Next Article in Journal
Enhanced Evaluation of Bioresorbable Steroid-Releasing Stents and Corticosteroid-Infused Nasal Dressings in Postoperative Management of Chronic Rhinosinusitis
Previous Article in Journal
Recent Advances in Cochlear Implantation
 
 
Font Type:
Arial Georgia Verdana
Font Size:
Aa Aa Aa
Line Spacing:
Column Width:
Background:
Case Report

Interdigitating Dendritic Cell Sarcoma: Case Report and Review of Literature

1
Department of Otorhinolaryngology and Head and Neck Surgery, Semmelweis University, Szigony u. 36, H-1083 Budapest, Hungary
2
Department of Pathology, Forensic and Insurance Medicine, Semmelweis University, Üllői út 93, H-1091 Budapest, Hungary
3
Department of Pathology and Experimental Cancer Research, Semmelweis University, Üllői út 26, H-1085 Budapest, Hungary
4
Opera Clinic, Protone Audio Kft., Lázár u. 4, H-1065 Budapest, Hungary
5
Maihoub ENT Clinic, Aliakmona Street 16, Limassol Cy-3117, Cyprus
6
Heim Pál National Paediatric Institute, Üllői út 86, H-1089 Budapest, Hungary
7
Faculty of Medicine, Semmelweis University, Üllői út 26, H-1085 Budapest, Hungary
*
Author to whom correspondence should be addressed.
J. Otorhinolaryngol. Hear. Balance Med. 2025, 6(2), 10; https://doi.org/10.3390/ohbm6020010
Submission received: 12 May 2025 / Revised: 17 June 2025 / Accepted: 27 June 2025 / Published: 30 June 2025
(This article belongs to the Section Head and Neck Surgery)

Abstract

Background: Interdigitating dendritic cell sarcoma (IDCS) is a very rare haematologic malignant tumour that arises from antigen-presenting cells. While it primarily affects the lymph nodes, extranodal manifestations have been observed, and there is a slight male predominance. Due to its rarity, diagnosing IDCS can be challenging, as illustrated in our case report of a 61-year-old woman. Methods: In this case presentation, the oncological management of a patient suspected of having malignant melanoma metastasis in the neck lymph nodes is discussed. This includes otorhinolaryngological examinations, fine needle aspiration biopsy, PET CT imaging, and histological analysis with immunohistochemistry. Results: The patient’s medical history included the excision of a pigmented lesion from the left ala of her nose, which was diagnosed as malignant melanoma. After surgical treatment, she experienced a tumour-free period of one year; however, during a follow-up ultrasonography three pathological lymph nodes were detected on the left side of her neck. Initially, a nodal metastasis of melanoma was suspected. Yet, fine needle aspiration cytology revealed myofibroblastic tumour invasion, and a re-biopsy showed no signs of malignancy. To further investigate, PET-CT scans were conducted, and a modified radical neck dissection was performed based on the findings. The histological analysis of the lymph nodes revealed an IDCS, a second independent tumour distinct from the initially diagnosed malignant melanoma, originating from the submandibular, upper jugular, and mid-jugular lymph nodes. Conclusions: This case highlights the diagnostic difficulties associated with IDCS. Initially, the clinical suspicion of malignant melanoma was considered, necessitating further examinations and a multidisciplinary approach to reach a final diagnosis and provide the patient with appropriate treatment.

