Surgical Procedures to Enhance Prosthetic Prognosis in the Rehabilitation of a Maxillectomy Defect Due to Sinonasal Carcinoma: A Case Report
Abstract
1. Introduction
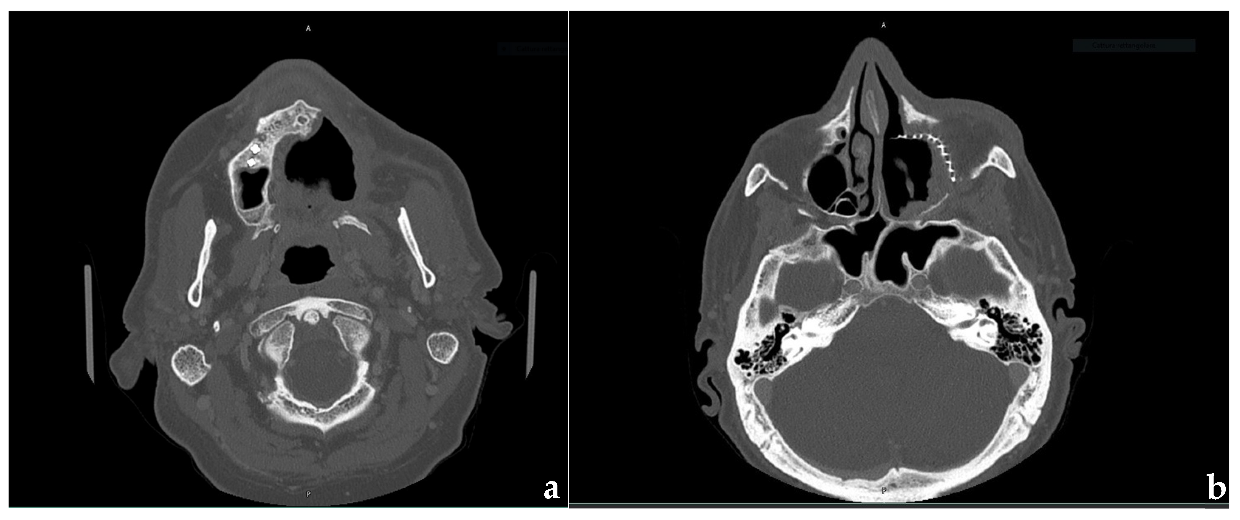
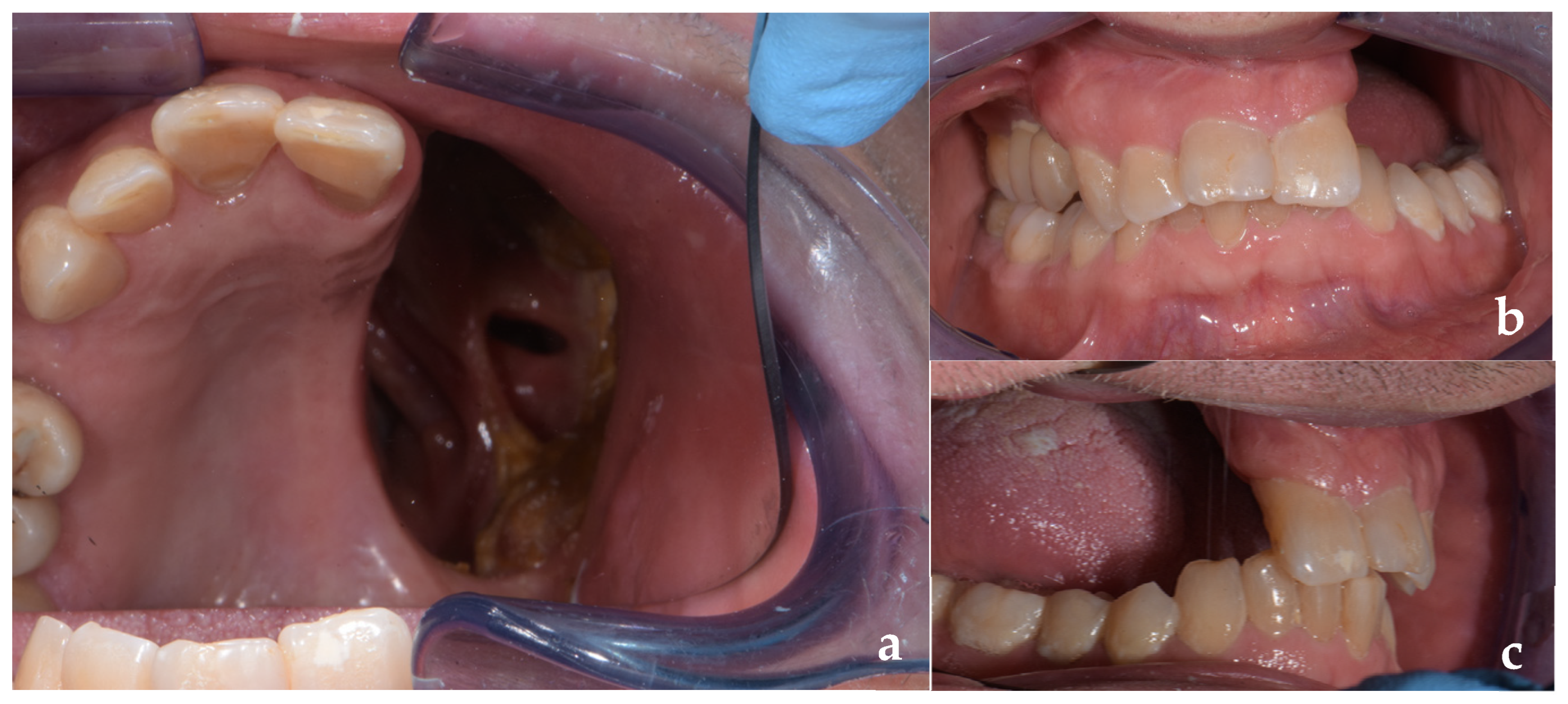
2. Clinical Case Presentation
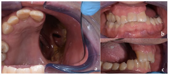
2.1. Surgical Procedures
2.2. Prosthetic Management
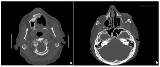
3. Results
4. Discussion
Author Contributions
Funding
Institutional Review Board Statement
Informed Consent Statement
Data Availability Statement
Conflicts of Interest
References
- Lin, J.; Xie, B.; Yi, X.; Wu, S.; Ji, Y.; Xu, E.; Zhuo, Q.; Li, G.; Fu, R.; Wang, J.; et al. Global Burden and Trends of Common Head and Neck Cancers between 1990 and 2021: Findings from the Global Burden of Disease Study 2021. BMC Oral Health 2025, 25, 1773. [Google Scholar] [CrossRef] [PubMed]
- Chow, L.Q.M. Head and Neck Cancer. N. Engl. J. Med. 2020, 382, 60–72. [Google Scholar] [CrossRef] [PubMed]
- Thawani, R.; Kim, M.S.; Arastu, A.; Feng, Z.; West, M.T.; Taflin, N.F.; Thein, K.Z.; Li, R.; Geltzeiler, M.; Lee, N.; et al. The Contemporary Management of Cancers of the Sinonasal Tract in Adults. CA Cancer J. Clin. 2023, 73, 72–112. [Google Scholar] [CrossRef] [PubMed]
- Binazzi, A.; di Marzio, D.; Mensi, C.; Consonni, D.; Miligi, L.; Piro, S.; Zajacovà, J.; Sorasio, D.; Galli, P.; Camagni, A.; et al. Gender Differences in Sinonasal Cancer Incidence: Data from the Italian Registry. Cancers 2024, 16, 2053. [Google Scholar] [CrossRef]
- dos Santos, D.M.; de Caxias, F.P.; Bitencourt, S.B.; Turcio, K.H.; Pesqueira, A.A.; Goiato, M.C. Oral Rehabilitation of Patients after Maxillectomy. A Systematic Review. Br. J. Oral Maxillofac. Surg. 2018, 56, 256–266. [Google Scholar] [CrossRef]
