Dual-Function Hydrogel Coating on Silicone Urinary Catheters with Durable Antibacterial Property and Lubricity
Abstract
1. Introduction
2. Results and Discussion
2.1. Surface Characterization
2.1.1. FTIR Test
2.1.2. SEM Test
2.1.3. WCA Measurement
2.2. Antibacterial Properties
2.3. Lubricity Test
2.4. Cytotoxicity Assessment
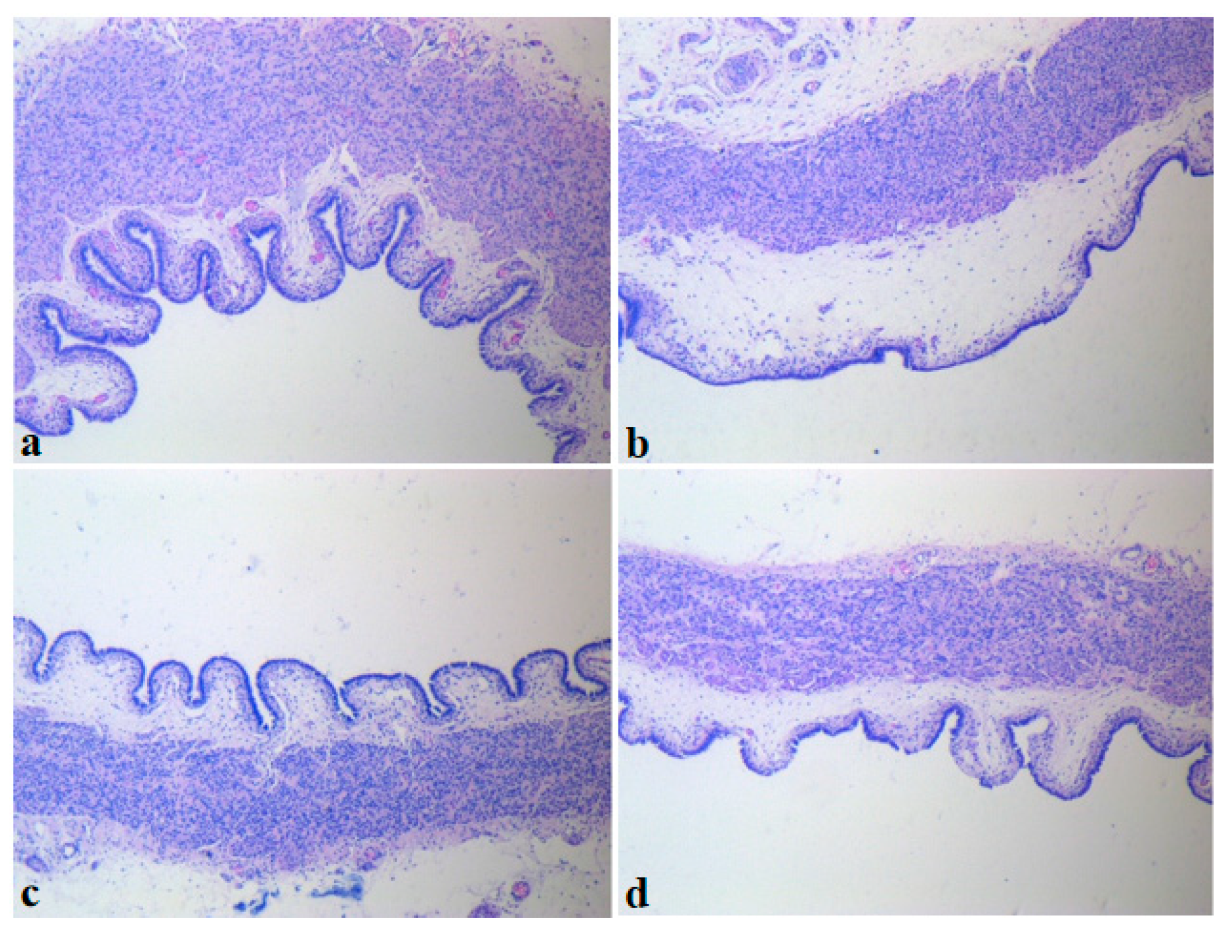
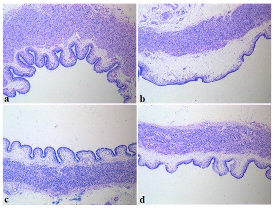
2.5. Vaginal Irritation Test
3. Conclusions
4. Materials and Methods
4.1. Materials
4.2. Fabrication of Silicone Sheet
4.3. Fabrication of Dual-Hydrogel Coating-Modified Silicone Urinary Catheters and Sheets
4.4. Surface Characterization of Silicone Urinary Catheters and Sheets
4.5. Antibacterial Test
4.6. Friction Coefficient Test
4.7. Cytotoxicity Test
4.8. Vaginal Irritation Test
4.9. Statistical Analysis
Author Contributions
Funding
Institutional Review Board Statement
Informed Consent Statement
Data Availability Statement
Conflicts of Interest
References
- Zhu, Z.; Wang, Z.; Li, S.; Yuan, X.D. Antimicrobial strategies for urinary catheters. J. Biomed. Mater. Res. Part A 2019, 107, 445–467. [Google Scholar] [CrossRef] [PubMed]
- Zhou, C.; Wu, Y.; Thappeta, K.; Subramanian, J.; Pranantyo, D.; Kang, E.; Duan, H.; Kline, K.; Chan-Park, M. In vivo anti-biofilm and anti-bacterial non-leachable coating thermally polymerized on cylindrical catheter. ACS Appl. Mater. Interfaces 2017, 9, 36269–36280. [Google Scholar] [CrossRef] [PubMed]
- Homeyer, K.; Goudie, M.; Singha, P.; Handa, H. Liquid-Infused Nitric-Oxide-Releasing Silicone Foley Urinary Catheters for Prevention of Catheter-Associated Urinary Tract Infections. ACS Biomater. Sci. Eng. 2019, 5, 2021–2029. [Google Scholar] [CrossRef] [PubMed]
- Yassin, M.; Elkhooly, T.; Elsherbiny, S.; Reicha, F.; Shokeir, A. Facile coating of urinary catheter with bio–inspired antibacterial coating. Heliyon 2019, 5, e02986. [Google Scholar] [CrossRef] [PubMed]
- Lim, K.; Chua, R.; Bow, H.; Tambyah, P.; Hadinoto, K.; Leong, S. Development of a catheter functionalized by a polydopamine peptide coating with antimicrobial and antibiofilm properties. Acta Biomater. 2015, 15, 127–138. [Google Scholar] [CrossRef]
- Keum, H.; Kim, J.; Yu, B.; Yu, S.; Kim, J.; Jeon, H.; Lee, D.; Im, S.; Jon, S. Prevention of Bacterial Colonization on Catheters by a One-Step Coating Process Involving an Antibiofouling Polymer in Water. ACS Appl. Mater. Interfaces 2017, 9, 19736–19745. [Google Scholar] [CrossRef] [PubMed]
- Campana, R.; Biondo, F.; Mastrotto, F.; Baffone, W.; Casettari, L. Chitosans as new tools against biofilms formation on the surface of silicone urinary catheters. Int. J. Biol. Macromol. 2018, 118, 2193–2200. [Google Scholar] [CrossRef]
