Combination Vaccines of Fasciola gigantica Saposin-like Protein-2 and Leucine Aminopeptidase
Abstract
1. Introduction
2. Materials and Methods
2.1. Expression and Purification of Recombinant(r) FgSAP-2 and FgLAP
2.2. Production of Polyclonal Antibody against rFgSAP-2 and rFgLAP
2.3. Co-Localization of FgLAP and FgSAP-2 in F. gigantica Tissues
2.4. Vaccine Testing
2.5. Determination of IgG1 and IgG2a Levels by Indirect ELISA
2.6. Assessment of Liver Pathological Lesion
2.7. Statistical Analysis
3. Results
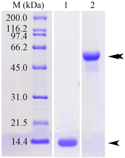
3.1. The Purified rFgSAP-2 and rFgLAP
3.2. Co-Localization of FgSAP-2 and FgLAP
3.3. Worm Recovery
3.4. IgG1 and IgG2a Responses
3.5. Correlation
3.6. Liver Pathological Lesion
4. Discussion
5. Conclusions
Author Contributions
Funding
Institutional Review Board Statement
Informed Consent Statement
Data Availability Statement
Acknowledgments
Conflicts of Interest
References
- Behm, C.A.; Sangster, N.C. Pathology, pathophysiology and clinical aspects. In Fasciolosis; Dalton, J.P., Ed.; CABI Publishing: Cambridge, UK, 1999; pp. 185–217. [Google Scholar]
- Kendall, S.B.; Parfitt, J.W. The chemotherapy of fasciolosis. Br. Vet. J. 1962, 118, 1–10. [Google Scholar] [CrossRef]
- Boray, J.C. Experimental fasciolosis in Australia. Adv. Parasitol. 1969, 7, 195–210. [Google Scholar]
- Overend, D.J.; Bowen, F.L. Resistance of Fasciola hepatica to triclabendazole. Aust. Vet. J. 1995, 72, 275–276. [Google Scholar] [CrossRef] [PubMed]
- Lane, G. Anthelmentic resistance. Vet. Records 1998, 143, 232. [Google Scholar]
- Moll, L.; Gaasenbeek, C.P.; Vellema, P.; Borgsteede, F.H. Resistance of Fasciola hepatica against triclabendazole in cattle and sheep in the Netherlands. Vet. Parasitol. 2000, 919, 153–158. [Google Scholar] [CrossRef]
- Brenan, G.P.; Fairweather, I.; Trudgett, A.; Hoey, E.; McCoy, M.; McConville, M.; Meaney, M.; Robinson, M.; McFerran, N.; Ryan, L.; et al. Understanding triclabendazole resistance. Exp. Mol. Pathol. 2007, 82, 104–109. [Google Scholar] [CrossRef]
- Dalton, J.P.; Mulcahy, G. Parasite vaccines—A reality. Vet. Parasitol. 2001, 98, 149–167. [Google Scholar] [CrossRef]
- Lopez-Aban, J.; Casanueva, P.; Nogal, J.; Arias, M.; Morrondo, P.; Diez-Banos, P.; Hillyer, G.V.; Martınez-Fernandez, A.R.; Muro, A. Progress in the development of Fasciola hepatica vaccine using recombinant fatty acid binding protein with the adjuvant adaptation system ADAD. Vet. Parasitol. 2007, 145, 287–296. [Google Scholar] [CrossRef]
- Chantree, P.; Phatsara, M.; Meemon, K.; Changklungmoa, N.; Kueakhai, P.; Chaichanasak, P.; Lorsuwannarat, N.; Sangpairoj, K.; Songkoomkrong, S.; Wanichanon, C.; et al. Vaccine potential of recombinant cathepsin B against Fasciola gigantica. Exp. Parasitol. 2013, 135, 102–109. [Google Scholar] [CrossRef]
- Preyavichyapugdee, N.; Sahaphong, S.; Riengrojpitak, S.; Grams, R.; Viyanant, V.; Sobhon, P. Fasciola gigantica and Schistosoma mansoni: Vaccine potential of recombinant glutathione S-transferase (rFgGST26) against infections in mice. Exp. Parasitol. 2008, 119, 229–237. [Google Scholar] [CrossRef]
- Kumar, N.; Anju, V.; Gaurav, N.; Chandra, D.; Samanta, S.; Gupta, S.C.; Adeppa, J.; Raina, O.K. Vaccination of buffaloes with Fasciola gigantica recombinant glutathione S-transferase and fatty acid binding protein. Parasitol. Res. 2012, 110, 419–426. [Google Scholar] [CrossRef]
