Food Production and Landscape Reconstruction of Liangzhu Culture Village (5000–4600 B.P.)—Archaeobotanical Evidence from the Site of Zhumucun, Southern China
Abstract
1. Introduction
2. Materials and Methods
3. Results
3.1. Radiocarbon Dating Results
3.2. Caryopses Analysis
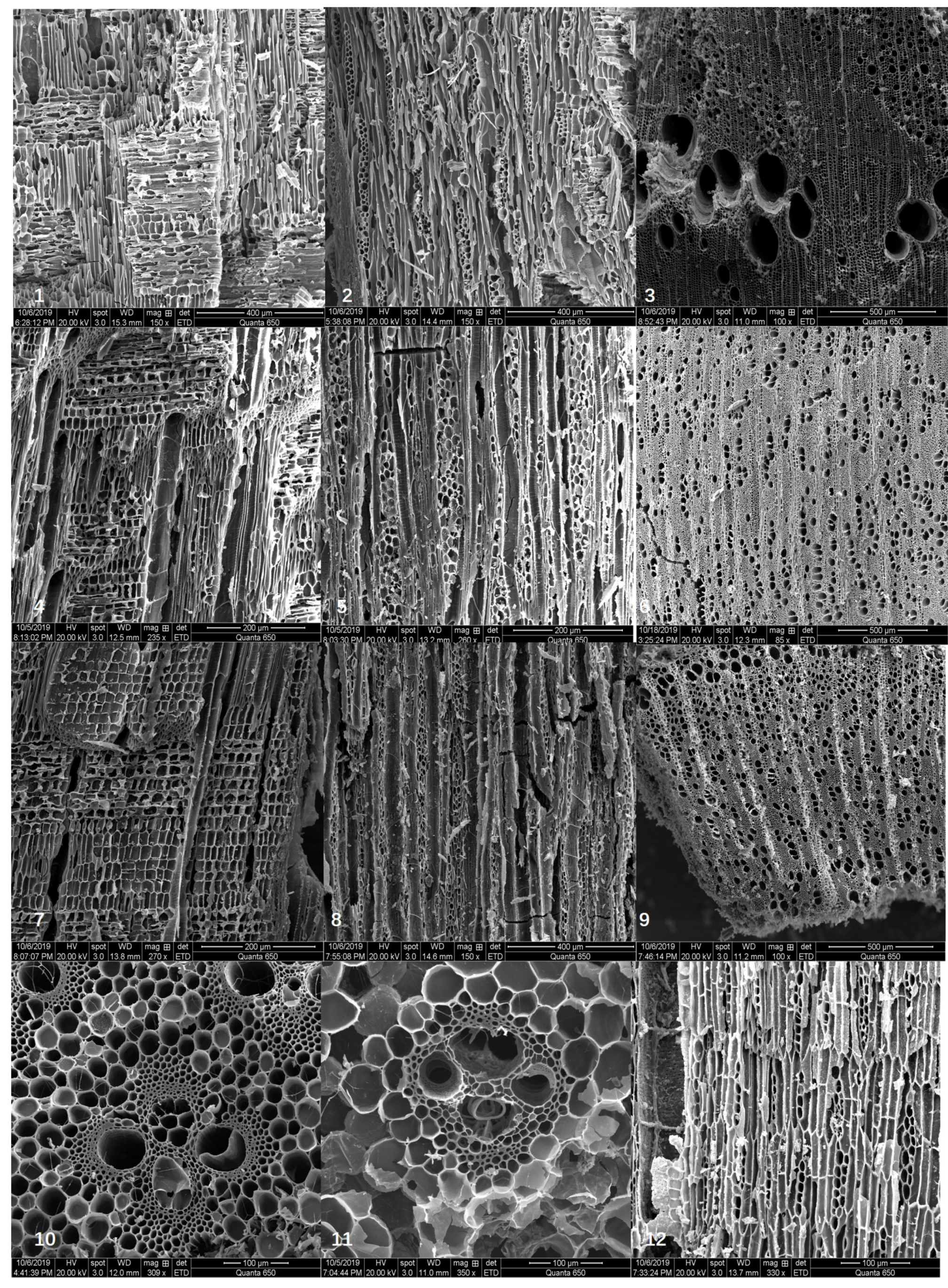
3.3. Wood Charcoal Results
4. Discussion
4.1. Subsistence Strategies and Food Consumption Patterns at the Zhumucun Site
4.2. Agricultural Practices at Zhumucun Site
4.3. Regional Division and Landscape Reconstruction of Zhumucun Site
4.4. Variations in Subsistence Strategies at Liangzhu Cultural Sites
5. Conclusions
Author Contributions
Funding
Data Availability Statement
Acknowledgments
Conflicts of Interest
References
- Zhao, Z. New data and new issues for the study of origin of rice agriculture in China. Archaeol. Anthropol. Sci. 2010, 2, 99–105. [Google Scholar] [CrossRef]
- Yunfei, Z.; Leping, J. Remains of Ancient Rice Unearthed from the Shangshan Site and Their Significance. Chin. Archaeol. 2009, 9, 159–163. [Google Scholar] [CrossRef]
- Fuller, D.Q.; Qin, L.; Zheng, Y.; Zhao, Z.; Chen, X.; Hosoya, L.A.; Sun, G.-P. The Domestication Process and Domestication Rate in Rice: Spikelet Bases from the Lower Yangtze. Science 2009, 323, 1607–1610. [Google Scholar] [CrossRef] [PubMed]
- Fuller, D.Q.; Qin, L.; Harvey, E. Evidence for a late onset of agriculture in the lower yangtze region and challenges for an archaeobotany of rice. In Past Human Migrations in East Asia; Routledge: London, UK, 2008. [Google Scholar]
- Jiang, L.; Liu, L. New evidence for the Origins of Sedentism and Rice Domestication in the Lower Yangzi River, China. Antiquity 2015, 80, 355–361. [Google Scholar] [CrossRef]
- Pan, Y. Revisiting the archaeological investigations of rice domestication in China during 10,000–7,000 BP in a human behavioral context. Front. Earth Sci. 2023, 11, 1180376. [Google Scholar] [CrossRef]
- Renfrew, C.; Liu, B. The emergence of complex society in China: The case of Liangzhu. Antiquity 2018, 92, 975–990. [Google Scholar] [CrossRef]
- Liu, L.; Chen, X. The Archaeology of China: From the Late Paleolithic to the Early Bronze Age; Cambridge University Press: Cambridge, UK, 2012. [Google Scholar]
- Liu, B.; Wang, N.; Zheng, Y.; Chen, X.; Zhou, W.; Yan, K.; Chen, M.; Qi, Z.; Lu, X.; Chen, O.; et al. Findings of archaeological survey of prehistoric city at Liangzhu during 2006–2013. South. Cult. 2014, 2, 31–38. [Google Scholar]
- Zhejiang Provincial Institute of Culture Relics and Archaeology. A Comprehensive Study of Liangzhu Ancient City; Cultural Relics Press: Beijing, China, 2019. [Google Scholar]
- Wang, R.; Mai, Y.; Lin, L. Burnt jade sacrifices in the Chinese Neolithic: The Liangzhu cemetery at Sidun. Antiquity 2022, 96, 1495–1514. [Google Scholar] [CrossRef]
