Purification and Characterization of Recombinant Expressed Apple Allergen Mal d 1
Abstract
1. Introduction
2. Experimental Design
2.1. Materials
- Plasmid DNA in a pET-28b(+) vector with resistance against kanamycin, cloning sites are NcoI (CCATGG) and XhoI (CTCGAG), insert size is 485 bp (Mal d 1), 488 bp (Mal d 1–His), (BioCat GmbH, Heidelberg, Germany, Lot: MF72741) The amino acid sequence for Mal d 1 is according to the protein Q9SYW3 found in UniProt database, and the gene codon was optimized for expression in E. coli. For the polyhistidine variant, some valine-alanine interchanges were performed;
- Escherichia coli BL21 star (DE3)pLysS (ThermoFisher Scientific, Waltham, MA, USA);
- Potassium chloride (Sigma-Aldrich, Taufkirchen, Germany)
- Magnesium chloride hexahydrate (Sigma-Aldrich, Taufkirchen, Germany);
- Sodium chloride (Sigma-Aldrich, Taufkirchen, Germany)
- Tris(2-carboxyethyl)phosphine hydrochloride (TCEP) (Sigma-Aldrich, Taufkirchen, Germany);
- Imidazole (Sigma-Aldrich, Taufkirchen, Germany);
- Glycerol (Sigma-Aldrich, Taufkirchen, Germany);
- Tryptone (Fisher Scientific, Waltham, MA, USA);
- Yeast Extract (Fisher Scientific, Waltham, MA, USA);
- Lysogeny broth (LB) Lennox agar, granulated (Fisher Scientific, Waltham, MA, USA);
- Kanamycin (VWR International, Radnor, PA, USA);
- Isopropyl-d-1-thiogalactopyranoside (IPTG) (Fisher Scientific, Waltham, MA, USA);
- Tris hydrochloride (Tris-HCl) (Fisher Scientific, Waltham, MA, USA);
- Urea (Invitrogen, Carlsbad, CA, USA);
- Page Ruler Prestained Protein Ladder (Serva Dual Color Protein Standard III, Heidelberg, Germany);
- SERVAGelTM TG PRiMETM 4–20%, 15 sample wells (Serva, Heidelberg, Germany, Lot V200051).
2.2. Equipment
- Autoclave Getinge sterilizer (Getinge AB, Göteborg, Sweden)
- Emulsiflex-C5 (Avestin, Ottawa, ON, Canada);
- ÄKTA purifier 10 (GE Healthcare Biosciences AB, Uppsala, Sweden);
- HisTrap™ FF, Ni Sepharose™ 6.5 mL (GE Healthcare, Buckinghamshire, UK);
- TOYOPEARLTM SuperQ-650S, strong anion exchange chromatography resin, SkillPakTM 5 mL columns, particle size distribution 20–50 μm (Tosoh Bioscience GmbH, Griesheim, Germany);
- TOYOPEARLTM GigaCap Q-650M, strong anion exchange chromatography resin, SkillPakTM 5 mL columns, particle size distribution and 50–100 μm (Tosoh Bioscience GmbH, Griesheim, Germany);
- Non-sterile polyethersulfon syringe filter, 0.2 µm (VWR, Radnor, PA, USA);
- Sterile polyethersulfon syringe filter, 0.2 µm (VWR, Radnor, PA, USA);
- Incubation shaker New Brunswick™ Excella® E24/E24R (Eppendorf, Hamburg, Germany);
- Viva spin Amicon Ultra-15 centrifugal filters, 10K cutoff (Millipore, Burlington, MA, USA);
- Labconco Freezone 12 Liter Console Freeze Dry System (Freeze-drying) (Labconco, Kansas City, MO, USA);
- Centrifuge Beckman Avanti J-26S XP (Beckman Coulter, Brea, CA, USA);
- Visible Spectrophotometer (JASCO, Easton, MD, USA; Cat. no.: V-730) for optical density (OD) determination;
- BMG reader SPECTROstar Nano equipped with an LVis Plate (680-101) and software version 5.50, and MARS version 3.33 for data analyses respectively (BMG Labtech; Ortenberg, Germany);
- GenPure UV/UF CAD plus Ultrapure Water Purification System (Thermo Fisher Scientific, Waltham, MA, USA);
- Thermomixer comfort (Eppendorf AG, Hamburg, Germany);
- SDS PAGE chamber Peqlab PerfectBlue Twin S, model 45–1010 (VWR, Radnor, PA, USA);
- SDS Gels SERVAGel TG PRiME, 4−12% (Serva, Heidelberg, Germany);
- J-815 circular dichroism spectrophotometer (Jasco Corporation, Tokyo, Japan) fitted with a PTC-423S Peltier-type single-position cell holder (Jasco; Essex, UK);
- Quartz cuvette with 0.1 mm path length (HellmaAnalytik, Mülheim, Germany);
- YMC-Triart C18 column (Cat. No. TA12S03-15; pore 12 nm, particle 3 μm, 150 mm length × 0.3 mm internal diameter);
- M3 MicroLC system (Sciex, Darmstadt, Germany);
- TripleTOF™ 6600 (Sciex, Darmstadt, Germany) coupled to the LC system by a DuoSpray™ Ion Source (Sciex).
