Identification and Characterization of Germ Cell Genes Vasa and Nanos-2 in the Ovary and Testis of White Crappie (Pomoxis annularis) and the Ovary of Black Crappie (P. nigromaculatus)
Abstract
1. Introduction
2. Materials and Methods
2.1. Ethics
2.2. Fish Selection and Its Parameters
2.3. Conserved Region Identification and Primer Selection
2.4. RNA Isolation and Gene Expression
2.5. Sequence Verification
2.6. NCBI BLAST Analysis
2.7. Statistical Analysis
3. Results
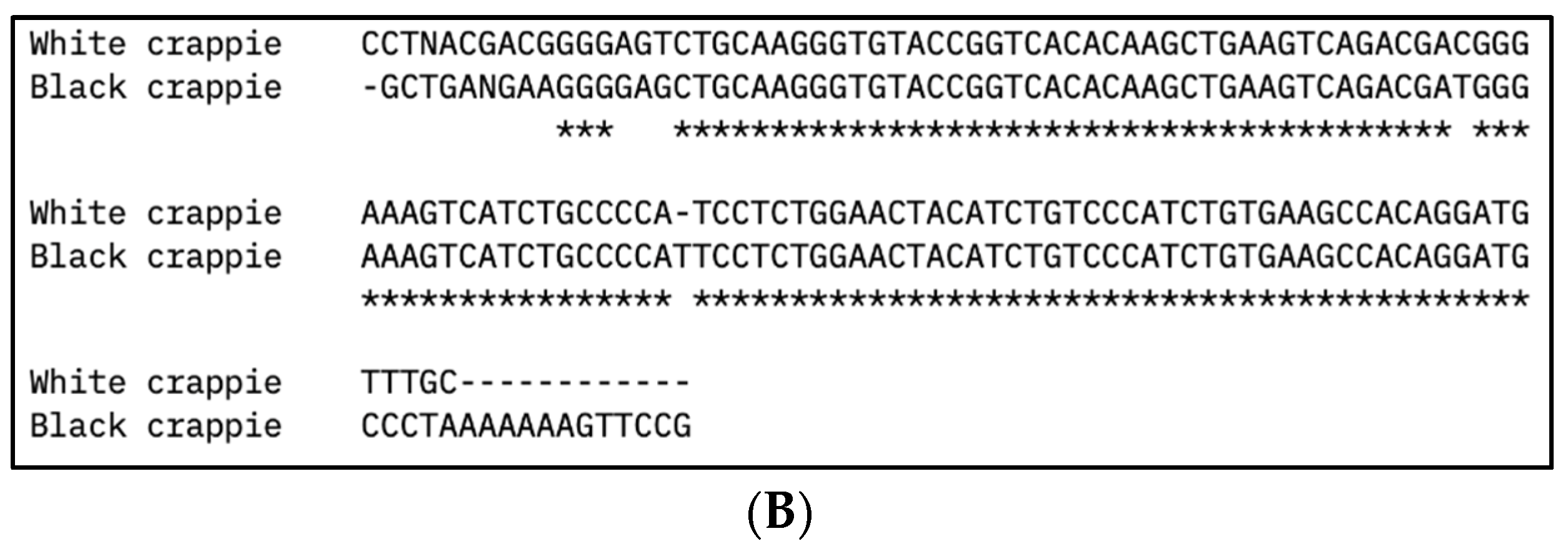
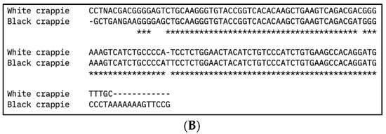
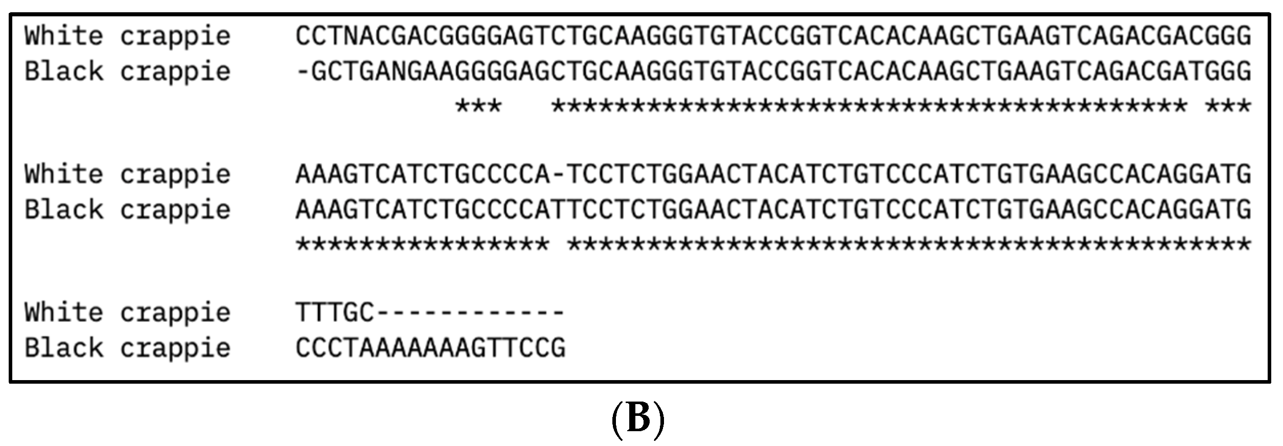
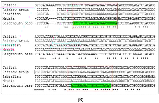
3.1. Sequence Identification and NCBI BLAST Analysis
3.2. Gene Expression by Age
3.3. WC Gene Expression by Sex
4. Discussion
Supplementary Materials
Author Contributions
Funding
Institutional Review Board Statement
Data Availability Statement
Acknowledgments
Conflicts of Interest
References
- Yoon, C.; Kawakami, K.; Hopkins, N. Zebrafish Vasa Homologue RNA Is Localized to the Cleavage Planes of 2- and 4-Cell-Stage Embryos and Is Expressed in the Primordial Germ Cells. Development 1997, 124, 3157–3165. [Google Scholar] [CrossRef]
- Kobayashi, T.; Kajiura-Kobayashi, H.; Nagahama, Y. Differential Expression of Vasa Homologue Gene in the Germ Cells during Oogenesis and Spermatogenesis in a Teleost Fish, Tilapia, Oreochromis niloticus. Mech. Dev. 2000, 99, 139–142. [Google Scholar] [CrossRef] [PubMed]
- Lin, F.; Liu, Q.; Li, M.; Li, Z.; Hong, N.; Li, J.; Hong, Y. Transient and Stable GFP Expression in Germ Cells by the Vasa Regulatory Sequences from the Red Seabream (Pagrus major). Int. J. Biol. Sci. 2012, 8, 882–890. [Google Scholar] [CrossRef] [PubMed][Green Version]
- Ye, H.; Yue, H.-M.; Yang, X.-G.; Li, C.-J.; Wei, Q.-W. Identification and Sexually Dimorphic Expression of Vasa Isoforms in Dabry’s Sturgeon (Acipenser dabryanus), and Functional Analysis of Vasa 3′-Untranslated Region. Cell Tissue Res. 2016, 366, 203–218. [Google Scholar] [CrossRef]
- Zhou, L.; Wang, X.; Du, S.; Wang, Y.; Zhao, H.; Du, T.; Yu, J.; Wu, L.; Song, Z.; Liu, Q.; et al. Germline Specific Expression of a Vasa Homologue Gene in the Viviparous Fish Black Rockfish (Sebastes schlegelii) and Functional Analysis of the Vasa 3′ Untranslated Region. Front. Cell Dev. Biol. 2020, 8, 575788. [Google Scholar] [CrossRef] [PubMed]
