Quantitative MRI Assessment of Post-Surgical Spinal Cord Injury Through Radiomic Analysis
Abstract
1. Introduction
2. Materials and Methods
2.1. Study Cohorts
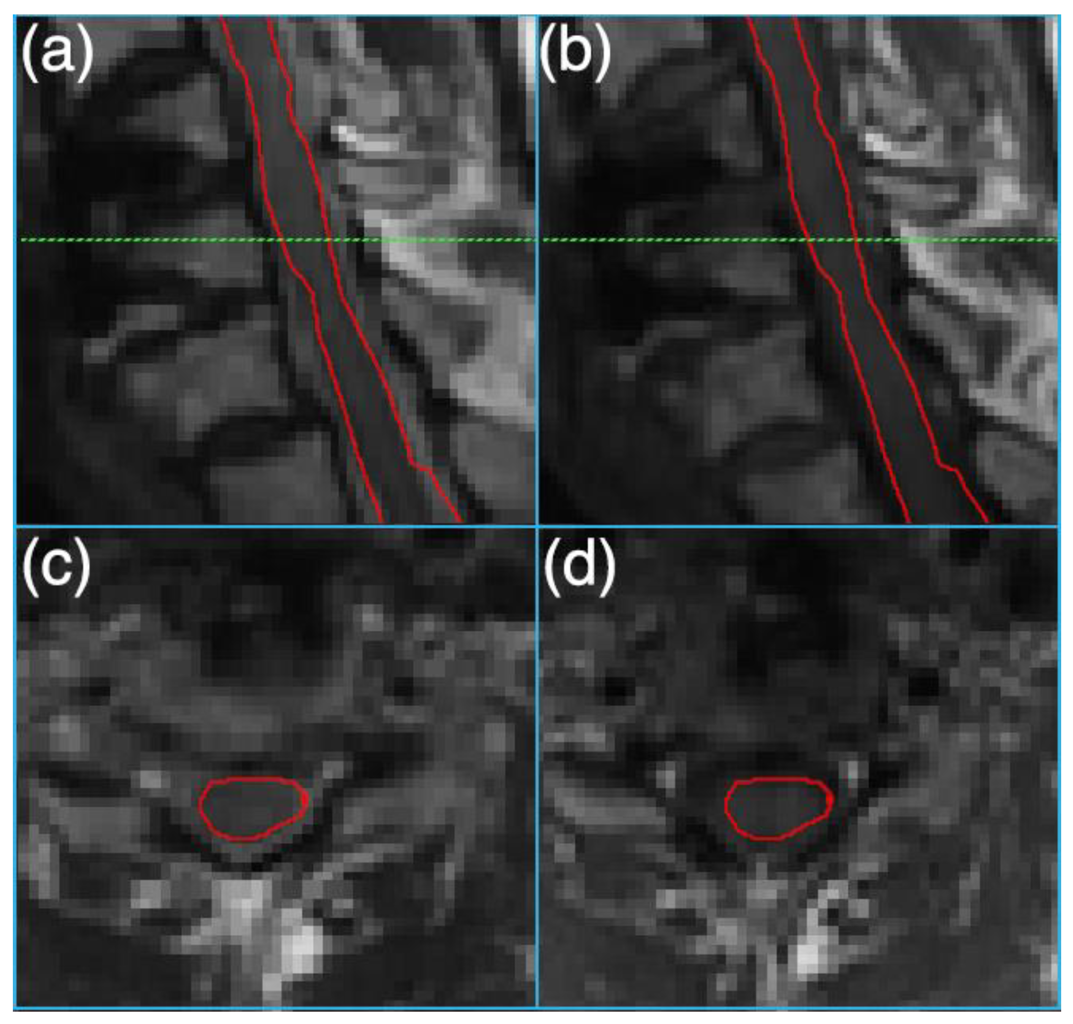
2.2. Image Analysis
2.3. Classification Framework
3. Results
4. Discussion
Author Contributions
Funding
Institutional Review Board Statement
Informed Consent Statement
Data Availability Statement
Conflicts of Interest
References
- Lee, B.B.; Cripps, R.A.; Fitzharris, M.; Wing, P.C. The global map for traumatic spinal cord injury epidemiology: Update 2011, global incidence rate. Spinal Cord 2014, 52, 110–116. [Google Scholar] [CrossRef] [PubMed]
 - Fehlings, M.G.; Singh, A.; Tetreault, L.; Kalsi-Ryan, S.; Nouri, A. Global prevalence and incidence of traumatic spinal cord injury. Clin. Epidemiol. 2014, 6, 309–331. [Google Scholar] [CrossRef] [PubMed]
 - Dulin, J.N.; Adler, A.F.; Kumamaru, H.; Poplawski, G.H.D.; Lee-Kubli, C.; Strobl, H.; Gibbs, D.; Kadoya, K.; Fawcett, J.W.; Lu, P.; et al. Injured adult motor and sensory axons regenerate into appropriate organotypic domains of neural progenitor grafts. Nat. Commun. 2018, 9, 84. [Google Scholar] [CrossRef] [PubMed]
 - Ahuja, C.S.; Wilson, J.R.; Nori, S.; Kotter, M.; Druschel, C.; Curt, A.; Fehlings, M.G. Traumatic spinal cord injury. Nat. Rev. Dis. Primers 2017, 3, 1–21. [Google Scholar] [CrossRef]
 - Shabani, S.; Meyer, B.P.; Budde, M.D.; Wang, M.C. Diagnostic Imaging in Spinal Cord Injury. Neurosurg. Clin. N. Am. 2021, 32, 323–331. [Google Scholar] [CrossRef]
 - Martin, A.R.; Aleksanderek, I.; Cohen-Adad, J.; Tarmohamed, Z.; Tetreault, L.; Smith, N.; Cadotte, D.W.; Crawley, A.; Ginsberg, H.; Mikulis, D.J.; et al. Translating state-of-the-art spinal cord MRI techniques to clinical use: A systematic review of clinical studies utilizing DTI, MT, MWF, MRS, and fMRI. NeuroImage Clin. 2016, 10, 192–238. [Google Scholar] [CrossRef]
 - Cohen-Adad, J.; El Mendili, M.-M.; Lehéricy, S.; Pradat, P.-F.; Blancho, S.; Rossignol, S.; Benali, H. Demyelination and degeneration in the injured human spinal cord detected with diffusion and magnetization transfer MRI. NeuroImage 2011, 55, 1024–1033. [Google Scholar] [CrossRef]
 - Madden, D.J.; Bennett, I.J.; Burzynska, A.; Potter, G.G.; Chen, N.-K.; Song, A.W. Diffusion tensor imaging of cerebral white matter integrity in cognitive aging. Biochim. Et Biophys. Acta (BBA)-Mol. Basis Dis. 2012, 1822, 386–400. [Google Scholar] [CrossRef]
 - Sled, J.G. Modelling and interpretation of magnetization transfer imaging in the brain. NeuroImage 2018, 182, 128–135. [Google Scholar] [CrossRef]
 - Athanasiou, A.; Klados, M.A.; Pandria, N.; Foroglou, N.; Kavazidi, K.R.; Polyzoidis, K.; Bamidis, P.D. A Systematic Review of Investigations into Functional Brain Connectivity Following Spinal Cord Injury. Front. Hum. Neurosci. 2017, 11, 517. [Google Scholar] [CrossRef]
