Alveolar Ridge Preservation Using Three-Dimensional Root Replicas of Polycaprolactone: A Radiological and Histological Evaluation of a Case Report
Abstract
1. Introduction and Clinical Significance
2. Case Presentation
2.1. Ethical Aspects
2.2. Case Report
2.3. Preparation of 3D Scaffold
2.4. Step 1: Surgery Tooth Extraction and Scaffold Placement
2.5. Step 2: Bone Biopsy Surgery and Implant Installation
2.6. Radiological Study
2.7. Histological Study
2.8. Surgical Follow-Up
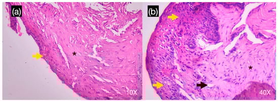
2.9. Radiology and Histology Results
3. Discussion
4. Conclusions
Author Contributions
Funding
Institutional Review Board Statement
Informed Consent Statement
Data Availability Statement
Conflicts of Interest
References
- Kassebaum, N.J.; Smith, A.G.C.; Bernabé, E.; Fleming, T.D.; Reynolds, A.E.; Vos, T.; Murray, C.J.L.; Marcenes, W.; GBD 2015 Oral Health Collaborators. Global, Regional, and National Prevalence, Incidence, and Disability-Adjusted Life Years for Oral Conditions for 195 Countries, 1990–2015: A Systematic Analysis for the Global Burden of Diseases, Injuries, and Risk Factors. J. Dent. Res. 2017, 96, 380–387. [Google Scholar] [CrossRef] [PubMed] [PubMed Central]
- Araújo, M.G.; Lindhe, J. Dimensional Ridge Alterations Following Tooth Extraction. An Experimental Study in the Dog. J. Clin. Periodontol. 2005, 32, 212–218. [Google Scholar] [CrossRef]
- Discepoli, N.; Vignoletti, F.; Laino, L.; de Sanctis, M.; Muñoz, F.; Sanz, M. Early Healing of the Alveolar Process after Tooth Extraction: An Experimental Study in the Beagle Dog. J. Clin. Periodontol. 2013, 40, 638–644. [Google Scholar] [CrossRef]
- Kirmanidou, Y.; Chatzinikolaidou, M.; Michalakis, K.; Tsouknidas, A. Clinical Translation of Polycaprolactone-Based Tissue Engineering Scaffolds, Fabricated via Additive Manufacturing: A Review of Their Craniofacial Applications. Biomater. Adv. 2024, 162, 213902. [Google Scholar] [CrossRef] [PubMed]
- Mordenfeld, A.; Hallman, M.; Johansson, C.B.; Albrektsson, T. Histological and Histomorphometrical Analyses of Biopsies Harvested 11 Years after Maxillary Sinus Floor Augmentation with Deproteinized Bovine and Autogenous Bone. Clin. Oral. Implants Res. 2010, 21, 961–970. [Google Scholar] [CrossRef] [PubMed]
- Ayna, M.; Açil, Y.; Gulses, A. Fate of a Bovine-Derived Xenograft in Maxillary Sinus Floor Elevation After 14 Years: Histologic and Radiologic Analysis. Int. J. Periodontics Restor. Dent. 2015, 35, 541–547. [Google Scholar] [CrossRef] [PubMed]
- Valentini, P.; Bosshardt, D.D. 20-Year Follow-up in Maxillary Sinus Floor Elevation Using Bovine-Derived Bone Mineral: A Case Report with Histologic and Histomorphometric Evaluation. Int. J. Oral. Maxillofac. Implants 2018, 33, 1345–1350. [Google Scholar] [CrossRef]
- Bannister, S.R.; Powell, C.A. Foreign Body Reaction to Anorganic Bovine Bone and Autogenous Bone with Platelet-Rich Plasma in Guided Bone Regeneration. J. Periodontol. 2008, 79, 1116–1120. [Google Scholar] [CrossRef]
- Piattelli, M.; Favero, G.A.; Scarano, A.; Orsini, G.; Piattelli, A. Bone Reactions to Anorganic Bovine Bone (Bio-Oss) Used in Sinus Augmentation Procedures: A Histologic Long-Term Report of 20 Cases in Humans. Int. J. Oral. Maxillofac. Implants 1999, 14, 835–840. [Google Scholar]
- Nieuwoudt, M.; Woods, I.; Eichholz, K.F.; Martins, C.; McSweeney, K.; Shen, N.; Hoey, D.A. Functionalization of Electrospun Polycaprolactone Scaffolds with Matrix-Binding Osteocyte-Derived Extracellular Vesicles Promotes Osteoblastic Differentiation and Mineralization. Ann. Biomed. Eng. 2021, 49, 3621–3635. [Google Scholar] [CrossRef]
- Agarwal, S.; Wendorff, J.H.; Greiner, A. Chemistry on Electrospun Polymeric Nanofibers: Merely Routine Chemistry or a Real Challenge? Macromol. Rapid Commun. 2010, 31, 1317–1331. [Google Scholar] [CrossRef] [PubMed]
- FDA 2006 Osteopore PCL Scaffold Bone Void Filler—510 K SUMMARY (K051093). Available online: https://www.accessdata.fda.gov/cdrh_docs/pdf5/K051093.pdf (accessed on 26 May 2025).