- Presslauer, C.; Nagasawa, K.; Fernandes, J.M.O.; Babiak, I. Expression of Vasa and Nanos3 during Primordial Germ Cell Formation and Migration in Atlantic Cod (Gadus morhua L.). Theriogenology 2012, 78, 1262–1277. [Google Scholar] [CrossRef] [PubMed]
- Yoshizaki, G.; Tago, Y.; Takeuchi, Y.; Sawatari, E.; Kobayashi, T.; Takeuchi, T. Green Fluorescent Protein Labeling of Primordial Germ Cells Using a Nontransgenic Method and Its Application for Germ Cell Transplantation in Salmonidae. Biol. Reprod. 2005, 73, 88–93. [Google Scholar] [CrossRef] [PubMed]
- Hartung, O.; Forbes, M.M.; Marlow, F.L. Zebrafish Vasa Is Required for Germ-cell Differentiation and Maintenance. Mol. Reprod. Dev. 2014, 81, 946–961. [Google Scholar] [CrossRef] [PubMed]
- Beer, R.L.; Draper, B.W. Nanos3 Maintains Germline Stem Cells and Expression of the Conserved Germline Stem Cell Gene Nanos2 in the Zebrafish Ovary. Dev. Biol. 2013, 374, 308–318. [Google Scholar] [CrossRef]
- Huang, J.; Li, Y.; Shao, C.; Wang, N.; Chen, S. Identification, Characterization and Functional Analysis of Regulatory Region of Nanos Gene from Half-Smooth Tongue Sole (Cynoglossus semilaevis). Gene 2017, 617, 8–16. [Google Scholar] [CrossRef] [PubMed]
- Asaoka-Taguchi, M.; Yamada, M.; Nakamura, A.; Hanyu, K.; Kobayashi, S. Maternal Pumilio Acts Together with Nanos in Germline Development in Drosophila Embryos. Nat. Cell Biol. 1999, 1, 431–437. [Google Scholar] [CrossRef] [PubMed]
- Han, K.; Chen, S.; Cai, M.; Jiang, Y.; Zhang, Z.; Wang, Y. Nanos3 Not Nanos1 and Nanos2 Is a Germ Cell Marker Gene in Large Yellow Croaker during Embryogenesis. Comp. Biochem. Physiol. B Biochem. Mol. Biol. 2018, 218, 13–22. [Google Scholar] [CrossRef] [PubMed]
- Sun, Z.-H.; Wang, Y.; Lu, W.-J.; Li, Z.; Liu, X.-C.; Li, S.-S.; Zhou, L.; Gui, J.-F. Divergent Expression Patterns and Function Implications of Four Nanos Genes in a Hermaphroditic Fish, Epinephelus coioides. Int. J. Mol. Sci. 2017, 18, 685. [Google Scholar] [CrossRef] [PubMed]
- De Keuckelaere, E.; Hulpiau, P.; Saeys, Y.; Berx, G.; Van Roy, F. Nanos Genes and Their Role in Development and Beyond. Cell. Mol. Life Sci. 2018, 75, 1929–1946. [Google Scholar] [CrossRef] [PubMed]
