Significance of Postprocedural Contrast Medium Injection after CT-Guided Abscess Drainage
Abstract
1. Introduction
2. Materials and Methods
2.1. Patients
2.2. Drainage Procedure
2.3. Subgroup Selection
2.4. Radiation Exposure
2.5. Data Processing
3. Results
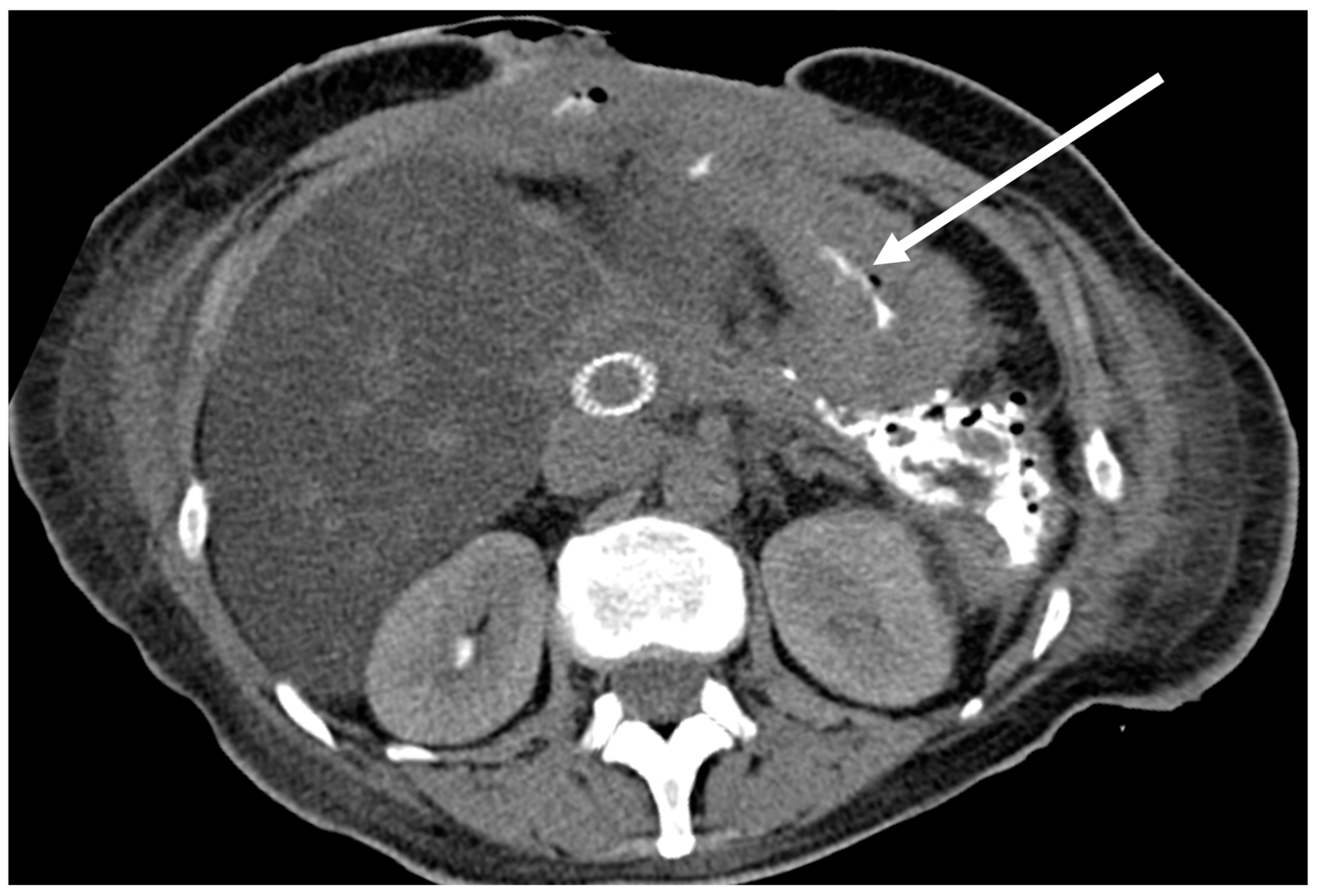
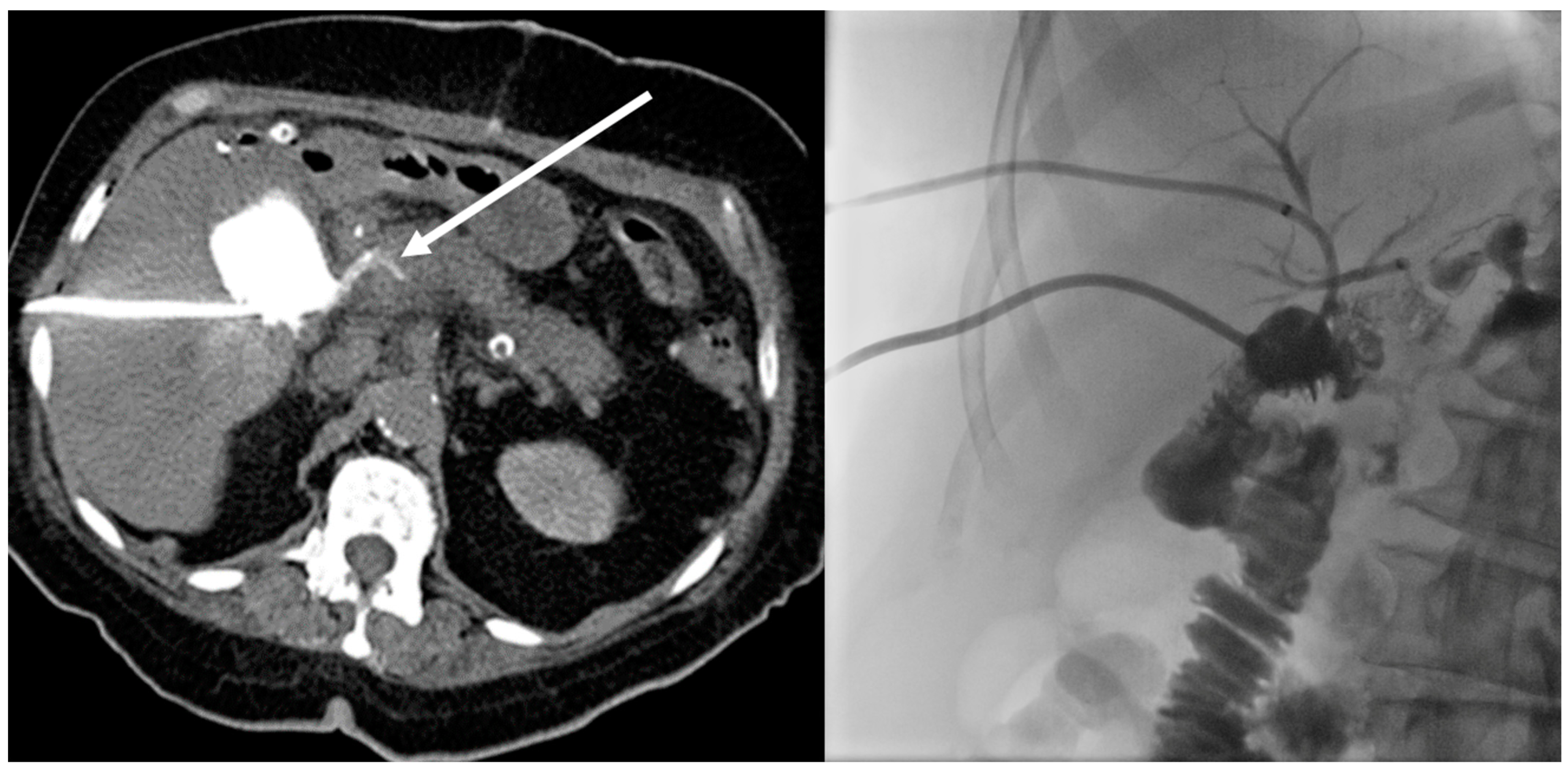
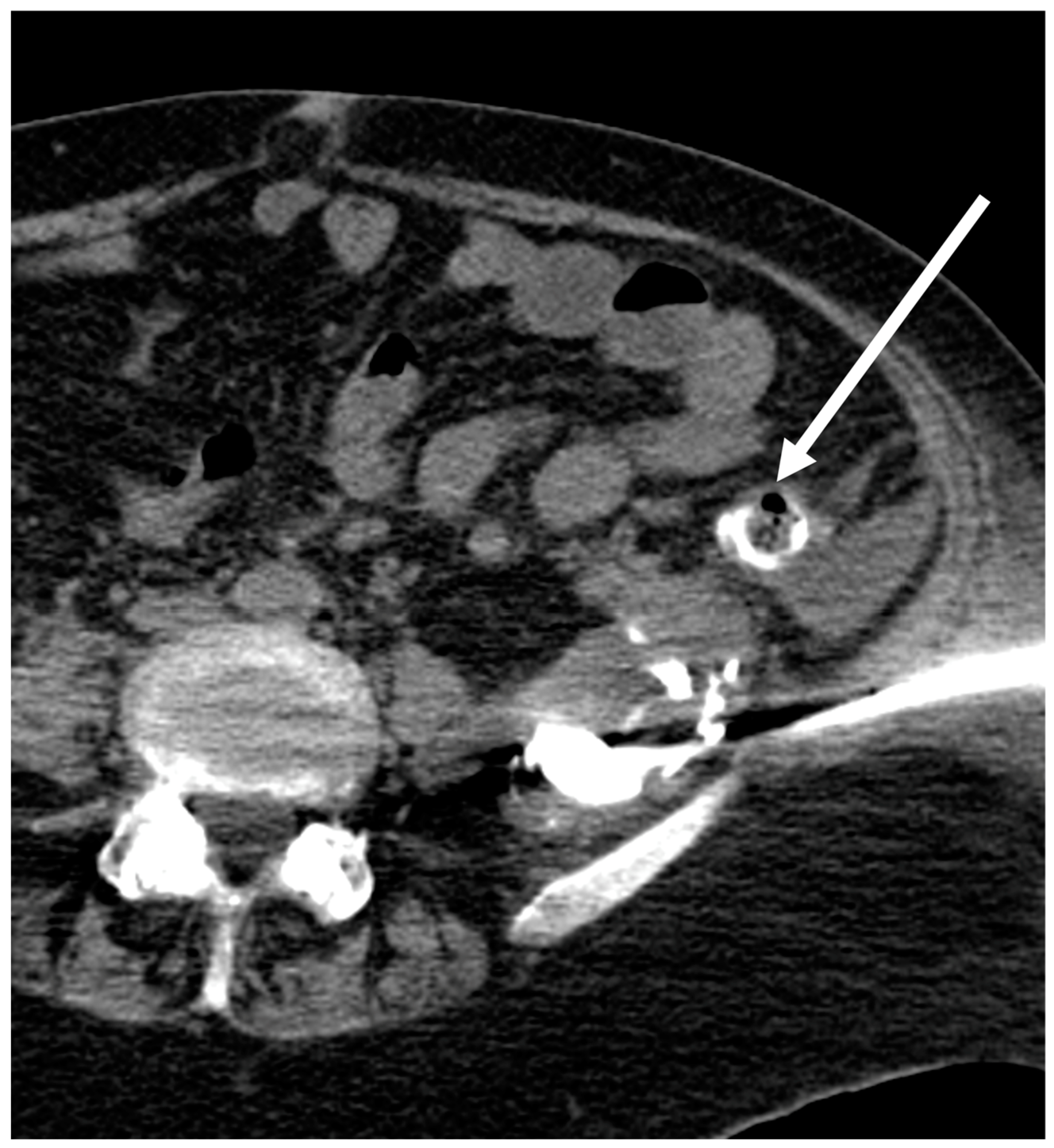
4. Discussion
5. Conclusions
Author Contributions
Funding
Institutional Review Board Statement
Informed Consent Statement
Data Availability Statement
Conflicts of Interest
References
- Montgomery, R.S.; Wilson, S.E. Intraabdominal abscesses: Image-guided diagnosis and therapy. Clin. Infect. Dis. 1996, 23, 28–36. [Google Scholar] [CrossRef][Green Version]
- Jaffe, T.A.; Nelson, R.C. Image-guided percutaneous drainage: A review. Abdom. Radiol. 2016, 41, 629–636. [Google Scholar] [CrossRef]
- Harisinghani, M.G.; Gervais, D.A.; Hahn, P.F.; Cho, C.H.; Jhaveri, K.; Varghese, J.; Mueller, P.R. CT-guided transgluteal drainage of deep pelvic abscesses: Indications, technique, procedure-related complications, and clinical outcome. Radiographics 2002, 22, 1353–1367. [Google Scholar] [CrossRef]
- Lardiere-Deguelte, S.; Ragot, E.; Amroun, K.; Piardi, T.; Dokmak, S.; Bruno, O.; Appere, F.; Sibert, A.; Hoeffel, C.; Sommacale, D.; et al. Hepatic abscess: Diagnosis and management. J. Visc. Surg. 2015, 152, 231–243. [Google Scholar] [CrossRef]
- Ulitzsch, D.; Nyman, M.K.; Carlson, R.A. Breast abscess in lactating women: US-guided treatment. Radiology 2004, 232, 904–909. [Google Scholar] [CrossRef]
