Improvement of Surimi Gel from Frozen-Stored Silver Carp
Abstract
1. Introduction
2. Results and Discussion
2.1. Gel Strength and Textural Properties of the Gel Samples as Affected by the Additives
2.2. Rheological Properties of the Gel Samples Affected by the Additives
2.3. Fourier Transform Infrared Spectroscopy (FT-IR) Results of the Gel Samples
2.4. Water Holding Capacity and Water Mobility of the Gel Samples
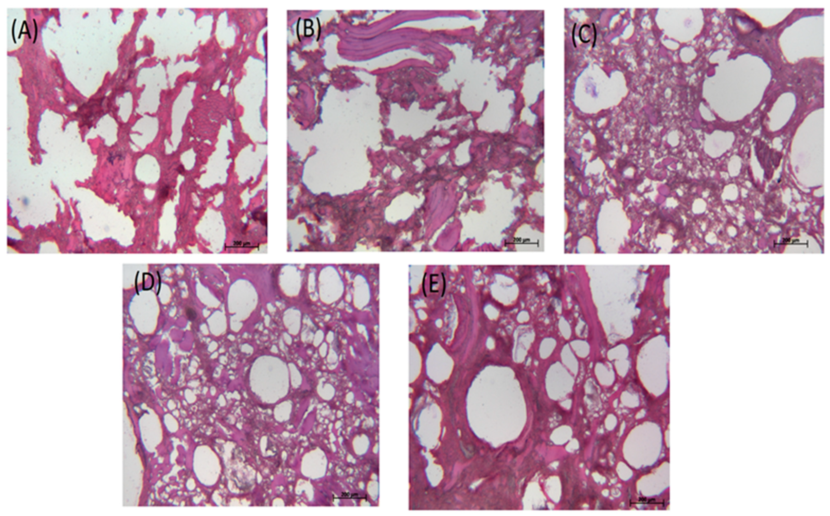
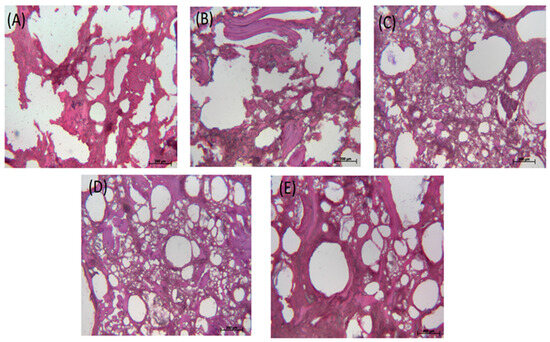
2.5. Microstructural Analysis of the Gel Samples as Affected by the Additives
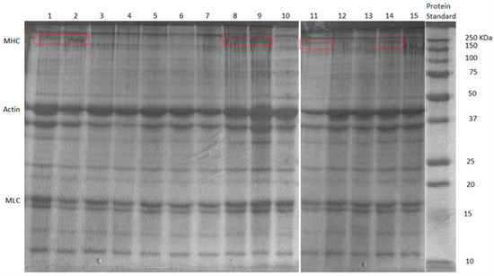
2.6. Protein Cross-Linking Network Formation Revealed by SDS-PAGE Analysis
2.7. Synergistic Effects of Additives Revealed by Response-Surface Modeling and Optimization of the Process
3. Conclusions
4. Materials and Methods
4.1. Materials
4.2. Making of the Surimi Gel
4.3. Gel Strength Test
4.4. Texture Profile Analysis (TPA) Test
4.5. Rheological Test
4.6. FT-IR Test
4.7. LF-NMR Test
4.8. Water Holding Capacity (WHC) Analysis
4.9. Microstructure Analysis
4.10. SDS-PAGE Analysis
4.11. Response-Surface Modeling
4.12. Data Analysis and Statistical Tests
Supplementary Materials
Author Contributions
Funding
Institutional Review Board Statement
Informed Consent Statement
Data Availability Statement
Acknowledgments
Conflicts of Interest
References
- Chapman, D.C.; Hoff, D.H. Chapter 1: Introduction. In Invasive Asian Carps in North America; American Fisheries Society, AFS Symposium: Bethesda, MD, USA, 2011; Volume 74. [Google Scholar] [CrossRef]
- Wilson, M.R. Habitat Preference, Dispersal, and Population Trends of Three Species of Invasive Asian Carps in Tributaries of the La Grange Reach of the Illinois River; US Army Engineer Research and Development Center, Environmental Laboratory: Vicksburg, MS, USA, 2012. [Google Scholar] [CrossRef]
- Kolar, S.C.; Chapman, D.C.; Courtenay, R.W., Jr.; Housel, M.C.; Williams, D.J.; Jennings, P.D. Chapter 1. Introduction. In Bigheaded Carps: A Biological Synopsis and Environmental Risk Assessment; American Fisheries Society, Special Publication: Bethesda, MD, USA, 2007; Volume 33. [Google Scholar] [CrossRef]
- Mitchell, A.J.; Kelly, A.M. The public sector role in the establishment of grass carp in the United States. Fisheries 2006, 31, 113–121. [Google Scholar] [CrossRef]
- Nico, L.G.; Williams, J.D.; Jelks, H.L. Chapter 11: Introduction of Black Carp into the United States. In Black Carp: Biological Synopsis and Risk Assessment of an Introduced Fish; American Fisheries Society, Special Publication: Bethesda, MD, USA, 2005; Volume 32. [Google Scholar] [CrossRef]