1. Introduction

Interdigitating dendritic cell sarcoma (IDCS) is an extremely rare haematological malignancy, with approximately 100 cases reported in the English literature to date. This type of cancer originates from dendritic cells (DCs), which play a crucial role as antigen-presenting cells and are essential for initiating the immune response. In 1981, Feltkamp et al. reported the first case of IDCS in a 37-year-old man. He presented with a mass in the mediastinum, which was caused by an obstruction of the superior vena cava. Despite receiving radiotherapy and chemotherapy, the disease progressed, and the patient sadly passed away from the malignancy within four months [1].
There are four identified subtypes of dendritic cells, namely follicular dendritic cells (FDCs), interdigitating dendritic cells (IDCs), Langerhans cells (LCs), and fibroblastic cells (FCs). IDCs play a crucial role in presenting antigens to T cells and are typically located in the T-cell areas of lymphoid organs [2]. This condition usually affects middle-aged individuals, with a median age of diagnosis at 56.5 years, and there is a slight predominance of males, with a male-to-female ratio of 1.38:1. In 47% of cases, isolated lymphadenopathy is observed, followed by nodal involvement originating from the cervical and axillary lymph nodes. In 25% of cases, there is an isolated extranodal manifestation, while 28% of cases exhibit both nodal and extranodal appearances. Additionally, there have been reports of the disease originating in the paranasal sinuses, nasopharynx, and intracranial regions [3].
The aetiology of IDCS remains unclear; a viral origin has not been previously supported [4]. In 10–20% of cases, IDCS can be secondary to haematologic tumours, most commonly B-cell lymphoma, although it can also occur after T-cell lymphoma or myeloid tumours [3,5,6]. Diagnosing the IDCS is challenging due to its rarity, even for experienced haematopathologists. This difficulty arises from the tumour’s varied immunophenotype and morphology. The histological appearance can present differential diagnostic challenges, making it essential to perform multiple targeted immunohistochemical tests to ensure an accurate diagnosis [7].
In this article, we present a specific case of IDCS, in which the final diagnosis was established after addressing the challenges of differential diagnosis.

2. Detailed Case Description

In May 2020, a 61-year-old woman presented with a non-painful pigmented skin lesion on the left side of her nose that had darkened and grown over time. There was no reported family history of malignancies for this patient. According to the ABCDE criteria (asymmetry, border, colour, diameter, evolving), the lesion on the nose exhibited the following characteristics: it was asymmetrical (A), had irregular borders (B), displayed multiple colours and changes in pigmentation over time (C), measured over 6 mm in diameter (D), and evolved in both size and colour (E). In August of the same year, a dermatological examination revealed malignant melanoma on the left ala of her nose, which was confirmed by biopsy. The histological examination showed it was a superficial spreading malignant melanoma with a maximum tumour thickness of 0.3 mm, according to Breslow’s classification, and it was classified as Clark stage 2 in terms of depth. The tumour was staged as T1a. Due to the close surgical margins of 0.5 to 1 mm, the oncology team decided to perform a re-excision with 1 cm surgical margins, which was completed in September 2020. The histological examination of the excised lesion showed no evidence of lymphovascular invasion. Staging medical imaging also indicated no signs of metastasis. Consequently, systemic oncological treatment was not started, and the patient was scheduled for follow-up appointments with a dermatologist every six months. In September 2021, a follow-up neck ultrasound revealed three abnormal lymph nodes on the left side of the neck. As a result, fine needle aspiration cytology (FNAC) was conducted. The results primarily suggested the presence of an intranodal myofibroblastic tumour, contradicting the clinical suspicion of cervical lymph node metastasis from the primary malignant melanoma. Immunohistochemistry examinations (HMB-45) were subsequently performed, yielding negative results. FNAC was repeated, which did not reveal any signs of malignancy; thus, a para biopsy was suspected. Consequently, a core biopsy was performed, which revealed the presence of lymphoid and atypical cells that tested positive for S-100 and SOX10. The surrounding lymphoid cells were positive for LCA and CD20. However, the CD30 and CKAE1-AE3 tests returned negative results. As a result, a melanoma metastasis was suspected.
Due to the unsure histological results an excision of the cervical lymph nodes was recommended. During the examination at Semmelweis University’s Department of Otorhinolaryngology and Head and Neck Surgery, three pathological lymph nodes were noted in the left submandibular region. No other abnormalities were detected. A PET-CT scan was conducted on November 18, 2021, which revealed FDG accumulation in three lymph nodes on the left submandibular, upper jugular, and mid-jugular lymph nodes, regions I/b, II/a, and III. The lymph nodes had a diameter of 1.5 cm and variable FDG accumulation can be observed, with a maximum SUV (standardised uptake value) of 12.4 in the lymph node located ventrolateral to the submandibular gland. No signs of malignancy were detected in other areas (Figure 1).
Given the uncertain cytological results and the latest FNAC findings, this case has been characterised as a lymph node metastasis of malignant melanoma. Consequently, the staging has been identified as N2b and stage 3. According to the recommendations, it is necessary to perform a neck dissection in these cases [8].
As a result, the oncology team decided to perform a cervical lymph node dissection, which took place on 21 January 2022 (Figure 2). During the surgery, a more advanced stage of disease was unexpectedly found in the I neck region compared to PET-CT, characterised by a conglomerate of multiple lymph nodes and possible capsular invasion. There was also a greater number of enlarged lymph nodes among the upper jugular, and mid-jugular lymph nodes. Due to the more advanced disease detected during surgery, a modified radical neck dissection was performed while sparing the accessory nerve, internal jugular vein, and sternocleidomastoid muscle.

