CT Angiography Assessment of Dorsal Pancreatic Artery and Intrapancreatic Arcade Anatomy: Impact on Whipple Surgery Outcomes
Abstract
1. Introduction
2. Materials and Methods
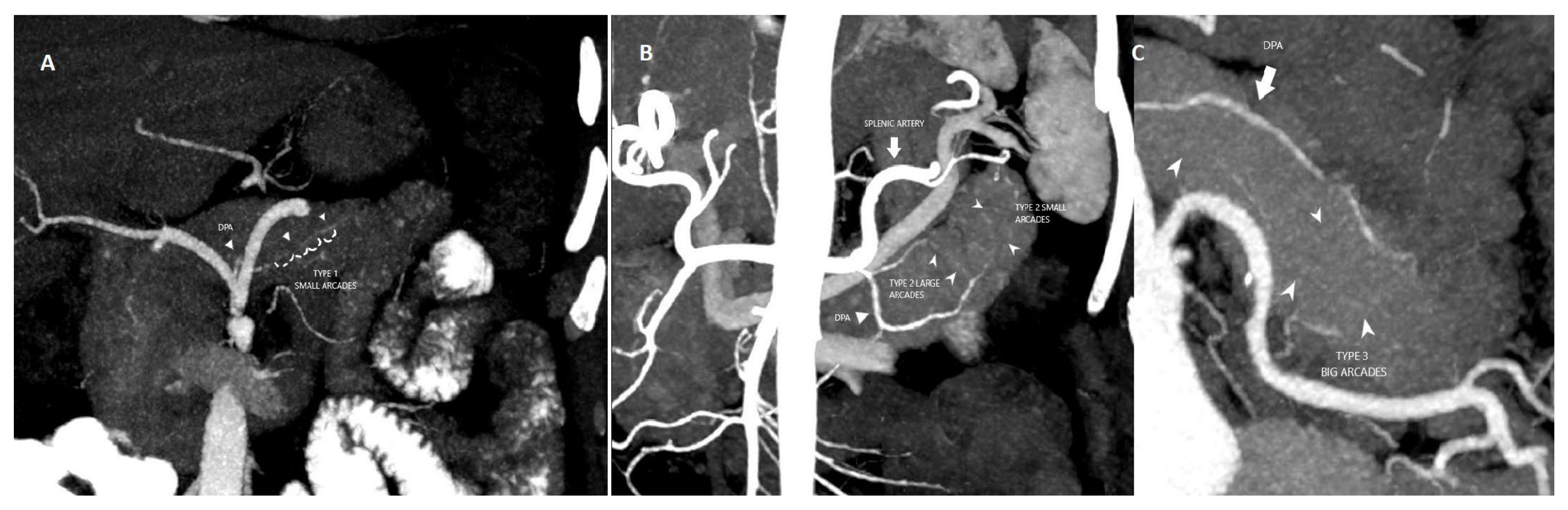
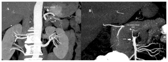
2.1. Patients and Image Interpretation
2.2. Data Collection
2.3. CT Angiography Protocol
2.4. Statistical Analysis
3. Results
4. Discussion
5. Conclusions
Author Contributions
Funding
Institutional Review Board Statement
Informed Consent Statement
Data Availability Statement
Conflicts of Interest
References
- Scaife, C.L.; Hewitt, K.C.; Mone, M.C.; Hansen, H.J.; Nelson, E.T.; Mulvihill, S.J. Comparison of intraoperative versus delayed enteral feeding tube placement in patients undergoing a Whipple procedure. HBP 2014, 16, 62–69. [Google Scholar] [CrossRef] [PubMed][Green Version]
- Leichtle, S.W.; Kaoutzanis, C.; Mouawad, N.J.; Welch, K.B.; Lampman, R.; Hoshal, V.L., Jr.; Kreske, E. Classic Whipple versus pylorus-preserving pancreaticoduodenectomy in the ACS NSQIP. J. Surg. Res. 2013, 183, 170–176. [Google Scholar] [CrossRef] [PubMed]
- Clancy, T.E.; Ashley, S.W. Pancreaticoduodenectomy (Whipple operation). Surg. Oncol. Clin. N. Am. 2005, 14, 533–552. [Google Scholar] [CrossRef] [PubMed]
- Sahora, K.; Morales-Oyarvide, V.; Thayer, S.P.; Ferrone, C.R.; Warshaw, A.L.; Lillemoe, K.D.; Fernández-Del Castillo, C. The effect of antecolic versus retrocolic reconstruction on delayed gastric emptying after classic non-pylorus preserving pancreaticoduodenectomy. Am. J. Surg. 2015, 209, 1028–1035. [Google Scholar] [CrossRef]
- Martignoni, M.E.; Friess, H.; Sell, F.; Ricken, L.; Shrikhande, S.; Kulli, C.; Buchler, M.W. Enteral nutrition prolongs delayed gastric emptying in patients after Whipple resection. Am. J. Surg. 2000, 180, 18–23. [Google Scholar] [CrossRef]
- Lai, E.C.H.; Yang, G.P.C.; Tang, C.N. Robot-assisted laparoscopic pancreaticoduodenectomy versus open pancreaticoduodenectomy—A comparative study. Int. J. Surg. 2012, 10, 475–479. [Google Scholar] [CrossRef]
- Tsutsumi, M.; Fernandez-Miranda, J.C. Morphological analysis of the branches of the dorsal pancreatic artery and their clinical significance. J. Neurol. Surg. Part B Skull Base 2020, 81, 319–332. [Google Scholar] [CrossRef]
- Rousek, M.; Kachlík, D.; Záruba, P.; Pudil, J.; Schütz, Š.O.; Balko, J.; Pohnán, R. Vascular supply of postresection pancreatic remnant after pancreaticoduodenectomy: A cadaveric study. Medicine 2023, 102, e35049. [Google Scholar] [CrossRef]
- Sharma, S.; Sureka, B.; Varshney, V.; Soni, S.; Yadav, T.; Garg, P.K.; Khera, P.S. MDCT evaluation of Dorsal Pancreatic Artery and Intrapancreatic arcadee anatomy. Surg. Radiol. Anat. 2023, 45, 1471–1476. [Google Scholar] [CrossRef]
