Unilateral Palpebral Edema as a Central Sign of Acute Enterobacter-Associated Rhinosinusitis in a 5-Year-Old: A Rare Pediatric Case
Abstract
1. Introduction and Clinical Significance
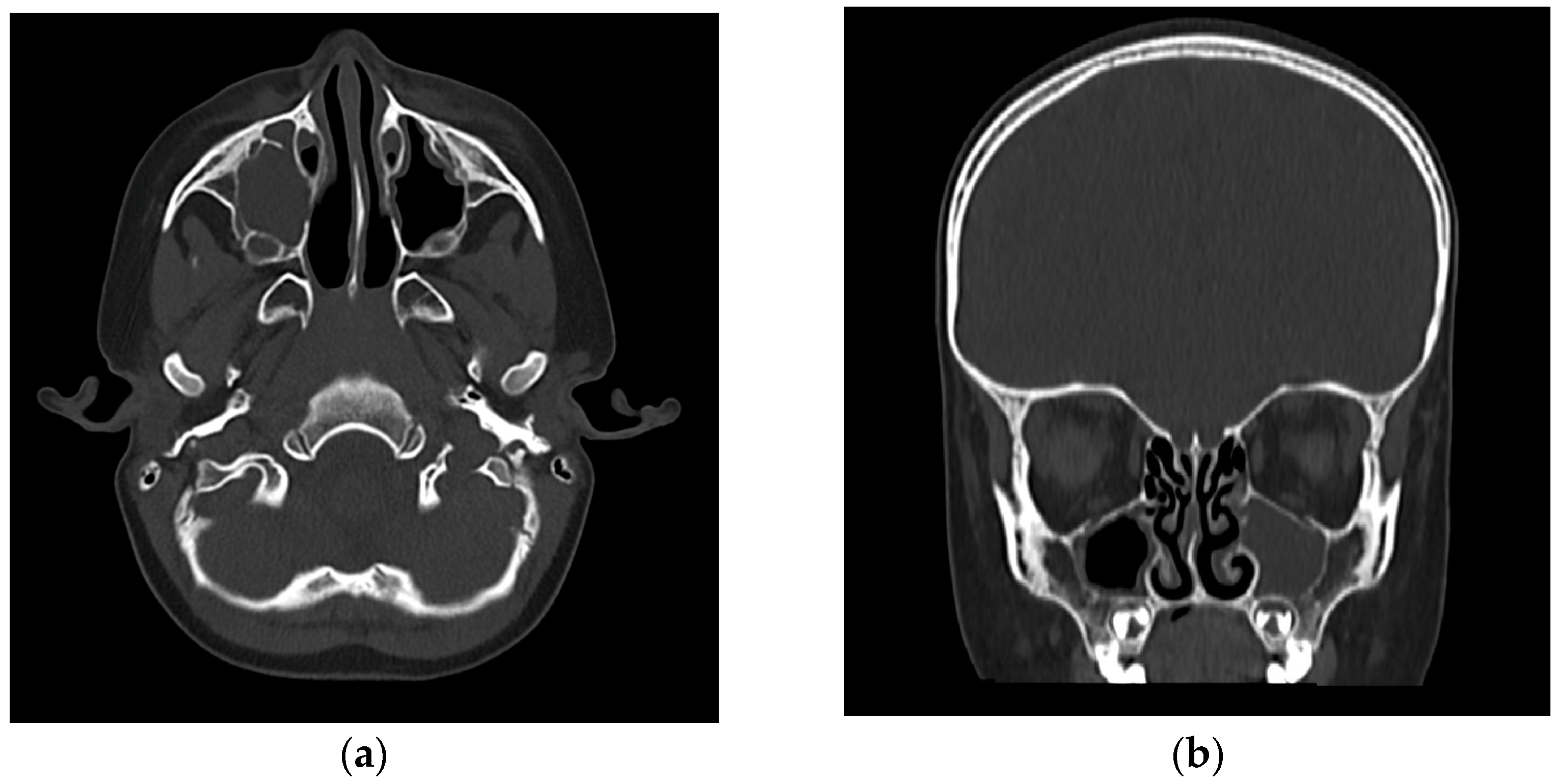
2. Case Presentation
3. Discussion
- •
- •
- •
- Recurrent acute rhinosinusitis: In cases where children experience recurrent episodes of acute sinusitis despite medical treatment, surgery may be considered to prevent further complications and improve quality of life [29].
