Comparative Sensitivity of MRI Indices for Myelin Assessment in Spinal Cord Regions
Abstract
1. Introduction
2. Materials and Methods
2.1. Specimen and Preparation for MRI
2.2. MRI Acquisition
2.3. Image Processing
2.4. Measurement of Mean Values
2.5. Specimen Preparation for Histological Examination
2.6. Staining
2.7. Histological Analysis
2.8. Statistical Analysis
3. Results
3.1. Maps of Quantitative Indices
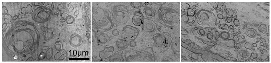
3.2. Histological Data
3.3. The Sensitivity of Each Index in Distinguishing GM and WM Columns
3.4. Correlations Among MRI Indices
4. Discussion
4.1. The Choice of Ex Vivo Deer Cervical Spinal Cord
4.2. The Selection of MRI Indices
4.3. Variable Sensitivity to Myelin Contrast
4.4. Correlation Among MRI Indices
4.5. Implications of This Study
4.6. Limitations
5. Conclusions
Author Contributions
Funding
Institutional Review Board Statement
Informed Consent Statement
Data Availability Statement
Acknowledgments
Conflicts of Interest
References
- Anderson, C.R.; Ashwell, K.W.S.; Collewijin, H.; Harvey, A.; Heise, C.; Hodetts, S.; Holstege, G.H.; Kayalioglu, G.; Keast, J.R.; McHanwell, S.; et al. The organization of the spinal cord. In The Spinal Cord: A Christopher and Dana Reeve Foundation Text and Atlas, 1st ed.; Watson, C., Paxinos, G., Kayalioglu, G., Eds.; Academic Press: London, UK, 2009; pp. 1–7. [Google Scholar] [CrossRef]
- Hermes, T.A.; Jarry, V.M.; Reis, F.; Minatel, E. Anatomy and imaging of the spinal cord: An overview. Semin. Ultrasound CT MR. 2023, 44, 400–407. [Google Scholar] [CrossRef] [PubMed]
- Simons, M.; Nave, K.A. Oligodendrocytes: Myelination and Axonal Support. Cold Spring Harb Perspect. Biol. 2015, 8, a020479. [Google Scholar] [CrossRef] [PubMed]
- Kister, A.; Kister, I. Overview of myelin, major myelin lipids, and myelin-associated proteins. Front. Chem. 2023, 10, 1041961. [Google Scholar] [CrossRef] [PubMed]
- Love, S. Demyelinating diseases. J. Clin. Pathol. 2006, 59, 1151–1159. [Google Scholar] [CrossRef] [PubMed]
- García-García, Ó.D.; Carriel, V.; Chato-Astrain, J. Myelin histology: A key tool in nervous system research. Neural Regen. Res. 2024, 19, 277–281. [Google Scholar] [CrossRef]
- Whitaker, J.N. Myelin basic protein in cerebrospinal fluid and other body fluids. Mult. Scler. 1998, 4, 16–21. [Google Scholar] [CrossRef]
- Wu, C.; Wang, C.; Popescu, D.C.; Zhu, W.; Somoza, E.A.; Zhu, J.; Condie, A.G.; Flask, C.A.; Miller, R.H.; Macklin, W.; et al. A novel PET marker for in vivo quantification of myelination. Bioorg. Med. Chem. 2010, 18, 8592–8599. [Google Scholar] [CrossRef] [PubMed]
- Hagiwara, A.; Hori, M.; Kamagata, K.; Warntjes, M.; Matsuyoshi, D.; Nakazawa, M.; Ueda, R.; Andica, C.; Koshino, S.; Maekawa, T.; et al. Myelin measurement: Comparison between simultaneous tissue relaxometry, magnetization transfer saturation index and T1W/T2W ratio methods. Sci. Rep. 2018, 8, 10554. [Google Scholar] [CrossRef] [PubMed]
