Assessing the Effects of Guiera senegalensis, Pluchea odorata, and Piliostigma reticulatum Leaf Powder Supplementation on Growth, Immune Response, Digestive Histology, and Survival of Nile Tilapia (Oreochromis niloticus Linnaeus, 1758) Juveniles before and after Aeromonas hydrophila Infection
Abstract
1. Introduction
2. Materials and Methods
2.1. Medicinal Plant Collection and Experimental Diet Formulations
2.2. Fish Rearing
2.3. Infection Challenge
2.4. Fish Sampling
2.5. Growth, Survival, and Feed Efficiency
2.6. Immunological Analyses
2.6.1. Respiratory Burst Activity
2.6.2. Bactericidal Activity of Plasma
2.6.3. Plasma Lysozyme Activity
2.7. Histological Analyses
2.8. Statistical Analysis
3. Results
3.1. Feeding Efficiency, Growth, and Survival
3.2. Immunological Analyses
3.3. Infection Challenge
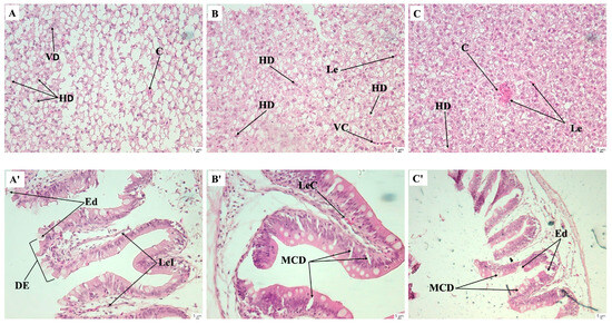
3.4. Histological Analyses
4. Discussion
5. Conclusions
Supplementary Materials
Author Contributions
Funding
Institutional Review Board Statement
Informed Consent Statement
Data Availability Statement
Acknowledgments
Conflicts of Interest
References
- FAO. The State of World Fisheries and Aquaculture 2024—Blue Transformation in Action; FAO: Rome, Italy, 2024. [Google Scholar] [CrossRef]
- Bastos, G.; Hutson, K.S.; Domingos, J.A.; Chung, C.; Hayward, S.; Miller, T.L.; Jerry, D.R. Use of environmental DNA (eDNA) and water quality data to predict protozoan parasites outbreaks in fish farms. Aquaculture 2017, 479, 467–473. [Google Scholar] [CrossRef]
- Assefa, A.; Abunna, F. Maintenance of Fish Health in Aquaculture: Review of epidemiological approaches for prevention and control of infectious disease of fish. Vet. Med. Int. 2018, 2018, 5432497. [Google Scholar] [CrossRef] [PubMed]
- Allameh, S.K.; Yusoff, F.M.; Ringø, E.; Daud, H.M.; Saad, C.R.; Ideris, A. Effects of dietary mono-and multiprobiotic strains on growth performance, gut bacteria and body composition of Javanese carp (Puntius gonionotus, B leeker 1850). Aquac. Nutr. 2016, 22, 367–373. [Google Scholar] [CrossRef]
- Kari, Z.A.; Wee, W.; Sukri, S.; Harun, H.C.; Reduan, M.F.H.; Khoo, M.I.; Van Doan, H.; Goh, K.W.; Wei, L.S. Role of phytobiotics in relieving the impacts of Aeromonas hydrophila infection on aquatic animals: A mini-review. Front. Vet. Sci. 2022, 6, 1023784–1023795. [Google Scholar] [CrossRef]
- Jiofack, T.; Fokunang, C.; Guedje, N.M.; Kemeuze, V.; Fongnzossie, E.; Nkongmeneck, B.A.; Mapongmetsem, P.M.; Tsabang, N. Ethnobotanical uses of medicinal plants of two ethnoecological regions of Cameroon. Int. J. Med. Med. Sci. 2010, 2, 60–79. [Google Scholar]
- Citarasu, T. Herbal biomedicines: A new opportunity for aquaculture industry. Aquac. Int. 2010, 18, 403–414. [Google Scholar] [CrossRef]
- Van Hai, N. The use of medicinal plants as immunostimulants in aquaculture: A review. Aquaculture 2015, 446, 88–96. [Google Scholar] [CrossRef]
- Che, C.-T.; Wan, Z.J.; Chow, M.S.S.; Lam, C.W.K. Herb-herb combination for therapeutic enhancement and advancement: Theory, practice and future perspectives. Molecules 2013, 18, 5125–5141. [Google Scholar] [CrossRef]
- Caruso, D.; Lusiastuti, A.M.; Slembrouck, J.; Komarudin, O.; Legendre, M. Traditional pharmacopeia in small scale freshwater fish farms in West Java, Indonesia: An ethnoveterinary approach. Aquaculture 2013, 416–417, 334–345. [Google Scholar] [CrossRef]