3. Procedure
3.1. Preparation of Solutions
- 100 mM Tris Cl pH 7.5, containing 100 mM NaCl;
- 100 mM Tris Cl pH 7.5, containing 100 mM NaCl and 10 mM imidazole;
- 100 mM Tris Cl pH 7.5, containing 100 mM NaCl and 100 mM imidazole;
- 20 mM Tris Cl, pH 7.5 containing 1 M NaCl;
- 100 mM phosphate buffer pH 7.5;
- 1 M urea buffer, supplemented with 166.7 mM thiourea and 8 mM Tris Cl, pH 8.
3.2. Expression of r-Mal d 1 and r-Mal d 1-His
3.2.1. Transformation of pET-Mal d 1 Plasmid into Competent E. coli Cells
- The transformation is performed using the Heat Shock Method [19]
- To transform the plasmid into E. coli, thaw the frozen cells of competent BL21(DE3)pLysS (50 µL) on ice, add 2 µL of the plasmid (0.1 ng/mL) to the cells and mix gently.
- Incubate the mixture on ice for 30 min and then heat the tubes for 45 s in a thermo shaker at 42 °C and 180 rpm to enable the transformation of plasmid into the cells.
- After heating, place the tubes on ice for 2 min, inoculate the transformed bacteria into 500 µL of liquid LB media without any antibiotics and incubate the cells for 1 h at 37 °C and 180 rpm.
- Centrifuge the cell suspension, dispose the supernatant, resuspend the transformed cells in 200 µL LB media and spread the cells on solid LB agar plates containing 25 µg/mL kanamycin, and keep the plates overnight in the incubator at 37 °C.
3.2.2. Expression of Mal d 1 Protein by the Transformed E. coli
- Pick a colony, inoculate into 5 mL liquid LB and incubate at 37 °C and 180 rpm overnight.
- Add an aliquot of 600 µL of this starting culture to a 2 L no baffled flask containing 600 mL LB medium supplemented with 25 μg/mL kanamycin. Incubate flasks for each mutant at 37 °C and 180 rpm until an optical density (OD600) of 0.4–0.6 is reached.
- Start the overexpression of r-Mal d 1 by adding 0.5 mM isopropyl β-d-1-thiogalactopyranoside (IPTG) and incubate overnight at 25 °C and 180 rpm.
- After cell harvest by centrifugation at 4 °C (8980× g, 20 min), the washed cell pellets can be stored at −20 °C until further use.
3.2.3. Cell Lyses
- Resolve the cell pellet (200 mg/mL) in 20 mM Tris buffer pH 7.5, disrupt physically three times with an EmulsiFlex (>600 bar) in a cooling chamber and centrifuge (30 min, 40,000× g, 4 °C).
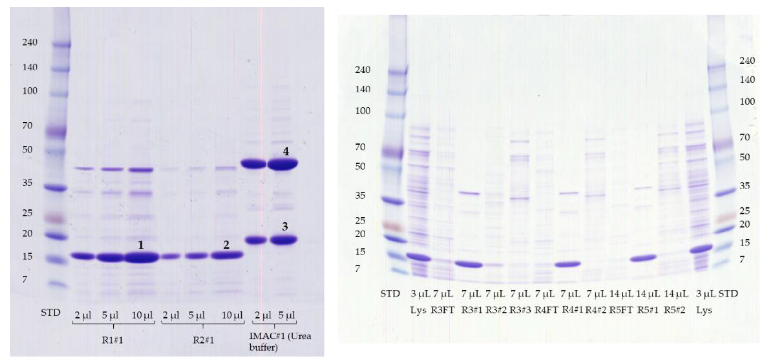
- Filter the supernatant (filter, 0.2 µm) and use the lysate immediately for purification by immobilized metal ion affinity chromatography (IMAC) on a HisTrap™ FF (r-Mal d 1–His) or by ion exchange chromatography (IEC) on a TOYOPEARLTM SkillPakTM column (r-Mal d 1).