- Yuan, G. Causes of booming of Grass Carp, Black Carp, Silver Carp and Bighead Carp farming during Tang Dynasty. J. Dalian Fish. Coll. 1993, 8, 49–53, (In Chinese with English Abstract). [Google Scholar]
- Yingchutrakul, M.; Wasinnitiwong, N.; Benjakul, S.; Singh, A.; Zheng, Y.; Mubango, E.; Luo, Y.; Tan, Y.; Hong, H. Asian carp, an alternative material for surimi production: Progress and future. Foods 2022, 11, 1318. [Google Scholar] [CrossRef] [PubMed]
- Ma, Y.; Xiong, S.; You, J.; Hu, Y.; Huang, Q.; Yin, T. Effects of vacuum chopping on physicochemical and gelation properties of myofibrillar proteins from silver carp (Hypophthalmichthys molitrix). Food Chem. 2018, 245, 557–563. [Google Scholar] [CrossRef] [PubMed]
- Sun, X.D.; Holley, R.A. Factors influencing gel formation by myofibrillar proteins in Muscle Foods. Compr. Rev. Food Sci. Food Saf. 2010, 10, 33–51. [Google Scholar] [CrossRef]
- Xiong, Z.; Shi, T.; Jin, W.; Bao, Y.; Monto, A.R.; Yuan, L.; Gao, R. Gel performance of surimi induced by various thermal technologies: A Review. Crit. Rev. Food Sci. Nutr. 2022, 64, 3075–3090. [Google Scholar] [CrossRef] [PubMed]
- Wang, Q.; Jiao, X.; Yan, B.; Meng, L.; Cao, H.; Huang, J.; Zhao, J.; Zhang, H.; Chen, W.; Fan, D. Inhibitory effect of microwave heating on cathepsin L-induced degradation of myofibrillar protein gel. Food Chem. 2021, 357, 129745. [Google Scholar] [CrossRef] [PubMed]
- Luo, Y.; Shen, H.; Pan, D.; Bu, G. Gel properties of surimi from silver carp (Hypophthalmichthys molitrix) as affected by heat treatment and soy protein isolate. Food Hydrocoll. 2008, 22, 1513–1519. [Google Scholar] [CrossRef]
- Benjakul, S.; Visessanguan, W.; Thongkaew, C.; Tanaka, M. Effect of frozen storage on chemical and gel-forming properties of fish commonly used for surimi production in Thailand. Food Hydrocoll. 2005, 19, 197–207. [Google Scholar] [CrossRef]
- Lee, S.; Jo, K.; Jeong, H.G.; Choi, Y.-S.; Kyoung, H.; Jung, S. Freezing-induced denaturation of myofibrillar proteins in frozen meat. Crit. Rev. Food Sci. Nutr. 2022, 64, 1385–1402. [Google Scholar] [CrossRef] [PubMed]
- Jia, R.; Jiang, Q.; Kanda, M.; Tokiwa, J.; Nakazawa, N.; Osako, K.; Okazaki, E. Effects of heating processes on changes in ice crystal formation, water holding capacity, and physical properties of surimi gels during frozen storage. Food Hydrocoll. 2019, 90, 254–265. [Google Scholar] [CrossRef]
- Bashir, K.M.; Kim, J.-S.; An, J.H.; Sohn, J.H.; Choi, J.-S. Natural food additives and preservatives for fish-paste products: A review of the past, present, and future states of research. J. Food Qual. 2017, 2017, 1–31. [Google Scholar] [CrossRef]
