Abstract
Background: Disorders of Consciousness (DoC) following acute brain injuries, such as intracerebral hemorrhage, present significant clinical challenges in intensive care and rehabilitation settings. Early multidisciplinary interventions, including physiatric care, are critical in optimizing recovery trajectories. However, evidence regarding the timing and intensity of rehabilitation interventions remains limited. This case report highlights the role of physiatrists in managing a critically ill patient with a DoC in an Intensive Care Unit (ICU), focusing on early rehabilitation strategies and individualized care planning. Case presentation: A 63-year-old male with a history of hypertension and cardiac disease presented with a left hemispheric hemorrhage and quadriventricular intraventricular hemorrhage. The patient was admitted to the ICU in a comatose state (Glasgow Coma Scale [GCS] 5). Initial physiatric evaluation revealed a critical condition precluding immediate initiation of an Individual Rehabilitation Project (IRP). Over subsequent weeks, clinical improvements were observed, including an increased GCS and Coma Recovery Scale-Revised (CRS-R) score. A tailored IRP was implemented, emphasizing passive mobilization to prevent complications such as muscle atrophy, joint contractures, and pressure ulcers. The patient demonstrated gradual progress, transitioning to a Minimally Conscious State (MCS) and achieving improved joint mobility and reduced peripheral edema. Discussion and Conclusions: This case underscores the pivotal role of physiatrists in ICU settings, particularly for patients with DoC. Early physiatric interventions, even in critically ill patients, can prevent secondary complications and facilitate functional recovery. Close collaboration with ICU teams and infectious disease specialists ensured the safe implementation of rehabilitation strategies despite the patient’s severe condition. The observed clinical improvements highlight the potential benefits of early mobilization and individualized care plans, both in terms of survival (quoad vitam) and quality of life (quoad valetudinem). This report emphasizes the need for further research to refine rehabilitation practices for patients with DoC, bridging gaps between acute care and neurorehabilitation.
1. Introduction
The admission rate of patients with Disorders of Consciousness (DoC) to rehabilitation centers varies significantly based on factors such as geographic region, facility type, and population demographics. Studies indicate that DoC cases constitute approximately 3–4% of neurological admissions, with traumatic brain injuries being a leading cause. Many patients arrive at rehabilitation centers in a vegetative state (VS), with Unresponsive Wakefulness Syndrome (UWS), or in a Minimally Conscious State (MCS) [1,2]. The level of consciousness at admission for patients with DoC is commonly evaluated using standardized tools like the Coma Recovery Scale-Revised (CRS-R) [3].
The rehabilitation of this vulnerable patient population has not yet been comprehensively addressed in existing guidelines and has been investigated in only a limited number of randomized clinical trials. For instance, Seel et al. [4] demonstrated that individuals with DoC resulting primarily from traumatic brain injury who received specialized early interventions—including acute medical care and at least 90 min of daily interdisciplinary rehabilitation—exhibited significant improvements in consciousness, bodily function, and discharge outcomes. These findings underscore the importance of structured, multidisciplinary interventions in optimizing recovery trajectories for DoC patients. Significant gaps remain in understanding the factors that influence rehabilitation settings and outcomes [5,6,7,8]. Although the importance of rehabilitation in neurological disorders is well established and widely acknowledged [9,10], there is limited consensus regarding the optimal type, timing, or intensity of rehabilitation following intracerebral hemorrhage. Furthermore, a recent meta-analysis by Fedor BA et al. failed to provide clarity on these issues, highlighting the persistent uncertainties in this area of research [11].
As physiatrists, we are routinely called for consultations within our institution’s divisions to evaluate the clinical and functional status of patients admitted for various conditions, with the aim of initiating rehabilitation care as early as possible. In this context, physiatrists play a central role in designing Individual Rehabilitation Projects (IRPs), which are specifically tailored to promote the recovery of independence in daily living and work activities while enhancing social participation and overall quality of life. The development of an IRP follows a structured and methodical process. It begins with a comprehensive assessment to identify specific problems and their underlying causes, forming the basis for targeted interventions. Following this, global rehabilitation goals are defined based on physiatric evaluations, patient/caregiver expectations, and identified needs. Realistic timelines for achieving these goals are then established, alongside the selection of appropriate outcome indicators, such as validated clinical scales, to objectively measure progress throughout the rehabilitation process. Once these foundational elements are in place, a tailored IRP is developed to address the patient’s specific requirements. An IRP may include interventions such as motor re-education, respiratory therapy, speech therapy, or other specialized treatments depending on the patient’s condition and treatment setting. To ensure effective implementation of the program, appropriate healthcare professionals—such as physiotherapists, occupational therapists, or speech therapists—are assigned to deliver the necessary interventions. Finally, the IRP is continuously monitored and evaluated using pre-determined outcome measures to assess its effectiveness. This ongoing evaluation allows for adjustments to be made when necessary to optimize the rehabilitation process and ensure that the patient achieves the best possible outcomes.
This study aimed to analyze a clinical case from our routine practice to describe challenges of managing a complex and critically ill patient. The analysis also seeks to highlight the clinical methodology typically employed during our consultations, as well as propose a potential IRP tailored to such patients. The description of the physiatrist’s work in the Intensive Care Unit (ICU) presented is based on our specific experiences at Tor Vergata University Hospital. While the core principles of physiatric care are universal, the exact implementation and scope of practice can vary widely across different settings, healthcare systems, and organizations. We believe that highlighting our specific approach can offer valuable insights into the potential contributions of physiatrists in similar settings.
