Next Article in Journal / Special Issue
Erythrocyte, Whole Blood, Plasma, and Blubber Fatty Acid Profiles in Oceanaria-Based versus Wild Alaskan Belugas (Delphinapterus leucas)
Previous Article in Journal
Effectiveness of Moorings Constructed from Rope in Reducing Impacts to Seagrass
Previous Article in Special Issue
Divergent Gene Expression Profiles in Alaskan Sea Otters: An Indicator of Chronic Domoic Acid Exposure?
 
 
Font Type:
Arial Georgia Verdana
Font Size:
Aa Aa Aa
Line Spacing:
Column Width:
Background:
Article

Strandings in St Vincent Gulf Bioregion, South Australia: 12-Year Study Monitors Biology and Pathology of Cetaceans

1
South Australian Museum, Adelaide, SA 5000, Australia
2
Adelaide Dental School, University of Adelaide, Adelaide, SA 5000, Australia
*
Author to whom correspondence should be addressed.
Oceans 2022, 3(4), 439-463; https://doi.org/10.3390/oceans3040030
Submission received: 10 May 2022 / Revised: 9 September 2022 / Accepted: 19 September 2022 / Published: 26 September 2022
(This article belongs to the Special Issue Marine Mammal Health)

Abstract

The semi-enclosed environment of the St Vincent Gulf Bioregion and its fauna are impacted by many human activities. Long-term monitoring of cetaceans is vital. Records of collected specimens (173) and those not examined by the South Australian Museum (98 non-specimens) from 2009–2020 were analyzed. Necropsies were carried out on most carcasses using gross, histopathological, and diagnostic assessment of pathogens, organs, and skin lesions. The relative age and circumstance of death were assigned. Baleen whales (five species) and odontocetes (eight species) were studied. Indo-Pacific bottlenose dolphins (Tursiops aduncus) and common dolphins (Delphinus delphis) were frequently recorded and analyzed in detail. Anthropogenic cases were prevalent (21%). Many dolphins (62%) were immature males. Disease (73%) was the most frequently recorded circumstance of death. The most common pathological change was inflammatory disease, including infectious pneumonia. In Indo-Pacific bottlenose dolphins, infectious disease was more prevalent in the greater St Vincent Gulf Bioregion than in the Adelaide Dolphin Sanctuary. Microbe testing confirmed 32 species of bacteria, 2 fungi, and 1 virus. Nematodes and trematodes were recorded throughout the study, sometimes in association with microbes. Toxoplasma gondii was observed in an Indo-Pacific bottlenose dolphin. Severe traumatic injury was recorded in many dolphins, including anthropogenic cases. A tumor (leiomyoma) was described from a single common dolphin. This study provides an important baseline for the future monitoring of emerging infectious and chronic diseases, and anthropogenic threats in the region.

1. Introduction

The marine environment has been substantially altered by human activities, with consequent adverse effects on wildlife, including cetaceans. Cetaceans are long-lived, near the top of the food chain, and are sentinels to oceanic change [1]. Monitoring them is, therefore, important. Mortalities, pathology, and disease are at the core of a comprehensive monitoring program, and there has been an increased effort in these fields since about 1990 [2]. When studying the pathology of wild cetaceans, researchers have usually been limited to opportunistically collected, beach-washed carcasses [3,4] and sometimes specimens from fisheries bycatch [5,6,7,8]. Both data sources have limitations and benefits: cetaceans obtained from fisheries are likely to be a more ‘natural’ part of the population because they have died as a result of human activities, not disease, and are usually in a fresh condition. Beach-washed animals, on the other hand, tend to be more decomposed and often die as a result of disease [9].
Studies on the mortality and pathology of stranded cetaceans are available for many parts of the world [3,9,10,11]. Some have reported on mass strandings [11] and anthropogenically mediated mortalities [3,9,12,13]. Pathological changes in stranded cetaceans have been the subject of many papers. For example, bacteria and fungi of marine mammals were reviewed by Higgins [14] and prominent emerging infectious diseases worldwide were reviewed by Van Bressem et al. [15]. The latter concluded that inshore and estuarine cetaceans were more at risk than those living offshore.
Monitoring cetacean mortalities in Australia has primarily been carried out on a state-by-state basis, with most studies documenting species and distribution, rather than cause of death and the associated pathological changes [16,17]. Within Australia, South Australia (SA) has the most comprehensive stranding record, and this includes information on the circumstances associated with events [16,18,19]. Separating the ‘cause’ from the ‘circumstance’ of death was an important advancement in documenting cetacean events in SA [19] because it distinguished the primary cause of death (e.g., exsanguination/aspiration) from the circumstances surrounding the event (e.g., entanglement). In the SA classification, pathology results obtained during necropsy were combined with observations by collectors and others present at an event, thus providing a thorough picture of a stranding. Publications describing injuries and pathological changes related to human-induced marine mammal mortalities [20,21] provided an important baseline for assignment to anthropogenic circumstances. Knowing the circumstance of death for cetaceans is critical for conserving species and populations, because management agencies require such data to monitor trends in mortality. This is especially true for mitigating anthropogenically mediated mortalities, such as entanglements and illegal killings. For example, in a previous study, 42% of cetacean mortalities with known circumstances of death in SA were classified as anthropogenic [16].
Documenting cetacean strandings and mortalities in SA has been greatly facilitated by the setting up of an intense program of necropsy and state-wide reporting established in about 1990. This yielded data for hundreds of cetaceans (primarily dolphins), including those inhabiting the St Vincent Gulf Bioregion (SVG). A series of publications on the pathology of dolphins in SA are available, including lung nematodes associated with severe pathological lesions [22], types and prevalence of skeletal pathologies [23], and forensic investigations [24]. An unusual mortality event (UME) occurred in the SVG during 2013, which primarily involved Tursiops aduncus (Indo-Pacific bottlenose dolphin) and cetacean morbillivirus [25].
The SVG is of special interest with regard to cetacean mortalities, because it is a semi-enclosed inverse estuary [26] with restricted flushing, and the largest city in the State is located on its eastern shore (Figure 1). These characteristics may lead to high levels of toxic contaminants in resident dolphins [27]. There is a potential flow-on effect on the health of dolphins, particularly the Indo-Pacific bottlenose dolphin, because it feeds on benthic organisms [28], which accumulate toxins. As a result of concerns for the conservation of this species living in an urban environment, the Adelaide Dolphin Sanctuary (ADS) was created in the Adelaide metropolitan area in 2005. A study on dolphin mortalities in ADS [29] during 1987–2013 found that disease was the most frequently recorded circumstance of death. Increased funding was made available in 2009 to intensify the study of cetacean mortalities in the SVG, including the ADS.
The aim of this study was to identify trends in the mortalities of SVG cetaceans, including life history and pathology, and compare these with previous studies conducted in SA and elsewhere. Emphasis was placed on dolphins because they made up a large proportion of the records. All records of strandings and other events were included, although necropsied carcasses yielded the most comprehensive data. Major trends in pathology and the circumstance of death of dolphins were documented, including infectious diseases and pathogens associated with them, as well as non-infectious diseases.

2. Materials and Methods

2.1. Study Area

The St Vincent Gulf Bioregion [30] is a large, shallow inverse estuary characterized by limited water circulation, high salinity, and high water temperature [26]. The Investigator Strait and Backstairs Passage are included in the bioregion (Figure 1) and are more influenced by oceanic conditions than the Gulf sensu stricto. The ADS is adjacent to the largest SA city, Adelaide (1.5 million people), and is included in the study area.
The cetacean fauna of SA includes oceanic and coastal species [31]. Indo-Pacific bottlenose dolphins and common dolphins (Delphinus delphis) are resident in the SVG, while other species are likely to be occasional visitors [32]. Since the common bottlenose dolphin (Tursiops truncatus) is very rarely recorded in the SVG, we have assumed that non-specimen records of bottlenose dolphins (i.e., identified using only photos and/or information) were the Indo-Pacific bottlenose dolphin.

2.2. Cetacean Records

The records used in this study included live-stranded animals, beach-washed carcasses, entanglements (carcasses retrieved from fishing gear), as well as a small number of live animals seen or released from entanglement in fishing gear. Records were documented for the period 2009–2020 and included both collected carcasses later archived in the SA Museum (i.e., specimens) and records based on only information and photographs (non-specimens). Information on 271 individuals was analyzed, constituting 173 specimens and 98 non-specimen records (Table A1). Of the retrieved carcasses, partial or full necropsy was conducted on 161 animals. Complete or almost complete skeletons were prepared from 105 specimens. Taxonomic identification was confirmed for specimens by examining the skull and/or postcranium, and for non-specimens using reported descriptions and photographs. Non-specimens provided no information on pathology, but were included in annual counts and the geographic distribution of events. The circumstance of death [19] was assigned to all records, but was more precise in the case of the carcasses that were collected and necropsied. The criteria used for assignment to a circumstance of death category are found in Table A2. In the absence of necropsy data, the assignment to a circumstance of death for non-specimens was limited to four anthropogenic circumstances (Intentional Killing, Entanglement, Probable Entanglement, and Other Unintentional), Live Stranded, and Unknown. The circumstance of death was more precise in the case of fresh carcasses that were collected and necropsied. Collected specimens were assigned to an anthropogenic circumstance (see above), Disease (cases where the pathology results suggested that the disease was considered to be primarily responsible for the death), and Other Natural. Live stranded animals that were necropsied were assigned to Disease, Other Natural, or Unknown.
A relative age class (neonate, calf, juvenile, subadult, and adult) was assigned to almost all collected dolphins after assessing external development (e.g., fetal folds, dorsal fin erection, and umbilicus healing), physical maturity of the skeleton, and sexual maturity of reproductive organs [25,33]. Subadults and adults were sexually mature, but only adults were physically mature. The assignment of relative age to non-dolphins was limited to ‘juvenile’ (fully grown) and ‘adult’ (fully or near fully grown) based on body length, or in a few cases, ‘neonate’ if features of newborns were observed.