2.1. Histology Results

IDCS is a malignant neoplasm composed of spindle to epithelioid cells, displaying morphological and immunophenotypic characteristics similar to interdigitating dendritic cells. The tumour cells are characterised by a diffuse expression of S100 and histiocytic markers, while lacking expression of Langerhans cell markers (such as CD1a and langerin). During the histological examination of the lymph nodes, storiform spindle cells, tumorous giant cells, and atypical mitoses were identified (Figure 3). Immunohistochemical reactions demonstrated that the tumour cells were positive for S-100 and SOX10 (Figure 4), with variable, focal positivity for LCA, CD4, and CD68 (Figure 5). LCA involves detecting CD45 expression on cell surfaces to diagnose lymphomas and other haematolymphoid neoplasms, thereby distinguishing them from non-haematopoietic tumours such as carcinomas, sarcomas, and melanomas. The observation of focal positivity indicates the presence of a non-lymphoid tumour. Based on the histomorphology and CD68 positivity, as well as the absence of melanocyte-specific antigens (HMB-45, Figure 6), the tumour was determined not to correspond to metastatic malignant melanoma. This indicates that the cells did not show HMB-45 protein, which is typically found in melanocytes. Consequently, other types of melanoma, such as desmoplastic malignant melanoma or non-melanocytic tumours, should be considered. However, the S-100 reaction produced positive results. S-100 is a tumour marker typically associated with malignant melanoma and is detected in the majority of melanoma subtypes, including desmoplastic melanoma. It is known for its high sensitivity in identifying melanoma. Since the S-100 reaction was positive and HMB-45 tests returned negative results, we can conclude that there is no lymph node metastasis from malignant melanoma. SOX-10 is a strong indicator of both benign and malignant melanocytic cells; however, it can also be observed in other tumours, such as fibrohistiocytic proliferations, nerve sheath tumours, and epithelial tumours. To rule out lymphomas and other malignancies associated with EBV infection, the EBER-ISH reaction was performed, which yielded negative results (Figure 5). Ultimately, the final diagnosis was determined to be IDCS, a second independent tumour distinct from the initially diagnosed malignant melanoma, which originated from the lymph nodes of the submandibular salivary gland.
The classification followed the 2022 WHO Classification of Histiocytic/Dendritic Cell Neoplasms and the International Consensus Classification for Haematolymphoid Tumours [9].
Histiocytic sarcoma (HS) is histologically indistinguishable from interdigitating dendritic cell sarcoma (IDCS). While both share similar morphological features, HS typically shows only focal expression of S100, reflecting its macrophage phenotype, in contrast to the strong and uniform staining seen in IDCS. Langerhans cell sarcoma (LCS) cannot be reliably differentiated from IDCS based solely on histology; however, it is immunohistochemically characterised by the expression of CD1a and langerin. Likewise, follicular dendritic cell sarcoma (FDCS) may exhibit overlapping histological features with IDCS but can be distinguished by its immunoprofile, as it expresses markers specific to follicular dendritic cells and lacks reactivity for haematolymphoid antigens. Metastatic melanoma may also mimic IDCS morphologically; however, the presence of intracytoplasmic melanin pigment, along with immunopositivity for S100, Melan A, and SOX10—while being negative for haematolymphoid markers—helps confirm the correct diagnosis. Finally, pleomorphic sarcomas can present significant diagnostic challenges in the differential diagnosis due to their variable histology and lack of lineage-specific markers.