- Bulfon, C.; Volpatti, D.; Galeotti, M. Current research on the use of plant-derived products in farmed fish. Aquac. Res. 2015, 46, 513–551. [Google Scholar] [CrossRef]
- Singh, A.; Sharma, J.; Paichha, M.; Chakrabarti, R. Achyranthes aspera (Prickly chaff flower) leaves- and seeds-supplemented diets regulate growth, innate immunity, and oxidative stress in Aeromonas hydrophila-challenged Labeo rohita. J. Appl. Aquac. 2020, 32, 250–267. [Google Scholar] [CrossRef]
- Abdel-Tawwab, M.; El-Araby, D.A. Immune and antioxidative effects of dietary licorice (Glycyrrhiza glabra L.) on performance of Nile tilapia, Oreochromis niloticus (L.) and its susceptibility to Aeromonas hydrophila infection. Aquaculture 2021, 530, 735828. [Google Scholar] [CrossRef]
- Romana-Eguia, M.R.R.; Eguia, R.V.; Pakingking, R.V. Tilapia Culture: The Basics; Aquaculture Department, Southeast Asian Fisheries Development Center: Iloilo, Philippines, 2020. [Google Scholar]
- Pang, M.; Jiang, J.; Xie, X.; Wu, Y.; Dong, Y.; Kwok, A.H.Y.; Zhang, W.; Yao, H.; Lu, C.; Leung, F.C.; et al. Novel insights into the pathogenicity of epidemic Aeromonas hydrophila ST251 clones from comparative genomics. Sci. Rep. 2015, 5, 9833. [Google Scholar] [CrossRef] [PubMed]
- Tang, C.; Yan, H.; Li, S.; Bai, L.; Lv, Q. Effects of novel polyhedral oligomeric silsesquioxane containing hydroxyl group and epoxy group on the dicyclopentadiene bisphenol dicyanate ester composites. Polym. Test. 2017, 59, 316–327. [Google Scholar] [CrossRef]
- Sheikhlar, A.; Meng, G.Y.; Alimon, R.; Romano, N.; Ebrahimi, M. Dietary Euphorbia hirta Extract Improved the Resistance of Sharptooth Catfish Clarias gariepinus to Aeromonas hydrophila. J. Aquat. Anim. Health 2017, 29, 225–235. [Google Scholar] [CrossRef]
- Kuebutornye, F.; Abarike, E. The contribution of medicinal plants to tilapia aquaculture: A review. Aquac. Int. 2020, 28, 965–983. [Google Scholar] [CrossRef]
- Nguyen, H.V.; Caruso, D.; Lebrun, M.; Nguyen, N.T.; Trinh, T.T.; Meile, J.-C.; Chu-Ky, S.; Sarter, S. Antibacterial activity of Litsea cubeba (Lauraceae, May Chang) and its effects on the biological response of common carp Cyprinus carpio challenged with Aeromonas hydrophila. J. Appl. Microbiol. 2016, 121, 341–351. [Google Scholar] [CrossRef] [PubMed]
- Nafiqoh, N.; Sukenda, S.; Zairin, M.J.; Alimuddin, A.; Lusiastuti, A.; Sarter, S.; Caruso, D.; Avarre, J.C. Antimicrobial properties against Aeromonas hydrophila and immunostimulant effect on Clarias gariepinus of Piper betle, Psidium guajava, and Tithonia diversifolia plants. Aquac. Int. 2020, 28, 1–13. [Google Scholar] [CrossRef]
- Maiti, S.; Saha, S.; Jana, P.; Chowdhury, A.; Khatua, S.; Ghosh, T.K. Effect of dietary Andrographis paniculata leaf extract on growth, immunity, and disease resistance against Aeromonas hydrophila in Pangasianodon hypopthalmus. J. Appl. Aquac. 2023, 35, 305–329. [Google Scholar] [CrossRef]
- Guèye, F. Médecine Traditionnelle du Sénégal Exemples de Quelques Plantes Médicinales de la Pharmacopée Sénégalaise Traditionnelle. Ph.D. Dissertation, Aix-Marseille University, Marseille, France, 2019. [Google Scholar]