2.3. Necropsy and Pathology Examination

Standard necropsy procedures were performed [34]. The total body length (tip of upper jaw to the notch in the tail fluke) was recorded. Reproductive status was assessed for females by the gross examination of ovaries, uteri, and mammary glands, and for males by the gross and/or histological examination of testes and epididymides. Carcass decomposition was rated according to the system developed by Geraci and Lounsbury [34], which describes gross external and internal signs of autolysis. For carcasses necropsied in this study, 123 were assigned to code 2 (i.e., fresh), 28 to code 3, and 10 to code 4.
Before incision, carcasses were examined for skin/external surface lesions and marks, and were assigned to pre- or post-mortem origin by excising a piece of skin containing the area suspected to be a lesion to identify as pre- or post-mortem in origin. Skeletal muscles and facia were examined for hemorrhage, and the position, size, and severity of these injuries were recorded. Subcutaneous tissue was examined for any other unusual findings, including parasites. Representative tissue samples from the major organ systems, as well as detected lesions, were collected and preserved in a variety of ways: 10% neutral buffered formalin, frozen, or 70% ethanol. Brain examinations were performed on a limited number of cetaceans, because the priority of the South Australian Museum was to preserve the skull in its complete form. Therefore, the brains of only nine dolphins were extracted and examined whole, but for the remaining cetaceans, tissue samples were collected from the junction of the spinal cord and cerebellum. Gastrointestinal tracts were firstly examined (by a diet specialist) for their contents and later for lesions by IT.
Representative tissues were routinely collected from carcasses with decomposition codes of 2 and 3: kidney, liver, lung, heart, adrenals, mesenteric lymph node, spleen, and spinal cord. Additional samples were taken when required, including the normal tissue adjacent to a lesion. Formalin-fixed tissues were trimmed to a thickness of 1 cm and inserted into labeled histology cassettes before transporting them to the histology laboratory, where they underwent routine preparation (6 μm section thickness) and hematoxylin and eosin staining. If further investigation was required, special staining was performed (i.e., Periodic Acid Schiff (PAS), Gram, and Ziehl–Nelson). In the single case of a suspected tumor, Vimentin and smooth muscle actin (SMA) tests were performed to confirm diagnosis. Traumatic subcutaneous tissue hemorrhage was illustrated on outline drawings for each animal and was confirmed as pre-mortem by biological reactions, such as edema.
Carcasses that arrived unfrozen were sampled for bacterial and fungal infections by swabbing the blowhole, rectum, mouth, eye sockets, and/or surface lesions (n = 96). In addition, samples were taken of lesions in the heart, liver, lung, kidney, spleen, intestinal tract, brain, and skin (n = 26 carcasses, 37 samples) and cultured for aerobic bacteria, fungi, and mycobacteria using standard techniques. Morbillivirus testing (immunohistochemistry and/or rt PCR) was carried out on 41 dolphins during the 2013 UME, as reported by Kemper et al. [25]. After 2013, testing by rt PCR was conducted on four dolphins that had lesions consistent with morbillivirus (South Australian 2013 strain).
Specimens were examined grossly for parasites, and some parasites were also examined histopathologically. Internal parasites were collected and preserved in 10% formalin and/or 70% ethanol and lodged in the Australian Helminthological Collection (AHC), South Australian Museum, for future identification. To identify potential Toxoplasma infection, fixed brain and spinal cord samples were examined histologically (n = 120 animals). In one case of confirmed encephalitis (protozoan cysts), Toxoplasma gondii was identified by immunohistochemical (IHC) staining.
Skin lesions of 150 dolphins were observed grossly at necropsy, and for some, follow-up histology was performed. Of these, 112 dolphins were considered suitable for the evaluation of skin lesions (i.e., minimal skin decomposition).
All statistical tests were performed in Statcel (1998 1st edn.; OMS). The chi-squared test of independence was used for the comparison of the prevalence of infectious pneumonia in Indo-Pacific bluenose dolphins from the ADS and elsewhere in the SVG. The chi-square goodness of fit was used for comparison of males and females in different relative age groups.

3. Results

The number of cetacean records documented for each year of the study ranged from 12 to 55 (Figure A1, Appendix A), with a mean annual count of 23.0. A total of 13 species and 5 additional taxa (i.e., not identified to the species level) were recorded. The most commonly recorded were the Indo-Pacific bottlenose dolphin (132), unidentified bottlenose dolphins (19), and the common dolphin (66) (Table A1). Owing to the preponderance of dolphins, and the fact that most of the pathology data were related to necropsied dolphins, the results for other cetaceans (i.e., non-dolphins) are discussed separately (see Section 3.1).
A summary of the circumstance of death was made for all species for which whole carcasses were collected and necropsied (n = 169, Table A3a). Cases of Unknown circumstances of death (n = 84) were excluded. Disease (73%) was the most frequently recorded circumstance, followed by 21% anthropogenic circumstances (e.g., Intentional Killing, Known Entanglement, Probable Entanglement, and Other Unintentional).

3.1. Other Cetaceans

During the study period, 11 baleen whales (5 species) were recorded, three of which were seen alive and did not strand, nor were seen dead, and one was not necropsied (Table A1). Known Entanglement was recorded for a live southern right whale (Eubalaena australis) and three humpback whales (Megaptera novaeangliae). The circumstances of death for the examined baleen whales were as follows: two Disease, two Other Unintentional (one probable ship collision for a fin whale (Balaenoptera physalus) and one suspected ship collision (humpback whale)), and one Other Natural (perinatal death of humpback whale). The collected specimens were all young: a neonate humpback whale and five juveniles (fin whale, pygmy blue whale (Balaenoptera musculus brevicauda), humpback whale, and pygmy right whale (Caperea marginata)). The necropsy results for five specimens of note are discussed below.
A juvenile female pygmy blue whale (body length of 15.0 m) was stranded alive. It was emaciated and had a chronic systemic infection, including vegetative endocarditis of the aortic valve, acute and moderate interstitial pneumonia, and parasitic gastritis (nematodes) and enteritis (cestodes). Vessel collision was concluded as the circumstance of death for a juvenile female fin whale (body length 17.0 m) with extensive severe subcutaneous hemorrhage and broken ribs on the right side of the body, and no other significant pathologic changes. Two juvenile female pygmy right whales (body lengths 3.0 and 2.5 m) were stranded alive and were necropsied. They showed no significant pathologic changes, although one had mild suppurative interstitial pneumonia. A neonatal male humpback whale (3.8 m) was stranded and euthanized. The histopathology results showed that the animal had developed meconium aspiration pneumonia with diffuse alveolitis, and small numbers of neutrophils, macrophage exudates, and meconium were found in the bronchoalveolar space.
Six non-dolphin odontocete species (18 records) were recorded (Table A1). Four events involved sperm whales (Physeter macrocephalus), one of which was a mass stranding of eight whales. In that stranding, seven adult females died and a juvenile refloated itself. A necropsy was conducted on one carcass from this mass stranding, but decomposition was advanced and no meaningful results were obtained. Live strandings were reported for sperm whales, a pygmy sperm whale (Kogia breviceps) with chronic severe pneumonia and systemic infection, and a southern bottlenose whale (Hyperoodon planifrons) that refloated. Other Natural circumstances were recorded in two neonatal pilot whales (Globicephala melas and Globicephala sp.) with severe subcutaneous hemorrhage. Four of the cases involving necropsied odontocetes were assigned Unknown circumstances of death, although signs of cardiomyopathy (proliferation of micro collagenous fiber and wavy cardiomuscular fibers) and interstitial pneumonia with sporadically infiltrated lymphoid cells and mononuclear cells were found in a pygmy sperm whale. A strap-toothed whale (Mesoplodon layardii) event probably involved the stranding of a female and calf, but the latter was not collected or confirmed.

3.2. Dolphins

3.2.1. Mortality Trends

Although the species identity could not be confirmed for many non-specimen records of bottlenose dolphins, it is likely that these were Indo-Pacific bottlenose dolphins (see Section 2). Of the two dolphin species recorded during the study, the Indo-Pacific bottlenose dolphin was the most variable from year to year, ranging from 2 to 42 records (Figure 2). A peak in 2013 coincided with the UME documented by Kemper et al. [25]. Common dolphin records ranged from 2 to 10 per annum.
A relative age class and sex were assigned to most of the dolphins collected and necropsied during the study (45 common dolphins and 93 Indo-Pacific bottlenose dolphins) (Figure 3). The pattern of age classes was similar for both species, with a high proportion (77%) of immature dolphins (i.e., neonate, calf, and juvenile) compared with those that were sexually mature (subadult and adult). Few subadults were recorded. The immature age groups also showed a male bias (62%) that was statistically significant (χ2 = 6.376, p < 0.05). Adult females were more frequently recorded than adult males for both species.

3.2.2. Circumstance of Death

Of the 150 dolphins (100 Indo-Pacific bottlenose dolphins and 50 common dolphins) that were necropsied and assigned to a circumstance of death, 72 (48%) were classified as Unknown (Table A3a). Many of the Unknown cases had mild, moderate, or severe blunt trauma, but this could not be assigned to a cause. Of the dolphins that were assigned to a known circumstance, the greatest proportion for both species was constituted by the category Disease (77%). Anthropogenic circumstances (Known Entanglement, Probable Entanglement, Other Unintentional, and Intentional Killing) accounted for 21% of records. A comparison of species (Figure 4) showed that Indo-Pacific bottlenose dolphins had more Other Unintentional cases (7% boat collision), more Intentional Killings (5%), and fewer entanglements (4%) than common dolphins. Common dolphins had no Intentional Killings or Other Unintentional cases, but more entanglements (9%, of which four were mortalities in the purse seine nets of the South Australian Sardine Fishery). Two cases of Other Natural were reported—a sting ray barb in the throat of an Indo-Pacific bottlenose dolphin and a perinatal disorder in a common dolphin. Disease cases are discussed in more detail below (Section 3.2.3 and Section 3.2.4).
Records pertaining to dolphins that were not collected were of limited value, since necropsies were not conducted and many (53) were classified as having an Unknown circumstance of death. However, it is noteworthy that 10 were stranded alive, 9 of which were Indo-Pacific bottlenose dolphins.

