Gel Protein Extraction’s Impact on Conformational Epitopes of Linear Non-Tagged MPT64 Protein
Abstract
1. Introduction
2. Results and Discussion
2.1. MPT64 Overproduction
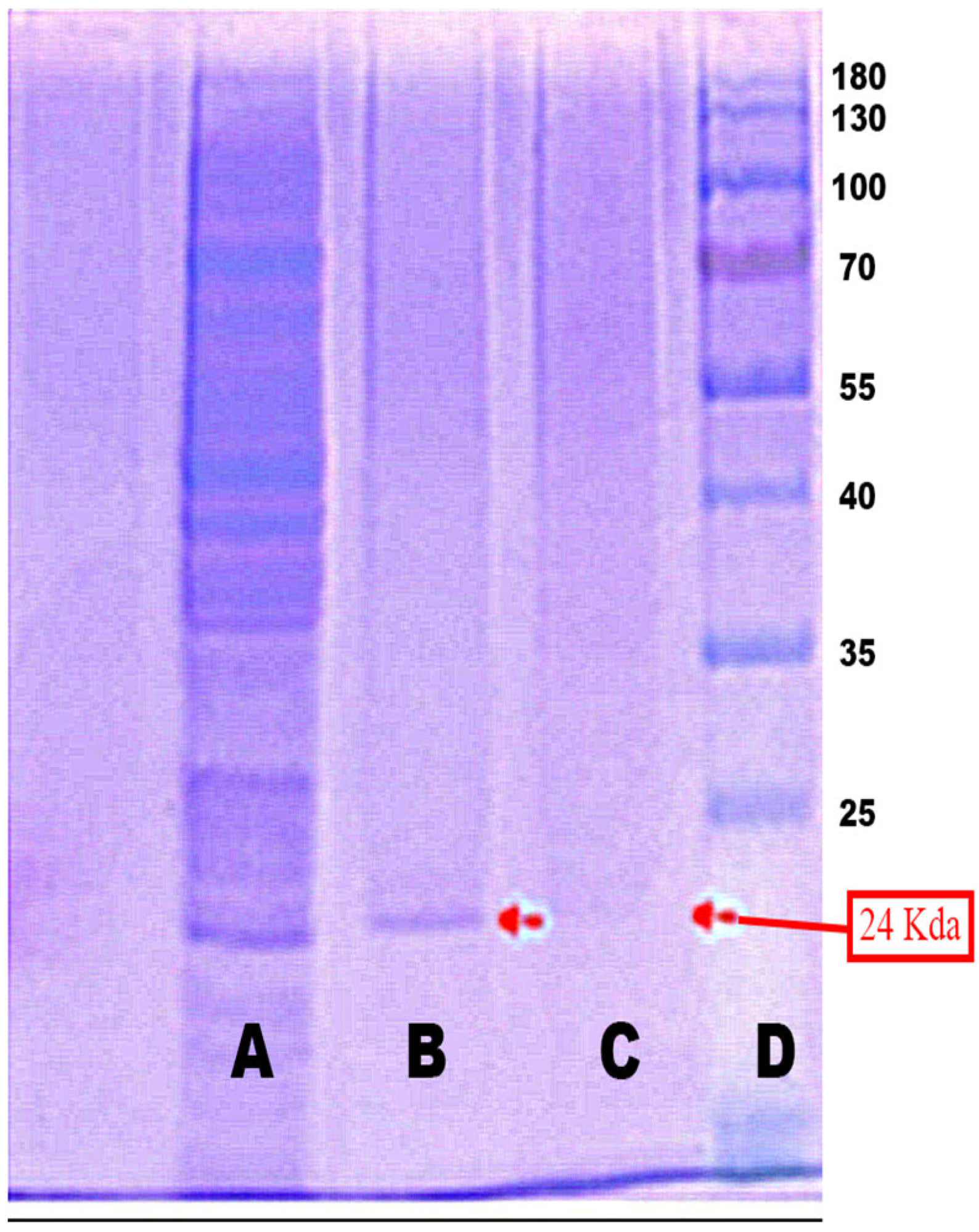
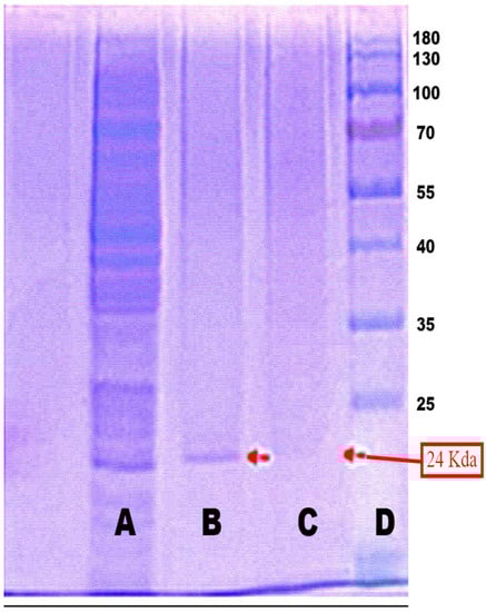
2.2. MPT64 Purification
2.3. Detection of Linear MPT64 Epitope
3. Conclusions
4. Materials and Methods
4.1. Materials
4.2. Protein Overproduction
4.3. Isolation of Intracellular MPT64 Protein
4.4. SDS-PAGE
4.5. Passive Elution
4.6. Electroelution
4.7. MPT64 Protein Detection Confirmation
Supplementary Materials
Author Contributions
Funding
Institutional Review Board Statement
Informed Consent Statement
Data Availability Statement
Acknowledgments
Conflicts of Interest
References
- Mustafa, A.S. In silico binding predictions for identification of HLA-DR-promiscuous regions and epitopes of Mycobacterium tuberculosis protein MPT64 (Rv1980c) and their recognition by human Th1 cells. Med. Princ. Pract. 2010, 19, 367–372. [Google Scholar] [CrossRef] [PubMed]
- Arora, J.; Kumar, G.; Verma, A.K.; Bhalla, M.; Sarin, R.; Myneedu, V.P. Utility of MPT64 Antigen Detection for Rapid Confirmation of Mycobacterium tuberculosis Complex. J. Glob. Infect. Dis. 2015, 7, 66–69. [Google Scholar]
- Jiang, Y.; Liu, H.; Wang, H.; Dou, X.; Zhao, X.; Bai, Y.; Wan, L.; Li, G.; Zhang, W.; Chen, C.; et al. Polymorphism of antigen MPT64 in Mycobacterium tuberculosis strains. J. Clin. Microbiol. 2013, 51, 1558–1562. [Google Scholar] [CrossRef]
- Tomiyama, T.; Matsuo, K.; Abe, C. Rapid identification of Mycobacterium tuberculosis by an immunochromatography using anti-MPB64 monoclonal antibodies. Int. J. Tuberc. Lung. Dis. 1997, 1, 326–332. [Google Scholar]
- Kanade, S.; Nataraj, D.; Suryawanshi, R.; Mehta, P. Utility of MPT64 antigen detection assay for rapid characterization of mycobacteria in a resource constrained setting. Indian J. Tuberc. 2012, 59, 92–96. [Google Scholar] [PubMed]
- Francis, D.M.; Page, R. Strategies to optimize protein expression in E. coli. Curr. Protoc. Protein Sci. 2010, 61, 5241–52429. [Google Scholar] [CrossRef] [PubMed]
- Williams, D.C.; Van Frank, R.M.; Muth, W.L.; Burnett, J.P. Cytoplasmic inclusion bodies in Escherichia coli producing biosynthetic human insulin proteins. Science 1982, 215, 687–689. [Google Scholar] [CrossRef]
- Freedman, R.B.; Wetzel, R. Protein Engineering. Curr. Opin. Biotechnol. 1992, 3, 323–325. [Google Scholar] [CrossRef]
- Chrunyk, B.A.; Evans, J.; Lillquist, J.; Young, P.; Wetzel, R. Inclusion body formation and protein stability in sequence variants of interleukin-1 beta. J. Biol. Chem. 1993, 268, 18053–18061. [Google Scholar] [CrossRef]
