sinonasal complications leading to secondary AR. It demonstrates the efficacy of a management strategy focused on mechanical cleansing and nasal rest, particularly when conventional antibiotic therapy is limited by extensive drug resistance. Full article
Show Figures

Figure 1

21 pages, 293 KB  
Review
Orbital Complications of Chronic Rhinosinusitis: A Contemporary Narrative Review of the Ophthalmologic Impact and Therapeutic Role of Functional Endoscopic Sinus Surgery
by Zacharias Kalentakis, Nikolaos Garifallos, Georgia Baxevani, Kyriaki Panagiotou, Evangelos Spanos, Ioannis Vlastos and Alexandre Karkas
Sinusitis 2025, 9(2), 18; https://doi.org/10.3390/sinusitis9020018 - 24 Sep 2025
Viewed by 2698
Abstract
Chronic rhinosinusitis (CRS) is a prevalent inflammatory condition of the paranasal sinuses. While the burden of CRS on quality of life and respiratory health is well recognized, its potential impact on orbital structures is an area of growing clinical attention. The orbit is [...] Read more.
Chronic rhinosinusitis (CRS) is a prevalent inflammatory condition of the paranasal sinuses. While the burden of CRS on quality of life and respiratory health is well recognized, its potential impact on orbital structures is an area of growing clinical attention. The orbit is separated from the ethmoid and frontal sinuses by only thin bony laminae. Chronic sinus disease can therefore easily extend beyond the sinuses to involve the orbit, leading to ophthalmologic complications that range from eyelid edema changes to severe, sight-threatening emergencies. Traditionally, orbital complications are more commonly associated with acute sinusitis (particularly in children), but contemporary evidence highlights that chronic rhinosinusitis and its sequelae—including mucoceles, chronic infections (bacterial or fungal), and protracted inflammation—can likewise produce significant orbital consequences. This narrative review synthesizes the current literature on the orbital complications of chronic rhinosinusitis, highlighting clinical, relevant anatomical/pathophysiological pathways, preoperative versus postoperative findings, and the therapeutic impact of FESS. Through this review, clinicians in both otolaryngology and ophthalmology can gain an updated understanding of this interdisciplinary topic, guiding prompt recognition and effective management of CRS patients with orbital involvement. Full article
7 pages, 731 KB  
Case Report
Nasal-Type Natural Killer/T-Cell Extranodal Lymphoma
by Mustapha Sellami, Sofiane Amazigh Akbal, Lycia Zaidi and Abderrahmane Akacha
Sinusitis 2025, 9(2), 12; https://doi.org/10.3390/sinusitis9020012 - 22 Jun 2025
Viewed by 1444
Abstract
Nasal-type extranodal natural killer/T-cell lymphoma (ENKTL) is a rare, aggressive non-Hodgkin lymphoma associated with the Epstein–Barr virus (EBV). It predominantly affects middle-aged men and is most common in East Asia and Latin America. Due to its nonspecific symptoms, including nasal obstruction and discharge, [...] Read more.
Nasal-type extranodal natural killer/T-cell lymphoma (ENKTL) is a rare, aggressive non-Hodgkin lymphoma associated with the Epstein–Barr virus (EBV). It predominantly affects middle-aged men and is most common in East Asia and Latin America. Due to its nonspecific symptoms, including nasal obstruction and discharge, ENKTL is frequently misdiagnosed as chronic rhinosinusitis or fungal infection, leading to delays in diagnosis and treatment. This case report presents a 46-year-old Algerian male with persistent nasal obstruction, foul-smelling nasal discharge, and progressive midfacial destruction. Multiple biopsies initially suggested chronic rhinosinusitis with fungal infection, delaying the definitive diagnosis. Subsequent deep biopsies confirmed ENKTL through histopathological and immunohistochemical analysis. ENKTL is characterized by its locally invasive nature, leading to necrotizing lesions and midfacial destruction. Histopathological confirmation through multiple well-targeted biopsies is crucial to prevent misdiagnosis. However, the prognosis remains poor, with a 5-year survival rate ranging from 20% to 65%. Full article
Show Figures