3.2.3. Pathology

This section includes all dolphins that were necropsied. Based on the results of diagnostic, gross, and histological examinations, observed pathological changes were classified as inflammation (infectious or non-infectious), trauma, or others (e.g., tumor) (Table A4). Infectious inflammation was confirmed by clear histological evidence of pathogen involvement and/or when the results were consistent with the results of diagnostic tests. Multiple lesions were sometimes observed in a single individual, and multiple pathogens could infect a single organ.
When the type of pathological lesion was compared between the two species of dolphin, the proportions of inflammation, trauma, and others were similar (Figure 5). Infectious inflammation was proportionately higher in Indo-Pacific bottlenose dolphins than in common dolphins.
The highest prevalence of inflammation for dolphins was pneumonia, which was found in 68% (55/80) of Indo-Pacific bottlenose dolphins and 62% (25/40) of common dolphins (Table A5). Of these, 47 Indo-Pacific bottlenose dolphins and 17 common dolphins appeared to have infectious inflammation (Table A5). Bacterial pneumonia showed focal to extensive suppurative interstitial pneumonia with inflammatory cell infiltrates of neutrophils, lymphocytes, and mononuclear cells, as well as suppurative bronchiolitis with bronchial epithelial necrosis and inflammatory cell infiltration. Nematode infection of the lungs showed numerous necro-suppurative lesions with the loss of normal lung structure surrounded by a marked acute inflammatory cellular response, including aggregates of neutrophils and necrotic micro abscesses. There were many cases of pneumonia (15 Indo-Pacific bottlenose dolphins and 5 common dolphins) that developed into systemic infection. Hepatitis (n = 7) was the most common co-infection with pneumonia, the evidence for which was periportal fibrous hepatitis and necro-granulators cholangiohepatitis. In some liver cases, no parasite (trematodes) remains were observed histologically, but abscess formation, multifocal inflammatory necrosis, and portal fibrosis were indicative of a previous parasite infection.
Lymphadenitis (n = 18) and splenitis (n = 18) were often associated with lymphoid depletion (n = 11), with various sizes of necrosis at germinal centers. In the latter cases, both lymph nodes and the spleen were edematous and enlarged. During the 2013 UME, mild to severe cases of this condition were observed [25].
Five dolphins (four Indo-Pacific bottlenose dolphins and one common dolphin) had multiple organ infections that did not include the lungs. There was evidence of suppurative and granulomatous inflammation in each organ. When compared by relative age, only a small number of neonates were found to have multiple organ infections (2/25 Indo-Pacific bottlenose dolphins and 2/10 common dolphins).
Non-infectious inflammation was observed in many different organs in both dolphin species (22 Indo-Pacific bottlenose dolphins and 20 common dolphins). Again, non-infectious inflammation, pneumonia (nonsuppurative interstitial), was the most common. Two Indo-Pacific bottlenose dolphins had hemorrhagic necrotic suppurative inflammation of the pharynx and the base of the tongue caused by foreign body penetration wounds, i.e., a sting ray barb.
Agents of infection included bacteria, fungi, parasites, and viruses (Table A6). Of the dolphins that had identified bacteria, 47 also had histopathological changes consistent with infection. A total of 32 species of pathogenic bacteria (16 genera) and 2 species of fungi (2 genera) were identified, and these were associated with histopathological changes (Table A7). Other species were identified, but could have been contaminating species and were, therefore, not included in the results. In many cases (n = 46), multiple pathogen species were observed in the same dolphin. Vibrio spp. were most commonly identified in the respiratory system and skin. The bacterial and fungal spectrum that caused lesions in the respiratory system (Acinetobacter spp., Photobacterium spp., Streptococcus iniae, and two fungal species) was more variable than that found in the skin. When the skin bacteria results were compared for the dolphin species, 18 out of 51 (35%) Indo-Pacific bottlenose dolphins examined for bacteria showed histopathological evidence of cutaneous infection, while no common dolphins (n = 21) showed such evidence for cutaneous infection.
Parasites also infected dolphins in the SVG, with internal parasites observed in 32 dolphins (23 Indo-Pacific bottlenose dolphins and 9 common dolphins) (Table A6) at various levels. Nematodes were found in the lungs (n = 27) (e.g., Halocercus lagenorhynchi) and duodenum (n = 1). Trematodes (subclass Digenea) were found in 27 dolphins (liver, pancreas, and ear sinus). In Indo-Pacific bottlenose dolphins, both nematode and trematode infections peaked in 2013 and were not reported after 2018, while in common dolphins, nematodes were recorded during 2009–2017 and trematodes during 2013–2019. However, the prevalence of these parasites was low. Several protozoans were observed morphologically in the brain of an Indo-Pacific bottlenose dolphin (Figure A2), and these were identified as Toxoplasma gondii by IHC.
Morbillivirus was identified in 37 cases (34 Indo-Pacific bottlenose dolphins and 3 common dolphins). Most of these were associated with the UME in 2013, with an additional positive case of Indo-Pacific bottlenose dolphin recorded in 2019. Since 2013, three other cases tested negative for morbillivirus by rtPCR.
Trauma was observed in 36 Indo-Pacific bottlenose dolphins and 23 common dolphins. Of these, 22 Indo-Pacific bottlenose dolphins and 20 common dolphins had focal to extensive severe subcutaneous hemorrhage, mostly on the head, neck, and mandible. These findings were common in animals classified as Known Entanglement and Probable Entanglement circumstance of death (2/2 Indo-Pacific bottlenose dolphins and 6/7 common dolphins). Dolphins classified in these categories also commonly had fluid in the lungs and trachea, substantial fluid accumulated in body cavities, fractures, net marks on the skin, and, histologically, fluid in the alveoli of the lungs, e.g., aspiration, exudates. Other traumatic injuries also appeared to be closely related to anthropogenic causes of death: fractures were observed in three Indo-Pacific bottlenose dolphins due to gunshots, one Indo-Pacific bottlenose dolphin and one common dolphin due to entanglement, and two Indo-Pacific bottlenose dolphins due to vessel collisions. Both dolphins that died from vessel collisions had fractures to the vertebrae, probably due to penetrating injuries caused by the propellers. The three Indo-Pacific bottlenose dolphins with shotgun wounds had multiple pellets in their soft tissues. Their injuries were focal, chronic, and mild to moderate at the time of necropsy. All three had suppurative interstitial pneumonia and two had systemic infections (interstitial nephritis, gastric ulcer, and suppurative pleuritis), which may have been secondary infections related to the shootings.
Other pathological changes (e.g., cardiomyopathy, ascites, nephrosis) were recorded during the study. Suspected jaundice was observed in 10 dolphins (5 Indo-Pacific bottlenose dolphins and 5 common dolphins). The blood bilirubin levels were not measured, but multiple organs were discolored/yellow. All were neonates, calves, or juveniles (one of which was estimated to be 5–10 years old) (Figure 6). A tumor was identified in an adult female common dolphin as a multi-nodular structure in the gastrointestinal tract, mesentery, and liver (Figure 7). Although these were in advanced decomposition, the mass could be considered a multifocal leiomyoma. The tumor cells consisted of minimal pleomorphic interlacing bundles of spindle-shaped cells with central hyperchromic regular-sized nuclei. Its site of origin was positive for vimentin and weakly positive for SMA. All of these masses were benign tumors, and the location and number of masses may have contributed to this dolphin’s poor body condition.
Many mortalities classified as Unknown circumstances of death had moderate to severe subcutaneous hemorrhage. These were recorded in all relative age classes and both species. For Indo-Pacific bottlenose dolphins, the proportion (13/21) of neonates with subcutaneous hemorrhage was greater than that for neonatal common dolphins (4/10). Conversely, the proportion of juvenile common dolphins (6/8) with subcutaneous hemorrhage was higher than that for Indo-Pacific bottlenose dolphins (13/26).

3.2.4. Skin Lesions

A total of 112 dolphins were examined for non-anthropogenically mediated skin lesions (77 Indo-Pacific bottlenose dolphins and 35 common dolphins). Of these, 82 (73%) dolphins had lesions. The most frequently observed were excoriations and/or abrasions (Figure A3). In Indo-Pacific bottlenose dolphins, grossly, light-fringed skin lesions (n = 13) and tattoo-like skin lesions (n = 4) were observed. A lobomycosis-like skin lesion was observed grossly in a single Indo-Pacific bottlenose dolphin from the ADS, with numerous coalescing, raised, ulcerative, papillary nodules. Microbiological and histological examinations were not performed. The etiology of the lesions was categorized as natural (n = 15) or unknown (n = 31), and both showed a peak during 2012–2014.
Cases were observed where the margins of circular wounds, which appeared to be in a relatively acute phase, had regular incisions 1–2 mm deep and 1 mm apart. This feature was consistent with the bite marks of pufferfish or leatherjackets, species known to inhabit the SVG (pers. comm. Ralph Foster 2020).

3.2.5. Comparison of Indo-Pacific Bottlenose Dolphins in the ADS and SVG

When the circumstances of death of the necropsied Indo-Pacific bottlenose dolphins from the ADS and other localities in the Gulf were compared, the ADS had proportionately more cases of Other Unintentional, fewer Disease and Other Natural, and no Live Stranded cases (Figure 8). The classification of pathological changes showed that the two regions were similar. For infectious inflammation, pneumonia, hepatitis, and dermatitis were predominant in the ADS, whereas pneumonia was significantly prevalent (χ2 = 7.22, p = 0.007) in the other regions of the SVG (Figure 8). Non-infectious inflammation was found in various organs in both regions, but inflammation of the lungs and lymphoid organs accounted for a quarter of the total. Protozoan infections were found only in the ADS.