- Perera, W.H.C.; González, L.; Payo, A.; Nogueiras, C.; Oquendo, M.; Sarduy, R. Antimicrobial activity of crude extracts and flavonoids from leaves of Pluchea carolinensis (Jacq.) G. Don. Pharmacologyonline 2006, 3, 757–761. [Google Scholar]
- Perez, C.; Balcinde, Y.; Suarez, C.; Hernandez, V.; Falero, A.; Hung, B.R. Ensayo de la actividad antimicrobiana de Pluchea carolinensis (salvia de playa). Rev. Cenic. Cienc. Biolόgicas 2007, 38, 150–154. [Google Scholar]
- Biabiany, M.; Roumy, V.; Hennebelle, T.; Francois, N.; Sendid, B.; Pottier, M.; Aliouat, E.; Rouaud, I.; Lohezic-Le, D.F.; Joseph, H.; et al. Antifungal Activity of 10 Guadeloupean Plants. Phytother. Res. 2013, 27, 1640–1645. [Google Scholar] [CrossRef] [PubMed]
- Fernandez, F.; Torres, M. Evaluation of Pluchea carolinensis extracts as antioxidants by the epinephrine oxidation method. Fitoterapia 2006, 77, 221–226. [Google Scholar] [CrossRef]
- Perera, W.H.C.; Wauters, J.N.; Kevers, C.; Frédérich, M.; Dommes, J. Antioxidant fractions and phenolic constituents from leaves of Pluchea carolinensis and Pluchea rosea. Free Radic. Antioxid. 2014, 4, 1–7. [Google Scholar] [CrossRef]
- Garcia, M.; Perera, W.H.; Scull, R.; Monzote, L. Antileishmanial assessment of leaf extracts from Pluchea carolinensis, Pluchea odorata and Pluchea rosea. Asian Pac. J. Trop. Med. 2011, 4, 836–840. [Google Scholar] [CrossRef] [PubMed]
- Yelemou, B.; Bationo, B.A.; Yameogo, G.; Rasolodimby, J.M. Gestion traditionnelle et usages de Piliostigma reticulatum sur le plateau central du Burkina Faso. Bois Forêts Des Trop. 2007, 291, 55–66. [Google Scholar] [CrossRef]
- Babajide, O.J.; Babajide, O.O.; Daramola, A.O.; Mabusela, W.T. Flavonols and an oxychromonol from Piliostigma reticulatum. Phytochemistry 2008, 69, 2245–2250. [Google Scholar] [CrossRef]
- Arbonnier, M. Arbres, Arbustes et Lianes des Zones Seches d’Afrique de l’Ouest; MNHN-QUAE: Versailles, France, 2009. [Google Scholar]
- Reverter, M.; Tapissier-Bontemps, N.; Sarter, S.; Sasal, P.; Caruso, D. Moving towards more sustainable aquaculture practices: A meta-analysis on the potential of plant-enriched diets to improve fish growth, immunity and disease resistance. Rev. Aquac. 2021, 13, 537–555. [Google Scholar] [CrossRef]
- Leaño, M.E.; Ju, G.J.; Chang, S.L.; Liao, C.I. Levamisole enchances non-specific immune response of cobia, Rachycentron canadum, fingerlings. J. Fish. Soc. Taiwan 2003, 30, 321–330. [Google Scholar]
- Caruso, D.; Lazard, J. Subordination stress in Nile tilapia and its effect on plasma lysozyme activity. J. Fish Biol. 1999, 55, 451–454. [Google Scholar] [CrossRef]
- Schneider, C.A.; Rasband, W.S.; Eliceiri, K.W. NIH Image to ImageJ: 25 years of image analysis. Nat. Methods 2012, 9, 671–675. [Google Scholar] [CrossRef]
- Ali, H.A.; Ali, J.A.; Musthafa, S.M.; Kumar, M.A.; Naveed, S.M.; Mehrajuddin, W.; Altaff, K. Impact of formulated diets on the growth and survival of ornamental fish Pterophyllum scalare (Angel Fish). J. Aquac. Res. Dev. 2016, 7, 1–4. [Google Scholar] [CrossRef]
- Francis, G.; Makkar, H.P.S.; Becker, K. Antinutritional factors present in plant-derived alternate fish feed ingredients and their effects in fish. Aquaculture 2001, 199, 197–227. [Google Scholar] [CrossRef]