Figure 1

6 pages, 913 KB  
Case Report
Approach to a Unilateral Sinonasal Mass in a Pre-Adolescent Male: An Unusual Presentation of Allergic Fungal Rhinosinusitis
by Tessa K. Suttle, Johan Grobbelaar, Ursula Lesar, Razaan Davis, Leon Janse van Rensburg and Shaun E. Adam
Sinusitis 2025, 9(1), 10; https://doi.org/10.3390/sinusitis9010010 - 21 May 2025
Viewed by 914
Abstract
This case report presents the clinical evaluation of an 11-year-old boy with a unilateral polypoid nasal mass causing nasal obstruction, facial asymmetry, and intermittent epistaxis. His clinical picture raised concerns of a juvenile nasopharyngeal angiofibroma; however, further imaging and histopathological evaluation ultimately confirmed [...] Read more.
This case report presents the clinical evaluation of an 11-year-old boy with a unilateral polypoid nasal mass causing nasal obstruction, facial asymmetry, and intermittent epistaxis. His clinical picture raised concerns of a juvenile nasopharyngeal angiofibroma; however, further imaging and histopathological evaluation ultimately confirmed the diagnosis of allergic fungal rhinosinusitis (AFRS). Although this patient was younger in age than those traditionally associated with AFRS, classical features present on both computed tomography (CT) and magnetic resonance imaging (MRI) aided in his diagnosis and management. This case underscores the importance of a comprehensive diagnostic approach when evaluating unilateral sinonasal masses in paediatric patients, specifically in atypical presentations where the diagnosis of AFRS may not initially be considered. It highlights the critical role of imaging as a diagnostic tool, specifically CT and MRI, which were pivotal in the work-up and management of this case. Additionally, the need for caution during biopsies of sinonasal masses in children is emphasised, as there is potential for catastrophic bleeding in vascularised masses such as juvenile nasopharyngeal angiofibroma. This case demonstrates that AFRS can occur in younger children, highlighting the need to include this in the differential diagnosis, even in patients outside of the traditionally described age group. Full article
Show Figures

Figure 1

13 pages, 6684 KB  
Review
The Importance of MRI in the Early Diagnosis of Acute Invasive Fungal Rhinosinusitis
by François Voruz, Dionysios Neofytos, Christian Van Delden, Johannes Lobrinus, Claudio De Vito, Sonia Macario, Dimitrios Daskalou, Julien W. Hsieh, Minerva Becker and Basile N. Landis
Diagnostics 2025, 15(3), 311; https://doi.org/10.3390/diagnostics15030311 - 28 Jan 2025
Cited by 1 | Viewed by 3176
Abstract
Acute invasive fungal rhinosinusitis (AIFR) is a rare, severe, and life-threatening opportunistic infection associated with high mortality and morbidity. Rapid and accurate diagnosis and treatment are crucial for survival and effective disease management. Diagnosing AIFR is challenging because no single pathognomonic feature exists [...] Read more.
Acute invasive fungal rhinosinusitis (AIFR) is a rare, severe, and life-threatening opportunistic infection associated with high mortality and morbidity. Rapid and accurate diagnosis and treatment are crucial for survival and effective disease management. Diagnosing AIFR is challenging because no single pathognomonic feature exists other than surgical biopsy showing fungal angioinvasion and necrosis. This narrative review focuses on the diagnostic challenges and pitfalls, emphasizing the critical clinical value of magnetic resonance imaging (MRI) for early diagnosis of AIFR. It includes selected cases that illustrate the significance of MRI. When AIFR is suspected, clinical symptoms, nasal endoscopy, blood samples, and facial computed tomography all provide non-specific information. In contrast, MRI can identify signs of devitalized sinonasal mucosa consistent with AIFR. The absence of mucosal enhancement on T1-weighted images, combined with restricted diffusivity, are characteristic MRI features of AIFR. The cases presented underscore the usefulness of MRI in supporting clinical suspicion of AIFR and accurately determining its topography, thereby guiding early surgical biopsies and debridement. In suspected cases of AIFR, MRI serves as a valuable supplementary, non-invasive tool to help determine whether prompt surgical biopsy or debridement is necessary, thereby enhancing early diagnosis and improving survival rates. Therefore, the threshold for conducting an MRI in these cases should be low. Full article
(This article belongs to the Section Medical Imaging and Theranostics)
Show Figures