2. Case Presentation
A physiatric consultation was requested from the ICU for a 63-year-old patient with a clinical history of arterial hypertension and unspecified heart disease, previously treated with stent placement. The patient was admitted to the Emergency and Acceptance Department (DEA) following the acute onset of illness accompanied by emesis. Upon arrival at the DEA, the patient experienced multiple episodes of vomiting and sphincter release, prompting immediate transfer to the Radiology Department for imaging studies. A computed tomography (CT) scan revealed a left hemispheric hemorrhage with significant ventricular flooding. The CT angiogram further identified a large intraparenchymal hemorrhage (52 × 46 mm) localized in the deep intra-axial region at the level of the left corona radiata. Additionally, there was evidence of a midline shift of approximately 7 mm to the right. The imaging also demonstrated extensive intraventricular hemorrhage, with intraventricular blood present in all four ventricles. Following the administration of contrast agent, a “spot sign” was observed at the posterior horn of the left lateral ventricle, indicative of active bleeding at the site of the intra-axial hemorrhage.
A chest X-ray performed on the same day as the CT scan revealed diffuse hypodiaphany with a partially cottony and confluent appearance, predominantly affecting the medio-basal lung fields. These findings were suggestive of an edematous condition. A surgical consultation was requested; however, the neurosurgeon determined that there were no indications for surgical intervention. A central venous catheter (CVC) was subsequently placed via right transjugular access, with its distal tip positioned at the atrio-caval junction, as confirmed by the X-ray. Over time, the patient’s condition deteriorated, progressing to a comatose state, with a Glasgow Coma Scale (GCS) score of 5 [E(1) V(NT) M(4)]. Neurological examination revealed myosis and asymmetrical motor responses: the patient exhibited retraction to painful stimuli on the right side but showed no response on the left. The diagnosis of “cerebral hemorrhage” was confirmed. On the day following admission to the DEA, the patient was transferred to the ICU for further evaluation and management. A detailed chronology of the case is presented in Table 1.
Table 1.
Case chronology.
During the initial physiatric consultation, conducted two days after the patient’s admission to the ICU, the patient’s critical condition, with a progressive evolution toward a state of pre-cerebral death, was noted. Under these circumstances, prescribing an IRP was deemed inappropriate. Instead, continuous monitoring of the patient was recommended and communicated to the ICU team.
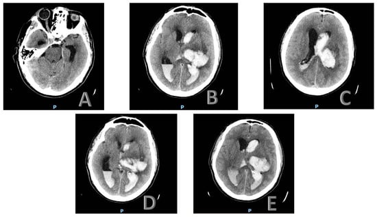
Upon reassessment a few days later, following a new brain CT scan, the intraparenchymal hemorrhage remained stable, localized in the left nucleus-capsular region and extending to the corona radiata and semioval center. However, the perilesional edematous halo had slightly increased, resulting in a modest worsening of the contralateral midline shift, now estimated at approximately 9 mm. The subarachnoid hemorrhage in the right parietal region remained unchanged, while a slight reduction in the intraventricular hemorrhage volume was observed, particularly in the fourth ventricle (Figure 1A–E).
Figure 1.
Imaging of the patient’s brain CT scan. Letters A through E show different levels of scanning: (A) Axial CT scan showing a hyperdense lesion in the posterior fossa, suggestive of acute hemorrhage. (B) Axial CT scan revealing intraventricular hemorrhage with blood layering in the lateral ventricles. (C) Axial CT scan demonstrating significant intraventricular hemorrhage with hydrocephalus. (D) Axial CT scan showing progression of hemorrhage with ventricular dilation. (E) Axial CT scan illustrating extensive intraventricular hemorrhage with midline shift and severe hydrocephalus. P: posterior.