- Sansri, V.; Meemon, K.; Changklungmoa, N.; Kueakhai, P.; Chantree, P.; Chaichanasak, P.; Lorsuwannarat, N.; Itagaki, T.; Sobhon, P. Protection against Fasciola gigantica infection in mice by vaccination with recombinant juvenile specific cathepsin L. Vaccine 2015, 33, 1596–1601. [Google Scholar] [CrossRef]
- Kueakhai, P.; Changklungmoa, N.; Chaichanasak, P.; Jaikua, W.; Itagaki, T.; Sobhon, P. Vaccine potential of recombinant pro- and mature cathepsinL1 against fasciolosis gigantica in mice. Acta Trop. 2015, 150, 71–78. [Google Scholar] [CrossRef]
- Golden, O.; Flynn, R.J.; Reed, C.; Sekiya, M.; Donnelly, S.M.; Stack, C.; Dalton, J.P.; Mulcahy, G. Protection of cattle against a natural infection of Fasciola hepatica by vaccination with recombinant cathepsin L1 (rFhCL1). Vaccine 2010, 28, 5551–5557. [Google Scholar] [CrossRef]
- Piacenza, L.; Acosta, D.; Basmadjian, J.; Dalton, J.P.; Carmona, C. Vaccination with cathepsin L proteinases and with leucine aminopeptidase induces high levels of protection against Fasciolosis in sheep. Infect. Immun. 1999, 67, 1954–1961. [Google Scholar] [CrossRef]
- Zerna, G.; Rathinasamy, V.A.; Toet, H.; Anderson, G.; Dempster, R.; Spithill, T.W.; Beddoe, T. Evaluation of immunogenicity and efficacy of Fasciola hepatica tetraspanin 2 (TSP2) fused to E. coli heat-labile enterotoxin B subunit LTB adjuvant following intranasal vaccination of cattle. Vaccines 2021, 9, 1213. [Google Scholar] [CrossRef]
- Changklungmoa, N.; Kueakhai, P.; Riengrojpitak, S.; Chaithirayanon, K.; Chaichanasak, P.; Preyavichyapugdee, N.; Chantree, P.; Sansri, V.; Itagaki, T.; Sobhon, P. Immunization with recombinant leucine aminopeptidase showed protection against Fasciola gigantica in mice. Parasitol. Res. 2013, 112, 3653–3659. [Google Scholar] [CrossRef]
- Acosta, D.; Cancela, M.; Piacenza, L.; Roche, L.; Carmona, C.; Tort, J.F. Fasciola hepatica leucine aminopeptidase, a promising candidate for vaccination against ruminant fasciolosis. Mol. Biochem. Parasitol. 2008, 158, 52–64. [Google Scholar] [CrossRef]
- Maggioli, G.; Acosta, D.; Silveira, F.; Rossi, S.; Giacaman, S.; Basika, T.; Gayo, V.; Rosadilla, D.; Roche, L.; Tort, J.; et al. The recombinant gut-associated M17 leucine aminopeptidase in combination with different adjuvants confers a high level of protection against Fasciola hepatica infection in sheep. Vaccine 2011, 29, 9057–9063. [Google Scholar] [CrossRef]
- Kueakhai, P.; Changklungmoa, N.; Waseewiwat, P.; Thanasinpaiboon, T.; Cheukamud, W.; Chaichanasak, P.; Sobhon, P. Characterization and vaccine potential of Fasciola gigantica saposin-like protein 1 (SAP-1). Vet. Parasitol. 2017, 15, 115–122. [Google Scholar] [CrossRef]
- Kueakhai, P.; Changklungmoa, N.; Riengrojpitak, S.; Chaichanasak, P.; Meemon, K.; Chaithirayanon, K.; Chantree, P.; Sansri, V.; Itagaki, T.; Sobhon, P. Vaccine potential of recombinant saposin-like protein 2 against fasciolosis gigantica in mice. Vaccine 2013, 31, 5518–5523. [Google Scholar] [CrossRef] [PubMed]
- Hillyer, G.V. Fasciola antigens as vaccines against fascioliasis and schistosomiasis. J. Helminthol. 2005, 79, 241–247. [Google Scholar] [CrossRef] [PubMed]