4. Discussion

One of the unique aspects of the SA studies of stranded cetaceans, including that in the SVG during 2009–2020, is that specimens have been collected over a long period of time and archived for further investigation. This is especially important for assessing the maturity of individuals using skeletons and reproductive organs [35]. In addition, a broad range of biological and pathological data were collected. The study also made a significant contribution to the pathogens identified in Australian cetaceans. Although not specifically referred to as ‘circumstances of death’, many studies have reported on similar categories, such as disease, live stranding, neonatal death, mother–calf separation, malnutrition, predation, and anthropogenic cases [3,9,12,13,36]. The categories established in SA have been in use for over 25 years, and it is hoped that this system will set a benchmark for other Australian studies.
Human-induced mortality and injury of cetaceans have been the focus of many studies worldwide, because such data are required by wildlife management agencies. The highest rate of anthropogenic cases (65%) was recorded in Brazil [10] and the lowest (10%) at Cape Cod, USA [11]. In the Canary Islands, Spain, there was an apparent reduction in anthropogenic mortalities between two studies of six (33%) and seven (19%) years [3,9]. The proportion of anthropogenic cases in SA (whole State) was 42% [16], and that in the present study of the SVG was 21%
Anthropogenic cases of mortality and injury in cetaceans include intentional (e.g., shooting) and unintentional mortalities (e.g., vessel collision, entanglement/entrapment, and foreign bodies in the digestive tract) [3,4,9,20]. Worldwide, entanglement remains one of the major causes of anthropogenic mortality for cetaceans [3,20,37,38]. In Australia, there has been an increase in entanglements, primarily of odontocetes, since 2000, and populations of inshore small cetaceans are believed to be at risk of decline [39]. South Australia follows the same pattern of high rates of entanglement in fishing gear [16,19], with 13.4% of records in this category in the SVG study. Compared with Indo-Pacific bottlenose dolphins, common dolphins had a higher proportion of fatal entanglements (6% vs. 32%), and of these, Known Entanglements were collected only from the SA Sardine Fishery. Probable Entanglements of common dolphins recorded in the SVG study were likely to be associated with this fishery, since it is the primary net fishery in the gulf. Of the dolphins that died, Known Entanglements of Indo-Pacific bottlenose dolphins were related only to recreational fishing gear in the ADS (Figure A4), as has been reported by Byard et al. [25].
Intentional Killing of SA dolphins has been concerning in the past [16,19]. No cases were recorded in the ADS during 2005–2013 [29]. In the SVG study, three Indo-Pacific bottlenose dolphin mortalities were recorded with shotgun pellets along the Adelaide metropolitan coast during 2009–2020.
When the circumstance of death for the 2009–2020 SVG study was compared with that of the previous period (1990–2008), the only clear difference in proportion was for Disease, where it increased from 38% in the first period to 73% in the second (Table A3(a), (b)). The reasons for such a disparity are unlikely to be related to an increase in disease per se, but probably to the effort applied in the more recent study. From 2009, increased funding enabled more histological preparations and diagnostic testing for microorganisms. In addition, consistent specialized evaluation of disease was provided by the lead author (IT). Anthropogenic cases remained proportionately the same when the time periods were compared for SVG (22 and 21%).
Infectious disease, particularly pneumonia, has been the most common pathological lesion reported for stranded cetaceans [3,10,40,41], as was the case in the SVG study. The etiology of pneumonia includes viruses, bacteria, fungi, and parasites (nematodes) with prevalence varying according to the host species, geographic distribution of the pathogen, and environmental factors [42]. An additional compounding factor is whether the pathogen is primary or secondary [41]. To date, there has been no broad-ranging study of infectious disease in Australian cetaceans [2]. The SVG study found that the patterns of infection in Indo-Pacific bottlenose dolphins varied between the enclosed and altered habitat of the ADS and the greater gulf. In the ADS, infections included many organs (mainly the lungs, liver, and skin), while in other parts of the SVG, they were mostly in the lungs.
Worldwide, emerging infectious diseases of cetaceans include morbillivirus and Brucella [15], both of which are known to contribute to high mortality of cetaceans [43,44]. Morbillivirus has been recorded on several occasions in Australian cetaceans, including UMEs [25]. It is often associated with pneumonia and lesions that are secondary bacterial infections [45,46]. Bronchopneumonia has been reported in morbillivirus cases of Tursiops in SA [22], Western Australia (WA) [47], and Queensland [48]. Secondary infections involving bacteria and fungi were also reported in SA and WA. Morbilliviruses can also cause immunosuppression and can lead to opportunistic bacterial infections in dolphins [47,49,50]. Lymphoid depletion was often reported in dolphins with morbillivirus infection in the lymph organs [50]. The increase in parasitic infections and skin lesions seen in 2013 seemed to be due, in part, to an immunocompromised state as a result of lymphoid depletion.
Brucellosis is a zoonotic disease [51] and a potential human health threat. Brucella spp. was first isolated from small cetaceans, including the common dolphin and common bottlenose dolphin in the UK [52] and USA [53], and subsequently many other world regions. Although Brucella has not been identified in wild dolphins in Australia, although it has been reported in captive common bottlenose dolphins from Queensland [54]. There are no published cases of identified Brucella in SA, but skeletal lesions suggestive of Brucella infection have been found in Indo-Pacific bottlenose dolphins from both gulfs [23], although this has not been confirmed. Guzman-Verri et al. [55] also reported skeletal lesions consistent with Brucella infection. There was no sign of brucellosis in the visceral organs of the cetaceans examined in the present study, but a serological survey is being conducted by the University of Adelaide (pers. comm. A.L. Chaber and L. Woolford, May 2022) to confirm its presence or absence in the state.
Marine mammal bacteria include pathogenic and non-pathogenic types [14]. The SVG study identified 32 species of pathogenic bacteria, including eight Indo-Pacific bottlenose dolphins with Vibrio parahaemolyticus and V. alginolyticus associated with necro-suppurative pneumonia and ulcerative dermatitis. These pathogens have been reported from Italy, where they were associated with meningoencephalitis [56]. The SVG study also identified Staphylococcus aureus in the Indo-Pacific bottlenose dolphin (n = 3), and these infections were associated with pneumonia. A study of the common bottlenose dolphin from the west coast of the USA concluded that Staphylococcus aureus was a significant risk to mortality [57]. There have been few reports of bacterial species recorded from Australian cetaceans [58,59]. Of note is a case of Streptococcus iniae in a dead common dolphin from the metropolitan coast of Adelaide, which also had sepsis [60]. This bacterium was identified in the SVG study and was considered the primary cause of death. The total list of pathogenic bacteria recorded in SA now stands at 33 species, including Corynebacterium ulcerans [19].
Toxoplasma gondii is a zoonotic organism that is infectious to almost all mammals and birds, with infection rates in humans varying according to country, region, and age. Although the final host is the cat, infection of dolphins [61] indicates that the marine environment has been impacted. Toxoplasma gondii infection can be fatal in cetaceans [61] and has been reported from many world regions [62,63,64]. In Australian cetaceans, this protozoan parasite has been identified in several species of dolphins from WA, Queensland, and New South Wales [65,66,67]. Toxoplasma cysts were morphologically detected and immuno-histologically confirmed in the brain of a dolphin co-infected with morbillivirus during the SA 2013 UME. A serological investigation is underway for Toxoplasma gondii in Indo-Pacific bottlenose dolphins in SA (pers. comm. R. O’Handley April 2022).
Lung nematode infections have been reported in cetaceans worldwide [3,10,13,68], including SA [22]. These are most frequently observed in the bronchi and interstitial tissue of the lung [10]. Trematode infections of the liver, pancreas, and brain have also been reported in SA (this study) and elsewhere [3,10,44] causing inflammation in the respective tissues [69].
Non–infectious diseases were also reported in the SVG study. Tumors are rarely reported in marine mammals [70]. Our finding of a tumor in the gastrointestinal tract and liver of an adult common dolphin appeared to be a leiomyoma. Cetacean leiomyoma has been reported in the uterus and intestine of Atlantic white-sided dolphins (Lagenorhynchus acutus) [71] and in the pylorus of the common bottlenose dolphin [72]. The tumors in the Atlantic white-sided dolphin were multicentric, which is consistent with our case, and both species showed similar histopathologic changes.
Suspected jaundice was identified in 10 SVG dolphins (5 Indo-Pacific bottlenose dolphins and 5 common dolphins), all but one of which were neonates or calves. These age groups are more likely to contract physiological jaundice [73,74].
Skin lesions of cetaceans have been extensively studied around the world [75,76,77,78] and are associated with bacteria, viruses, fungi, and algae [79,80,81,82]. Skin lesions of dolphins can be good indicators of overall body condition [83] and therefore warrant monitoring. Freshwater dermatitis, associated with low salinity, has been identified in bottlenose dolphins from Gippsland, Victoria, and the Swan River, WA [84], but this condition has not yet been observed in SA. Lesions that were recorded in the SVG study included a potential case of a lobomycosis-like skin lesion in an Indo-Pacific bottlenose dolphin from the ADS. There are no records of this type of lesion in Australian cetaceans, although it has been found in other parts of the world and can be zoonotic [85]. Skin wounds are exposed to microorganisms that can cause infection. In addition, microorganisms found on the teeth of fish that have bitten a cetacean could be pathogenic. As the natural healing of wounds depends on the individual’s immune status, lesions often become chronic when body condition is poor.
The non-dolphin cetacean species recorded in the present study were seasonal visitors and vagrants [32]. Although monitoring their pathology is less beneficial than that of dolphins, the data gathered will contribute to an overall understanding of their diseases and circumstances of death. The mass stranding of sperm whales in the SVG was unprecedented in modern times. This species is known from the open ocean coast of SA and is almost never recorded in the shallow gulfs [32]. The circumstances of death for other cetaceans followed the same overall pattern as dolphins, with anthropogenic cases (vessel collision and rope entanglement) of large baleen whales recorded on several occasions. A study of the southern right whale off southern Australia documented multiple cases of entanglement and vessel collision [86], as have been reported elsewhere [87,88]. The probable vessel collision of a fin whale in SVG is consistent with results worldwide reporting that this species is often killed in this manner [89]. Many of the cases involving other cetaceans were juveniles, and of particular note was a neonatal humpback whale that was stranded alive. It is very rare for this species to give birth in SA waters [90].

Future Research

Dolphins in the SVG are particularly vulnerable to human-induced threats because they live in a semi-closed system and the human population is likely to increase substantially, thus presenting more risk. It is, therefore, imperative to monitor mortalities in a manner consistent with the methods used in the present study and to archive specimens that can be used in future investigations. Emerging infectious diseases, such as brucellosis, toxoplasmosis, and lobomycosis, should be included in monitoring programs. Monitoring the skin lesions of live and dead dolphins will be vital to monitoring disease because it provides an early warning system for underlying health issues. Long-term, often subtle, effects on population health are difficult to detect, but monitoring toxic contaminants, immune-compromised animals, and reproductive success can be informative.

Author Contributions

Both authors shared the responsibility of collecting the data and writing the manuscript. All authors have read and agreed to the published version of the manuscript.

Funding

Funding for this project was provided by a South Australian state government department that initially was named the Department of Environment, Water and Natural Resources (Adelaide Mount Lofty Ranges Natural Resources Management Board, AMLRNRM), later changed to the Department for Environment and Water (AMLRNRM). The grant names are: Caring for Our Country, Marine Debris Threat Abatement in Gulf St Vincent—Marine Mammal Pathology (2009–2011) and Monitoring Small Cetacean Mortalities in Gulf St Vincent (2011–2020). The Green Adelaide Board provided some funding for preparing the manuscript.

Institutional Review Board Statement

Our study does not require ethical approval in accordance with publication ethics guidelines, because all specimens in the study were brought to the institution after they had died and were available for the examination.

Informed Consent Statement

Not applicable.

Data Availability Statement

The raw data for specimen and non-specimen records are held by the South Australian Museum and are available upon reasonable request. Core data for the records are available from the Atlas of Living Australia.

Acknowledgments

This study would not have been possible without the support of Tony Flaherty, Kristian Peters, and the on-ground staff of AMLRNRM. People who collected carcasses and information on strandings included National Parks and Wildlife SA, Primary Industries and Resources SA, SA Sardine Fishery, Adelaide Dolphin Sanctuary staff (Cristina Vicente, Jamie Hicks, Jon Emmett, Nikki Zanardo, Darryl Cowan, and Verity Gibbs) and volunteers, Mike Bossley (Whale and Dolphin Conservation), local government, Aaron Machado (Australian Marine Wildlife Research and Rescue Organisation), and members of the public. The SA Museum collection manager, David Stemmer, and volunteers prepared and archived the specimens and data. Other museum volunteers (Melissa Bridge, John Light, Ceri Robins, Andrea Barcelo-Celis, Marjolein van Polanen Petel, Tomoyo Segawa Fellowes, and Peter Shaughnessy) helped with various aspects of the study. Tomoyo Segawa Fellowes was also an important contributor to collecting data at necropsies. Lucy Woolford and Roger Byard (The University of Adelaide) kindly provided results on two necropsied dolphins. Maria Bellis (Forensic Science SA) prepared histology slides during 2009. We are grateful to Andrea Barcelo-Celis for providing assistance with manuscript preparation. Peter Shaughnessy kindly commented on an earlier draft of the manuscript. The authors thank Geoff Mower for advising on pathology aspects and Stella Bastianello for providing support and advice on the diagnosis of the tumor.

Conflicts of Interest

The authors declare no conflict of interest.