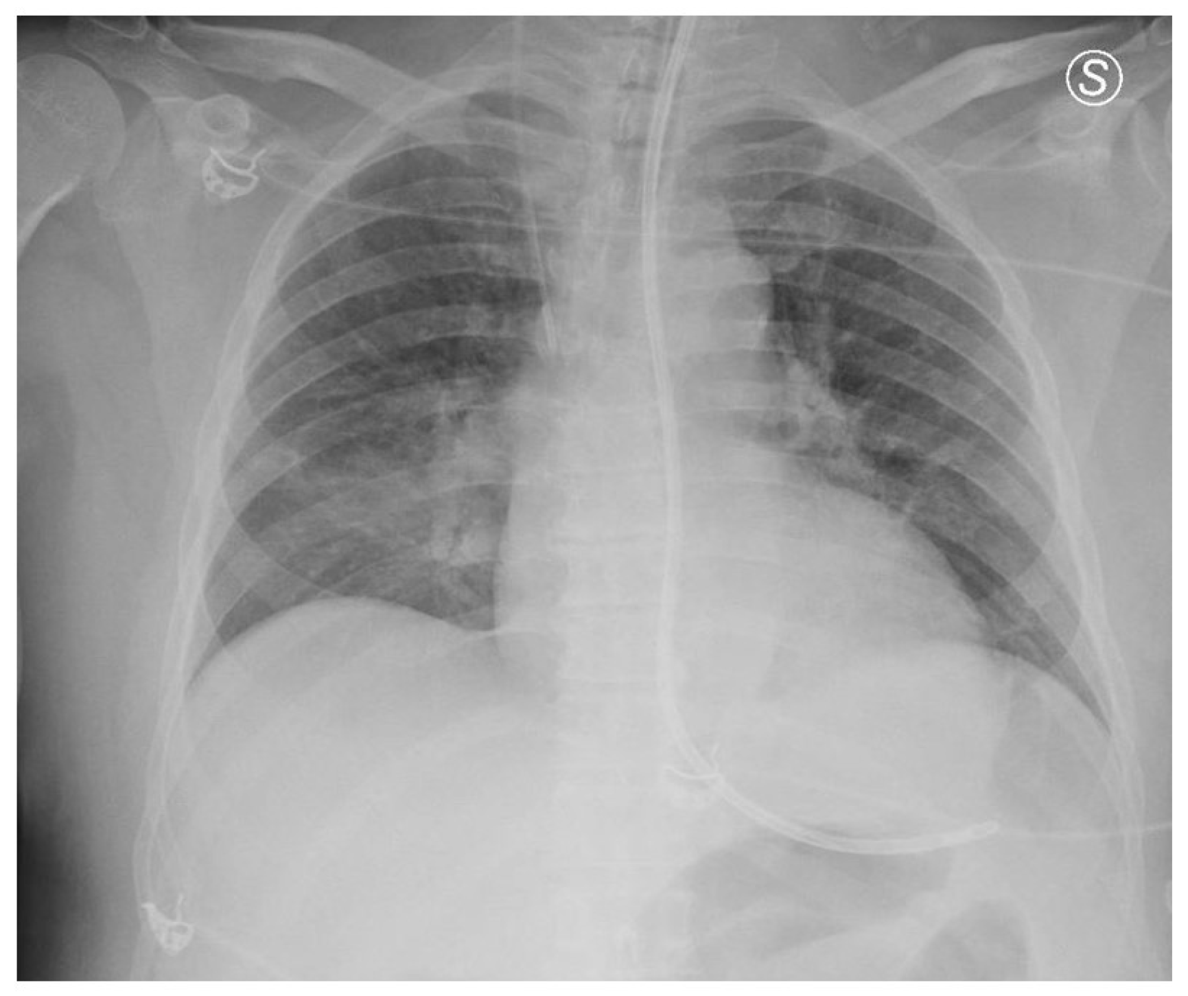
The patient remained mechanically ventilated and was fed via a nasogastric (NG) tube. On the tenth day of ICU admission, the advanced state of coma persisted [GCS 3—E(1) V(NT) M(2)], with miotic, isocoric, and isocyclic pupils that were weakly reactive to light stimulation. Neurological examination revealed the presence of bilateral corneal reflexes, a cough reflex, a preserved doll’s eye reflex, and an indifferent plantar reflex. An electroencephalogram (EEG) performed during this period showed increased slow-wave activity without irritative elements. A few days later, a new chest X-ray was performed due to elevated inflammatory markers. The imaging confirmed the presence of the NG tube, with its distal end projecting into the likely location of the gastric body. Additionally, an area of pulmonary hypodiaphany was identified in the right middle lung field (Figure 2).
Figure 2.
Chest X-ray demonstrating the presence of an NG tube, appropriately positioned in the likely region of the gastric body. Additionally, an area of pulmonary hypodiaphania is observed in the right middle lung field, suggestive of potential pathology. S: Left.
Ventilator-associated pneumonia (VAP) caused by methicillin-sensitive Staphylococcus aureus (MSSA) was diagnosed, alongside positive urine and central venous catheter (CVC) blood cultures for carbapenemase-producing Klebsiella pneumoniae (KPC). Based on these findings, the ongoing ertapenem therapy was discontinued, and antibiotic treatment was adjusted to ceftazidime/avibactam at a dosage of 2.5 g every 8 h, administered via a 2 h intravenous infusion as recommended for hospital-acquired pneumonia (HAP) and VAP248. The patient’s remaining treatment regimen included pantoprazole, metoclopramide, nimodipine, sufentanil, and enoxaparin to address comorbidities and maintain supportive care.
This therapeutic adjustment resulted in clinical improvement, prompting a new physiatric consultation in the ICU on the twentieth day of hospitalization. Vital parameters indicated apyrexia (body temperature: 36 °C); blood pressure (BP): 155/83 mmHg (with arterial monitoring values of 179/79 mmHg from multiparametric monitoring); heart rate (HR): 60 beats per minute; respiratory rate (RR): 12 breaths per minute from multiparametric monitoring; and peripheral oxygen saturation (SpO2): 99% while on mechanical ventilation with an FiO2 of 40%. Hemoglobin (Hb) was measured at 10.40 g/dL (value recorded the day before the consultation). The patient was examined in bed, positioned in forced supine decubitus, and was receiving nifedipine infusion at a rate of 10 mL/h. The patient appeared drowsy but could be stimulated by a strong verbal stimulus. However, he was not cooperative and did not follow simple or complex commands. Spatial, temporal, and interpersonal orientation could not be assessed due to his low level of vigilance and lack of compliance. On examination, the eyeballs were aligned and opened spontaneously, with a positive blink reflex and intact photomotor reflexes. The patient was unable to rotate his head even in response to a strong verbal stimulus. Continuous multiparametric monitoring was active during the inspection. The patient had a CVC inserted via right transjugular access, a bladder catheter in place, and peripheral pulse oximetry attached to the third finger of the left hand. Additionally, an NG tube was observed protruding from the left nostril (Figure 3).