- Espino, A.M.; Hillyer, G.V. A novel Fasciola hepatica saposin-like recombinant protein with immunoprophylactic potential. J. Parasitol. 2004, 90, 876–879. [Google Scholar] [CrossRef] [PubMed]
- Espino, A.M.; Morales, A.; Delgado, B.; Rivera, F.M.; Figueroa, O.; Suárez, E. Partial immunity to Fasciola hepatica in mice after vaccination with FhSAP2 delivered as recombinant protein or DNA construct. Ethn. Dis. 2010, 20, 17–23. [Google Scholar]
- Sangpairoj, K.; Apisawetakan, S.; Changklungmoa, N.; Kueakhai, P.; Chaichanasak, P.; Sobhon, P.; Chaithirayanon, K. Potential of recombinant 2-Cys peroxiredoxin protein as a vaccine for Fasciola gigantica infection. Exp. Parasitol. 2018, 194, 16–23. [Google Scholar] [CrossRef]
- Raina, O.K.; Nagar, G.; Varghese, A.; Prajitha, G.; Alex, A.; Maharana, B.R.; Joshi, P. Lack of protective efficacy in buffaloes vaccinated with Fasciola gigantica leucine aminopeptidase and peroxiredoxin recombinant proteins. Acta Trop. 2011, 118, 217–222. [Google Scholar] [CrossRef]
- Changklungmoa, N.; Phoinok, N.; Yencham, C.; Sobhon, P.; Kueakhai, P. Vaccine potential of recombinant cathepsinL1G against Fasciola gigantica in mice. Vet. Parasitol. 2016, 226, 124–131. [Google Scholar] [CrossRef]
- Jaikua, W.; Kueakhai, P.; Chaithirayanon, K.; Tanomrat, R.; Wongwairot, S.; Riengrojpitak, S.; Sobhon, P.; Changklungmoa, N. Cytosolic superoxide dismutase can provide protection against Fasciola gigantica. Acta Trop. 2016, 162, 75–82. [Google Scholar] [CrossRef]
- Sethadavit, M.; Meemon, K.; Jardim, A.; Spithill, T.W.; Sobhon, P. Identification, expression and immunolocalization of cathepsin B3, a stage-specific antigen expressed by juvenile Fasciola gigantica. Acta Trop. 2009, 112, 164–173. [Google Scholar] [CrossRef]
- Changklungmoa, N.; Kueakhai, P.; Sangpairoj, K.; Chaichanasak, P.; Jaikua, W.; Riengrojpitak, S.; Sobhon, P.; Chaithirayanon, K. Molecular cloning and characterization of Fasciola gigantica thioredoxin-glutathione reductase. Parasitol. Res. 2015, 114, 2119–2127. [Google Scholar] [CrossRef]
- Sangpairoj, K.; Changklungmoa, N.; Vanichviriyakit, R.; Sobhon, P.; Chaithirayanon, K. Analysis of the expression and antioxidant activity of 2-Cys peroxiredoxin protein in Fasciola gigantica. Exp. Parasitol. 2014, 140, 24–32. [Google Scholar] [CrossRef]
- Changklungmoa, N.; Chaithirayanon, K.; Kueakhai, P.; Meemon, K.; Riengrojpitak, S.; Sobhon, P. Molecular cloning and characterization of leucine aminopeptidase from Fasciola gigantica. Exp. Parasitol. 2012, 131, 283–291. [Google Scholar] [CrossRef]
- Kueakhai, P.; Meemon, K.; Changklungmoa, N.; Chaithirayanon, K.; Riengrojpitak, S.; Sobhon, P. Characterization and localization of saposin-like protein-2 (SAP-2) in Fasciola gigantica. Parasitol. Res. 2011, 108, 1493–1500. [Google Scholar] [CrossRef]
- Meemon, K.; Khawsuk, W.; Sriburee, S.; Meepool, A.; Sethadavit, M.; Sansri, V.; Wanichanon, C.; Sobhon, P. Fasciola gigantica: Histology of the digestive tract and the expression of cathepsin L. Exp. Parasitol. 2010, 125, 371–379. [Google Scholar] [CrossRef]
- Bruhn, H.A. Short guided tour through functional and structural features of saposin-like proteins. Biochem. J. 2005, 389, 249–257. [Google Scholar] [CrossRef]
- Espino, A.M.; Hillyer, G.V. Molecular cloning of a member of the Fasciola hepatica saposin-like protein family. J. Parasitol. 2003, 89, 545–552. [Google Scholar] [CrossRef]
