Complex Presentation of Lung Cancer with Obstructive Jaundice
Abstract
1. Introduction
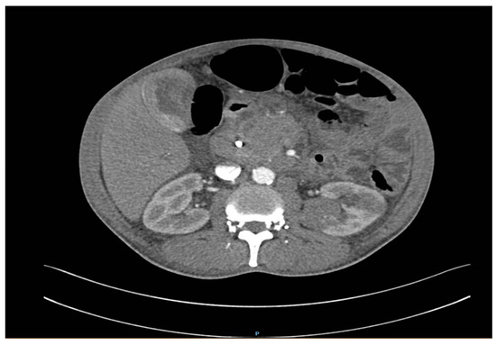
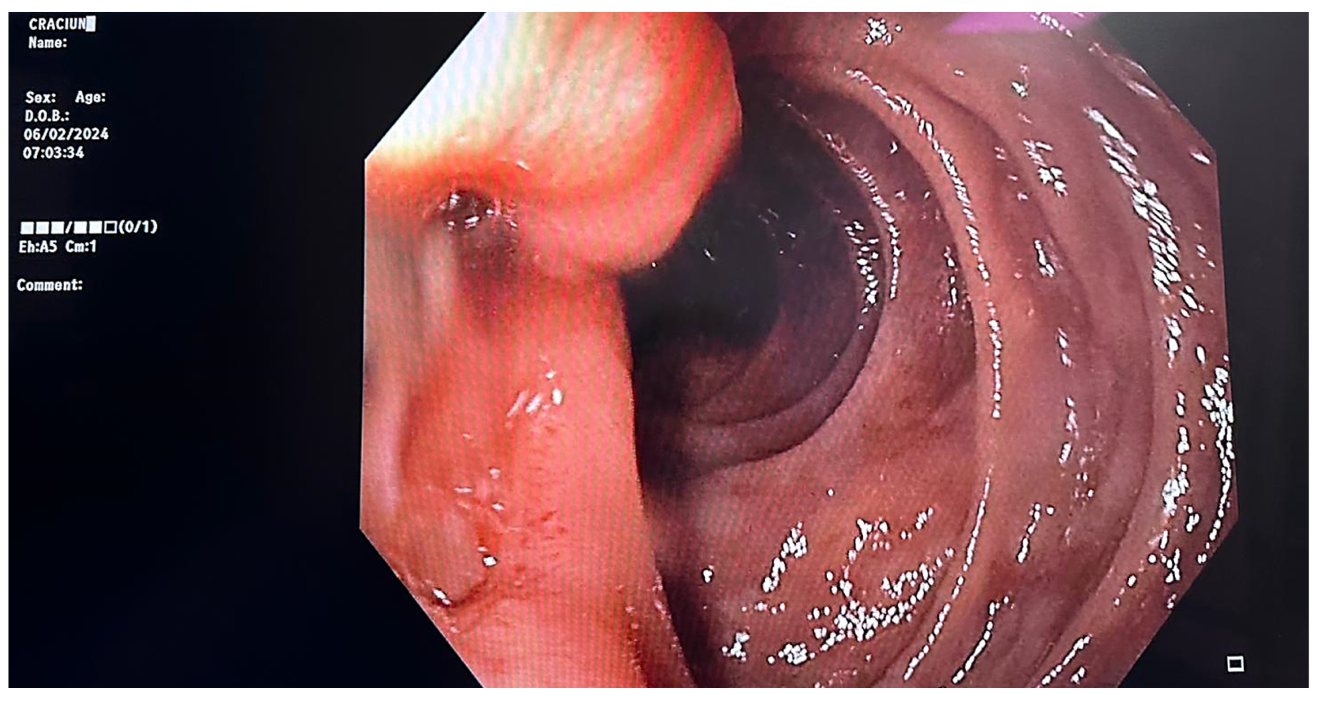
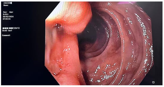
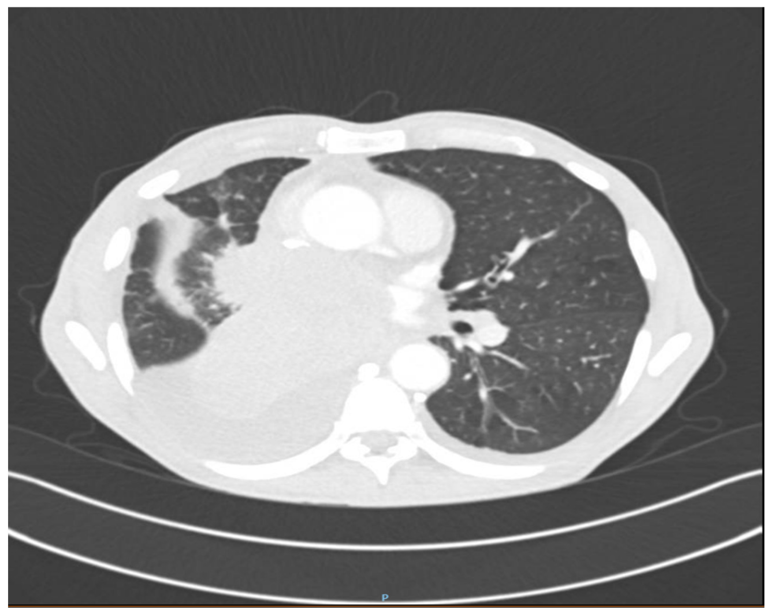
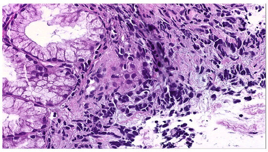
2. Detailed Case Description
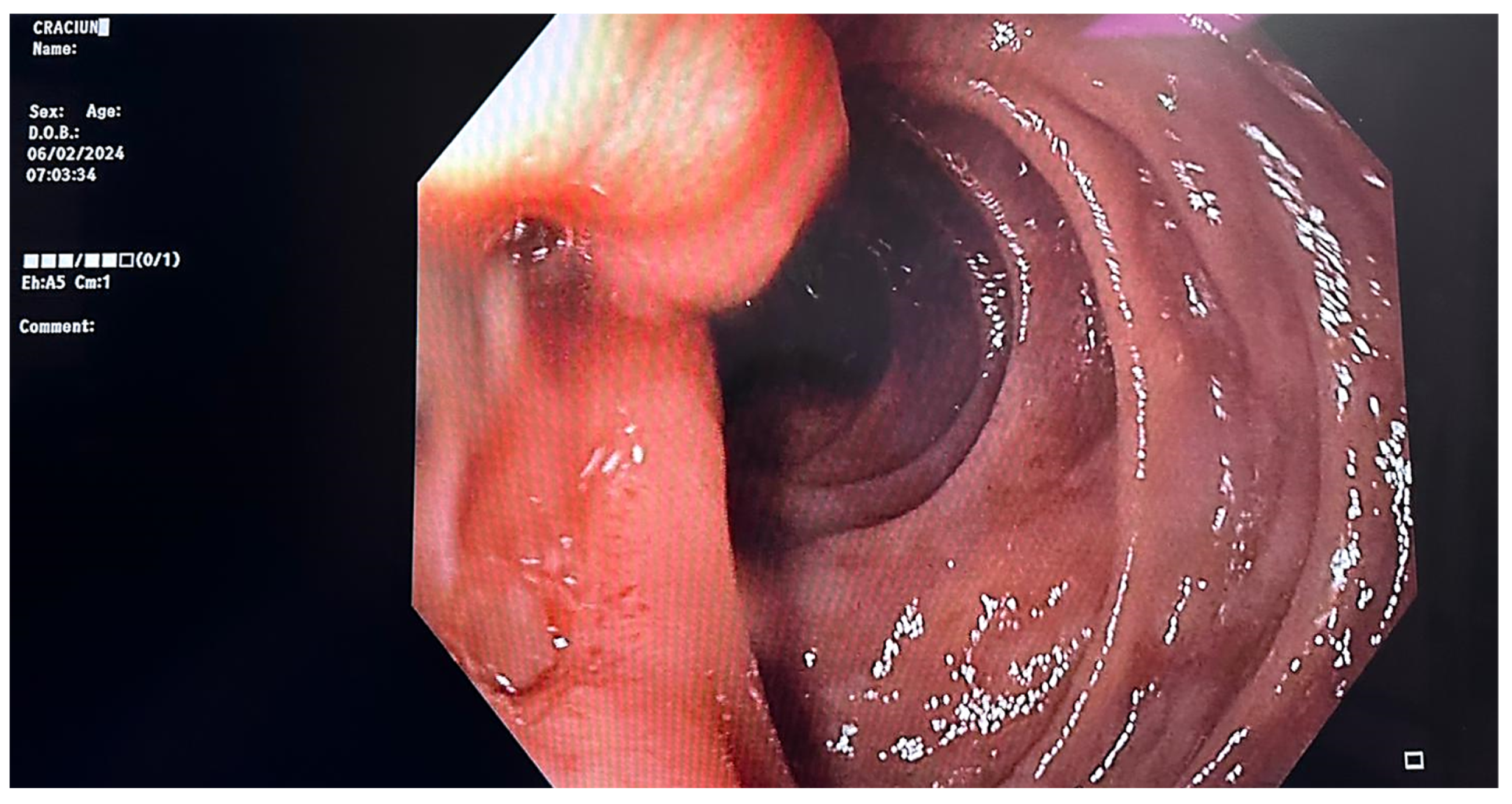
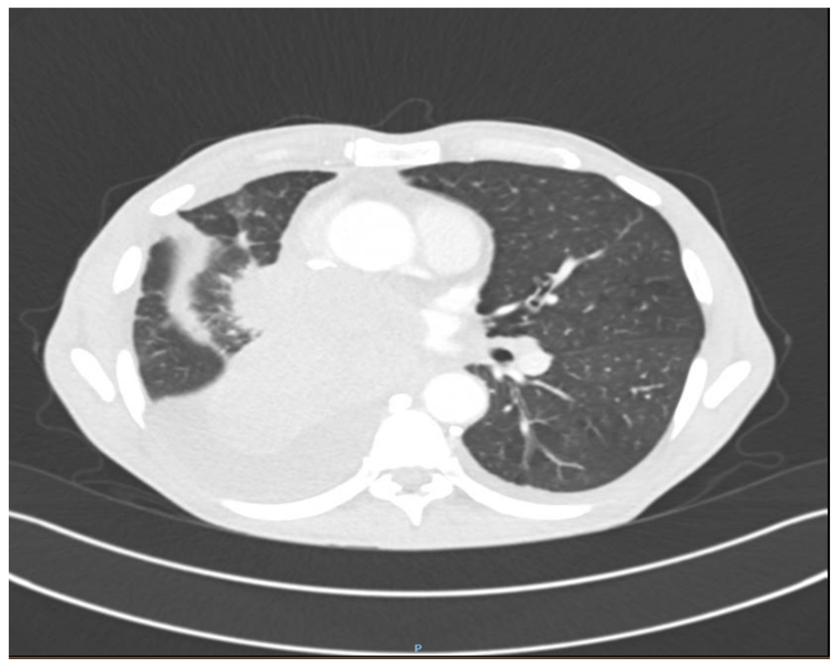
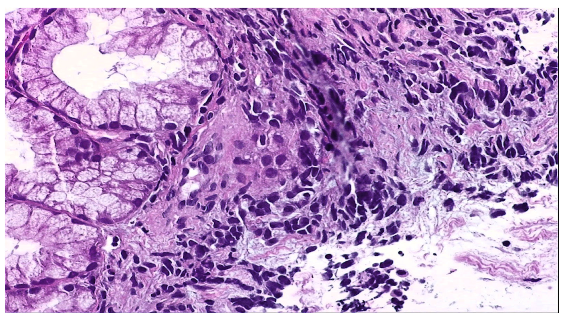
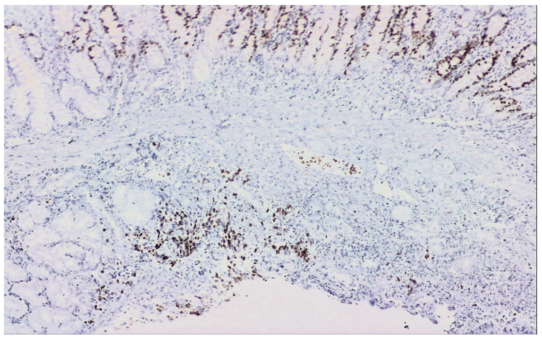
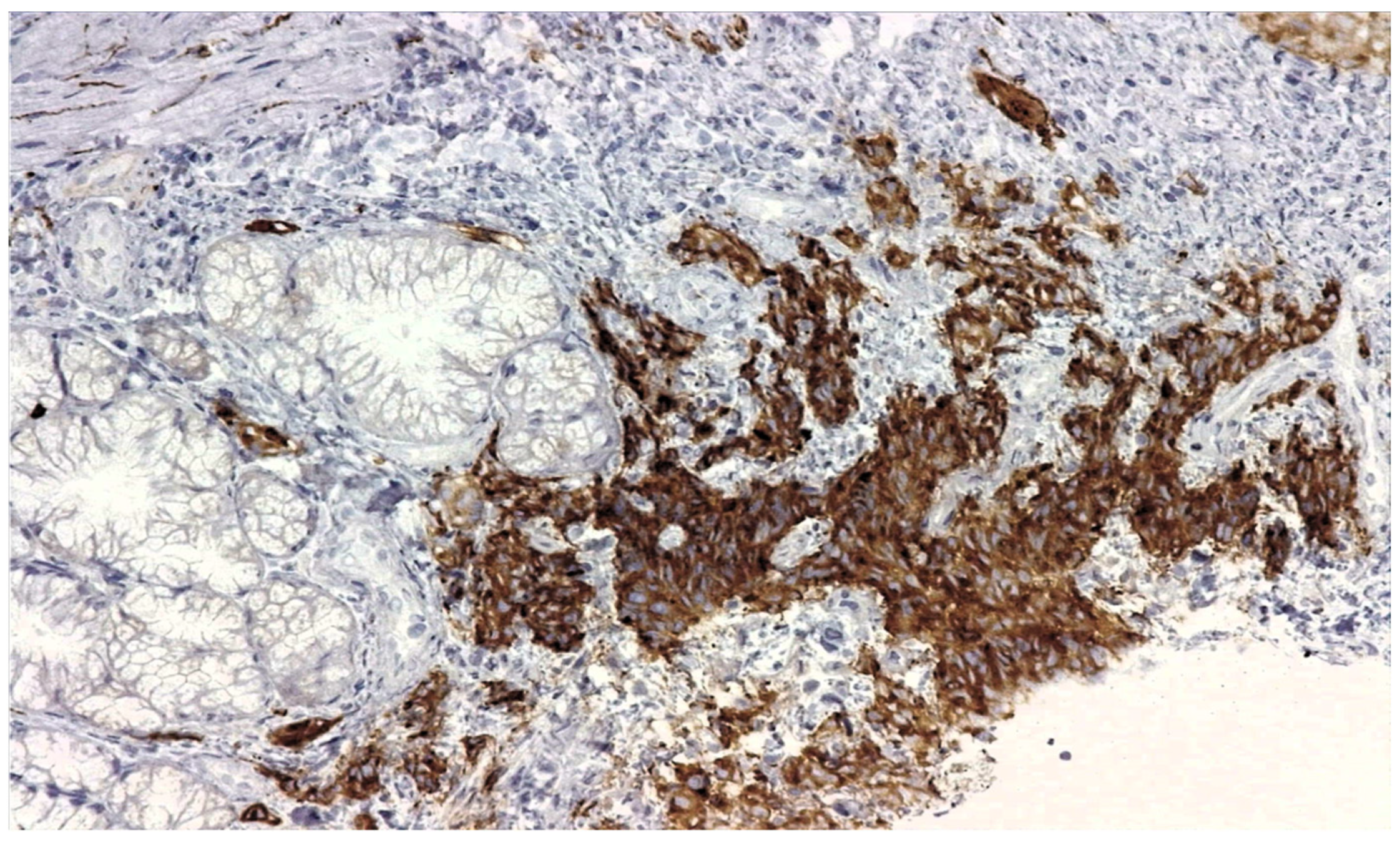
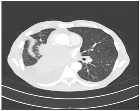
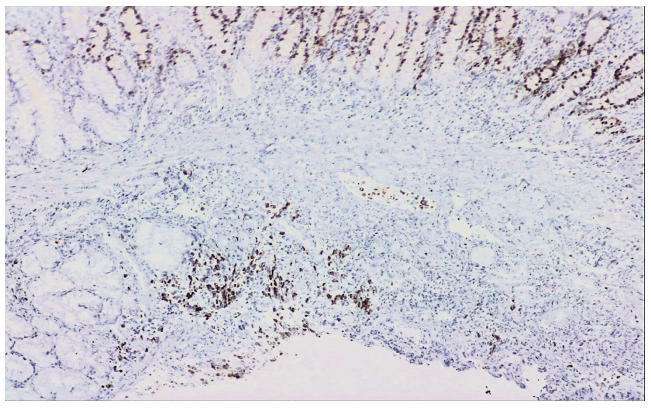
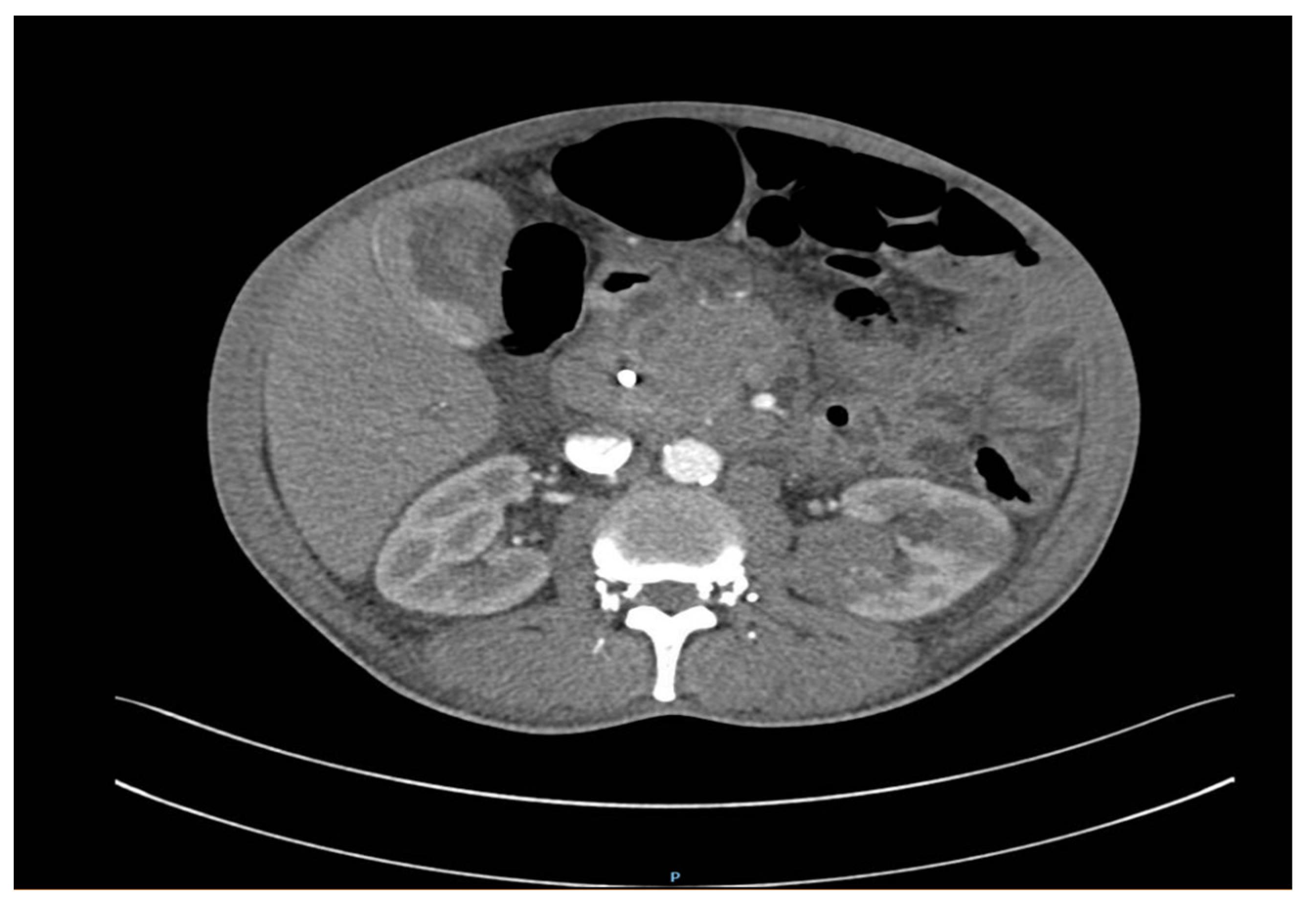
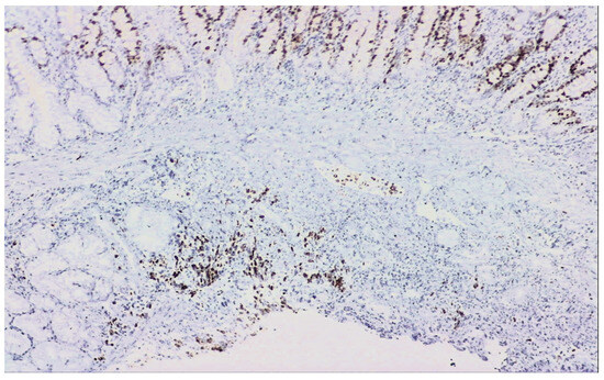
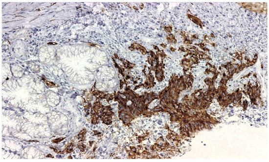
2.1. Diagnostic Evaluation
2.2. Management and Outcome
