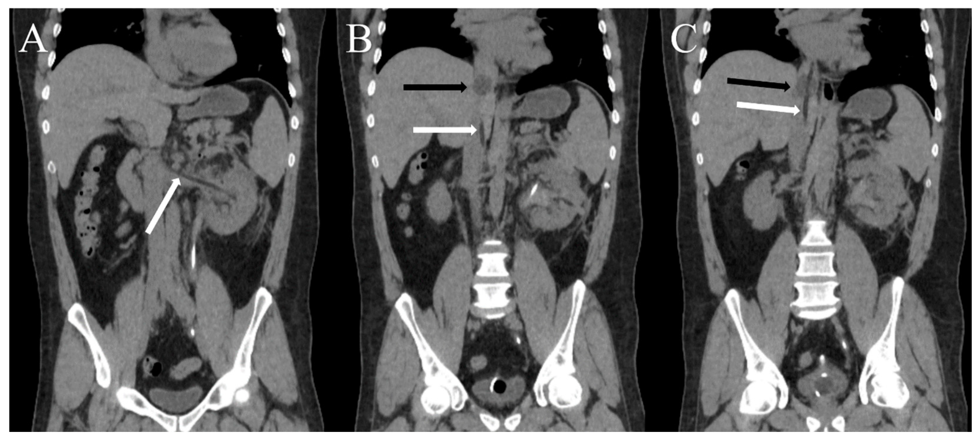
Intravenous Nephrostomy Misplacement in Inferior Vena Cava after Percutaneous Nephrolithotomy
Author Contributions
Funding
Institutional Review Board Statement
Informed Consent Statement
Data Availability Statement
Conflicts of Interest
References
- Liu, J.; Jiang, B.; Mao, J.; Zeng, Z.; Gong, L.; Huang, C. Intravenous misplacement of the nephrostomy catheter following percutaneous nephrostolithotomy: A case report and literature review. J. Int. Med. Res. 2020, 48, 300060520979447. [Google Scholar] [CrossRef] [PubMed]
- Li, D.; Xiao, L.; Tang, Z.; Qi, L.; Luo, K.; Huang, L.; Huang, K.; Zhou, J.; Tang, Y.; Li, J. Management of intravenous migration of urologic catheter. Urology 2013, 82, 248–252. [Google Scholar] [CrossRef] [PubMed]
- Fu, W.; Yang, Z.; Xie, Z.; Yan, H. Intravenous misplacement of the nephrostomy catheter following percutaneous nephrostolithotomy: Two case reports and literature review. BMC Urol. 2017, 17, 43. [Google Scholar] [CrossRef] [PubMed]
- Skolarikos, A.; Alivizatos, G.; Papatsoris, A.; Constantinides, K.; Zerbas, A.; Deliveliotis, C. Ultrasound-guided percutaneous nephrostomy performed by urologists: 10-year experience. Urology 2006, 68, 495–499. [Google Scholar] [CrossRef] [PubMed]
- Lawrensia, S.; Khan, Y.S. Inferior Vena Cava Syndrome. In StatPearls; StatPearls Publishing LLC.: Treasure Island, FL, USA, 2023. [Google Scholar]

Disclaimer/Publisher’s Note: The statements, opinions and data contained in all publications are solely those of the individual author(s) and contributor(s) and not of MDPI and/or the editor(s). MDPI and/or the editor(s) disclaim responsibility for any injury to people or property resulting from any ideas, methods, instructions or products referred to in the content. |
© 2024 by the authors. Licensee MDPI, Basel, Switzerland. This article is an open access article distributed under the terms and conditions of the Creative Commons Attribution (CC BY) license (https://creativecommons.org/licenses/by/4.0/).
Share and Cite
Haghpanah, A.; Kamran, H.; Ghoddusi Johari, H.; Varmazyar, M. Intravenous Nephrostomy Misplacement in Inferior Vena Cava after Percutaneous Nephrolithotomy. Soc. Int. Urol. J. 2024, 5, 279-280. https://doi.org/10.3390/siuj5040045
Haghpanah A, Kamran H, Ghoddusi Johari H, Varmazyar M. Intravenous Nephrostomy Misplacement in Inferior Vena Cava after Percutaneous Nephrolithotomy. Société Internationale d’Urologie Journal. 2024; 5(4):279-280. https://doi.org/10.3390/siuj5040045
Chicago/Turabian StyleHaghpanah, Abdolreza, Hooman Kamran, Hamed Ghoddusi Johari, and Matin Varmazyar. 2024. "Intravenous Nephrostomy Misplacement in Inferior Vena Cava after Percutaneous Nephrolithotomy" Société Internationale d’Urologie Journal 5, no. 4: 279-280. https://doi.org/10.3390/siuj5040045
APA StyleHaghpanah, A., Kamran, H., Ghoddusi Johari, H., & Varmazyar, M. (2024). Intravenous Nephrostomy Misplacement in Inferior Vena Cava after Percutaneous Nephrolithotomy. Société Internationale d’Urologie Journal, 5(4), 279-280. https://doi.org/10.3390/siuj5040045