- Zhang, H.; Cheng, H.; Sinha, A.; Spötl, C.; Cai, Y.; Liu, B.; Kathayat, G.; Li, H.; Tian, Y.; Li, Y.; et al. Collapse of the Liangzhu and other Neolithic cultures in the lower Yangtze region in response to climate change. Sci. Adv. 2021, 7, eabi9275. [Google Scholar] [CrossRef]
- Zong, Y.; Wang, Z.; Innes, J.; Chen, Z. Holocene environmental change and Neolithic rice agriculture in the lower Yangtze region of China: A review. Holocene 2012, 22, 623–635. [Google Scholar] [CrossRef]
- Liu, B.; Zhuang, Y.; Qin, L. Liangzhu Culture: Society, Belief, and Art in Neolithic China; Taylor & Francis: Abingdon-on-Thames, UK, 2019. [Google Scholar]
- Zhixin, S. Liangzhu culture: Its discovery and its jades. Early China 1993, 18, 1–40. [Google Scholar] [CrossRef]
- Ling, Q. The Liangzhu Culture. In A Companion to Chinese Archaeology; Wiley-Blackwell: Hoboken, NJ, USA, 2013; pp. 574–596. [Google Scholar]
- Guo, J. Liangzhu Cultural Heritage Speaks to the World. Hangzhou Narratives and Practices of Sustainable Urban Development. Cultura 2023, 20, 177–187. [Google Scholar] [CrossRef]
- Yuan, J.; Pan, Y.; Dong, N.; Storozum, M. The rise and fall of the Liangzhu society in the perspective of subsistence economy. Chin. Archaeol. 2022, 22, 145–152. [Google Scholar] [CrossRef]
- Zhang, X.; Huang, D.; Deng, H.; Snape, C.; Meredith, W.; Zhao, Y.; Du, Y.; Chen, X.; Sun, Y. Radiocarbon dating of charcoal from the Bianjiashan site in Hangzhou: New evidence for the lower age limit of the Liangzhu Culture. Quat. Geochronol. 2015, 30, 9–17. [Google Scholar] [CrossRef]
- Li, H.; Liu, Z.; James, N.; Li, X.; Hu, Z.; Shi, H.; Sun, L.; Lu, Y.; Jia, X. Agricultural Transformations and Their Influential Factors Revealed by Archaeobotanical Evidence in Holocene Jiangsu Province, Eastern China. Front. Earth Sci. 2021, 9, 661684. [Google Scholar] [CrossRef]
- He, K.; Lu, H.; Sun, G.; Ji, X.; Wang, Y.; Yan, K.; Zuo, X.; Zhang, J.; Liu, B.; Wang, N. Multi-proxy evidence of environmental change related to collapse of the Liangzhu Culture in the Yangtze Delta, China. Sci. China Earth Sci. 2021, 64, 890–905. [Google Scholar] [CrossRef]
- Fuller, D.Q.; Stevens, C.J. Between domestication and civilization: The role of agriculture and arboriculture in the emergence of the first urban societies. Veg. Hist. Archaeobotany 2019, 28, 263–282. [Google Scholar] [CrossRef]
- Ma, Y.; Yang, X.; Huan, X.; Gao, Y.; Wang, W.; Li, Z.; Ma, Z.; Perry, L.; Sun, G.; Jiang, L.; et al. Multiple indicators of rice remains and the process of rice domestication: A case study in the lower Yangtze River region, China. PLoS ONE 2018, 13, e0208104. [Google Scholar] [CrossRef]