- Sui, Y.V.; Masurkar, A.V.; Rusinek, H.; Reisberg, B.; Lazar, M. Cortical myelin profile variations in healthy aging brain: A T1w/T2w ratio study. Neuroimage 2022, 264, 119743. [Google Scholar] [CrossRef] [PubMed]
- Soun, J.; Liu, M.Z.; Cauley, K.A.; Grinband, J. Evaluation of neonatal brain myelination using the T1- and T2-weighted MRI ratio. J. Magn. Reason. Imaging 2017, 46, 690–696. [Google Scholar] [CrossRef] [PubMed]
- Yasuno, F.; Kazui, H.; Morita, N.; Kajimoto, K.; Ihara, M.; Taguchi, A.; Yamamoto, A.; Matsuoka, K.; Takahashi, M.; Nakagawara, J.; et al. Use of T1-weighted/T2-weighted magnetic resonance ratio to elucidate changes due to amyloid β accumulation in cognitively normal subjects. Neuroimage Clin. 2016, 13, 209–214. [Google Scholar] [CrossRef]
- Prasloski, T.; Rauscher, A.; MacKay, A.L.; Hodgson, M.; Vavasour, M.; Laule, C.; Mädler, B. Rapid whole cerebrum myelin water imaging using a 3D GRASE sequence. Neuroimage 2012, 63, 533–539. [Google Scholar] [CrossRef]
- Whittall, K.P.; MacKay, A.L.; Graeb, D.A.; Nugent, R.A.; Li, D.K.; Paty, D.W. In vivo measurement of T2 distributions and water contents in normal human brain. Magn. Reason. Med. 1997, 37, 34–43. [Google Scholar] [CrossRef]
- Schmierer, K.; Scaravilli, F.; Altmann, D.R.; Barker, G.J.; Miller, D.H. Magnetization transfer ratio and myelin in postmortem multiple sclerosis brain. Ann. Neurol. 2004, 56, 407–415. [Google Scholar] [CrossRef]
- Menon, R.G.; Sharafi, A.; Windschuh, J.; Regatte, R.R. Bi-exponential 3D-T1ρ mapping of whole brain at 3T. Sci. Rep. 2018, 8, 1176. [Google Scholar] [CrossRef]
- Chang, E.H.; Argyelan, M.; Aggarwal, M.; Chandon, T.S.; Karlsgodt, K.H.; Mori, S.; Malhotra, A.K. The role of myelination in measures of white matter integrity: Combination of diffusion tensor imaging and two-photon microscopy of CLARITY intact brains. Neuroimage 2017, 147, 253–261. [Google Scholar] [CrossRef]
- Wilm, B.J.; Svensson, J.; Henning, A.; Pruessmann, K.P.; Boesiger, P.; Kollias, S.S. Reduced field-of-view MRI using outer volume suppression for spinal cord diffusion imaging. Magn. Reason. Med. 2007, 57, 625–630. [Google Scholar] [CrossRef]
- Tha, K.K.; Katscher, U.; Yamaguchi, S.; Stehning, C.; Terasaka, S.; Fujima, N.; Kudo, K.; Kazumata, K.; Yamamoto, T.; Van Cauteren, M.; et al. Noninvasive electrical conductivity measurement by MRI: A test of its validity and the electrical conductivity characteristics of glioma. Eur. Radiol. 2018, 28, 348–355. [Google Scholar] [CrossRef]
- Manger, P.R.; Pillay, P.; Maseko, B.C.; Bhagwandin, A.; Gravett, N.; Moon, D.J.; Jilliani, N.; Hemingway, J. Acquisition of brains from the African elephant (Loxodonta africana): Perfusion-fixation and dissection. J. Neurosci. Methods 2009, 179, 16–21. [Google Scholar] [CrossRef] [PubMed]
- Hokkaido Ezo Deer Management Plan (Phase 5). (In Japanese). Available online: https://www.pref.hokkaido.lg.jp/fs/5/6/8/6/7/6/2/_/8-2kannrikeikakuH29.3honnbunnn.pdf (accessed on 20 December 2024).