- Nahr, K.F.; Mokarram, R.R.; Hejazi, M.A.; Ghanbarzadeh, B.; Sowti Khiyabani, M.; Zoroufchi Benis, K. Optimization of the nanocellulose based cryoprotective medium to enhance the viability of freeze dried lactobacillus plantarum using response surface methodology. LWT–Food Sci. Technol. 2015, 64, 326–332. [Google Scholar] [CrossRef]
- Meira, A.C.; de Morais, L.C.; Setter, C.; Veríssimo, L.A.; Carvalho, C.W.; de Resende, J.V. Cryoprotective potential of cellulose nanofibers and gelatin hydrolysate in frozen potatoes. Food Bioprocess Technol. 2024, 1–16. [Google Scholar] [CrossRef]
- Qazanfarzadeh, Z.; Kadivar, M. Properties of whey protein isolate nanocomposite films reinforced with nanocellulose isolated from oat husk. Int. J. Biol. Macromol. 2016, 91, 1134–1140. [Google Scholar] [CrossRef] [PubMed]
- He, Y.; Huang, Y.; Zhu, X.; Guo, R.; Wang, Z.; Lei, W.; Xia, X. Investigation of the effect and mechanism of nanocellulose on soy protein isolate- Konjac Glucomannan Composite Hydrogel System. Int. J. Biol. Macromol. 2024, 254, 127943. [Google Scholar] [CrossRef] [PubMed]
- Zhang, X.; Wang, W.; Wang, Y.; Wang, Y.; Wang, X.; Gao, G.; Chen, G.; Liu, A. Effects of nanofiber cellulose on functional properties of heat-induced chicken salt-soluble meat protein gel enhanced with microbial Transglutaminase. Food Hydrocoll. 2018, 84, 1–8. [Google Scholar] [CrossRef]
- Li, Z.; Wang, Q.; Li, S.; Chang, Y.; Zheng, X.; Cao, H.; Zheng, Y. Usage of nanocrystalline cellulose as a novel cryoprotective substance for the nemipterus virgatus surimi during frozen storage. Food Chem. X 2022, 16, 100506. [Google Scholar] [CrossRef] [PubMed]
- Nsor-Atindana, J.; Chen, M.; Goff, H.D.; Zhong, F.; Sharif, H.R.; Li, Y. Functionality and nutritional aspects of microcrystalline cellulose in food. Carbohydr. Polym. 2017, 172, 159–174. [Google Scholar] [CrossRef] [PubMed]
- Cañas-Gutiérrez, A.; Gómez Hoyos, C.; Velásquez-Cock, J.; Gañán, P.; Triana, O.; Cogollo-Flórez, J.; Romero-Sáez, M.; Correa-Hincapié, N.; Zuluaga, R. Health and toxicological effects of nanocellulose when used as a food ingredient: A Review. Carbohydr. Polym. 2024, 323, 121382. [Google Scholar] [CrossRef] [PubMed]
- Benjakul, S.; Visessanguan, W.; Pecharat, S. Suwari gel properties as affected by transglutaminase activator and inhibitors. Food Chem. 2004, 85, 91–99. [Google Scholar] [CrossRef]
- Vasić, K.; Knez, Ž.; Leitgeb, M. Transglutaminase in foods and biotechnology. Int. J. Mol. Sci. 2023, 24, 12402. [Google Scholar] [CrossRef] [PubMed]