3.3. Purification of r-Mal d 1
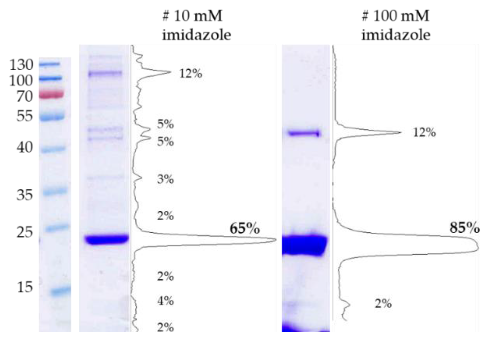
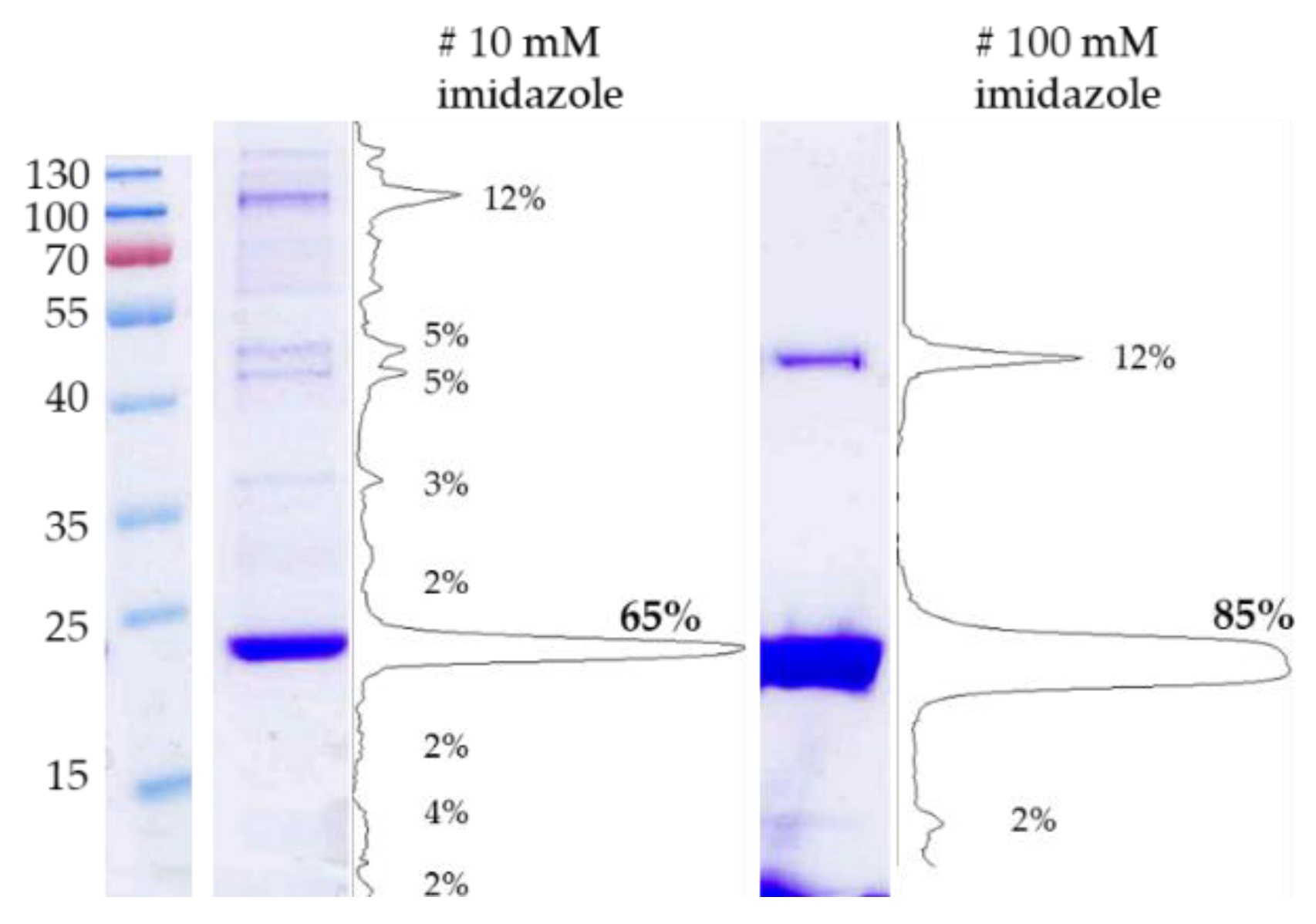
3.3.1. Purification of r-Mal d 1–His by Immobilized Metal ion Affinity Chromatography (IMAC)
- Add one column volume (CV, 5 mL) lysate on a Tris buffer conditioned HisTrap™ FF column and wash with three CVs of Tris buffer (100 mM Tris∙Cl buffer pH 7.5 containing 100 mM NaCl).