4. Conclusions
Author Contributions
Funding
Institutional Review Board Statement
Informed Consent Statement
Data Availability Statement
Conflicts of Interest
Abbreviations
| NSAIDs | Nonsteroidal anti-inflammatory drugs |
| AECS | Acute exacerbations of chronic sinusitis |
| ESBL | Extended-spectrum beta-lactamase |
| CT | Computed tomography |
| PCR | Polymerase chain reaction |
| ESS | Endoscopic sinus surgery |
| CRS | Chronic rhinosinusitis |
References
- Brook, I. Microbiology and Management of Sinusitis. J. Laryngol. Otol. 2016, 130, S65–S68. [Google Scholar] [CrossRef]
- Wald, E.R. Microbiology of Acute and Chronic Sinusitis in Children and Adults. Am. J. Med. Sci. 2011, 342, 401–404. [Google Scholar] [CrossRef]
- Sakwinska, O.; Schrenzel, J. Microbiology of Acute and Chronic Sinusitis. Otolaryngol. Clin. N. Am. 2020, 53, 31–43. [Google Scholar] [CrossRef]
- DeMuri, G.P.; Wald, E.R. Acute Bacterial Sinusitis in Children: Diagnosis and Management. Pediatr. Infect. Dis. J. 2013, 32, 114–117. [Google Scholar]
- Bhattacharyya, N. Bacterial Infection in Chronic Rhinosinusitis: A Controlled Paired Analysis. Am. J. Rhinol. 2005, 19, 544–548. [Google Scholar] [CrossRef] [PubMed]
- Stratchounski, L.S.; Tarasov, A.A.; Kryukov, A.I.; Sedinkin, A.A.; Aleksanyan, T.A.; Yanov, Y.K.; Sergeev, D.V.; Kretchikova, O.I.; Sukhorukova, M.V.; Edelstein, I.A. The Etiology of Acute Bacterial Sinusitis Results of SSSR Multi-Center Microbiological Study. Clin. Microbiol. Antimicrob. Chemother. 2005, 7, 337–349. [Google Scholar]
- Brook, I. Bacteriology of Chronic Sinusitis and Acute Exacerbation of Chronic Sinusitis. Arch. Otolaryngol. Head Neck Surg. 2006, 132, 1099–1101. [Google Scholar] [CrossRef]
- Rezai, M.S.; Pourmousa, R.; Dadashzadeh, R.; Ahangarkani, F. Multidrug Resistance Pattern of Bacterial Agents Isolated from Patient with Chronic Sinusitis. Casp. J. Intern. Med. 2016, 7, 114–119. [Google Scholar]
- Brook, I. Bacteriology of Acute and Chronic Sphenoid Sinusitis. Ann. Otol. Rhinol. Laryngol. 2002, 111, 1002–1004. [Google Scholar] [CrossRef]
- Nivesvivat, T.; Piyaraj, P.; Thunyaharn, S.; Watanaveeradej, V.; Suwanpakdee, D. Clinical Epidemiology, Risk Factors and Treatment Outcomes of Extended-Spectrum Beta-Lactamase Producing Enterobacteriaceae Bacteremia among Children in a Tertiary Care Hospital, Bangkok, Thailand. BMC Res. Notes 2018, 11, 624. [Google Scholar] [CrossRef]
- Renk, H.; Stoll, L.; Neunhoeffer, F.; Hölzl, F.; Kumpf, M.; Hofbeck, M.; Hartl, D. Suspicion of Respiratory Tract Infection with Multidrug-Resistant Enterobacteriaceae: Epidemiology and Risk Factors from a Paediatric Intensive Care Unit. BMC Infect. Dis. 2017, 17, 163. [Google Scholar] [CrossRef] [PubMed]
- Baumanis, M.M.; Honsinger, K.L.; Honsinger, K.L.; Elmaraghy, C.A.; Elmaraghy, C.A.; Jatana, K.R.; Jatana, K.R. Complications of Acute Bacterial Rhinosinusitis in the Pediatric Population. J. Pediatr. Infect. Dis. 2019, 14, 024–028. [Google Scholar] [CrossRef]
