Early Grain Cultivation and Starting Processes in the Japanese Archipelago
Abstract
:1. Introduction
2. Who Brought Grain Cultivation to the Japanese Archipelago?
2.1. Diffusion from the Korean Peninsula to the Japanese Archipelago
2.2. Introduction of Rice Cultivation
2.3. First Expansion
2.4. Second Expansion
2.5. Each Homeland
3. Interaction between Native Hunter–Gatherers and Newcomer Farmers
3.1. Introduction
3.2. Analysis
3.3. Northern Kyushu
3.4. Osaka Plain
3.5. Ashigara Plain in Kanagawa Prefecture, West of Kanto District
3.6. Northern Tohoku District
3.7. Discussion
- (A)
- 250 years, e.g., Fukuoka Plain.
- (B)
- 150 years, e.g., Osaka Plain, probably western Japan.
- (C)
- 20–50 years, e.g., Kanto Plain, probably eastern Japan.
- (D)
- Native hunter–gatherers started wet rice cultivation independently without any new arrival of plant farmers. They passed down Jomon festivals. No mutual exchange occurred. They resumed hunting and gathering after approximately 300 years.
4. Conclusions: Early Grain Cultivation and the Starting Process
Funding
Institutional Review Board Statement
Informed Consent Statement
Data Availability Statement
Acknowledgments
Conflicts of Interest
References
- Taniguchi, Y. The beginning of the Jomon period: Rethinking the incipient Jomon. In The Archaeology of the Jomon Period; Doseisha: Tokyo, Japan, 2010; Volume 1, pp. 79–97. ISBN 978-4886215086. (In Japanese) [Google Scholar]
- Kobayashi, T. The Origin of the Jomon pottery. Archaeol. J. 1962, 100, 26–30. (In Japanese) [Google Scholar]
- Kudo, Y. Environment and Culture History of the Upper Paleolithic and the Jomon Period; Shinsensha: Tokyo, Japan, 2012; ISBN 978-4787712035. (In Japanese) [Google Scholar]
- Tsuji, S. A Land Ecosystem in the Transition to the Jomon Age. Quat. Res. 1997, 36, 309–318. (In Japanese) [Google Scholar] [CrossRef]
- Goto, K.; Tsuji, S. Vegetation history since the Early Jomon Period at Ooyazawa, Aomori, in the southern part of the Aomori Plain. Quat. Int. 2000, 9, 43–53. (In Japanese) [Google Scholar]
- Imamura, K. Chestnut and walnut trees were cultivated plants in Europe. Archaeol. J. 2009, 594, 31–34. (In Japanese) [Google Scholar]
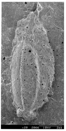
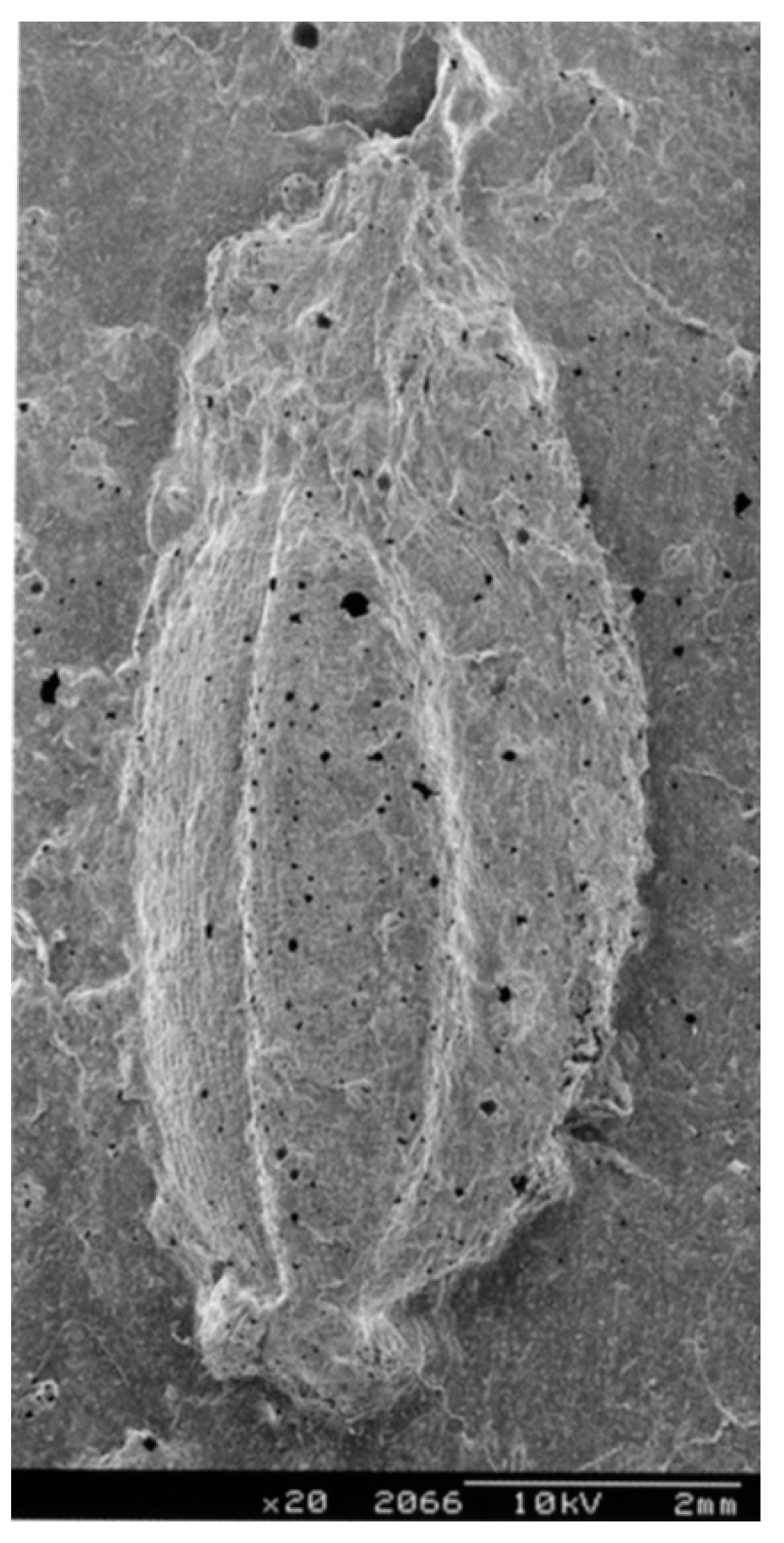
- Obata, H.; Sasaki, Y.; Senba, Y. Impressions on pottery revealed cultivation of Glycine max subsp. max (soybean) in the late to latest Jomon periods in Kyushu Island. Jpn. J. Hist. Bot. 2007, 15, 97–114. (In Japanese) [Google Scholar]
- Ahn, J.-H. Rethinking on the origin of Songgungni culture. Yongnam Archaeol. 2019, 83, 91–125. (In Korean) [Google Scholar]