- Eluate with three CVs of Tris buffer containing 10 mM imidazole, followed by five CVs Tris buffer containing 100 mM imidazole and collect fractions corresponding to the column volume.
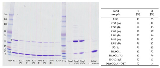
- Check the purity by SDS-PAGE gel analysis and combine the respective fractions with a r-Mal d 1 purity higher than 85%.
3.3.2. Purification of r-Mal d 1 by Ion-Exchange Chromatography (IEC)
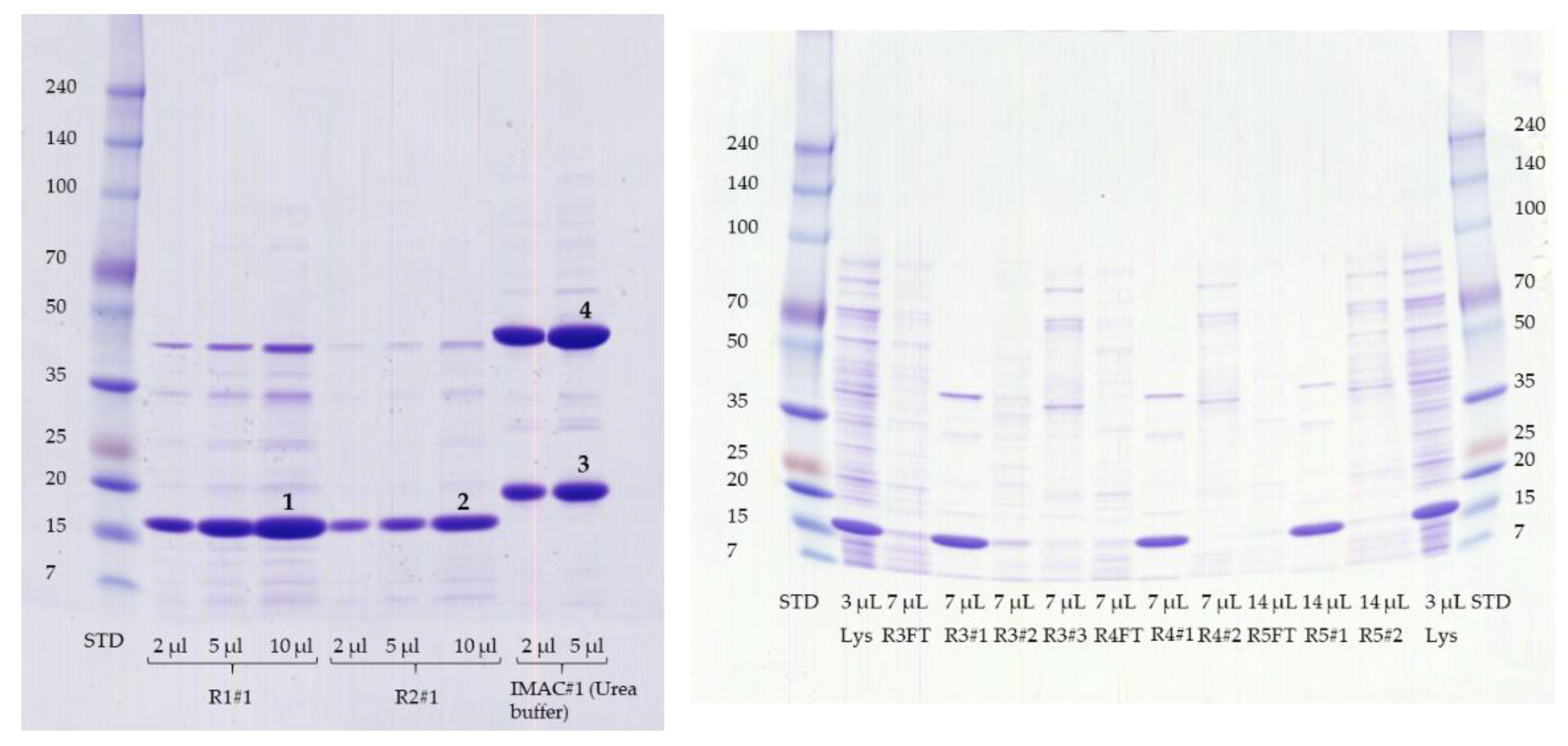
- Add 5 mL lysate (corresponds to 1 g cell pellet) on an equilibrated TOYOPEARLTM SuperQ-650S or GigaCap Q-650M SkillPakTM and eluate with a flow of 2 mL/min with 1M NaCl in 20 mM Tris buffer, pH 7.5 (eluent B) using the gradients 4 or 5 (defined in Table 1; run 5, dilute 2.5 mL lysate with 2.5 mL 20 mM Tris buffer to check for overloading in run 1–4).