- Ma, Y.; Yang, X.; Huan, X.; Wang, W.; Ma, Z.; Li, Z.; Sun, G.; Jiang, L.; Zhuang, Y.; Lu, H. Rice bulliform phytoliths reveal the process of rice domestication in the Neolithic Lower Yangtze River region. Quat. Int. 2016, 426, 126–132. [Google Scholar] [CrossRef]
- Nakamura, S.-i. The origin of rice cultivation in the Lower Yangtze Region, China. Archaeol. Anthropol. Sci. 2010, 2, 107–113. [Google Scholar] [CrossRef]
- Liu, B.; Wang, N.; Chen, M.; Wu, X.; Mo, D.; Liu, J.; Xu, S.; Zhuang, Y. Earliest hydraulic enterprise in China, 5,100 years ago. Proc. Natl. Acad. Sci. USA 2017, 114, 13637–13642. [Google Scholar] [CrossRef]
- Huan, X.; Zhang, J.; Zhuang, Y.; Fan, C.; Wang, N.; Ji, X.; Shao, K.; He, K.; Jin, J.; Zuo, X.; et al. Intensification of rice farming and its environmental consequences recorded in a Liangzhu reservoir, China. Quat. Int. 2022, 619, 39–45. [Google Scholar] [CrossRef]
- Sheng, P.; Allen, E.; Huang, X.; Zheng, X.; Storozum, M. To eat like Liangzhu: Isotopic investigation of diets in the Lower Yangtze area prior to and during the Liangzhu period (5300–4300 cal. BP). Herit. Sci. 2024, 12, 251. [Google Scholar] [CrossRef]
- Tanaka, K.; Zhao, C.; Wang, N.; Kubota, S.; Kanehara, M.; Kamijo, N.; Ishikawa, R.; Tasaki, H.; Kanehara, M.; Liu, B.; et al. Classification of archaic rice grains excavated at the Mojiaoshan site within the Liangzhu site complex reveals an Indica and Japonica chloroplast complex. Food Prod. Process. Nutr. 2020, 2, 15. [Google Scholar] [CrossRef]
- Zhuang, Y.; Ding, P.; French, C. Water management and agricultural intensification of rice farming at the late-Neolithic site of Maoshan, Lower Yangtze River, China. Holocene 2014, 24, 531–545. [Google Scholar] [CrossRef]
- Qiu, Z.; Ding, J.; Jiang, H.; Hu, Y. Analysis on plant remains from rice paddy fields of the Liangzhu Culture at the Zhumucun site, Kunshan City. Southeast Cult. 2014, 2, 57–67, (in Chinese with English abstract). [Google Scholar]
- Qiu, Z.; Ding, J.; Wang, X.; Jiang, H. Vegetation landscape and paleoenvironment evolution recorded at the late Neolithic Zhumucun site, East China. Quat. Int. 2022, 640, 12–22. [Google Scholar] [CrossRef]
- Ding, J.; Yu, C.; Qian, H.; Wang, Y.; Lu, Q.; Wang, X. A Brief Report of the Excavation of the Zhumucun Site at Kunshan, Jiangsu. Southeast Cult. 2014, 2, 39−56+68–69+127−128. [Google Scholar]
- Marston, J.M.; Guedes, J.D.A.; Warinner, C. (Eds.) Method and Theory in Paleoethnobotany; University Press of Colorado: Denver, CO, USA, 2014. [Google Scholar]
- Kabukcu, C. Wood Charcoal Analysis in Archaeology. In Environmental Archaeology; Springer Nature: Berlin, Germany, 2018; pp. 133–154. [Google Scholar]
- Ramsey, C.B.; Lee, S. Recent and planned developments of the program OxCal. Radiocarbon 2013, 55, 720–730. [Google Scholar] [CrossRef]