- Hwang, B.-Y.; Noh, K.; Lee, J.-W. Long-Term Follow-Up of a Novel Surgical Option Combining Fibula Free Flap and 3D-Bioprinted, Patient-Specific Polycaprolactone (PCL) Implant for Mandible Reconstruction. Bioeng. Basel Switz. 2023, 10, 684. [Google Scholar] [CrossRef] [PubMed]
- Xu, T.; Yao, Q.; Miszuk, J.M.; Sanyour, H.J.; Hong, Z.; Sun, H.; Fong, H. Tailoring Weight Ratio of PCL/PLA in Electrospun Three-Dimensional Nanofibrous Scaffolds and the Effect on Osteogenic Differentiation of Stem Cells. Colloids Surf. B Biointerfaces 2018, 171, 31–39. [Google Scholar] [CrossRef]
- Vaquette, C.; Mitchell, J.; Fernandez-Medina, T.; Kumar, S.; Ivanovski, S. Resorbable Additively Manufactured Scaffold Imparts Dimensional Stability to Extraskeletally Regenerated Bone. Biomaterials 2021, 269, 120671. [Google Scholar] [CrossRef]
- Gholivand, K.; Mohammadpour, M.; Alavinasab Ardebili, S.A.; Eshaghi Malekshah, R.; Samadian, H. Fabrication and Examination of Polyorganophosphazene/Polycaprolactone-Based Scaffold with Degradation, in Vitro and in Vivo Behaviors Suitable for Tissue Engineering Applications. Sci. Rep. 2022, 12, 18407. [Google Scholar] [CrossRef]
- Pazarçeviren, E.; Erdemli, Ö.; Keskin, D.; Tezcaner, A. Clinoptilolite/PCL–PEG–PCL Composite Scaffolds for Bone Tissue Engineering Applications. J. Biomater. Appl. 2017, 31, 1148–1168. [Google Scholar] [CrossRef]
- Bose, S.; Sarkar, N.; Banerjee, D. Effects of PCL, PEG and PLGA Polymers on Curcumin Release from Calcium Phosphate Matrix for in Vitro and in Vivo Bone Regeneration. Mater. Today Chem. 2018, 8, 110–120. [Google Scholar] [CrossRef] [PubMed]
- Goh, B.T.; Teh, L.Y.; Tan, D.B.P.; Zhang, Z.; Teoh, S.H. Novel 3D Polycaprolactone Scaffold for Ridge Preservation--a Pilot Randomised Controlled Clinical Trial. Clin. Oral Implants Res. 2015, 26, 271–277. [Google Scholar] [CrossRef]
- Agha, R.A.; Sohrabi, C.; Mathew, G.; Franchi, T.; Kerwan, A.; O’Neill, N.; PROCESS Group. The PROCESS 2020 Guideline: Updating Consensus Preferred Reporting of CasESeries in Surgery (PROCESS) Guidelines. Int. J. Surg. Lond. Engl. 2020, 84, 231–235. [Google Scholar] [CrossRef]
- Aydin, M.S.; Marek, N.; Luciani, T.; Mohamed-Ahmed, S.; Lund, B.; Gjerde, C.; Mustafa, K.; Suliman, S.; Rashad, A. Impact of Porosity and Stiffness of 3D Printed Polycaprolactone Scaffolds on Osteogenic Differentiation of Human Mesenchymal Stromal Cells and Activation of Dendritic Cells. ACS Biomater. Sci. Eng. 2024, 10, 7539–7554. [Google Scholar] [CrossRef]
- Romero-Araya, P.; Cárdenas, V.; Nenen, A.; Martínez, G.; Pavicic, F.; Ehrenfeld, P.; Serandour, G.; Covarrubias, C.; Neira, M.; Moreno-Villoslada, I.; et al. Polycaprolactone Scaffolds Prepared by 3D Printing Electrosprayed with Polyethylene Glycol-Polycaprolactone Block Copolymers for Applications in Bone Tissue Engineering. Polymer 2023, 288, 126448. [Google Scholar] [CrossRef]
- Aravena, P.C.; Sandoval, S.P.; Pizarro, F.E.; Simpson, M.I.; Castro-Adams, N.; Serandour, G.; Rosas, C. Leukocyte and Platelet-Rich Fibrin Have Same Effect as Blood Clot in the 3-Dimensional Alveolar Ridge Preservation. A Split-Mouth Randomized Clinical Trial. J. Oral Maxillofac. Surg. Off. J. Am. Assoc. Oral Maxillofac. Surg. 2021, 79, 575–584. [Google Scholar] [CrossRef] [PubMed]
- Schropp, L.; Kostopoulos, L.; Wenzel, A. Bone Healing Following Immediate versus Delayed Placement of Titanium Implants into Extraction Sockets: A Prospective Clinical Study. Int. J. Oral. Maxillofac. Implants 2003, 18, 189–199. [Google Scholar] [PubMed]