- Collect the fractions according the UV absorption, check purity by SDS-PAGE gel analysis and combine all fractions with a r-Mal d 1 purity higher than 85%, exchange buffer if required and store in aliquots at −20 °C.
4. Expected Results
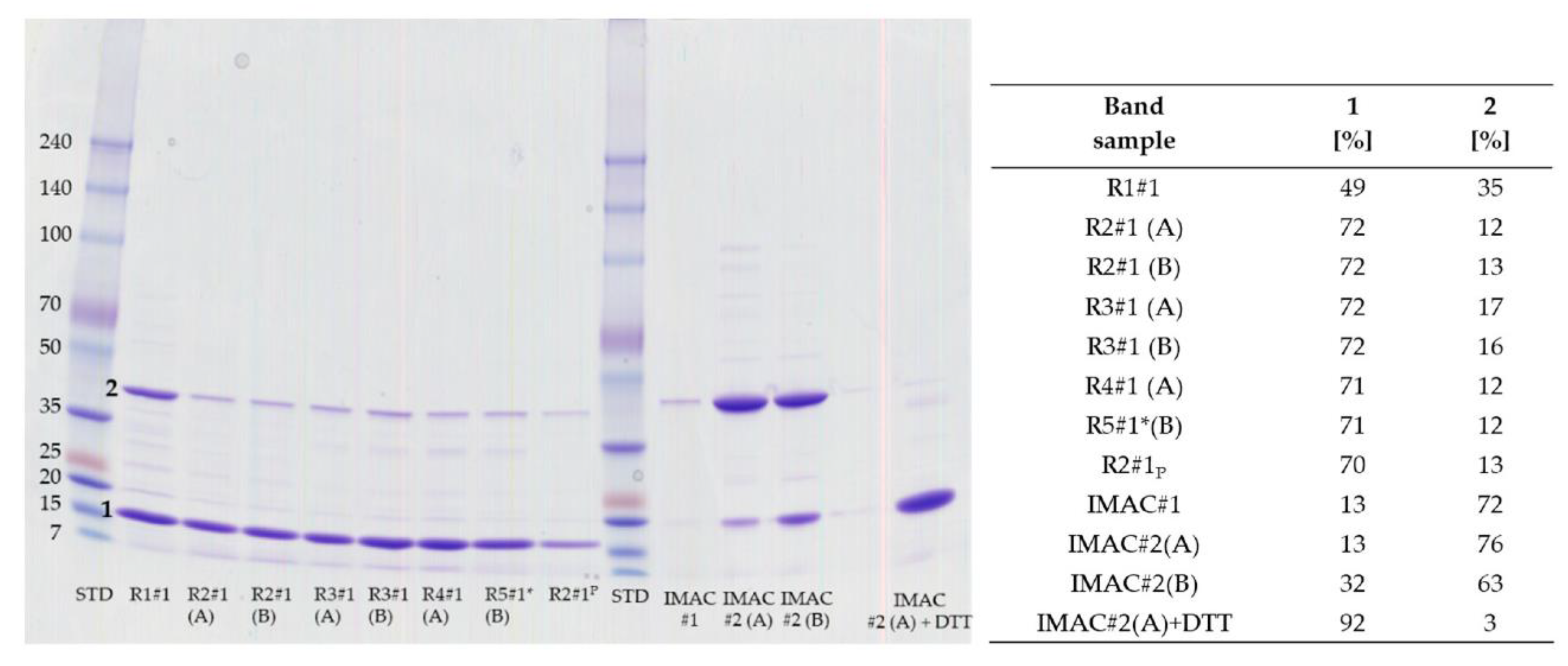
4.1. Quantity and Purity of the r-Mal d 1-His and r-Mal d 1
4.2. Characterization
4.2.1. Verification of r-Mal d 1 and Characterization of an Impurity Formed during Storage by Mass Spectrometry after in Gel Digestion
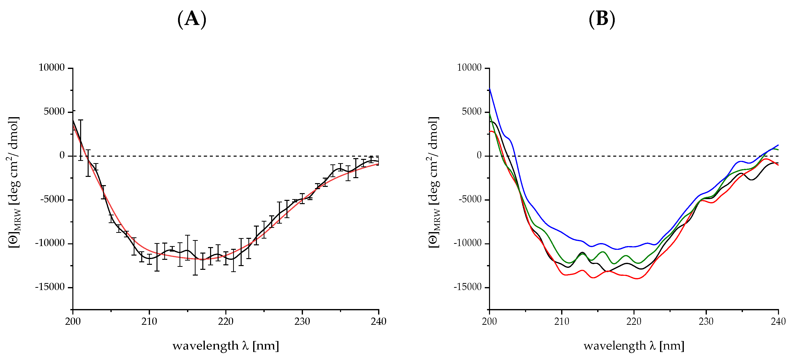
4.2.2. Verification of the Correct Folding by Circular Dichroism Spectroscopy
4.2.3. Impact of Storage Conditions and Freeze-Thawing Process on Dimer Formation
Author Contributions
Funding
Institutional Review Board Statement
Informed Consent Statement
Data Availability Statement
Acknowledgments
Conflicts of Interest
Appendix A

Appendix B. In-Gel Digestion
Appendix C. Mass Spectrometric Identification
Appendix D. CD Spectroscopy
| Secondary Structure Element [%] | t0A | t0B | t0B 3 | t2B | t5A | t5B | t10A | Average | SD |
|---|---|---|---|---|---|---|---|---|---|
| α-helix | 17 | 17 | 18 | 20 | 19 | 17 | 17 | 17.9 | 1.1 |
| β-sheet | 37 | 37 | 36 | 35 | 36 | 37 | 38 | 36.6 | 0.9 |
| turn | 19 | 19 | 19 | 19 | 19 | 19 | 21 | 19.3 | 0.7 |