- Sanchez, L.; Qu, Y.; Voelcker, N.; Thissen, H. Tackling catheter-associated urinary tract infections with next-generation antimicrobial technologies. J. Biomed. Mater. Res. 2024, 112, 312–335. [Google Scholar] [CrossRef] [PubMed]
- Navarro, S.; Sherman, E.; Hamood, J.; Nelius, T.; Myntti, M.; Hamood, A. Urinary catheters coated with a novel biofilm preventative agent inhibit biofilm development by diverse bacterial uropathogens. Antibiotics 2022, 11, 1514. [Google Scholar] [CrossRef]
- Liu, L.; Shi, H.; Yu, H.; Yan, S.; Luan, S. The recent advances in surface antibacterial strategies for biomedical catheters. Biomater. Sci. 2020, 8, 4095–4108. [Google Scholar] [CrossRef]
- Ricardo, S.; Anjos, I.; Monge, N.; Faustino, C.; Ribeiro, I. A Glance at Antimicrobial Strategies to Prevent Catheter-Associated Medical Infections. ACS Infect. Dis. 2020, 6, 3109–3130. [Google Scholar] [CrossRef]
- Majeed, A.; Sagar, F.; Latif, A.; Hassan, H.; Iftikhar, A.; Darouiche, R.; Mohajer, M. Does antimicrobial coating and impregnation of urinary catheters prevent catheter-associated urinary tract infection. Expert Rev. Med. Devices 2019, 16, 809–820. [Google Scholar] [CrossRef] [PubMed]
- Phuengkham, H.; Nasongkla, N. Development of antibacterial coating on silicone surface via chlorhexidine-loaded nanospheres. J. Mater. Sci: Mater. Med. 2015, 26, 78. [Google Scholar] [CrossRef] [PubMed]
- Ghamrawi, S.; Bouchara, J.; Tarasyuk, O.; Rogalsky, S.; Lyoshina, L.; Bulko, O.; Bardeau, J. Promising silicones modified with cationic biocides for the development of antimicrobial medical devices. Mater. Sci. Eng. C 2017, 75, 969–979. [Google Scholar] [CrossRef]
- Boyer, C.; Ambrose, J.; Das, S.; Humayun, A.; Chappidi, D.; Giorno, R.; Mills, D. Antibacterial and antibiofouling clay nanotube–silicone composite. Med. Devices Evid. Res. 2018, 11, 123–137. [Google Scholar] [CrossRef]
- Ding, K.; Wang, Y.; Liu, S.; Wang, S.; Mi, J. Preparation of medical hydrophilic and antibacterial silicone rubber via surface modification. RSC Adv. 2021, 11, 39950. [Google Scholar] [CrossRef]
- Zare, M.; Ghomi, E.; Venkatraman, P.; Ramakrishna, S. Silicone-based biomaterials for biomedical applications- antimicrobial strategies and 3D printing technologies. J. Appl. Polym. Sci. 2021, 138, e50969. [Google Scholar] [CrossRef]
- Sun, C.; Zhang, Y.; Dong, F.; Zhao, J.; Zhang, P.; Li, S.; Gao, Y.; Wang, Y.; Gao, G. Fast-polymerized lubricant and antibacterial hydrogel coatings for medical catheters. Chem. Eng. J. 2024, 488, 150944. [Google Scholar] [CrossRef]
- Zheng, S.; Liu, Y.; Yao, J.; Zhu, R.; Yu, X.; Cao, Z. Mucus Mimic Hydrogel Coating for Lubricous, Antibiofouling, and Anti-Inflammatory Urinary Catheters. ACS Appl. Mater. Interfaces 2024, 16, 46177–46190. [Google Scholar] [CrossRef] [PubMed]
- Chen, W.; Xu, B.; Tang, Q.; Qian, S.; Bian, D.; Li, H. Preparation and Properties of PDMS Surface Coating for Ultra-Low Friction Characteristics. Langmuir 2023, 39, 14605–14615. [Google Scholar] [CrossRef]