- Faulkner, M.E.; Gong, Z.; Guo, A.; Laporte, J.P.; Bae, J.; Bouhrara, M. Harnessing myelin water fraction as an imaging biomarker of human cerebral aging, neurodegenerative diseases, and risk factors influencing myelination: A review. J. Neurochem. 2024, 168, 2243–2263. [Google Scholar] [CrossRef] [PubMed]
- Henkelman, R.M.; Stanisz, G.J.; Graham, S.J. Magnetization transfer in MRI: A review. NMR Biomed. 2001, 14, 57–64. [Google Scholar] [CrossRef] [PubMed]
- Katscher, U.; Kim, D.-H.; Seo, J.K. Recent progress and future challenge in MR electric properties tomography. Comput. Math. Methods Med. 2013, 2013, 546562. [Google Scholar] [CrossRef] [PubMed]
- Marques, J.P.; Kober, T.; Krueger, G.; van der Zwaag, W.; Van de Moortele, P.F.; Gruetter, R. MP2RAGE, a self-bias-field corrected sequence for improved segmentation and T1-mapping at high field. Neuroimage 2010, 49, 1271–1281. [Google Scholar] [CrossRef]
- Whittall, K.P.; MacKay, A.L. Quantitative interpretation of NMR relaxation data. J. Magn. Reson. 1989, 84, 134–152. [Google Scholar] [CrossRef]
- Witschey, W.R.; Borthakur, A.; Elliott, M.A.; Wang, C.; Reddy, R. T1rho-prepared balanced gradient echo for rapid 3D T1rho MRI. J. Magn. Reson. Imaging 2008, 28, 744–754. [Google Scholar] [CrossRef] [PubMed]
- Odle, E.; Riewluang, S.; Ageshi, K.; Kajihara, H.; Wakeman, K.C. Pacific marine gregarines (Apicomplexa) shed light on biogeographic speciation patterns and novel diversity among early apicomplexans. Eur. J. Protistol. 2024, 94, 126080. [Google Scholar] [CrossRef] [PubMed]
- Huitema, M.J.D.; Strijbis, E.M.M.; Luchicchi, A.; Bol, J.G.J.M.; Plemel, J.R.; Geurts, J.J.G.; Schenk, G.J. Myelin quantification in white matter pathology of progressive multiple sclerosis post-mortem brain samples: A new approach for quantifying remyelination. Mol. Sci. 2021, 22, 12634. [Google Scholar] [CrossRef] [PubMed]
- Werner, H.; Jung, M.; Klugmann, M.; Sereda, M.; Griffiths, I.R.; Nave, K.A. Mouse models of myelin diseases. Brain Pathol. 1998, 8, 771–793. [Google Scholar] [CrossRef]
- Sharif-Alhoseini, M.; Khormali, M.; Rezaei, M.; Safdarian, M.; Hajighadery, A.; Khalatbari, M.M.; Safdarian, M.; Meknatkhah, S.; Rezvan, M.; Chalangari, M.; et al. Animal models of spinal cord injury: A systematic review. Spinal Cord. 2017, 55, 714–721. [Google Scholar] [CrossRef]
- Nardone, R.; Florea, C.; Höller, Y.; Brigo, F.; Versace, V.; Lochner, P.; Golaszewski, S.; Trinka, E. Rodent, large animal and non-human primate models of spinal cord injury. Zoology 2017, 123, 101–114. [Google Scholar] [CrossRef]
- Saliani, A.; Perraud, B.; Duval, T.; Stikov, N.; Rossignol, S.; Cohen-Adad, J. Axon and myelin morphology in animal and human spinal cord. Front. Neuroanat. 2017, 11, 129. [Google Scholar] [CrossRef] [PubMed]
- Raman, M.R.; Shu, Y.; Lesnick, T.G.; Jack, C.R.; Kantarci, K. Regional T1 relaxation time constants in Ex vivo human brain: Longitudinal effects of formalin exposure. Magn. Reson. Med. 2017, 77, 774–778. [Google Scholar] [CrossRef]
- Dawe, R.J.; Bennett, D.A.; Schneider, J.A.; Vasireddi, S.K.; Arfanakis, K. Postmortem MRI of human brain hemispheres: T2 relaxation times during formaldehyde fixation. Magn. Reson. Med. 2009, 61, 810–818. [Google Scholar] [CrossRef] [PubMed]
- Birkl, C.; Birkl-Toeglhofer, A.M.; Endmayr, V.; Höftberger, R.; Kasprian, G.; Krebs, C.; Haybaeck, J.; Rauscher, A. The influence of brain iron on myelin water imaging. Neuroimage 2019, 199, 545–552. [Google Scholar] [CrossRef] [PubMed]
- Miller, K.L.; Stagg, C.J.; Douaud, G.; Jbabdi, S.; Smith, S.M.; Behrens, T.E.J.; Jenkinson, M.; Chance, S.A.; Esiri, M.M.; Voets, N.L.; et al. Diffusion imaging of whole, post-mortem human brains on a clinical MRI scanner. Neuroimage 2011, 57, 167–181. [Google Scholar] [CrossRef]
- Gho, S.-M.; Shin, J.; Kim, M.-O.; Kim, M.J.; Kim, S.; Kim, J.-H.; Kim, D.-H. Observation of the correlation between electrical conductivity and apparent diffusion coefficient values. Proc. Intl. Soc. Mag. Reson. Med. 2016, 24, 1566. Available online: https://cds.ismrm.org/protected/16MProceedings/PDFfiles/1566.html (accessed on 28 October 2024).