- Lee, J.M.; Suen, S.K.; Ng, W.L.; Ma, W.C.; Yeong, W.Y. Bioprinting of collagen: Considerations, potentials, and applications. Macromol. Biosci. 2020, 21, 2000280. [Google Scholar] [CrossRef]
- Zhao, Y.; Lu, K.; Piao, X.; Song, Y.; Wang, L.; Zhou, R.; Gao, P.; Khong, H.Y. Collagens for surimi gel fortification: Type-dependent effects and the difference between type I and type II. Food Chem. 2023, 407, 135157. [Google Scholar] [CrossRef] [PubMed]
- Ferreira, S.L.C.; Bruns, R.E.; Ferreira, H.S.; Matos, G.D.; David, J.M.; Brandão, G.C.; da Silva, E.G.P.; Portugal, L.A.; dos Reis, P.S.; Souza, A.S.; et al. Box-Behnken Design: An alternative for the optimization of Analytical Methods. Anal. Chim. Acta 2007, 597, 179–186. [Google Scholar] [CrossRef] [PubMed]
- Ferreira, N.; Viana, T.; Henriques, B.; Tavares, D.S.; Jacinto, J.; Colónia, J.; Pinto, J.; Pereira, E. Application of response surface methodology and box–behnken design for the optimization of mercury removal by Ulva sp. J. Hazard. Mater. 2023, 445, 130405. [Google Scholar] [CrossRef] [PubMed]
- Zhang, N.; Yang, N.; Yu, W.; Jin, Z.; Jiang, P.; Yu, C.; Dong, X. Effects of microbial Transglutaminase on textural, water distribution, and microstructure of frozen-stored longtail Southern Cod (Patagonotothen ramsayi) fish mince gel. J. Texture Stud. 2022, 53, 844–853. [Google Scholar] [CrossRef] [PubMed]
- Tabilo-Munizaga, G.; Barbosa-Cánovas, G.V. Color and textural parameters of pressurized and heat-treated surimi gels as affected by potato starch and egg white. Food Res. Int. 2004, 37, 767–775. [Google Scholar] [CrossRef]
- Alemu, T. Texture profile and design of food product. J. Agric. Hortic. Res. 2023, 6, 272–281. [Google Scholar] [CrossRef]
- Peleg, M. The instrumental texture profile analysis revisited. J. Texture Stud. 2019, 50, 362–368. [Google Scholar] [CrossRef]
- Yang, N.; Fan, X.; Yu, W.; Huang, Y.; Yu, C.; Konno, K.; Dong, X. Effects of microbial Transglutaminase on gel formation of frozen-stored longtail southern cod (Patagonotothen ramsayi) mince. LWT 2020, 128, 109444. [Google Scholar] [CrossRef]
- Zhao, Y.; Piao, X.; Zheng, B.; Gao, P.; Miao, W.; Wen, Z.; Zhang, X.; Mei, G.; Zhou, R.; Deng, S. Enhancement of surimi gel properties through the synergetic effect of Fucoidan and Oligochitosan. Food Hydrocoll. 2023, 140, 108626. [Google Scholar] [CrossRef]
- Wei, W.; Hu, W.; Zhang, X.-Y.; Zhang, F.-P.; Sun, S.-Q.; Liu, Y.; Xu, C.-H. Analysis of protein structure changes and quality regulation of surimi during gelation based on infrared spectroscopy and microscopic imaging. Sci. Rep. 2018, 8, 5566. [Google Scholar] [CrossRef] [PubMed]
