Successful Management of Cervical Ectopic Pregnancy with Methotrexate in a Nulliparous Woman: A Case Report
Abstract
1. Introduction and Clinical Significance
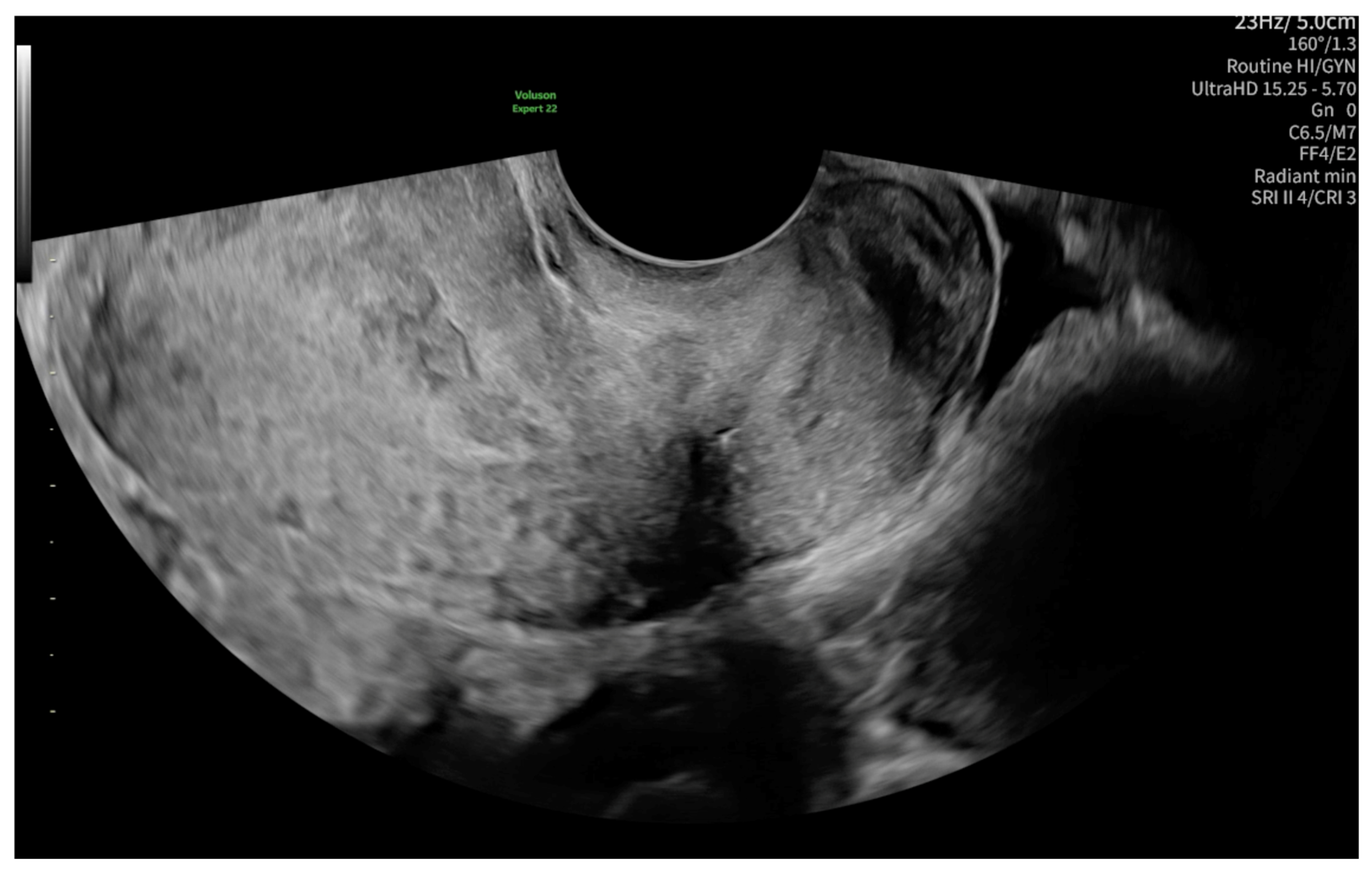
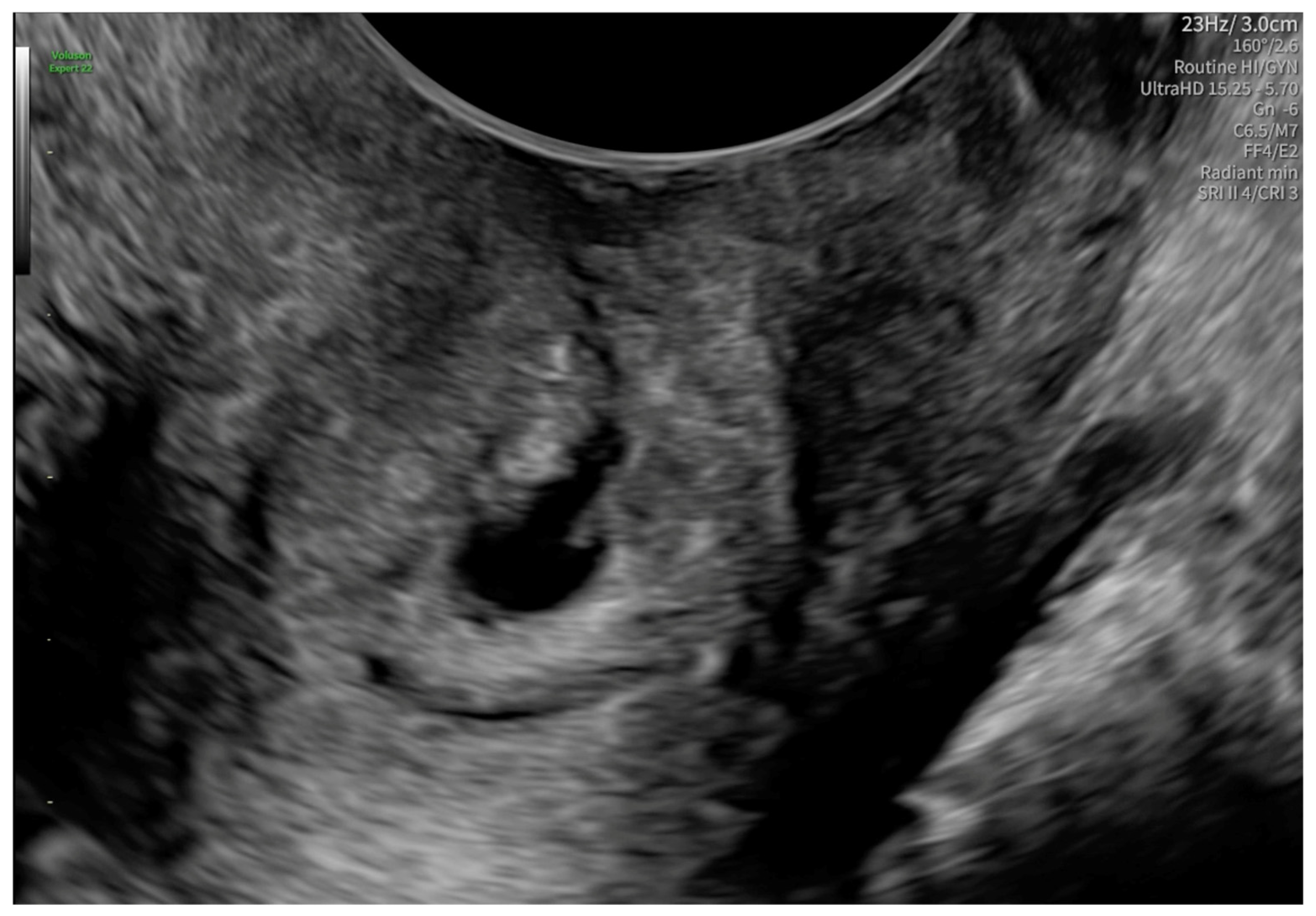
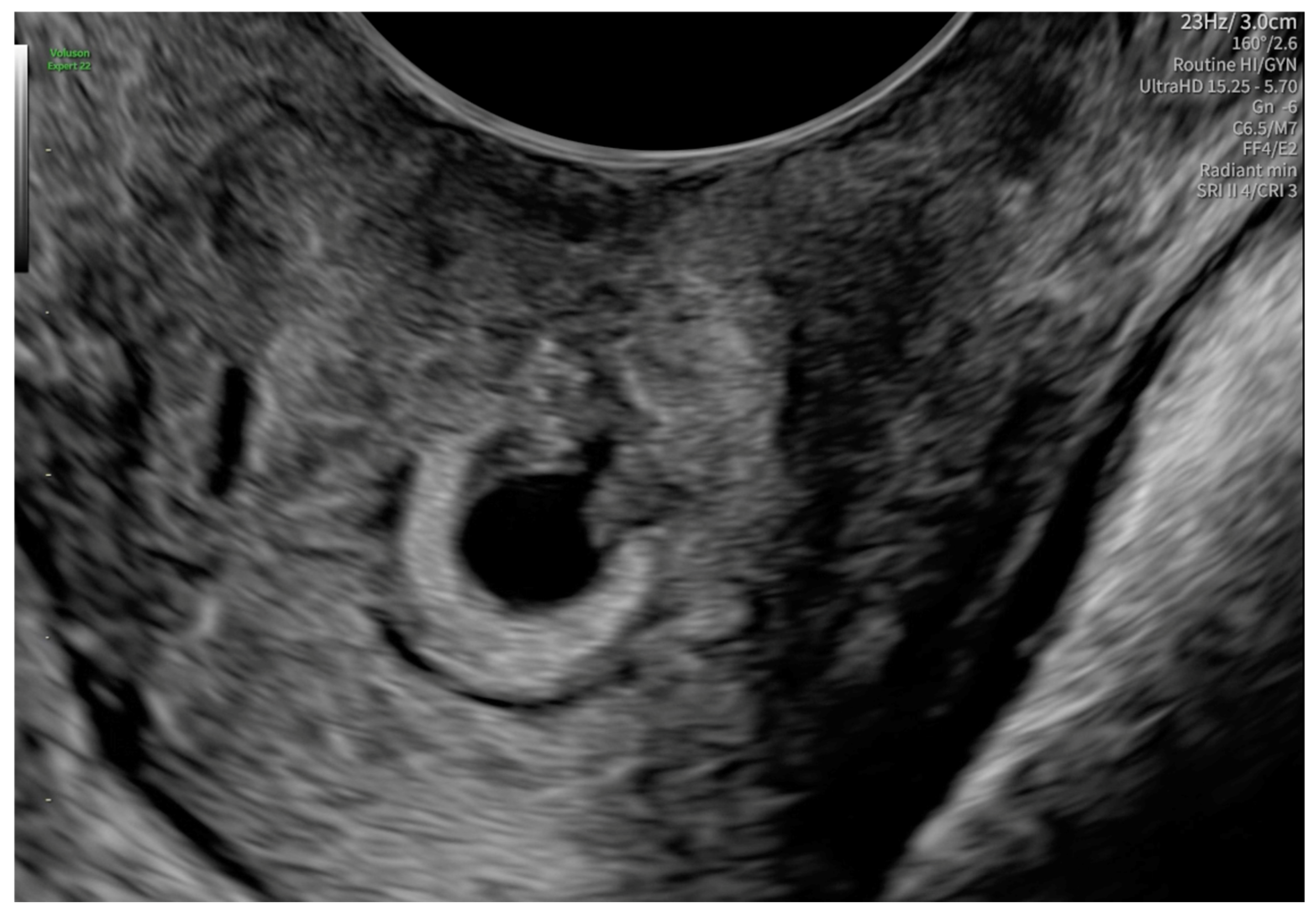
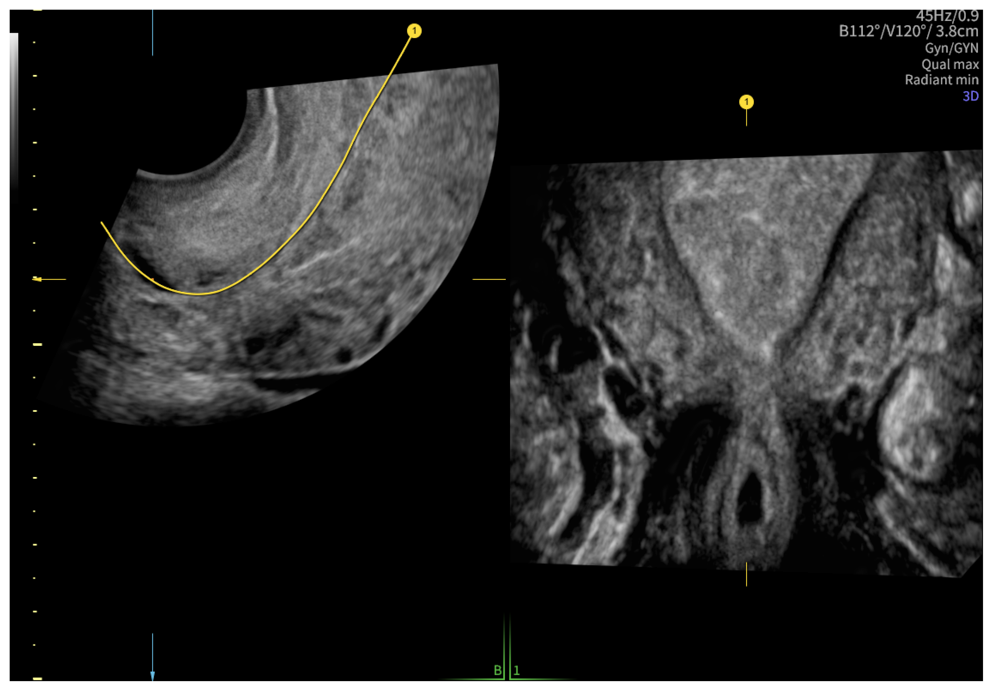
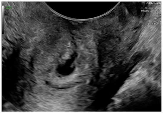
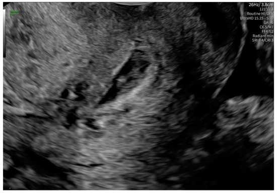
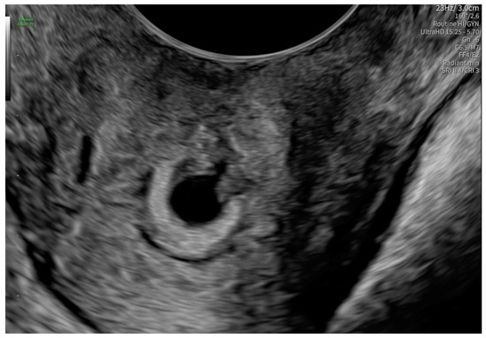
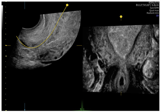
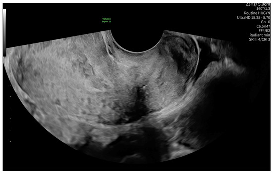
2. Case Presentation
3. Discussion
4. Conclusions
Author Contributions
Funding
Institutional Review Board Statement
Informed Consent Statement
Data Availability Statement
Conflicts of Interest
References
- Tsakos, E.; Tsagias, N.; Dafopoulos, K. Suggested Method for the Management of Heterotopic Cervical Pregnancy Leading to Term Delivery of the Intrauterine Pregnancy: Case Report and Literature Review. J. Minim. Invasive Gynecol. 2015, 22, 896–901. [Google Scholar] [CrossRef] [PubMed]
- Avery, D.M.; Wells, M.A.; Harper, D.M. Cervico-Isthmic Corporeal Pregnancy with Delivery at Term: A Review of the Literature with a Case Report. Obs. Gynecol. Surv. 2009, 64, 335–344. [Google Scholar] [CrossRef]
- Panelli, D.M.; Phillips, C.H.; Brady, P.C. Incidence, Diagnosis and Management of Tubal and Nontubal Ectopic Pregnancies: A Review. Fertil. Res. Pract. 2015, 1, 15. [Google Scholar] [CrossRef] [PubMed]
