Establishment of a Virus-Induced Gene-Silencing (VIGS) System in Passiflora edulis Sims and Its Use in the Functional Analysis of PechlH
Abstract
1. Introduction
2. Materials and Methods
2.1. Plant Material and Growing Conditions
2.2. Gene Cloning and Vector Construction
2.3. Agrobacterium Infestation
2.4. Fluorescence Quantitative PCR Analysis
2.5. Data Analysis
3. Results
3.1. TRV-Mediated VIGS System Successfully Applied to Passion Fruit
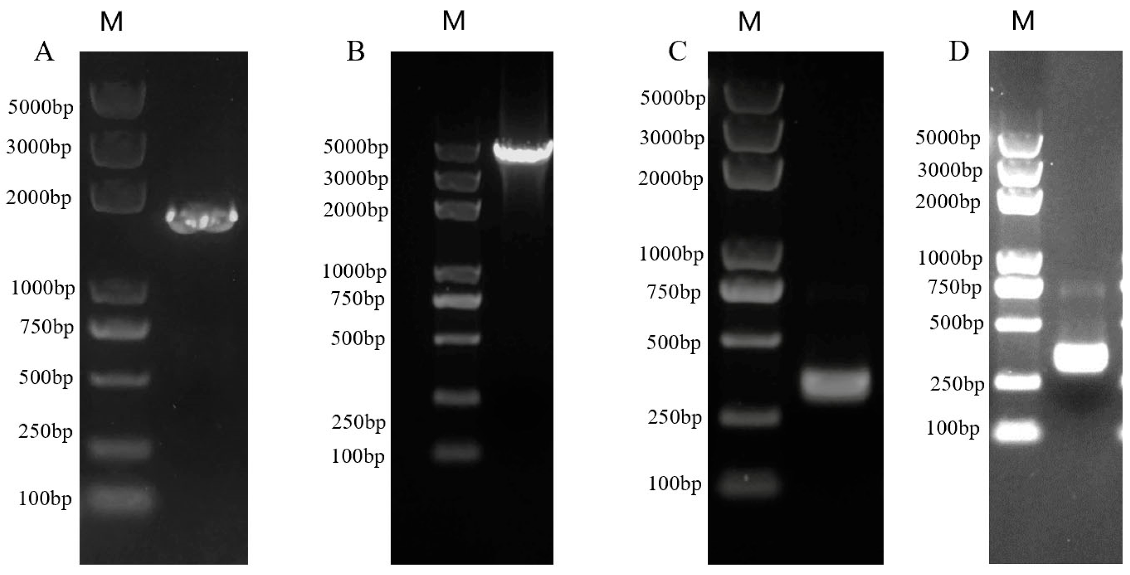
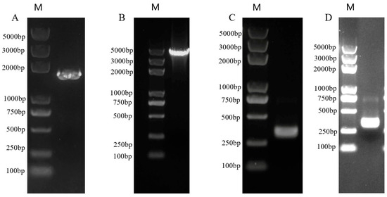
3.1.1. Homologous Cloning of PePDS and PechlH Genes in Passion Leaf
3.1.2. TRV-Mediated System Successfully Validated PePDS Gene
3.1.3. TRV-Mediated System Successfully Validated PechlH
3.2. Optimised VIGS System in Passion Fruit
4. Discussion
5. Conclusions
Supplementary Materials
Author Contributions
Funding
Data Availability Statement
Acknowledgments
Conflicts of Interest
References
- Liu, Y.L.; Tang, J.R.; Zhou, Y.H. Identification and Description of a New Pathogen Causing Flower Dry Rot on Passiflora edulis in China. Plant Dis. 2021, 105, 1967–1975. [Google Scholar] [CrossRef] [PubMed]
- Nerdy, N.; Ritarwan, K. Hepatoprotective Activity and Nephroprotective Activity of Peel Extract from Three Varieties of the Passion Fruit (Passiflora sp.) in the Albino Rat. Open Access Maced. J. Med. Sci. 2019, 7, 536–542. [Google Scholar] [CrossRef] [PubMed]
- Qiu, W.W.; Su, W.Q.; Cai, Z.Y.; Dong, L.; Li, C.B.; Xin, M.; Fang, W.K.; Liu, Y.Q.; Wang, X.M.; Huang, Z.B.; et al. Combined Analysis of Transcriptome and Metabolome Reveals the Potential Mechanism of Coloration and Fruit Quality in Yellow and Purple Passiflora edulis Sims. J. Agric. Food Chem. 2020, 68, 12096–12106. [Google Scholar] [CrossRef] [PubMed]
- Melo, N.F.D.; Cervi, A.C.; Guerra, M. Karyology and cytotaxonomy of the genus Passiflora L. (Passifloraceae). Plant Syst. Evol. 2001, 226, 69–84. [Google Scholar] [CrossRef]
- Manders, G.; Otoni, W.C.; Vaz, F.B.D.; Blackball, N.W.; Power, J.B.; Davey, M.R. Transformation of passion fruit (Passiflora edulis fv flavicarpa Degener.) using Agrobacterium tumefaciens. Plant Cell Rep. 1994, 13, 697–702. [Google Scholar] [CrossRef] [PubMed]
- Tuhaise, S.; Nakavuma, J.; Adriko, J.; Ssekatawa, K.; Kiggundu, A. Establishment of a transformation protocol for Uganda’s yellow passion fruit using the gus gene. Afr. J. Biotechnol. 2019, 18, 416–425. [Google Scholar]
- Asande, L.K.; Omwoyo, R.O.; Oduor, R.O.; Nyaboga, E.N. A simple and fast Agrobacterium-mediated transformation system for passion fruit KPF4 (Passiflora edulis f. edulis × Passiflora edulis f. flavicarpa). Plant Methods 2020, 16, 141. [Google Scholar]
- Rizwan, H.M.; Yang, Q.; Yousef, A.F.; Zhang, X.X.; Sharif, Y.; Kaijie, J.; Shi, M.; Li, H.; Munir, N.; Yang, X.L.; et al. Establishment of a Novel and Efficient Agrobacterium-Mediated in Planta Transformation System for Passion Fruit (Passiflora edulis). Plants 2021, 10, 2459. [Google Scholar] [CrossRef]
- Rössner, C.; Lotz, D.; Becker, A. VIGS Goes Viral: How VIGS Transforms Our Understanding of Plant Science. Annu. Rev. Plant Biol. 2022, 73, 703–728. [Google Scholar] [CrossRef]