- Appanraj, P.; Mathew, A.P.; Kandasamy, D.; Venugopal, M. CT reporting of relevant vascular variations and its implication in pancreatoduodenectomy. Abdom. Radiol. 2021, 46, 3935–3945. [Google Scholar] [CrossRef]
- Khan, M.R.; Begum, S.; Khan, D.B.; Inam Pal, K.M. Surgical and oncological implications of aberrant arterial anatomy in patients undergoing pancreatoduodenectomy. J. Pak. Med. Assoc. 2020, 70, 930–934. [Google Scholar] [PubMed]
- Wang, S.; Chen, Q.; Liu, S.; Zhang, W.; Ji, B.; Liu, Y. The Impact of Aberrant Hepatic Artery on Resection Margin and Outcomes of Laparoscopic Pancreatoduodenectomy: A Single-Center Report. World J. Surg. 2021, 45, 3183–3190. [Google Scholar] [CrossRef] [PubMed]
- Crocetti, D.; Sapienza, P.; Ossola, P.; Tarallo, M.; Cavallaro, G.; Serra, R.; Grande, R.; Mingoli, A.; Fiori, E.; De Toma, G. Does Aberrant Right Hepatic Artery Infuence the Surgical Short- and Long-term Outcome of Pancreatoduodenectomy? In Vivo 2019, 33, 1285–1292. [Google Scholar] [CrossRef] [PubMed]
- Perwaiz, A.; Singh, A.; Singh, T.; Chaudhary, A. Incidence and management of arterial anomalies in patients undergoing pancreaticoduodenectomy. J. Pancreas 2010, 11, 25–30. [Google Scholar]
- Rammohan, A.; Sathyanesan, J.; Palaniappan, R.; Govindan, M. Transpancreatic hepatomesenteric trunk complicating pancreaticoduodenectomy. J. Pancreas 2013, 14, 649–652. [Google Scholar]
- Swami, A.; Yadav, T.; Varshney, V.K.; Sreesanth, K.S.; Dixit, S.G. Hepatic Arterial Variations and Its Implication During Pancreatic Cancer Surgeries. J. Gastrointest Cancer 2021, 52, 462–470. [Google Scholar] [CrossRef]
- Yu, H.H.; Wang, S.E.; Shyr, B.S.; Chen, S.C.; Shyr, Y.M.; Shyr, B.U. Impact of hepatic artery variation on surgical and oncological outcomes in robotic pancreaticoduodenectomy. Surg. Endosc. 2024, 38, 3728–3737. [Google Scholar] [CrossRef]
- Covantev, S.; Mazuruc, N.; Belic, O. The Arterial Supply of the Distal Part of the Pancreas. Surg. Res. Pract. 2019, 2019, 5804047. [Google Scholar] [CrossRef]
- Clavien, P.-A.; Sanabria, J.; Strasberg, S.M. Proposed classification of complications of surgery with examples of utility in cholecystectomy. Surgery 1992, 111, 518–526. [Google Scholar]
- Araujo, R.L.C.; Karkar, A.M.; Allen, P.J.; Gönen, M.; Chou, J.F.; Brennan, M.F.; Blumgart, L.H.; D’Angelica, M.I.; DeMatteo, R.P.; Coit, D.G.; et al. Timing of elective surgery as a perioperative outcome variable: Analysis of pancreaticoduodenectomy. HBP 2014, 16, 250–262. [Google Scholar] [CrossRef]
- Shukla, P.J.; Barreto, S.G.; Kulkarni, A.; Nagarajan, G.; Fingerhut, A. Vascular Anomalies Encountered During Pancreatoduodenectomy: Do They Influence Outcomes? Ann. Surg. Oncol. 2010, 17, 186–193. [Google Scholar] [CrossRef] [PubMed]