Figure 1

5 pages, 1322 KB  
Case Report
Sinonasal Mass in the Setting of Prior Maxillofacial Surgery and Solid Organ Malignancy
by Yihuai Qu, Jeffrey C. Mecham and Michael J. Marino
Sinusitis 2025, 9(1), 2; https://doi.org/10.3390/sinusitis9010002 - 25 Jan 2025
Viewed by 1199
Abstract
Fungal rhinosinusitis (FRS) can be classified into invasive and non-invasive forms, with the fungal ball (FB) representing a common non-invasive type with generally favorable outcomes post-operatively. The clinical presentation of FB can vary and be non-specific, and it is important to consider a [...] Read more.
Fungal rhinosinusitis (FRS) can be classified into invasive and non-invasive forms, with the fungal ball (FB) representing a common non-invasive type with generally favorable outcomes post-operatively. The clinical presentation of FB can vary and be non-specific, and it is important to consider a wide differential diagnosis for sinonasal masses, including malignancy. We present the case of a 74-year-old female presenting with a two-year history of nasal obstruction and drainage. She has a history of breast cancer and prior maxillomandibular surgery, and imaging showed a poorly defined mass in the right maxillary sinus with possible hemorrhagic and/or proteinaceous content. Rigid nasal endoscopy revealed a friable mass, and endoscopic sinus surgery findings were consistent with FB. This case exemplifies the need to consider a broad set of differential diagnoses when evaluating sinonasal masses, especially if the patient has a prior malignancy or maxillomandibular surgical history, including FB and metastases to the paranasal sinuses. Given the presence of non-specific symptoms, it is important to consider early imaging for patients with distorted anatomy and a history of malignancy. Endoscopic sinus surgery, with high success rates, is the gold-standard treatment for FB. Full article
Show Figures

Figure 1

12 pages, 1040 KB  
Review
Changes in the Microbiome During Chronic Rhinosinusitis
by Mateusz de Mezer, Nina Chalama, Cheyanna Bratt, Melanie Kiebalo, Natalia Dolata, Jan Rogaliński and Małgorzata Leszczyńska
Pathogens 2025, 14(1), 14; https://doi.org/10.3390/pathogens14010014 - 30 Dec 2024
Cited by 2 | Viewed by 3543
Abstract
Chronic rhinosinusitis (CRS) is a common inflammatory disease of the paranasal sinuses with a yet unknown etiology. As studies continue to elucidate the disease’s heterogeneity inflammatory profile and presentation, there is a growing interest in the influence of the nasal microbiome on disease [...] Read more.
Chronic rhinosinusitis (CRS) is a common inflammatory disease of the paranasal sinuses with a yet unknown etiology. As studies continue to elucidate the disease’s heterogeneity inflammatory profile and presentation, there is a growing interest in the influence of the nasal microbiome on disease pathogenesis and chronicity. The sinus microbiota appear dominated by the Staphylococcus and Corynebacterium genera; known upper airway pathogens, such as Haemophilus influenza, are present in the upper airways of healthy individuals, though at relatively lower abundances than in CRS patients. Viral culprits may induce an unhindered local immune response that contributes to the recurrence and chronicity of inverted papillomas—benign mucosal lesions with the propensity for local destruction and malignant transformation that can be found in patients with a history of nasal infection. The persistence of inverted papillomas warrants investigation into their pathogenesis and how they may contribute to a nasal landscape promoting the chronicity of CRS. Further investigation is needed to uncover the interplay between resident microbiota and viral, fungal, and immunological influence. Discerning between ‘healthy’ and ‘diseased’ sinonasal microbiomes and ‘keystone’ species could shed light on CRS etiology and provide the opportunity for CRS treatment tailored to an individual’s microbiome. This review aims to explore the interrelation of microbial residents in the pathogenesis and chronicity of the diseased sinonasal environment. Full article
Show Figures