Figure 3.
The professional environment of a physiatrist in the Intensive Care Unit (ICU). The patient is continuously monitored using multiparametric systems. One monitor (A) displays vital signs, while another (B) provides more detailed parameters, such as mean blood pressure, electrocardiographic tracings, and capnometry. The medical record (C,D) includes vital sign trends recorded at different times of the day, details on device placements (e.g., bladder catheter, tracheostomy, or percutaneous gastrostomy), results of instrumental tests, and key scores such as the GCS and Acute Physiologic Assessment and Chronic Health Evaluation (APACHE). Adjacent to the medical record is the nursing record (E), updated three times daily, which documents the patient’s consciousness level, hemodynamic status, temperature, diuresis, and administered medications. The patient (F), sedated and positioned on a specialized bed with an anti-decubitus mattress, is connected to a mechanical ventilator and fed via an NG tube. Various devices, including syringe pumps and positive pressure infusion pumps, ensure precise drug administration in terms of volume and rate—critical for medications like adrenaline, noradrenaline, and dobutamine that require exact dosing due to their significant physiological effects.
Edema was observed in all four limbs, with the lower limbs positioned in external hip rotation and bilateral knee flexion. These postures were passively reducible. No pressure ulcers were identified during the assessment. The range of motion (ROM) of the major joint groups in all four limbs appeared preserved during passive mobilization, to the extent that it could be evaluated. However, bilateral digital grasp and pinch strength were notably weak. The biceps osteotendinous reflexes (ROTs) showed an abnormal response (scoring 0) bilaterally; triceps reflexes showed an abnormal response (scoring 0) too, while the patellar ROTs showed a brisk response (scoring 2+) bilaterally. The Achilles reflexes, difficult to evaluate, appeared to be slightly evoked with vigorous percussion with the hammer (scoring 1+). Indifferent plantar reflex bilaterally (scoring 0) [12].
Furthermore, electrodes for cardiac telemonitoring were applied in the patient’s thoracic area. The patient, endotracheally intubated, was connected to the mechanical ventilator, unable to speak. Thus, the verbal GCS score could not be assessed. Consequently, only the eye-opening and motor response scores were evaluated, and the suffix “T” was added to indicate intubation. In intubated patients, the maximum GCS score is 10T and the minimum score is 2T. The patient’s GCS score was 5 with sub-item scoring of E(4) V(NT) M(1), which correlated well with the CRS-R (score 6). This score placed the patient near the threshold between Unresponsive Wakefulness Syndrome and Minimally Conscious State, reflecting a slight interaction with external stimuli.
After this new evaluation, the authors collaborated with both the ICU team and the infectious disease specialist. Prior to initiating any physiotherapy interventions, the multidisciplinary team reassessed the patient’s clinical, neurological, and hemodynamic stability. This included evaluating the likelihood of extubation and potential changes in oxygen delivery methods, critical for planning future transfers to rehabilitation settings with varying levels of care intensity. Additionally, since physiotherapy maneuvers such as manual mobilization and the close physical proximity of the therapist pose potential infectious risks to the patient, discussions with the infectious disease specialist were essential. These consultations aimed to identify and mitigate infection risks through appropriate preventive measures, such as the use of suitable personal protective equipment. Furthermore, tailored therapeutic strategies were designed to prevent pressure ulcers and to facilitate secretion drainage—already supported by mechanical aids such as aspirators.
Despite the patient’s severe general condition and continued reliance on mechanical ventilation, the observed stability in vital parameters and small but significant clinical improvements allowed for the initiation of an IRP. Initially, a purely motor program was implemented. Respiratory physiotherapy was postponed to a later time, contingent upon improvements in the subject’s level of consciousness and alertness, as well as successful weaning from mechanical ventilation or high-flow oxygen therapy (via face mask or nasal cannulas). Given the patient’s current clinical status, the motor program comprised passive mobilization exercises targeting the major joints of all four limbs. Our treatment focused on preserving muscle tone and preventing disuse atrophy, tendon retraction, and lymphatic stagnation. By maintaining mobility and facilitating drainage, we aim to avoid abnormal postures, edema formation, and the development of pressure ulcers.
After two weeks, the patient demonstrated several encouraging signs. Notably, there were no new infections, highlighting the effectiveness of infection prevention and control measures during the IRP. Furthermore, the absence of pressure ulcers underscores the importance of early mobilization, even with passive range of motion exercises. Clinically, a marked reduction in peripheral edema was observed, suggesting improved blood flow. Importantly, no thromboembolic events occurred. Regarding functional improvements, the range of motion of the wrists and ankles demonstrated an increase, further supporting the benefits of regular mobilization. The vital signs and oxygenation remained stable. On the cognitive side, the patient demonstrated another slight improvement in alertness and responsiveness to external stimuli, transitioning to what could be classified as a Minimally Conscious State (MCS). The GCS score was 7, with a sub-item scoring of E(4), V(1), and M(2), while the CRS-R score was 7.