- McVerry, B.; Polasko, A.; Rao, E.; Haghniaz, R.; Chen, D.; He, N.; Ramos, P.; Hayashi, J.; Curson, P.; Wu, C.; et al. A Readily Scalable, Clinically Demonstrated, Antibiofouling Zwitterionic Surface Treatment for Implantable Medical Devices. Adv. Mater. 2022, 34, 2200254. [Google Scholar] [CrossRef]
- Ozkan, E.; Mondal, A.; Douglass, M.; Hopkins, S.; Garren, M.; Devine, R.; Pandey, R.; Manuel, J.; Singha, P.; Warnock, J.; et al. Bioinspired ultra-low fouling coatings on medical devices to prevent device-associated infections and thrombosis. J. Colloid Interface Sci. 2022, 608, 1015–1024. [Google Scholar] [CrossRef] [PubMed]
- Santos, R.; Gomes, L.; Mergulhão, F. Recent advances in antimicrobial surfaces for urinary catheters. Curr. Opin. Biomed. Eng. 2022, 22, 100394. [Google Scholar]
- Gultekinoglu, M.; Kurum, B.; Karahan, S.; Kart, D.; Sagiroglu, M.; Ertaş, N.; Ozen, A.; Ulubayram, K. Polyethyleneimine brushes effectively inhibit encrustation on polyurethane ureteral stents both in dynamic bioreactor and in vivo. Mater. Sci. Eng. C 2017, 71, 1166–1174. [Google Scholar] [CrossRef] [PubMed]
- Asha, A.; Peng, Y.; Cheng, Q.; Ishihara, K.; Liu, Y.; Narain, R. Dopamine Assisted Self-Cleaning, Antifouling, and Antibacterial Coating via Dynamic Covalent Interactions. ACS Appl. Mater. Interfaces 2022, 14, 9557–9569. [Google Scholar] [CrossRef]
- Jiang, R.; Liu, X.; Gao, S.; Kang, K.; Ding, X.; Wu, D.; Duan, S.; Xu, F. A scalable and universal strategy for constructing long-term antibacterial coatings with lubricant property on medical catheters. Prog. Org. Coat. 2024, 196, 108738. [Google Scholar] [CrossRef]
- Francesko, A.; Fernandes, M.; Ivanova, K.; Amorim, S.; Reis, R.; Pashkuleva, I.; Mendoza, E.; Pfeifer, A.; Heinze, T.; Tzanov, T. Bacteria-responsive multilayer coatings comprising polycationic nanospheres for bacteria biofilm prevention on urinary catheters. Acta Biomater. 2016, 33, 203–212. [Google Scholar] [CrossRef] [PubMed]
- Thompson, V.; Adamson, P.; Dilag, J.; Liyanage, D.; Srikantharajah, K.; Blok, A.; Ellis, A.; Gordon, D.; Köper, I. Biocompatible anti-microbial coatings for urinary catheters. RSC Adv. 2016, 6, 53303. [Google Scholar] [CrossRef]
- Bračič, M.; Šauperl, O.; Strnad, S.; Kosalec, I.; Plohl, O.; Zemljič, L. Surface modification of silicone with colloidal polysaccharides formulations for the development of antimicrobial urethral catheters. Appl. Surf. Sci. 2019, 463, 889–899. [Google Scholar] [CrossRef]
- Ding, R.; Xu, H.; Zhang, J.; Cai, Z.; Peng, P.; Zhang, Y.; Li, P. Copper-phenolic coating constructed on silicone urinary catheters to prevent catheter-associated infections. Mater. Today Commun. 2024, 39, 109162. [Google Scholar] [CrossRef]
