Next Article in Journal
Evaluating the Relationship Between Gastrointestinal Bleeding and Valvular Heart Disease: A Systematic Review of Clinical Studies
Previous Article in Journal
Assessment of Glecaprevir/Pibrentasvir Treatment’s Influence on Biochemical and Metabolic Markers in Patients with Chronic Hepatitis
 
 
Font Type:
Arial Georgia Verdana
Font Size:
Aa Aa Aa
Line Spacing:
Column Width:
Background:
Article

Low-Grade Appendiceal Mucinous Neoplasm vs. Appendiceal Diverticulum: Distinction with Histomorphologic Features

1
Department of Pathology, Ankara University Medical School, Sihhiye, 06100 Ankara, Turkey
2
Department of General Surgery, Ankara University Medical School, Sihhiye, 06100 Ankara, Turkey
*
Author to whom correspondence should be addressed.
Gastrointest. Disord. 2024, 6(4), 905-915; https://doi.org/10.3390/gidisord6040064
Submission received: 23 September 2024 / Revised: 31 October 2024 / Accepted: 12 November 2024 / Published: 19 November 2024

Abstract

Background: Low-grade appendiceal mucinous neoplasms (LAMNs) are rare lesions of the vermiform appendix and characterized by mucinous epithelial proliferation, extracellular mucin, and the absence of destructive invasion. Appendiceal diverticulum (AD) is also an uncommon condition that may be challenging to differentiate from acute appendicitis when it is superimposed by diverticulitis or perforation. Some recently published studies emphasized that complicated AD with mucosal hyperplasia can be confused with LAMNs, leading to overdiagnosis. The present study aimed to determine the histopathological features which can be used in the differential diagnosis of LAMNs and ADs, particularly complicated diverticula, in a large cohort. Methods: Cases comprising LAMNs and ADs diagnosed between 2011 and 2021 were included in the study. All cases were evaluated for the epithelial lining, the wall of the lesions, and the presence of cellular or acellular mucin, with its localization in terms of level and site of involvement within the appendix also recorded. Results: The hypermucinous epithelium characteristic of LAMNs, fibrosis, and calcification in the wall and the absence of lamina propria and muscularis mucosa proved to be the most discriminatory features in the differential diagnosis of LAMNs and ADs. Conclusions: The distinction between mucinous neoplasia and its mimics is critically important, since mucinous neoplasia requires surveillance imaging and potential surgery or chemotherapy depending on the extent of the disease, whereas non-neoplastic lesions are treated by an appendectomy and require no future intervention or surveillance.

1. Introduction

Since the first description of appendiceal mucocele by von Rokitansky in 1842 [1], various classification systems and different terminologies have been proposed for appendiceal mucinous neoplasms (AMNs) [2]. Current WHO classification categorizes appendiceal mucinous tumors into two groups based on their invasion patterns; LAMNs showing pushing invasion and mucinous adenocarcinoma with infiltrative invasion [3,4,5]. Low-grade appendiceal mucinous neoplasms (LAMNs) characterized by mucinous epithelial proliferation, extracellular mucin, and the absence of destructive invasion are rare neoplasms of the vermiform appendix that can be found in approximately 0.3% of all appendectomy specimens. Although they are quite rare, LAMNs are the most frequent epithelial neoplasms of the appendix and the most common cause of fatal disseminated peritoneal mucinous disease called pseudomyxoma peritonei (PMP) [6].
LAMNs are characterized by replacement of the appendiceal mucosa with a villous, undulating, or flattened neoplastic mucinous epithelium demonstrating low-grade cytologic dysplasia. Several lesions may mimic LAMNs histologically, including serrated polyps, conventional adenoma, appendiceal diverticula, endometriosis with mucinous metaplasia, and mucosal hyperplasia in the setting of acute appendicitis. Appendiceal diverticula (AD) are characterized by herniation of the appendiceal mucosa through the muscularis propria. The rupture of diverticula can cause extrusion of mucin into the wall of the appendix, forming mucin deposits within the subserosa, mesoappendix, and on the visceral peritoneal surface, which often raises concern for LAMNs as both conditions can also show cytological atypia, crypt disarray, hyperplastic/serrated features, and atrophy of lymphoid tissue. In contrast to LAMNs, however, ruptured diverticula contain appendiceal crypts without mucinous hyperplasia surrounded by preserved lamina propria [7]. AD can also manifest as mucosal atrophy caused by intraluminal pressure, resulting in a flattened surface epithelium covering the atrophic mucosa which may also resemble the flattened dysplastic epithelium of LAMNs [8]. It is important to see the continuity between the diverticula and appendiceal lumen, which may not always be possible on the initial sections of the appendix; thus, additional level sections and entire submission of the appendix may be necessary for the diagnosis of diverticula and also to exclude the possibility of a neoplastic mucinous epithelium indicative of LAMNs [9]. Nevertheless, distinguishing these two entities is of great importance because LAMNs are associated with a significant risk of PMP and require long-term clinical and radiological follow-up, while AD has no risk of disseminated intraperitoneal disease [9].
However, distinction may not be possible in cases where LAMNs are accompanied by diverticula [5,6,7]. Although previous reports indicated a relatively high association between ADs and LAMNs, ranging from 11.9% to 60.5% [10,11,12,13], particularly in adults, it is usually overlooked during pathological examination [12]. The proposed mechanism for this co-occurrence is either via the involvement of a pre-existing diverticulum by the neoplasm or by distention of the appendiceal lumen with mucin produced by LAMNs, leading to increased intraluminal pressure and subsequent diverticulum formation at a weakened area in the wall. Regardless of the mechanism involved, the presence of a diverticulum might facilitate low-grade mucinous neoplasms to penetrate the appendiceal wall more easily [5,12].
The present study aimed to determine the histopathological features which can be used in the differential diagnosis of LAMNs and ADs, particularly complicated diverticula, in a large cohort. Further assessment using these histopathologic features was employed for the co-occurrence of LAMNs and ADs in the appendices of the cohort.