Based on these positive observations, the decision was made to continue with the motor re-educational program while gradually weaning the patient from supplemental oxygen. A comprehensive reassessment of the patient’s condition was conducted within the ICU, followed by a planned transfer to a specialized High-Intensity Neurorehabilitation Department dedicated to the neurorehabilitation of patients with outcomes of Severe Acquired Brain Injury for further intensive rehabilitation.
3. Discussion
DoC present a significant challenge throughout the entire rehabilitation process, encompassing assessment, diagnosis, pharmacological interventions, and re-educational programs. These programs include both conventional treatments and the integration of emerging technologies. The causes of DoC are diverse and may include stroke, traumatic brain injury, post-anoxic or metabolic brain damage, or brain damage resulting from cerebral hemorrhage, as illustrated in this case report.
This case report highlights the critical importance of close collaboration between the physiatrist, the ICU team, and other specialists to ensure the optimal treatment and management of the patient. The physiatrist plays a pivotal role in the multidisciplinary care of patients in ICU, particularly those with DoC or severe neurological impairments. While physiatrists are more traditionally associated with rehabilitation centers, their integration into ICU teams offers significant benefits. Physiatrists’ expertise in early rehabilitation planning, the prevention of complications, and functional recovery strategies can complement the acute medical care provided by intensivists and other specialists. Evidence suggests that initiating early rehabilitation interventions in critically ill patients can improve outcomes by preventing complications such as contractures, pressure ulcers, and deconditioning [13]. Moreover, physiatrists focus on mitigating risks such as spasticity, pressure ulcers, and deep vein thrombosis through tailored interventions like passive mobilization, positioning strategies, and hypertonia management [14,15]. Lastly, by collaborating with ICU teams, physiatrists help design IRPs that facilitate smoother transitions to post-acute care settings, such as high-intensity neurorehabilitation units or home-based care with family support, playing a key role in educating families about the patient’s condition, prognosis, and care needs and training caregivers in techniques to prevent complications and support recovery at home [16].
Patients with intraventricular hemorrhage benefit significantly from early rehabilitation, which has been shown to improve neurological function [17]. A retrospective study by Zhang et al. demonstrated that specialized intensive inpatient rehabilitation is both crucial and time-sensitive for functional recovery in patients with DoC caused by traumatic brain injury or hypoxic–ischemic brain injury [18]. Similarly, Seel et al. observed that individuals with DoC primarily resulting from traumatic etiologies who received specialized early treatment—including acute medical care and at least 90 min of daily interdisciplinary rehabilitation—showed marked improvements in consciousness and body function [4]. Evidence suggests that interventions should ideally begin as soon as the patient’s condition allows, as this can lead to better functional outcomes. Specific therapeutic exercises tailored to the patient’s neurological status can promote neuroplasticity and functional recovery [19]. Furthermore, the integration of therapeutic exercise into the care plan for patients with cerebral hemorrhage in the ICU must be evidence-based. Studies have shown that while traditional pharmacological treatments may not significantly improve outcomes, rehabilitation strategies that include therapeutic exercise can lead to meaningful improvements in the functional status and quality of life. This aligns with the growing recognition of the importance of rehabilitation in the management of acute neurological conditions [20,21]. However, in patients with DoC, such as the one described in this case, the cost–benefit ratio of early re-educational interventions remains unclear. In fact, a recent study by Tamakoshi et al. suggests that such interventions may even have potentially harmful effects, highlighting the need for further research to better understand their risks and benefits in this population [22]. Moreover, physiotherapy practices in ICUs show high variability, suggesting that therapeutic exercise is underutilized despite evidence supporting its benefits for functional recovery in critically ill patients [23]. This is particularly relevant for patients with cerebral hemorrhage, as early mobilization may help mitigate complications such as muscle atrophy and functional decline that can occur due to prolonged bed rest.
Furthermore, various types of infectious complications, such as those observed in the patient described, can significantly increase mortality rates while also exacerbating outcomes and contributing to greater levels of disability [24].
A dual-center prospective study conducted in China concluded that patients in VS/UWS, despite having strong predictors of poor prognosis, may regain consciousness after extended periods of rehabilitation. The accurate initial diagnosis of patients with DoC is essential for predicting outcomes, and long-term, regular follow-up is equally important to monitor progress and guide ongoing care [25]. For these reasons, frequent consultations, often at close intervals, are both common and desirable for patients with DoC. In our evaluation, conducted in collaboration with the ICU team, we incorporated not only a detailed neurological examination but also a comprehensive assessment of joint ROM and the strength of individual muscle groups. These evaluations were performed alongside the GCS and CRS-R, following the protocol outlined by Kumar A et al. [26]. The integration of these elements enabled us to develop progressively more targeted and individualized interventions for the patient. Considering the severity of the patient’s DoC, the Functional Independence Measure (FIM) scale was not utilized during the initial motor program. In contrast, a retrospective study by Kawakami et al. demonstrated the utility of the FIM scale, particularly its sub-items, in characterizing outcomes achieved in stroke patients with various types of cerebral hemorrhage who underwent rehabilitation [27]. From a pharmacological perspective, no established therapies currently exist that specifically target cognitive improvement in patients with Unresponsive Wakefulness Syndrome. Nevertheless, nimodipine was incorporated into the therapeutic regimen due to its neuroprotective properties. Nimodipine is recognized for its ability to reduce vasospasm and protect brain parenchyma following hemorrhagic events [28,29].