| random | 28 | 27 | 26 | 26 | 27 | 27 | 24 | 26.4 | 1.2 |
References
- Hoffmann-Sommergruber, K. The SAFE project: ‘Plant food allergies: Field to table strategies for reducing their incidence in Europe’ an EC-funded study. Allergy 2005, 60, 436–442. [Google Scholar] [CrossRef] [PubMed]
- Ahammer, L.; Grutsch, S.; Kamenik, A.S.; Liedl, K.R.; Tollinger, M. Structure of the Major Apple Allergen Mal d 1. J. Agric. Food Chem. 2017, 65, 1606–1612. [Google Scholar] [CrossRef] [PubMed]
- Ahammer, L.; Grutsch, S.; Tollinger, M. NMR resonance assignments of the major apple allergen Mal d 1. Biomol. NMR Assign. 2016, 10, 287–290. [Google Scholar] [CrossRef] [PubMed]
- Holm, J.; Ferreras, M.; Ipsen, H.; Würtzen, P.A.; Gajhede, M.; Larsen, J.N.; Lund, K.; Spangfort, M.D. Epitope grafting, re-creating a conformational Bet v 1 antibody epitope on the surface of the homologous apple allergen Mal d 1. J. Biol. Chem. 2011, 286, 17569–17578. [Google Scholar] [CrossRef] [PubMed]
- Bergmann, K.-C. Beobachtungsstudie zur Apfelallergie am Allergie-Centrum der Berliner Charité für die Europäische Stiftung für Allergieforschung (ECARF) 1017. Available online: https://www.ecarf.org/presse/studie-alte-apfelsorten-lindern-allergie/ (accessed on 27 December 2020).