2. Results

2.1. Clinicopathologic Features

Of the 105 patients included in the study, the mean age was 58.6 years in LAMNs, 59.7 in complicated cases, and 48.9 years in the AD group (ADs vs. both LAMNs and complicated cases: p < 0.01). There was no difference in gender distribution between all three groups.
In LAMNs, the indications for surgery were as follows: symptoms of acute appendicitis in 13 (34%), an isolated appendiceal mass in 15 cases (34%), a disseminated abdominal tumor as PMP in 12 cases (28%), and an incidental appendiceal mass in 3 (8%) cases resected during a gynecological operation. In AD patients, incidental findings of symptoms of other diseases in 9 cases (43%) and abdominal pain suspicious of acute appendicitis in the remaining 15 cases (57%) were present. In the complicated cases, symptoms of acute appendicitis in 18 (50%), an isolated appendiceal mass in 9 (25%), and an incidental appendiceal mass in 9 (25%) were present (Table 1).
Macroscopic data could be obtained from the pathology reports in 39 of 43 (90%) LAMNs, since the remaining 4 (10%) were consult cases for which the diameter or length of the appendix could not be determined. In the complicated group, five (14%) were consult cases, so the diameter and length of the appendix could not be determined. In the remaining 31 (86%), macroscopic data were retrieved from the pathology reports. Data from the macroscopic evaluation were present in all AD cases. LAMNs (2.48 cm and 6.54 cm, respectively) and complicated cases (2.01 cm and 6.56 cm, respectively) were significantly (p < 0.001) larger compared to ADs (1.22 cm and 5.97 cm, respectively) in terms of the mean diameter and length of the appendix. In Table 2, all of the histopathologic data are summarized.

2.2. Histopathologic Findings

An undulating–pseudostratified epithelium without slender, filiform villi was observed in 25 definite LAMNs and 7 complicated cases, but none of the definite AD cases showed this feature. The absence of this epithelial feature is a very important parameter in the diagnosis of ADs and was statistically significant (AD vs. LAMN: p < 0.001; AD vs. complicated: p < 0.05; LAMN vs. complicated: p < 0.001). A single-layered filiform/villiform epithelium was observed in 10 definite LAMNs, 13 complicated cases, and none of the definite AD cases. The absence of a single-layered filiform/villiform epithelium in ADs proved to be a very important finding in distinguishing this group from the other two groups (AD vs. LAMN: p < 0.05; AD vs. complicated: p = 0.001; LAMN vs. complicated: p > 0.05). The specificity and sensitivity of an undulating–pseudostratified and single-layered filiform/villiform epithelium for the diagnosis of LAMNs were both 100%.
A flat single-layered epithelium was detected in 32 definite LAMNs, 18 complicated cases, and 2 definite AD cases. Although it had statistically significant p values (p < 0.001) in differentiating AD cases from LAMN and complicated cases, the sensitivity was 74% and the specificity was 92% for the diagnosis of LAMNs, since very few ADs (two cases) showed this epithelium.
When all three epithelial features were evaluated together (combined), the sensitivity reached 100% and the specificity was 92% in differentiating the LAMN group from the AD group (PPV: 0.95, NPV: 1.00). Table 3 summarizes the sensitivity, specificity, PPV (positive predictive value), and NPV (negative predictive value) of the histopathologic features in the diagnosis of LAMNs.
Fibrosis of the wall was observed in 35 definite LAMN cases and 29 complicated cases, and it was detected only in 5 definite AD cases. In particular, the absence of fibrosis in the wall can be considered a very important parameter in differentiating AD cases (AD vs. LAMN: p < 0.001; AD vs. complicated cases: p < 0.001). Hyalinization was not observed in any of the AD cases. It was observed in 22 complicated cases and 37 LAMNs (AD vs. LAMN: p < 0.001; AD vs. complicated: p < 0.001). Similarly, calcification was not observed in any AD cases, and it was observed in 17 cases of LAMNs and 3 complicated cases. It is an important parameter in the diagnosis of LAMNs (LAMN vs. AD: p < 0.001; LAMN vs. complicated: p = 0.001).
In the diagnosis of LAMNs, the sensitivity and specificity of fibrosis, hyalinization, and calcification of the appendiceal wall were 81% and 80%, 86% and 100%, and 69% and 100%, respectively.
Lamina propria was observed in all AD cases and was detected in 3 LAMN and 8 complicated cases (AD vs. LAMN: p < 0.001; AD vs. complicated: p < 0.01). The presence of lamina propria could be accepted as a diagnostic criteria for AD (sensitivity: 100% and specificity: 86%).
The presence of muscularis mucosa was observed in all AD cases, and it was detected in only 1 of the LAMNs and 9 of the complicated cases (p < 0.001). It could be considered a powerful parameter in the differential diagnosis of ADs vs. LAMNs (sensitivity: 100% and specificity: 88%).
Rupture was not observed in definite AD cases, while it was present in 11 definite LAMNs and in 10 complicated cases. The presence of acellular mucin in the wall was observed in 27 definite LAMNs and 28 complicated cases. The absence of rupture and acellular mucin was an important feature distinguishing definite ADs from definite LAMNs and complicated cases (AD vs. LAMN: p < 0.001; AD vs. complicated: p < 0.001). In contrast, when present, both criteria created major difficulties in the differential diagnosis of ADs and LAMNs.
Lymphoid aggregates in the lamina propria, acute and chronic inflammation, goblet cell-rich hyperplasia, paneth cells, and the location of diverticula did not show statistically significant differences between the three groups. Cellular mucin in the wall was observed in only 12 cases of LAMNs with PMP.
In the AD group, 6 of 26 cases (23%) had other associated appendiceal lesions (2 sessile serrated polyps/lesions; 2 hyperplastic polyps; 1 well-differentiated neuroendocrine tumor; and 1 mucus retention cyst with no epithelial lining). Peritoneal involvement by LAMNs as LG PMP was characterized by mucin pools surrounded by dense collagenous tissue in 12 (28%) cases, which showed abundant extracellular mucin containing scant strips of the simple epithelium with minimal-to-mild cytologic atypia. In our series, we had no appendiceal LAMNs associated with HG PMP.
Follow-ups were obtained from the hospital registry system in 25 LAMN patients, 20 complicated cases, and only 3 AD patients. Two patients with LAMNs died of disease (PMP) in the immediate postoperative period. One had multiple liver metastasis on the 7th month of follow-up and died later during the second surgery. The other had PMP after 13 months of follow-up, but was lost to follow-up after radiologic detection of PMP. The remaining LAMNs (41 patients) were alive with a median follow-up time of 12 months (2–118 months). One patient with ADs died of lung carcinoma one month following the operation. Others were alive, with a follow-up time ranging between 3 and 72 months.
Statistical analysis revealed that a combination of a hypermucinous epithelium (sensitivity: 100%, specificity: 92%), fibrosis (sensitivity: 81%, specificity: 80%), calcification (sensitivity: 69%, specificity: 100%) in the wall, and the absence of lamina propria and muscularis mucosa had the highest sensitivity and specificity. When these criteria were applied to the complicated cases, 9 cases were re-classified as ADs and 27 cases as LAMNs.