- Zhang, J.; Han, X.; Wang, J.; Liu, B.-Z.; Wei, J.-L.; Zhang, W.-J.; Sun, Z.-H.; Chang, Y.-Q. Molecular Cloning and Sexually Dimorphic Expression Analysis of Nanos2 in the Sea Urchin, Mesocentrotus nudus. Int. J. Mol. Sci. 2019, 20, 2705. [Google Scholar] [CrossRef] [PubMed]
- Lacerda, S.M.S.N.; Costa, G.M.J.; Campos-Junior, P.H.A.; Segatelli, T.M.; Yazawa, R.; Takeuchi, Y.; Morita, T.; Yoshizaki, G.; França, L.R. Germ Cell Transplantation as a Potential Biotechnological Approach to Fish Reproduction. Fish Physiol. Biochem. 2013, 39, 3–11. [Google Scholar] [CrossRef] [PubMed]
- Yoshizaki, G. Germ Cell Transplantation in Fish. In Encyclopedia of Reproduction; Elsevier: Amsterdam, The Netherlands, 2018; pp. 764–768. [Google Scholar] [CrossRef]
- Culpepper, C.M.; Allen, P.J. Aquaculture Techniques for Crappie, Pomoxis spp., Culture. J. World Aquac. Soc. 2016, 47, 314–326. [Google Scholar] [CrossRef]
- Hwang, J.; Bi, X.; Morales, N.; Camp, E.V. The Economic Value of Freshwater Fisheries in Florida: An Application of the Travel Cost Method for Black Crappie Fishing Trips. Fish. Res. 2021, 233, 105754. [Google Scholar] [CrossRef]
- Hutt, C.P.; Hunt, K.M.; Steffen, S.F.; Grado, S.C.; Miranda, L.E. Economic Values and Regional Economic Impacts of Recreational Fisheries in Mississippi Reservoirs. N. Am. J. Fish. Manag. 2013, 33, 44–55. [Google Scholar] [CrossRef]
- Bhattarai, S.; Jones, J.H.; Renukdas, N.N.; Kelly, A.M.; Perera, D.A. Isolation, in Vitro Culture, and Characterization of Black Crappie, Pomoxis nigromaculatus and White Crappie, P. annularis Ovarian Tissue Primary Cells. J. World Aquac. Soc. 2023, 54, 1534–1545. [Google Scholar] [CrossRef]
- Madeira, F.; Madhusoodanan, N.; Lee, J.; Eusebi, A.; Niewielska, A.; Tivey, A.R.N.; Lopez, R.; Butcher, S. The EMBL-EBI Job Dispatcher Sequence Analysis Tools Framework in 2024. Nucleic Acids Res. 2024, 52, W521–W525. [Google Scholar] [CrossRef]
- Livak, K.J.; Schmittgen, T.D. Analysis of Relative Gene Expression Data Using Real-Time Quantitative PCR and the 2−ΔΔCT Method. Methods 2001, 25, 402–408. [Google Scholar] [CrossRef]
- Ma, Q.; Kuang, J.; Chen, G.; Zhang, J.; Huang, J.; Mao, F.; Zhou, Q. Cloning and Expression Profiling of the Gene Vasa during First Annual Gonadal Development of Cobia (Rachycentron canadum). Fishes 2022, 7, 60. [Google Scholar] [CrossRef]