2.2. Follow-Up

During an examination at a sarcoma centre, a follow-up PET-CT scan after surgery showed no signs of malignancy. As a result, the oncological team decided to forgo any further oncological treatment. The patient is now scheduled for regular follow-up appointments. The most recent PET-CT scan, conducted on 25 January 2024, also indicated negative results. Furthermore, a dermatological follow-up revealed no changes. The patient is currently symptom-free, and follow-up medical imaging is conducted annually.

3. Discussion

IDCS is a type of malignant neoplasm characterised by spindle-shaped to epithelioid cells. These cells exhibit morphological and immunophenotypic features that resemble those of interdigitating dendritic cells. While solitary lymph node involvement is the most common presentation, this neoplasm can also affect various extranodal sites, including the skin, liver, gastrointestinal tract, lungs, spleen, parotid gland, bone marrow, soft tissues, and pleura. The underlying cause of this condition remains unknown.
The diagnosis of IDCS can be challenging, primarily due to its rarity and the morphological similarities it shares with other primary and metastatic neoplasms that affect the lymph nodes. Due to this overlap in morphology, it is essential to exclude several other conditions during diagnosis. These include histiocytic, Langerhans, follicular, reticular, and interdigitating tumours, as well as spindle cell carcinoma, melanoma, and various mesenchymal neoplasms. Approximately 11% of IDCS cases are incorrectly diagnosed as lymphoma, melanoma, peripheral nerve sheath tumours, or malignant fibrous histiocytoma [10]. Histological analysis reveals storiform spindle cells, tumorous giant cells, and atypical mitoses. Immunohistochemistry tests demonstrate diffuse expression of S100, Sox10, and CD68, with no expression of Langerhans cell markers such as CD1a and langerin. After receiving a diagnosis of IDCS, establishing a treatment plan can be challenging due to the lack of reports or experiences related to adjuvant therapy. Most patients have been treated primarily through surgery, which may or may not be supplemented with chemotherapy and/or radiotherapy [3]. When considering chemotherapy, commonly used regimens include ABVD (doxorubicin, bleomycin, vinblastine, dacarbazine), CHOP (cyclophosphamide, doxorubicin, vincristine, prednisone), ICE (ifosfamide, cisplatin, etoposide), and DHAP (dexamethasone, cisplatin, and high doses of cytarabine) [2]. In localised cases, there is still no consensus on surgery versus non-surgical treatment options [11]. For instance, a study found that patients who had surgery had a significantly better overall survival rate [3]. In cases of disseminated disease, chemotherapy is frequently used, with complete remissions observed using ABVD regimens [12]. Some authors advocate for surgery and adjuvant chemotherapy, but further studies are needed to address this issue.
It is not surprising that overall survival rates are significantly higher in patients with localised diseases compared to those with distant diseases [3,11]. In a pooled analysis comprising 462 cases during the follow-up period, the incidence of local recurrence was found to be 13%, with a median follow-up time of 6 months. Meanwhile, distant metastasis occurred in 39% of cases, with a median follow-up of 9 months. The most frequent sites of metastases included lymph nodes (28.9%), liver (10.5%), lungs (10.5%), and bone marrow (7.9%) [3]. In a separate investigation, the median survival was determined to be one year, while the progression-free survival was roughly six months [13]. One study reported a one-year survival rate of 84.8% for localised cases and 34.46% for metastatic cases. Additionally, the two-year survival rate was 68.1% for localised cases and 15.7% for metastatic cases [3].
In this particular case, an initial suspicion arose that the IDCS was a nodal metastasis of malignant melanoma. However, the staging examinations and the final histology report did not confirm this diagnosis. After the surgery, the patient did not undergo any additional oncological treatments and has remained cancer-free for three years. Considering the existing literature, this outcome can be regarded as favourable.