Figure 1

13 pages, 246 KB  
Entry
Ears, Nose, and Throat in Leukemias and Lymphomas
by Pinelopi Samara, Michail Athanasopoulos and Ioannis Athanasopoulos
Encyclopedia 2024, 4(4), 1891-1903; https://doi.org/10.3390/encyclopedia4040123 - 18 Dec 2024
Viewed by 5034
Definition
Leukemias and lymphomas, encompassing a spectrum of hematologic malignancies, often exhibit manifestations in various tissues and organs, including the ears, nose, and throat (ENT) region, extending beyond the typical sites of bone marrow and lymph nodes. This manuscript explores these interactions, considering disease-related [...] Read more.
Leukemias and lymphomas, encompassing a spectrum of hematologic malignancies, often exhibit manifestations in various tissues and organs, including the ears, nose, and throat (ENT) region, extending beyond the typical sites of bone marrow and lymph nodes. This manuscript explores these interactions, considering disease-related symptoms and treatment effects. ENT symptoms, such as otalgia, hearing loss, and nasal obstruction, may arise from direct infiltration or treatment complications, with chemotherapy-induced ototoxicity being particularly characteristic. Furthermore, immunotherapy complications, including cytokine release syndrome and mucosal irritation, can also contribute to ENT symptoms. Additionally, targeted therapy and radiotherapy can lead to mucosal dryness, dysphonia, and radiation-induced otitis media. Patients with hematologic malignancies are especially vulnerable to various ENT infections, including bacterial, viral, and fungal infections, due to compromised immunity resulting from both the disease and its treatments. Conditions such as rhinosinusitis, otitis media, and pharyngitis pose significant management challenges. Moreover, patients undergoing hematopoietic stem cell transplantation (HSCT) face unique ENT considerations, including mucositis, opportunistic infections, and graft-versus-host disease in cases of allogeneic HSCT. These patients require specialized pre-transplant evaluations, meticulous post-transplant surveillance, and tailored assistance to mitigate complications. This manuscript underscores the importance of a multidisciplinary approach that integrates diagnostics, pharmacological interventions, and supportive care to address both disease-related and treatment-induced ENT manifestations. Further research is needed to refine management strategies and improve outcomes in this complex clinical population. Full article
(This article belongs to the Section Medicine & Pharmacology)
Show Figures

Graphical abstract

10 pages, 3114 KB  
Case Report
Fungal Abscess of Anterior Nasal Septum Complicating Maxillary Sinus Fungal Ball Rhinosinusitis Caused by Aspergillus flavus: Case Report and Review of Literature
by Shih-Wei Yang, Cheng-Ming Luo and Tzu-Chien Cheng
J. Fungi 2024, 10(7), 497; https://doi.org/10.3390/jof10070497 - 18 Jul 2024
Cited by 2 | Viewed by 4906
Abstract
Anterior nasal septum abscess is not a rare clinical disease entity. In terms of the etiologies of the disease, bacteria are obviously more common than fungi. Fungal culture and pathological examination are essential for diagnosis of a fungal abscess of the anterior nasal [...] Read more.
Anterior nasal septum abscess is not a rare clinical disease entity. In terms of the etiologies of the disease, bacteria are obviously more common than fungi. Fungal culture and pathological examination are essential for diagnosis of a fungal abscess of the anterior nasal septum and the basis of prescription of antifungal agents. We report a 57-year-old male patient who came to our outpatient clinic due to refractory nasal congestion for 3 weeks despite receiving treatments by a local medical doctor. Radical surgery with postoperative adjuvant radiotherapy for the right buccal cancer was carried out 14 years ago. The patient has diabetes mellitus and the blood sugar level has been well controlled by oral hypoglycemic agents over the past several years. Computed tomography revealed an abscess in the anterior septum along with rhinosinusitis. Incision and drainage of the nasal septum abscess and functional endoscopic sinus surgery were carried out. Fungal culture and pathological examination confirmed a fungal abscess in the anterior nasal septum and fungal ball rhinosinusitis. Antibiotics and an antifungal agent were given, and the postoperative course was uneventful. A dialectical argument was made regarding the causal relationship between the fungal abscess of the anterior nasal septum and maxillary fungal ball sinusitis. A literature review of the previous case reports was carried out to elucidate the immune status of patients of this disease. In order to reach a rapid establishment of a fungal abscess of the anterior nasal septum, clinicians should keep this disease in mind and remain vigilant. An immuno-compromised status is more commonly found in patients with fungal abscess of the anterior nasal septum and is another important characteristic of this disease. Prompt diagnosis and effective treatment are equally important in patients with lower immune status of this kind, and the latter is based on the former. Full article
Show Figures