- Matorras, R.; Zallo, A.; Hernandez-Pailos, R.; Ferrando, M.; Quintana, F.; Remohi, J.; Malaina, I.; Laínz, L.; Exposito, A. Cervical Pregnancy in Assisted Reproduction: An Analysis of Risk Factors in 91,067 Ongoing Pregnancies. Reprod. Biomed. Online 2020, 40, 355–361. [Google Scholar] [CrossRef]
- Shinagawa, S.; Nagayama, M. Cervical Pregnancy as a Possible Sequela of Induced Abortion. Report of 19 Cases. Am. J. Obs. Gynecol. 1969, 105, 282–284. [Google Scholar] [CrossRef]
- Krzysztof, P.; Katarzyna, R.; Andrzej, W.; Tomasz, R. Zachowawcze Leczenie Ciąży Szyjkowej u Kobiet: Opis Przypadku i Przeglàd Literatury Conservative Treatment of Cervical Pregnancy in Women: A Review of the Literature with Case Report. Ginekol Pol. 2009, 80, 704–707. [Google Scholar]
- Cerveira, I.; Costa, C.; Santos, F.; Santos, L.; Cabral, F. Cervical Ectopic Pregnancy Successfully Treated with Local Methotrexate Injection. Fertil. Steril. 2008, 90, 2005.e7–2005.e10. [Google Scholar] [CrossRef]
- Mullany, K.; Minneci, M.; Monjazeb, R.; Coiado, O.C. Overview of Ectopic Pregnancy Diagnosis, Management, and Innovation. Women’s Health 2023, 19, 17455057231160349. [Google Scholar] [CrossRef]
- Elson, C.J.; Salim, R.; Potdar, N.; Chetty, M.; Ross, J.A.; Kirk, E.J. Diagnosis and Management of Ectopic Pregnancy. BJOG 2016, 123, e15–e55. [Google Scholar] [CrossRef]