- Avila-Ortiz, G.; Chambrone, L.; Vignoletti, F. Effect of Alveolar Ridge Preservation Interventions Following Tooth Extraction: A Systematic Review and Meta-Analysis. J. Clin. Periodontol. 2019, 46 (Suppl. 21), 195–223. [Google Scholar] [CrossRef]
- Atieh, M.A.; Alsabeeha, N.H.; Payne, A.G.; Ali, S.; Faggion, C.M.J.; Esposito, M. Interventions for Replacing Missing Teeth: Alveolar Ridge Preservation Techniques for Dental Implant Site Development. Cochrane Database Syst. Rev. 2021, 4, CD010176. [Google Scholar] [CrossRef] [PubMed]
- Bandyopadhyay, A.; Mitra, I.; Bose, S. 3D Printing for Bone Regeneration. Curr. Osteoporos. Rep. 2020, 18, 505–514. [Google Scholar] [CrossRef]
- Shahin-Shamsabadi, A.; Hashemi, A.; Tahriri, M.; Bastami, F.; Salehi, M.; Mashhadi Abbas, F. Mechanical, Material, and Biological Study of a PCL/Bioactive Glass Bone Scaffold: Importance of Viscoelasticity. Mater. Sci. Eng. C 2018, 90, 280–288. [Google Scholar] [CrossRef]
- Pazarçeviren, A.E.; Dikmen , T.; Altunbaş, K.; Yaprakçı, V.; Erdemli, Ö.; Keskin, D.; Tezcaner , A. Composite clinoptilolite/PCL-PEG-PCL scaffolds for bone regeneration: In vitro and in vivo evaluation. J. Tissue Eng. Regen. Med. 2020, 14, 3–15. (accessed on 1 April 2025). [Google Scholar] [CrossRef]
- Hutmacher, D.W. Scaffold Design and Fabrication Technologies for Engineering Tissues--State of the Art and Future Perspectives. J. Biomater. Sci. Polym. Ed. 2001, 12, 107–124. [Google Scholar] [CrossRef]
- Sun, H.; Mei, L.; Song, C.; Cui, X.; Wang, P. The in Vivo Degradation, Absorption and Excretion of PCL-Based Implant. Biomaterials 2006, 27, 1735–1740. [Google Scholar] [CrossRef]
- Castrisos, G.; Gonzalez Matheus, I.; Sparks, D.; Lowe, M.; Ward, N.; Sehu, M.; Wille, M.-L.; Phua, Y.; Medeiros Savi, F.; Hutmacher, D.; et al. Regenerative Matching Axial Vascularisation of Absorbable 3D-Printed Scaffold for Large Bone Defects: A First in Human Series. J. Plast. Reconstr. Aesthetic Surg. JPRAS 2022, 75, 2108–2118. [Google Scholar] [CrossRef] [PubMed]
- Park, H.; Choi, J.W.; Jeong, W.S. Clinical Application of Three-Dimensional Printing of Polycaprolactone/Beta-Tricalcium Phosphate Implants for Cranial Reconstruction. J. Craniofac. Surg. 2022, 33, 1394–1399. [Google Scholar] [CrossRef]
- Liu, Z.; Wang, H.; Yuan, Z.; Wei, Q.; Han, F.; Chen, S.; Xu, H.; Li, J.; Wang, J.; Li, Z.; et al. High-Resolution 3D Printing of Angle-Ply Annulus Fibrosus Scaffolds for Intervertebral Disc Regeneration. Biofabrication 2022, 15, 015015. [Google Scholar] [CrossRef] [PubMed]
- Jeong, W.-S.; Kim, Y.-C.; Min, J.-C.; Park, H.-J.; Lee, E.-J.; Shim, J.-H.; Choi, J.-W. Clinical Application of 3D-Printed Patient-Specific Polycaprolactone/Beta Tricalcium Phosphate Scaffold for Complex Zygomatico-Maxillary Defects. Polymers 2022, 14, 740. [Google Scholar] [CrossRef]
- Rasperini, G.; Pilipchuk, S.P.; Flanagan, C.L.; Park, C.H.; Pagni, G.; Hollister, S.J.; Giannobile, W.V. 3D-Printed Bioresorbable Scaffold for Periodontal Repair. J. Dent. Res. 2015, 94, 153S–157S. [Google Scholar] [CrossRef]
- Ahn, G.; Lee, J.-S.; Yun, W.-S.; Shim, J.-H.; Lee, U.-L. Cleft Alveolus Reconstruction Using a Three-Dimensional Printed Bioresorbable Scaffold with Human Bone Marrow Cells. J. Craniofac. Surg. 2018, 29, 1880–1883. [Google Scholar] [CrossRef] [PubMed]
