Exploring Multi-Pathology Brain Segmentation: From Volume-Based to Component-Based Deep Learning Analysis
Abstract
1. Introduction
- A hospital-originated dataset incorporating three MRI modalities (FLAIR, T2, and T1ce) and four distinct pathologies: tumors, strokes, multiple sclerosis (MS), and white matter hyperintensities (WMH).
- A U-net model enhanced with transfer learning techniques.
- An evaluation framework for analyzing the entire pathology volume.
- A novel approach for evaluating each individual abnormal component by examining its spatial localization within the brain, intensity levels across modalities, and volume.
- Identify the strengths and limitations of a modern U-net deep learning model, offering opportunities for tailored applications based on specific pathologies.
- Advance beyond conventional evaluation methods by introducing a transparent and clinically consistent framework for validating segmentation models.
2. Materials and Methods
2.1. Dataset Collection and Preparation
2.2. Image Preprocessing
2.3. U-Net Model—Transfer Learning
2.4. Model’s Evaluation Metrics and Methods
2.4.1. Whole Abnormal Volume Evaluation
- Dice Similarity Coefficient (DSC): The DSC measures the similarity between two sets of data, often used to quantify the overlap between detected and ground truth segmentations. It ranges from 0 (no overlap) to 1 (perfect overlap), providing an indication of segmentation accuracy. The formula for DSC is:
- Sensitivity, or Recall, is the proportion of actual positive cases correctly identified by the model. A high sensitivity indicates a low false negative rate. The formula for sensitivity is:
- Precision: Precision is the proportion of predicted positive cases that are correctly identified. It reflects the model’s ability to minimize false positives. The formula for precision is:
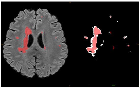
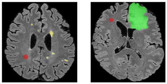
2.4.2. Single Component Abnormal Volume Evaluation
- “Found” (DSC ≥ 0.5): A threshold of 0.5 is frequently used as a minimum for meaningful overlap, as it indicates that at least half of the volume of a segmented region matches the ground truth. This threshold has been applied in tumor segmentation tasks, including challenges like BraTS (Brain Tumor Segmentation) and LiTS (Liver Tumor Segmentation), to identify valid detections where segmentation reasonably approximates the expert annotations [31,32].
- “Partially Found” (0.05 ≤ DSC < 0.5): The range from 0.05 to 0.5 accounts for partial matches where detection may overlap the GT but insufficiently to qualify as a reliable segmentation. This category acknowledges borderline cases that may provide some utility, for instance, hinting at the presence of a lesion but failing in detailed segmentation.
- “Missed” (DSC < 0.05): A DSC below 0.05 indicates negligible overlap, typically attributed to false negatives or detections that do not align meaningfully with the GT. Such cases are considered failed attempts to segment the target correctly.
2.4.3. Volume, Positional, and Intensity Analysis
3. Results
3.1. Whole Abnormal Volume Evaluation
3.2. Single Component Volume Evaluation
3.3. Single Component Position Evaluation
3.4. Single Component Intensity Evaluation
4. Discussion
4.1. Whole Abnormal Volume Evaluation Assessment
4.2. Single Component Abnormal Volume Evaluation Assessment
4.3. Positional Analysis Assessment
4.4. Intensity Analysis Assessment
5. Limitations—Future Perspectives
6. Conclusions
Supplementary Materials
Author Contributions
Funding
Institutional Review Board Statement
Informed Consent Statement
Data Availability Statement