- Farghaly, S.A.; Mathie, J.G. Cervical Pregnancy Managed by Local Excision. Postgrad. Med. J. 1980, 56, 789. [Google Scholar] [CrossRef]
- Kraemer, B.; Abele, H.; Hahn, M.; Wallwiener, D.; Rajab, T.K.; Hornung, R. Cervical Ectopic Pregnancy on the Portio: Conservative Case Management and Clinical Review. Fertil. Steril. 2008, 90, 2011.e1–2011.e4. [Google Scholar] [CrossRef] [PubMed]
- Astruc, A.; Paulus, A.; Jouffray, C.; Bouet, P.E.; Legendre, G. Cervical Ectopic Pregnancy: A Case Report of a Massive Pregnancy with a Minimally Invasive Blood-Free Treatment and a Review of the Literature. J. Gynecol. Obs. Hum. Reprod. 2024, 53, 102837. [Google Scholar] [CrossRef] [PubMed]
- Hu, J.; Tao, X.; Yin, L.; Shi, Y. Successful Conservative Treatment of Cervical Pregnancy with Uterine Artery Embolization Followed by Curettage: A Report of 19 Cases. BJOG 2016, 123, 97–102. [Google Scholar] [CrossRef]
- Elmokadem, A.H.; Abdel-Wahab, R.M.; El-Zayadi, A.A.; Elrakhawy, M.M. Uterine Artery Embolization and Methotrexate Infusion as Sole Management for Caesarean Scar and Cervical Ectopic Pregnancies: A Single-Center Experience and Literature Review. Can. Assoc. Radiol. J. 2019, 70, 307–316. [Google Scholar] [CrossRef]
- Yamaguchi, M.; Honda, R.; Erdenebaatar, C.; Monsur, M.; Honda, T.; Sakaguchi, I.; Okamura, Y.; Ohba, T.; Katabuchi, H. Treatment of Cervical Pregnancy with Ultrasound-Guided Local Methotrexate Injection. Ultrasound Obs. Gynecol. 2017, 50, 781–787. [Google Scholar] [CrossRef] [PubMed]