- Reimer, P.J.; Bard, E.; Bayliss, A.; Beck, J.W.; Blackwell, P.G.; Ramsey, C.B.; Buck, C.E.; Cheng, H.; Edwards, R.L.; Friedrich, M. IntCal13 and Marine13 radiocarbon age calibration curves 0–50,000 years cal BP. Radiocarbon 2013, 55, 1869–1887. [Google Scholar] [CrossRef]
- Cappers, R.T.J.; Bekker, R.M. A Manual for the Identification of Plant Seeds and Fruits; Barkhuis: Eelde, The Netherlands, 2013; Volume 23. [Google Scholar]
- Neef, R.; Cappers, R.T.J.; Bekker, R.M.; Boulos, L.; Dinies, M.; Ertuğ, Z.F.; Keller, N.; Lahitte, M.; Meulenbeld, G.J.; Zhu, Y.P. Digital Atlas of Economic Plants in Archaeology; Barkhuis: Eelde, The Netherlands, 2012; Volume 17. [Google Scholar]
- Fuller, D.Q.; Weisskopf, A. The Early Rice Project: From Domestication to Global Warming. Archaeol. Int. 2011, 13, 44–51. [Google Scholar] [CrossRef]
- Zheng, Y.; Crawford, G.W.; Jiang, L.; Chen, X. Rice Domestication Revealed by Reduced Shattering of Archaeological rice from the Lower Yangtze valley. Sci. Rep. 2016, 6, 28136. [Google Scholar] [CrossRef] [PubMed]
- Chi, Z.; Hung, H.-c. The emergence of agriculture in southern China. Antiquity 2010, 84, 11–25. [Google Scholar] [CrossRef]
- Fuller, D.Q.; Harvey, E.; Qin, L. Presumed domestication? Evidence for wild rice cultivation and domestication in the fifth millennium BC of the Lower Yangtze region. Antiquity 2007, 81, 316–331. [Google Scholar] [CrossRef]
- Fuller, D.Q.; Qin, L. Declining oaks, increasing artistry, and cultivating rice: The environmental and social context of the emergence of farming in the Lower Yangtze Region. Environ. Archaeol. 2010, 15, 139–159. [Google Scholar] [CrossRef]
- Fuller, D.Q.; Qin, L.; Harvey, E. An evolutionary model for Chinese rice domestication: Reassessing the data of the Lower Yangtze region. In New Approaches to Prehist Agric; Sahoi Pyoungnon: Seoul, Republic of Korea, 2009; pp. 312–345. [Google Scholar]
- Crawford, G. Early rice exploitation in the lower Yangzi valley: What are we missing? Holocene 2012, 22, 613–621. [Google Scholar] [CrossRef]
- Dai, J.; Cai, X.; Jin, J.; Ge, W.; Huang, Y.; Wu, W.; Xia, T.; Li, F.; Zuo, X. Earliest arrival of millet in the South China coast dating back to 5,500 years ago. J. Archaeol. Sci. 2021, 129, 105356. [Google Scholar] [CrossRef]
- Deng, Z.; Hung, H.-c.; Fan, X.; Huang, Y.; Lu, H. The ancient dispersal of millets in southern China: New archaeological evidence. Holocene 2017, 28, 34–43. [Google Scholar] [CrossRef]
- Crawford, G.; Underhill, A.; Zhao, Z.; Lee, G.A.; Feinman, G.; Nicholas, L.; Luan, F.; Yu, H.; Fang, H.; Cai, F. Late Neolithic Plant Remains from Northern China: Preliminary Results from Liangchengzhen, Shandong. Curr. Anthropol. 2005, 46, 309–317. [Google Scholar] [CrossRef]
- Lee, G.-A.; Crawford, G.W.; Liu, L.; Sasaki, Y.; Chen, X. Archaeological Soybean (Glycine max) in East Asia: Does Size Matter? PLoS ONE 2011, 6, e26720. [Google Scholar] [CrossRef]