Conflicts of Interest
References
- Giovannoni, G.; Butzkueven, H.; Dhib-Jalbut, S.; Hobart, J.; Kobelt, G.; Pepper, G.; Sormani, M.P.; Thalheim, C.; Traboulsee, A.; Vollmer, T. Brain health: Time matters in multiple sclerosis. Mult. Scler. Relat. Disord. 2016, 9 (Suppl. S1), S5–S48. [Google Scholar] [CrossRef] [PubMed]
- DeAngelis, L.M. Brain tumors. N. Engl. J. Med. 2001, 344, 114–123. [Google Scholar] [CrossRef] [PubMed]
- Vermeer, S.E.; Longstreth, W.T., Jr.; Koudstaal, P.J. Silent brain infarcts: A systematic review. Lancet Neurol. 2007, 6, 611–619. [Google Scholar] [CrossRef] [PubMed]
- Gouw, A.A.; Seewann, A.; van der Flier, W.M.; Barkhof, F.; Rozemuller, A.M.; Scheltens, P.; Geurts, J.J. Heterogeneity of small vessel disease: A systematic review of MRI and histopathology correlations. J. Neurol. Neurosurg. Psychiatry 2011, 82, 126–135. [Google Scholar] [CrossRef]
- Filippi, M.; Bruck, W.; Chard, D.; Fazekas, F.; Geurts, J.J.G.; Enzinger, C.; Hametner, S.; Kuhlmann, T.; Preziosa, P.; Rovira, A.; et al. Association between pathological and MRI findings in multiple sclerosis. Lancet Neurol. 2019, 18, 198–210. [Google Scholar] [CrossRef]
- Yamanakkanavar, N.; Choi, J.Y.; Lee, B. MRI Segmentation and Classification of Human Brain Using Deep Learning for Diagnosis of Alzheimer’s Disease: A Survey. Sensors 2020, 20, 3243. [Google Scholar] [CrossRef]
- Dlamini, Z.; Francies, F.Z.; Hull, R.; Marima, R. Artificial intelligence (AI) and big data in cancer and precision oncology. Comput. Struct. Biotechnol. J. 2020, 18, 2300–2311. [Google Scholar] [CrossRef]
- Norori, N.; Hu, Q.; Aellen, F.M.; Faraci, F.D.; Tzovara, A. Addressing bias in big data and AI for health care: A call for open science. Patterns 2021, 2, 100347. [Google Scholar] [CrossRef]
- Shoeibi, A.; Khodatars, M.; Jafari, M.; Ghassemi, N.; Moridian, P.; Alizadehsani, R.; Ling, S.H.; Khosravi, A.; Alinejad-Rokny, H.; Lam, H.K.; et al. Diagnosis of brain diseases in fusion of neuroimaging modalities using deep learning: A review. Inf. Fusion 2023, 93, 85–117. [Google Scholar] [CrossRef]
- Yaqub, M.; Feng, J.; Zia, M.S.; Arshid, K.; Jia, K.; Rehman, Z.U.; Mehmood, A. State-of-the-art CNN optimizer for brain tumor segmentation in magnetic resonance images. Brain Sci. 2020, 10, 427. [Google Scholar] [CrossRef]
- Ronneberger, O.; Fischer, P.; Brox, T. U-net: Convolutional networks for biomedical image segmentation. In Proceedings of the Medical Image Computing and Computer—Assisted Intervention—MICCAI 2015: 18th International Conference, Munich, Germany, 5–9 October 2015; Proceedings, Part III 18. pp. 234–241. [Google Scholar]
- Cinar, N.; Ozcan, A.; Kaya, M. A hybrid DenseNet121-UNet model for brain tumor segmentation from MR Images. Biomed. Signal Process. Control 2022, 76, 103647. [Google Scholar] [CrossRef]
- Russakovsky, O.; Deng, J.; Su, H.; Krause, J.; Satheesh, S.; Ma, S.; Huang, Z.; Karpathy, A.; Khosla, A.; Bernstein, M. Imagenet large scale visual recognition challenge. Int. J. Comput. Vis. 2015, 115, 211–252. [Google Scholar] [CrossRef]
- Yousaf, F.; Iqbal, S.; Fatima, N.; Kousar, T.; Shafry Mohd Rahim, M. Multi-class disease detection using deep learning and human brain medical imaging. Biomed. Signal Process. Control 2023, 85, 104875. [Google Scholar] [CrossRef]
- Zhang, Y.; Zhong, P.; Jie, D.; Wu, J.; Zeng, S.; Chu, J.; Liu, Y.; Wu, E.X.; Tang, X. Brain Tumor Segmentation From Multi-Modal MR Images via Ensembling UNets. Front. Radiol. 2021, 1, 704888. [Google Scholar] [CrossRef] [PubMed]
- Allah, A.M.G.; Sarhan, A.M.; Elshennawy, N.M. Edge U-Net: Brain tumor segmentation using MRI based on deep U-Net model with boundary information. Expert Syst. Appl. 2023, 213, 118833. [Google Scholar] [CrossRef]