- Gervais, D.A.; Brown, S.D.; Connolly, S.A.; Brec, S.L.; Harisinghani, M.G.; Mueller, P.R. Percutaneous imaging-guided abdominal and pelvic abscess drainage in children. Radiographics 2004, 24, 737–754. [Google Scholar] [CrossRef]
- Butch, R.J.; Mueller, P.R.; Ferrucci, J.T., Jr.; Wittenberg, J.; Simeone, J.F.; White, E.M.; Brown, A.S. Drainage of pelvic abscesses through the greater sciatic foramen. Radiology 1986, 158, 487–491. [Google Scholar] [CrossRef]
- Harisinghani, M.G.; Gervais, D.A.; Maher, M.M.; Cho, C.H.; Hahn, P.F.; Varghese, J.; Mueller, P.R. Transgluteal approach for percutaneous drainage of deep pelvic abscesses: 154 cases. Radiology 2003, 228, 701–705. [Google Scholar] [CrossRef]
- Kauv, P.; Benadjaoud, S.; Curis, E.; Boulay-Coletta, I.; Loriau, J.; Zins, M. Anastomotic leakage after colorectal surgery: Diagnostic accuracy of CT. Eur. Radiol. 2015, 25, 3543–3551. [Google Scholar] [CrossRef]
- Arend, J.; Schutte, K.; Weigt, J.; Wolff, S.; Schittek, U.; Peglow, S.; Mohnike, K.; Benckert, C.; Bruns, C. Biliary leaks after liver resection. Prevention and treatment. Chirurg 2015, 86, 132–138. [Google Scholar] [CrossRef]
- Xu, K.; Chen, S.; Bian, W.; Xie, H.; Ma, H.; Ni, B. Digital subtraction angiography-guided esophagography, intraluminal drainage, and endoscopic clipping-complex managements for intrathoracic esophagogastric anastomotic leak. J. Surg. Res. 2016, 204, 68–74. [Google Scholar] [CrossRef]
- Thompson, C.M.; Saad, N.E.; Quazi, R.R.; Darcy, M.D.; Picus, D.D.; Menias, C.O. Management of iatrogenic bile duct injuries: Role of the interventional radiologist. Radiographics 2013, 33, 117–134. [Google Scholar] [CrossRef]