 - Fei, N.; Li, G.; Wang, X.; Li, J.; Hu, X.; Hu, Y. Deep Learning-Based Auto-Segmentation of Spinal Cord Internal Structure of Diffusion Tensor Imaging in Cervical Spondylotic Myelopathy. Diagnostics 2023, 13, 817. [Google Scholar] [CrossRef] [PubMed]
 - Merali, Z.; Wang, J.Z.; Badhiwala, J.H.; Witiw, C.D.; Wilson, J.R.; Fehlings, M.G. A deep learning model for detection of cervical spinal cord compression in MRI scans. Sci. Rep. 2021, 11, 10473. [Google Scholar] [CrossRef] [PubMed]
 - Lambin, P.; Leijenaar, R.T.H.; Deist, T.M.; Peerlings, J.; de Jong, E.E.C.; van Timmeren, J.; Sanduleanu, S.; Larue, R.T.H.M.; Even, A.J.G.; Jochems, A.; et al. Radiomics: The bridge between medical imaging and personalized medicine. Nat. Rev. Clin. Oncol. 2017, 14, 749–762. [Google Scholar] [CrossRef] [PubMed]
 - Aerts, H.J.W.L.; Velazquez, E.R.; Leijenaar, R.T.H.; Parmar, C.; Grossmann, P.; Carvalho, S.; Bussink, J.; Monshouwer, R.; Haibe-Kains, B.; Rietveld, D.; et al. Decoding tumour phenotype by noninvasive imaging using a quantitative radiomics approach. Nat. Commun. 2014, 5, 4006. [Google Scholar] [CrossRef] [PubMed]
 - Okimatsu, S.; Maki, S.; Furuya, T.; Fujiyoshi, T.; Kitamura, M.; Inada, T.; Aramomi, M.; Yamauchi, T.; Miyamoto, T.; Inoue, T.; et al. Determining the short-term neurological prognosis for acute cervical spinal cord injury using machine learning. J. Clin. Neurosci. 2022, 96, 74–79. [Google Scholar] [CrossRef]
 - Hargreaves, B.A.; Worters, P.W.; Pauly, K.B.; Pauly, J.M.; Koch, K.M.; Gold, G.E. Metal-Induced Artifacts in MRI. Am. J. Roentgenol. 2011, 197, 547–555. [Google Scholar] [CrossRef]
 - Koch, K.M.; Lorbiecki, J.E.; Hinks, R.S.; King, K.F. A multispectral three-dimensional acquisition technique for imaging near metal implants. Magn. Reson. Med. 2009, 61, 381–390. [Google Scholar] [CrossRef]
 - Kocak, B.; Baessler, B.; Bakas, S.; Cuocolo, R.; Fedorov, A.; Maier-Hein, L.; Mercaldo, N.; Müller, H.; Orlhac, F.; dos Santos, D.P.; et al. CheckList for EvaluAtion of Radiomics research (CLEAR): A step-by-step reporting guideline for authors and reviewers endorsed by ESR and EuSoMII. Insights Into Imaging 2023, 14, 75. [Google Scholar] [CrossRef]
 - Koch, K.M.; Nencka, A.S.; Klein, A.; Wang, M.; Kurpad, S.; Vedantam, A.; Budde, M. Diffusion-weighted MRI of the spinal cord in cervical spondylotic myelopathy after instrumented fusion. Front. Neurol. 2023, 14, 1172833. [Google Scholar] [CrossRef]
 - De Leener, B.; Lévy, S.; Dupont, S.M.; Fonov, V.S.; Stikov, N.; Collins, D.L.; Callot, V.; Cohen-Adad, J. SCT: Spinal Cord Toolbox, an open-source software for processing spinal cord MRI data. NeuroImage 2017, 145, 24–43. [Google Scholar] [CrossRef]
