Negative Bronchoscopy or Computed Tomography Radiation in Children with Suspected Foreign Body Aspiration? Pros and Cons
Abstract
1. Introduction
2. Material and Methods
2.1. Screening Protocol
2.2. Anaesthesia Protocol
2.3. Hospitalisation Criteria and Follow-Up
2.4. Statistical Analysis
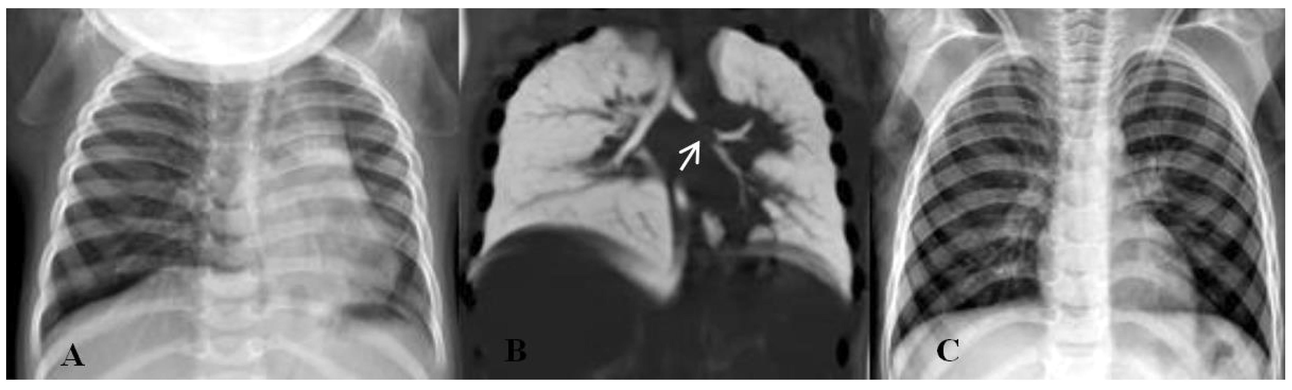
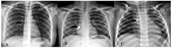
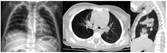
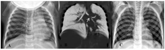
3. Results
4. Discussion
5. Conclusions
Author Contributions
Funding
Institutional Review Board Statement
Informed Consent Statement
Data Availability Statement
Conflicts of Interest
References
- Fasseeh, N.A.; Elagamy, O.A.; Gaafar, A.H.; Reyad, H.M.; Abougabal, M.S.; Heiba, D.A.; Kantar, A. A new scoring system and clinical algorithm for the management of suspected foreign body aspiration in children: A retrospective cohort study. Ital. J. Pediatr. 2021, 47, 194. [Google Scholar] [CrossRef] [PubMed]
- Kim, I.A.; Shapiro, N.; Bhattacharyya, N. The national cost burden of bronchial foreign body aspiration in children. Laryngoscope 2015, 125, 1221–1224. [Google Scholar] [CrossRef] [PubMed]
- Hitter, A.; Hullo, E.; Durand, C.; Righini, C.A. Diagnostic value of various investigations in children with suspected foreign body aspiration: Review. Eur. Ann. Otorhinolaryngol. Head Neck Dis. 2011, 128, 248–252. [Google Scholar] [CrossRef]
- Even, L.; Heno, N.; Talmon, Y.; Samet, E.; Zonis, Z.; Kugelman, A. Diagnostic evaluation of foreign body aspiration in children: A prospective study. J. Pediatr. Surg. 2005, 40, 1122–1127. [Google Scholar] [CrossRef] [PubMed]
- Gibbons, A.T.; Berazaluce, A.M.C.; Hanke, R.E.; McNinch, N.L.; Person, A.; Mehlman, T.; Rubin, M.; Ponsky, T.A. Avoiding unnecessary bronchoscopy in children with suspected foreign body aspiration using computed tomography. J. Pediatr. Surg. 2020, 55, 176–181. [Google Scholar] [CrossRef]
- Ciftci, A.O.; Bingöl-Koloğlu, M.; Şenocak, E.M.; Tanyel, F.; Büyükpamukçu, N. Bronchoscopy for evaluation of foreign body aspiration in children. J. Pediatr. Surg. 2003, 38, 1170–1176. [Google Scholar] [CrossRef]
- Sink, J.R.; Kitsko, D.J.; Georg, M.W.; Winger, D.G.; Simons, J.P. Predictors of Foreign Body Aspiration in Children. Otolaryngol.-Head Neck Surg. Off. J. Am. Acad. Otolaryngol.-Head Neck Surg. 2016, 155, 501–507. [Google Scholar] [CrossRef]
- Janahi, I.A.; Khan, S.; Chandra, P.; Al-Marri, N.; Saadoon, A.; Al-Naimi, L.; Al-Thani, M.; Greer, W. A new clinical algorithm scoring for management of suspected foreign body aspiration in children. BMC Pulm. Med. 2017, 17, 61. [Google Scholar] [CrossRef]
- Fidkowski, C.W.; Zheng, H.; Firth, P.G. The anesthetic considerations of tracheobronchial foreign bodies in children: A literature review of 12,979 cases. Anesth. Analg. 2010, 111, 1016–1025. [Google Scholar] [CrossRef]
