Efficient and Direct Identification of Ditylenchus destructor and D. dipsaci in Soil and Plant Tissues Using a Species-Specific PCR Assay
Abstract
1. Introduction
2. Materials and Methods
2.1. Nematode Populations Collection and Cultivation
2.2. DNA Extraction
2.3. Molecular Cloning and DNA Sequencing
2.4. Primer Design and PCR Assays
2.5. Species-Specific Amplification
2.6. Sensitivity Test of Developed Primers
2.7. General Detection of Specific Primers for D. destructor
2.8. Direct Detection of Ditylenchus destructor in Plant and Soil Samples
3. Results
3.1. Primer Design and Screening
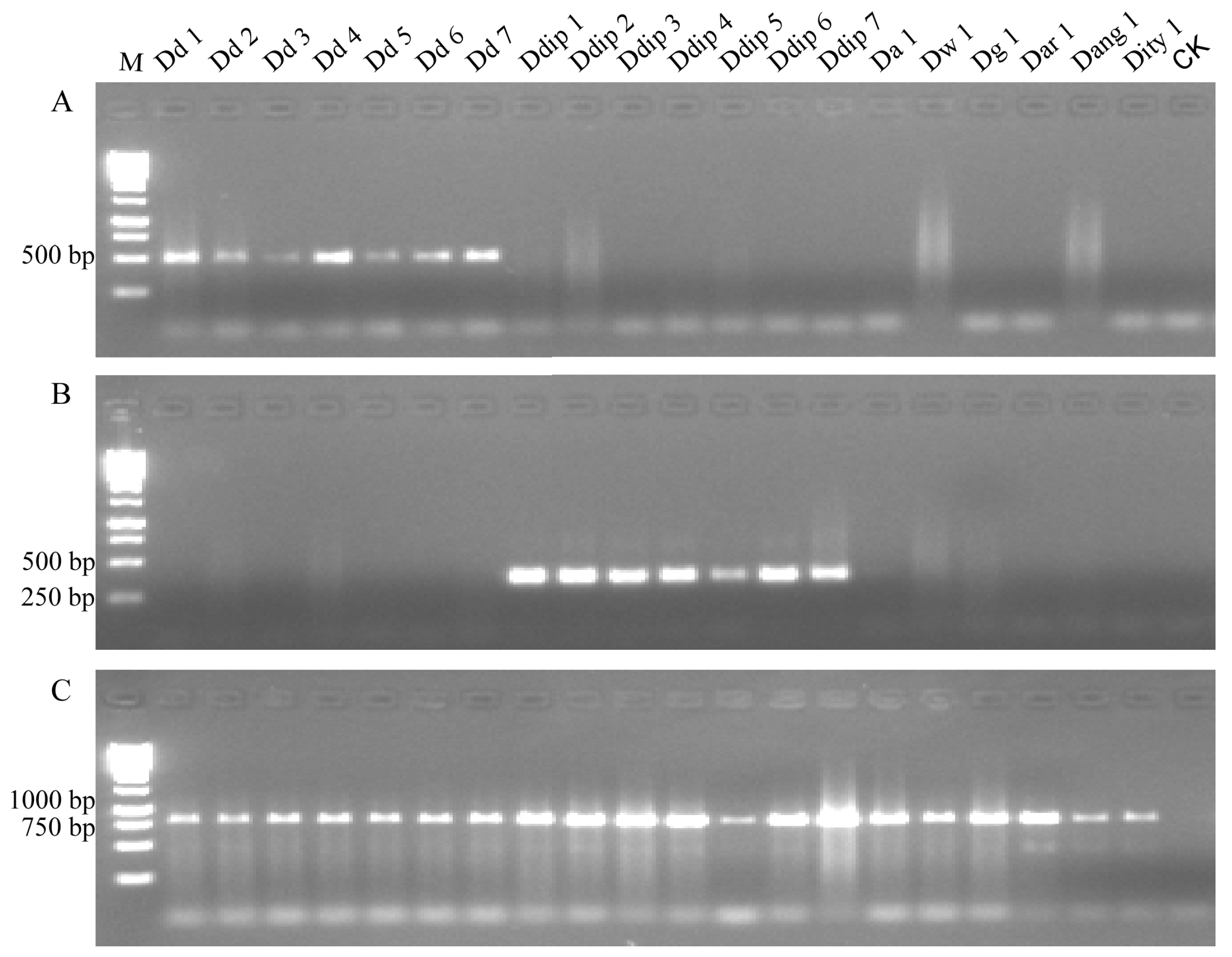
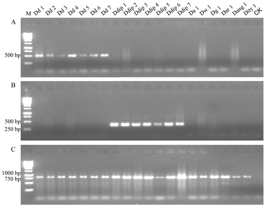
3.2. Specific Test
3.3. Detection Sensitivity of the Species-Specific PCR Assays
3.4. Universality Test of the Primer for D. destructor
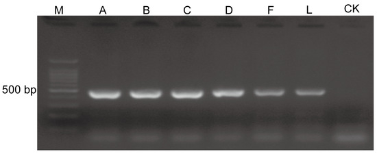
3.5. Direct Detection of Ditylenchus destructor in Plant and Soil Samples
4. Discussion
5. Conclusions
Author Contributions
Funding
Data Availability Statement
Acknowledgments
Conflicts of Interest
References
- Brzeski, M.W. Review of the genus Ditylenchus Filipjev, 1936 (Nematoda: Anguinidae). Rev. Nématol 1991, 14, 9–59. [Google Scholar]
- Nickle, W.R. Manual of Agricultural Nematology, 1st ed.; CRC Press: Boca Raton, FL, USA, 1991. [Google Scholar] [CrossRef]
- European and Mediterranean Plant Protection Organization. Ditylenchus destructor and Ditylenchus dipsaci. EPPO Bull. 2008, 38, 363–373. [Google Scholar] [CrossRef]
- Khan, M.R.; Quintanilla, M. Nematode Diseases of Crops and their Sustainable Management; Academic Press: Cambridge, MA, USA, 2023; pp. 655–683. [Google Scholar] [CrossRef]
- Kantor, M.; Handoo, Z.; Kantor, C.; Carta, L. Top Ten Most Important U.S.-Regulated and Emerging Plant-Parasitic Nematodes. Horticulturae 2022, 8, 208. [Google Scholar] [CrossRef]
- Wharton, D.A.; Barrett, J. Ultrastructural changes during recovery from anabiosis in the plant parasitic nematode, Ditylenchus. Tissue Cell 1985, 17, 79–96. [Google Scholar] [CrossRef]
- Storelli, A.; Kiewnick, S.; Daub, M.; Mahlein, A.K.; Schumann, M.; Beyer, W.; Keiser, A. Virulence and pathogenicity of four Ditylenchus dipsaci populations on sugar beet. Eur. J. Plant Pathol. 2021, 161, 63–71. [Google Scholar] [CrossRef]
- Yu, Q.; Zaida, M.; Hughes, B.; Celetti, M. Discovery of Potato Rot Nematode, Ditylenchus destructor, Infesting Garlic in Ontario, Canada. Plant Dis. 2012, 96, 297. [Google Scholar] [CrossRef] [PubMed]