- Cheon, S.-H. The Transion of regional relationship between Korean peninsula and the western Japan in the Mumon Period. Korean Antiq. 2009, 73, 33–55. (In Korean) [Google Scholar]
- Fujio, S. When did the wet rice cultivation with the irrigation system begin in the Western Japan. Bull. Natl. Mus. Jpn. Hist. 2014, 183, 113–143. (In Japanese) [Google Scholar]
- Nakazawa, M. Continental grain in the early Yayoi period as seen from the analysis of earthenware indentation by the replica method. Archaeol. J. 2019, 729, 14–19. (In Japanese) [Google Scholar]
- Maeda, Y.; Takesue, J. The reaping knife in final Jomon period discovered from Nukigawa site, Kitakyushu-shi. Bull. Inst. Res. Kyushu Cult. Hist. 1994, 39, 65–90. (In Japanese) [Google Scholar]
- Takakura, H. The Age of Golden Seal States; Aoki shoten: Tokyo, Japan, 1985. (In Japanese) [Google Scholar]
- Yamasaki, S. Paddy field in Northern Kyushu. In The Appearance of the Yayoi Culture in Japan; Bunken Shuppan: Tokyo, Japan, 1991; pp. 350–394. (In Japanese) [Google Scholar]
- Kyungnam University Museum & Pusan National University Museum. Okhyeon; Kyungnam University Museum & Pusan National University Museum: Pusan, Korea, 2015. (In Korean) [Google Scholar]
- Ahn, J.-H. Yeungnam society and Yayoi culture during the establishment of Songjuku-ri culture. In Archaeology of the Yayoi Period; Doseisha: Tokyo, Japan, 2009; Volume 2, pp. 73–89. (In Japanese) [Google Scholar]
- Dennell, R.W. The hunter-gatherer/agricultural frontier in Prehistoric temperate Europe. In The Archaeology of Frontier and Boundaries; Green, S.W., Perlman, S.M., Eds.; Academic Press, Inc.: Cambridge, MA, USA, 1985; pp. 113–139. [Google Scholar]
- Fujio, S.; Imamura, I.; Nishimoto, T. When did the wet-rice cultivation begin In Japanese Archipelago? SOKENDAI Rev. Cult. Soc. Stud. 2005, 1, 73–96. (In Japanese) [Google Scholar]
- Fujio, S. Reconstruction of the Yayoi Culture Image; Yoshikawa-Kobunkan: Tokyo, Japan, 2013; ISBN 978-4642093293. (In Japanese) [Google Scholar]
- Fujio, S. The Formation of Yayoi Culture in Fukuoka Plain. Bull. Natl. Mus. Jpn. Hist. 1999, 77, 51–84. (In Japanese) [Google Scholar]
- Kobayashi, K.; Harunari, H.; Akiyama, K. ¹⁴C Dating of Yayoi Period in Kawachi Districts. Bull. Natl. Mus. Jpn. Hist. 2008, 139, 17–51. (In Japanese) [Google Scholar]
- Fujio, S. Interaction between the Jomon Farmer and the Yayoi Farmer at the beginning of the Yayoi Period along the Old Kawachi Lake. Bull. Natl. Mus. Jpn. Hist. 2009, 152, 373–400. (In Japanese) [Google Scholar]