 - van Griethuysen, J.J.M.; Fedorov, A.; Parmar, C.; Hosny, A.; Aucoin, N.; Narayan, V.; Beets-Tan, R.G.H.; Fillion-Robin, J.-C.; Pieper, S.; Aerts, H.J.W.L. Computational Radiomics System to Decode the Radiographic Phenotype. Cancer Res. 2017, 77, e104–e107. [Google Scholar] [CrossRef] [PubMed]
 - LeDell, E.; Poirier, S. H2O AutoML: Scalable automatic machine learning. In 7th ICML Workshop on Automated Machine Learning (AutoML); ICML: San Diego, CA, USA, 2020. [Google Scholar]
 - Ryan, R.; Klautau, A. In Defense of One-Vs-All Classification. J. Mach. Learn. Res. 2004, 5, 101–141. Available online: http://www.jmlr.org/papers/v5/rifkin04a.html (accessed on 5 November 2024).
 



| Cohorts | Gender | Count | Age | BMI | ASIA: A | ASIA: B | ASIA: C | ASIA: D | 
|---|---|---|---|---|---|---|---|---|
| Healthy | Female | 25 | 47.52 ± 15.23 | 27.22 ± 7.18 | - | - | - | - | 
| Male | 25 | 48.50 ± 16.92 | 27.84 ± 4.67 | - | - | - | - | |
| Total | 50 | 48.02 ± 15.96 | 27.54 ± 5.98 | - | - | - | - | |
| SCI | Female | 6 | 59.50 ± 18.62 | 25.57 ± 5.90 | 0 | 1 | 2 | 3 | 
| Male | 6 | 48.50 ± 21.95 | 23.52 ± 2.68 | 2 | 1 | 1 | 2 | |
| Total | 12 | 54.00 ± 20.24 | 24.54 ± 4.50 | 2 | 2 | 3 | 5 | 
Disclaimer/Publisher’s Note: The statements, opinions and data contained in all publications are solely those of the individual author(s) and contributor(s) and not of MDPI and/or the editor(s). MDPI and/or the editor(s) disclaim responsibility for any injury to people or property resulting from any ideas, methods, instructions or products referred to in the content.  | 
© 2024 by the authors. Licensee MDPI, Basel, Switzerland. This article is an open access article distributed under the terms and conditions of the Creative Commons Attribution (CC BY) license (https://creativecommons.org/licenses/by/4.0/).
Share and Cite
Sharafi, A.; Klein, A.P.; Koch, K.M. Quantitative MRI Assessment of Post-Surgical Spinal Cord Injury Through Radiomic Analysis. J. Imaging 2024, 10, 312. https://doi.org/10.3390/jimaging10120312
Sharafi A, Klein AP, Koch KM. Quantitative MRI Assessment of Post-Surgical Spinal Cord Injury Through Radiomic Analysis. Journal of Imaging. 2024; 10(12):312. https://doi.org/10.3390/jimaging10120312
Chicago/Turabian StyleSharafi, Azadeh, Andrew P. Klein, and Kevin M. Koch. 2024. "Quantitative MRI Assessment of Post-Surgical Spinal Cord Injury Through Radiomic Analysis" Journal of Imaging 10, no. 12: 312. https://doi.org/10.3390/jimaging10120312
APA StyleSharafi, A., Klein, A. P., & Koch, K. M. (2024). Quantitative MRI Assessment of Post-Surgical Spinal Cord Injury Through Radiomic Analysis. Journal of Imaging, 10(12), 312. https://doi.org/10.3390/jimaging10120312
        