- Belair, M.; Gianfelice, D.; Lepanto, L. Computed tomographic abscessogram: A useful tool for evaluation of percutaneous abscess drainage. Can. Assoc. Radiol. J. 1998, 49, 336–343. [Google Scholar]
- Chen, Y.J.; Mao, R.; Xie, X.H.; Chen, B.L.; He, Y.; Xu, M.; Zeng, Z.R.; Ben-Horin, S.; Chen, M.H.; Xie, X.Y. Intracavitary Contrast-enhanced Ultrasonography to Detect Enterovesical Fistula in Crohn’s Disease. Gastroenterology 2016, 150, 315–317. [Google Scholar] [CrossRef]
- Ignee, A.; Jenssen, C.; Cui, X.W.; Schuessler, G.; Dietrich, C.F. Intracavitary contrast-enhanced ultrasound in abscess drainage--feasibility and clinical value. Scand. J. Gastroenterol. 2016, 51, 41–47. [Google Scholar] [CrossRef]
- Puylaert, J.B. Ultrasound of colon diverticulitis. Dig. Dis. 2012, 30, 56–59. [Google Scholar] [CrossRef]
- Liang, C.; Lu, Y.; Zhao, B.; Du, Y.; Wang, C.; Jiang, W. Imaging of anal fistulas: Comparison of computed tomographic fistulography and magnetic resonance imaging. Korean J. Radiol. 2014, 15, 712–723. [Google Scholar] [CrossRef]
- Tio, T.L.; Mulder, C.J.; Wijers, O.B.; Sars, P.R.; Tytgat, G.N. Endosonography of peri-anal and peri-colorectal fistula and/or abscess in Crohn’s disease. Gastrointest. Endosc. 1990, 36, 331–336. [Google Scholar]
- Chandrashekhara, S.H.; Gamanagatti, S.; Singh, A.; Bhatnagar, S. Current Status of Percutaneous Transhepatic Biliary Drainage in Palliation of Malignant Obstructive Jaundice: A Review. Indian J. Palliat. Care 2016, 22, 378–387. [Google Scholar] [CrossRef]