- Ivanovski, S.; Staples, R.; Arora, H.; Vaquette, C.; Alayan, J. Alveolar Bone Regeneration Using a 3D-Printed Patient-Specific Resorbable Scaffold for Dental Implant Placement: A Case Report. Clin. Oral. Implants Res. 2024, 35, 1655–1668. [Google Scholar] [CrossRef]
- Tay, J.R.H.; Lu, X.J.; Lai, W.M.C.; Fu, J.-H. Clinical and Histological Sequelae of Surgical Complications in Horizontal Guided Bone Regeneration: A Systematic Review and Proposal for Management. Int. J. Implant. Dent. 2020, 6, 76. [Google Scholar] [CrossRef]
- Donos, N.; Kostopoulos, L.; Karring, T. Alveolar Ridge Augmentation Using a Resorbable Copolymer Membrane and Autogenous Bone Grafts. An Experimental Study in the Rat. Clin. Oral Implants Res. 2002, 13, 203–213. [Google Scholar] [CrossRef]
- Squier, C.A.; Kremer, M.J. Biology of Oral Mucosa and Esophagus. JNCI Monogr. 2001, 2001, 7–15. [Google Scholar] [CrossRef]
- Barbeck, M.; Booms, P.; Unger, R.; Hoffmann, V.; Sader, R.; Kirkpatrick, C.J.; Ghanaati, S. Multinucleated giant cells in the implant bed of bone substitutes are foreign body giant cells-New insights into the material-mediated healing process. J. Biomed. Mater. Res. A 2017, 105, 1105–1111. [Google Scholar] [CrossRef] [PubMed]
- Felice, P.; Zucchelli, G.; Cannizzaro, G.; Barausse, C.; Diazzi, M.; Trullenque-Eriksson, A.; Esposito, M. Immediate, immediate-delayed (6 weeks) and delayed (4 months) post-extractive single implants: 4-month post-loading data from a randomised controlled trial. Eur. J. Oral Implantol. 2016, 9, 233–247. [Google Scholar] [PubMed]





Disclaimer/Publisher’s Note: The statements, opinions and data contained in all publications are solely those of the individual author(s) and contributor(s) and not of MDPI and/or the editor(s). MDPI and/or the editor(s) disclaim responsibility for any injury to people or property resulting from any ideas, methods, instructions or products referred to in the content. |
© 2025 by the authors. Licensee MDPI, Basel, Switzerland. This article is an open access article distributed under the terms and conditions of the Creative Commons Attribution (CC BY) license (https://creativecommons.org/licenses/by/4.0/).
Share and Cite
Aravena, P.C.; Flores, M.E.; Turones, L.C.; Pavicic, F.; Ehrenfeld, P. Alveolar Ridge Preservation Using Three-Dimensional Root Replicas of Polycaprolactone: A Radiological and Histological Evaluation of a Case Report. Reports 2025, 8, 92. https://doi.org/10.3390/reports8020092
Aravena PC, Flores ME, Turones LC, Pavicic F, Ehrenfeld P. Alveolar Ridge Preservation Using Three-Dimensional Root Replicas of Polycaprolactone: A Radiological and Histological Evaluation of a Case Report. Reports. 2025; 8(2):92. https://doi.org/10.3390/reports8020092
Chicago/Turabian StyleAravena, Pedro Christian, Mario E Flores, Larissa Córdova Turones, Francisca Pavicic, and Pamela Ehrenfeld. 2025. "Alveolar Ridge Preservation Using Three-Dimensional Root Replicas of Polycaprolactone: A Radiological and Histological Evaluation of a Case Report" Reports 8, no. 2: 92. https://doi.org/10.3390/reports8020092
APA StyleAravena, P. C., Flores, M. E., Turones, L. C., Pavicic, F., & Ehrenfeld, P. (2025). Alveolar Ridge Preservation Using Three-Dimensional Root Replicas of Polycaprolactone: A Radiological and Histological Evaluation of a Case Report. Reports, 8(2), 92. https://doi.org/10.3390/reports8020092