- Ferreira, A.; Solak, N.; Li, J.; Dammann, P.; Kleesiek, J.; Alves, V.; Egger, J. How we won BraTS 2023 Adult Glioma challenge? Just faking it! Enhanced Synthetic Data Augmentation and Model Ensemble for brain tumour segmentation. arXiv 2024, arXiv:2402.17317. [Google Scholar]
- Huang, L.; Zhao, Z.; An, L.; Gong, Y.; Wang, Y.; Yang, Q.; Wang, Z.; Hu, G.; Wang, Y.; Guo, C. 2.5 D transfer deep learning model for segmentation of contrast-enhancing lesions on brain magnetic resonance imaging of multiple sclerosis and neuromyelitis optica spectrum disorder. Quant. Imaging Med. Surg. 2024, 14, 273. [Google Scholar] [CrossRef]
- Ashtari, P.; Barile, B.; Van Huffel, S.; Sappey-Marinier, D. New multiple sclerosis lesion segmentation and detection using pre-activation U-Net. Front. Neurosci. 2022, 16, 975862. [Google Scholar] [CrossRef]
- Xue, Y.; Farhat, F.G.; Boukrina, O.; Barrett, A.M.; Binder, J.R.; Roshan, U.W.; Graves, W.W. A multi-path 2.5 dimensional convolutional neural network system for segmenting stroke lesions in brain MRI images. NeuroImage Clin. 2020, 25, 102118. [Google Scholar] [CrossRef]
- Wu, J.; Zhang, Y.; Wang, K.; Tang, X. Skip connection U-Net for white matter hyperintensities segmentation from MRI. IEEE Access 2019, 7, 155194–155202. [Google Scholar] [CrossRef]
- Guerrero, R.; Qin, C.; Oktay, O.; Bowles, C.; Chen, L.; Joules, R.; Wolz, R.; Valdés-Hernández, M.d.C.; Dickie, D.A.; Wardlaw, J. White matter hyperintensity and stroke lesion segmentation and differentiation using convolutional neural networks. NeuroImage Clin. 2018, 17, 918–934. [Google Scholar] [CrossRef] [PubMed]
- Yushkevich, P.A.; Piven, J.; Hazlett, H.C.; Smith, R.G.; Ho, S.; Gee, J.C.; Gerig, G. User-guided 3D active contour segmentation of anatomical structures: Significantly improved efficiency and reliability. Neuroimage 2006, 31, 1116–1128. [Google Scholar] [CrossRef] [PubMed]
- Shorten, C.; Khoshgoftaar, T.M. A survey on image data augmentation for deep learning. J. Big Data 2019, 6, 60. [Google Scholar] [CrossRef]
- Khalil, K.; Eldash, O.; Kumar, A.; Bayoumi, M. Designing novel AAD pooling in hardware for a convolutional neural network accelerator. IEEE Trans. Very Large Scale Integr. VLSI Syst. 2022, 30, 303–314. [Google Scholar] [CrossRef]
- Szegedy, C.; Vanhoucke, V.; Ioffe, S.; Shlens, J.; Wojna, Z. Rethinking the inception architecture for computer vision. In Proceedings of the IEEE Conference on Computer Vision and Pattern Recognition, Las Vegas, NV, USA, 27–30 June 2016; pp. 2818–2826. [Google Scholar]
- Available online: https://keras.io/api/applications (accessed on 25 March 2024).
- Isensee, F.; Jäger, P.F.; Full, P.M.; Vollmuth, P.; Maier-Hein, K.H. nnU-Net for brain tumor segmentation. In Brainlesion: Glioma, Multiple Sclerosis, Stroke and Traumatic Brain Injuries, Proceedings of the 6th International Workshop, BrainLes 2020, Held in Conjunction with MICCAI 2020, Lima, Peru, 4 October 2020; Springer: Berlin/Heidelberg, Germany, 2021; Revised Selected Papers, Part II 6; pp. 118–132. [Google Scholar]
- Maani, F.; Hashmi, A.U.R.; Aljuboory, M.; Saeed, N.; Sobirov, I.; Yaqub, M. Advanced Tumor Segmentation in Medical Imaging: An Ensemble Approach for BraTS 2023 Adult Glioma and Pediatric Tumor Tasks. arXiv 2024, arXiv:2403.09262. [Google Scholar]
- Kuş, Z.; Aydin, M. MedSegBench: A comprehensive benchmark for medical image segmentation in diverse data modalities. Sci. Data 2024, 11, 1283. [Google Scholar] [CrossRef]
- Available online: https://www.med.upenn.edu/cbica/brats/ (accessed on 30 March 2024).