Appendix A

Table A1. Summary of records of cetacean strandings and mortalities in the St Vincent Gulf Bioregion, South Australia, during 2009–2020. Numbers in parentheses are the non-specimen records and included in the total to the left.
Table A1. Summary of records of cetacean strandings and mortalities in the St Vincent Gulf Bioregion, South Australia, during 2009–2020. Numbers in parentheses are the non-specimen records and included in the total to the left.
Taxonomic IdentificationTotal RecordsGross ExaminationHistological ExaminationBacterial TestingParasite ExaminationViral TestingSkin Lesions
Baleen whales
Southern right whale 1 (1)000000
Pygmy blue whale1111100
Fin whale1101000
Humpback whale6 (4)201000
Pygmy right whale2222000
Toothed whales and dolphins
Unidentified Delphinidae20 (20)000000
Common dolphin66 (17)47402112350
Pilot whale1100000
Long-finned pilot whale1100000
Bottlenose dolphin19 (19)000000
Indo-Pacific bottlenose dolphin132 (29)10180612237102
Sperm whale10 (1) *107000
Pygmy sperm whale2222200
Southern bottlenose whale1 (1)000000
Hector’s beaked whale1100000
Strap-toothed whale2 (1) #100000
Unidentified cetacean5 (5)000000
Total271 (98)16112596 ^3740152
* Four events involved sperm whales, one being a mass stranding of 8 whales, 7 of which were examined. # Two strap-toothed whales were stranded together but only one was collected. ^ = 79 animals that underwent bacterial testing also underwent histological assessment.
Table A2. Categories of the circumstances of death used in this study. Example features apply to this study. In the case of multiple features, several, but not necessarily all, were recorded in a particular case. See the Materials and Methods for a justification of categories and which apply to specimen and non-specimen records.
Table A2. Categories of the circumstances of death used in this study. Example features apply to this study. In the case of multiple features, several, but not necessarily all, were recorded in a particular case. See the Materials and Methods for a justification of categories and which apply to specimen and non-specimen records.
CategoryFeatures
Known Entanglement (E)Removed from an aquaculture cage or fishing net, or entangled in recreational or professional fishing gear
Probable Entanglement (EP)Features consistent with death by entanglement, e.g., net/rope marks, carcass mutilated by humans, digested or semi-digested food in the esophagus, severe and deep hemorrhage, large amount of blood-colored fluid in the thorax and/or abdomen, and floated dead for some time before washing up
Other Unintentional (OU)Known or suspected boat/ship strike (e.g., propeller wounds and severe blunt trauma on the head and/or back)
Intentional Killing (I)Shotgun pellets recovered
Disease (D)Serious diseases considered to be responsible for death, e.g., inflammation due to infectious/non-infectious diseases
Live Stranded (LS)Animal seen alive on shore, successfully returned to sea or later died. Applies to non-specimens only
Other Natural (ON)Ray barb lodged internally and perinatal disorders
Unknown (U)No necropsy performed, too decomposed, incomplete specimen, or insufficient data to assign to one of the above categories
Table A3. Frequencies of the circumstance of death categories for necropsied specimens of all species from the St Vincent Gulf Bioregion collected for the South Australian Museum. (a) 2009–2020. (b) 1990–2008 data (Segawa and Kemper, 2015) were as initially assigned and were not re-evaluated with regards to the categories Other Natural and Live Stranded i.e., cases involving disease remained in this category.
Table A3. Frequencies of the circumstance of death categories for necropsied specimens of all species from the St Vincent Gulf Bioregion collected for the South Australian Museum. (a) 2009–2020. (b) 1990–2008 data (Segawa and Kemper, 2015) were as initially assigned and were not re-evaluated with regards to the categories Other Natural and Live Stranded i.e., cases involving disease remained in this category.
(a)
TaxaIntentional KillingKnown EntanglementProbable EntanglementOther UnintentionalDiseaseOther NaturalTotal KnownUnknownTotal
Dolphins35446027872150
Non-dolphins00022371219
Total35466258584169
(b)
TaxaIntentional KillingKnown EntanglementProbable EntanglementOther UnintentionalDiseaseOther NaturalLive StrandedTotal KnownUnknownTotal
All species7298451828117117234
Table A4. Pathological classification of Indo-Pacific bottlenose dolphins (Tursiops aduncus) and common dolphins (Delphinus delphis) in the St Vincent Gulf Bioregion, South Australia, between 2009 and 2020.
Table A4. Pathological classification of Indo-Pacific bottlenose dolphins (Tursiops aduncus) and common dolphins (Delphinus delphis) in the St Vincent Gulf Bioregion, South Australia, between 2009 and 2020.
InflammationTraumaOthersTotal
InfectiousNon-InfectiousTotal Animals with Inflammation
Indo-Pacific bottlenose dolphin572170361380
Common dolphin21203313940
Table A5. Organs showing inflammation, classified by dolphin species, during the St Vincent Gulf Bioregion, South Australia, study in 2009–2020.
Table A5. Organs showing inflammation, classified by dolphin species, during the St Vincent Gulf Bioregion, South Australia, study in 2009–2020.
Indo-Pacific Bottlenose DolphinCommon Dolphin
InfectiousNon-InfectiousInfectiousNon-Infectious
Lung478178
Liver 12344
Skin 8000
Heart4200
Brain5100
Spleen/Lymph node 4216
Kidney0403
Others5413
Table A6. Number of dolphins with infectious inflammation, according to pathogen, during the St Vincent Gulf Bioregion, South Australia, study in 2009–2020.
Table A6. Number of dolphins with infectious inflammation, according to pathogen, during the St Vincent Gulf Bioregion, South Australia, study in 2009–2020.
Indo-Pacific Bottlenose DolphinCommon Dolphin
Bacteria 3414
Helminths 229
Viruses 190
Fungi 101
Protozoans10
Table A7. Species of bacteria and fungi associated with pathological changes in St Vincent Gulf Bioregion, South Australia, cetaceans during 2009–2020.
Table A7. Species of bacteria and fungi associated with pathological changes in St Vincent Gulf Bioregion, South Australia, cetaceans during 2009–2020.
Host SpeciesBacteria/FungiRespiratory SystemSkin
Indo-Pacific bottlenose dolphinAcinetbacter sp.30
Aeromonas hydrophila00
Aeromonus spp.11
Campylobactor sp.00
Clostridium perfringens12
Clostridium sp.10
Enterococcus sp.12
Escherichia coli11
Morganella sp.00
Photobacterium damselae10
Photobacterium sp.00
Proteus mirabilis12
Proteus vulgaris00
Pseudomonas aeruginosa20
Pseudomonas sp.11
Shewanella (Pseudomonas) putrefaciens00
Salmonella enterica serovar Kiambu10
Staphylococcus aureus21
Non-haemolytic Streptococcus spp.11
Vibrio alginolyticus23
Vibrio anguillarum00
Vibrio harveyi01
Vibrio parahaemolyticus12
Vibrio rotiferianus01
Vibrio vulnificus10
Vibrio spp.20
Candida albicans (fungus)10
Aspergillus fumigatus (fungus)10
Common dolphinBacillus sp.00
Clostridium sp. (not C. perfringens)00
Proteus sp.00
Photobacterium damselae00
Photobacterium sp.00
Streptococcus iniae10
αHemolytic Streptococcus 00
Vibrio spp.10
Vibrio alginolyticus00
Vibrio cholerae10
Vibrio gigantis00
Vibrio harveyi10
Pygmy blue whaleLactococcus lactis10
Figure A1. Annual counts of cetacean records for the St Vincent Gulf Bioregion, South Australia, during 2009–2020, divided into specimens collected (specimens) and not collected (non-specimens) for examination and/or necropsy.
Figure A1. Annual counts of cetacean records for the St Vincent Gulf Bioregion, South Australia, during 2009–2020, divided into specimens collected (specimens) and not collected (non-specimens) for examination and/or necropsy.
Oceans 03 00030 g0a1
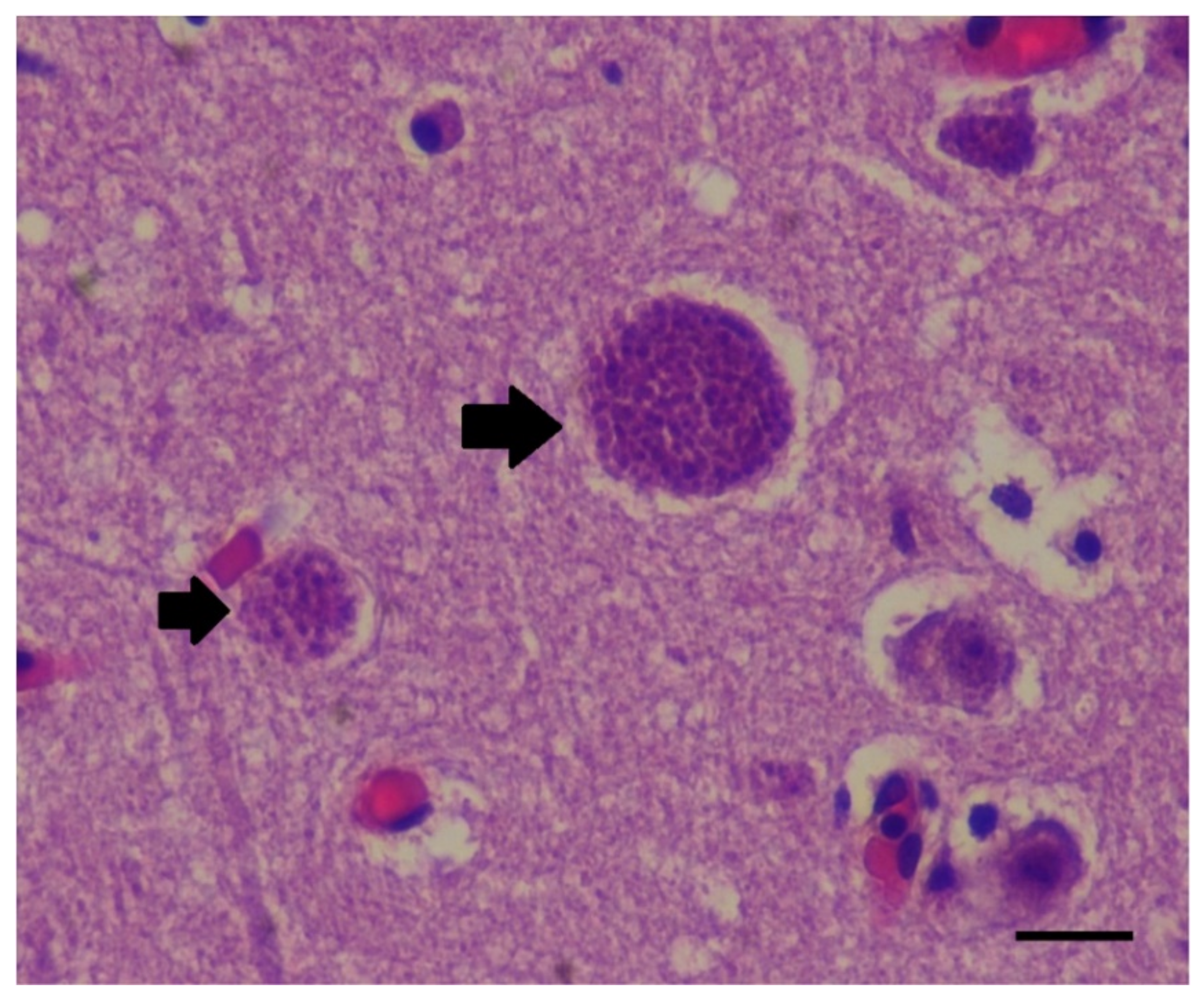
Figure A2. Juvenile female Indo-Pacific bottlenose dolphin (Tursiops aduncus). Toxoplasma cysts (arrows) were found in the white matter of the cerebrum. Scale = 10 µm.
Figure A2. Juvenile female Indo-Pacific bottlenose dolphin (Tursiops aduncus). Toxoplasma cysts (arrows) were found in the white matter of the cerebrum. Scale = 10 µm.
Oceans 03 00030 g0a2
Figure A3. Female calf Indo-Pacific bottlenose dolphin (Tursiops aduncus) from the Adelaide Dolphin Sanctuary. (A) Excoriation/abrasion on the dorsal peduncle (cause unknown), scale = 2 cm. (B) detail of a lesion showing incomplete epidermis, necrotic dermis (yellow arrow), and a reorganized connective tissue layer (blue arrow), scale = 300 µm.
Figure A3. Female calf Indo-Pacific bottlenose dolphin (Tursiops aduncus) from the Adelaide Dolphin Sanctuary. (A) Excoriation/abrasion on the dorsal peduncle (cause unknown), scale = 2 cm. (B) detail of a lesion showing incomplete epidermis, necrotic dermis (yellow arrow), and a reorganized connective tissue layer (blue arrow), scale = 300 µm.
Oceans 03 00030 g0a3
Figure A4. Juvenile female Indo-Pacific bottlenose dolphin (Tursiops aduncus) from the Adelaide Dolphin Sanctuary demonstrating hook and line entanglement. A fishhook (blue arrow) was lodged in the laryngeal area of blowhole, causing widespread inflammation. The epiglottis was swollen and discolored (yellow arrow). Scale = 5 cm.
Figure A4. Juvenile female Indo-Pacific bottlenose dolphin (Tursiops aduncus) from the Adelaide Dolphin Sanctuary demonstrating hook and line entanglement. A fishhook (blue arrow) was lodged in the laryngeal area of blowhole, causing widespread inflammation. The epiglottis was swollen and discolored (yellow arrow). Scale = 5 cm.
Oceans 03 00030 g0a4