- Jenkins, J.A.; Griffiths-Jones, S.; Shewry, P.R.; Breiteneder, H.; Mills, E.N.C. Structural relatedness of plant food allergens with specific reference to cross-reactive allergens: An in silico analysis. J. Allergy Clin. Immunol. 2005, 115, 163–170. [Google Scholar] [CrossRef] [PubMed]
- Oberhuber, C.; Ma, Y.; Marsh, J.; Rigby, N.; Smole, U.; Radauer, C.; Alessandri, S.; Briza, P.; Zuidmeer, L.; Maderegger, B.; et al. Purification and characterisation of relevant natural and recombinant apple allergens. Mol. Nutr. Food Res. 2008, 52 (Suppl. 2), S208–S219. [Google Scholar] [CrossRef]
- Vlieg-Boerstra, B.J.; van de Weg, W.E.; van der Heide, S.; Kerkhof, M.; Arens, P.; Heijerman-Peppelman, G.; Dubois, A.E.J. Identification of low allergenic apple cultivars using skin prick tests and oral food challenges. Allergy 2011, 66, 491–498. [Google Scholar] [CrossRef]
- Bolhaar, S.T.H.P.; van de Weg, W.E.; van Ree, R.; Gonzalez-Mancebo, E.; Zuidmeer, L.; Bruijnzeel-Koomen, C.A.F.M.; Fernandez-Rivas, M.; Jansen, J.; Hoffmann-Sommergruber, K.; Knulst, A.C.; et al. In vivo assessment with prick-to-prick testing and double-blind, placebo-controlled food challenge of allergenicity of apple cultivars. J. Allergy Clin. Immunol. 2005, 116, 1080–1086. [Google Scholar] [CrossRef]
- Matthes, A.; Schmitz-Eiberger, M. Apple (Malus domestica L. Borkh.) allergen Mal d 1: Effect of cultivar, cultivation system, and storage conditions. J. Agric. Food Chem. 2009, 57, 10548–10553. [Google Scholar] [CrossRef]
- Asero, R.; Marzban, G.; Martinelli, A.; Zaccarini, M.; Machado, M.L.d.C. Search for low-allergenic apple cultivars for birch-pollen-allergic patients: Is there a correlation between in vitro assays and patient response? Eur. Ann. Allergy Clin. Immunol. 2006, 38, 94–98. [Google Scholar]
- Romer, E.; Chebib, S.; Bergmann, K.-C.; Plate, K.; Becker, S.; Ludwig, C.; Meng, C.; Fischer, T.; Dierend, W.; Schwab, W. Tiered approach for the identification of Mal d 1 reduced, well tolerated apple genotypes. Sci. Rep. 2020, 10, 9144. [Google Scholar] [CrossRef] [PubMed]
- Garcia, A.; Wichers, J.H.; Wichers, H.J. Decrease of the IgE-binding by Mal d 1, the major apple allergen, by means of polyphenol oxidase and peroxidase treatments. Food Chem. 2007, 103, 94–100. [Google Scholar] [CrossRef]
- Kiewning, D.; Wollseifen, R.; Schmitz-Eiberger, M. The impact of catechin and epicatechin, total phenols and PPO activity on the Mal d 1 content in apple fruit. Food Chem. 2013, 140, 99–104. [Google Scholar] [CrossRef] [PubMed]
- Kschonsek, J.; Dietz, A.; Wiegand, C.; Hipler, U.-C.; Böhm, V. Allergenicity of apple allergen Mal d 1 as effected by polyphenols and polyphenol oxidase due to enzymatic browning. LWT 2019, 113, 108289. [Google Scholar] [CrossRef]
- Haka, J.; Niemi, M.H.; Iljin, K.; Reddy, V.S.; Takkinen, K.; Laukkanen, M.-L. Isolation of Mal d 1 and Api g 1—Specific recombinant antibodies from mouse IgG Fab fragment libraries—Mal d 1-specific antibody exhibits cross-reactivity against Bet v 1. BMC Biotechnol. 2015, 15, 34. [Google Scholar] [CrossRef] [PubMed]
- Ma, Y.; Gadermaier, G.; Bohle, B.; Bolhaar, S.; Knulst, A.; Markovic-Housley, Z.; Breiteneder, H.; Briza, P.; Hoffmann-Sommergruber, K.; Ferreira, F. Mutational analysis of amino acid positions crucial for IgE-binding epitopes of the major apple (Malus domestica) allergen, Mal d 1. Int. Arch. Allergy Immunol. 2006, 139, 53–62. [Google Scholar] [CrossRef]