- Tomaske, M.; Gerber, A.C.; Weiss, M. Anesthesia and periinterventional morbidity of rigid bronchoscopy for tracheobronchial foreign body diagnosis and removal. Pediatr. Anesth. 2006, 16, 123–129. [Google Scholar] [CrossRef]
- Ayed, A.K.; Jafar, A.M.; Owayed, A. Foreign body aspiration in children: Diagnosis and treatment. Pediatr. Surg. Int. 2003, 19, 485–488. [Google Scholar] [CrossRef] [PubMed]
- Heyer, C.M.; Bollmeier, M.E.; Rossler, L.; Nuesslein, T.G.; Stephan, V.; Bauer, T.T.; Rieger, C.H. Evaluation of clinical, radiologic, and laboratory prebronchoscopy findings in children with suspected foreign body aspiration. J. Pediatr. Surg. 2006, 41, 1882–1888. [Google Scholar] [CrossRef] [PubMed]
- Markov, S.; Markova, P.; Karavelikova, I.; Halacheva, H. Foreign Bodies in Lower Airway in Children: Brief Review and Clinical Experience. Children 2025, 12, 67. [Google Scholar] [CrossRef] [PubMed] [PubMed Central]
- Hong, S.; Goo, H.W.; Roh, J. Utility of spiral and cine CT scans in pediatric patients suspected of aspirating radiolucent foreign bodies. Otolaryngol.-Head Neck Surg. Off. J. Am. Acad. Otolaryngol.-Head Neck Surg. 2008, 138, 576–580. [Google Scholar] [CrossRef]
- Sadan, N.; Raz, A.; Wolach, B. Impact of community educational programmes on foreign body aspiration in Israel. Eur. J. Pediatr. 1995, 154, 859–862. [Google Scholar] [CrossRef]
- Hui, H.; Na, L.; Zhijun, C.J.; Fugao, Z.G.; Yan, S.; Niankai, Z.K.; Jingjing, C.J. Therapeutic experience from 1428 patients with pediatric tracheobronchial foreign body. J. Pediatr. Surg. 2008, 43, 718–721. [Google Scholar] [CrossRef]
- Kadmon, G.; Stern, Y.; Bron-Harlev, E.; Nahum, E.; Battat, E.; Schonfeld, T. Computerized scoring system for the diagnosis of foreign body aspiration in children. Ann. Otol. Rhinol. Laryngol. 2008, 117, 839–843. [Google Scholar] [CrossRef]
- Saki, N.; Nikakhlagh, S.; Rahim, F.; Abshirini, H. Foreign body aspirations in infancy: A 20-year experience. Int. J. Med. Sci. 2009, 6, 322–328. [Google Scholar] [CrossRef]
- Cataneo, A.J.M.; Cataneo, D.C.; Ruiz, R.L. Management of tracheobronchial foreign body in children. Pediatr. Surg. Int. 2008, 24, 151–156. [Google Scholar] [CrossRef]
- Divisi, D.; Di Tommaso, S.; Garramone, M.; Di Francescantonio, W.; Costa, A.M.; Gravina, G.L.; Crisci, R.M. Foreign bodies aspirated in children: Role of bronchoscopy. Thorac. Cardiovasc. Surg. 2007, 55, 249–252. [Google Scholar] [CrossRef]
- Li, P.; Jiang, G.; Li, Q. The risks of postoperative complications and prolonged hospital stay in children receiving bronchoscopy. J. Pediatr. Surg. 2020, 55, 1309–1312. [Google Scholar] [CrossRef] [PubMed]
- Silva, A.B.; Muntz, H.R.; Clary, R. Utility of conventional radiography in the diagnosis and management of pediatric airway foreign bodies. Ann. Otol. Rhinol. Laryngol. 1998, 107 Pt 1, 834–838. [Google Scholar] [CrossRef]