- Available online: https://competitions.codalab.org/competitions/17094 (accessed on 15 April 2024).
- Available online: https://pandas.pydata.org/ (accessed on 20 April 2024).
- Available online: https://matplotlib.org/ (accessed on 20 April 2024).
- LaBella, D.; Baid, U.; Khanna, O.; McBurney-Lin, S.; McLean, R.; Nedelec, P.; Rashid, A.; Tahon, N.H.; Altes, T.; Bhalerao, R. Analysis of the BraTS 2023 Intracranial Meningioma Segmentation Challenge. arXiv 2024, arXiv:2405.09787. [Google Scholar]
- Yousef, R.; Khan, S.; Gupta, G.; Siddiqui, T.; Albahlal, B.M.; Alajlan, S.A.; Haq, M.A. U-Net-based models towards optimal MR brain image segmentation. Diagnostics 2023, 13, 1624. [Google Scholar] [CrossRef]
- Jyothi, P.; Singh, A.R. Deep learning models and traditional automated techniques for brain tumor segmentation in MRI: A review. Artif. Intell. Rev. 2023, 56, 2923–2969. [Google Scholar] [CrossRef]
- Sperber, C.; Gallucci, L.; Mirman, D.; Arnold, M.; Umarova, R.M. Stroke lesion size–Still a useful biomarker for stroke severity and outcome in times of high-dimensional models. NeuroImage Clin. 2023, 40, 103511. [Google Scholar] [CrossRef]
- Amin, J.; Sharif, M.; Haldorai, A.; Yasmin, M.; Nayak, R.S. Brain tumor detection and classification using machine learning: A comprehensive survey. Complex Intell. Syst. 2021, 8, 3161–3183. [Google Scholar] [CrossRef]
- Ko, K.H.; Jung, H.K.; Park, A.Y.; Koh, J.E.; Jang, H.; Kim, Y. Accuracy of tumor size measurement on shear wave elastography (SWE): Correlation with histopathologic factors of invasive breast cancer. Medicine 2020, 99, e23023. [Google Scholar] [CrossRef] [PubMed]
- Tandel, G.S.; Biswas, M.; Kakde, O.G.; Tiwari, A.; Suri, H.S.; Turk, M.; Laird, J.R.; Asare, C.K.; Ankrah, A.A.; Khanna, N.N.; et al. A Review on a Deep Learning Perspective in Brain Cancer Classification. Cancers 2019, 11, 111. [Google Scholar] [CrossRef]
- Artusi, C.A.; Geroin, C.; Imbalzano, G.; Camozzi, S.; Aldegheri, S.; Lopiano, L.; Tinazzi, M.; Bombieri, N. Assessment of Axial Postural Abnormalities in Parkinsonism: Automatic Picture Analysis Software. Mov. Disord. Clin. Pract. 2023, 10, 636–645. [Google Scholar] [CrossRef]
- Shah, M.; Xiao, Y.; Subbanna, N.; Francis, S.; Arnold, D.L.; Collins, D.L.; Arbel, T. Evaluating intensity normalization on MRIs of human brain with multiple sclerosis. Med. Image Anal. 2011, 15, 267–282. [Google Scholar] [CrossRef]









| Image size | 256 × 256 × 3 |
| Training Epochs | 100 |
| Batch Size | 32 |
| Loss Function | Dice loss + Cross-Entropy loss |
| Not Optimizer | Adam |
| Learning Rate | 0.00001 |
| Model selection Criteria | Best validation DSC |
| DSC | Sensitivity | Precision | |
|---|---|---|---|
| Mean | 0.76 | 0.78 | 0.82 |
| STD | 0.18 | 0.20 | 0.16 |
| Median | 0.80 | 0.85 | 0.88 |
| 25 Quant. | 0.74 | 0.75 | 0.82 |
| 75 Quant. | 0.89 | 0.91 | 0.91 |
| Min. | 0.14 | 0.08 | 0.23 |
| Max. | 0.92 | 0.97 | 0.97 |
| Found GTs (True Positives) | Partially Found GTs | Missed GTs (False Negatives) | Total GTs | ||||||
| DSC ≥ 0.5 | 0.05 ≤ DSC < 0.5 | DSC < 0.05 | |||||||
| #N | % GTs | % GT Volume | #N | % GTs | % GT Volume | #N | % GTs | % GT volume | |