- Volpe, C.M.; Peterson, S.; Hoover, E.L.; Doerr, R.J. Justification for visceral angiography prior to pancreaticoduodenectomy. Am. Surg. 1998, 64, 758–761. [Google Scholar] [PubMed]
- Chawla, S.; Kumar, B.; Arora, N.; Kumar, A. Major anatomical variations in branches of common hepatic artery and dorsal pancreatic artery with its surgical significance: A case report. Int. J. Sci. Res. 2024, 13. [Google Scholar] [CrossRef]
- Szuák, A.; Németh, K.; Korom, C.; Gáti, E.; Karlinger, K.; Harsányi, L.; Nemeskéri, Á. Pancreaticoduodenal arterial arcades: Their dominance and variations-their potential clinical relevance. Clin. Anat. 2018, 31, 544–550. [Google Scholar] [CrossRef]
- Macchi, V.; Picardi, E.E.E.; Porzionato, A.; Morra, A.; Bardini, R.; Loukas, M.; Tubbs, R.S.; De Caro, R. Anatomo-radiological patterns of pancreatic vascularization, with surgical implications: Clinical and anatomical study. Clin. Anat. 2017, 30, 614–624. [Google Scholar] [CrossRef]
- Bertelli, E.; Di Gregorio, F.; Mosca, S.; Bastianini, A. The arterial blood supply of the pancreas: A review. V. The dorsal pancreatic artery. An anatomic review and a radiologic study. Surg. Radiol. Anat. 1998, 20, 445–452. [Google Scholar] [CrossRef]
- Nakata, K.; Higuchi, R.; Ikenaga, N.; Sakuma, L.; Ban, D.; Nagakawa, Y.; Ohtsuka, T.; Asbun, H.J.; Boggi, U.; Tang, C.N.; et al. Precision anatomy for safe approach to pancreatoduodenectomy for both open and minimally invasive procedure: A systematic review. J. Hepatobiliary Pancreat. Sci. 2022, 29, 99–113. [Google Scholar] [CrossRef]
- Bassi, C.; Marchegiani, G.; Dervenis, C.; Sarr, M.; Abu Hilal, M.; Adham, M.; Allen, P.; Andersson, R.; Asbun, H.J.; Besselink, M.G.; et al. The 2016 update of the International Study Group (ISGPS) definition and grading of postoperative pancreatic fistula: 11 Years After. Surgery 2017, 161, 584–591. [Google Scholar] [CrossRef]
- Callery, M.P.; Pratt, W.B.; Kent, T.S.; Chaikof, E.L.; Vollmer, C.M., Jr. A prospectively validated clinical risk score accurately predicts pancreatic fistula after pancreatoduodenectomy. J. Am. Coll. Surg. 2013, 216, 1–14. [Google Scholar] [CrossRef]
- Russell, T.B.; Labib, P.L.; Denson, J.; Streeter, A.; Ausania, F.; Pando, E.; Roberts, K.J.; Kausar, A.; Mavroeidis, V.K.; Marangoni, G.; et al. Postoperative complications after pancreatoduodenectomy for malignancy: Results from the Recurrence After Whipple’s (RAW) study. BJS Open 2023, 7, zrad106. [Google Scholar] [CrossRef]