The patient remained in a state of severely impaired consciousness throughout their stay in the ICU. The outcomes of our treatment focused on maintaining muscle tone and preventing the remodeling of muscle bellies due to disuse. By avoiding tendon retraction, we aimed to prevent abnormal postures or malalignment of the limbs. Assisted mobilization facilitated lymphatic drainage and helped prevent fluid stagnation, positively influencing circulatory function and volemia. Additionally, the prevention of edema played a crucial role in reducing the risk of pressure ulcers. Preventing pressure ulcers is particularly important, as their development and subsequent superinfection could significantly worsen the patient’s clinical condition.
It is important to note that this case occurred in an acute care hospital rather than a dedicated rehabilitation center. In such a setting, the implementation of innovative technologies—such as transcranial direct current stimulation (tDCS)—that may facilitate cognitive recovery is challenging. Our primary focus was on minimizing complications and ensuring the patient’s timely transfer to a specialized rehabilitation facility. Once the patient’s condition showed sufficient improvement, he was transferred to a specialized High-Intensity Neurorehabilitation Center, where advanced cognitive rehabilitation could be initiated under optimal conditions.
While general ICU interventions such as joint ROM exercises, thromboprophylaxis, pressure ulcer prevention, and spasticity management are essential for all ICU patients, the primary objective of this case report was to highlight the role of the physiatrist in the ICU setting, particularly in initiating early rehabilitation strategies for critically ill patients with severe neurological impairments. Our focus was to emphasize how these interventions could be applied to a patient with DoC resulting from extensive cerebral hemorrhage. At this stage, interventions were primarily aimed at stabilizing clinical status and preventing secondary complications.
We believe that this case underscores both the potential opportunities for patients in similar circumstances and the critical need to expand knowledge regarding rehabilitation strategies within ICU settings. Further research is essential to bridge the gap between acute care and neurorehabilitation, thereby optimizing outcomes for patients with severe disorders of consciousness.
4. Conclusions
This case report underscores the pivotal role of physiatrists in the multidisciplinary management of critically ill patients with severe neurological impairments, particularly in the ICU setting. Through early rehabilitation interventions, tailored IRPs, and close collaboration with ICU teams and other specialists, physiatrists contribute significantly to optimizing patient outcomes. In this case, despite the patient’s severe condition due to extensive cerebral hemorrhage and associated complications, early passive mobilization and targeted interventions helped prevent secondary complications such as muscle atrophy, pressure ulcers, and joint contractures. The observed improvements in functional status, alertness, and responsiveness highlight the potential benefits of integrating physiatric expertise into acute care settings. Ultimately, this case illustrates how a multidisciplinary approach that includes physiatric care can enhance recovery trajectories for critically ill patients. It also highlights the importance of continuous monitoring, reassessment, and collaboration across disciplines to ensure a seamless transition from acute care to intensive rehabilitation settings.
By sharing this experience, we aimed to contribute to the growing body of knowledge on the role of physiatrists in ICU care and inspire further studies to refine rehabilitation practices for patients with severe neurological conditions.
Author Contributions
Conceptualization, V.M.M.; investigation, A.S.; writing—original draft preparation, V.M.M. and C.L.; writing—review and editing, N.M. and C.F.; supervision, C.F. All authors have read and agreed to the published version of the manuscript.
Funding
This research received no external funding.
Institutional Review Board Statement
The study was conducted in accordance with the Declaration of Helsinki. Ethical approval is not required as this study is a case report.
Informed Consent Statement
Informed consent was obtained from the patient involved in the study.
Data Availability Statement
The original contributions presented in this study are included in the article. Further inquiries can be directed to the corresponding author.
Conflicts of Interest
The authors declare no conflicts of interest.
Abbreviations
The following abbreviations are used in this manuscript: Intensive Care Unit: ICU; Emergency and Acceptance Department: DEA; computerized tomography: CT; central venous catheter: CVC; Glasgow Coma Scale: GCS; nasogastric tube: NG tube; subarachnoid hemorrhage: SAH; electroencephalogram: EEG; ventilator-associated pneumonia: VAP; methicillin-sensitive Staphylococcus Aureus: MSSA; carbapenemase-producing Klebsiella pneumoniae: KPC; blood pressure: BP; heart rate: HR; respiratory rate: RR; peripheral saturation: SpO2; hemoglobin: Hb; osteotendinous reflex: ROT; disorders of consciousness: DoC; Coma Recovery Scale-Revised: CRS-R; range of motion: ROM; Functional Independence Measure: FIM; Acute Physiologic Assessment and Chronic Health Evaluation: APACHE.