- Li, C.-J.; Liu, L.; Chen, X.-H.; Zhang, T.; Gan, F.; Cheng, B.-L. Identification of a Vasa Homologue Gene in Grass Carp and Its Expression Pattern in Tissues and during Embryogenesis. Comp. Biochem. Physiol. B Biochem. Mol. Biol. 2010, 157, 159–166. [Google Scholar] [CrossRef] [PubMed]
- Köprunner, M.; Thisse, C.; Thisse, B.; Raz, E. A Zebrafish Nanos -Related Gene Is Essential for the Development of Primordial Germ Cells. Genes Dev. 2001, 15, 2877–2885. [Google Scholar] [CrossRef] [PubMed]
- Aoki, Y.; Nakamura, S.; Ishikawa, Y.; Tanaka, M. Expression and Syntenic Analyses of Four Nanos Genes in Medaka. Zoolog. Sci. 2009, 26, 112–118. [Google Scholar] [CrossRef] [PubMed]
- Bellaiche, J.; Lareyre, J.-J.; Cauty, C.; Yano, A.; Allemand, I.; Le Gac, F. Spermatogonial Stem Cell Quest: Nanos2, Marker of a Subpopulation of Undifferentiated A Spermatogonia in Trout Testis. Biol. Reprod. 2014, 90, 79. [Google Scholar] [CrossRef]
- Liu, W.; Zhang, H.; Xiang, Y.; Jia, K.; Luo, M.; Yi, M. Molecular Characterization of Vasa Homologue in Marbled Goby, Oxyeleotris Marmorata: Transcription and Localization Analysis during Gametogenesis and Embryogenesis. Comp. Biochem. Physiol. B Biochem. Mol. Biol. 2019, 229, 42–50. [Google Scholar] [CrossRef]
- Draper, B.W. Identification of Germ-Line Stem Cells in Zebrafish. In Germline Stem Cells; Buszczak, M., Ed.; Methods in Molecular Biology; Springer: New York, NY, USA, 2017; Volume 1463, pp. 103–113. [Google Scholar] [CrossRef]
- Melo, L.H.; Melo, R.M.C.; Luz, R.K.; Bazzoli, N.; Rizzo, E. Expression of Vasa, Nanos2 and Sox9 during Initial Testicular Development in Nile Tilapia (Oreochromis niloticus) Submitted to Sex Reversal. Reprod. Fertil. Dev. 2019, 31, 1637. [Google Scholar] [CrossRef] [PubMed]
- Chi, M.; Wen, H.; Ni, M.; Qian, K.; Zhang, P.; Chai, S. The Characteristics of Vasa Gene from Japanese Sea Bass (Lateolabrax japonicas) and Its Response to the External Hormones. J. Ocean Univ. China 2015, 14, 717–723. [Google Scholar] [CrossRef]
- Li, H.; Zhu, Q.; Chen, R.; Liu, M.; Xu, D. Identification and Characterization of Dimorphic Expression of Sex-Related Genes in Rock Bream, a Fish With Multiple Sex Chromosomes. Front. Genet. 2021, 12, 791179. [Google Scholar] [CrossRef] [PubMed]