- Ekanem, S.B.; Eyo, V.O.; Okon, E.E. The effects of Brazilian tea (Stachytarpheta jamaicensis) and Bitter kola (Garcinia kola) seed meal on the growth and gonad development of the African catfish Clarias gariepinus (Burchell, 1822). Ege J. Fish. Aquat. Sci. 2017, 34, 179–185. [Google Scholar] [CrossRef][Green Version]
- Abdel-Razek, N.; Awad, S.M.; Abdel-Tawwab, M. Effect of dietary purslane (Portulaca oleracea L.) leaves powder on growth, immunostimulation, and protection of Nile tilapia, Oreochromis niloticus against Aeromonas hydrophila infection. Fish Physiol. Biochem. 2019, 45, 1907–1917. [Google Scholar] [CrossRef] [PubMed]
- Lebda, M.A.; El-Hawarry, W.N.; Shourbela, R.M.; El-Far, A.H.; Shewita, R.S.; Mousa, S.A. Miswak (Salvadora persica) dietary supplementation improves antioxidant status and nonspecific immunity in Nile tilapia (Oreochromis niloticus). Fish Shellfish Immunol. 2019, 88, 619–626. [Google Scholar] [CrossRef]
- Abd El-Gawad, E.A.; El Asely, A.M.; Soror, E.I.; Abbass, A.A.; Austin, B. Effect of dietary Moringa oleifera leaf on the immune response and control of Aeromonas hydrophila infection in Nile tilapia (Oreochromis niloticus) fry. Aquac. Int. 2020, 28, 389–402. [Google Scholar] [CrossRef]
- Srichaiyo, N.; Tongsiri, S.; Hoseinifar, S.H.; Dawood, M.A.O.; Jaturasitha, S.; Esteban, M.A.; Ringø, E.; Van Doan, H. The effects gotu kola (Centella asiatica) powder on growth performance, skin mucus, and serum immunity of Nile tilapia (Oreochromis niloticus) fingerlings. Aquac. Rep. 2020, 16, 100239. [Google Scholar] [CrossRef]
- Radwan, M.; Abbas, M.M.M.; Mohammadein, A.; Al Malki, J.S.; Elraey, S.M.A.; Magdy, M. Growth performance, immune response, antioxidative status, and antiparasitic and antibacterial capacity of the Nile tilapia (Oreochromis niloticus) after dietary supplementation with Bottle gourd (Lagenaria siceraria, Molina) seed powder. Front. Mar. Sci. 2022, 9, 901439. [Google Scholar] [CrossRef]
- Dada, A.A.; Ikuerowo, M. Effect of ethanoic extracts of Garcinia kola seeds on growth and haematology of catfish (Clarias gariepinus) broodstock. Afr. J. Agric. Res. 2009, 4, 344–347. [Google Scholar]
- Yilmaz, E. Effects of dietary anthocyanin on innate immune parameters, gene expression responses, and ammonia resistance of Nile tilapia (Oreochromis niloticus). Fish Shellfish Immunol. 2019, 93, 694–701. [Google Scholar] [CrossRef] [PubMed]
- Yilmaz, S.; Ergun, S.; Kaya, H.; Gurkan, M. Influence of Tribulus terrestris extract on the survival and histopathology of Oreochromis mossambicus (Peters, 1852) fry before and after Streptococcus iniae infection. J. Appl. Ichthyol. 2014, 30, 994–1000. [Google Scholar] [CrossRef]
- Kapinga, I.B.; Limbu, S.M.; Madalla, N.A.; Kimaro, W.H.; Tamatamah, R.A. Aspilia mossambicensis and Azadirachta indica medicinal leaf powders modulate physiological parameters of Nile tilapia (Oreochromis niloticus). Int. J. Vet. Sci. Med. 2018, 6, 31–38. [Google Scholar] [CrossRef] [PubMed]
- Adeniyi, O.; Olaifa, F.; Emikpe, B.; Ogunbanwo, S. Effects of dietary tamarind (Tamarindus indica L.) leaves extract on growth performance, nutrient utilization, gut physiology, and susceptibility to Aeromonas hydrophila infection in Nile tilapia (Oreochromis niloticus L.). Int. Aquat. Res. 2021, 13, 37–51. [Google Scholar] [CrossRef]