- Kumagai, M.H.; Donson, J.; della-Cioppa, G.; Harvey, D.; Kanley, K.; Grill, L.K. Cytoplasmic inhibition of carotenoid biosynthesis with virus-derived RNA. Proc. Natl. Acad. Sci. USA 1995, 92, 1679–1683. [Google Scholar] [CrossRef]
- Zulfiqar, S.; Farooq, M.A.; Zhao, T.T.; Wang, P.P.; Tabusam, J.; Wang, Y.H.; Xuan, S.X.; Zhao, J.J.; Chen, X.P.; Shen, S.X.; et al. Virus-Induced Gene Silencing (VIGS): A Powerful Tool for Crop Improvement and Its Advancement towards Epigenetics. Int. J. Mol. Sci. 2023, 24, 5608. [Google Scholar] [CrossRef]
- Yan, H.J.; Zhang, Z.; Magnard, J.-L.; Boachon, B.; Baudino, S.; Tang, K.X. Virus-Induced Gene Silencing in Rose Flowers. Methods Mol. Biol. 2020, 2172, 223–232. [Google Scholar] [PubMed]
- Koudounas, K.; Thomopoulou, M.; Angeli, E.; Tsitsekian, D.; Rigas, S.; Hatzopoulos, P. Virus-Induced Gene Silencing in Olive Tree (Oleaceae). Methods Mol. Biol. 2020, 2172, 165–182. [Google Scholar] [PubMed]
- Li, G.D.; Li, Y.; Yao, X.Z.; Lu, L.T. Establishment of a Virus-Induced Gene-Silencing (VIGS) System in Tea Plant and Its Use in the Functional Analysis of CsTCS1. Int. J. Mol. Sci. 2022, 24, 392. [Google Scholar] [CrossRef] [PubMed]
- Pan, W.Q.; Li, J.R.; Du, Y.P.; Zhao, Y.J.; Xin, Y.; Wang, S.K.; Liu, C.; Lin, Z.M.; Fang, S.Z.; Yang, Y.D.; et al. Epigenetic silencing of callose synthase by VIL1 promotes bud-growth transition in lily bulbs. Nat. Plants 2023, 9, 1451–1467. [Google Scholar] [CrossRef] [PubMed]
- Lange, M.; Yellina, A.L.; Orashakova, S.; Becker, A. Virus-induced gene silencing (VIGS) in plants: An overview of target species and the virus-derived vector systems. Methods Mol. Biol. 2013, 975, 1–14. [Google Scholar] [PubMed]
- Liu, R.; Martin-Hernandez, A.M.; Peart, J.R.; Malcuit, I.; Baulcombe, D.C. Virus-induced gene silencing in plants. Methods 2003, 30, 296–303. [Google Scholar] [CrossRef] [PubMed]
- Xu, H.; Xu, L.F.; Yang, P.P.; Cao, Y.W.; Tang, Y.C.; He, G.R.; Yuan, S.X.; Ming, J. Tobacco rattle virus-induced PHYTOENE DESATURASE (PDS) and Mg-chelatase H subunit (ChlH) gene silencing in Solanum pseudocapsicum L. Peer J. 2018, 6, e4424. [Google Scholar] [CrossRef]
- Jeyabharathy, C.; Shakila, H.; Usha, R. Development of a VIGS vector based on the β-satellite DNA associated with bhendi yellow vein mosaic virus. Virus Res. 2015, 195, 73–78. [Google Scholar] [CrossRef]
- Naing, A.H.; Kyu, S.Y.; Pe, P.P.W.; Park, K.L.; Lee, J.M.; Lim, K.B.; Kim, C.K. Silencing of the phytoene desaturase (PDS) gene affects the expression of fruit-ripening genes in tomatoes. Plant Methods 2019, 15, 110. [Google Scholar] [CrossRef]
- Liu, Y.L.; Lyu, R.Q.; Singleton, J.J.; Patra, B.; Pattanaik, S.; Yuan, L. A Cotyledon-based Virus-Induced Gene Silencing (Cotyledon-VIGS) approach to study specialized metabolism in medicinal plants. Plant Methods 2024, 20, 26. [Google Scholar] [CrossRef] [PubMed]
- Adhikari, N.D.; Froehlich, J.E.; Strand, D.D.; Buck, S.M.; Kramer, D.M.; Larkin, R.M. GUN4-porphyrin complexes bind the ChlH/GUN5 subunit of Mg-Chelatase and promote chlorophyll biosynthesis in Arabidopsis. Plant Cell 2011, 23, 1449–1467. [Google Scholar] [CrossRef] [PubMed]
- Zhang, M.; Shen, J.S.; Wu, Y.T.; Zhang, X.L.; Zhao, Z.T.; Wang, J.; Chen, T.R.; Zhang, Q.X.; Pan, H.T. Comparative transcriptome analysis identified ChlH and POLGAMMA2 in regulating yellow-leaf coloration in Forsythia. Front. Plant Sci. 2022, 13, 1009575. [Google Scholar] [CrossRef]