Figure 1

7 pages, 208 KB  
Article
Contemporary Update on the Microbiology of Paranasal Sinusitis
by Margaret B. Mitchell, Alan D. Workman, Richard Lu and Neil Bhattacharyya
Sinusitis 2024, 8(2), 13-19; https://doi.org/10.3390/sinusitis8020003 - 16 Jul 2024
Viewed by 2691
Abstract
Background: Sinusitis, whether acute or chronic, is likely due at least in part to disruptions in the microbiota of the paranasal sinuses. Sinus cultures are often employed to guide medical treatment. Objective: To quantify the contemporary microbiology of the paranasal sinuses and better [...] Read more.
Background: Sinusitis, whether acute or chronic, is likely due at least in part to disruptions in the microbiota of the paranasal sinuses. Sinus cultures are often employed to guide medical treatment. Objective: To quantify the contemporary microbiology of the paranasal sinuses and better understand the utility of paranasal sinus cultures. Methods: We identified patients from 2018 to 2019 with sinus cultures taken by an otolaryngologist in the outpatient setting in our healthcare system with a concurrent diagnosis of acute or chronic rhinosinusitis. These cultures were analyzed based on their culture type and result. The most commonly isolated bacteria were further analyzed by species; Staphylococcus resistance patterns were analyzed as well. Results: A total of 2302 culture samples were collected: 2012 (87%) bacterial, 287 (13%) fungal, and 3 (0.1%) mycobacterial cultures. The results of more than half (1142, 57%) of these bacterial cultures were positive for a named genus, while those of 592 (29%) were positive for normal sinus flora and 16 (0.8%) for normal oral flora, and those of 183 (9%) showed no growth. The results of another 79 (4%) bacterial cultures were positive for unnamed bacteria, which were not further classified (e.g., Gram-negative rods). Of the positive bacterial cultures with named genera, the most common genera identified was Staphylococcus (383, 34%). Of these, the most common species of Staphylococcus was S. aureus (311, 81%), 42 of which (14%) showed methicillin resistance (MRSA). Of the fungal cultures, 265 (92%) resulted in no growth, and all three mycobacterial cultures showed no growth. Conclusions: In contrast to fungal cultures, the majority (57%) of sinus bacterial cultures showed positive results, with the identification of a named genus, highlighting the potential utility of this assay in guiding medical therapy. Full article
11 pages, 1425 KB  
Article
Aspergillus Sinusitis: Risk Factors and Phenotyping
by Lena Hafrén, Riitta Saarinen, Rane Kurimo, Milla Viljanen and Marie Lundberg
J. Clin. Med. 2024, 13(9), 2579; https://doi.org/10.3390/jcm13092579 - 27 Apr 2024
Cited by 6 | Viewed by 3399
Abstract
Background: Aspergillus can cause fungal rhinosinusitis (FRS). We aimed to identify risk factors for sinonasal Aspergillus disease. Methods: Patients with a positive sinonasal mycological culture for Aspergillus species diagnosed in our hospital located in a continental climate were included in the 9-year [...] Read more.
Background: Aspergillus can cause fungal rhinosinusitis (FRS). We aimed to identify risk factors for sinonasal Aspergillus disease. Methods: Patients with a positive sinonasal mycological culture for Aspergillus species diagnosed in our hospital located in a continental climate were included in the 9-year retrospective study. Results: Of the 86 patients, 3 had invasive FRS (IFRS), 51 had fungal ball (FB) disease, and 32 had chronic rhinosinusitis with fungus (CFRS). In the IFRS group, all patients had a malignancy and were immunocompromised. Allergies, allergic rhinitis, asthma, nasal polyps, and the use of inhaled and nasal steroids were more common in the CFRS group, and IgE levels were greater than those in the FB and IRFS groups (p < 0.05). Conclusion: FB disease is a relatively symptom-free single-sinus disease among elderly individuals, and IFRS is dominant among immunocompromised patients. We discovered a third patient group, predominantly with nasal polyps, atopy, asthma, and elevated blood IgE and eosinophils, that did not fulfill the allergic FRS (AFRS) criteria. It is possible that a less fulminant category of underdiagnosed AFRS exists in cold climates. Treatment with local debridement is usually sufficient for FRS, apart from IFRS, and relapses are not common in cold climates. Full article
(This article belongs to the Section Otolaryngology)
Show Figures