- Kornblith, A.B.; Zlotolow, I.M.; Gooen, J.; Huryn, J.M.; Lerner, T.; Strong, E.W.; Shah, J.P.; Spiro, R.H.; Holland, J.C. Quality of Life of Maxillectomy Patients Using an Obturator Prosthesis. Head Neck 1996, 18, 323–334. [Google Scholar] [CrossRef]
- Manoj, N.; Singaravel Chidambaranathan, A.; Balasubramanium, M.K.; Rajapandi, G.R.K. Role of Obturator in Restoring Quality of Life and Function in Maxillary Oncological Defect Cases—A Systematic Review. Oral Oncol. Rep. 2024, 11, 100636. [Google Scholar] [CrossRef]
- Saverio, C.; Antonio, B.; Hao, H.Z.; Silvia, P.; Gianluigi, C.; Dorina, L.; Carinci, F. Definitive Palatal Obturator Applications: A Systematic Literature Review. Prosthesis 2025, 7, 112. [Google Scholar] [CrossRef]
- Chen, C.; Ren, W.; Gao, L.; Cheng, Z.; Zhang, L.; Li, S.; Zhi, P.K. Function of Obturator Prosthesis after Maxillectomy and Prosthetic Obturator Rehabilitation. Braz. J. Otorhinolaryngol. 2016, 82, 177–183. [Google Scholar] [CrossRef]
- Muscat, K.; Cobb, R.; Vassiliou, L.; Fry, A.; Cascarini, L. Scarless Total Maxillectomy: Midfacial Degloving with Extended Transconjunctival Retrocaruncular Approach. Br. J. Oral Maxillofac. Surg. 2017, 55, 857–858. [Google Scholar] [CrossRef]
- Artopoulou, I.I.; Karademas, E.C.; Papadogeorgakis, N.; Papathanasiou, I.; Polyzois, G. Effects of Sociodemographic, Treatment Variables, and Medical Characteristics on Quality of Life of Patients with Maxillectomy Restored with Obturator Prostheses. J. Prosthet. Dent. 2017, 118, 783–789.e4. [Google Scholar] [CrossRef] [PubMed]
- El Fattah, H.; Zaghloul, A.; Pedemonte, E.; Escuin, T. Pre-Prosthetic Surgical Alterations in Maxillectomy to Enhance the Prosthetic Prognoses as Part of Rehabilitation of Oral Cancer Patient. Med. Oral Patol. Oral Cir. Bucal 2012, 17, 262–270. [Google Scholar] [CrossRef]