- Wendt, K.R.; Vrain, T.C.; Webster, J.M. Separation of Three Species of Ditylenchus and Some Host Races of D. dipsaci by Restriction Fragment Length Polymorphism. J. Nematol. 1993, 25, 555–563. [Google Scholar] [CrossRef]
- Marek, M.; Zouhar, M.; Douda, O.; Mazakova, J. Bioinformatics-assisted characterization of the ITS1-5·8S-ITS2 segments of nuclear rRNA gene clusters, and its exploitation in molecular diagnostics of European crop-parasitic nematodes of the genus Ditylenchus. Plant Pathol. 2010, 59, 931–943. [Google Scholar] [CrossRef]
- Subbotin, S.A.; Madani, M.; Krall, E.; Sturhan, D.; Moens, M. Molecular Diagnostics, Taxonomy, and Phylogeny of the Stem Nematode Ditylenchus dipsaci Species Complex Based on the Sequences of the Internal Transcribed Spacer-rDNA. Phytopathology 2005, 95, 1308–1315. [Google Scholar] [CrossRef]
- Vovlas, N.; Troccoli, A.; Palomares-Rius, J.E.; Luca, F.D. Ditylenchus gigas n. sp. parasitizing broad bean: A new stem nematode singled out from the Ditylenchus dipsaci species complex using a polyphasic approach with molecular phylogeny. Plant Pathol. 2011, 60, 762–775. [Google Scholar] [CrossRef]
- Jeszke, A.; Dobosz, R.; Obrępalska-Stęplowska, A. A fast and sensitive method for the simultaneous identification of three important nematode species of the genus Ditylenchus. Pest Manag. Sci. 2015, 71, 243–249. [Google Scholar] [CrossRef]
- Gao, B.; Ma, J.; Li, X.; Wang, R.; Chen, S. A real-time recombinase polymerase amplification assay for fast and accurate detection of Ditylenchus destructor. Mol. Cell. Probes 2021, 61, 101788. [Google Scholar] [CrossRef]
- Ding, S.; Yang, S.; Wu, W.; Xie, H.; Xu, C. Rapid diagnosis of Ditylenchus destructor by loop-mediated isothermal amplification assay based on 28S rRNA sequences. Eur. J. Plant Pathol. 2018, 153, 1165–1175. [Google Scholar] [CrossRef]
- Pethybridge, S.J.; Gorny, A.M.; Hoogland, T.; Jones, L.; Hay, F.; Smart, C.; Abawiet, G. Identification and characterization of Ditylenchus spp. populations from garlic in New York State, USA. Trop. Plant Pathol. 2016, 41, 193–197. [Google Scholar] [CrossRef]
- Wan, F.; Peng, D.; Yang, Y.; He, Y. Species specific molecular diagnosis of Ditylenchus destructor populations occurring in China. Acta Phytopathol. Sin. 2008, 38, 263–270. (In Chinese) [Google Scholar] [CrossRef]
- Ni, C.; Han, B.; Liu, Y.; Munawar, M.; Liu, S.; Li, W.; Shi, M.; Li, H.; Peng, D. Populations of the Potato rot nematode Ditylenchus destructor parasitizing Chinese herbal medicines diagnosis and characterization of the ribosomal DNA-ITS. J. Integr. Agric. 2023, 22, 1763–1781. [Google Scholar] [CrossRef]
