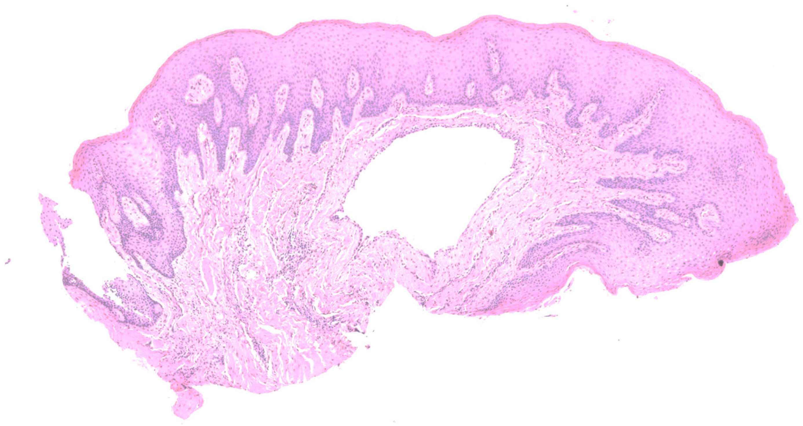
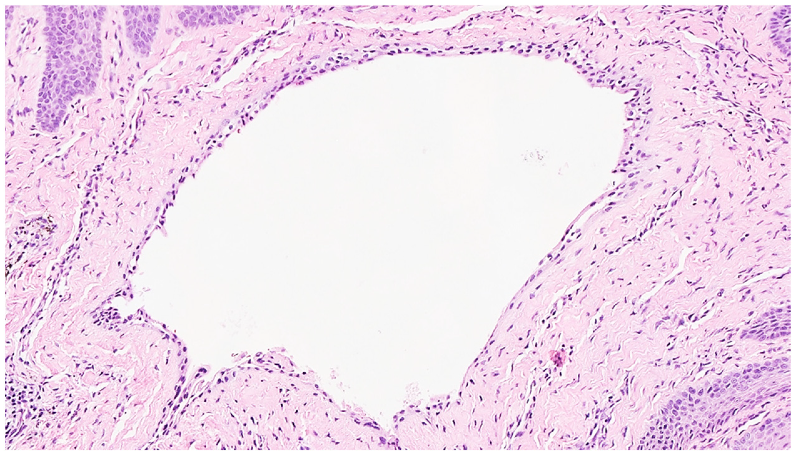
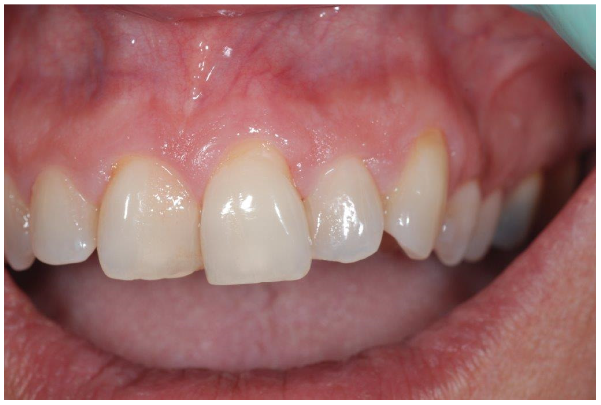
Gingival Cyst of the Adult: A Case Description with a Relevant Literature Analysis
Abstract
Author Contributions
Funding
Institutional Review Board Statement
Informed Consent Statement
Data Availability Statement
Conflicts of Interest
References
- Mota, M.E.; Oliveira, D.M.A.; Medeiros, Y.L.; Moreira, M.S.; Lopes, R.N.; Alves, F.A.; Louredo, B.V.R.; Vargas, P.A.; Prado, J.D. Gingival cyst of the adult. Autops. Case Rep. 2023, 13, e2023454. [Google Scholar] [CrossRef]
- Moskow, B.S.; Bloom, A. Embryogenesis of the gingival cyst. J. Clin. Periodontol. 1983, 10, 119–130. [Google Scholar] [CrossRef] [PubMed]
- Frigerio, M.; Al Eid, R.; Lombardi, T. A Rare Odontogenic Cyst: Gingival Cyst of the Adult. A Case Report and Review of the Literature in Elderly Patients. Case Rep. Dent. 2023, 2023, 4827611. [Google Scholar] [CrossRef] [PubMed]
- Villasis-Sarmiento, L.; Portilla-Robertson, J.; Ocampo, A.M.; Gaitan-Cepeda, L.A.; Leyva-Huerta, E.R. Prevalence and distribution of odontogenic cysts in a Mexican sample. A 753 cases study. J. Clin. Exp. Dent. 2017, 9, e531–e538. [Google Scholar] [CrossRef] [PubMed][Green Version]
- Sharifianand, M.J.; Khalili, M. Odontogeniccysts: Are trospective study of 1227 cases in an Iranian population from 1987 to 2007. J. Oral Sci. 2011, 53, 361–367. [Google Scholar] [CrossRef] [PubMed]
- Giunta, J.L. Gingival cysts in the adult. J. Periodontol. 2002, 73, 827–831. [Google Scholar] [CrossRef] [PubMed]
- Viveiros, S.K.; Pinho, R.F.C.; Custódio, M.; de Sousa, S.C.O.M.; Santos Pinto, D.D., Jr. A rare odontogenic cyst: Gingival cyst of the adult. A series of 20 new cases from a single center. J. Craniomaxillofac Surg. 2019, 47, 647–650. [Google Scholar] [CrossRef] [PubMed]
- Peacock, M.E.; Kao, S.; Abdelsayed, R.A.; Horne, W.J., 2nd; Woods, R.L.; Krishna, R. Lingual Gingival Cyst of the Adult. Clin. Adv. Periodontics 2016, 6, 89–93. [Google Scholar] [CrossRef]
- Buchner, A.; Hansen, L.S. The histomorphologic spectrum of the gingival cyst in the adult. Oral Surg. Oral Med. Oral Pathol. 1979, 48, 532–539. [Google Scholar] [CrossRef] [PubMed]
- Dos Santos, J.N.; Gurgel, C.A.; Ramos, E.A.; Forte, L.F.; de Azevedo, R.A.; de Souza, L.B. Gingival cyst of the adult: A case report and immunohistochemical investigation. Gen. Dent. 2009, 57, e41–e45. [Google Scholar] [PubMed]
- Manor, Y.; Mardinger, O.; Katz, J.; Taicher, S.; Hirshberg, A. Peripheral odontogenic tumours–differential diagnosis in gingival lesions. Int. J. Oral Maxillofac. Surg. 2004, 33, 268–273. [Google Scholar] [CrossRef]
- Capodiferro, S.; Scully, C.; Ficarra, G.; De Frenza, G.; Grassi, R.; Maiorano, E.; Favia, G.; Mastrangelo, F.; Tetè, S. Orofacial Granulomatosis: Report of Two Cases with Gingival Onset. Eur. J. Inflamm. 2007, 5, 51–56. [Google Scholar] [CrossRef]
- Kelsey, W.P., 5th; Kalmar, J.R.; Tatakis, D.N. Gingival cyst of the adult: Regenerative therapy of associated root exposure. A case report and literature review. J. Periodontol. 2009, 80, 2073–2081. [Google Scholar] [CrossRef] [PubMed]