- Rieger, J.; Wolfaardt, J.; Seikaly, H.; Jha, N. Speech Outcomes in Patients Rehabilitated with Maxillary Obturator Prostheses after Maxillectomy: A Prospective Study. Int. J. Prosthodont. 2001, 15, 139–144. [Google Scholar]
- Brown, J.; Rogers, S.; McNally, D.; Boyle, M. A Modified Classification for the Maxillectomy Defect. Head Neck 2000, 22, 17–26. [Google Scholar] [CrossRef]
- Sullivan, M.; Gaebler, C.; Beukelman, D.; Mahanna, G.; Marshall, J.; Lydiatt, D.; Lydiatt, W.M. Impact of Palatal Prosthodontic Intervention on Communication Performance of Patients’ Maxillectomy Defects: A Multilevel Outcome Study. Head Neck 2002, 24, 530–538. [Google Scholar] [CrossRef]
- Aramany, M.A. Basic Principles of Obturator Design for Partially Edentulous Patients. Part I: Classification. J. Prosthet. Dent. 1978, 40, 554–557. [Google Scholar] [CrossRef]
- Aramany, M.A. Basic Principles of Obturator Design for Partially Edentulous Patients. Part II: Design Principles. J. Prosthet. Dent. 2001, 86, 562–568. [Google Scholar] [CrossRef]
- Parr, G.R.; Tharp, G.E.; Rahn, A.O. Prosthodontic Principles in the Framework Design of Maxillary Obturator Prostheses. J. Prosthet. Dent. 1989, 62, 205–212. [Google Scholar] [CrossRef]
- Mahross, H.Z.; Atito, E.M.; Mansour, M.M.; Badr, W.E.; Osman, M.S.; Quassem, M.A. Stress Analysis of Mandibular Kennedy Class I Partial Overdenture Submitted to Different Implant Length and Clasp Designs—An in Vitro Study. J. Prosthodont. 2024. [Google Scholar] [CrossRef]
- Carr, A.B.; Brown, D.T. McCracken’s Removable Partial Prosthodontics, 13th ed.; Mosby: St. Louis, MO, USA, 2015; Available online: https://shop.elsevier.com/books/mccrackens-removable-partial-prosthodontics/carr/978-0-323-33990-2 (accessed on 5 December 2025).