- Stanislawczuk, R.; Pereira, F.; Angel, M.; Luque, I.; Farago, P.; Reis, A.; Loguercio, A. Effects of chlorhexidine-containing adhesives on the durability of resin–dentine interfaces. J. Dent. 2014, 42, 39–47. [Google Scholar] [CrossRef]
- Wade, B.; Zhao, J.; Ma, J.; Hart, C.; Sutliff, R. Hypoxia-induced alterations in the lung ubiquitin proteasome system during pulmonary hypertension pathogenesis. Pulm. Circ. 2018, 8, 2045894018788267. [Google Scholar] [CrossRef] [PubMed]
- Zhu, J.; Huang, Y.; Chen, M.; Hu, C.; Chen, Y. Functional Synergy of Antimicrobial Peptides And Chlorhexidine Acetate Against Gram-Negative/Gram-Positive Bacteria And A Fungus In Vitro And In Vivo. Infect. Drug Resist. 2019, 12, 3227–3239. [Google Scholar] [CrossRef]
- Teodorescu, M.; Bercea, M. Poly (vinylpyrrolidone)–a versatile polymer for biomedical and beyond medical applications. Polym.-Plast. Technol. Eng. 2015, 54, 923–943. [Google Scholar] [CrossRef]
- Zhang, S.; Wang, L.; Liang, X.; Vorstius, J.; Keatch, R.; Corner, G.; Nabi, G.; Davidson, F.; Gadd, G.; Zhao, Q. Enhanced Antibacterial and Antiadhesive Activities of Silver-PTFE Nanocomposite Coating for Urinary Catheters. ACS Biomater. Sci. Eng. 2019, 5, 2804–2814. [Google Scholar] [CrossRef]
- Gao, S.; Liu, Z.; Zeng, W.; Zhang, Y.; Zhang, F.; Wu, D.; Wang, Y. Biocompatible Hydrogel Coating on Silicone Rubber with Improved Antifouling and Durable Lubricious Properties. Gels 2024, 10, 647. [Google Scholar] [CrossRef] [PubMed]
- Lorenzetti, M.; Dogsa, I.; Stosicki, T.; Stopar, D.; Kalin, M.; Kobe, S.; Novak, S. The Influence of Surface Modification on Bacterial Adhesion to Titanium-Based Substrates. ACS Appl. Mater. Interfaces 2015, 7, 1644–1651. [Google Scholar] [CrossRef]
- Niemczyk, A.; El Fray, M.; Franklin, S.E. Friction behaviour of hydrophilic lubricious coatings for medical device applications. Tribol. Int. 2015, 89, 54–61. [Google Scholar] [CrossRef]
- Ma, X.; Ding, G.; Zhang, Y.; Wang, K. Effects of hydrophilic coating on air side heat transferand friction characteristics of wavy fin and tube heat exchangersunder dehumidifying conditions. Energy Convers. Manag. 2007, 48, 2525–2532. [Google Scholar] [CrossRef]
- Low, J.; Kao, P.; Tambyah, P.; Koh, G.; Ling, H.; Kline, K.; Cheow, W.; Leong, S. Development of a polymer-based antimicrobial coating for efficacious urinary catheter protection. Biotechnol. Notes 2021, 2, 1–10. [Google Scholar] [CrossRef]
- Dayyoub, E.; Frant, M.; Pinnapireddy, S.; Liefeith, K.; Bakowsky, U. Antibacterial and anti-encrustation biodegradable polymer coating for urinary catheter. Int. J. Pharm. 2017, 531, 205–214. [Google Scholar] [CrossRef] [PubMed]
- Saha, K.; Butola, B.; Joshi, M. Synthesis and characterization of chlorhexidine acetate drug–montmorillonite intercalates for antibacterial applications. Appl. Clay Sci. 2014, 101, 477–483. [Google Scholar] [CrossRef]