- Singh, A.; Upadhyay, V.; Upadhyay, A.K.; Sing, S.M. Protein recovery from inclusion bodies of Escherichia coli using mild solubilization process. Microb. Cell Fact. 2015, 14, 41. [Google Scholar] [CrossRef]
- Carrio, M.M.; Villaverde, A. Localization of chaperones DnaK and GroEL in bacterial inclusion bodies. J. Bacteriol. 2005, 187, 3599–3601. [Google Scholar] [CrossRef]
- Du, J.; Rehm, B.H.A. Purification of target proteins from intracellular inclusions mediated by intein cleavable polyhydroxyalkanoate synthase fusions. Microb. Cell Fact. 2017, 16, 184. [Google Scholar] [CrossRef] [PubMed]
- Young, C.L.; Britton, Z.T.; Robinson, A.S. Recombinant protein expression and purification: A comprehensive review of affinity tags and microbial applications. Biotechnol. J. 2012, 7, 620–634. [Google Scholar] [CrossRef]
- Gabe, C.M.; Brookes, S.J.; Kirkham, J. Preparative SDS PAGE as an alternative to his-tag purification of recombinant amelogenin. Front. Physiol. 2017, 8, 424. [Google Scholar] [CrossRef]
- Deutscher, M.P. Guide to Protein Purification; Academic Press: San Diego, CA, USA, 1990. [Google Scholar]
- Waterborg, J.H.; Matthews, H.R. The Electrophoretic Elution of Proteins from Polyacrylamide Gels. In Basic Protein and Peptide Protocols; Walker, J.M., Ed.; Humana Press: Clifton, NJ, USA, 1994; Volume 32. [Google Scholar]
- Saraswati, M.; Musante, L.; Ravidá, A.; Shortt, B.; Byrne, B.; Holthofer, H. Preparative purification of recombinant proteins: Current status and future trend. BioMed Res. Int. 2013, 2013, 312709. [Google Scholar] [CrossRef] [PubMed]
- Vázquez-Iglesias, L.; Estefanell-Ucha, B.; Barcia-Castro, L.; de la Cadena, M.P.; Álvarez-Chaver, P.; Ayude-Vázquez, D.; Rodríguez-Berrocal, F.J. A simple electroelution method for rapid protein purification: Isolation and antibody production of alpha toxin from clostridium septicum. PeerJ 2017, 5, e3407. [Google Scholar] [CrossRef] [PubMed]
- Lewis, U.J.; Clark, M.O. Preparative methods for disk electrophoresis with special reference to the isolation of pituitary hormones. Anal. Biochem. 1963, 6, 303–315. [Google Scholar] [CrossRef]
- Jacobs, E.; Clad, A. Electroelution of fixed and stained membrane proteins from preparative sodium dodecyl sulfate-polyacrylamide gels into a membrane trap. Anal. Biochem. 1986, 154, 583–589. [Google Scholar] [CrossRef]
- Demain, A.; Vaishnav, P. Production of recombinant proteins by microbes and higher organisms. Biotechnol. Adv. 2009, 27, 297–306. [Google Scholar] [CrossRef]