References
- Cornejo-Suil, V.; Rivera-Lillo, G.; Melo-Martínez, R.; Covarrubias-Escudero, F.; Marín-Godoy, N.; Torres-Castro, R. Survival and clinical characteristics of patients with disorders of consciousness in a developing country between 2002 and 2018. Brain Inj. 2025, 39, 118–125. [Google Scholar] [CrossRef] [PubMed]
- Sattin, D.; Surya, N.; Pistarini, C.; Tonin, P.; Someshwar, H.; Caputo, M.; Leonardi, M. Patients with Disorders of Consciousness in India: Preliminary Results from a Pilot Survey. Ann. Indian Acad. Neurol. 2019, 22, 485–487. [Google Scholar] [CrossRef] [PubMed]
- Bellon, P.A.; Bosso, M.J.; Echegaray, J.E.C.; Larocca, F.; Gagliardi, J.; Primosich, W.A.; Pavón, H.M.; Yorio, R.D.; Cancino, J.J. Tracheostomy Decannulation and Disorders of Consciousness Evolution. Respir. Care 2022, 67, 209–215. [Google Scholar] [CrossRef] [PubMed]
- Seel, R.T.; Douglas, J.; Dennison, A.C.; Heaner, S.; Farris, K.; Rogers, C. Specialized early treatment for persons with disorders of consciousness: Program components and outcomes. Arch. Phys. Med. Rehabil. 2013, 94, 1908–1923. [Google Scholar] [CrossRef] [PubMed]
- Cassinat, J.; Nygaard, J.; Hoggard, C.; Hoffmann, M. Predictors of mortality and rehabilitation location in adults with prolonged coma following traumatic brain injury. PM&R 2024, 16, 1064–1071. [Google Scholar] [CrossRef]
- Mainali, S.; Nobleza, C.O.; Edlow, B.L.; Polizzotto, L.; Dangayach, N.; Sarwal, A.; Gosseries, O. Editorial: Coma and disorders of consciousness: An overview. Front. Hum. Neurosci. 2024, 18, 1383116. [Google Scholar] [CrossRef]
- Bayley, M.T.; Tate, R.; Douglas, J.M.; Turkstra, L.S.; Ponsford, J.; Stergiou-Kita, M.; Kua, A.; Bragge, P.; INCOG Expert Panel. INCOG guidelines for cognitive rehabilitation following traumatic brain injury: Methods and overview. J. Head Trauma Rehabil. 2014, 29, 290–306. [Google Scholar] [CrossRef]
- McCrea, M.A.; Giacino, J.T.; Barber, J.; Temkin, N.R.; Nelson, L.D.; Levin, H.S.; Dikmen, S.; Stein, M.; Bodien, Y.G.; Boase, K.; et al. Functional Outcomes over the First Year After Moderate to Severe Traumatic Brain Injury in the Prospective, Longitudinal TRACK-TBI Study. JAMA Neurol. 2021, 78, 982–992. [Google Scholar] [CrossRef]
- Bossa, M.; Manocchio, N.; Argento, O. Non-Pharmacological Treatments of Cognitive Impairment in Multiple Sclerosis: A Review. NeuroSci 2022, 3, 476–493. [Google Scholar] [CrossRef]
- Tramontano, M.; Argento, O.; Manocchio, N.; Piacentini, C.; Orejel Bustos, A.S.; De Angelis, S.; Bossa, M.; Nocentini, U. Dynamic Cognitive-Motor Training versus Cognitive Computer-Based Training in People with Multiple Sclerosis: A Preliminary Randomized Controlled Trial with 2-Month Follow-Up. J. Clin. Med. 2024, 13, 2664. [Google Scholar] [CrossRef]
- Fedor, B.A.; Sander, N.H.; MacLaren, M.; Liddle, L.J.; MacLellan, C.L.; Colbourne, F. Motor Rehabilitation Provides Modest Functional Benefits After Intracerebral Hemorrhage: A Systematic Review and Meta-Analysis of Translational Rehabilitation Studies. Transl. Stroke Res. 2023, 1–28. [Google Scholar] [CrossRef] [PubMed]
- Walker, H.K.; Hall, W.D.; Hurst, J.W. (Eds.) Deep Tendon Reflexes. In Clinical Methods: The History, Physical, and Laboratory Examinations, 3rd ed.; Butterworths: Boston, MA, USA, 1990; Chapter 72. Available online: https://www.ncbi.nlm.nih.gov/books/NBK396/ (accessed on 6 February 2025).