- McCarthy, E.; Stack, C.; Donnelly, S.M.; Doyle, S.; Mann, V.H.; Brindley, P.J.; Stewart, M.; Day, T.A.; Maule, A.G.; Dalton, J.P. Leucine aminopeptidase of the human blood flukes, Schistosoma mansoni and Schistosoma japonicum. Int. J. Parasitol. 2004, 34, 703–714. [Google Scholar] [CrossRef]
- Mucha, A.; Drag, M.; Dalton, J.P.; Kafarski, P. Metallo-aminopeptidase inhibitors. Biochimie 2010, 92, 1509–1529. [Google Scholar] [CrossRef]
- Jia, H.; Nishikawa, Y.; Luo, Y.; Yamagishi, J.; Sugimoto, C.; Xuan, X. Characterization of a leucine aminopeptidase from Toxoplasma gondii. Mol. Biochem. Parasitol. 2010, 170, 1–6. [Google Scholar] [CrossRef]
- Skinner-Adams, T.S.; Stack, C.M.; Trenholme, K.R.; Brown, C.L.; Grembecka, J.; Lowther, J.; Mucha, A.; Drag, M.; Kafarski, P.; McGowan, S.; et al. Plasmodium falciparum neutral aminopeptidases: New targets for anti-malarials. Trends Biochem. Sci. 2010, 35, 53–61. [Google Scholar] [CrossRef]
- De Gregorio, E.; Tritto, E.; Rappuoli, R. Alum adjuvanticity: Unraveling a century old mystery. Eur. J. Immunol. 2008, 38, 2068–2071. [Google Scholar] [CrossRef] [PubMed]
- Azizi, H.; Mirzaeei, H.; Bagheri, A.; Bazi, A.; Khamesipour, A.; Yaghoobi, H.; Mirzapour, A.; Khatami, M.; Elikaee, S. A survey on the adjuvant role of naloxone alone or combined with Alum in vaccination against fasciolosis in BALB/c mice. Acta Parasitol. 2019, 64, 236–245. [Google Scholar] [CrossRef] [PubMed]
- Jayaraj, R.; Piedrafita, D.; Dynon, K.; Grams, R.; Spithill, T.W.; Smooker, P.M. Vaccination against fasciolosis by a multivalent vaccine of stage-specific antigens. Vet. Parasitol. 2009, 160, 230–236. [Google Scholar] [CrossRef] [PubMed]
- Raadsma, H.W.; Kingsford, N.M.; Suharyanta, S.T.W.; Piedrafita, D. Host responses during experimental infection with Fasciola gigantica or Fasciola hepatica in Merino sheep. I. Comparative immunological and plasma biochemical changes during early infection. Vet. Parasitol. 2007, 143, 275–286. [Google Scholar] [CrossRef] [PubMed]
- Kueakhai, P.; Changklungmoa, N.; Cheukamud, W.; Osotprasit, S.; Chantree, P.; Sobhon, P.; Meemon, K. The combined recombinant cathepsin L1H and cathepsin B3 vaccine against Fasciola gigantica infection. Parasitol. Int. 2021, 83, 102353. [Google Scholar] [CrossRef]
- Cabán-Hernández, K.; Espino, A.M. Differential expression and localization of saposin-like protein 2 of Fasciola hepatica. Acta Trop. 2013, 128, 591–597. [Google Scholar] [CrossRef]
- Ortega-Vargas, S.; Espitia, C.; Sahagun-Ruiz, A.; Parada, C.; Balderas-Loaeza, A.; Villa-Mancera, A.; Quiroz-Romero, H. Moderate protection is induced by a chimeric protein composed of leucine aminopeptidase and cathepsin L1 against Fasciola hepatica challenge in sheep. Vaccine 2019, 37, 3234–3240. [Google Scholar] [CrossRef]
- Wesolowska, A.; Basalaj, K.; Norbury, L.J.; Sielicka, A.; Wedrychowicz, H.; Zawistowska-Deniziak, A. Vaccination against Fasciola hepatica using cathepsin L3 and B3 proteases delivered alone or in combination. Vet. Parasitol. 2018, 250, 15–21. [Google Scholar] [CrossRef]
- O’Neill, S.M.; Brady, M.T.; Callanan, J.J.; Mulcahy, G.; Joyce, P.; Mills, K.H.; Dalton, J.P. Fasciola hepatica infection downregulates Th1 responses in mice. Parasite Immunol. 2000, 22, 147–155. [Google Scholar] [CrossRef]