- Xie, Y.; Yu, X.; Wang, Z.; Yu, C.; Prakash, S.; Dong, X. The synergistic effects of myofibrillar protein enrichment and homogenization on the quality of COD Protein Gel. Food Hydrocoll. 2022, 127, 107468. [Google Scholar] [CrossRef]
- Paul, C.; Leser, S.; Oesser, S. Significant amounts of functional collagen peptides can be incorporated in the diet while maintaining indispensable amino acid balance. Nutrients 2019, 11, 1079. [Google Scholar] [CrossRef] [PubMed]
- Dong, X.; Huang, Y.; Pan, Y.; Wang, K.; Prakash, S.; Zhu, B. Investigation of sweet potato starch as a structural enhancer for three-dimensional printing of scomberomorus niphonius surimi. J. Texture Stud. 2019, 50, 316–324. [Google Scholar] [CrossRef] [PubMed]
- Laemmli, U.K. Cleavage of structural proteins during the Assembly of the head of bacteriophage T4. Nature 1970, 227, 680–685. [Google Scholar] [CrossRef] [PubMed]
- Zhang, X.; Zhang, Y.; Dong, Y.; Ding, H.; Chen, K.; Lu, T.; Dai, Z. Study on the mechanism of protein hydrolysate delaying quality deterioration of frozen surimi. LWT 2022, 167, 113767. [Google Scholar] [CrossRef]







| Run | Independent Variables | Dependent Variables | ||||||
|---|---|---|---|---|---|---|---|---|
| MMF (wt%) | TG (wt%) | Collagen (wt%) | Gel Strength (N-m) | Hardness (N) | Resilience | Cohesiveness | Springiness | |
| (mean ± SD, n = 4) | (mean ± SD, n = 4) | (mean ± SD, n = 4) | (mean ± SD, n = 4) | (mean ± SD, n = 4) | ||||
| 1 | 0.1 | 0.1 | 3 | 0.092 ± 0.007 a | 240.09 ± 10.39 a | 0.3742 ± 0.0098 a | 0.6829 ± 0.0197 c | 0.8485 ± 0.0293 abcd |
| 2 | 1 | 0.1 | 3 | 0.099 ± 0.007 abc | 279.57 ± 7.68 abcd | 0.3644 ± 0.0049 a | 0.6705 ± 0.0126 c | 0.8172 ± 0.0160 ab |
| 3 | 0.1 | 1 | 3 | 0.122 ± 0.006 bcde | 314.38 ± 47.53 bcde | 0.3599 ± 0.0278 a | 0.4619 ± 0.0339 a | 0.9166 ± 0.0098 e |
| 4 | 1 | 1 | 3 | 0.144 ± 0.021 e | 266.55 ± 23.39 abc | 0.3430 ± 0.0654 a | 0.5027 ± 0.0998 ab | 0.9337 ± 0.0455 e |
| 5 | 0.1 | 0.5 | 1 | 0.135 ± 0.009 de | 329.51 ± 10.16 def | 0.3458 ± 0.0284 a | 0.7316 ± 0.0597 c | 0.9112 ± 0.0250 de |
| 6 | 1 | 0.5 | 1 | 0.124 ± 0.014 cde | 320.52 ± 13.50 def | 0.4381 ± 0.0042 b | 0.7002 ± 0.0289 c | 0.8816 ± 0.0103 cde |
| 7 | 0.1 | 0.5 | 5 | 0.133 ± 0.010 de | 322.53 ± 39.82 def | 0.4537 ± 0.0107 b | 0.6520 ± 0.1089 c | 0.9277 ± 0.0261 e |
| 8 | 1 | 0.5 | 5 | 0.143 ± 0.014 e | 368.58 ± 15.27 f | 0.4374 ± 0.0072 b | 0.6191 ± 0.0348 bc | 0.8958 ± 0.0241 de |
| 9 | 0.5 | 0.1 | 1 | 0.109 ± 0.011 abcd | 244.70 ± 11.59 a | 0.3675 ± 0.0011 a | 0.6834 ± 0.0036 c | 0.8051 ± 0.0279 a |
| 10 | 0.5 | 1 | 1 | 0.138 ± 0.006 de | 332.46 ± 15.92 def | 0.4625 ± 0.0255 b | 0.6780 ± 0.0577 c | 0.8868 ± 0.0186 de |