3. Discussion
4. Conclusions
Author Contributions
Funding
Institutional Review Board Statement
Informed Consent Statement
Data Availability Statement
Conflicts of Interest
References
- Travis, W.D.; Brambilla, E.; Nicholson, A.G.; Yatabe, Y.; Austin, J.H.M.; Beasley, M.B.; Chirieac, L.R.; Dacic, S.; Duhig, E.; Flieder, D.B.; et al. The 2015 World Health Organization Classification of Lung Tumors: Impact of Genetic, Clinical and Radiologic Advances Since the 2004 Classification. J. Thorac. Oncol. Off. Publ. Int. Assoc. Study Lung Cancer 2015, 10, 1243–1260. [Google Scholar] [CrossRef]
- Govindan, R.; Page, N.; Morgensztern, D.; Read, W.; Tierney, R.; Vlahiotis, A.; Spitznagel, E.L.; Piccirillo, J. Changing Epidemiology of Small-Cell Lung Cancer in the United States Over the Last 30 Years: Analysis of the Surveillance, Epidemiologic, and End Results Database. J. Clin. Oncol. 2006, 24, 4539–4544. [Google Scholar] [CrossRef] [PubMed]
- Jett, J.R.; Schild, S.E.; Kesler, K.A.; Kalemkerian, G.P. Treatment of small cell lung cancer: Diagnosis and management of lung cancer, 3rd ed: American College of Chest Physicians evidence-based clinical practice guidelines. Chest 2013, 143, e400S–e419S. [Google Scholar] [CrossRef]
- Rivera, M.P.; Mehta, A.C.; Wahidi, M.M. Establishing the diagnosis of lung cancer: Diagnosis and management of lung cancer, 3rd ed: American College of Chest Physicians evidence-based clinical practice guidelines. Chest 2013, 143, e142S–e165S. [Google Scholar] [CrossRef] [PubMed]