- Liu, S.; Fang, R.; Zhang, Y. Characterization of Resistance Mechanisms of Enterobacter Cloacae Complex Co-Resistant to Carbapenem and Colistin. BMC Microbiol. 2021, 21, 208. [Google Scholar] [CrossRef] [PubMed]
- Yan, S.; Sun, Z.; Yang, Y. Changing Antimicrobial Resistance Profile of Enterobacter Spp. Isolates in Hospitals across China: A Seven-Year Analysis from the CHINET Antimicrobial Resistance Surveillance Program (2015–2021). One Health Adv. 2024, 2, 11. [Google Scholar] [CrossRef]
- Brook, I. Microbiology of Nosocomial Sinusitis in Mechanically Ventilated Children. Arch. Otolaryngol. Head Neck Surg. 1998, 124, 35–38. [Google Scholar] [CrossRef][Green Version]
- Logan, L.K.; Medernach, R.L.; Domitrovic, T.N.; Rispens, J.R.; Hujer, A.M.; Qureshi, N.K.; Marshall, S.H.; Nguyen, D.C.; Rudin, S.D.; Zheng, X.; et al. The Clinical and Molecular Epidemiology of CTX-M-9 Group Producing Enterobacteriaceae Infections in Children. Infect. Dis. Ther. 2019, 8, 243–254. [Google Scholar] [CrossRef]
- Logan, L.K.; Medernach, R.L.; Rispens, J.R.; Marshall, S.H.; Hujer, A.M.; Hujer, A.M.; Domitrovic, T.N.; Domitrovic, T.N.; Rudin, S.D.; Rudin, S.D.; et al. Community Origins and Regional Differences Highlight Risk of Plasmid-Mediated Fluoroquinolone Resistant Enterobacteriaceae Infections in Children. Pediatr. Infect. Dis. J. 2019, 38, 595–599. [Google Scholar] [CrossRef]
- Islam, S.; Selvarangan, R.; Selvarangan, R.; Kanwar, N.; McHenry, R.; Chappell, J.D.; Halasa, N.B.; Wikswo, M.E.; Payne, D.C.; Azimi, P.H.; et al. Intestinal Carriage of Third-Generation Cephalosporin-Resistant and Extended-Spectrum β-Lactamase-Producing Enterobacteriaceae in Healthy US Children. J. Pediatr. Infect. Dis. Soc. 2018, 7, 234–240. [Google Scholar] [CrossRef]
- Liu, Z.; Hu, L.; Hu, C.; Liu, Q.; Liang, Z.; Rong, R.; Liu, H. Aggravated Exposure Risks of Children to Multipath Transmitted Pathogens in Indoor Environments. iScience 2023, 26, 108433. [Google Scholar] [CrossRef]
- Salimiyan Rizi, K.; Ghazvini, K.; Farsiani, H. Clinical and Pathogenesis Overview of Enterobacter Infections. Rev. Clin. Med. 2020, 6, 146–154. [Google Scholar] [CrossRef]
- Rodríguez-Baño, J.; Gutiérrez-Gutiérrez, B.; Machuca, I.; Pascual, A. Treatment of Infections Caused by Extend-Ed-Spectrum-Beta-Lactamase-, AmpC-, and Carbapenemase-Producing Enterobacteriaceae. Clin. Microbiol. Rev. 2018, 31, e00079-17. [Google Scholar] [CrossRef] [PubMed]
- Intra, J.; Carcione, D.; Sala, R.M.; Siracusa, C.; Brambilla, P.; Leoni, V. Antimicrobial Resistance Patterns of Enterobacter Cloacae and Klebsiella Aerogenes Strains Isolated from Clinical Specimens: A Twenty-Year Surveillance Study. Antibiotics 2023, 12, 775. [Google Scholar] [CrossRef]
- Davin-Regli, A.; Lavigne, J.P.; Pagès, J.M. Enterobacter Spp.: Update on Taxonomy, Clinical Aspects, and Emerging Antimicrobial Resistance. Clin. Microbiol. Rev. 2019, 32, e00002-19. [Google Scholar] [CrossRef] [PubMed]