- Mu, L.; Sun, D.; He, P. Radiological diagnosis of aspirated foreign bodies in children: Review of 343 cases. J. Laryngol. Otol. 1990, 104, 778–782. [Google Scholar] [CrossRef] [PubMed]
- Zaupa, P.; Saxena, A.K.; Barounig, A.; Höllwarth, M.E. Management strategies in foreign-body aspiration. Indian J. Pediatr. 2009, 76, 157–161. [Google Scholar] [CrossRef]
- Hegde, S.V.; Hui, P.K.T.; Lee, E.Y. Tracheobronchial foreign bodies in children: Imaging assessment. Semin. Ultrasound CT MRI 2015, 36, 8–20. [Google Scholar] [CrossRef]
- Behera, G.; Tripathy, N.; Maru, Y.K.; Mundra, R.K.; Gupta, Y.; Lodha, M. Role of virtual bronchoscopy in children with a vegetable foreign body in the tracheobronchial tree. J. Laryngol. Otol. 2014, 128, 1078–1083. [Google Scholar] [CrossRef]
- Qiu, W.; Wu, L.; Chen, Z. Foreign body aspiration in children with negative multi-detector Computed Tomography results: Own experience during 2011–2018. Int. J. Pediatr. Otorhinolaryngol. 2019, 124, 90–93. [Google Scholar] [CrossRef]
- Pugmire, B.S.; Lim, R.; Avery, L.L. Review of Ingested and Aspi- rated Foreign Bodies in Children and Their Clinical Significance for Radiologists. Radio Graph. 2015, 35, 1528–1538. [Google Scholar] [CrossRef]
- Ambrose, S.E.; Raol, N.P. Pediatric airway foreign body. Oper. Tech. Otolaryngol. Head Neck Surg. 2017, 28, 265–269. [Google Scholar] [CrossRef]





| Sex | n (%) |
|---|---|
| Female | 98 (59.4) |
| Male | 67 (40.6) |
| Age median (IQR) | 2 (1–3) |
| History | |
| Cough | 118 (71.5) |
| Tachypnoea | 34 (20.6) |
| Dyspnoea | 21 (12.7) |
| Decreased breath sounds | 5 (3) |
| Fever | 3 (1.8) |
| Stridor/wheeze | 5 (3) |
| Choking | 2 (1.2) |
| Radiography | n (%) |
| FBA + | 47 (28.5) |
| FBA − | 118 (71.5) |
| CT | n (%) |
| Was taken | 43 (26.1) |
| Was not taken | 122 (73.9) |
| CT | n (%) |
| FBA + | 40 (93) |
| FBA − | 3 (74) |
| CT (Location of Foreign Body) | n (%) |
| Trachea | 2 (5) |
| Right | 20 (50) |
| Right and left | 1 (2.5) |
| Left | 17 (42.5) |
| Bronchoscopy | n (%) |
| FBA + | 135 (81.8) |
| FBA − | 30 (18.2) |
| Bronchoscopy (Location of Foreign Body) | n (%) |
| Trachea | 12 (8.8) |
| Carina | 6 (4.4) |
| Right main bronchus | 12 (8.8) |
| Right bronchus intermedius | 18(13.3) |
| Right and left bronchi | 5 (3.7) |
| Left main bronchus | 47 (34.9) |
| Complications | |
| Bleeding | 5 (3) |
| Bronchospasm | 8 (5) |
| Desaturation | 47 (34.9) |
| Bradycardia | 2 (1.2) |
| Cardiac arrest | 1 (0.6) |
| Bronchoscopy—only n (%) | 122 (73.9) |
| CT ± bronchoscopy | 43 (26.1) |
| Foreign Body | n (%) |
|---|---|
| Peanut | 40 (29.2) |
| Sunflower seed | 18 (13.14) |
| Needle | 16 (11.68) |
| Hazelnut | 7 (5.11) |
| Walnut | 6 (4.38) |
| Almond | 5 (3.65) |
| Pumpkin seeds | 5 (3.65) |
| Carrot | 4 (2.92) |
| Stone | 4 (2.92) |
| Watermelon seeds | 3 (2.19) |
| Sweetcorn | 3 (2.19) |
| Ground peanut | 3 (2.19) |
| Pea | 2 (1.46) |