- Reverter, M.; Sarter, S.; Caruso, D.; Avarre, J.-C.; Combe, M.; Pepey, E.; Gozlan, R.E. Aquaculture at the crossroads of global warming and antimicrobial resistance. Nat. Commun. 2020, 11, 1870. [Google Scholar] [CrossRef] [PubMed]
- Mahmoud, H.K.; Al-Sagheer, A.A.; Reda, F.M.; Mahgoub, S.A.; Ayyat, M.S. Dietary curcumin supplement influence on growth, immunity, antioxidant status, and resistance to Aeromonas hydrophila in Oreochromis niloticus. Aquaculture 2017, 475, 16–23. [Google Scholar] [CrossRef]
- Basha, K.A.; Raman, R.P.; Prasad, K.P.; Kumar, K.; Nilavan, E.; Kumar, S. Effect of dietary supplemented andrographolide on growth, non-specific immune parameters and resistance against Aeromonas hydrophila in Labeo rohita (Hamilton). Fish Shellfish Immunol. 2013, 35, 1433–1441. [Google Scholar] [CrossRef]
- Adeshina, I.; Adewale, Y.A.; Tiamiyu, L.O. Growth performance and innate immune response of Clarias gariepinus infected with Aeromonas hydrophila fed diets fortified with Curcuma longa leaf. West Afr. J. Appl. Ecol. 2017, 25, 87–99. [Google Scholar]
- Ellis, A.E. Innate host defence mechanism of fish against viruses and bacteria. Dev. Comp. Immunol. 2001, 25, 827–839. [Google Scholar] [CrossRef] [PubMed]
- Abdel-Tawwab, M.; Ahmad, M.; Seden, M.; Sakr, S. Use of green tea, Camellia sinensis L., in practical diet for growth and protection of Nile tilapia, Oreochromis niloticus (L.), against Aeromonas hydrophila infection. J. World Aquac. Soc. 2010, 41, 203–213. [Google Scholar] [CrossRef]
- Awad, E.; Austin, B. Use of lupin, Lupinus perennis, mango, Mangifera indica, and stinging nettle, Urtica dioica, as feed additives to prevent Aeromonas hydrophila infection in rainbow trout, Oncorhynchus mykiss (Walbaum). J. Fish Dis. 2010, 33, 413–420. [Google Scholar] [CrossRef] [PubMed]
- Mohamad, S.; Abasali, H. Effect of plant extracts supplemented diets on immunity and resistance to Aeromonas hydrophila in common carp (Cyprinus carpio). Agric. J. 2010, 5, 119–127. [Google Scholar]
- Talpur, A.D.; Ikhwanuddin, M. Azadirachta indica (neem) leaf dietary effects on the immunity response and disease resistance of Asian seabass, Lates calcarifer challenged with Vibrio harveyi. Fish Shellfish Immunol. 2013, 34, 254–264. [Google Scholar] [CrossRef] [PubMed]
- Ngugi, C.C.; Oyoo-Okoth, E.; Mugo-Bundi, J.; Orina, P.S.; Chemoiwa, E.J.; Aloo, P.A. Effects of dietary administration of stinging nettle (Urtica dioica) on the growth performance, biochemical, hematological and immunological parameters in juvenile and adult Victoria Labeo (Labeo victorianus) challenged with Aeromonas hydrophila. Fish Shellfish Immunol. 2015, 44, 533–541. [Google Scholar] [CrossRef] [PubMed]
- Castro-Ruiz, D.; Andree, K.B.; Magris, J.; Fernandez-Mendez, C.; Garcia-Davila, C.; Gisbert, E.; Darias, M.J. DHA-enrichment of live and compound feeds influences the incidence of cannibalism, digestive function, and growth in the neotropical catfish Pseudoplatystoma punctifer (Castelnau, 1855) during early life stages. Aquaculture 2022, 561, 738667. [Google Scholar] [CrossRef]