- Duperret, M.E. Sinusitis Caused by a Rare Organism, Cedecea Lapagei. BMJ Case Rep. CP 2020, 13, e235331. [Google Scholar] [CrossRef] [PubMed]
- Fastenberg, J.H.; Weinstock, M.S.; Bent, J.P. Endoscopic Sinus Surgery for Pediatric Patients; Springer: Cham, Switzerland, 2020; pp. 227–239. [Google Scholar] [CrossRef]
- Gao, F.; Xiong, Z.; Liang, B.; Huang, Z.; Deng, Q.L.; Wang, J.-X.; Zhong, H.; Long, Y.; Zhu, S. Molecular Characterization and Epidemiology of Carbapenem-Resistant Enterobacteriaceae Isolated from Pediatric Patients in Guangzhou, Southern China. Can. J. Infect. Dis. Med. Microbiol. 2023, 2023, 4762143. [Google Scholar] [CrossRef]
- Ramadan, H.H. Surgery for Pediatric Rhinosinusitis; Springer: Cham, Switzerland, 2015; pp. 469–481. [Google Scholar] [CrossRef]
- Vlastarakos, P.V. Endoscopic Sinus Surgery in Acute and Chronic Pediatric Rhinosinusitis. J. Otolaryngol. ENT Res. 2016, 4, 00096. [Google Scholar] [CrossRef]
- Júlio, S.; Costa, L.; Cardoso, E.; Santos, M. Cirurgia Endoscópica Nasossinusal Em Idade Pediátrica. Rev. Port. Otorrinolaringol.-Cir. Cabeça E Pescoço 2015, 53, 241–246. [Google Scholar] [CrossRef]
- Ramadan, H.H. Endoscopic Sinus Surgery in Children: Pro. Arch. Otolaryngol. Head Neck Surg. 2011, 137, 698–699. [Google Scholar] [CrossRef]
- Park, M.M.; Ahmed, O.M.; Ng, J.D.; Vloka, C.N.; Dansdill, D.; Shinder, R.; Sniegowski, M.C.; Richani, K.; Lucarelli, M.J.; van Landingham, S.W.; et al. Simultaneous Orbital and Intracranial Abscesses in 17 Cases. Ophthalmic Plast. Reconstr. Surg. 2021, 37, 212–216. [Google Scholar] [CrossRef]
- Chandy, Z.; Lee, J.T. Role of Endoscopic Sinus Surgery in Pediatric Chronic Rhinosinusitis. Curr. Treat. Options Allergy 2019, 6, 272–279. [Google Scholar] [CrossRef]
- Singh, P.K.; Parsek, M.R.; Greenberg, E.P.; Welsh, M.J. A Component of Innate Immunity Prevents Bacterial Biofilm Development. Nature 2016, 417, 552–555. [Google Scholar] [CrossRef] [PubMed]
- Kania, R.E.; Lamers, G.E.; Vonk, M.J.; Struik, J.; Bloemena, E. Nasal Biofilms in Pediatric Chronic Rhinosinusitis: Characterization and Correlation with Clinical Presentation. Pediatr. Allergy Immunol. 2018, 29, 228–235. [Google Scholar] [CrossRef]
- Alhede, M.; Bjarnsholt, T.; Givskov, M.; Jensen, P.Ø. The Importance of Biofilm Formation in Enterobacteriaceae Infections. Clin. Microbiol. Rev. 2020, 33, e00103-19. [Google Scholar] [CrossRef]
- Zhang, N.; Van Crombruggen, K.; Gevaert, E.; Holtappels, G.; Devos, N.; Bachert, C. Barrier Function of the Nasal Mucosa in Health and Type-2 Biased Airway Diseases. Allergy 2019, 74, 203–213. [Google Scholar] [CrossRef]
- Al-Akel, F.C.; Chiperi, L.E.; Eszter, V.K.; Bacârea, A. Streptococcus salivarius Role as a Probiotic in Children’s Health and Disease Prophylaxis—A Systematic Review. Life 2024, 14, 1613. [Google Scholar] [CrossRef]