- Li, Y.; Huang, L.; Jiang, R.; Han, S.; Chang, Q.; Li, Y.; Chen, Z.; Peng, H.; Huang, W.; Guo, J.; et al. Molecular characterization of internal transcribed spacer (ITS) of ribosomal RNA gene, haplotypes and pathogenicity of potato rot nematode Ditylenchus destructor in China. Phytopathol. Res. 2022, 4, 22. [Google Scholar] [CrossRef]
- Subbotin, S.A.; Deimi, A.M.; Zheng, J.W.; Chizhov, V.N. Length variation and repetitive sequences of internal transcribed spacer of ribosomal RNA gene, diagnostics and relationships of populations of potato rot nematode, Ditylenchus destructor Thorne, 1945 (Tylenchidae: Anguinidae). Nematology 2011, 13, 773–785. [Google Scholar] [CrossRef]
- Qiao, Y.; Zaidi, M.A.; Badiss, A.; Hughes, B.; Celetti, M.J.; Yu, Q. Intra-racial genetic variation of Ditylenchus dipsaci isolated from garlic in Ontario as revealed by random amplified polymorphic DNA analysis. Can. J. Plant Pathol. 2013, 35, 346–353. [Google Scholar] [CrossRef]
- Qiao, Y.; Yu, Q.; Badiss, A.; Zaidi, M.A.; Ponomareva, E.; Hu, Y.; Ye, W. Paraphyletic genus Ditylenchus Filipjev (Nematoda, Tylenchida), corresponding to the D. triformis-group and the D. dipsaci-group scheme. ZooKeys 2016, 568, 1–12. [Google Scholar] [CrossRef]
- Viglierchio, D.R.; Schmitt, R.V. On the methodology of nematode extraction from field samples: Baermann funnel modifications. J. Nematol. 1983, 15, 438–444. [Google Scholar] [PubMed]
- Ou, S.; Wang, Y.; Peng, D.; Qiu, H.; Bai, Q.; Shi, S. Discovery of Potato Rot Nematode, Ditylenchus destructor, Infesting Potato in Inner Mongolia, China. Plant Dis. 2017, 101, 1554. [Google Scholar] [CrossRef]
- Suzanne, D.; Bryan, S.G.; Roy, N.; Tim, J.D. DNA extraction from soil nematodes for multi-sample community studies. Applied Soil Ecology. 2008, 38, 20–26. [Google Scholar] [CrossRef]
- Cherry, T.H.; Szalanski, A.L.; Todd, T.C.; Powers, T.O. The internal transcribed spacer region of belonolaimus (nemata: Belonolaimidae). J. Nematol. 1997, 29, 23–29. [Google Scholar] [CrossRef] [PubMed]
- Zijlstra, C.; Lever, A.; Uenk, B.J.; Silfhout, C.H. Differences between ITS regions of isolates of the root-knot nematodes Meloidogyne hapla and M. chitwoodi. Phytopathology 1995, 85, 1231–1237. [Google Scholar] [CrossRef]