- Castro-Ruiz, D.; Andree, K.B.; Solovyev, M.M.; Fernandez-Mendez, C.; Garcia-Davila, C.; Gisbert, E.; Darias, M.J. The digestive function of Pseudoplatystoma punctifer early juveniles is differentially modulated by dietary protein, lipid and carbohydrate content and their ratios. Animals 2021, 11, 369. [Google Scholar] [CrossRef]
- Camargo, M.M.P.; Martinez, C.B.R. Histopathology of gills, kidney, and liver of a neotropical fish caged in an urban stream. Neotrop. Ichthyol. 2007, 5, 327–336. [Google Scholar] [CrossRef]
- Nofouzia, K.; Aghapoura, M.; Ezazia, A.; Sheikhzadehb, N.; Tukmechic, A.; Khordadmehra, M.; Akbari, M.; Tahapour, K.; Mousavi, M. Effects of Verbascum speciosum on growth performance, intestinal histology, immune system and biochemical parameters in rainbow trout (Oncorhynchus mykiss). Turk. J. Fish. Aquat. Sci. 2017, 17, 145–152. [Google Scholar] [CrossRef]
- Abdel Rahman, A.; Elhady, M.; Hassanin, M.; Mohamed, A. Alleviative effects of dietary Indian lotus leaves on heavy metals-induced hepato-renal toxicity, oxidative stress, and histopathological alterations in Nile tilapia, Oreochromis niloticus (L.). Aquaculture 2019, 509, 198–208. [Google Scholar] [CrossRef]
- Song, H.; Han, W.; Yan, F.; Xu, D.; Chu, Q.; Zheng, X. Dietary Phaseolus vulgaris extract alleviated diet-induced obesity, insulin resistance and hepatic steatosis and alters gut microbiota composition in mice. J. Funct. Foods 2016, 20, 236–244. [Google Scholar] [CrossRef]
- Kim, M.; Pichiah, P.B.T.; Kim, D.K.; Cha, Y.S. Black adzuki bean (Vigna angularis) extract exerts phenotypic effects on white adipose tissue and reverses liver steatosis in diet-induced obese mice: Antiobesity and antisteatotic effects of black adzuki beans. J. Food Biochem. 2017, 41, e12333. [Google Scholar] [CrossRef]
- Yao, J.; Hu, P.; Zhu, Y.; Xu, Y.; Tan, Q.; Liang, X. Lipid-lowering effects of lotus leaf alcoholic extract on serum, hepatopancreas, and muscle of juvenile grass carp via gene expression. Front. Physiol. 2020, 11, 584782. [Google Scholar] [CrossRef] [PubMed]
- Orsi, R.O.; Santos, V.G.D.; Pezzato, L.E.; Carvalho, P.L.P.F.D.; Teixeira, C.P.; Freitas, J.M.A.; Padovani, C.R.; Sartori, M.M.P.; Barros, M.M. Activity of Brazilian propolis against Aeromonas hydrophila and its effect on Nile tilapia growth, hematological and non-specific immune response under bacterial infection. An. Acad. Bras. Ciências 2017, 89, 1785–1799. [Google Scholar] [CrossRef] [PubMed]
- Libbing, C.L.; McDevitt, A.R.; Azcueta, R.P.; Ahila, A.; Mulye, M. Lipid droplets: A significant but understudied contributor of host bacterial interactions. Cells 2019, 8, 354. [Google Scholar] [CrossRef]





| Experiment | Diet | Dry Matter | Ash | Protein | Lipid | Fiber |
|---|---|---|---|---|---|---|
| A | 0% G. senegalensis | 92.5 | 10.3 | 32.6 | 9.0 | 4.7 |
| 1% G. senegalensis | 88.7 | 10.0 | 30.7 | 8.8 | 4.8 | |
| 2% G. senegalensis | 92.2 | 10.3 | 31.8 | 9.4 | 5.8 | |
| 4% G. senegalensis | 92.7 | 10.2 | 31.5 | 9.2 | 5.5 | |
| 8% G. senegalensis | 89.7 | 9.8 | 29.8 | 8.8 | 6.1 | |
| B | 0% P. odorata | 92.9 | 10.3 | 32.8 | 9.1 | 4.7 |
| 0.5% P. odorata | 92.8 | 10.1 | 32.5 | 9.0 | 4.7 | |
| 1% P. odorata | 92.5 | 10.3 | 32.6 | 9.2 | 4.9 | |
| 2% P. odorata | 92.6 | 10.2 | 31.8 | 9.3 | 5.1 | |
| 4% P. odorata | 92.5 | 10.2 | 31.6 | 9.4 | 5.4 | |