4. Conclusions

In this article, we aimed to present a specific case of IDCS, focusing on the differential diagnostic challenges that were addressed before reaching a final diagnosis. Due to its rarity and the similarity in morphology to a variety of primary and metastatic spindle cell neoplasms, IDCS can easily be mistaken for malignant melanoma and other poorly differentiated carcinomas, such as sarcomas. Additionally, distinguishing IDCS from metastatic melanoma can be particularly challenging, as both conditions may exhibit a similar immunohistochemical profile, including positivity for S-100, SOX10, and variable expression of CD68 (either positive or negative). The absence of other melanocytic markers, such as Melan A and HMB45, helps establish the diagnosis. Since IDCS is a very rare tumour, accurately diagnosing it and formulating the appropriate treatment plan can be challenging. However, with a personalised treatment approach and a multidisciplinary team, successful outcomes can be achieved, allowing patients to enjoy extended periods without cancer. Regular follow-up is essential for ongoing care.

Author Contributions

Conceptualisation: G.D.R. and F.K.; methodology: A.M. and G.D.R.; software: A.M. and J.H.; validation: A.M. and K.D.; formal analysis: J.H.; investigation: J.H. and K.D.; resources: F.K. and D.H.; data curation: D.H., writing-original draft preparation: G.D.R., J.H. and A.M.; writing-review and editing: A.M., K.D., S.M. and L.T.; visualisation: J.H., K.D. and G.D.R.; supervision: L.T. and K.D.; project administration: G.D.R., F.K. and S.M.; funding acquisition: G.D.R. and A.M. All authors have read and agreed to the published version of the manuscript.

Funding

This research received no external funding.

Institutional Review Board Statement

The study was conducted in accordance with the Declaration of Helsinki. According to Semmelweis University’s regulations, case reports do not require ethical approval; therefore, ethical approval was not obtained.

Informed Consent Statement

The patient provided written informed consent to publish her medical data.

Data Availability Statement

No new data were created or analysed in this study. Data sharing is not applicable to this article.

Conflicts of Interest

The authors declare no conflicts of interest.

Abbreviations

The following abbreviations are used in this manuscript:
ABVDAdriamycin (doxorubicin), bleomycin, vinblastine, dacarbazine
CD20Cluster of Differentiation 20
CHOPCyclophosphamide, doxorubicin, vincristine, prednisone
CKAE1/A3 Cytokeratin AE1/AE3
DCsDendritic cells
DHADexamethasone, cisplatin, high doses of cytarabine
EBER-ISHEpstein–Barr virus-encoded small RNA in situ hybridisation
FDCsFollicular dendritic cells
FDGFluorodeoxyglucose
FNACFine needle aspiration cytology
HEHaematoxylin and eosin
ICEIfosfamide, cisplatin, etoposide
HMB-45Human Melanoma Black-45
IDCSInterdigitating dendritic cell sarcoma
LCALeukocyte common antigen
LCsLangerhans cells
PET-CTPositron Emission Computed Tomography
SOX-10SRY-Box Transcription Factor 10
SUVStandardised uptake value
WHOWorld Health Organisation