- Nikitakis, N.G.; Brooks, J.K.; Melakopoulos, I.; Younis, R.H.; Scheper, M.A.; Pitts, M.A.; Al-Mubarak, H.; Sklavounou, A. Lateral periodontal cysts arising in periapical sites: A report of two cases. J. Endod. 2010, 36, 1707–1711. [Google Scholar] [CrossRef] [PubMed]
- Batsakis, J.G.; Hicks, M.J.; Flaitz, C.M. Peripheral epithelial odontogenic tumors. Ann. Otol. Rhinol. Laryngol. 1993, 102 Pt 1, 322–324. [Google Scholar] [CrossRef]
- de Carvalho, D.L.; do Canto, A.M.; Eduardo, F.P.; Bezinelli, L.M.; Costa, A.L.; Braz-Silva, P.H. Peripheral Calcifying Epithelial Odontogenic Tumour Mimicking a Gingival Inflammation: A Diagnostic Dilemma. Case Rep. Dent. 2016, 2016, 3014892. [Google Scholar] [CrossRef]
- Forte, M.; Barile, G.; D’Amati, A.; Ingravallo, G.; Corsalini, M.; Manfuso, A.; Favia, G.; Capodiferro, S. Diode Laser Surgery of Peripheral Developing Odontoma in a Pediatric Patient: A Case Report with Narrative Review of the Literature. Surgeries 2024, 5, 391–401. [Google Scholar] [CrossRef]
- Karmakar, S.; Nayak, S.U.; Kamath, D.G. Recurrent Gingival Cyst of Adult: A Rare Case Report with Review of Literature. J. Indian Soc. Periodontol. 2018, 22, 546–550. [Google Scholar] [CrossRef]
- Ritchey, B.; Orban, B. Cysts of the gingiva. Oral Surg. Oral Med. Oral Pathol. 1953, 6, 765–771. [Google Scholar] [CrossRef] [PubMed]
- Bhaskar, S.N.; Laskin, D.M. Gingival cysts; report of three cases. Oral Surg. Oral Med. Oral Pathol. 1955, 8, 803–807. [Google Scholar] [CrossRef]





Disclaimer/Publisher’s Note: The statements, opinions and data contained in all publications are solely those of the individual author(s) and contributor(s) and not of MDPI and/or the editor(s). MDPI and/or the editor(s) disclaim responsibility for any injury to people or property resulting from any ideas, methods, instructions or products referred to in the content. |
© 2024 by the authors. Licensee MDPI, Basel, Switzerland. This article is an open access article distributed under the terms and conditions of the Creative Commons Attribution (CC BY) license (https://creativecommons.org/licenses/by/4.0/).
Share and Cite
Forte, M.; d’Amati, A.; Manfuso, A.; Vittoli, M.; Girone, G.; Cascardi, E.; Capodiferro, S. Gingival Cyst of the Adult: A Case Description with a Relevant Literature Analysis. Reports 2024, 7, 51. https://doi.org/10.3390/reports7030051
Forte M, d’Amati A, Manfuso A, Vittoli M, Girone G, Cascardi E, Capodiferro S. Gingival Cyst of the Adult: A Case Description with a Relevant Literature Analysis. Reports. 2024; 7(3):51. https://doi.org/10.3390/reports7030051
Chicago/Turabian StyleForte, Marta, Antonio d’Amati, Alfonso Manfuso, Massimiliano Vittoli, Giorgia Girone, Eliano Cascardi, and Saverio Capodiferro. 2024. "Gingival Cyst of the Adult: A Case Description with a Relevant Literature Analysis" Reports 7, no. 3: 51. https://doi.org/10.3390/reports7030051
APA StyleForte, M., d’Amati, A., Manfuso, A., Vittoli, M., Girone, G., Cascardi, E., & Capodiferro, S. (2024). Gingival Cyst of the Adult: A Case Description with a Relevant Literature Analysis. Reports, 7(3), 51. https://doi.org/10.3390/reports7030051