- Roulias, A.; Pichler, U.; Hauser, M.; Himly, M.; Hofer, H.; Lackner, P.; Ebner, C.; Briza, P.; Bohle, B.; Egger, M.; et al. Differences in the intrinsic immunogenicity and allergenicity of Bet v 1 and related food allergens revealed by site-directed mutagenesis. Allergy 2014, 69, 208–215. [Google Scholar] [CrossRef]
- van Die, I.M.; Bergmans, H.E.; Hoekstra, W.P. Transformation in Escherichia coli: Studies on the role of the heat shock in induction of competence. J. Gen. Microbiol. 1983, 129, 663–670. [Google Scholar] [CrossRef]
- Schindelin, J.; Arganda-Carreras, I.; Frise, E.; Kaynig, V.; Longair, M.; Pietzsch, T.; Preibisch, S.; Rueden, C.; Saalfeld, S.; Schmid, B.; et al. Fiji: An open-source platform for biological-image analysis. Nat. Methods 2012, 9, 676–682. [Google Scholar] [CrossRef]
- Provencher, S.W.; Glöckner, J. Estimation of globular protein secondary structure from circular dichroism. Biochemistry 1981, 20, 33–37. [Google Scholar] [CrossRef]
- Shevchenko, A.; Tomas, H.; Havlis, J.; Olsen, J.V.; Mann, M. In-gel digestion for mass spectrometric characterization of proteins and proteomes. Nat. Protoc. 2006, 1, 2856–2860. [Google Scholar] [CrossRef] [PubMed]









| Run | Lysate [mL] | Column | Gradient 1 |
|---|---|---|---|
| 1 | 5 | TOYOPEARLTM SuperQ-650S | linear, 1.5 mL/min, 0 to 100% B for 15 CVs |
| 2 | 5 | TOYOPEARLTM GigaCap Q-650M | linear, 2 mL/min, 0 to 100% B for 20 CVs |
| 3 | 5 | TOYOPEARLTM GigaCap Q-650M | linear, 2 mL/min, 0 to 100% B for 25 CVs |
| 4 | 5 | TOYOPEARLTM GigaCap Q-650M | stepwise, 2 mL/min, 13 % B for 5 CV, 100% for 5 CVs |
| 5 | 2.5 | TOYOPEARLTM GigaCap Q-650M | stepwise, 2 mL/min, 10 % B for 5 CV, 100% for 5 CVs |
| Run | Volume 1 [mL] | Concentration 1 [mg/mL] | Yield Mal d 1 2 [mg/Clean Up Step] |
|---|---|---|---|
| IMAC#1 3 | 12.5 | 10.4 | 130 5 |
| IMAC#2 4 | 25 | 14.4 | 360 5 |
| 1 | 5 | 2.9 | 14.5 6 |
| 2 | 16 | 2.0 | 32.0 6 |
| 3 | 14 | 3.0 | 42.0 6 |
| 4 | 18 | 2.9 7 | 52.2 6 |
| 5 | 18 | 1.3 7 | 23.4 8 |
Publisher’s Note: MDPI stays neutral with regard to jurisdictional claims in published maps and institutional affiliations. |
© 2020 by the authors. Licensee MDPI, Basel, Switzerland. This article is an open access article distributed under the terms and conditions of the Creative Commons Attribution (CC BY) license (http://creativecommons.org/licenses/by/4.0/).
Share and Cite
Kaeswurm, J.A.H.; Nestl, B.; Richter, S.M.; Emperle, M.; Buchweitz, M. Purification and Characterization of Recombinant Expressed Apple Allergen Mal d 1. Methods Protoc. 2021, 4, 3. https://doi.org/10.3390/mps4010003
Kaeswurm JAH, Nestl B, Richter SM, Emperle M, Buchweitz M. Purification and Characterization of Recombinant Expressed Apple Allergen Mal d 1. Methods and Protocols. 2021; 4(1):3. https://doi.org/10.3390/mps4010003
Chicago/Turabian StyleKaeswurm, Julia A. H., Bettina Nestl, Sven M. Richter, Max Emperle, and Maria Buchweitz. 2021. "Purification and Characterization of Recombinant Expressed Apple Allergen Mal d 1" Methods and Protocols 4, no. 1: 3. https://doi.org/10.3390/mps4010003
APA StyleKaeswurm, J. A. H., Nestl, B., Richter, S. M., Emperle, M., & Buchweitz, M. (2021). Purification and Characterization of Recombinant Expressed Apple Allergen Mal d 1. Methods and Protocols, 4(1), 3. https://doi.org/10.3390/mps4010003