- Xiao, Z.L.; Xing, M.M.; Liu, X.; Fang, F.Y.; Yang, L.M.; Zhang, Y.Y.; Wang, Y.; Zhuang, M.; Lv, H.H. An efficient virus-induced gene silencing (VIGS) system for functional genomics in Brassicas using a cabbage leaf curl virus (CaLCuV)-based vector. Planta 2020, 252, 42. [Google Scholar] [CrossRef] [PubMed]
- Hiriart, J.-B.; Aro, E.-M.; Lehto, K. Dynamics of the VIGS-mediated chimeric silencing of the Nicotiana benthamiana ChlH gene and of the tobacco mosaic virus vector. Mol. Plant Microbe Interact. 2003, 16, 99–106. [Google Scholar] [CrossRef] [PubMed]
- Rojas-Hernandez, N.; Véliz, D.; Vega-Retter, C. Selection of suitable reference genes for gene expression analysis in gills and liver of fish under field pollution conditions. Sci. Rep. 2019, 9, 3459. [Google Scholar] [CrossRef]
- Santos, O.D.; Rigo, G.D.V.; Frasson, A.P.; Macedo, A.J.; Tasca, T. Optimal Reference Genes for Gene Expression Normalization in Trichomonas vaginalis. PLoS ONE 2015, 10, e0138331. [Google Scholar] [CrossRef]
- Chen, M.-D.; Wang, B.; Li, Y.-P.; Zeng, M.-J.; Liu, J.-T.; Ye, X.-R.; Zhu, H.-S.; Wen, Q.-F. Reference gene selection for qRT-PCR analyses of luffa (Luffa cylindrica) plants under abiotic stress conditions. Sci. Rep. 2021, 11, 3161. [Google Scholar] [CrossRef]



Disclaimer/Publisher’s Note: The statements, opinions and data contained in all publications are solely those of the individual author(s) and contributor(s) and not of MDPI and/or the editor(s). MDPI and/or the editor(s) disclaim responsibility for any injury to people or property resulting from any ideas, methods, instructions or products referred to in the content. |
© 2024 by the authors. Licensee MDPI, Basel, Switzerland. This article is an open access article distributed under the terms and conditions of the Creative Commons Attribution (CC BY) license (https://creativecommons.org/licenses/by/4.0/).
Share and Cite
Zhang, L.; Yi, X.; Wang, S.; Ali, M.M.; Zheng, Y.; Lin, Z.; Chen, F. Establishment of a Virus-Induced Gene-Silencing (VIGS) System in Passiflora edulis Sims and Its Use in the Functional Analysis of PechlH. Horticulturae 2024, 10, 422. https://doi.org/10.3390/horticulturae10040422
Zhang L, Yi X, Wang S, Ali MM, Zheng Y, Lin Z, Chen F. Establishment of a Virus-Induced Gene-Silencing (VIGS) System in Passiflora edulis Sims and Its Use in the Functional Analysis of PechlH. Horticulturae. 2024; 10(4):422. https://doi.org/10.3390/horticulturae10040422
Chicago/Turabian StyleZhang, Lijuan, Xiaoyan Yi, Shaojuan Wang, Muhammad Moaaz Ali, Yiping Zheng, Zhimin Lin, and Faxing Chen. 2024. "Establishment of a Virus-Induced Gene-Silencing (VIGS) System in Passiflora edulis Sims and Its Use in the Functional Analysis of PechlH" Horticulturae 10, no. 4: 422. https://doi.org/10.3390/horticulturae10040422
APA StyleZhang, L., Yi, X., Wang, S., Ali, M. M., Zheng, Y., Lin, Z., & Chen, F. (2024). Establishment of a Virus-Induced Gene-Silencing (VIGS) System in Passiflora edulis Sims and Its Use in the Functional Analysis of PechlH. Horticulturae, 10(4), 422. https://doi.org/10.3390/horticulturae10040422