References

  1. Feltkamp, C.A.; van Heerde, P.; Feltkamp-Vroom, T.M.; Koudstaal, J. A malignant tumor arising from interdigitating cells; light microscopical, ultrastructural, immuno-and enzyme-histochemical characteristics. Virchows Arch. A Pathol. Anat. Histol. 1981, 393, 183–192. [Google Scholar] [CrossRef] [PubMed]
  2. Pokuri, V.K.; Merzianu, M.; Gandhi, S.; Baqai, J.; Loree, T.R.; Bhat, S. Interdigitating dendritic cell sarcoma. J. Natl. Compr. Canc. Netw. 2015, 13, 128–132. [Google Scholar] [CrossRef] [PubMed]
  3. Saygin, C.; Uzunaslan, D.; Ozguroglu, M.; Senocak, M.; Tuzuner, N. Dendritic cell sarcoma: A pooled analysis including 462 cases with presentation of our case series. Crit. Rev. Oncol. Hematol. 2013, 88, 253–271. [Google Scholar] [CrossRef] [PubMed]
  4. Barwell, N.; Howatson, R.; Jackson, R.; Johnson, A.; Jarrett, R.F.; Cook, G. Interdigitating dendritic cell sarcoma of salivary gland associated lymphoid tissue not associated with HHV-8 or EBV infection. J. Clin. Pathol. 2004, 57, 87–89. [Google Scholar] [CrossRef] [PubMed]
  5. Ravindran, A.; Dasari, S.; Ruan, G.J.; Artymiuk, C.J.; He, R.; Viswanatha, D.S.; Abeykoon, J.P.; Zanwar, S.; Young, J.R.; Goyal, G.; et al. Malignant Histiocytosis Comprises a Phenotypic Spectrum That Parallels the Lineage Differentiation of Monocytes, Macrophages, Dendritic Cells, and Langerhans Cells. Mod. Pathol. 2023, 36, 100268. [Google Scholar] [CrossRef] [PubMed]
  6. Muhammed, A.; Ahmed, A.R.H.; Maysa, H.; Mohamed, A.E.S.; Abd-ElLateef, A.A.; Elnakib, E. New insights inside the interdigitating dendritic cell sarcoma-pooled analysis and review of literature. Ann. Hematol. 2019, 98, 2641–2651. [Google Scholar] [CrossRef] [PubMed]
  7. Xue, T.; Jiang, X.N.; Wang, W.G.; Zhou, X.Y.; Li, X.Q. Interdigitating dendritic cell sarcoma: Clinicopathologic study of 8 cases with review of the literature. Ann. Diagn. Pathol. 2018, 34, 155–160. [Google Scholar] [CrossRef] [PubMed]
  8. Glaun, M.D.E.; Feng, Z.; Lango, M. Management of Regional Lymph Nodes in Head and Neck Melanoma. Oral Maxillofac. Surg. Clin. N. Am. 2022, 34, 273–281. [Google Scholar] [CrossRef] [PubMed]
  9. Khoury, J.D.; Solary, E.; Abla, O.; Akkari, Y.; Alaggio, R.; Apperley, J.F.; Bejar, R.; Berti, E.; Busque, L.; Chan, J.K.C.; et al. The 5th edition of the World Health Organization Classification of Haematolymphoid Tumours: Myeloid and Histiocytic/Dendritic Neoplasms. Leukemia 2022, 36, 1703–1719. [Google Scholar] [CrossRef] [PubMed]
  10. Stowman, A.M.; Mills, S.E.; Wick, M.R. Spindle Cell Melanoma and Interdigitating Dendritic Cell Sarcoma: Do They Represent the Same Process? Am. J. Surg. Pathol. 2016, 40, 1270–1279. [Google Scholar] [CrossRef] [PubMed]
  11. Perkins, S.M.; Shinohara, E.T. Interdigitating and follicular dendritic cell sarcomas: A SEER analysis. Am. J. Clin. Oncol. 2013, 36, 395–398. [Google Scholar] [CrossRef] [PubMed]
  12. Kyogoku, C.; Seki, M.; Ogawa, S.; Miyamoto, K.; Ito, Y.; Kurita, N.; Yokoyama, Y.; Sakata-Yanagimoto, M.; Obara, N.; Hasegawa, Y.; et al. Complete Remission in Systemic Skin Interdigitating Dendritic Cell Sarcoma after ABVD Chemotherapy. J. Clin. Exp. Hematop. 2015, 55, 33–37. [Google Scholar] [CrossRef] [PubMed]
  13. Zhou, J.; Li, Q.; Fu, X.; Feng, D.; Yang, K.; Wang, J. Interdigitating dendritic cell sarcoma: Analysis of two original extra-nodal cases and review of literature. Virchows Arch. 2022, 481, 101–110. [Google Scholar] [CrossRef] [PubMed]
Figure 1. PET-CT examination pictures. The scans represent lymph nodes around the left submandibular salivary gland with varying levels of FDG accumulation. FDG = fluorodeoxyglucose.
Figure 1. PET-CT examination pictures. The scans represent lymph nodes around the left submandibular salivary gland with varying levels of FDG accumulation. FDG = fluorodeoxyglucose.
Ohbm 06 00010 g001
Figure 2. Intraoperative image of a left-sided modified radical neck dissection, highlighting the preserved accessory nerve, internal jugular vein, and sternocleidomastoid muscle.
Figure 2. Intraoperative image of a left-sided modified radical neck dissection, highlighting the preserved accessory nerve, internal jugular vein, and sternocleidomastoid muscle.
Ohbm 06 00010 g002
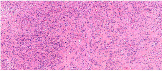
Figure 3. The HE stained section represents a cross-section of a lymph node with altered architecture. Pleomorphic spindle or epithelioid cells are arranged in fascicles, whorls, or sheet-like patterns. A hyalinised stroma with embedded elongated tumour cells is observed.
Figure 3. The HE stained section represents a cross-section of a lymph node with altered architecture. Pleomorphic spindle or epithelioid cells are arranged in fascicles, whorls, or sheet-like patterns. A hyalinised stroma with embedded elongated tumour cells is observed.
Ohbm 06 00010 g003
Figure 4. A strong and widespread S-100 positivity is detected within the tumour. The tumour cells are strongly and diffusely immunoreactive with the S-100 protein, exhibiting both nuclear and cytoplasmic staining (A). The tumour cell nuclei showed a strong and extensive positivity by SOX10 immunohistochemistry (B). SOX10 = SRY-Box Transcription Factor 10.
Figure 4. A strong and widespread S-100 positivity is detected within the tumour. The tumour cells are strongly and diffusely immunoreactive with the S-100 protein, exhibiting both nuclear and cytoplasmic staining (A). The tumour cell nuclei showed a strong and extensive positivity by SOX10 immunohistochemistry (B). SOX10 = SRY-Box Transcription Factor 10.
Ohbm 06 00010 g004
Figure 5. Focal positivity for CD68 (A), CD4 (B), and LCA (C) is observed within the tumour. EBER-ISH (D) was negative. EBER-ISH (D) was negative. EBER-ISH = Epstein–Barr virus-encoded small RNA in situ hybridisation; LCA = leukocyte common antigen.
Figure 5. Focal positivity for CD68 (A), CD4 (B), and LCA (C) is observed within the tumour. EBER-ISH (D) was negative. EBER-ISH (D) was negative. EBER-ISH = Epstein–Barr virus-encoded small RNA in situ hybridisation; LCA = leukocyte common antigen.
Ohbm 06 00010 g005
Figure 6. HMB-45 reaction yielded negative results. HMB-45 = Human Melanoma Black-45.
Figure 6. HMB-45 reaction yielded negative results. HMB-45 = Human Melanoma Black-45.
Ohbm 06 00010 g006
Disclaimer/Publisher’s Note: The statements, opinions and data contained in all publications are solely those of the individual author(s) and contributor(s) and not of MDPI and/or the editor(s). MDPI and/or the editor(s) disclaim responsibility for any injury to people or property resulting from any ideas, methods, instructions or products referred to in the content.