- Zhou, X.; Li, X.; Zhao, K.; Dodson, J.; Sun, N.; Yang, Q. Early agricultural development and environmental effects in the Neolithic Longdong basin (eastern Gansu). Chin. Sci. Bull. 2011, 56, 762–771. [Google Scholar] [CrossRef]
- Hu, Y. Human Subsistence Strategies and Adaptations in the Lower Yangtze River Region During the Prehistoric Era. Front. Earth Sci. 2021, 9, 654416. [Google Scholar] [CrossRef]
- Liu, L.; Field, J.; Weisskopf, A.; Webb, J.; Jiang, L.-P.; Wang, H.-M.; Chen, X.-C. The exploitation of acorn and rice in early Holocene Lower Yangzi River, China. Acta Anthropol. Sin. 2010, 29. [Google Scholar]
- Zhijun, Z. The Process of Origin of Agriculture in China: Archaeological Evidence from Flotation Results. Quat. Sci. 2014, 34, 73–84. [Google Scholar]
- Fuller, D.Q.; Allaby, R.G.; Stevens, C. Domestication as innovation: The entanglement of techniques, technology and chance in the domestication of cereal crops. World Archaeol. 2010, 42, 13–28. [Google Scholar] [CrossRef]
- Tanno, K.-i.; Willcox, G. Distinguishing wild and domestic wheat and barley spikelets from early Holocene sites in the Near East. Veg. Hist. Archaeobotany 2012, 21, 107–115. [Google Scholar] [CrossRef]
- Chen, M. China and the World in the Liangzhu Era; Springer: Berlin, Germany, 2022. [Google Scholar]
- Yin, Y.; Zou, H.; Gan, H. Understanding the plant food spectrum at the Jiangzhuang site of the Liangzhu culture (5300–4300 BP) through a starch grain analysis of human dental calculus. Res. Sq. 2024, preprint. [Google Scholar] [CrossRef]
- Wu, Y.; Wang, C.; Zhang, Z.; Ge, Y. Subsistence, Environment, and Society in the Taihu Lake Area during the Neolithic Era from a Dietary Perspective. Land 2022, 11, 1229. [Google Scholar] [CrossRef]
- Liu, Y.; Huang, Y.; Gan, H.; Dong, N. Herding or Hunting? Animal Exploitation at Jiangzhuang (Jiangsu, China) During the Liangzhu Period (3300–2300 BC). Animals 2024, 14, 3461. [Google Scholar] [CrossRef]







| Maple Number | Sampling Point | Sample Volume (L) | Charcoal Weight (g) |
|---|---|---|---|
| 1 | K5 (1) | 10 | 6.348 |
| 2 | K5 (2) | 10 | 5.089 |
| 3 | K5 (3) | 11 | 54.178 |
| 4 | K5 (4) | 10 | 29.437 |
| 5 | H234 | 12 | 2.448 |
| 6 | H232 | 12 | 1.126 |
| 7 | H230 | 14 | 21.22 |
| 8 | H227 | 10 | 0.336 |
| 9 | H222 | 20 | 0.736 |
| 10 | H224 | 15 | 0 |
| 11 | H225 | 14 | 0.126 |
| 12 | H159 | 16 | 48.389 |
| 13 | H221 | 12 | 0 |
| 14 | J156 | 10 | 0 |
| Total | 135 | 168.307 |
| Lab Code | Context Number | Sample Type | 14C Age (Year BP) | Calibrated Date (95.4% prob.) |
|---|---|---|---|---|
| BA172543 | 2014KGZ J124 | charcoal | 4155 ± 45 | 2882BC (94.6%) 2619BC |
| 2606BC (0.8%) 2600BC | ||||
| BA172544 | 2014KGZK5 | charcoal | 4330 ± 35 | 3078BC (0.6%) 3074BC |