- Mahmoudi, N.; Нилoуфар, М.; Naserzadeh, Y.; Юсеф, H.; Pakina, E.; Никoлаевна, I.E.; Limantceva, L.A.; Алексеевна, J.J.; Nejad, D.K.; Картули, H. Molecular identification of Ditylenchus destructor nematode with PCR Species-Specific primers in the Moscow region. RUDN J. Agron. Anim. Ind. 2019, 14, 430–436. [Google Scholar] [CrossRef]
- Liu, B.; Mei, Y.; Zheng, J. Species-specific detection of inter-populations of Ditylenchus destructor. J. Zhejiang Univ. (Agric. Life Sci.) 2007, 33, 490–496. (In Chinese) [Google Scholar] [CrossRef]
- Yan, G.; Smiley, R.W.; Okubara, P.A.; Skantar, A.M. Species-Specific PCR Assays for Differentiating Heterodera filipjevi and H. avenae. Plant Dis. 2013, 97, 1611–1619. [Google Scholar] [CrossRef]
- Shao, H.; Zhang, P.; Peng, D.; Huang, W.; Kong, L.; Li, C.; Liu, E.; Peng, H. Current advances in the identification of plant nematode diseases: From lab assaysto in-field diagnostics. Front. Plant Sci. 2023, 14, 1106784. [Google Scholar] [CrossRef]
- Zhang, S.; Zhang, S. PCR and sequence analyse of rDNA-ITS1 region of sweet potato stem nematode. Acta Phytopathol. Sin. 2008, 38, 4. (In Chinese) [Google Scholar] [CrossRef]
- Song, W.; Dai, M.; Shi, Q.; Liang, C.; Duan, F.; Zhao, H. Diagnosis and Characterization of Ditylenchus destructor Isolated from Mazus japonicus in China. Life 2023, 13, 1758. [Google Scholar] [CrossRef] [PubMed]
- Cheng, Z.; Toyota, K.; Yamashita, K. Development of real-time PCR primers specific to the garlic-damaging potato rot nematode Ditylenchus destructor to quantify its density in soil and outer skin of garlic. Nematol. Res. (Jpn. J. Nematol.) 2015, 45, 93–99. [Google Scholar] [CrossRef]
- Bogale, M.; Baniya, A.; DiGennaro, P. Nematode Identification Techniques and Recent Advances. Plants 2020, 9, 1260. [Google Scholar] [CrossRef] [PubMed]






| Species Code | Species | Population Origin | Plant Host | Accession No. (ITS Sequences) | References |
|---|---|---|---|---|---|
| Dd01 | D. destructor | Inner Mongolia, China | Potato | KX766417 | [24] |
| Dd02 | D. destructor | Henan, China | Sweet potato | KJ567142 | This study |
| Dd03 | D. destructor | Jilin, China | Sweet potato | KJ567141 | This study |
| Dd04 | D. destructor | Shandong, China | Potato | KJ567143 | [19] |
| Dd05 | D. destructor | Jiangsu, China | Sweet potato | KJ567144 | This study |
| Dd06 | D. destructor | Clemson University, USA | Potato | KJ567147 | [21] |
| Dd07 | D. destructor | Ontario, Canada | Garlic | KJ567146 | [21] |
| Ddip01 | D. dipsaci | Clemson University, USA | Garlic | KJ567149 | [21] |
