Prevalence, Persistence and Microscopic Aspects of the Vomeronasal Organ in Normal versus Embryos with Chromosomal Abnormalities
Abstract
Introduction
Evolutionary Stages of the VNO Development
Materials and Methods
Results
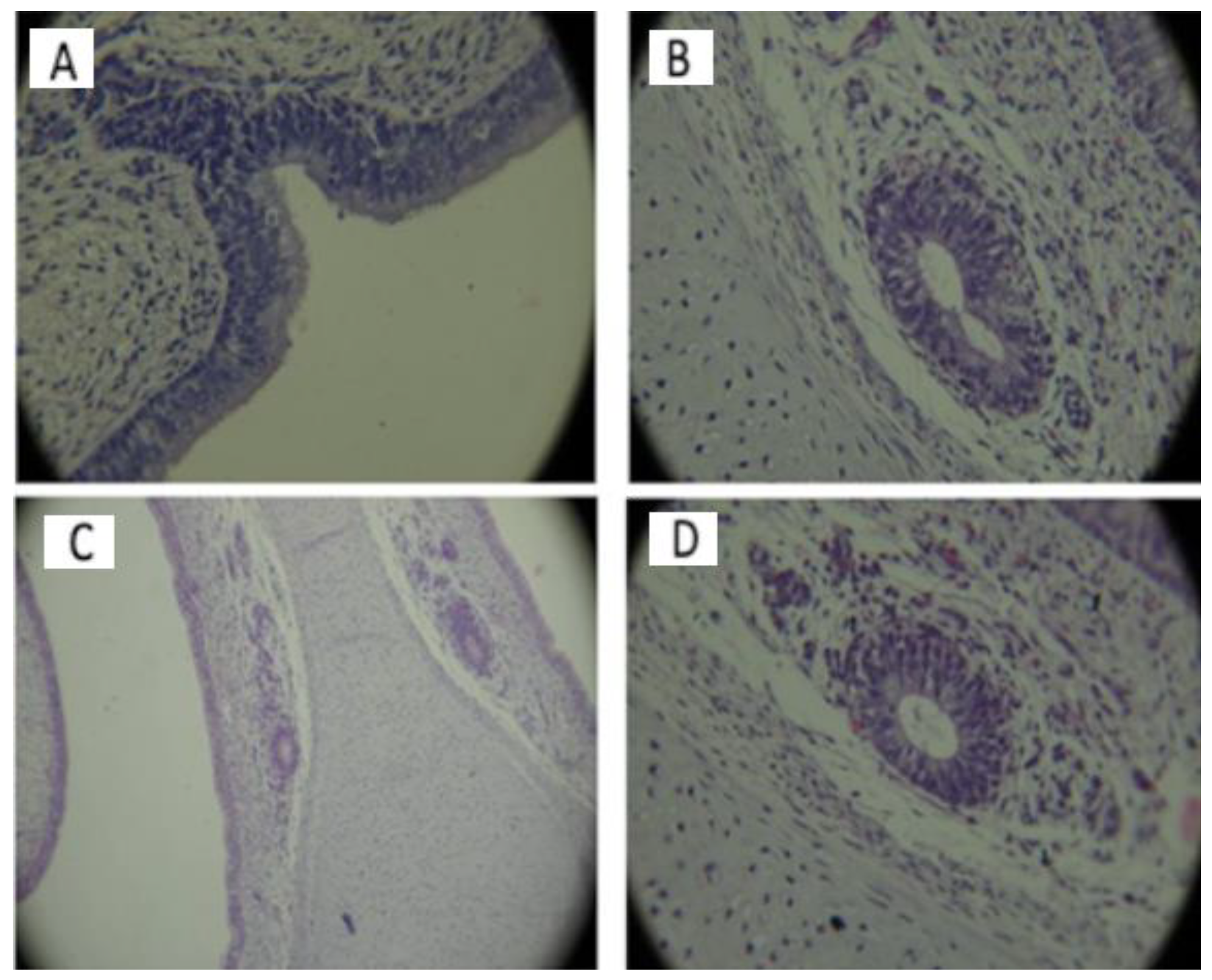
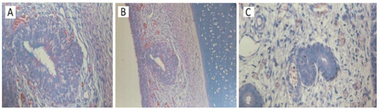
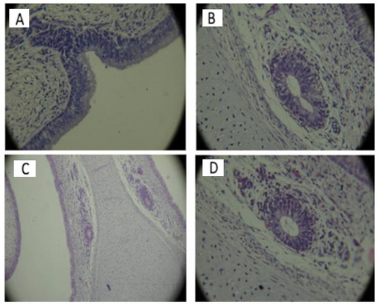
Histological Aspects of the VNO in Normal and Abnormal Embryos and Fetuses
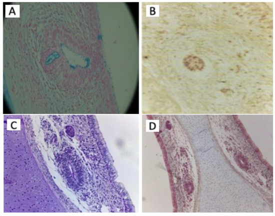
Immunohistochemical Study of the VNO in Normal and Abnormal Embryos and Fetuses
Discussions
Conclusions
Author Contributions
Informed Consent Statement
Conflicts of Interest
References
- Bruintjes, T.D.; Bleys, R.L.A.W. The clinical significance of the human vomeronasal organ. Surg. Radiol. Anat. 2023, 45, 457–460. [Google Scholar] [CrossRef] [PubMed]
- Katreddi, R.R.; Forni, P.E. Mechanisms underlying pre-and postnatal development of the vomeronasal organ. Cell. Mol. Life Sci. 2021, 78, 5069–5082. [Google Scholar] [CrossRef] [PubMed]
- Stoyanov, G.S.; Sapundzhiev, N.R.; Tonchev, A.B. The vomeronasal organ: history, development, morphology, and functional neuroanatomy. Handbook Clin. Neurol. 2021, 182, 283–291. [Google Scholar]
- Vasuki, A.K.; Fenn, T.K.; Devi, M.N.; Hebzibah, T.D.; Jamuna, M.; Sundaram, K.K. Fate and Development of Human Vomeronasal Organ – A Microscopic Fetal Study. J. Clin. Diagn. Res. 2016, 10, AC08–11. [Google Scholar] [CrossRef] [PubMed]
- Trotier, D.; Eloit, C.; Wassef, M.; Talmain, G.; Bensimon, J.; Døving, K.; Ferrand, J. The Vomeronasal Cavity in Adult Humans. Chem. Senses 2000, 25, 369–380. [Google Scholar] [CrossRef]
- Trotier, D. Vomeronasal organ and human pheromones. Eur. Ann. Otorhinolaryngol. Head Neck Dis. 2011, 128, 184–190. [Google Scholar] [CrossRef]
- Bordoni, B.; Zanier, E. Cranial nerves XIII and XIV: nerves in the shadows. J. Multidiscip. Heal. 2013, 6, 87–91. [Google Scholar] [CrossRef]
- Tucker, E.S.; Lehtinen, M.K.; Maynard, T.; Zirlinger, M.; Dulac, C.; Rawson, N.; Pevny, L.; LaMantia, A.-S. Proliferative and transcriptional identity of distinct classes of neural precursors in the mammalian olfactory epithelium. Development 2010, 137, 2471–2481. [Google Scholar] [CrossRef]
- Taroc, E.Z.M.; Prasad, A.; Lin, J.M.; Forni, P.E. The terminal nerve plays a prominent role in GnRH-1 neuronal migration independent from proper olfactory and vomeronasal connections to the olfactory bulbs. Biol. Open 2017, 6, 1552–1568. [Google Scholar] [CrossRef]
- Beites, C.L.; Kawauchi, S.; Calof, A.L. Olfactory Neuron Patterning and Specification. Dev Neurobiol. 2009, 7, 145–156. [Google Scholar] [CrossRef]