| Piece of meat | 2 (1.46) |
| Pen tip | 2 (1.46) |
| Haricot bean | 2 (1.46) |
| Potatoes | 2 (1.46) |
| Broad beans | 1 (0.73) |
| Bulgur wheat | 1 (0.73) |
| Apple | 1 (0.73) |
| Cashew | 1 (0.73) |
| Pen cap | 1 (0.73) |
| Chestnut | 1 (0.73) |
| Roasted chickpea | 1 (0.73) |
| Metal | 1 (0.73) |
| Nylon | 1 (0.73) |
| Chickpeas | 1 (0.73) |
| Fastener | 1 (0.73) |
| Lentils | 1 (0.73) |
| Rosary bead | 1 (0.73) |
| Bronchoscopy | ||||||||
|---|---|---|---|---|---|---|---|---|
| FBA + (n = 135) n (%) | FBA − (n = 30) n (%) | Total (n = 165) n (%) | Sensitivity | Specificity | Accuracy | κ (95%CI) | p | |
| CT | %100 | %100 | %100 | 1 (1–1) | <0.001 | |||
| FBA + | 40 (100) | 0 (0) | 40 (93) | |||||
| FBA − | 0 (0) | 3 (100) | 3 (7) | |||||
| Radiography | %34.1 | %96.7 | %45.4 | 0.144 (0.10–0.26) | 0.001 | |||
| FBA + | 46 (34.1) | 1 (3.3) | 47 (28.5) | |||||
| FBA − | 89 (65.9) | 29 (96.7) | 117 (71.5) | |||||
| Group I (n = 122) | Group II (n = 43) | Total | p | |
|---|---|---|---|---|
| n (%) | n (%) | n (%) | ||
| FBA + | 95 (77.9) | 40 (93) | 135 (81.8) | 0.027 |
| FBA − | 27 (22.1) | 3 (7) | 30 (18.2) |
Disclaimer/Publisher’s Note: The statements, opinions and data contained in all publications are solely those of the individual author(s) and contributor(s) and not of MDPI and/or the editor(s). MDPI and/or the editor(s) disclaim responsibility for any injury to people or property resulting from any ideas, methods, instructions or products referred to in the content. |
© 2025 by the authors. Licensee MDPI, Basel, Switzerland. This article is an open access article distributed under the terms and conditions of the Creative Commons Attribution (CC BY) license (https://creativecommons.org/licenses/by/4.0/).
Share and Cite
Çelikkaya, M.E.; Atıcı, A.; Korkmaz, İ.; Karadağ, M.; El, Ç.; Akçora, B. Negative Bronchoscopy or Computed Tomography Radiation in Children with Suspected Foreign Body Aspiration? Pros and Cons. Tomography 2025, 11, 17. https://doi.org/10.3390/tomography11020017
Çelikkaya ME, Atıcı A, Korkmaz İ, Karadağ M, El Ç, Akçora B. Negative Bronchoscopy or Computed Tomography Radiation in Children with Suspected Foreign Body Aspiration? Pros and Cons. Tomography. 2025; 11(2):17. https://doi.org/10.3390/tomography11020017
Chicago/Turabian StyleÇelikkaya, Mehmet Emin, Ahmet Atıcı, İnan Korkmaz, Mehmet Karadağ, Çiğdem El, and Bülent Akçora. 2025. "Negative Bronchoscopy or Computed Tomography Radiation in Children with Suspected Foreign Body Aspiration? Pros and Cons" Tomography 11, no. 2: 17. https://doi.org/10.3390/tomography11020017
APA StyleÇelikkaya, M. E., Atıcı, A., Korkmaz, İ., Karadağ, M., El, Ç., & Akçora, B. (2025). Negative Bronchoscopy or Computed Tomography Radiation in Children with Suspected Foreign Body Aspiration? Pros and Cons. Tomography, 11(2), 17. https://doi.org/10.3390/tomography11020017