- Krol, A.J. Clasp Design for Extension-Base Removable Partial Dentures. J. Prosthet. Dent. 1973, 29, 408–415. [Google Scholar] [CrossRef]
- Beumer, J.; Curtis, T.; Marunick, M. Maxillofacial Rehabilitation: Prosthodontic and Surgical Considerations; CV Mosby Company: St. Louis, MO, USA, 1979. [Google Scholar]
- Beumer, J.; Faulkner, R.F.; Shah, K.C.; Wu, B.M. Fundamentals of Implant Dentistry. Volume 1, Prosthodontic Principles; Quintessence Publishing: New Malden, UK, 2022; p. 610. [Google Scholar]
- Leupold, R.J.; Kratochvil, F.J. An Altered-Cast Procedure to Improve Tissue Support for Removable Partial Dentures. J. Prosthet. Dent. 1965, 15, 672–678. [Google Scholar] [CrossRef]
- Frank, R.P.; Brudvik, J.S.; Noonan, C.J. Clinical Outcome of the Altered Cast Impression Procedure Compared with Use of a One-Piece Cast. J. Prosthet. Dent. 2004, 91, 468–476. [Google Scholar] [CrossRef]
- Desjardins, R.P. Obturator Prosthesis Design for Acquired Maxillary Defects. J. Prosthet. Dent. 1978, 39, 424–435. [Google Scholar] [CrossRef]
- Ali, M.M.; Khalifa, N.; Alhajj, M.N. Quality of Life and Problems Associated with Obturators of Patients with Maxillectomies. Head Face Med. 2018, 14, 2. [Google Scholar] [CrossRef]
- Jamayet, N.B.; Farook, T.H.; AL-Oulabi, A.; Johari, Y.; Patil, P.G. Digital Workflow and Virtual Validation of a 3D-Printed Definitive Hollow Obturator for a Large Palatal Defect. J. Prosthet. Dent. 2023, 129, 798–804. [Google Scholar] [CrossRef]








Disclaimer/Publisher’s Note: The statements, opinions and data contained in all publications are solely those of the individual author(s) and contributor(s) and not of MDPI and/or the editor(s). MDPI and/or the editor(s) disclaim responsibility for any injury to people or property resulting from any ideas, methods, instructions or products referred to in the content. |
© 2025 by the authors. Licensee MDPI, Basel, Switzerland. This article is an open access article distributed under the terms and conditions of the Creative Commons Attribution (CC BY) license.
Share and Cite
Crupi, A.; Pecorari, G.; Ronsivalle, V.; Cicciù, M. Surgical Procedures to Enhance Prosthetic Prognosis in the Rehabilitation of a Maxillectomy Defect Due to Sinonasal Carcinoma: A Case Report. Prosthesis 2026, 8, 6. https://doi.org/10.3390/prosthesis8010006
Crupi A, Pecorari G, Ronsivalle V, Cicciù M. Surgical Procedures to Enhance Prosthetic Prognosis in the Rehabilitation of a Maxillectomy Defect Due to Sinonasal Carcinoma: A Case Report. Prosthesis. 2026; 8(1):6. https://doi.org/10.3390/prosthesis8010006
Chicago/Turabian StyleCrupi, Armando, Giancarlo Pecorari, Vincenzo Ronsivalle, and Marco Cicciù. 2026. "Surgical Procedures to Enhance Prosthetic Prognosis in the Rehabilitation of a Maxillectomy Defect Due to Sinonasal Carcinoma: A Case Report" Prosthesis 8, no. 1: 6. https://doi.org/10.3390/prosthesis8010006
APA StyleCrupi, A., Pecorari, G., Ronsivalle, V., & Cicciù, M. (2026). Surgical Procedures to Enhance Prosthetic Prognosis in the Rehabilitation of a Maxillectomy Defect Due to Sinonasal Carcinoma: A Case Report. Prosthesis, 8(1), 6. https://doi.org/10.3390/prosthesis8010006

