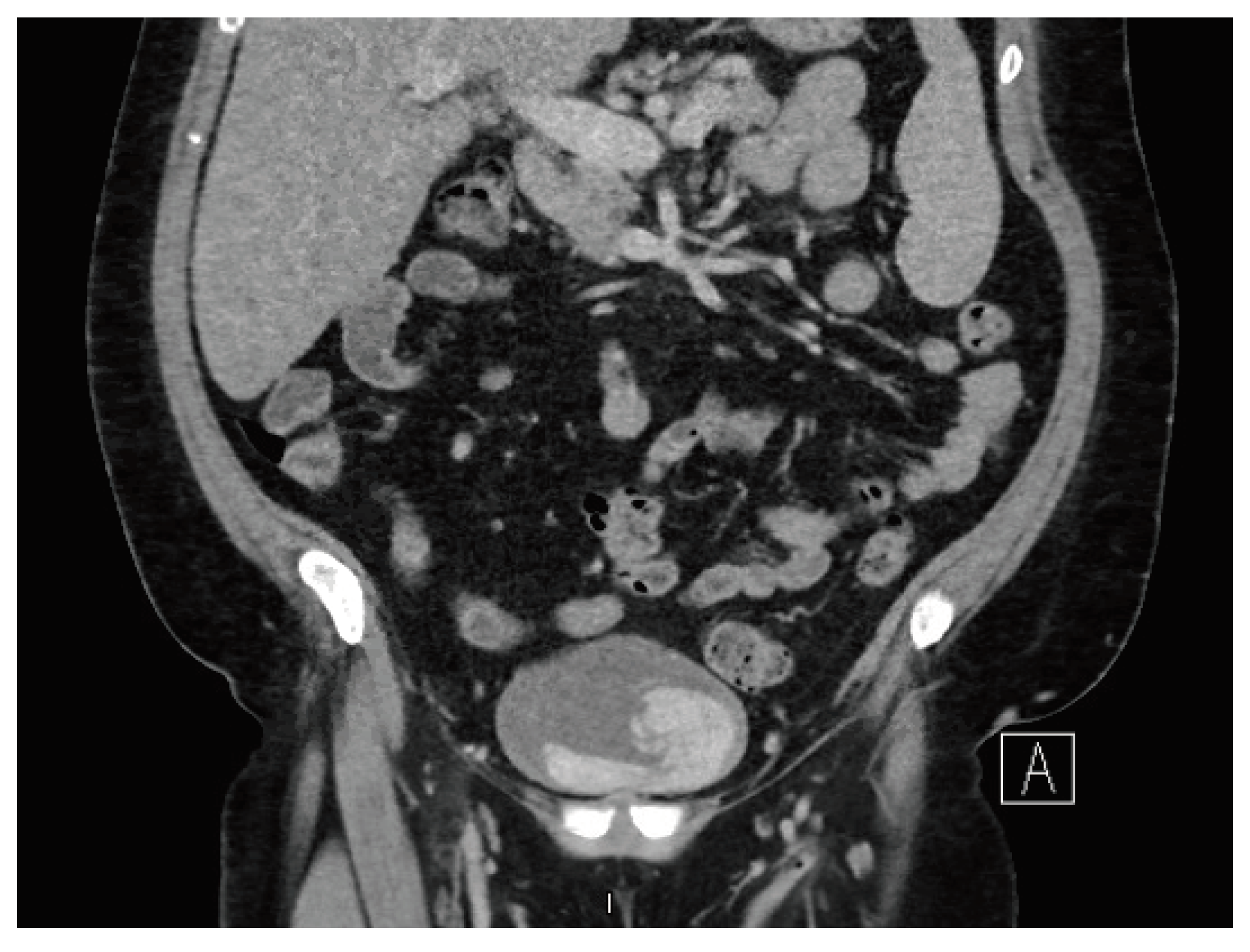
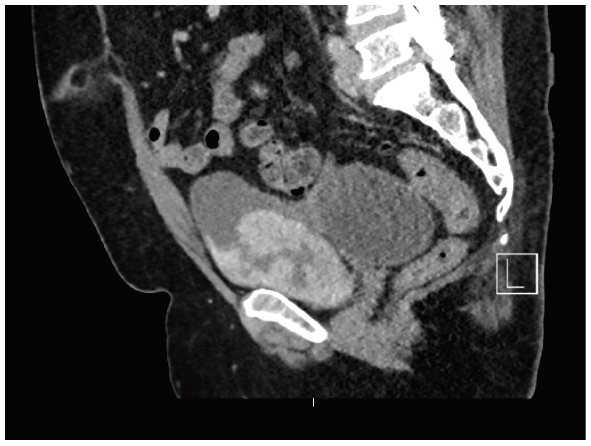
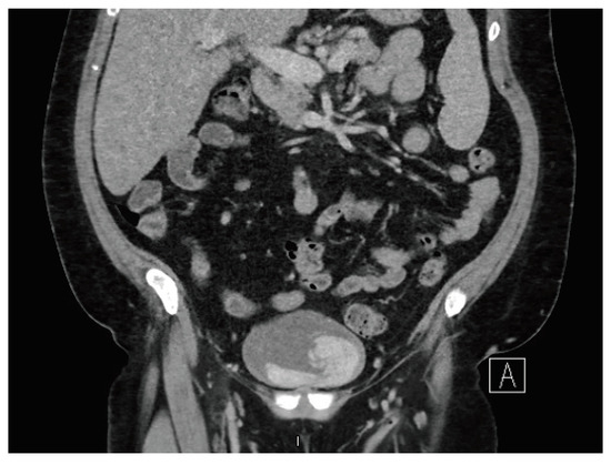
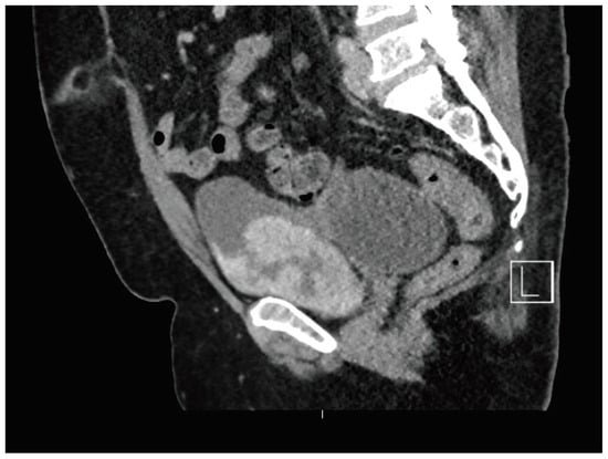
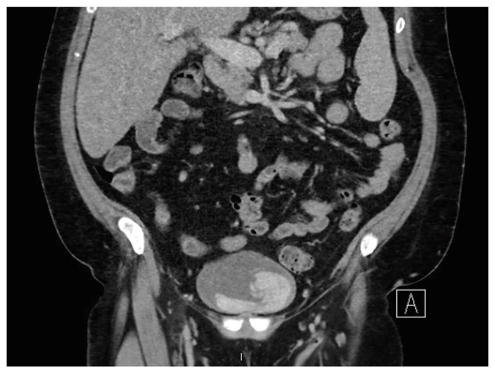
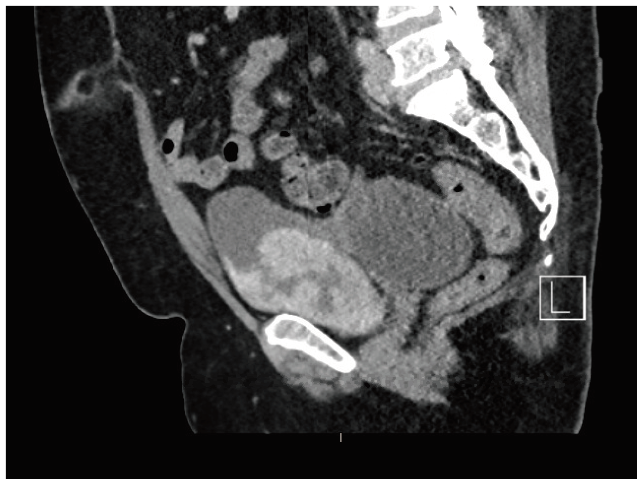
Gadolinium Contrast in the Bladder: A Malignant Mimic
Acknowledgments
Conflicts of Interest


This is an open access article under the terms of a license that permits non-commercial use, provided the original work is properly cited. © 2022 The Authors. Société Internationale d'Urologie Journal, published by the Société Internationale d'Urologie, Canada.
Share and Cite
Kovacic, J.; Kam, J.; Latif, E. Gadolinium Contrast in the Bladder: A Malignant Mimic. Soc. Int. Urol. J. 2022, 3, 48. https://doi.org/10.48083/OFWX4645
Kovacic J, Kam J, Latif E. Gadolinium Contrast in the Bladder: A Malignant Mimic. Société Internationale d’Urologie Journal. 2022; 3(1):48. https://doi.org/10.48083/OFWX4645
Chicago/Turabian StyleKovacic, James, Jonathan Kam, and Edward Latif. 2022. "Gadolinium Contrast in the Bladder: A Malignant Mimic" Société Internationale d’Urologie Journal 3, no. 1: 48. https://doi.org/10.48083/OFWX4645
APA StyleKovacic, J., Kam, J., & Latif, E. (2022). Gadolinium Contrast in the Bladder: A Malignant Mimic. Société Internationale d’Urologie Journal, 3(1), 48. https://doi.org/10.48083/OFWX4645