- Palomares, L.; Estrada-Moncada, S.; Ramírez, O. Production of Recombinant Proteins. In Recombinant Gene Expression; Balbás, P., Lorence, A., Eds.; Humana Press: Clifton, NJ, USA, 2004. [Google Scholar]
- Kusuma, S.A.F.; Parwati, I.; Rostinawati, T.; Yusuf, M.; Fadhlillah, M.; Ahyudanari, R.R.; Rukayadi, Y.; Subroto, T. Optimization of culture conditions for mpt64 synthetic gene expression in Escherichia coli BL21 (DE3) using surface response methodology. Heliyon 2019, 5, e02741. [Google Scholar] [CrossRef]
- Desjardins, P.; Hansen, J.B.; Allen, M. Microvolume protein concentration determination using the nanodrop 2000c spectrophotometer. J. Vis. Exp. 2009, 33, e1610. [Google Scholar]
- Choi, J.H.; Jeong, K.J.; Kim, S.C.; Lee, S.Y. Efficient secretory production of alkaline phosphatase by high cell density culture of recombinant Escherichia coli using the bacillus sp. endoxylanase signal sequence. Appl. Microbiol. Biotechnol. 2000, 53, 640–645. [Google Scholar] [CrossRef] [PubMed]
- Kusuma, S.A.F.; Subroto, T.; Parwati, I.; Rukayadi, Y.; Fadhlillah, M.; Pardede, R.M.; Berlian, A.V.; Sabila, G. Improving of pelB-Secreted MPT64 protein released by Escherichia coli BL21 (DE3) using triton x-100 and tween-80. J. Adv. Pharm. Technol. Res. 2022, 13, 171–176. [Google Scholar]
- Boxy, A.; Parikh, I.; Sivaprasad, R.; Shreekar, S.K. Current trends in protein purification: A review. Int. J. Sci. Res. Sci. Technol. 2020, 7, 279–310. [Google Scholar] [CrossRef]
- Schunk, M.K.; Macallum, G.E. Applications and optimization of immunization procedures. ILAR J. 2005, 46, 241–257. [Google Scholar] [CrossRef]
- Tikhomirov, O.Y.; Thomas, J.W. Alanine scanning mutants of rat proinsulin i show functional diversity of anti-insulin monoclonal antibodies. J. Immunol. 2000, 165, 3876–3882. [Google Scholar] [CrossRef] [PubMed]
- Bugler, B.; Caizergues-Ferrer, M.; Bouche, G.; Bourbon, G.; Bourbon, H.; Amalric, F. Detection and localization of a class of proteins immunologically related to a 100-kda nucleolar protein. Eur. J. Biochem. 1982, 128, 475–480. [Google Scholar] [CrossRef]
- Forsström, B.; Axnäs, B.B.; Rockberg, J.; Danielsson, H.; Bohlin, A.; Uhlen, M. Dissecting antibodies with regards to linear and conformational epitopes. PLoS ONE 2015, 10, e0121673. [Google Scholar] [CrossRef]
- Sela, M.; Schechter, I.; Borek, F. Antibodies to sequential and conformational determinants cold spring harbor symposia on quantitative biology. Am. Assoc. Adv. Sci. 1967, 32, 537–545. [Google Scholar]
- Pina, A.S.; Lowe, C.R.; Roque, A.C. Challenges and opportunities in the purification of recombinant tagged proteins. Biotechnol. Adv. 2014, 32, 366–381. [Google Scholar] [CrossRef]