- Committee on Practice Bulletins—Gynecology. ACOG Practice Bulletin No. 193: Tubal Ectopic Pregnancy. Obstet. Gynecol. 2018, 131, e91–e103. [Google Scholar] [CrossRef]
- Hendriks, E.; Rosenberg, R.; Prine, L. Ectopic Pregnancy: Diagnosis and Management. Am. Fam. Physician 2020, 101, 599–606. [Google Scholar]
- Brady, P.C. New Evidence to Guide Ectopic Pregnancy Diagnosis and Management. Obs. Gynecol. Surv. 2017, 72, 618–625. [Google Scholar] [CrossRef]
- Yuk, J.S.; Lee, J.H.; Park, W.I.; Ahn, H.S.; Kim, H.J. Systematic Review and Meta-Analysis of Single-Dose and Non-Single-Dose Methotrexate Protocols in the Treatment of Ectopic Pregnancy. Int. J. Gynaecol. Obs. 2018, 141, 295–303. [Google Scholar] [CrossRef]
- Hamed, H.O.; Ahmed, S.R.; Alghasham, A.A. Comparison of Double- and Single-Dose Methotrexate Protocols for Treatment of Ectopic Pregnancy. Int. J. Gynaecol. Obs. 2012, 116, 67–71. [Google Scholar] [CrossRef]
- Xiao, C.; Shi, Q.; Cheng, Q.; Xu, J. Non-Surgical Management of Tubal Ectopic Pregnancy: A Systematic Review and Meta-Analysis. Medicine 2021, 100, E27851. [Google Scholar] [CrossRef] [PubMed]
- Skubisz, M.M.; Tong, S.; Doust, A.; Mollison, J.; Johns, T.G.; Neil, P.; Robinson, M.; Bhattacharya, S.; Wallace, E.; Krzys, N.; et al. Gefitinib and Methotrexate to Treat Ectopic Pregnancies with a Pre-Treatment Serum HCG 1000–10,000 IU/L: Phase II Open Label, Single Arm Multi-Centre Trial. EBioMedicine 2018, 33, 276–281. [Google Scholar] [CrossRef] [PubMed]