- Bhatnagar, K.P.; Smith, T.D. The human vomeronasal organ. III. Postnatal development from infancy to the ninth decade. Am. J. Anat. 2001, 199(Pt. 3), 289–302. [Google Scholar] [CrossRef]
- Døving, K.B.; Trotier, D. Structure and function of the vomeronasal organ. J. Exp. Biol. 1998, 201(Pt. 21), 2913–2925. [Google Scholar] [CrossRef]
- Cochard, P.; Paulin, D. Initial expression of neurofilaments and vimentin in the central and peripheral nervous system of the mouse embryo in vivo. J. Neurosci. 1984, 4, 2080–2094. [Google Scholar] [CrossRef] [PubMed]
- Tapscott, S.J.; Bennett, G.S.; Holtzer, H. Neuronal precursor cells in the chick neural tube express neurofilament proteins. Nature 1981, 292, 836–838. [Google Scholar] [CrossRef] [PubMed]
- Gorecki, G.P.; Balalau, O.D.; Comandasu, D.E.; Stanescu, A.D.; Tomescu, D.R. Best therapeutic practices in the management of obstetric sepsis. J. Mind Med Sci. 2023, 10, 304–311. [Google Scholar] [CrossRef]
- Takami, S.; Getchell, M.L.; Chen, Y.; Monti-Bloch, L.; Berliner, D.L.; Stensaas, L.J.; Getchell, T.V. Vomeronasal epithelial cells of the adult human express neuron-specific molecules. NeuroReport 1993, 4, 375–378. [Google Scholar] [CrossRef]
- De Camilli, P.; Vitadello, M.; Canevini, M.; Zanoni, R.; Jahn, R.; Gorio, A. The synaptic vesicle proteins synapsin I and synaptophysin (protein P38) are concentrated both in efferent and afferent nerve endings of the skeletal muscle. J. Neurosci. 1988, 8, 1625–1631. [Google Scholar] [CrossRef]
- Motofei, I.G. Biology of cancer; from cellular and molecular mechanisms to developmental processes and adaptation. Semin. Cancer Biol. 2021, 86(Pt. 3), 600–615. [Google Scholar] [CrossRef]
- Nobels, F.R.; Kwekkeboom, D.J.; Bouillon, R.; Lamberts, S.W. Chromogranin A: its clinical value as marker of neuroendocrine tumours. Eur. J. Clin. Invest. 1998, 28, 431–440. [Google Scholar] [CrossRef]
- Balalau, D.O.; Augustin, F.-E.; Bogheanu, D.-M.; Negulescu, A.-G.; Sima, R.-M.; Dumitriu, A.S.; Paunica, S.; Ples, L. Recurrent pregnancy loss -a life changing condition for women. J. Mind Med Sci. 2023, 10, 8–14. [Google Scholar] [CrossRef]
- Dénes, L.; Pap, Z.; Szántó, A.; Gergely, I.; Pop, T.S. Human vomeronasal epithelium development: An immunohistochemical overview. Acta Microbiol. Et Immunol. Hung. 2015, 62, 167–181. [Google Scholar] [CrossRef] [PubMed]
- Schäfer, B.W.; Heizmann, C.W. The S100 family of EF-hand calcium-binding proteins: functions and pathology. Trends Biochem. Sci. 1996, 21, 134–140. [Google Scholar] [CrossRef] [PubMed]