3. Materials and Methods

3.1. Cases

All cases comprising LAMNs and ADs, diagnosed in the Department of Pathology, between 2011 and 2021 were included in the study. Clinical data regarding demographic information, presenting symptoms, and patient outcomes were retrieved from the electronic medical records of the patients.
Pathology reports of the cases were reviewed for gross features including the size of the appendix, the localization of the lesion within the appendix, the presence of grossly identifiable mucin deposits in the wall/on the serosal surface, and the presence of perforation. From appendices that were not operated on due to suspicion of malignancy, grossly, three pieces were taken routinely, one from the tip, one from the body, and one from the resection margin. In appendices demonstrating dilatation of the lumen as a result of abnormal accumulation of mucin, and/or showing thickened hypermucinous mucosal lining, total sampling was performed with a suspicion of malignancy on macroscopic examination. Since all diverticula were located at the tip of the appendix, initial sampling was considered sufficient to demonstrate ADs unless microscopy revealed suspicion of any accompanying lesion.

3.2. Histopathologic Examination

Hematoxylin- and eosin-stained slides of routinely processed, formalin-fixed tissue sections from the resected appendices were re-evaluated by three pathologists, two of whom specialized in GI pathology (AE, BS), on a consensus basis.
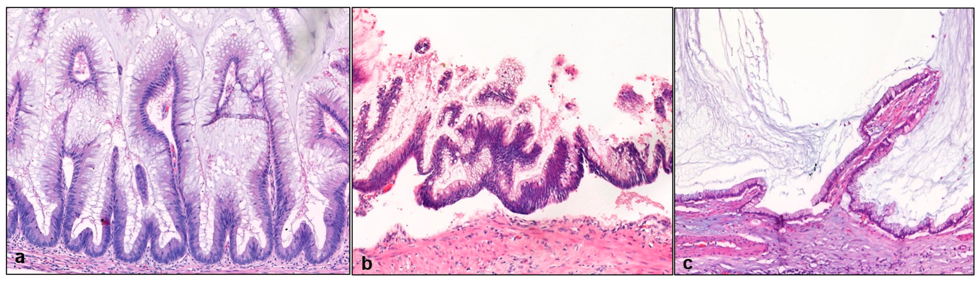
According to the first histopathological evaluation, three groups comprising 43 cases of definite LAMNs, 26 cases of definite ADs, and 36 “complicated” cases were identified. LAMNs, showed the characteristic cytology of a hypermucinous epithelium which was further classified as i. a single-layered filiform/villiform (entirely villous, with slender filiform villi, some with serrated architecture), ii. an undulating–pseudostratified epithelium without slender filiform villi, or iii. a flat single-layered epithelium composed of tall columnar cells containing large mucin vacuoles compressing the nuclei (Figure 1). A diagnosis of AD was made when non-mucinous normal mucosa herniated through the muscle-lacking vascular hiatus of the wall with or without extruded acellular mucin in the appendiceal wall. The mucosal lining of the diverticula was further classified as normal colonic-like, goblet cell-rich, or non-goblet cell hyperplasic (Figure 2). The “complicated” group demonstrated diverticular growth with a goblet cell-rich or non-goblet cell hyperplastic epithelium and extraluminal mucin in the wall and/or serosa.
All cases were evaluated for the presence and hyperplasia of paneth cells, the presence or absence of lamina propria, muscularis mucosa, and lymphoid tissue. The wall of the lesion was examined for fibrosis, hyalinization, calcification, and rupture characterized by mucin deposits. The presence of cellular or acellular mucin along with its localization in terms of level and site of involvement within the appendix were also recorded. Pseudomyxoma peritonei (PMP) referring to intraperitoneal accumulation of mucin secondary to mucinous neoplasia was graded microscopically.