- Tsuda, M.; Sasaoka, Y.; Kiso, M.; Abe, K.; Haraguchi, S.; Kobayashi, S.; Saga, Y. Conserved Role of Nanos Proteins in Germ Cell Development. Science 2003, 301, 1239–1241. [Google Scholar] [CrossRef] [PubMed]
- Mu, W.; Wen, H.; He, F.; Li, J.; Liu, M.; Ma, R.; Zhang, Y.; Hu, J.; Qi, B. Cloning and Expression Analysis of Vasa during the Reproductive Cycle of Korean Rockfish, Sebastes schlegeli. J. Ocean Univ. China 2013, 12, 115–124. [Google Scholar] [CrossRef]







| Fish Category | Number of Fish | Average Length (cm) | Average Weight (g) | Gonad Weight (g) | Gonadosomatic Index (GSI) |
|---|---|---|---|---|---|
| Age-1 WC female | 3 | 13.1 ± 0.3 | 18.03 ± 0.6 | 0.13 ± 0.03 | 0.70 ± 0.15 |
| Age-2 WC female | 3 | 17.5 ± 0.5 | 51.2 ± 2.8 | 0.51 ± 0.03 | 1.01 ± 0.10 |
| Age-1 WC male | 3 | 13.6 ± 0.3 | 22.9 ± 2.8 | 0.01 ± 0.005 | 0.05 ± 0.02 |
| Age-2 WC male | 3 | 17.9 ± 0.4 | 60.3 ± 2.7 | 0.20 ± 0.10 | 0.33 ± 0.16 |
| Age-1 BC female | 3 | 9.8 ± 0.3 | 8.46 ± 0.6 | 0.08 ± 0.006 | 1.02 ± 0.07 |
| Age-2 BC female | 3 | 17.9 ± 0.92 | 66.03 ± 8.3 | 0.45 ± 0.33 | 0.65 ± 0.41 |
| Genes | Primer Sequences (5′-3′) | Product Size (bp) |
|---|---|---|
| Vasa | Forward, GGAGAGCGGTGTCTTTCTATG Reverse, CTGAACGCAGACTCCTCTAAC | 118 |
| Nanos-2 | Forward, TACGGGACTTCTCCGGACTT Reverse, GTGGCTTCACAGATGGGACA | 146 |
| GAPDH | Forward, CTGTTGGCAAGGTCATCCCT Reverse, CGTATT TGGCGGGTTTCTGC | 120 |
| Genes | Species and Gonads | Partial Sequences | Size (bp) |
|---|---|---|---|
| Vasa | White Crappie (P. annularis), ovary | GCGCTCTGCTGGGCTTGGAACGGACTGTGACCAAGGACCGAGCCAACTGGCCGTCAGCCTCTGGGTCATAGAAAGACACCGCTCTCCAGTTTA | 94 |
| Nanos-2 | White Crappie (P. annularis), ovary | CCTNACGACGGGGAGTCTGCAAGGGTGTACCGGTCACACAAGCTGAAGTCAGACGACGGGAAAGTCATCTGCCCCATCCTCTGGAACTACATCTGTCCCATCTGTGAAGCCACAGGATGTTTG | 124 |
| Vasa | White Crappie (P. annularis), testis | GACTCTGTGGGCTTGGAAGGACTGTGACAAGGACCGAGCCAACTGGCCGTCAGCCTCTGGGTCATAGAAAGACACCGCTCTCCATATTATGTCTGTGTCTCTCCAGACACCACAACCCTTAAAAAGACNCCGCTCNTTTTTTTTTTTTTTTTTTTTGACCGG | 163 |
| Nanos-2 | White Crappie (P. annularis), testis | CCTGANGACGGGGAGTCTGCAAGGGTGTACCGGTCCACACAAGCTGAAGTCAGACGACGGGAAAGTCATCTGCCCCATCCTCTGGAACTACATCTGTCCCATCTGTGAAGCCACAGGATGTTTTGGNA | 129 |
| Vasa | Black Crappie (P. nigromaculatus), ovary | GGCAACCAGCATTGGCTCGGTCCTT GGTCACAGTCCTGTCCAAGGCCCAG CAGGAAGTGCCCTCGTGGTTAGAGG AGTCTGCGTTCAGAGCTCCTCTGTCC CGGTTCTTCCCGCTGCCACCTTAGTA CACCTACTGTGTACCAGGTACTCATC CAATTGAGCCCTCATCCTCCGGAGT CATAGCAAAGACACCACTCTC | 199 |