| Ddip02 | D. dipsaci | Halton, Canada | Garlic | - | [21] |
| Ddip03 | D. dipsaci | Huron, Canada | Garlic | - | [21] |
| Ddip04 | D. dipsaci | Temiskaming, Canada | Garlic | - | [21] |
| Ddip05 | D. dipsaci | Rockland, Canada | Garlic | - | [21] |
| Ddip06 | D. dipsaci | Manitoulin, Canada | Garlic | - | [21] |
| Ddip07 | D. dipsaci | Bruce, Canada | Garlic | - | [21] |
| Da01 | D. africanus | South Africa | Peanut | KJ567154 | [22] |
| Dw01 | D. weischeri | Manitoba, Canada | Grass | KJ567155 | [22] |
| Dar1 | D. arachis | Henan, China | Peanut | PP356623 | This study |
| Dang1 | D. angustus | Hunan, China | Rice | PP356622 | This study |
| Dity01 | Ditylenchus spp. 1 | China | Wheat | PP356621 | This study |
| Dg01 | D. gigas | Canada | Grass | PP356624 | [22] |
| Primers | Sequences | Target |
|---|---|---|
| DdF2 | 5′-GCTCTGTGCCTGGCTAATTTGTG-3′ | D. destructor |
| DdR2 | 5′-ACCAAACACTGGACAGCATTATC-3′ | |
| DpF5 | 5′-GCTGCGTTGAAGAGAACTGGCAC-3′ | D. dipsaci |
| DpR5 | 5′-CGGAAAAGCACCCAACCAGTACC-3′ |
| Samples | Host | Soil Type | Location | GPS | Nematode Density in Soil a | Detection Results | |
|---|---|---|---|---|---|---|---|
| PCR | ITS-Sequencing | ||||||
| 1 | Potato | Sandy soil | Yuyang District-1, Shanxi Province | 109°18′0.61″ N, 38°14′8.30″ E | 0 | − | N/A |
| 2 | Sandy soil | Yuyang District-2, Shanxi Province | 109°18′0.61″ N, 38°14′8.31″ E | 0 | − | N/A | |
| 3 | Sandy soil | Yuyang District-3, Shanxi Province | 109°18′0.61″ N, 38°14′8.32″ E | 0 | − | N/A | |
| 4 | Sandy soil | Yuyang District-4, Shanxi Province | 109°18′0.61″ N, 38°14′8.33″ E | 23 | + | D. destructor | |
| 5 | Sandy soil | Yuyang District-5, Shanxi Province | 109°18′0.61″ N, 38°14′8.34″ E | 19 | + | D. destructor | |
| 6 | Light soil | Zhangbei County, Hebei Province | 114°43′34.94″ N, 41°9′53.79″ E | 0 | − | N/A | |
| 7 | Black loam soil | Nenan Town-1, Heilongjiang Province | 125°10′16.25″ N, 48°26′12.08″ E | 0 | − | N/A | |
| 8 | Black loam soil | Nenan Town-2, Heilongjiang Province | 125°10′16.25″ N, 48°26′12.09″ E | 0 | − | N/A | |
| 9 | Sandy soil | Huaning County, Yunnan Province | 102°56′7.77″ N, 24°11′54.89″ E | 0 | − | N/A | |
| 10 | Sandy soil | Taipusi Banner, Inner Mongolia Province | 115°17′25.92″ N, 41°52′56.25″ E | 21 | + | D. destructor | |
| 11 | Sandy soil | Taipusi Banner, Inner Mongolia Province | 115°17′25.92″ N, 41°52′56.26″ E | 0 | − | N/A | |
| 12 | Black loam soil | Nehe City, Heilongjiang Province | 124°53′21″ N, 48°28′21.10″ E | 22 | + | D. destructor | |