Figure 1

12 pages, 1444 KB  
Article
Clinical Outcomes of Severe Rhinosinusitis Complicated with Cavernous Sinus Syndrome
by Jin-Yi Lin, Chien-Lin Liu, Zheng-Yan Dai, Yu-Ting Li, Yung-An Tsou, Chia-Der Lin, Chih-Jaan Tai and Liang-Chun Shih
J. Clin. Med. 2024, 13(8), 2420; https://doi.org/10.3390/jcm13082420 - 21 Apr 2024
Cited by 1 | Viewed by 3221
Abstract
Background: Various diseases involving the cavernous sinus can cause a condition called cavernous sinus syndrome (CSS), which is characterized by ophthalmoplegia or sensory deficits over the face resulting from the compression effect of internal structure. While tumor compression is the most reported cause [...] Read more.
Background: Various diseases involving the cavernous sinus can cause a condition called cavernous sinus syndrome (CSS), which is characterized by ophthalmoplegia or sensory deficits over the face resulting from the compression effect of internal structure. While tumor compression is the most reported cause of CSS, statistical data on CSS caused by infections are limited. Its risk factors, treatment methods, and clinical outcomes are not well-documented. Methods: In this retrospective study, we reviewed the data of patients admitted to a tertiary medical center from 2015 to 2022 with a diagnosis of acute and chronic sinusitis and at least one diagnostic code for CSS symptoms. We manually reviewed whether patients were involved in two or more of the following cranial nerves (CN): CN III, CN IV, CN V, or CN VI, or at least one of these nerves with a neuroimaging-confirmed lesion in the cavernous sinus. Results: Nine patients were diagnosed with rhinosinusitis-related CSS. The most common comorbidity was type 2 diabetes, and the most common clinical manifestations were diplopia and blurred vision. The sphenoid sinus was the most affected sinus. One patient expired due to a severe brain abscess infection without surgery. The remaining patients underwent functional endoscopic sinus surgery, and 50% of the pathology reports indicated fungal infections. Staphylococcus spp. was the most cultured bacteria, and Amoxycillin/Clavulanate was the most used antibiotic. Only four patients had total recovery during the follow-up one year later. Conclusions: CSS is a rare but serious complication of rhinosinusitis. Patients with diabetes and the elderly may be at a higher risk for this complication. Even after treatment, some patients may still have neurological symptoms. Full article
(This article belongs to the Section Otolaryngology)
Show Figures

Figure 1

13 pages, 268 KB  
Review
Biologic Therapies across Nasal Polyp Subtypes
by Kody G. Bolk and Sarah K. Wise
J. Pers. Med. 2024, 14(4), 432; https://doi.org/10.3390/jpm14040432 - 19 Apr 2024
Cited by 3 | Viewed by 4259
Abstract
Chronic rhinosinusitis with nasal polyposis is a common inflammatory condition, with subtypes like aspirin-exacerbated respiratory disease, allergic fungal rhinosinusitis, and central compartment atopic disease sharing a common type 2 inflammatory pathway. Respiratory biologic therapies have been developed that target type 2 inflammation. In [...] Read more.
Chronic rhinosinusitis with nasal polyposis is a common inflammatory condition, with subtypes like aspirin-exacerbated respiratory disease, allergic fungal rhinosinusitis, and central compartment atopic disease sharing a common type 2 inflammatory pathway. Respiratory biologic therapies have been developed that target type 2 inflammation. In this article, we discuss the use of respiratory biologic therapies for nasal polyposis in general, as well as within the various subtypes of nasal polyps. Further, we discuss future roles of novel biologic therapies targeting type 2 inflammation in nasal polyposis. Full article
(This article belongs to the Special Issue Personalized Diagnostics and Therapeutics for Head and Neck Surgery)
12 pages, 2082 KB  
Article
Prelacrimal Recess Approach in Unilateral Maxillary Sinus Lesions: What Is the Impact and Efficacy?
by Mohamed Abdulla, Osama Refaat, Mohamed Alahmer, Ayman Yehia, Hesham Abdelsalam, Khaled Abdelaal and Mohamed Shams Eldin
Medicina 2024, 60(2), 222; https://doi.org/10.3390/medicina60020222 - 27 Jan 2024
Cited by 5 | Viewed by 4754
Abstract
Background and Objectives: Chronic sinusitis is a commonly encountered diagnosis for otorhinolaryngologists. The profound negative effect of rhinosinusitis on patients’ quality of life is frequently overlooked, and surgical lines of treatment are numerous. The aim of the study was to assess the [...] Read more.
Background and Objectives: Chronic sinusitis is a commonly encountered diagnosis for otorhinolaryngologists. The profound negative effect of rhinosinusitis on patients’ quality of life is frequently overlooked, and surgical lines of treatment are numerous. The aim of the study was to assess the comparative efficacy of endoscopic middle meatal antrostomy with the endoscopic prelacrimal recess approach, combined with middle meatal antrostomy in the treatment of unilateral chronic maxillary sinus lesion. Materials and Methods: Thirty patients with unilateral chronic maxillary sinus lesions enrolled in the study at Alahsa hospital. Patients were divided into two groups: 15 treated through a middle meatal antrostomy and 15 treated via a combined middle meatal antrostomy and prelacrimal recess approach. Demographic and clinical information of the patients, including the medical history, CT scan findings, diagnosis, recurrence, and complications, were gathered and analyzed. Pre- and postoperative clinical findings were graded utilizing the Lund–Kennedy Endoscopic Scoring System. Results: The enrolled patients varied in age from 18 to 56, with 60% being male and 40% being female. Antrochoanal polyp, maxillary sinus mucocele, and unilateral allergic fungal sinusitis were among the pathological diagnoses. The follow-up period averaged 14.3 months. Following surgery, two patients in Group II encountered nasal discomfort, which included synechia and epiphora. The success rate for preserving a patient’s disease-free condition was 86.7%. A statistically significant difference in disease-free incidence was observed among the patients in group II. In group I, recurrence was identified in 26.7% of the patients. The postoperative symptoms diminished considerably, and the VAS score was reduced substantially. In Group II patients, however, there was no significant difference in scarring. Clinically significant differences were observed in the mean total Lund–Kennedy Endoscopic scores when compared to their preoperative values. Conclusions: Achieving endoscopic access to the sinus’s anterior, lateral, inferior, and inferomedial regions is facilitated by operating via the prelacrimal recess, which is the most advantageous approach. This approach facilitates rapid mucosal healing by maintaining the integrity of the nasolacrimal duct and mucosal covering. The specific pathology, surgical objectives, surgeon expertise, and equipment accessibility influence the choice of endoscopic surgical technique. Full article
Show Figures