3.3. Ethic Statements

Since no additional histochemical, immunohistochemical, and/or molecular analysis was planned in this study, it was only approved by the institutional review board of Ankara University School of Medicine, the Department of Pathology (2022/4-a; 3 August 2022). Written informed consent was obtained from the patients who participated in the study.

4. Statistics

In order to determine the histopathological features useful for the differentiation of LAMNs from ADs, diagnostic performance analysis was performed using a t -Test and Chi-Square Tests for group comparisons. A p value < 0.05 was considered significant.

5. Discussion

The diagnosis of LAMNs has long been a challenging issue in GI pathology practice due to inconsistencies in classification and terminology. A number of conditions mimicking LAMNs including serrated polyps, ruptured appendiceal diverticula, areas of endometriosis showing mucinous metaplasia, conventional adenomas, and epithelial hyperplasia accompanying acute inflammation [6,9,14] make the diagnosis even more challenging. The present study was designed to determine the histopathologic features of LAMNs which can be useful in their distinction from these mimics, ADs in particular. In agreement with the consensus definition of LAMNs [15], our results showed that a hypermucinous epithelium, with a flat single-layer, undulating or filiform/villiform architecture and changes within the appendiceal wall, including a loss of lamina propria, lymphoid tissue, and muscularis mucosa, proved to be diagnostic for LAMNs (Figure 3). Preservation of the normal colonic epithelium, lamina propria, lymphoid tissue, and muscularis mucosa was more consistent with a diagnosis of appendiceal diverticula, one of the mimics which, when misdiagnosed, may lead to major therapeutic drawbacks.
Previous reports suggested that most mucinous neoplasms of the appendix were incidentally detected during imaging studies performed for other reasons [16,17] as they were asymptomatic, while AD cases had symptoms of acute appendicitis or less often were detected incidentally in elective appendectomies. Others, however, reported that more than half of LAMN patients were admitted to the hospital with suspicion or signs of neoplasia in contrast to ADs. Our results also support the idea that the distinction between LAMNs and ADs begins with clinical history since most AD cases were admitted to the hospital with symptoms of acute appendicitis, but LAMNs had a suspicion of malignancy in our study.
Consistent with other studies in the literature [6,18], the gross diameter of the appendix in LAMNs was larger than in ADs in our study. As a result of abnormal accumulation of mucin within the lumen, 15 (34%) LAMNs demonstrated dilatation of the appendiceal lumen, mimicking a mass lesion. Although appendiceal enlargement was observed in the remaining cases, the mass effect was not noticeable; thus, the rest of the lesion was sampled only after the mucinous epithelium was detected in a microscopic examination.
A villous, undulating, or flattened neoplastic mucinous epithelium with low-grade cytologic dysplasia is characteristic of LAMNs [5,6,7]. LAMNs in our series possessed a filiform/villiform single-layered, undulating–pseudostratified, or flat single-layered mucinous epithelium or, even more often, a mixture of these three morphologic types, which is not mentioned in previous research. These epithelial characteristics were totally different from the goblet cell-rich or normal colonic-like epithelium typically found in ADs. LAMNs also showed a loss of lamina propria and lymphoid tissue with obliterated muscularis mucosa within the often fibrotic, hyalinized, and calcified appendiceal wall. These findings were in accordance with Hissong et al.’s [16] study, which demonstrated that mucinous neoplasms contained non-goblet, barrel-shaped columnar cells with faintly basophilic mucin and enlarged, hyperchromatic nuclei, whereas post-inflammatory and diverticular appendices showed a goblet-rich hyperplastic colonic-type epithelium. They also stressed that non-neoplastic cases including ADs and mucosal hyperplasia consistently presented with incomplete luminal involvement by a mucin-rich epithelium, with supportive lamina propria in their large cohort. Similarly, lamina propria was present in almost all AD cases except one, which had an SSP/L in the mucosa in addition to diverticular growth in our series. In parallel with previous reports, our statistical analysis revealed that a combination of a hypermucinous epithelium, fibrosis, calcification in the wall and the absence of lamina propria and muscularis mucosa yielded the highest sensitivity and specificity and proved to be the most discriminatory features in the diagnosis of LAMN
Consistent with the literature [10,11,12], features like pushing invasion or expansile growth, dissection of the wall by acellular mucin, and rupture resulting in mucin lakes outside the appendix, also present in ADs, were responsible for the major difficulty in the differential diagnosis of LAMNs and ADs in our study. Among these, rupture of the diverticulum resulting in mucin spillage into the wall of the appendix is of particular concern in the differential diagnosis and, when present, favors LAMNs. In a previous study [16], extra-appendiceal acellular mucin was found in ruptured, non-neoplastic appendices at a higher frequency than in our study (45% vs. 17%), though it was commonly observed in mucinous neoplasms (62% vs. 68%) in both series. Cellular mucin, on the other hand, was present solely in LAMNs associated with PMP in our study.