References

  1. Reddy, L.M.; Dierauf, L.A.; Gulland, F.M.D. Marine mammals as sentinels of ocean health. In CRC Handbook of Marine Mammal Medicine: Health, Disease, and Rehabilitation, 2nd ed.; Dierauf, L.A., Gulland, F.M.D., Eds.; CRC Press: Boca Raton, FL, USA, 2001; Volume 27, pp. 3–13. [Google Scholar] [CrossRef]
  2. Gulland, F.M.D.; Hall, A.J. Is Marine Mammal Health Deteriorating? Trends in the Global Reporting of Marine Mammal Disease. EcoHealth 2007, 4, 135–150. [Google Scholar] [CrossRef]
  3. Arbelo, M.; de Los Monteros, A.E.; Herráez, P.; Andrada, M.; Sierra, E.; Rodríguez, F.; Jepson, P.D.; Fernández, A. Pathology and causes of death of stranded cetaceans in the Canary Islands (1999–2005). Dis. Aquat. Org. 2013, 103, 87–99. [Google Scholar] [CrossRef] [PubMed]
  4. Bossart, G.D.; Hurley, W.; Biedenbach, G.; Denny, M.; Borkowski, R.; Goricki, C.; Searcy, E.; Roberts, K.; Reif, J. Pathologic findings in stranded cetaceans from northeastern Florida. Fla. Sci. 2013, 76, 36–50. [Google Scholar]
  5. Cowan, D.F.; Curry, B.E. Histopathological assessment of dolphins necropsied onboard vessels in the eastern tropical Pacific tuna fishery. In NMFS SWFSC Administrative Report LJ-02-24C; NOAA: Washington, DC, USA; National Marine Fisheries Service, Southwest Fisheries Science Center: La Jolla, CA, USA, 2002. [Google Scholar]
  6. Duignan, P.J.; Gibbs, N.J.; Jones, G.W. Autopsy of Cetaceans Incidentally Caught in Fishing Operations, 1997/98, 1999/2000, and 2000/01; DOC Science Internal Series 119; Department of Conservation: Wellington, New Zealand, 2003; 66p. [Google Scholar]
  7. Duignan, P.J.; Gibbs, N.J.; Jones, G.W. Autopsy of Cetaceans Incidentally Caught in Commercial Fisheries, and All Beachcast Specimens of Hector’s Dolphins, 2001/02; DOC Science Internal Series 176; Department of Conservation: Wellington, New Zealand, 2004; 28p. [Google Scholar]
  8. Edwards, E.F.; Kellar, N.M.; Perrin, W.F. Form, function and pathology in the pantropical spotted dolphin (Stenella attenuata). In NOAA Technical Memorandum; National Oceanic and Atmospheric Administration: Washington, DC, USA, 2013; pp. 1–5. [Google Scholar]
  9. Díaz-Delgado, J.; Fernández, A.; Sierra, E.; Sacchini, S.; Andrada, M.; Vela, A.I.; Quesada-Canales, O.; Paz, Y.; Zucca, D.; Groch, K.; et al. Pathologic findings and causes of death of stranded cetaceans in the Canary Islands (2006–2012). PLoS ONE 2018, 13, e0204444. [Google Scholar] [CrossRef]
  10. Domiciano, I.G.; Domit, C.; Broadhurst, M.K.; Koch, M.S.; Bracarense, A.P.F. Assessing disease and mortality among small cetaceans stranded at a world heritage site in southern Brazil. PLoS ONE 2016, 11, e0149295. [Google Scholar] [CrossRef]
  11. Bogomolni, A.L.; Pugliares, K.R.; Sharp, S.M.; Patchett, K.; Harry, C.T.; LaRocque, J.M.; Touhey, K.M.; Moore, M. Mortality trends of stranded marine mammals on Cape Cod and southeastern Massachusetts, USA, 2000 to 2006. Dis. Aquat. Org. 2010, 88, 143–155. [Google Scholar] [CrossRef]
  12. McFee, W.E.; Lipscomb, T.P. Major pathologic findings and probable causes of mortality in bottlenose dolphins stranded in South Carolina from 1993 to 2006. J. Wildl. Dis. 2009, 45, 575–593. [Google Scholar] [CrossRef] [PubMed]
  13. Stockin, K.A.; Duignan, P.J.; Roe, W.D.; Meynier, L.; Alley, M.; Fettermann, T. Causes of mortality in stranded common dolphin (Delphinus sp.) from New Zealand waters between 1998 and 2008. Pac. Conserv. 2009, 15, 217–227. [Google Scholar] [CrossRef]
  14. Higgins, R. Bacteria and fungi of marine mammals: A review. Can. Vet. J. 2000, 41, 105. [Google Scholar]
  15. Van Bressem, M.F.; Raga, J.A.; Di Guardo, G.; Jepson, P.D.; Duignan, P.J.; Siebert, U.; Barrett, T.; de Oliveira Santos, M.C.; Moreno, I.B.; Siciliano, S.; et al. Emerging infectious diseases in cetaceans worldwide and the possible role of environmental stressors. Dis. Aquat. Org. 2009, 86, 143–157. [Google Scholar] [CrossRef]
  16. Segawa, T.; Kemper, C. Cetacean strandings in South Australia (1881–2008). Aust. Mammal. 2015, 37, 51–66. [Google Scholar] [CrossRef]
  17. Foord, C.S.; Rowe, K.M.C.; Robb, K. Cetacean biodiversity, spatial and temporal trends based on stranding records (1920–2016), Victoria, Australia. PLoS ONE 2019, 14, e0223712. [Google Scholar] [CrossRef] [PubMed]
  18. Kemper, C.M.; Ling, J.K. Whale strandings in South Australia (1881–1989). Trans. R. Soc. S. Aust. 1991, 115, 37–52. [Google Scholar]
  19. Kemper, C.M.; Flaherty, A.; Gibbs, S.E.; Hill, M.; Long, M.; Byard, R.W. Cetacean captures, strandings and mortalities in South Australia 1881–2000, with special reference to human interactions. Aust. Mammal. 2005, 27, 37–47. [Google Scholar] [CrossRef]
  20. Read, A.J.; Murray, K.T. Gross evidence of human-induced mortality in small cetaceans. In NOAA Technical Memorandum; National Oceanic and Atmospheric Administration: Washington, DC, USA, 2000; 21p. [Google Scholar]
  21. Moore, M.; van der Hoop, J.; Barco, S.G.; Costidis, A.M.; Gulland, F.M.; Jepson, P.D.; Moore, K.T.; Raverty, S.; McLellan, W.A. Criteria and case definitions for serious injury and death of pinnipeds and cetaceans caused by anthropogenic trauma. Dis. Aquat. Org. 2013, 103, 229–264. [Google Scholar] [CrossRef] [PubMed]
  22. Tomo, I.; Kemper, C.M.; Lavery, T.J. Eighteen-year study of South Australian dolphins shows variation in lung nematodes by season, year, age class, and location. J. Wildl. Dis. 2010, 46, 488–498. [Google Scholar] [CrossRef]
  23. Tomo, I.; Kemper, C.M.; Sciutteri, V. Pathology of the skeleton of Indo-Pacific bottlenose dolphins Tursiops aduncus: A comparison of adjacent gulfs in South Australia. Dis. Aquat. Org. 2018, 131, 95–105. [Google Scholar] [CrossRef]
  24. Byard, R.W.; Machado, A.; Walker, M.; Woolford, L. Lethal fishing hook penetration and line entanglement in an adult bottlenose dolphin (Tursiops aduncus). Forensic Sci. Med. Pathol. 2020, 16, 540–543. [Google Scholar] [CrossRef] [PubMed]
  25. Kemper, C.M.; Tomo, I.; Bingham, J.; Bastianello, S.S.; Wang, J.; Gibbs, S.E.; Woolford, L.; Dickason, C.; Kelly, D. Morbillivirus-associated unusual mortality event in South Australian bottlenose dolphins is largest reported for the Southern Hemisphere. R. Soc. Open Sci. 2016, 3, 160838. [Google Scholar] [CrossRef] [PubMed]
  26. De Silva Samarasinghe, J.R.; Lennon, G.W. Hypersalinity, flushing and transient salt-wedges in a tidal gulf—an inverse estuary. Estuar. Coast. Shelf S. 1987, 24, 483–498. [Google Scholar] [CrossRef]
  27. Lavery, T.J.; Butterfield, N.; Kemper, C.M.; Reid, R.J.; Sanderson, K. Metals and selenium in the liver and bone of three dolphin species from South Australia, 1988–2004. Sci. Total Environ. 2008, 390, 77–85. [Google Scholar] [CrossRef]
  28. Gibbs, S.E.; Harcourt, R.G.; Kemper, C.M. Niche differentiation of bottlenose dolphin species in South Australia revealed by stable isotopes and stomach contents. Wildl. Res. 2011, 38, 261–270. [Google Scholar] [CrossRef]
  29. Adamczak, S.K.; Kemper, C.; Tomo, I. Strandings of dolphins in the Adelaide Dolphin Sanctuary, South Australia. J. Cetacean Res. Manage. 2018, 19, 105–111. [Google Scholar]
  30. Commonwealth of Australia. A Guide to the Integrated Marine and Coastal Regionalisation of Australia, Version 4.0; Department of Environment and Heritage: Canberra, Australia, 2006; ISBN 0 642 552274. [Google Scholar]
  31. Kemper, C.M.; Stemmer, D.; Reardon, T.; Medlin, G.; Shaughnessy, P.; Owens, H. Census of South Australian Vertebrates; Owens, H., Graham, A., Eds.; Department of Environment, Water and Natural Resources: Adelaide, Australia, 2014; 46p. [Google Scholar]
  32. Kemper, C.; Bossley, M.; Shaughnessy, P. Marine mammals of Gulf St. Vincent, Investigator Strait and Backstairs Passage. In Natural History of Gulf St Vincent; Shepherd, S.A., Bryars, S., Kirkegaard, I., Harbison, P., Jennings, J.T., Eds.; Royal Society of South Australia: Adelaide, Australia, 2008; pp. 339–352. ISBN 978–0–9596–6278–8. [Google Scholar]
  33. Kemper, C.; Gibbs, S. Dolphin interactions with tuna feedlots at Port Lincoln, SA and recommendations for minimising entanglements. J. Cetacean Res. Manage. 2001, 3, 283–292. [Google Scholar]
  34. Geraci, J.R.; Lounsbury, V.J. Marine Mammals Ashore: A Field Guide for Strandings, 2nd ed.; National Aquarium: Baltimore, MD, USA, 2005; p. 382. [Google Scholar]
  35. Mead, J.G.; Potter, C.W. Natural history of bottlenose dolphins along the central Atlantic coast of the United States. In The Bottlenose Dolphin; Leatherwood, S., Reeves, R.R., Eds.; Academic Press: San Diego, CA, USA, 1990; pp. 165–195. [Google Scholar] [CrossRef]
  36. Norman, S.A.; Bowlby, C.E.; Brancato, M.S.; Calambokidis, J.; Duffield, D.; Gearin, P.J.; Gornall, T.A.; Gosho, M.E.; Hanson, B.; Hodder, J.; et al. Cetacean strandings in Oregon and Washington between 1930 and 2002. J. Cetacean Res. Manage. 2004, 6, 87–99. [Google Scholar]
  37. Kirkwood, J.K.; Bennett, P.M.; Jepson, P.D.; Kuiken, T.; Simpson, V.R.; Baker, J.R. Entanglement in fishing gear and other causes of death in cetaceans stranded on the coasts of England and Wales. Vet. Rec. 1997, 141, 94–98. [Google Scholar] [CrossRef]
  38. Spencer, N.; Santos, M.B.; Pierce, G.J. Evaluation of the State of Knowledge Concerning by-Catches of Cetaceans; Final Report Tender No XIV/1999/01 Lot 7 (31/12/99–31/10/00); European Commission: Brussels, Belgium, 2000; Available online: http://www.eurocbc.org/page345.html, (accessed on 10 May 2022).