| C | 0% P. reticulatum | 94.0 | 10.3 | 33.6 | 9.0 | 4.7 |
| 1% P. reticulatum | 94.3 | 10.3 | 34.0 | 9.2 | 5.3 | |
| 2% P. reticulatum | 93.4 | 10.3 | 32.9 | 9.0 | 5.2 | |
| D | 0% Mixture | 94.0 | 10.3 | 33.6 | 9.0 | 4.7 |
| 1% Mixture | 94.0 | 10.3 | 31.4 | 9.3 | 5.7 | |
| 2% Mixture | 93.9 | 10.3 | 31.2 | 9.3 | 6.0 |
| Experiment | Ni | WWi | T | DO | pH |
|---|---|---|---|---|---|
| A | 450 | 12.90 ± 0.40 | 26.7 ± 0.3 | 4.1 ± 0.1 | 8.0 ± 0.1 |
| B | 525 | 15.79 ± 0.36 | 27.9 ± 0.1 | 3.8 ± 0.3 | 8.4 ± 0.1 |
| C | 315 | 22.23 ± 0.59 | 26.7 ± 0.5 | 4.1 ± 0.2 | 8.0 ± 0.1 |
| D | 315 | 22.23 ± 0.59 | 26.7 ± 0.5 | 4.1 ± 0.2 | 8.0 ± 0.1 |
Disclaimer/Publisher’s Note: The statements, opinions and data contained in all publications are solely those of the individual author(s) and contributor(s) and not of MDPI and/or the editor(s). MDPI and/or the editor(s) disclaim responsibility for any injury to people or property resulting from any ideas, methods, instructions or products referred to in the content. |
© 2024 by the authors. Licensee MDPI, Basel, Switzerland. This article is an open access article distributed under the terms and conditions of the Creative Commons Attribution (CC BY) license (https://creativecommons.org/licenses/by/4.0/).
Share and Cite
Ndour, P.M.; Fall, J.; Darias, M.J.; Caruso, D.; Canonne, M.; Pepey, E.; Hermet, S.; Fall, S.K.L.; Diouf, M.; Sarter, S. Assessing the Effects of Guiera senegalensis, Pluchea odorata, and Piliostigma reticulatum Leaf Powder Supplementation on Growth, Immune Response, Digestive Histology, and Survival of Nile Tilapia (Oreochromis niloticus Linnaeus, 1758) Juveniles before and after Aeromonas hydrophila Infection. Fishes 2024, 9, 390. https://doi.org/10.3390/fishes9100390
Ndour PM, Fall J, Darias MJ, Caruso D, Canonne M, Pepey E, Hermet S, Fall SKL, Diouf M, Sarter S. Assessing the Effects of Guiera senegalensis, Pluchea odorata, and Piliostigma reticulatum Leaf Powder Supplementation on Growth, Immune Response, Digestive Histology, and Survival of Nile Tilapia (Oreochromis niloticus Linnaeus, 1758) Juveniles before and after Aeromonas hydrophila Infection. Fishes. 2024; 9(10):390. https://doi.org/10.3390/fishes9100390
Chicago/Turabian StyleNdour, Paul M., Jean Fall, Maria J. Darias, Domenico Caruso, Marc Canonne, Elodie Pepey, Sophie Hermet, Sokhna K. L. Fall, Malick Diouf, and Samira Sarter. 2024. "Assessing the Effects of Guiera senegalensis, Pluchea odorata, and Piliostigma reticulatum Leaf Powder Supplementation on Growth, Immune Response, Digestive Histology, and Survival of Nile Tilapia (Oreochromis niloticus Linnaeus, 1758) Juveniles before and after Aeromonas hydrophila Infection" Fishes 9, no. 10: 390. https://doi.org/10.3390/fishes9100390
APA StyleNdour, P. M., Fall, J., Darias, M. J., Caruso, D., Canonne, M., Pepey, E., Hermet, S., Fall, S. K. L., Diouf, M., & Sarter, S. (2024). Assessing the Effects of Guiera senegalensis, Pluchea odorata, and Piliostigma reticulatum Leaf Powder Supplementation on Growth, Immune Response, Digestive Histology, and Survival of Nile Tilapia (Oreochromis niloticus Linnaeus, 1758) Juveniles before and after Aeromonas hydrophila Infection. Fishes, 9(10), 390. https://doi.org/10.3390/fishes9100390