- Harunari, H. The Beginning of the Yayoi Period; UP Selection Book; Tokyo University Press: Tokyo, Japan, 1990; ISBN 978-4130241113. (In Japanese) [Google Scholar]
- Fujio, S. Interaction between Garden Culture People and Farmer. In Proceedings of the T06-Q Interactions between Prehistoric Hunter-Gatherers and Neighbors in Asia the 8th World Archaeological Congress, Kyoto, Japan, 28 August–2 September 2016. [Google Scholar]
- Nakatsuka, T.; Sano, M.; Li, Z.; Xu, C.; Tsushima, A.; Shigeoka, Y.; Sho, K.; Ohnishi, K.; Sakamoto, M.; Ozaki, H.; et al. A 2600-year summer climate reconstruction in central Japan by integrating tree-ring stable oxygen and hydrogen isotopes. Clim. Past 2020, 16, 2153–2172. [Google Scholar] [CrossRef]
- Fujio, S. Inter-regional differences in adaptation to rice cultivation. Q. Archaeol. Stud. 1991, 38, 30–54. (In Japanese) [Google Scholar]
- Barnes, G.L. The Jomon-Yayoi transition in eastern Japan: Enquiries from the Kanto region. Jpn. J. Archaeol. 2019, 7, 1–51. [Google Scholar]
- Komoto, M. Early Agricultural Culture in Northeast Asia: Focusing on the analysis of natural relics. In The Formation of Early Yayoi Culture in Japan; Bunken Shuppan: Tokyo, Japan, 1991; pp. 553–613. (In Japanese) [Google Scholar]














| Model | Duration of Interaction | Newcomers | Example |
|---|---|---|---|
| A | 250 years | Korean Peninsula | Northern Kyushu |
| B | 150 | e.g., Sanuki | Osaka Bay area |
| C | 30–50 | e.g., Harima, Mikawa | Eastern Japan |
| D | 0 | 0 | Northern Tohoku |
Publisher’s Note: MDPI stays neutral with regard to jurisdictional claims in published maps and institutional affiliations. |
© 2021 by the author. Licensee MDPI, Basel, Switzerland. This article is an open access article distributed under the terms and conditions of the Creative Commons Attribution (CC BY) license (http://creativecommons.org/licenses/by/4.0/).
Share and Cite
Fujio, S. Early Grain Cultivation and Starting Processes in the Japanese Archipelago. Quaternary 2021, 4, 3. https://doi.org/10.3390/quat4010003
Fujio S. Early Grain Cultivation and Starting Processes in the Japanese Archipelago. Quaternary. 2021; 4(1):3. https://doi.org/10.3390/quat4010003
Chicago/Turabian StyleFujio, Shin’ichiro. 2021. "Early Grain Cultivation and Starting Processes in the Japanese Archipelago" Quaternary 4, no. 1: 3. https://doi.org/10.3390/quat4010003
APA StyleFujio, S. (2021). Early Grain Cultivation and Starting Processes in the Japanese Archipelago. Quaternary, 4(1), 3. https://doi.org/10.3390/quat4010003