Graphical abstract

13 pages, 1492 KB  
Article
Aspergillus Enhances Eosinophil and Neutrophil Extracellular DNA Trap Formation in Chronic Rhinosinusitis
by Seung-Heon Shin, Mi-Kyung Ye, Dong-Won Lee, Mi-Hyun Choi and Sang-Yen Geum
Int. J. Mol. Sci. 2023, 24(24), 17264; https://doi.org/10.3390/ijms242417264 - 8 Dec 2023
Cited by 4 | Viewed by 2226
Abstract
Chronic rhinosinusitis (CRS) is characterized by inflammatory cell infiltration in the sinonasal mucosa. Eosinophil and neutrophil extracellular traps (EETs and NETs, respectively) are prominently found in CRS. This study aimed to investigate the effect of airborne fungi, Alternaria alternata and Aspergillus fumigatus, [...] Read more.
Chronic rhinosinusitis (CRS) is characterized by inflammatory cell infiltration in the sinonasal mucosa. Eosinophil and neutrophil extracellular traps (EETs and NETs, respectively) are prominently found in CRS. This study aimed to investigate the effect of airborne fungi, Alternaria alternata and Aspergillus fumigatus, on EET and NET formation. Nasal epithelial cells, eosinophils, and neutrophils were isolated from eosinophilic CRS (ECRS), non-ECRS (NECRS), and healthy control. We determined eosinophil and neutrophil transepithelial migration after fungal treatment. We then determined the release of EETs and NETs by fungi using Sytox Green staining and determined the role of reactive oxygen species (ROS) using ROS inhibitors. We identified more abundant EETs and NETs in ECRS than in NECRS. A. alternata and A. fumigatus enhanced eosinophil and neutrophil transepithelial migration. A. fumigatus strongly induced EET and NET formation in CRS and, simultaneously, suppressed fungal metabolic activity. EET formation in CRS is associated with nicotinamide adenine dinucleotide phosphate (NADPH)–oxidase and NET formation with NADPH–oxidase and mitochondrial ROS. A. fumigatus, but not A. alternata, induced EET and NET formation, and peripheral blood eosinophils and neutrophils exhibited different immune responses against A. fumigatus following the inflammatory status of the host. Aspergillus-fumigatus-induced EET and NET formation plays a crucial role in CRS pathogenesis. Full article
(This article belongs to the Special Issue Chronic Rhinosinusitis: Aetiology, Immunology and Treatment 2.0)
Show Figures

Figure 1

Back to TopTop