- Kolbinger, F.R.; Lambrecht, J.; Leger, S.; Ittermann, T.; Speidel, S.; Weitz, J.; Hoffmann, R.T.; Distler, M.; Kühn, J.P. The image-based preoperative fistula risk score (preFRS) predicts postoperative pancreatic fistula in patients undergoing pancreatic head resection. Sci. Rep. 2022, 12, 4064. [Google Scholar] [CrossRef] [PubMed]
- Seykora, T.F.; Ecker, B.L.; McMillan, M.T.; Maggino, L.; Beane, J.D.; Fong, Z.V.; Hollis, R.H.; Jamieson, N.B.; Javed, A.A.; Kowalsky, S.J.; et al. The Beneficial Effects of Minimizing Blood Loss in Pancreatoduodenectomy. Ann. Surg. 2019, 270, 147–157. [Google Scholar] [CrossRef] [PubMed]
- Casciani, F.; Trudeau, M.T.; Asbun, H.J.; Ball, C.G.; Bassi, C.; Behrman, S.W.; Berger, A.C.; Bloomston, M.P.; Callery, M.P.; Christein, J.D.; et al. The effect of high intraoperative blood loss on pancreatic fistula development after pancreatoduodenectomy: An international, multi-institutional propensity score matched analysis. Surgery 2021, 170, 1195–1204. [Google Scholar] [CrossRef] [PubMed]
- Jiang, C.-Y.; Liang, Y.; Chen, Y.-T.; Dai, Z.-S.; Wang, W. The anatomical features of dorsal pancreatic artery in the pancreatic head and its clinical significance in laparoscopic pancreatoduodenectomy. Surg. Endosc. 2021, 35, 569–575. [Google Scholar] [CrossRef]
- Fang, C.-H.; Kong, D.; Wang, X.; Wang, H.; Xiang, N.; Fan, Y.; Yang, J.; Zhong, S.-Z. Three-dimensional reconstruction of the peripancreatic vascular system based on computed tomographic angiography images and its clinical application in the surgical management of pancreatic tumors. Pancreas 2014, 43, 389–395. [Google Scholar] [CrossRef]
- Chong, M.; Freeny, P.C.; Schmiedl, U.P. Pancreatic arterial anatomy: Depiction with dual-phase helical CT. Radiology 1998, 208, 537–542. [Google Scholar] [CrossRef]
- Matsumura, H. The significance of the morphology of the dorsal pancreatic artery in determining the presence of the accessory right hepatic artery passing behind the portal vein. Kaibogaku Zasshi J. Anat. 1998, 73, 517–527. [Google Scholar]



| The DPA Variations | |||||||
|---|---|---|---|---|---|---|---|
| SA | CHA | GD | SMA | CELIAK | DUAL | p Value * | |
| Frequency n (%) | 110 (69.2%) | 7 (4.4%) | 6 (3.8%) | 28 (17.6%) | 6 (3.8%) | 2 (1.2%) | |
| Gender (F/M) | 60/50 | 5/2 | 4/2 | 15/13 | 4/2 | 1/1 | 0.873 |
| POPF (+/−) | 40/70 | 0/7 | 2/4 | 13/15 | 1/5 | 1/1 | 0.172 |
| Biliary fistula (+/−) | 6/104 | 1/6 | 0/6 | 1/27 | 0/6 | 0/2 | 0.777 |
| Per-operative RBC Transfusion (Units) (0/1/2) | 75/23/12 | 3/2/2 | 6/0/0 | 20/6/12 | 4/2/0 | 2/0/0 | 0.075 |
| 90-day mortality (+/−) | 9/101 | 0/7 | 0/6 | 1/27 | 1/5 | 0/2 | 0.670 |
| CLAVIEN–DINDO 1–2/3/4/5 | 56/83/11/9 | 6/1/0/0 | 3/2/1/0 | 15/10/2/1 | 3/2/0/1 | 1/1/0/0 | 0.259 |
| Systemic disease (+/−) | 64/46 | 2/5 | 3/3 | 15/13 | 1/5 | 0/2 | 0.206 |