- Kloek, J.J.; van der Gaag, N.A.; Aziz, Y.; Rauws, E.A.; van Delden, O.M.; Lameris, J.S.; Busch, O.R.; Gouma, D.J.; van Gulik, T.M. Endoscopic and percutaneous preoperative biliary drainage in patients with suspected hilar cholangiocarcinoma. J. Gastrointest. Surg. 2010, 14, 119–125. [Google Scholar] [CrossRef]
- Deak, P.D.; Smal, Y.; Kalender, W.A. Multisection CT protocols: Sex- and age-specific conversion factors used to determine effective dose from dose-length product. Radiology 2010, 257, 158–166. [Google Scholar] [CrossRef] [PubMed]
- Donner, A.; Klar, N. Methods for comparing event rates in intervention studies when the unit of allocation is a cluster. Am. J. Epidemiol. 1994, 140, 279–289; Discussion 300-1. [Google Scholar] [CrossRef]
- Xu, E.J.; Zhang, M.; Li, K.; Su, Z.Z.; Long, Y.L.; Zeng, Q.J.; Guo, H.Y.; Zheng, R.Q. Intracavitary Contrast-Enhanced Ultrasound in the Management of Post-Surgical Gastrointestinal Fistulas. Ultrasound Med. Biol. 2018, 44, 502–507. [Google Scholar] [CrossRef] [PubMed]
- Ravindra, K.V.; Sikora, S.S.; Kumar, A.; Kapoor, V.K.; Saxena, R.; Kaushik, S.P. Colonic necrosis is an adverse prognostic factor in pancreatic necrosis. Br. J. Surg. 1995, 82, 109–110. [Google Scholar] [CrossRef] [PubMed]
- Schwartz, D.A.; Loftus, E.V., Jr.; Tremaine, W.J.; Panaccione, R.; Harmsen, W.S.; Zinsmeister, A.R.; Sandborn, W.J. The natural history of fistulizing Crohn’s disease in Olmsted County, Minnesota. Gastroenterology 2002, 122, 875–880. [Google Scholar] [CrossRef]
- Tyberg, A.; Karia, K.; Gabr, M.; Desai, A.; Doshi, R.; Gaidhane, M.; Sharaiha, R.Z.; Kahaleh, M. Management of pancreatic fluid collections: A comprehensive review of the literature. World J. Gastroenterol. 2016, 22, 2256–2270. [Google Scholar] [CrossRef]