Share and Cite

MDPI and ACS Style

Répássy, G.D.; Halász, J.; Dezső, K.; Molnár, A.; Maihoub, S.; Keserű, F.; Hargas, D.; Tamás, L. Interdigitating Dendritic Cell Sarcoma: Case Report and Review of Literature. J. Otorhinolaryngol. Hear. Balance Med. 2025, 6, 10. https://doi.org/10.3390/ohbm6020010

AMA Style

Répássy GD, Halász J, Dezső K, Molnár A, Maihoub S, Keserű F, Hargas D, Tamás L. Interdigitating Dendritic Cell Sarcoma: Case Report and Review of Literature. Journal of Otorhinolaryngology, Hearing and Balance Medicine. 2025; 6(2):10. https://doi.org/10.3390/ohbm6020010

Chicago/Turabian Style

Répássy, Gábor Dénes, Judit Halász, Katalin Dezső, András Molnár, Stefani Maihoub, Fanni Keserű, Dóra Hargas, and László Tamás. 2025. "Interdigitating Dendritic Cell Sarcoma: Case Report and Review of Literature" Journal of Otorhinolaryngology, Hearing and Balance Medicine 6, no. 2: 10. https://doi.org/10.3390/ohbm6020010

APA Style

Répássy, G. D., Halász, J., Dezső, K., Molnár, A., Maihoub, S., Keserű, F., Hargas, D., & Tamás, L. (2025). Interdigitating Dendritic Cell Sarcoma: Case Report and Review of Literature. Journal of Otorhinolaryngology, Hearing and Balance Medicine, 6(2), 10. https://doi.org/10.3390/ohbm6020010

Article Metrics

Back to TopTop