| 3024BC (94.8%) 2890BC | ||||
| BA172545 | 2014KGZHD8 | charcoal | 3940 ± 35 | 2567BC (11.6%) 2523BC |
| 2498BC (81.2%) 2335BC | ||||
| 2324BC (2.7%) 2306BC | ||||
| BA180116 | 2014KGZJ169 | bone | 4350 ± 25 | 3023BC (95.4%) 2904BC |
| Plant Remains | Quantity | Density (per Liter) | Ubiquity (%) | |
|---|---|---|---|---|
| Oryza sativa L. | grains | 237 | 1.76 | 64.29 |
| spikelets | 7536 | 55.82 | 50 | |
| Setaria italica L. | 1 | 0.07 | 7.14 | |
| Glycine max. | 34 | 0.25 | 7.14 | |
| Trapaceae | 12 | 0.09 | 14.29 | |
| Cucumis melo L. | 3 | 0.022 | 7.14 | |
| Euryale ferox | 2 | 0.015 | 7.14 | |
| Bambusoideae | 3 | 0.022 | 7.14 | |
| Melia azedarach L. | 4 | 0.029 | 14.29 | |
| Nymphaea tetragona | 1 | 0.07 | 7.14 | |
| Rubus L. | 2 | 0.015 | 7.14 | |
| Cyperaceae | 40 | 0.296 | 28.57 | |
| Perilla frutescens L. | 7 | 0.0519 | 14.29 | |
| Leonurus japonicus Houtt. | 3 | 0.022 | 7.14 | |
| Poaceae | 5 | 0.037 | 14.29 | |
| Chenopodiaceae | 2 | 0.015 | 7.14 | |
| Galium aparine L. | 2 | 0.015 | 14.29 | |
| Polygonum L | 3 | 0.022 | 14.29 | |
Disclaimer/Publisher’s Note: The statements, opinions and data contained in all publications are solely those of the individual author(s) and contributor(s) and not of MDPI and/or the editor(s). MDPI and/or the editor(s) disclaim responsibility for any injury to people or property resulting from any ideas, methods, instructions or products referred to in the content. |
© 2025 by the authors. Licensee MDPI, Basel, Switzerland. This article is an open access article distributed under the terms and conditions of the Creative Commons Attribution (CC BY) license (https://creativecommons.org/licenses/by/4.0/).
Share and Cite
Zheng, X.; Yang, F.; Sun, M.; Chen, Q. Food Production and Landscape Reconstruction of Liangzhu Culture Village (5000–4600 B.P.)—Archaeobotanical Evidence from the Site of Zhumucun, Southern China. Quaternary 2025, 8, 21. https://doi.org/10.3390/quat8020021
Zheng X, Yang F, Sun M, Chen Q. Food Production and Landscape Reconstruction of Liangzhu Culture Village (5000–4600 B.P.)—Archaeobotanical Evidence from the Site of Zhumucun, Southern China. Quaternary. 2025; 8(2):21. https://doi.org/10.3390/quat8020021
Chicago/Turabian StyleZheng, Xiaoqu, Fan Yang, Mingli Sun, and Qinyu Chen. 2025. "Food Production and Landscape Reconstruction of Liangzhu Culture Village (5000–4600 B.P.)—Archaeobotanical Evidence from the Site of Zhumucun, Southern China" Quaternary 8, no. 2: 21. https://doi.org/10.3390/quat8020021
APA StyleZheng, X., Yang, F., Sun, M., & Chen, Q. (2025). Food Production and Landscape Reconstruction of Liangzhu Culture Village (5000–4600 B.P.)—Archaeobotanical Evidence from the Site of Zhumucun, Southern China. Quaternary, 8(2), 21. https://doi.org/10.3390/quat8020021