- Albrecht, M.H.; Nance, J.W.; Schoepf, U.J.; Jacobs, B.E.; Bayer, R.R.; Litwin, S.E.; Reynolds, M.A.; Otani, K.; Mangold, S.; Varga-Szemes, A.; et al. Diagnostic accuracy of low and high tube voltage coronary CT angiography using an X-ray tube potential-tailored contrast medium injection protocol. Eur. Radiol. 2018, 28, 2134–2142. [Google Scholar] [CrossRef]
- Ahn, S.; Lee, Y.S.; Lim, K.S.; Lee, J.L. Malignant biliary obstructions: Can we predict immediate postprocedural cholangitis after percutaneous biliary drainage? Support. Care Cancer 2013, 21, 2321–2326. [Google Scholar] [CrossRef]




| Drains in Patients with Prior Surgery | Drains in Patients without Prior Surgery | Significance | |
|---|---|---|---|
| Drains flushed with CM | 120 | 77 | n/a |
| Additional imaging findings based on CT with CM flushed drainage | 32 (26.7%) | 19 (24.7%) | p = 0.77 |
| Change in therapy based on CT with CM flushed drainage | 13 (10.8%) | 6 (6.5%) | p = 0.38 |
| Additional CT Findings after Contrast-Flushed PAD | Total Number of Findings (n) | Number of Findings “Surgical Group” (n) | Number of Findings “Non-Surgical Group” (n) |
|---|---|---|---|
| Fistulas | 22 | 11 | 11 |
| Bile leaks | 13 | 8 | 5 |
| Insufficiencies after surgery | 12 | 12 | n/a |
| Misplaced drains | 1 | 0 | 1 |
| Descending psoas abscess | 1 | 0 | 1 |
| Insufficiently drained combed cavity | 1 | 1 | 0 |
| Contact with aortic prosthesis | 1 | 0 | 1 |
| Change of Therapy Based on CT Imaging Findings after Contrast-Flushed PAD | Change of Therapy (n) |
|---|---|
| PTBD/ERCP | 9 |
| Surgery (revision) | 3 |
| Change of antibiosis | 3 |
| Endoscopic procedure | 2 |