| 423 | 48.8 | 95.6 | 235 | 25.1 | 3.9 | 209 | 24.1 | 0.5 | 867 |
| Good Detections | Partially Good Detections | Missed Detections (False Positives) | Total Detections | ||||||
| DSC ≥ 0.5 | 0.05 ≤ DSC < 0.5 | DSC < 0.05 | |||||||
| #N | % Detections | % Detected Volume | #N | % Detections | % Detected Volume | #N | % Detections | % Detected Volume | |
| 422 | 43.9 | 97.2 | 299 | 31.0 | 1.8 | 242 | 25.1 | 1.0 | 963 |
| Model | Pathology | Modalities | DSC Score | ||||
|---|---|---|---|---|---|---|---|
| Zhang et al. [15] | Preprocessing methods + U-net | Tumors | T1, T2, FLAIR, T1ce | 0.87 | |||
| Gab Allah et al. [16] | Edge-U-net | Tumors | T1ce | 0.88 | |||
| Ferreira et al. [17] | U-net + Data Augmentation with GANs | Tumors | T1, T2, FLAIR, T1ce | 0.90 | |||
| Huang et al. [18] | Transfer learning + CNN | MS | FLAIR, T1ce | 0.66 | |||
| Pooya Ashtari et al. [19] | Pre-U- net | MS | FLAIR | 0.4 | |||
| Yunzhe et al. [20] | Multi-path CNN | Strokes | T1, FLAIR | 0.5 | |||
| Wu et al. [21] | SC U-net | WMHs | T1, FLAIR | 0.78 | |||
| Guerrero et al. [22] | uResNet | Strokes, WMHs | T1, FLAIR | 0.4–0.69 | |||
| Our method | Transfer learning + InceptionV3 encoder + U-net | Strokes, WMHs, MS, Tumors | T2, FLAIR, T1ce | Mean: 0.76 | SD *: 0.74 | MD *: 0.87 | LD *: 0.91 |
Disclaimer/Publisher’s Note: The statements, opinions and data contained in all publications are solely those of the individual author(s) and contributor(s) and not of MDPI and/or the editor(s). MDPI and/or the editor(s) disclaim responsibility for any injury to people or property resulting from any ideas, methods, instructions or products referred to in the content. |
© 2024 by the authors. Licensee MDPI, Basel, Switzerland. This article is an open access article distributed under the terms and conditions of the Creative Commons Attribution (CC BY) license (https://creativecommons.org/licenses/by/4.0/).
Share and Cite
Stathopoulos, I.; Stoklasa, R.; Kouri, M.A.; Velonakis, G.; Karavasilis, E.; Efstathopoulos, E.; Serio, L. Exploring Multi-Pathology Brain Segmentation: From Volume-Based to Component-Based Deep Learning Analysis. J. Imaging 2025, 11, 6. https://doi.org/10.3390/jimaging11010006
Stathopoulos I, Stoklasa R, Kouri MA, Velonakis G, Karavasilis E, Efstathopoulos E, Serio L. Exploring Multi-Pathology Brain Segmentation: From Volume-Based to Component-Based Deep Learning Analysis. Journal of Imaging. 2025; 11(1):6. https://doi.org/10.3390/jimaging11010006
Chicago/Turabian StyleStathopoulos, Ioannis, Roman Stoklasa, Maria Anthi Kouri, Georgios Velonakis, Efstratios Karavasilis, Efstathios Efstathopoulos, and Luigi Serio. 2025. "Exploring Multi-Pathology Brain Segmentation: From Volume-Based to Component-Based Deep Learning Analysis" Journal of Imaging 11, no. 1: 6. https://doi.org/10.3390/jimaging11010006
APA StyleStathopoulos, I., Stoklasa, R., Kouri, M. A., Velonakis, G., Karavasilis, E., Efstathopoulos, E., & Serio, L. (2025). Exploring Multi-Pathology Brain Segmentation: From Volume-Based to Component-Based Deep Learning Analysis. Journal of Imaging, 11(1), 6. https://doi.org/10.3390/jimaging11010006