- Sandrone, S.; Aiello, M.; Cavaliere, C.; de Schotten, M.T.; Reimann, K.; Troakes, C.; Bodi, I.; Lacerda, L.; Monti, S.; Murphy, D.; et al. Mapping myelin in white matter with T1-weighted/T2-weighted maps: Discrepancy with histology and other myelin MRI measures. Brain Struct. Funct. 2023, 228, 525–535. [Google Scholar] [CrossRef] [PubMed]









| MRI Sequence | Section | TR/TE/Flip Angle (ms/ms/°) | Voxel Size (mm3) | Slice Thickness (mm) | FOV (mm2) | Number of Slices | TA (m:s) | NEX | Other Scan Parameters |
|---|---|---|---|---|---|---|---|---|---|
| 3D-GRASE | axial | 500/10/90 | 1.25 × 1.25 × 1.25 | 1.25 | 160 × 160 | 96 | 35:40 | 1 | 32 multi-echoes, echo space = 32 ms |
| 3D-GRE MTI | sagittal | 26/2.65/12 | 0.5 × 0.5 × 0.5 | 0.5 | 96 × 128 | 120 | 29:57 | 3 | MT pulse on and off |
| MPRAGE | sagittal | 1900/2.42/9 | 0.5 × 0.5 × 0.5 | 0.5 | 96 × 128 | 120 | 24:18 | 4 | TI = 900 ms |
| T2-SPACE | axial | 4000/416/120 | 0.5 × 0.5 × 0.5 | 0.5 | 128 × 96 | 288 | 36:52 | 2 | ETL = 174 |
| rFOV DTI | axial | 3000/53/90 | 0.47 × 0.47 × 5 | 5 | 70 × 52 | 40 | 21:09 | 14 | b = 0, 1000 s mm−2, diffusion gradient directions = 6 |
| 3D-SSFP EPT | sagittal | 3.6/1.79/25 | 1.02 × 1.02 × 1 | 1 | 179 × 179 | 199 | 10:16 | 3 | Non-selective RF pulse |
| MP2RAGE | sagittal | 5000/5.26/5 | 0.5 × 0.5 × 0.5 | 0.5 | 96 × 128 | 120 | 55:26 | 6 | TI1 = 935 ms, TI2 = 2770 ms |
| CPMG | sagittal | 3500/13.8/180 | 0.78 × 0.78 × 4 | 4 | 200 × 200 | 45 | 7:52 | 2 | 5 multi-echoes, echo space = 13.8 ms |
| 3D-GRE T1ρ | axial | 3.8/1.48/12 | 0.63 × 0.63 × 5 | 5 | 138 × 138 | 27 | 15:37 | 1 | Spin lock time = 0, 20, 40, 80 ms |
Disclaimer/Publisher’s Note: The statements, opinions and data contained in all publications are solely those of the individual author(s) and contributor(s) and not of MDPI and/or the editor(s). MDPI and/or the editor(s) disclaim responsibility for any injury to people or property resulting from any ideas, methods, instructions or products referred to in the content. |
© 2025 by the authors. Licensee MDPI, Basel, Switzerland. This article is an open access article distributed under the terms and conditions of the Creative Commons Attribution (CC BY) license (https://creativecommons.org/licenses/by/4.0/).
Share and Cite
Oppong, P.K.J.; Hamaguchi, H.; Kitagawa, M.; Patzke, N.; Wakeman, K.C.; Tha, K.K. Comparative Sensitivity of MRI Indices for Myelin Assessment in Spinal Cord Regions. Tomography 2025, 11, 8. https://doi.org/10.3390/tomography11010008
Oppong PKJ, Hamaguchi H, Kitagawa M, Patzke N, Wakeman KC, Tha KK. Comparative Sensitivity of MRI Indices for Myelin Assessment in Spinal Cord Regions. Tomography. 2025; 11(1):8. https://doi.org/10.3390/tomography11010008
Chicago/Turabian StyleOppong, Philip Kyeremeh Jnr, Hiroyuki Hamaguchi, Maho Kitagawa, Nina Patzke, Kevin C. Wakeman, and Khin Khin Tha. 2025. "Comparative Sensitivity of MRI Indices for Myelin Assessment in Spinal Cord Regions" Tomography 11, no. 1: 8. https://doi.org/10.3390/tomography11010008
APA StyleOppong, P. K. J., Hamaguchi, H., Kitagawa, M., Patzke, N., Wakeman, K. C., & Tha, K. K. (2025). Comparative Sensitivity of MRI Indices for Myelin Assessment in Spinal Cord Regions. Tomography, 11(1), 8. https://doi.org/10.3390/tomography11010008