| Repositioning of drainage | 2 |
Disclaimer/Publisher’s Note: The statements, opinions and data contained in all publications are solely those of the individual author(s) and contributor(s) and not of MDPI and/or the editor(s). MDPI and/or the editor(s) disclaim responsibility for any injury to people or property resulting from any ideas, methods, instructions or products referred to in the content. |
© 2023 by the authors. Licensee MDPI, Basel, Switzerland. This article is an open access article distributed under the terms and conditions of the Creative Commons Attribution (CC BY) license (https://creativecommons.org/licenses/by/4.0/).
Share and Cite
Goessmann, H.; Schleder, S.; Stroszczynski, C.; Schreyer, A.G. Significance of Postprocedural Contrast Medium Injection after CT-Guided Abscess Drainage. Tomography 2023, 9, 1434-1442. https://doi.org/10.3390/tomography9040114
Goessmann H, Schleder S, Stroszczynski C, Schreyer AG. Significance of Postprocedural Contrast Medium Injection after CT-Guided Abscess Drainage. Tomography. 2023; 9(4):1434-1442. https://doi.org/10.3390/tomography9040114
Chicago/Turabian StyleGoessmann, Holger, Stephan Schleder, Christian Stroszczynski, and Andreas G. Schreyer. 2023. "Significance of Postprocedural Contrast Medium Injection after CT-Guided Abscess Drainage" Tomography 9, no. 4: 1434-1442. https://doi.org/10.3390/tomography9040114
APA StyleGoessmann, H., Schleder, S., Stroszczynski, C., & Schreyer, A. G. (2023). Significance of Postprocedural Contrast Medium Injection after CT-Guided Abscess Drainage. Tomography, 9(4), 1434-1442. https://doi.org/10.3390/tomography9040114