  39. Tulloch, V.; Pirotta, V.; Grech, A.; Crocetti, S.; Double, M.; How, J.; Kemper, C.; Meager, J.; Peddemors, V.; Waples, K.; et al. Long-term trends and a risk analysis of cetacean entanglements and bycatch in fisheries gear in Australian waters. Biodivers. Conserv. 2020, 29, 251–282. [Google Scholar] [CrossRef]
  40. Mazzariol, S.; Marruchella, G.; Di Guardo, G.; Podestà, M.; Olivieri, V.; Colangelo, P.; Cozzi, B. Post-mortem findings in cetacean stranded along Italian Adriatic Sea coastline (2000–2006). In Proceedings of the International Whaling Commission 59th Annual Meeting, Anchorage, AK, USA, 5 April 2007; No. SC/59/DW6. pp. 1–9. [Google Scholar]
  41. Venn-Watson, S.; Daniels, R.; Smith, C. Thirty year retrospective evaluation of pneumonia in a bottlenose dolphin Tursiops truncatus population. Dis. Aquat. Org. 2012, 99, 237–242. [Google Scholar] [CrossRef]
  42. Van Bressem, M.F.; Van Waerebeek, K.; Raga, J.A. A review of virus infections of cetaceans and the potential impact of morbilliviruses, poxviruses and papillomaviruses on host population dynamics. Dis. Aquat. Org. 1999, 38, 53–65. [Google Scholar] [CrossRef] [PubMed]
  43. Sierra, E.; Sánchez, S.; Saliki, J.T.; Blas-Machado, U.; Arbelo, M.; Zucca, D.; Fernández, A. Retrospective study of etiologic agents associated with nonsuppurative meningoencephalitis in stranded cetaceans in the Canary Islands. J. Clin. Microbiol. 2014, 52, 2390–2397. [Google Scholar] [CrossRef]
  44. Colegrove, K.M.; Venn-Watson, S.; Litz, J.; Kinsel, M.J.; Terio, K.A.; Fougeres, E.; Ewing, R.; Pabst, D.A.; McLellan, W.A.; Raverty, S.; et al. Fetal distress and in utero pneumonia in perinatal dolphins during the Northern Gulf of Mexico unusual mortality event. Dis. Aquat. Org. 2016, 119, 1–16. [Google Scholar] [CrossRef] [PubMed]
  45. Di Guardo, G.; Di Francesco, C.E.; Eleni, C.; Cocumelli, C.; Scholl, F.; Casalone, C.; Peletto, S.; Mignone, W.; Tittarelli, C.; Di Nocera, F.; et al. Morbillivirus infection in cetaceans stranded along the Italian coastline: Pathological, immunohistochemical and biomolecular findings. Res. Vet. Sci. 2013, 94, 132–137. [Google Scholar] [CrossRef] [PubMed]
  46. Van Bressem, M.F.; Duignan, P.J.; Banyard, A.; Barbieri, M.; Colegrove, K.M.; De Guise, S.; Di Guardo, G.; Dobson, A.; Domingo, M.; Fauquier, D.; et al. Cetacean Morbillivirus: Current Knowledge and Future Directions. Viruses 2014, 6, 5145–5181. [Google Scholar] [CrossRef]
  47. Stephens, N.; Duignan, P.J.; Wang, J.; Bingham, J.; Finn, H.; Bejder, L.; Patterson, A.P.; Holyoake, C. Cetacean morbillivirus in coastal Indo-Pacific bottlenose dolphins, Western Australia. Emerg. Infect. Dis. 2014, 20, 666–670. [Google Scholar] [CrossRef]
  48. Stone, B.M.; Blyde, D.J.; Saliki, J.T.; Blas-Machado, U.; Bingham, J.; Hyatt, A.; Wang, J.; Payne, J.; Crameri, S. Fatal cetacean morbillivirus infection in an Australian offshore bottlenose dolphin (Tursiops truncatus). Aust. Vet. J. 2011, 89, 452–457. [Google Scholar] [CrossRef]
  49. Duignan, P.J.; House, C.; Odell, D.K.; Wells, R.S.; Hansen, L.J.; Walsh, M.T.; Aubin, D.J.S.; Rima, B.K.; Geraci, J.R. Morbillivirus infection in bottlenose dolphins: Evidence for recurrent epizootics in the western Atlantic and Gulf of Mexico. Mar. Mamm. Sci. 1996, 12, 499–515. [Google Scholar] [CrossRef]
  50. Raga, J.A.; Banyard, A.; Domingo, M.; Corteyn, M.; Van Bressem, M.F.; Fernández, M.; Aznar, F.J.; Barrett, T. Dolphin morbillivirus epizootic resurgence, Mediterranean Sea. Emerg. Infect. Dis. 2008, 14, 471–473. [Google Scholar] [CrossRef]
  51. McDonald, W.L.; Jamaludin, R.; Mackereth, G.; Hansen, M.; Humphrey, S.; Short, P.; Taylor, T.; Swingler, J.; Dawson, C.E.; Whatmore, A.M.; et al. Characterization of a Brucella sp. strain as a marine-mammal type despite isolation from a patient with spinal osteomyelitis in New Zealand. J. Clin. Microbiol. 2006, 44, 4363–4370. [Google Scholar] [CrossRef]
  52. Ross, H.M.; Foster, G.; Reid, R.J.; Jahans, K.L.; MacMillan, A.P. Brucella species infection in sea-mammals. Vet. Rec. 1994, 134, 359. [Google Scholar] [CrossRef]
  53. Ewalt, D.R.; Payeur, J.B.; Martin, B.M.; Cummins, D.R.; Miller, W.G. Characteristics of a Brucella species from a bottlenose dolphin (Tursiops truncatus). J. Vet. Diagn. Invest. 1994, 6, 448–452. [Google Scholar] [CrossRef]
  54. Mackie, J.T.; Blyde, D.; Harris, L.; Roe, W.D.; Keyburn, A.L. Brucellosis associated with stillbirth in a bottlenose dolphin in Australia. Aust. Vet. J. 2020, 98, 92–95. [Google Scholar] [CrossRef] [PubMed]
  55. Guzmán-Verri, C.; Gonzalez-Barrientos, R.; Hernández, G.; Morales, J.A.; Barquero-Calvo, E.; Chaves-Olarte, E.; Moreno, E. Brucella ceti and brucellosis in cetaceans. Front. Cell. Infect. Microbiol. 2012, 2, 1–22. [Google Scholar] [CrossRef] [PubMed]
  56. Di Renzo, L.; Di Francesco, G.; Profico, C.; Di Francesco, C.E.; Ferri, N.; Averaimo, D.; Di Guardo, G. Vibrio parahaemolyticus-and V. alginolyticus-associated meningo-encephalitis in a bottlenose dolphin (Tursiops truncatus) from the Adriatic coast of Italy. Res. Vet. Sci. 2017, 115, 363–365. [Google Scholar] [CrossRef]
  57. Venn-Watson, S.; Smith, C.R.; Jensen, E.D. Primary bacterial pathogens in bottlenose dolphins Tursiops truncatus: Needles in haystacks of commensal and environmental microbes. Dis. Aquat. Org. 2008, 79, 87–93. [Google Scholar] [CrossRef]
  58. Nelson, T.M.; Wallen, M.M.; Bunce, M.; Oskam, C.L.; Lima, N.; Clayton, L.; Mann, J. Detecting respiratory bacterial communities of wild dolphins: Implications for animal health. Mar. Ecol. Prog. Ser. 2019, 622, 203–217. [Google Scholar] [CrossRef]
  59. Lima, N.; Rogers, T.; Acevedo-Whitehouse, K.; Brown, M.V. Temporal stability and species specificity in bacteria associated with the bottlenose dolphins respiratory system. Environ. Microbiol. Rep. 2012, 4, 89–96. [Google Scholar] [CrossRef]
  60. Souter, R.; Chaber, A.L.; Lee, K.; Machado, A.; Lam, J.; Woolford, L. Fatal Streptococcus iniae infection in a juvenile free-ranging Short-Beaked Common Dolphin (Delphinus delphis). Animals 2021, 11, 3123. [Google Scholar] [CrossRef]
  61. Di Guardo, G.; Proietto, U.; Di Francesco, C.E.; Marsilio, F.; Zaccaroni, A.; Scaravelli, D.; Mignone, W.; Garibaldi, F.; Kennedy, S.; Forster, F.; et al. Cerebral toxoplasmosis in striped dolphins (Stenella coeruleoalba) stranded along the Ligurian Sea coast of Italy. Vet. Pathol. 2010, 47, 245–253. [Google Scholar] [CrossRef]
  62. Cruickshank, J.J.; Haines, D.M.; Palmer, N.C.; Staubin, D.J. Cysts of a Toxoplasma-like organisms in an Atlantic bottle-nose dolphin. Can. Vet. J. 1990, 31, 213–215. [Google Scholar]
  63. Inskeep, I.W.; Gardiner, C.H.; Harris, R.K.; Dubey, J.P.; Goldston, R.T. Toxoplasmosis in Atlantic bottle-nosed dolphins (Tursiops truncatus). J. Wildl. Dis. 1990, 26, 377–382. [Google Scholar] [CrossRef]
  64. Domingo, M.; Visa, J.; Pumarola, M.; Marco, A.J.; Ferrer, L.; Rabanal, R.; Kennedy, S. Pathologic and immunocytochemical studies of Morbillivirus infection in striped dolphins (Stenella coeruleoalba). Vet. Pathol. 1992, 29, 1–10. [Google Scholar] [CrossRef]
  65. Jardine, J.E.; Dubey, J.P. Congenital toxoplasmosis in an Indo-Pacific bottlenose dolphin (Tursiops aduncus). J. Parasitol. 2002, 88, 197–199. [Google Scholar] [CrossRef]
  66. Bowater, R.O.; Norton, J.; Johnson, S.; Hill, B.; O‘Donoghue, P.; Prior, H. Toxoplasmosis in Indo-Pacific humpbacked dolphins (Sousa chinensis), from Queensland. Aust. Vet. J. 2003, 81, 627–632. [Google Scholar] [CrossRef]
  67. Cooper, M.K.; Phalen, D.N.; Donahoe, S.L.; Rose, K.; Šlapeta, J. The utility of diversity profiling using Illumina 18S rRNA gene amplicon deep sequencing to detect and discriminate Toxoplasma gondii among the cyst-forming coccidia. Vet. Parasitol. 2016, 216, 38–45. [Google Scholar] [CrossRef] [PubMed]
  68. Measures, L.N. Lungworms of marine mammals. In Parasitic Diseases of Wild Mammals, 2nd ed.; Samuel, W.M., Pybus, M., Kocan, A.A., Eds.; Iowa State University Press: Ames, Iowa, 2001; pp. 279–300. [Google Scholar] [CrossRef]
  69. Dailey, M.; Stroud, R. Parasites and associated pathology observed in cetaceans stranded along the Oregon coast. J. Wildl. Dis. 1978, 14, 503–511. [Google Scholar] [CrossRef]
  70. Newman, S.J.; Smith, S.A. Marine mammal neoplasia: A review. Vet. Pathol. 2006, 43, 865–880. [Google Scholar] [CrossRef]
  71. Geraci, J.R.; Palmer, C.; St Aubin, D.J. Tumors in cetaceans: Analysis and new findings. Can. J. Fish. Aquat. Sci. 1987, 44, 1289–1300. [Google Scholar] [CrossRef]
  72. Rotstein, D.S.; Harms, C.A.; Lovewell, G.N.; Hohn, A.A. Gastric leiomyoma in a free-living Atlantic bottlenosed dolphin (Tursiops truncatus). Vet. Rec. 2007, 160, 130–131. [Google Scholar] [CrossRef]
  73. Thurman, G.D.; Williams, M.C. Neonatal mortality in two Indian Ocean bottlenose dolphins bred in captivity. Aquat. Mamm. 1986, 12, 83–86. [Google Scholar]
  74. Feinholz, D.M.; Atkinson, S. Possible aetiologies of yellow coloration in dolphin calves. Aquat. Mamm. 2000, 26, 191–195. [Google Scholar]
  75. Wilson, B.; Thompson, P.M.; Hammond, P.S. Skin lesions and physical deformities in bottlenose dolphins in the Moray Firth: Population prevalence and age-sex differences. Ambio 1997, 26, 243–247. [Google Scholar]
  76. Wilson, B.; Arnold, H.; Bearzi, G.; Fortuna, C.M.; Gaspar, R.; Ingram, S.; Liret, C.; Pribanic, S.; Read, A.J.; Ridoux, V.; et al. Epidermal diseases in bottlenose dolphins impacts of natural and anthropogenic factors. Proc. Royal Soc. B 1999, 266, 1077–1083. [Google Scholar] [CrossRef]