On similar grounds, Hsu et al. [19] demonstrated that all ruptured appendiceal diverticula were initially misdiagnosed as appendiceal mucinous neoplasms. In distinction from usual appendiceal mucinous neoplasms, they highlighted the importance of accurate definition of the epithelial characteristics rather than mucosal architecture to distinguish LAMNs from their mimics based on the finding that none of the cases showed definite evidence of a luminal villiform mucinous neoplasm in their study. We also agree with Hsu’s approach, as the differentiation of ruptured ADs from LAMNs was based on the characteristic epithelial lining of the latter in the present study.
In the recently published study of Lowes et al. [20], it has been emphasized that a complicated diverticulum caused confusion with LAMNs, leading to overdiagnosis in the majority of their cases. They stressed that cases with diverticular cysts in particular strongly mimicked LAMNs due to the continuum between relatively normal mucosa and grossly attenuated mucosa which resembled the “single-layered flat epithelial lining” of LAMNs. However, the presence of a thin lamina propria beneath the epithelium was the only discriminating feature from LAMNs in such cases. We, on the other hand, believe that the cytologic features of the epithelium characterized by the goblet-cell rich colonic type of lining, which were unfortunately not discussed in their paper, are the key elements favoring a diagnosis of AD.
The coexistence of LAMNs and ADs occurring in the same appendectomy specimen may complicate the matter further [5,6,7] in terms of accurate diagnosis. This issue has been discussed by several investigators in previous studies, with an incidence ranging from 11.9% to 60.5% of coexistence (Table 4). In our study, a significant percentage of AD cases were found to be accompanied by LAMNs. In our view, the pathologist should be very careful in looking for the mucinous characteristic of the epithelium, which is usually present in all cases showing coexistence, in order not to miss a neoplastic lesion like an LAMN, the main precursor of PMP, in such cases. Compared to architectural features like pushing invasion or expansile growth, attenuated lamina propria and muscularis mucosa with lymphoid aggregates, the presence of a mucinous epithelium should be regarded as the most important feature in favor of LAMNs [5,6,7,10,11,12].
In a previous study, 48% of cases with ADs showed an associated neoplasm, including five well-differentiated neuroendocrine tumors (carcinoids), three mucinous adenomas, one tubular adenoma, and two adenocarcinomas [8,10,12,21]. Similarly, in our study, 23% of AD cases had an associated appendiceal lesion including two sesil serrated polyps/lesions, two hyperplastic polyps, one well-differentiated neuroendocrine tumor, and one case with a mucin retention cyst. Since AD can develop from a structural defect in the wall, we believe that it could present in association with various appendiceal lesions.
Assessing the depth of invasion in LAMNs may be challenging, primarily due to their lack of destructive invasion and mucin extravasation. A staging system reflecting the biologic behavior of these tumors was designed specifically for LAMNs in the 8th edition of the AJCC Staging Manual [21]. According to this, LAMNs confined to the muscularis propria are staged as pTis, and those with acellular mucin or a neoplastic epithelium extending beyond are classified as pT3 and pT4a, respectively [22]. The study of Wong et al. [23] on 64 LAMNs demonstrated that pTis LAMNs had an excellent prognosis without significant risk of recurrence. Although only 45 LAMN patients were followed up and the mean follow-up period was not very long, 28 months, in our study, an excellent prognosis was also observed, especially for those with no extensive peritoneal involvement. Foster et al. [24], however, detected occult peritoneal metastases in five (23%) of their patients, supporting the view that in some cases, PMP might develop later, months to years after tumor resection by appendectomy, even when the appendix/tumor appears to be intact and entirely removed during the initial operation. The maintenance of LAMNs, therefore, remains to be determined more reliably with future prognostic indicators.
There are some limitations to this study; since it is a single-center study, additional studies with a larger number of cases are needed to avoid confusion regarding the classification of these lesions.

6. Conclusions

The distinction between mucinous neoplasia and its mimics is critically important since they have different treatment strategies. The characteristic cytoarchitectural features of the mucinous epithelium proved to be the most important criteria in the reliable differentiation of these two entities, in addition to the architectural features of the appendiceal wall including the absence of lamina propria and muscularis mucosa, which were also useful in the diagnosis.

Author Contributions

Methodology, C.C.E., B.S. and A.E.; investigation, C.C.E.; data curation, C.C.E. and S.E.; writing—original draft preparation, C.C.E.; writing—review and editing, A.E. and B.S. All authors have read and agreed to the published version of the manuscript.

Funding

This research received no external funding.

Institutional Review Board Statement

This study was approved by the institutional review board of Ankara University School Of Medicine, the Department of Pathology (2022/4-a; 3 August 2022) and complies with the Declaration of Helsinki of the World Medical Association.

Informed Consent Statement

Informed consent was obtained from all subjects involved in this study.

Data Availability Statement

The original contributions presented in this study are included in the article. Further inquiries can be directed to the corresponding author.

Conflicts of Interest

The authors declare no conflicts of interest.