- Javedani Masroor, M.; Zarei, A.; Sheibani, H. Conservative Management of Cervical Pregnancy with the Administration of Methotrexate and Potassium Chloride: A Case Report. Case Rep. Obs. Gynecol. 2022, 2022, 1352868. [Google Scholar] [CrossRef] [PubMed]
- Surur, F.; Abdulahi, M. Cervical Ectopic Pregnancy after IVF: A Case Report of Successful Conservative Management with Transvaginal Amniotic Sac Aspiration and Intra Saccular Methotrexate Injection. Ethiop. J. Reprod. Health 2022, 14, 6. [Google Scholar] [CrossRef]
- Rouvali, A.; Vlastarakos, P.; Stavros, S.; Giourga, M.; Pappa, K.; Gerede, A.; Rodolakis, A.; Domali, E. Treatment of Cervical Pregnancy with Ultrasound-Guided Intragestational Injection of Methotrexate: A Case Report. Case Rep. Obs. Gynecol. 2021, 2021, 6601461. [Google Scholar] [CrossRef]
- Dilday, E.; Douglas, C.; Brennan, K. Single-Dose Intramuscular Methotrexate for Treatment of Cervical Ectopic Pregnancy: A Case Report. Case Rep. Womens Health 2021, 31, e00340. [Google Scholar] [CrossRef]







Disclaimer/Publisher’s Note: The statements, opinions and data contained in all publications are solely those of the individual author(s) and contributor(s) and not of MDPI and/or the editor(s). MDPI and/or the editor(s) disclaim responsibility for any injury to people or property resulting from any ideas, methods, instructions or products referred to in the content. |