  77. Bearzi, M.; Rapoport, S.; Chau, J.; Saylan, C. Skin lesions and physical deformities of coastal and offshore common bottlenose dolphins (Tursiops truncatus) in Santa Monica Bay and adjacent areas, California. Ambio 2009, 38, 66–71. [Google Scholar] [CrossRef]
  78. Maldini, D.; Riggin, J.; Cecchetti, A.; Cotter, M.P. Prevalence of epidermal conditions in California coastal bottlenose dolphins (Tursiops truncatus) in Monterey Bay. Ambio 2010, 39, 455–462. [Google Scholar] [CrossRef]
  79. Blanchard, T.W.; Santiago, N.T.; Lipscomb, T.P.; Garber, R.L.; McFee, W.E.; Knowles, S. Two novel alphaherpesviruses associated with fatal disseminated infections in Atlantic bottlenose dolphins. J. Wildl. Dis. 2001, 37, 297–305. [Google Scholar] [CrossRef]
  80. Rehtanz, M.; Ghim, S.J.; Rector, A.; Van Ranst, M.; Fair, P.A.; Bossart, G.D.; Jenson, A.B. Isolation and characterization of the first American bottlenose dolphin papillomavirus: Tursiops truncatus papillomavirus type 2. J. Gen. Virol. 2006, 87, 3559–3565. [Google Scholar] [CrossRef]
  81. Van Bressem, M.F.; Van Waerebeek, K.; Reyes, J.C.; Félix, F.; Echegaray, M.; Siciliano, S.; Di Beneditto, A.P.; Flach, L.; Viddi, F.; Avila, I.C.; et al. A preliminary overview of skin and skeletal diseases and traumata in small cetaceans from South American waters. LAJAM 2007, 6, 7–42. [Google Scholar] [CrossRef]
  82. Melero, M.; Rubio-Guerri, C.; Crespo, J.L.; Arbelo, M.; Vela, A.I.; García-Párraga, D.; Sierra, E.; Domínguez, L.; Sánchez-Vizcaíno, J.M. First case of erysipelas in a free-ranging bottlenose dolphin (Tursiops truncatus) stranded in the Mediterranean Sea. Dis. Aquat. Org. 2011, 97, 167–170. [Google Scholar] [CrossRef]
  83. Van Bressem, M.F.; Gaspar, R.; Aznar, F.J. Epidemiology of tattoo skin disease in bottlenose dolphins Tursiops truncatus from the Sado estuary, Portugal. Dis. Aquat. Org. 2003, 56, 171–179. [Google Scholar] [CrossRef]
  84. Duignan, P.J.; Stephens, N.S.; Robb, K. Fresh water skin disease in dolphins: A case definition based on pathology and environmental factors in Australia. Sci. Rep. 2020, 10, 21979. [Google Scholar] [CrossRef]
  85. Van Bressem, M.F.; Simões-Lopes, P.C.; Félix, F.; Kiszka, J.J.; Daura-Jorge, F.G.; Avila, I.C.; Secchi, E.R.; Flach, L.; Fruet, P.F.; Du Toit, K.; et al. Epidemiology of lobomycosis-like disease in bottlenose dolphins Tursiops spp. from South America and southern Africa. Dis. Aquat. Org. 2015, 117, 59–75. [Google Scholar] [CrossRef]
  86. Kemper, C.; Coughran, D.; Warneke, R.; Pirzl, R.; Watson, M.; Gales, R.; Gibbs, S. Southern right whale (Eubalaena australis) mortalities and human interactions in Australia, 1950–2006. J. Cetacean Res. Manage. 2008, 10, 1–8. [Google Scholar]
  87. Cassoff, R.M.; Moore, K.M.; McLellan, W.A.; Barco, S.G.; Rotstein, D.S.; Moore, M.J. Lethal entanglement in baleen whales. Dis. Aquat. Org. 2011, 96, 175–185. [Google Scholar] [CrossRef] [PubMed]
  88. Knowlton, A.R.; Kraus, S.D. Mortality and serious injury of northern right whales (Eubalaena glacialis) in the western North Atlantic Ocean. J. Cetacean Res. Manage. 2001, 2, 193–208. [Google Scholar] [CrossRef]
  89. Laist, D.W.; Knowlton, A.R.; Mead, J.G.; Collet, A.S.; Podesta, M. Collisions between ships and whales. Mar. Mamm. Sci. 2001, 17, 35–75. [Google Scholar] [CrossRef]
  90. Kemper, C.M. Records of humpback whales Megaptera novaeangliae in South Australia. Trans. R. Soc. S. Aust. 2005, 129, 53–58. [Google Scholar]
Figure 1. Map showing the locations of specimen and non-specimen records used in the study on St Vincent Gulf Bioregion cetaceans during 2009–2020. The blue shaded area is the bioregion. (See Section 2.2 for definitions of ‘specimen’ and ‘non-specimen’).
Figure 1. Map showing the locations of specimen and non-specimen records used in the study on St Vincent Gulf Bioregion cetaceans during 2009–2020. The blue shaded area is the bioregion. (See Section 2.2 for definitions of ‘specimen’ and ‘non-specimen’).
Oceans 03 00030 g001
Figure 2. Records of Indo-Pacific bottlenose dolphins (Tursiops aduncus) and common dolphins (Delphinus delphis) in the St Vincent Gulf Bioregion, South Australia, each year during the study (2009–2020).
Figure 2. Records of Indo-Pacific bottlenose dolphins (Tursiops aduncus) and common dolphins (Delphinus delphis) in the St Vincent Gulf Bioregion, South Australia, each year during the study (2009–2020).
Oceans 03 00030 g002
Figure 3. Frequency of males and females in five relative age groups of Indo-Pacific bottlenose dolphins (Tursiops aduncus) and common dolphins (Delphinus delphis) from the St Vincent Gulf Bioregion, South Australia, during 2009–2020.
Figure 3. Frequency of males and females in five relative age groups of Indo-Pacific bottlenose dolphins (Tursiops aduncus) and common dolphins (Delphinus delphis) from the St Vincent Gulf Bioregion, South Australia, during 2009–2020.
Oceans 03 00030 g003
Figure 4. Proportional representation of circumstance of death categories for necropsied Indo-Pacific bottlenose dolphins (Tursiops aduncus) and common dolphins (Delphinus delphis) from the St Vincent Gulf Bioregion, South Australia, during 2009–2020. Unknown cases were excluded from both charts. Numbers are the counts of cases in each category.
Figure 4. Proportional representation of circumstance of death categories for necropsied Indo-Pacific bottlenose dolphins (Tursiops aduncus) and common dolphins (Delphinus delphis) from the St Vincent Gulf Bioregion, South Australia, during 2009–2020. Unknown cases were excluded from both charts. Numbers are the counts of cases in each category.
Oceans 03 00030 g004
Figure 5. Proportional representation of the types of pathological changes in the Indo-Pacific bottlenose dolphin (Tursiops aduncus) and common dolphin (Delphinus delphis) from the St Vincent Gulf Bioregion, South Australia, during 2009–2020. Numbers are the counts of cases in each category.
Figure 5. Proportional representation of the types of pathological changes in the Indo-Pacific bottlenose dolphin (Tursiops aduncus) and common dolphin (Delphinus delphis) from the St Vincent Gulf Bioregion, South Australia, during 2009–2020. Numbers are the counts of cases in each category.
Oceans 03 00030 g005
Figure 6. Neonatal male common dolphin (Delphinus delphis) from the Adelaide metropolitan coast of the St Vincent Gulf Bioregion, South Australia. All abdominal organs and adipose tissue were yellow in color, a sign of jaundice. Compare the color of the organs with Figure 7.
Figure 6. Neonatal male common dolphin (Delphinus delphis) from the Adelaide metropolitan coast of the St Vincent Gulf Bioregion, South Australia. All abdominal organs and adipose tissue were yellow in color, a sign of jaundice. Compare the color of the organs with Figure 7.
Oceans 03 00030 g006
Figure 7. Adult female common dolphin (Delphinus delphis). (A) Intestine with numerous neoplastic nodules (blue arrows), scale = 5 cm. (B) Tumor cells (blue arrow) developed between the muscle layer and serosal membrane of the small intestine, scale = 100 µm. (C) High magnification of the nodule showing mature spindle-shaped cells of a suspected stromal tumor, scale = 50 µm.
Figure 7. Adult female common dolphin (Delphinus delphis). (A) Intestine with numerous neoplastic nodules (blue arrows), scale = 5 cm. (B) Tumor cells (blue arrow) developed between the muscle layer and serosal membrane of the small intestine, scale = 100 µm. (C) High magnification of the nodule showing mature spindle-shaped cells of a suspected stromal tumor, scale = 50 µm.
Oceans 03 00030 g007
Figure 8. Comparison of the circumstances of death (upper pie charts) and types of infectious inflammation (lower pie charts) for Indo-Pacific bottlenose dolphins (Tursiops aduncus) in the Adelaide Dolphin Sanctuary (ADS) and elsewhere in the St Vincent Gulf Bioregion (SVG), South Australia, during 2009–2020. Unknown circumstance of death cases were not included in the proportions. Numbers are the counts of cases in each category.
Figure 8. Comparison of the circumstances of death (upper pie charts) and types of infectious inflammation (lower pie charts) for Indo-Pacific bottlenose dolphins (Tursiops aduncus) in the Adelaide Dolphin Sanctuary (ADS) and elsewhere in the St Vincent Gulf Bioregion (SVG), South Australia, during 2009–2020. Unknown circumstance of death cases were not included in the proportions. Numbers are the counts of cases in each category.
Oceans 03 00030 g008
Publisher’s Note: MDPI stays neutral with regard to jurisdictional claims in published maps and institutional affiliations.

Share and Cite

MDPI and ACS Style

Tomo, I.; Kemper, C.M. Strandings in St Vincent Gulf Bioregion, South Australia: 12-Year Study Monitors Biology and Pathology of Cetaceans. Oceans 2022, 3, 439-463. https://doi.org/10.3390/oceans3040030

AMA Style

Tomo I, Kemper CM. Strandings in St Vincent Gulf Bioregion, South Australia: 12-Year Study Monitors Biology and Pathology of Cetaceans. Oceans. 2022; 3(4):439-463. https://doi.org/10.3390/oceans3040030

Chicago/Turabian Style

Tomo, Ikuko, and Catherine M. Kemper. 2022. "Strandings in St Vincent Gulf Bioregion, South Australia: 12-Year Study Monitors Biology and Pathology of Cetaceans" Oceans 3, no. 4: 439-463. https://doi.org/10.3390/oceans3040030

APA Style

Tomo, I., & Kemper, C. M. (2022). Strandings in St Vincent Gulf Bioregion, South Australia: 12-Year Study Monitors Biology and Pathology of Cetaceans. Oceans, 3(4), 439-463. https://doi.org/10.3390/oceans3040030

Article Metrics

Back to TopTop