References

  1. von Rokitansky, C. A Manual of Pathological Anatomy; Blanchard & Lea: Philadelphia, PA, USA, 1855; Volume 2. [Google Scholar]
  2. Carr, N.J.; Emory, T.S.; Sobin, L.H. Epithelial Neoplasms of the Appendix and Colorectum; An Analysis of Cell Proliferation, Apoptosis, and Expression of p53, CD44, and bcl-2. Arch. Pathol. Lab. Med. 2002, 126, 837–841. [Google Scholar] [CrossRef] [PubMed]
  3. Misdraji, J.; Yantiss, R.K.; Graeme-Cook, F.M.; Balis, U.J.; Young, R.H. Appendiceal mucinous neoplasms: A clinicopathologic analysis of 107 cases. Am. J. Surg. Pathol. 2003, 27, 1089–1103. [Google Scholar] [CrossRef] [PubMed]
  4. WHO Classification of Tumours. Digestive System Tumours, 5th ed.; International Agency for Research on Cancer: Lyon, France, 2019. [Google Scholar]
  5. Nagtegaal, I.D.; Odze, R.D.; Klimstra, D.; Paradis, V.; Rugge, M.; Schirmacher, P.; Washington, K.M.; Carneiro, F.; Cree, I.A. The WHO Classification of Tumours Editorial Board. The 2019 WHO classification of tumours of the digestive system. Histopathology 2020, 76, 182–188. [Google Scholar] [CrossRef]
  6. Kang, D.-W.; Kim, B.-H.; Kim, J.M.; Kim, J.; Chang, M.S.; Sohn, J.-H.; Cho, M.-Y.; Jin, S.-Y.; Chang, H.K.; Han, H.S.; et al. Standardization of the pathologic diagnosis of appendiceal mucinous neoplasms. J. Pathol. Transl. Med. 2021, 55, 247–264. [Google Scholar] [CrossRef]
  7. Carr, N.J.; Bibeau, F.; Bradley, R.F.; Dartigues, P.; Feakins, R.M.; Geisinger, K.R.; Gui, X.; Isaac, S.; Milione, M.; Misdraji, J.; et al. The histopathological classification, diagnosis and differential diagnosis of mucinous appendiceal neoplasms, appendiceal adenocarcinomas and pseudomyxoma peritonei. Histopathology 2017, 71, 847–858. [Google Scholar] [CrossRef]
  8. Li, F.; Lu, Y.; Hou, F.; Ma, R.; Wang, D.; Qi, C. Significance of the Entire Appendiceal Evaluation in the Diagnosis of Serrated Lesions, Low-Grade Appendiceal Mucinous Neoplasm, and Appendiceal Diverticulosis Disease. Front. Oncol. 2021, 11, 812794. [Google Scholar] [CrossRef]
  9. Mark, A.; Valasek, R.K.P. An Update on the Diagnosis, Grading, and Stagingof Appendiceal Mucinous Neoplasms. Adv. Anat. Pathol. 2018, 25, 38–60. [Google Scholar]
  10. Pasaoglu, E.; Leblebici, C.; Okcu, O.; Boyaci, C.; Dursun, N.; Yardimci, A.H.; Kucukyilmaz, M. The relationship between diverticula and low-grade mucinous neoplasm of the appendix. Does the diverticulum play a role in the development of periappendicular mucin deposition or pseudomyxoma peritonei? Pol. J. Pathol. 2016, 67, 376–383. [Google Scholar] [CrossRef] [PubMed]
  11. Lamps, L.W.; Gray, G.F.; Dilday, B.R.; Washington, M.K. The Coexistence of Low-Grade Mucinous Neoplasms of the Appendix and Appendiceal Diverticula: A Possible Role in the Pathogenesis of Pseudomyxoma Peritonei. Mod. Pathol. 2000, 13, 495–501. [Google Scholar] [CrossRef]
  12. Dupre, M.P.; Jadavji, I.; Matshes, E.; Urbanski, S.J. Diverticular disease of the vermiform appendix: A diagnostic clue to underlying appendiceal neoplasm. Hum. Pathol. 2008, 39, 1823–1826. [Google Scholar] [CrossRef]
  13. Pai, R.K.; Beck, A.H.; Norton, J.A.; Longacre, T.A. Appendiceal mucinous neoplasms: Clinicopathologic study of 116 cases with analysis of factors predicting recurrence. Am. J. Surg. Pathol. 2009, 33, 1425–1439. [Google Scholar] [CrossRef] [PubMed]
  14. Legué, L.M.; Creemers, G.-J.; de Hingh, I.H.; Lemmens, V.E.; Huysentruyt, C.J. Review: Pathology and Its Clinical Relevance of Mucinous Appendiceal Neoplasms and Pseudomyxoma Peritonei. Clin. Color. Cancer 2019, 18, 1–7. [Google Scholar] [CrossRef] [PubMed]
  15. Carr, N.J.; Cecil, T.D.; Mohamed, F.; Sobin, L.H.; Sugarbaker, P.H.; González-Moreno, S.; Taflampas, P.; Chapman, S.; Moran, B.J. A Consensus for Classification and Pathologic Reporting of Pseudomyxoma Peritonei and Associated Appendiceal Neoplasia: The Results of the Peritoneal Surface Oncology Group International (PSOGI) Modified Delphi Process. Am. J. Surg. Pathol. 2016, 40, 14–26. [Google Scholar] [CrossRef]
  16. Hissong, E.; Goncharuk, T.; Song, W.; Yantiss, R.K. Post-inflammatory mucosal hyperplasia and appendiceal diverticula simulate features of low-grade appendiceal mucinous neoplasms. Mod. Pathol. 2020, 33, 953–961. [Google Scholar] [CrossRef]
  17. Gundogar, O.; Kimiloglu, E.; Komut, N.; Cin, M.; Bektas, S.; Gonullu, D.; Ilgun, A.S.; Erdogan, N. Evaluation of appendiceal mucinous neoplasms with a new classification system and literature review. Turk. J. Gastroenterol. 2018, 29, 532–542. [Google Scholar] [CrossRef]
  18. Hegg, K.S.; Mack, L.A.; Bouchard-Fortier, A.; Temple, W.J.; Gui, X. Macroscopic and microscopic characteristics of low grade appendiceal mucinous neoplasms (LAMN) on appendectomy specimens and correlations with pseudomyxoma peritonei development risk. Ann. Diagn. Pathol. 2020, 48, 151606. [Google Scholar] [CrossRef] [PubMed]
  19. Hsu, M.; Young, R.H.; Misdraji, J. Ruptured Appendiceal Diverticula Mimicking Low-grade Appendiceal Mucinous Neoplasms. Am. J. Surg. Pathol. 2009, 33, 1515–1521. [Google Scholar] [CrossRef]
  20. Lowes, H.; Rowaiye, B.; Carr, N.J.; A Shepherd, N. Complicated appendiceal diverticulosis versus low-grade appendiceal mucinous neoplasms: A major diagnostic dilemma. Histopathology 2019, 75, 478–485. [Google Scholar] [CrossRef]
  21. Umetsu, S.E.; Shafizadeh, N.; Kakar, S. Grading and staging mucinous neoplasms of the appendix: A case series and review of the literature. Hum. Pathol. 2017, 69, 81–89. [Google Scholar] [CrossRef]
  22. Amin, M.B.; Greene, F.L.; Edge, S.B.; Compton, C.C.; Gershenwald, J.E.; Brookland, R.K.; Meyer, L.; Gress, D.M.; Byrd, D.R.; Winchester, D.P. AJCC Cancer Staging Manual, 8th ed.; Springer: New York, NY, USA, 2017. [Google Scholar]
  23. Wong, M.; Barrows, B.; Gangi, A.; Kim, S.; Mertens, R.B.; Dhall, D. Low-grade appendiceal mucinous neoplasms: A single institution experience of 64 cases with clinical follow-up and correlation with the current (eighth edition) AJCC staging. Int. J. Surg. Pathol. 2020, 28, 252–258. [Google Scholar] [CrossRef]