| Length of hospitalization median (IQR) days | 12 (2–45) | 8 (6–23) | 10.5 (8–13) | 12 (7–47) | 19.5 (7–38) | 11.5 (8–15) | 0.167 |
| Long-term mortality (+/−) | 39/71 | 1/6 | 1/5 | 8/20 | 4/2 | 0/2 | 0.314 |
| Arcade Classification | p Value | |||
|---|---|---|---|---|
| Type 1 (n = 20) | Type 2 (n = 35) | Type 3 (n = 16) | ||
| Gender (F/M) | 12/8 | 23/12 | 10/6 | 0.948 |
| POPF (+/−) | 4/16 | 9/26 | 9/7 | 0.042 |
| Biliary fistula (+/−) | 2/18 | 3/32 | 1/15 | 0.999 |
| Per-operative RBC Transfusion (Units) (0/1/2) | 18/1/1 | 23/8/4 | 11/3/2 | 0.376 |
| 90-day mortality | 3/17 | 9/26 | 2/14 | 0.577 |
| CLAVIEN–DINDO 1–2/3/4/5 | 10/4/3/3 | 19/10/3/3 | 8/3/3/2 | 0.887 |
| Systemic disease (+/−) | 7/13 | 12/23 | 5/11 | 0.969 |
| Length of hospitalization (Median) | 9 (6–17) | 11 (7–20) | 9 (6–19) | 0.131 |
| 90-day mortality (ex/alive) | 3/17 | 3/32 | 2/14 | 0.705 |
| Long-term follow-up (ex/alive) | 9/11 | 7/28 | 3/13 | 0.113 |
Disclaimer/Publisher’s Note: The statements, opinions and data contained in all publications are solely those of the individual author(s) and contributor(s) and not of MDPI and/or the editor(s). MDPI and/or the editor(s) disclaim responsibility for any injury to people or property resulting from any ideas, methods, instructions or products referred to in the content. |
© 2025 by the authors. Licensee MDPI, Basel, Switzerland. This article is an open access article distributed under the terms and conditions of the Creative Commons Attribution (CC BY) license (https://creativecommons.org/licenses/by/4.0/).
Share and Cite
Ozdemir, G.; Olmez, T.; Dilek, O.; Eyi, B.; Sozutek, A.; Seker, A. CT Angiography Assessment of Dorsal Pancreatic Artery and Intrapancreatic Arcade Anatomy: Impact on Whipple Surgery Outcomes. Tomography 2025, 11, 9. https://doi.org/10.3390/tomography11010009
Ozdemir G, Olmez T, Dilek O, Eyi B, Sozutek A, Seker A. CT Angiography Assessment of Dorsal Pancreatic Artery and Intrapancreatic Arcade Anatomy: Impact on Whipple Surgery Outcomes. Tomography. 2025; 11(1):9. https://doi.org/10.3390/tomography11010009
Chicago/Turabian StyleOzdemir, Gorkem, Tolga Olmez, Okan Dilek, Berkay Eyi, Alper Sozutek, and Ahmet Seker. 2025. "CT Angiography Assessment of Dorsal Pancreatic Artery and Intrapancreatic Arcade Anatomy: Impact on Whipple Surgery Outcomes" Tomography 11, no. 1: 9. https://doi.org/10.3390/tomography11010009
APA StyleOzdemir, G., Olmez, T., Dilek, O., Eyi, B., Sozutek, A., & Seker, A. (2025). CT Angiography Assessment of Dorsal Pancreatic Artery and Intrapancreatic Arcade Anatomy: Impact on Whipple Surgery Outcomes. Tomography, 11(1), 9. https://doi.org/10.3390/tomography11010009