| 11 | 0.5 | 0.1 | 5 | 0.093 ± 0.012 ab | 262.64 ± 10.39 ab | 0.3581 ± 0.0108 a | 0.6756 ± 0.0179 c | 0.8210 ± 0.0317 abc |
| 12 | 0.5 | 1 | 5 | 0.136 ± 0.020 de | 358.17 ± 15.59 ef | 0.4783 ± 0.0057 b | 0.7283 ± 0.0399 c | 0.9166 ± 0.0089 e |
| 13 | 0.5 | 0.5 | 3 | 0.118 ± 0.009 abcde | 314.21 ± 23.40 bcde | 0.4364 ± 0.0096 b | 0.7322 ± 0.0232 c | 0.8828 ± 0.0391 cde |
| 14 | 0.5 | 0.5 | 3 | 0.127 ± 0.012 cde | 312.07 ± 6.52 bcde | 0.4412 ± 0.0165 b | 0.7222 ± 0.0613 c | 0.8791 ± 0.0194 bcde |
| 15 | 0.5 | 0.5 | 3 | 0.122 ± 0.006 bcde | 316.99 ± 15.60 cdef | 0.4332 ± 0.0095 b | 0.7307 ± 0.0230 c | 0.8971 ± 0.0031 de |
| Run | Independent Variables | Dependent Variables | |||||||
|---|---|---|---|---|---|---|---|---|---|
| MMF (wt%) | TG (wt%) | CLG (wt%) | T21 (ms) | T22 (ms) | T23 (ms) | P1 (%) | P2 (%) | P3 (%) | |
| 1 | 0.1 | 0.1 | 3 | 0.606 ± 0.078 bcdef | 58.05 ± 0.00 c | 589.1 ± 25.91 bc | 2.565 ± 0.256 a | 93.87 ± 0.699 ab | 3.570 ± 0.758 bc |
| 2 | 1 | 0.1 | 3 | 0.594 ± 0.042 bcdef | 58.05 ± 0.00 c | 608.0 ± 0.000 cd | 2.383 ± 0.180 a | 94.49 ± 0.313 bc | 3.124 ± 0.425 ab |
| 3 | 0.1 | 1 | 3 | 0.567 ± 0.059 abcde | 53.61 ± 3.07 a | 692.7 ± 30.47 fg | 2.614 ± 0.320 a | 92.69 ± 1.767 a | 4.693 ± 1.703 c |
| 4 | 1 | 1 | 3 | 0.534 ± 0.082 abcd | 54.44 ± 2.02 ab | 649.1 ± 22.94 de | 2.832 ± 0.478 a | 94.11 ± 0.373 bc | 3.058 ± 0.248 ab |
| 5 | 0.1 | 0.5 | 1 | 0.446 ± 0.062 a | 62.95 ± 0.00 d | 775.3 ± 0.000 h | 2.696 ± 0.168 a | 94.58 ± 0.189 bc | 2.719 ± 0.098 ab |
| 6 | 1 | 0.5 | 1 | 0.496 ± 0.018 ab | 58.05 ± 0.00 c | 670.4 ± 24.88 ef | 2.473 ± 0.233 a | 95.02 ± 0.189 bc | 2.504 ± 0.122 ab |
| 7 | 0.1 | 0.5 | 5 | 0.699 ± 0.049 efg | 58.05 ± 0.00 c | 589.1 ± 25.91 bc | 2.517 ± 1.089 a | 94.87 ± 1.080 bc | 2.612 ± 0.064 ab |
| 8 | 1 | 0.5 | 5 | 0.680 ± 0.103 defg | 53.54 ± 0.00 a | 560.7 ± 0.000 b | 2.931 ± 0.320 a | 94.82 ± 0.210 bc | 2.246 ± 0.206 a |
| 9 | 0.5 | 0.1 | 1 | 0.591 ± 0.106 abcdef | 62.95 ± 0.00 d | 727.0 ± 26.97 g | 2.428 ± 0.297 a | 95.37 ± 0.247 c | 2.205 ± 0.079 a |
| 10 | 0.5 | 1 | 1 | 0.513 ± 0.022 abc | 58.05 ± 0.00 c | 714.9 ± 0.000 g | 2.781 ± 0.258 a | 94.84 ± 0.317 bc | 2.380 ± 0.102 a |
| 11 | 0.5 | 0.1 | 5 | 0.772 ± 0.084 g | 58.05 ± 0.00 c | 517.1 ± 0.000 a | 2.432 ± 0.100 a | 95.24 ± 0.198 c | 2.328 ± 0.137 a |
| 12 | 0.5 | 1 | 5 | 0.645 ± 0.060 cdefg | 56.25 ± 2.47 bc | 598.6 ± 21.16 bc | 2.805 ± 0.244 a | 94.82 ± 0.348 bc | 2.374 ± 0.115 a |
| 13 | 0.5 | 0.5 | 3 | 0.665 ± 0.046 defg | 58.05 ± 0.00 c | 608.0 ± 0.000 cd | 2.478 ± 0.163 a | 94.90 ± 0.217 bc | 2.625 ± 0.138 ab |
| 14 | 0.5 | 0.5 | 3 | 0.584 ± 0.039 abcdef | 58.05 ± 0.00 c | 618.3 ± 22.94 cd | 2.708 ± 0.277 a | 95.11 ± 0.248 bc | 2.180 ± 0.079 a |