© 2025 by the authors. Licensee MDPI, Basel, Switzerland. This article is an open access article distributed under the terms and conditions of the Creative Commons Attribution (CC BY) license (https://creativecommons.org/licenses/by/4.0/).
Share and Cite
Ługowski, F.; Urban, A.; Kacperczyk-Bartnik, J.; Janowska, E.; Sieńko, J. Successful Management of Cervical Ectopic Pregnancy with Methotrexate in a Nulliparous Woman: A Case Report. Reports 2025, 8, 91. https://doi.org/10.3390/reports8020091
Ługowski F, Urban A, Kacperczyk-Bartnik J, Janowska E, Sieńko J. Successful Management of Cervical Ectopic Pregnancy with Methotrexate in a Nulliparous Woman: A Case Report. Reports. 2025; 8(2):91. https://doi.org/10.3390/reports8020091
Chicago/Turabian StyleŁugowski, Franciszek, Aleksandra Urban, Joanna Kacperczyk-Bartnik, Ewa Janowska, and Jacek Sieńko. 2025. "Successful Management of Cervical Ectopic Pregnancy with Methotrexate in a Nulliparous Woman: A Case Report" Reports 8, no. 2: 91. https://doi.org/10.3390/reports8020091
APA StyleŁugowski, F., Urban, A., Kacperczyk-Bartnik, J., Janowska, E., & Sieńko, J. (2025). Successful Management of Cervical Ectopic Pregnancy with Methotrexate in a Nulliparous Woman: A Case Report. Reports, 8(2), 91. https://doi.org/10.3390/reports8020091