- Kazmierska, K.; Szwast, M.; Ciach, T. Determination of urethral catheter surface lubricity. J. Mater. Sci. Mater. Med. 2008, 19, 2301–2306. [Google Scholar] [CrossRef]
- Dai, S.; Gao, Y.; Duan, L. Recent advances in hydrogel coatings for urinary catheters. J. Appl. Polym. Sci. 2023, 140, e53701. [Google Scholar] [CrossRef]
- ISO 8295:1995; Plastics-Film and Sheeting-Determination of the Coefficients of Friction. ISO: Geneva, Switzerland, 1995.
- ISO 10993-5: 2009; Biological Evaluation of Medical Devices Part 5: Tests for In Vitro Cytotoxicity. ISO: Geneva, Switzerland, 2009.
- ISO 10993-10: 2010; Biological Evaluation of Medical Devices-Part 10:Tests for Irritation and Skin Sensitization. ISO: Geneva, Switzerland, 2010.








| Group | Slice Position | Score | Average Score | |||
|---|---|---|---|---|---|---|
| Epithelial | Leukocyte Infiltration | Vascular Congestion | Edema | |||
| Polar test | Front/ Middle/ Back | 0 | 0 | 0 | 0 | 0 |
| Polar control | Front/ Middle/ Back | 0 | 0 | 0 | 0 | 0 |
| Non-polar test | Front/ Middle/ Back | 0 | 0 | 0 | 0 | 0 |
| Non-polar control | Front/ Middle/ Back | 0 | 0 | 0 | 0 | 0 |
Disclaimer/Publisher’s Note: The statements, opinions and data contained in all publications are solely those of the individual author(s) and contributor(s) and not of MDPI and/or the editor(s). MDPI and/or the editor(s) disclaim responsibility for any injury to people or property resulting from any ideas, methods, instructions or products referred to in the content. |
© 2025 by the authors. Licensee MDPI, Basel, Switzerland. This article is an open access article distributed under the terms and conditions of the Creative Commons Attribution (CC BY) license (https://creativecommons.org/licenses/by/4.0/).
Share and Cite
Gao, S.; Zeng, W.; Liu, Z.; Zhang, F.; Zhang, Y.; Liu, X.; Wu, D.; Wang, Y. Dual-Function Hydrogel Coating on Silicone Urinary Catheters with Durable Antibacterial Property and Lubricity. Gels 2025, 11, 128. https://doi.org/10.3390/gels11020128
Gao S, Zeng W, Liu Z, Zhang F, Zhang Y, Liu X, Wu D, Wang Y. Dual-Function Hydrogel Coating on Silicone Urinary Catheters with Durable Antibacterial Property and Lubricity. Gels. 2025; 11(2):128. https://doi.org/10.3390/gels11020128
Chicago/Turabian StyleGao, Shuai, Wei Zeng, Zheng Liu, Fanjun Zhang, Yunfeng Zhang, Xi Liu, Dimeng Wu, and Yunbing Wang. 2025. "Dual-Function Hydrogel Coating on Silicone Urinary Catheters with Durable Antibacterial Property and Lubricity" Gels 11, no. 2: 128. https://doi.org/10.3390/gels11020128
APA StyleGao, S., Zeng, W., Liu, Z., Zhang, F., Zhang, Y., Liu, X., Wu, D., & Wang, Y. (2025). Dual-Function Hydrogel Coating on Silicone Urinary Catheters with Durable Antibacterial Property and Lubricity. Gels, 11(2), 128. https://doi.org/10.3390/gels11020128