- Bertuccioli, A.; Cardinali, M.; Micucci, M.; Rocchi, M.B.L.; Palazzi, C.M.; Zonzini, G.B.; Annibalini, G.; Belli, A.; Sisti, D. Efficacy of Streptococcus salivarius Blis K12 in the Prevention of Upper Respiratory Tract Infections in Physically Active Individuals: A Randomized Controlled Trial. Microorganisms 2024, 12, 2164. [Google Scholar] [CrossRef]


| Resistance Mechanism | Description | Genes/ |
|---|---|---|
| AmpC Beta-Lactamases | Naturally produced by Enterobacter spp.; hydrolyze most β-lactams; expression can be inducible or constitutively high. | AmpC |
| Extended-Spectrum Beta-Lactamases | Acquired via plasmids; confer resistance to third-generation cephalosporins. | bla_CTX-M, bla_SHV, bla_TEM |
| Carbapenemases | Carbapenem-resistant strains appear due to plasmid-mediated genes acquired. | bla_KPC, bla_NDM, bla_VIM, bla_IMP, bla_OXA-48 |
| Efflux Pumps and Porin Loss | Increased efflux (e.g., AcrAB-TolC) and decreased porin channels (e.g., OmpC, OmpF) reduce antibiotic uptake and increase resistance. | AcrAB-TolC, OmpC, OmpF |
| Other Resistance Genes | Resistance to specific drug classes (aminoglycosides, fluoroquinolones, and colistin). | aac(6′)-Ib, qnr, mcr |
Disclaimer/Publisher’s Note: The statements, opinions and data contained in all publications are solely those of the individual author(s) and contributor(s) and not of MDPI and/or the editor(s). MDPI and/or the editor(s) disclaim responsibility for any injury to people or property resulting from any ideas, methods, instructions or products referred to in the content. |
© 2025 by the authors. Licensee MDPI, Basel, Switzerland. This article is an open access article distributed under the terms and conditions of the Creative Commons Attribution (CC BY) license (https://creativecommons.org/licenses/by/4.0/).
Share and Cite
Osman, A.; Enache, I.; Ghenea, A.E.; Bucătaru, A.; Vrabie, S.C.; Zlatian, O.M. Unilateral Palpebral Edema as a Central Sign of Acute Enterobacter-Associated Rhinosinusitis in a 5-Year-Old: A Rare Pediatric Case. Reports 2025, 8, 66. https://doi.org/10.3390/reports8020066
Osman A, Enache I, Ghenea AE, Bucătaru A, Vrabie SC, Zlatian OM. Unilateral Palpebral Edema as a Central Sign of Acute Enterobacter-Associated Rhinosinusitis in a 5-Year-Old: A Rare Pediatric Case. Reports. 2025; 8(2):66. https://doi.org/10.3390/reports8020066
Chicago/Turabian StyleOsman, Andrei, Irina Enache, Alice Elena Ghenea, Alexandra Bucătaru, Sidonia Cătălina Vrabie, and Ovidiu Mircea Zlatian. 2025. "Unilateral Palpebral Edema as a Central Sign of Acute Enterobacter-Associated Rhinosinusitis in a 5-Year-Old: A Rare Pediatric Case" Reports 8, no. 2: 66. https://doi.org/10.3390/reports8020066
APA StyleOsman, A., Enache, I., Ghenea, A. E., Bucătaru, A., Vrabie, S. C., & Zlatian, O. M. (2025). Unilateral Palpebral Edema as a Central Sign of Acute Enterobacter-Associated Rhinosinusitis in a 5-Year-Old: A Rare Pediatric Case. Reports, 8(2), 66. https://doi.org/10.3390/reports8020066