  24. Foster, J.M.; Sleightholm, R.L.; Wahlmeier, S.; Loggie, B.; Sharma, P.; Patel, A. Early identification of DPAM in at-risk low-grade appendiceal mucinous neoplasm patients: A new approach to surveillance for peritoneal metastasis. World J. Surg. Oncol. 2016, 14, 243. [Google Scholar] [CrossRef] [PubMed]
Figure 1. Cytological features of hypermucinous epithelium characteristic of LAMNs were classified as (a) single-layered filiform/villiform (entirely villous, with slender, filiform villi; some with serrated architecture) (H.E.×150); (b) undulating–pseudostratified epithelium without slender, filiform villi (H.E.×150); (c) flat single-layered epithelium composed of tall columnar cells containing large mucin vacuoles compressing nuclei (H.E.×150).
Figure 1. Cytological features of hypermucinous epithelium characteristic of LAMNs were classified as (a) single-layered filiform/villiform (entirely villous, with slender, filiform villi; some with serrated architecture) (H.E.×150); (b) undulating–pseudostratified epithelium without slender, filiform villi (H.E.×150); (c) flat single-layered epithelium composed of tall columnar cells containing large mucin vacuoles compressing nuclei (H.E.×150).
Gastrointestdisord 06 00064 g001
Figure 2. An appendiceal diverticulum demonstrating characteristic histology. (a) A panoramic view of the AD (H.E.×10), (b) mucin extravasation with no epithelial lining (H.E.×40), and (c) a goblet cell-rich epithelium in the mucosa of the diverticulum containing lamina propria and muscularis mucosa (H.E.×50).
Figure 2. An appendiceal diverticulum demonstrating characteristic histology. (a) A panoramic view of the AD (H.E.×10), (b) mucin extravasation with no epithelial lining (H.E.×40), and (c) a goblet cell-rich epithelium in the mucosa of the diverticulum containing lamina propria and muscularis mucosa (H.E.×50).
Gastrointestdisord 06 00064 g002
Figure 3. The lamina propria, lymphoid tissue, and muscularis mucosa were present in the appendiceal wall in all AD cases (a,b) (H.E.×30, ×100) and were typically absent in most LAMNs (c,d) (H.E.×30, ×100), except for a minority (e,f) (H.E.×50, ×100).
Figure 3. The lamina propria, lymphoid tissue, and muscularis mucosa were present in the appendiceal wall in all AD cases (a,b) (H.E.×30, ×100) and were typically absent in most LAMNs (c,d) (H.E.×30, ×100), except for a minority (e,f) (H.E.×50, ×100).
Gastrointestdisord 06 00064 g003
Table 1. Demographic and clinical data of LAMN, AD, and complicated cases.
Table 1. Demographic and clinical data of LAMN, AD, and complicated cases.
Definite LAMN (n; %)Definite AD
(n; %)
Complicated Cases (n; %)p Value
Number432636
Mean age58.648.259.75p < 0.01
Female/Male22/2111/1525/11
symptomsAA13 (30%)15 (57%)18 (50%)
App. mass15 (34%)-9 (25%)p < 0.01
Disseminated tm12 (28%)--p < 0.01
Incidental3 (8%)9 (43%)9 (25%)
AA: Acute appendicitis; App. Mass: appendiceal mass; Disseminated tm: disseminated tumor.
Table 2. Histopathologic data of the cohort.
Table 2. Histopathologic data of the cohort.
Definite LAMNDefinite ADComplicated Casesp Value LAMN vs. AD
Mean diameter (cm)2.481.222.33p < 0.001
Mean length (cm)6.545.976.22
Hypermucinous epithelium (N/%)43/1000/027/75p < 0.001
Goblet cell-rich epithelium (N/%)0/00/09/33
Paneth cells (N/%)0/09/34.68/22.2p < 0.001
Single-layered filiform/villiform (N/%)10/230/013/36p < 0.001
Undulating–pseudostratified epithelium (N/%)25/580/07/19p < 0.001
Flat single-layered epithelium (N/%)32/742/718/50p < 0.001
Lamina propria (N/%)3/626/1008/22.2p < 0.001
Lymphoid tissue (N/%)4/922/8411/30.5p < 0.001
Muscularis mucosa (N/%)1/2,326/1009/25p < 0.001
Acute inflammation (N/%)14/329/3422/61
Chronic inflammation (N/%)42/9826/10036/100
Fibrosis (N/%)35/81.35/1929/80p < 0.001
Hyalinization (N/%)37/860/022/61p < 0.001
Calcification (N/%)17/390/03/8p < 0.001
Rupture (N/%)11/27.50/010/27p < 0.01
Acellular mucin (N/%)27/62.70/028/77p < 0.001
Table 3. The sensitivity, specificity, PPV (positive predictive value), and NPV (negative predictive value) of the histopathologic features used for the diagnosis of LAMNs.
Table 3. The sensitivity, specificity, PPV (positive predictive value), and NPV (negative predictive value) of the histopathologic features used for the diagnosis of LAMNs.
Diagnosis for LAMNsSensitivity
%
Specificity
%
PPV **NPV ***
Single-layered filiform/villiform2310010044
Undulating–pseudostratified epithelium5810010059
Flat single-layered epithelium74929468
Goblet cells0.210010038
Lamina propria6.90100
Paneth cells420020
Lymphoid tissue9.31005036
Muscularis mucosa2.303.70
Acute inf.32656036
Chronic inf.970610
Fibrosis81808772
Hyalinization8510010081
Calcification3910010050
Acellular mucin6210010061
Rupture2510010044
Combined epithelial features *1009295100
* Combined epithelial features: a combination of one or more of the epithelial features; ** PPV: positive predictive value; *** NPV: negative predictive value.
Table 4. Literature summary of previous reports on coexistence of LAMNs and ADs.
Table 4. Literature summary of previous reports on coexistence of LAMNs and ADs.
LAMNs
n
LAMNs with ADs
n%
Acellular Mucin
n
Cellular Mucin
n
PMP
n
Lamps et al. [13]198 (42%)011
Pai et al. [15]10112 (11.9%)284442
Hegg et al. [19]15432 (24%)192323
Dupre et al. [14]83 (37.5%)Not mentionedNot mentionedNot mentioned
Pasaoglu et al. [12]3823 (60.5%)2300
The present study7027 (38.5%)461212
Disclaimer/Publisher’s Note: The statements, opinions and data contained in all publications are solely those of the individual author(s) and contributor(s) and not of MDPI and/or the editor(s). MDPI and/or the editor(s) disclaim responsibility for any injury to people or property resulting from any ideas, methods, instructions or products referred to in the content.