- Hashem, M.D.; Parker, A.M.; Needham, D.M. Early Mobilization and Rehabilitation of Patients Who Are Critically Ill. Chest 2016, 150, 722–731. [Google Scholar] [CrossRef] [PubMed]
- Nas, K.; Yazmalar, L.; Şah, V.; Aydın, A.; Öneş, K. Rehabilitation of spinal cord injuries. World J. Orthop. 2015, 6, 8–16. [Google Scholar] [CrossRef] [PubMed]
- Dionyssiotis, Y.; Prokopidis, K.; Di Giusto, M.L.; De León, A.O.; Coronado-Zarco, R.; Manocchio, N.; Erhan, B.; Foti, C. Neglecting Bone Health: A Critical Gap in Management of Muscle Spasticity with Botulinum Toxin in Spinal Cord Injury. J. Musculoskelet. Neuronal Interact. 2024, 24, 318–324. [Google Scholar]
- Stautzenbach, T.E. Demonstrating the vital role of physiatry throughout the health care continuum: Lessons learned from the impacts of the COVID-19 pandemic from a national academy perspective. PM&R 2021, 13, 605–608. [Google Scholar] [CrossRef]
- Jing, S.; Zhang, L.; Xu, L. Analysis of Effect of Minimally Invasive Fourth-ventricle Hematoma Removal for Patients with Intraventricular Hemorrhage Casting and Influence of Feedback Early Rehabilitation on Postoperative Neurological Function. Altern. Ther. Health Med. 2024, 30, 164–169. [Google Scholar]
- Zhang, B.; O’Brien, K.; Woo, J.; Chi, B.; Reeh, C.; Li, S.; Kothari, S. Specialized intensive inpatient rehabilitation is crucial and time-sensitive for functional recovery from disorders of consciousness. Front. Neurol. 2023, 14, 1126532. [Google Scholar] [CrossRef]
- Braun, R.G.; Wittenberg, G.F. Motor Recovery: How Rehabilitation Techniques and Technologies Can Enhance Recovery and Neuroplasticity. Semin. Neurol. 2021, 41, 167–176. [Google Scholar] [CrossRef]
- National Academies of Sciences, Engineering, and Medicine; Health and Medicine Division; Board on Health Care Services; Board on Health Sciences Policy; Committee on Accelerating Progress in Traumatic Brain Injury Research and Care. Traumatic Brain Injury: A Roadmap for Accelerating Progress; Matney, C., Bowman, K., Berwick, D., Eds.; National Academies Press (US): Washington, DC, USA, 2022; Rehabilitation and Long-Term Care Needs After Traumatic Brain Injury. Available online: https://www.ncbi.nlm.nih.gov/books/NBK580075/ (accessed on 6 February 2025).
- Rand, M.L.; Darbinian, J.A. Effect of an evidence-based mobility intervention on the level of function in acute intracerebral and subarachnoid hemorrhagic stroke patients on a neurointensive care unit. Arch. Phys. Med. Rehabil. 2015, 96, 1191–1199. [Google Scholar] [CrossRef]
- Tamakoshi, K.; Maeda, M.; Nakamura, S.; Murohashi, N. Very Early Exercise Rehabilitation After Intracerebral Hemorrhage Promotes Inflammation in the Brain. Neurorehabil. Neural Repair 2021, 35, 501–512. [Google Scholar] [CrossRef]
- Baidya, S.; Acharya, R.S.; Coppieters, M.W. Physiotherapy practice patterns in Intensive Care Units of Nepal: A multicenter survey. Indian J. Crit. Care Med. 2016, 20, 84–90. [Google Scholar] [CrossRef] [PubMed]
- Lin, J.; Tan, B.; Li, Y.; Feng, H.; Chen, Y. Sepsis-Exacerbated Brain Dysfunction After Intracerebral Hemorrhage. Front. Cell. Neurosci. 2022, 15, 819182. [Google Scholar] [CrossRef] [PubMed]
- Chen, W.G.; Li, R.; Zhang, Y.; Hao, J.H.; Du, J.B.; Guo, A.S.; Song, W.Q. Recovery from prolonged disorders of consciousness: A dual-center prospective cohort study in China. World J. Clin. Cases. 2020, 8, 2520–2529. [Google Scholar] [CrossRef] [PubMed]
- Kumar, A.; Ridha, M.; Claassen, J. Prognosis of consciousness disorders in the intensive care unit. Presse Med. 2023, 52, 104180. [Google Scholar] [CrossRef]
- Kawakami, K.; Tanabe, S.; Omatsu, S.; Kinoshita, D.; Hamaji, Y.; Tomida, K.; Koshisaki, H.; Fujimura, K.; Kanada, Y.; Sakurai, H. Impact of intracerebral hemorrhage and cerebral infarction on ADL and outcome in stroke patients: A retrospective cohort study. NeuroRehabilitation 2024, 55, 41–49. [Google Scholar] [CrossRef]
- Lei, G.; Rao, Z.; Hu, Y. The efficacy of different nimodipine administration route for treating subarachnoid hemorrhage: A network meta-analysis. Medicine 2023, 102, e34789. [Google Scholar] [CrossRef]
- Li, J.W.; Ren, S.H.; Ren, J.R.; Zhen, Z.G.; Li, L.R.; Hao, X.D.; Ji, H.M. Nimodipine Improves Cognitive Impairment After Subarachnoid Hemorrhage in Rats Through IncRNA NEAT1/miR-27a/MAPT Axis. Drug Des. Dev. Ther. 2020, 14, 2295–2306. [Google Scholar] [CrossRef]
Disclaimer/Publisher’s Note: The statements, opinions and data contained in all publications are solely those of the individual author(s) and contributor(s) and not of MDPI and/or the editor(s). MDPI and/or the editor(s) disclaim responsibility for any injury to people or property resulting from any ideas, methods, instructions or products referred to in the content. |
© 2025 by the authors. Published by MDPI on behalf of the Swiss Federation of Clinical Neuro-Societies. Licensee MDPI, Basel, Switzerland. This article is an open access article distributed under the terms and conditions of the Creative Commons Attribution (CC BY) license (https://creativecommons.org/licenses/by/4.0/).