- Marini, M.; Manetti, M.; Sgambati, E. Immunolocalization of VEGF/VEGFR system in human fetal vomeronasal organ during early development. Acta Histochem. 2019, 121, 94–100. [Google Scholar] [CrossRef]
- Balalau, O.D.; Loghin, M.G.; Bogheanu, D.M.; Bacalbasa, N.; Stanescu, A.D.; Bălan, D.G.; Păunică, I.; Olaru, O.G. Management of systemic lupus erythematosus in pregnancy. J. Mind Med Sci. 2022, 9, 236–241. [Google Scholar] [CrossRef]
- Kasari, C.; Freeman, S.F.N. Task-Related Social Behavior in Children With Down Syndrome. Am. J. Ment. Retard. 2001, 106, 253–64. [Google Scholar] [CrossRef]
- Lioubinski, O.; Alonso, M.T.; Alvarez, Y.; Vendrell, V.; Garrosa, M.; Murphy, P.; Schimmang, T. FGF signalling controls expression of vomeronasal receptors during embryogenesis. Mech. Dev. 2006, 123, 17–23. [Google Scholar] [CrossRef]
- Witt, M.; Hummel, T. Vomeronasal versus olfactory epithelium: is there a cellular basis for human vomeronasal perception? Int Rev Cytol. 2006, 248, 209–259. [Google Scholar] [CrossRef]






![]() |
![]() |
![]() |
© 2024 by the authors. 2024 Carmen Constantina Martinescu, Marius Alexandru Moga, Codrut Ioan Ciurea, Lorena Dima, Liana Ples, Andreea Neculau.
Share and Cite
Martinescu, C.C.; Moga, M.A.; Ciurea, C.I.; Dima, L.; Ples, L.; Neculau, A. Prevalence, Persistence and Microscopic Aspects of the Vomeronasal Organ in Normal versus Embryos with Chromosomal Abnormalities. J. Mind Med. Sci. 2024, 11, 123-131. https://doi.org/10.22543/2392-7674.1479
Martinescu CC, Moga MA, Ciurea CI, Dima L, Ples L, Neculau A. Prevalence, Persistence and Microscopic Aspects of the Vomeronasal Organ in Normal versus Embryos with Chromosomal Abnormalities. Journal of Mind and Medical Sciences. 2024; 11(1):123-131. https://doi.org/10.22543/2392-7674.1479
Chicago/Turabian StyleMartinescu, Carmen Constantina, Marius Alexandru Moga, Codrut Ioan Ciurea, Lorena Dima, Liana Ples, and Andreea Neculau. 2024. "Prevalence, Persistence and Microscopic Aspects of the Vomeronasal Organ in Normal versus Embryos with Chromosomal Abnormalities" Journal of Mind and Medical Sciences 11, no. 1: 123-131. https://doi.org/10.22543/2392-7674.1479
APA StyleMartinescu, C. C., Moga, M. A., Ciurea, C. I., Dima, L., Ples, L., & Neculau, A. (2024). Prevalence, Persistence and Microscopic Aspects of the Vomeronasal Organ in Normal versus Embryos with Chromosomal Abnormalities. Journal of Mind and Medical Sciences, 11(1), 123-131. https://doi.org/10.22543/2392-7674.1479