Share and Cite

MDPI and ACS Style

Ersöz, C.C.; Ersöz, S.; Savas, B.; Ensari, A. Low-Grade Appendiceal Mucinous Neoplasm vs. Appendiceal Diverticulum: Distinction with Histomorphologic Features. Gastrointest. Disord. 2024, 6, 905-915. https://doi.org/10.3390/gidisord6040064

AMA Style

Ersöz CC, Ersöz S, Savas B, Ensari A. Low-Grade Appendiceal Mucinous Neoplasm vs. Appendiceal Diverticulum: Distinction with Histomorphologic Features. Gastrointestinal Disorders. 2024; 6(4):905-915. https://doi.org/10.3390/gidisord6040064

Chicago/Turabian Style

Ersöz, Cevriye Cansiz, Siyar Ersöz, Berna Savas, and Arzu Ensari. 2024. "Low-Grade Appendiceal Mucinous Neoplasm vs. Appendiceal Diverticulum: Distinction with Histomorphologic Features" Gastrointestinal Disorders 6, no. 4: 905-915. https://doi.org/10.3390/gidisord6040064

APA Style

Ersöz, C. C., Ersöz, S., Savas, B., & Ensari, A. (2024). Low-Grade Appendiceal Mucinous Neoplasm vs. Appendiceal Diverticulum: Distinction with Histomorphologic Features. Gastrointestinal Disorders, 6(4), 905-915. https://doi.org/10.3390/gidisord6040064

Article Metrics

Back to TopTop