| Nanos-2 | Black Crappie (P. nigromaculatus), ovary | GCTGANGAAGGGGAGCTGCAAGGGTGTACCGGTCACACAAGCTGAAGTCAGACGATGGGAAAGTCATCTGCCCCATTCCTCTGGAACTACATCTGTCCCATCTGTGAAGCCACAGGATGCCCTAAAAAAAGTTCC | 136 |
Disclaimer/Publisher’s Note: The statements, opinions and data contained in all publications are solely those of the individual author(s) and contributor(s) and not of MDPI and/or the editor(s). MDPI and/or the editor(s) disclaim responsibility for any injury to people or property resulting from any ideas, methods, instructions or products referred to in the content. |
© 2024 by the authors. Licensee MDPI, Basel, Switzerland. This article is an open access article distributed under the terms and conditions of the Creative Commons Attribution (CC BY) license (https://creativecommons.org/licenses/by/4.0/).
Share and Cite
Bhattarai, S.; Renukdas, N.N.; Kelly, A.M.; Sinha, A.K.; Joshi, S.; Perera, D.A. Identification and Characterization of Germ Cell Genes Vasa and Nanos-2 in the Ovary and Testis of White Crappie (Pomoxis annularis) and the Ovary of Black Crappie (P. nigromaculatus). Fishes 2024, 9, 394. https://doi.org/10.3390/fishes9100394
Bhattarai S, Renukdas NN, Kelly AM, Sinha AK, Joshi S, Perera DA. Identification and Characterization of Germ Cell Genes Vasa and Nanos-2 in the Ovary and Testis of White Crappie (Pomoxis annularis) and the Ovary of Black Crappie (P. nigromaculatus). Fishes. 2024; 9(10):394. https://doi.org/10.3390/fishes9100394
Chicago/Turabian StyleBhattarai, Sujan, Nilima N. Renukdas, Anita M. Kelly, Amit Kumar Sinha, Sanjay Joshi, and Dayan A. Perera. 2024. "Identification and Characterization of Germ Cell Genes Vasa and Nanos-2 in the Ovary and Testis of White Crappie (Pomoxis annularis) and the Ovary of Black Crappie (P. nigromaculatus)" Fishes 9, no. 10: 394. https://doi.org/10.3390/fishes9100394
APA StyleBhattarai, S., Renukdas, N. N., Kelly, A. M., Sinha, A. K., Joshi, S., & Perera, D. A. (2024). Identification and Characterization of Germ Cell Genes Vasa and Nanos-2 in the Ovary and Testis of White Crappie (Pomoxis annularis) and the Ovary of Black Crappie (P. nigromaculatus). Fishes, 9(10), 394. https://doi.org/10.3390/fishes9100394