- Z’Graggen, K.; Castillo, C.F.-D.; Rattner, D.W.; Sigala, H.; Warshaw, A.L. Metastases to the pancreas and their surgical extirpation. Arch. Surg. 1998, 133, 413–417; discussion 418–419. [Google Scholar] [CrossRef] [PubMed]
- Ballarin, R. Pancreatic metastases from renal cell carcinoma: The state of the art. World J. Gastroenterol. 2011, 17, 4747–4756. [Google Scholar] [CrossRef] [PubMed]
- Hall, C.; Clarke, L.; Pal, A.; Buchwald, P.; Eglinton, T.; Wakeman, C.; Frizelle, F. A Review of the Role of Carcinoembryonic Antigen in Clinical Practice. Ann. Coloproctol. 2019, 35, 294–305. [Google Scholar] [CrossRef] [PubMed]
- Liu, M.; Zhou, Z.; Liu, F.; Wang, M.; Wang, Y.; Gao, M.; Sun, H.; Zhang, X.; Yang, T.; Ji, L.; et al. CT and CEA-based machine learning model for predicting malignant pulmonary nodules. Cancer Sci. 2022, 113, 4363–4373. [Google Scholar] [CrossRef] [PubMed]
- Xu, J.-X.; Hu, J.-B.; Yang, X.-Y.; Feng, N.; Huang, X.-S.; Zheng, X.-Z.; Rao, Q.-P.; Wei, Y.-G.; Yu, R.-S. A nomogram diagnostic prediction model of pancreatic metastases of small cell lung carcinoma based on clinical characteristics, radiological features and biomarkers. Front. Oncol. 2022, 12, 1106525. [Google Scholar] [CrossRef] [PubMed]
- Maeno, T.; Satoh, H.; Ishikawa, H.; Yamashita, Y.T.; Naito, T.; Fujiwara, M.; Kamma, H.; Ohtsuka, M.; Hasegawa, S. Patterns of pancreatic metastasis from lung cancer. Anticancer Res. 1998, 18, 2881–2884. [Google Scholar] [PubMed]
- Travis, W.D. Advances in neuroendocrine lung tumors. Ann. Oncol. Off. J. Eur. Soc. Med. Oncol. 2010, 21 (Suppl. S7), vii65–vii71. [Google Scholar] [CrossRef]