- Estes, D.M.; Brown, W.C. Type 1 and type 2 responses in regulation of Ig isotype expression in cattle. Vet. Immunol. Immunopathol. 2002, 90, 1–10. [Google Scholar] [CrossRef]
- Pleasance, J.; Wiedosari, E.; Raadsma, H.W.; Meeusen, E.; Piedrafita, D. Resistance to liver fluke infection in the natural sheep host is correlated with a type-1 cytokine response. Parasite Immunol. 2011, 3, 495–505. [Google Scholar] [CrossRef]




| Groups | Mice | Treatments | Worm Recovery | Mean ± SEM | Reduction (%) |
|---|---|---|---|---|---|
| 1. uninfected control | 10 | non-immunized and uninfected | |||
| 2. infected control | 10 | non-immunized and infected | 5,7,6,3,6,8,7,8,5,4 | 5.9 ± 0.53 | - |
| 3. alum control | 10 | immunized with alum adjuvant and infected | 6,8,4,3,5,7,6,2,8,8 | 5.7 ± 0.68 | - |
| 4. rFgSAP-2 | 10 | 50 µg of rFgSAP-2 plus alum adjuvant and infected | 2,4,0,1,2,0,1,2,4,0 | 1.6 ± 0.48 | 72.9 a*, 71.9 b* |
| 5. rFgLAP | 10 | 50 µg of rFgLAP plus alum adjuvant and infected | 0,4,1,3,1,1,2,1,3,3 | 1.9 ± 0.41 | 67.8 a*, 66.7 b* |
| 6. rFgSAP-2 + rFgLAP | 10 | 50 µg of rFgSAP-2 + rFgLAP plus alum adjuvant and infected | 2,1,0,0,1,1,3,2,0,1 | 1.1 ± 0.31 | 81.4 a*, 80.7 b* |
| Groups | Mean Liver Damage Score ± SEM | Percent Reduction |
|---|---|---|
| 1. uninfected control | - | |
| 2. infected control | 3.7 ± 0.26 | - |
| 3. alum control | 3.5 ± 0.40 | - |
| 4. rFgSAP-2—alum | 1.5 ± 0.37 | 59.46 a*, 57.14 b* |
| 5. rFgLAP—alum | 1.5 ± 0.31 | 59.46 a*, 57.14 b* |
| 6. rFgSAP-2 + rFgLAP—alum | 1.0 ± 0.26 | 72.97 a*, 71.42 b* |
Disclaimer/Publisher’s Note: The statements, opinions and data contained in all publications are solely those of the individual author(s) and contributor(s) and not of MDPI and/or the editor(s). MDPI and/or the editor(s) disclaim responsibility for any injury to people or property resulting from any ideas, methods, instructions or products referred to in the content. |
© 2023 by the authors. Licensee MDPI, Basel, Switzerland. This article is an open access article distributed under the terms and conditions of the Creative Commons Attribution (CC BY) license (https://creativecommons.org/licenses/by/4.0/).
Share and Cite
Changklungmoa, N.; Cheukamud, W.; Jaikua, W.; Meemon, K.; Sobhon, P.; Kueakhai, P. Combination Vaccines of Fasciola gigantica Saposin-like Protein-2 and Leucine Aminopeptidase. Trop. Med. Infect. Dis. 2023, 8, 334. https://doi.org/10.3390/tropicalmed8070334
Changklungmoa N, Cheukamud W, Jaikua W, Meemon K, Sobhon P, Kueakhai P. Combination Vaccines of Fasciola gigantica Saposin-like Protein-2 and Leucine Aminopeptidase. Tropical Medicine and Infectious Disease. 2023; 8(7):334. https://doi.org/10.3390/tropicalmed8070334
Chicago/Turabian StyleChangklungmoa, Narin, Werachon Cheukamud, Wipaphorn Jaikua, Krai Meemon, Prasert Sobhon, and Pornanan Kueakhai. 2023. "Combination Vaccines of Fasciola gigantica Saposin-like Protein-2 and Leucine Aminopeptidase" Tropical Medicine and Infectious Disease 8, no. 7: 334. https://doi.org/10.3390/tropicalmed8070334
APA StyleChangklungmoa, N., Cheukamud, W., Jaikua, W., Meemon, K., Sobhon, P., & Kueakhai, P. (2023). Combination Vaccines of Fasciola gigantica Saposin-like Protein-2 and Leucine Aminopeptidase. Tropical Medicine and Infectious Disease, 8(7), 334. https://doi.org/10.3390/tropicalmed8070334