| 13 | Black loam soil | Daowai District, Heilongjiang Province | 126°49′25.18″ N, 45°51′42.74″ E | 26 | + | D. destructor | |
| 14 | Black loam soil | Tongyi Town, Heilongjiang Province | 124°48′23.64″ N, 48°11′37.29″ E | 0 | − | N/A | |
| 15 | Sandy soil | Helan County, Ningxia Province | 106°21′23.46″ N, 38°33′37.46″ E | 16 | + | D. destructor | |
| 16 | Black loam soil | Liuhe Town, Heilongjiang Province | 124°46′27.83″ N, 48°21′29.30″ E | 47 | + | D. destructor | |
Disclaimer/Publisher’s Note: The statements, opinions and data contained in all publications are solely those of the individual author(s) and contributor(s) and not of MDPI and/or the editor(s). MDPI and/or the editor(s) disclaim responsibility for any injury to people or property resulting from any ideas, methods, instructions or products referred to in the content. |
© 2024 by the authors. Licensee MDPI, Basel, Switzerland. This article is an open access article distributed under the terms and conditions of the Creative Commons Attribution (CC BY) license (https://creativecommons.org/licenses/by/4.0/).
Share and Cite
Han, X.; Chang, Q.; Xu, Y.; Wang, P.; Li, H.; Li, Y.; Li, Y.; Huang, W.; Kong, L.; Liu, S.; et al. Efficient and Direct Identification of Ditylenchus destructor and D. dipsaci in Soil and Plant Tissues Using a Species-Specific PCR Assay. Horticulturae 2024, 10, 250. https://doi.org/10.3390/horticulturae10030250
Han X, Chang Q, Xu Y, Wang P, Li H, Li Y, Li Y, Huang W, Kong L, Liu S, et al. Efficient and Direct Identification of Ditylenchus destructor and D. dipsaci in Soil and Plant Tissues Using a Species-Specific PCR Assay. Horticulturae. 2024; 10(3):250. https://doi.org/10.3390/horticulturae10030250
Chicago/Turabian StyleHan, Xu, Qing Chang, Youxian Xu, Pengjun Wang, Huixia Li, Yunqing Li, Yanshan Li, Wenkun Huang, Lingan Kong, Shiming Liu, and et al. 2024. "Efficient and Direct Identification of Ditylenchus destructor and D. dipsaci in Soil and Plant Tissues Using a Species-Specific PCR Assay" Horticulturae 10, no. 3: 250. https://doi.org/10.3390/horticulturae10030250
APA StyleHan, X., Chang, Q., Xu, Y., Wang, P., Li, H., Li, Y., Li, Y., Huang, W., Kong, L., Liu, S., Peng, D., & Peng, H. (2024). Efficient and Direct Identification of Ditylenchus destructor and D. dipsaci in Soil and Plant Tissues Using a Species-Specific PCR Assay. Horticulturae, 10(3), 250. https://doi.org/10.3390/horticulturae10030250