Disclaimer/Publisher’s Note: The statements, opinions and data contained in all publications are solely those of the individual author(s) and contributor(s) and not of MDPI and/or the editor(s). MDPI and/or the editor(s) disclaim responsibility for any injury to people or property resulting from any ideas, methods, instructions or products referred to in the content. |
© 2024 by the authors. Licensee MDPI, Basel, Switzerland. This article is an open access article distributed under the terms and conditions of the Creative Commons Attribution (CC BY) license (https://creativecommons.org/licenses/by/4.0/).
Share and Cite
Oprita, R.; Oprita, B.; Serban, I.A.; Stefan, L.A.; Neacsu, C.M.; Diaconu, A.E.; Enache, V. Complex Presentation of Lung Cancer with Obstructive Jaundice. Reports 2024, 7, 30. https://doi.org/10.3390/reports7020030
Oprita R, Oprita B, Serban IA, Stefan LA, Neacsu CM, Diaconu AE, Enache V. Complex Presentation of Lung Cancer with Obstructive Jaundice. Reports. 2024; 7(2):30. https://doi.org/10.3390/reports7020030
Chicago/Turabian StyleOprita, Ruxandra, Bogdan Oprita, Ioana Adriana Serban, Lidia Aurelia Stefan, Ciprian Mihai Neacsu, Alice Elena Diaconu, and Valentin Enache. 2024. "Complex Presentation of Lung Cancer with Obstructive Jaundice" Reports 7, no. 2: 30. https://doi.org/10.3390/reports7020030
APA StyleOprita, R., Oprita, B., Serban, I. A., Stefan, L. A., Neacsu, C. M., Diaconu, A. E., & Enache, V. (2024). Complex Presentation of Lung Cancer with Obstructive Jaundice. Reports, 7(2), 30. https://doi.org/10.3390/reports7020030