- Pardon, E.; Laeremans, T.; Triest, S.; Rasmussen, S.G.; Wohlkönig, A.; Ruf, A.; Muyldermans, S.; Hol, W.G.; Kobilka, B.K.; Steyaert, J. A general protocol for the generation of nanobodies for structural biology. Nat. Protoc. 2014, 9, 674–693. [Google Scholar] [CrossRef] [PubMed]





| No. | Methods and Conditions | Content (µg/mL) | Content Average (µg/mL) | |
|---|---|---|---|---|
| 1 | 2 | |||
| 1 | Total protein extract | 25,405 | 25,425 | 25,415 ± 10 |
| 2 | Electroelution with 12 bands | 2071 | 1989 | 2030 ± 41 |
| 3 | Electroelution with 9 bands | 1151 | 1151 | 1151 ± 0 |
| 4 | Passive elution with 12 bands, 96 h | 172 | 187 | 179.5 ± 7.5 |
| 5 | Passive elution with 12 bands, 72 h | 138 | 119 | 128.5 ± 9.5 |
| 6 | Passive elution with 9 bands, 96 h | 111 | 93 | 102 ± 9 |
| 7 | Passive elution with 9 bands, 72 h | 96 | 93 | 94.5 ± 1.5 |
| 8 | Passive elution with 6 bands, 96 h | 58 | 58 | 58 ± 0 |
| 9 | Passive elution with 6 bands, 72 h | 46 | 57 | 51.5 ± 5.5 |
Disclaimer/Publisher’s Note: The statements, opinions and data contained in all publications are solely those of the individual author(s) and contributor(s) and not of MDPI and/or the editor(s). MDPI and/or the editor(s) disclaim responsibility for any injury to people or property resulting from any ideas, methods, instructions or products referred to in the content. |
© 2023 by the authors. Licensee MDPI, Basel, Switzerland. This article is an open access article distributed under the terms and conditions of the Creative Commons Attribution (CC BY) license (https://creativecommons.org/licenses/by/4.0/).
Share and Cite
Kusuma, S.A.F.; Fadhlillah, M.; Rostinawati, T.; Maisyarah, I.T.; Syafitri, R.I.P.; Subroto, T. Gel Protein Extraction’s Impact on Conformational Epitopes of Linear Non-Tagged MPT64 Protein. Gels 2023, 9, 578. https://doi.org/10.3390/gels9070578
Kusuma SAF, Fadhlillah M, Rostinawati T, Maisyarah IT, Syafitri RIP, Subroto T. Gel Protein Extraction’s Impact on Conformational Epitopes of Linear Non-Tagged MPT64 Protein. Gels. 2023; 9(7):578. https://doi.org/10.3390/gels9070578
Chicago/Turabian StyleKusuma, Sri Agung Fitri, Muhammad Fadhlillah, Tina Rostinawati, Intan Timur Maisyarah, Raden Indah Puspita Syafitri, and Toto Subroto. 2023. "Gel Protein Extraction’s Impact on Conformational Epitopes of Linear Non-Tagged MPT64 Protein" Gels 9, no. 7: 578. https://doi.org/10.3390/gels9070578
APA StyleKusuma, S. A. F., Fadhlillah, M., Rostinawati, T., Maisyarah, I. T., Syafitri, R. I. P., & Subroto, T. (2023). Gel Protein Extraction’s Impact on Conformational Epitopes of Linear Non-Tagged MPT64 Protein. Gels, 9(7), 578. https://doi.org/10.3390/gels9070578