| 15 | 0.5 | 0.5 | 3 | 0.723 ± 0.053 fg | 58.05 ± 0.00 c | 608.0 ± 0.000 cd | 2.757 ± 0.253 a | 95.09 ± 0.287 bc | 2.157 ± 0.104 a |
| Control | 1.0 wt% MMF | 0.5 wt% TG | 0.5 wt% TG 0.5 wt% MMF | 0.5 wt% TG 1.0 wt% MMF | |
|---|---|---|---|---|---|
| Pore Count | 209 ± 8 a | 315 ± 25 ab | 962 ± 180 c | 882 ± 108 c | 482 ± 49 b |
| Total Pore Area (mm2) | 0.99 ± 0.04 a | 0.77 ± 0.02 b | 0.75 ± 0.03 b | 0.70 ± 0.02 b | 0.77 ± 0.09 b |
| Average Pore Size (μm2) | 4730 ± 21 d | 2465 ± 187 c | 796 ± 128 a | 806 ± 123 a | 1600 ± 118 b |
| WHC (%) | 69.17 ± 1.73 ab | 69.07 ± 0.99 a | 73.12 ± 0.70 ab | 73.18 ± 2.72 ab | 73.26 ± 0.49 b |
| Quadratic Model | R2 | Adjusted R2 | Predicted R2 | p-Value |
|---|---|---|---|---|
| Gel Strength (Y1) | 0.6749 | 0.6164 | 0.5171 | <0.05 |
| Hardness (Y2) | 0.7402 | 0.6934 | 0.6149 | <0.05 |
| Springiness (Y3) | 0.7548 | 0.7107 | 0.6454 | <0.05 |
| Cohesiveness (Y4) | 0.5123 | 0.4245 | 0.2697 | <0.05 |
| Resilience (Y5) | 0.5652 | 0.4869 | 0.3414 | <0.05 |
| Levels (Code) | |||
|---|---|---|---|
| Independent Variables | Low (−1) | Medium (0) | High (+1) |
| MMF (wt%) | 0.1 | 0.5 | 1.0 |
| TG (wt%) | 0.1 | 0.5 | 1.0 |
| Collagen (wt%) | 1 | 3 | 5 |
| Run | Independent Variables | ||
|---|---|---|---|
| MMF | TG | Collagen | |
| 1 | −1 | −1 | 0 |
| 2 | 1 | −1 | 0 |
| 3 | −1 | 1 | 0 |
| 4 | 1 | 1 | 0 |
| 5 | −1 | 0 | −1 |
| 6 | 1 | 0 | −1 |
| 7 | −1 | 0 | 1 |
| 8 | 1 | 0 | 1 |
| 9 | 0 | −1 | −1 |
| 10 | 0 | 1 | −1 |
| 11 | 0 | −1 | 1 |
| 12 | 0 | 1 | 1 |
| 13 | 0 | 0 | 0 |
| 14 | 0 | 0 | 0 |
| 15 | 0 | 0 | 0 |
Disclaimer/Publisher’s Note: The statements, opinions and data contained in all publications are solely those of the individual author(s) and contributor(s) and not of MDPI and/or the editor(s). MDPI and/or the editor(s) disclaim responsibility for any injury to people or property resulting from any ideas, methods, instructions or products referred to in the content. |
© 2024 by the authors. Licensee MDPI, Basel, Switzerland. This article is an open access article distributed under the terms and conditions of the Creative Commons Attribution (CC BY) license (https://creativecommons.org/licenses/by/4.0/).
Share and Cite
Yang, J.; Yu, X.; Dong, X.; Yu, C. Improvement of Surimi Gel from Frozen-Stored Silver Carp. Gels 2024, 10, 374. https://doi.org/10.3390/gels10060374
Yang J, Yu X, Dong X, Yu C. Improvement of Surimi Gel from Frozen-Stored Silver Carp. Gels. 2024; 10(6):374. https://doi.org/10.3390/gels10060374
Chicago/Turabian StyleYang, Jingyi, Xiliang Yu, Xiuping Dong, and Chenxu Yu. 2024. "Improvement of Surimi Gel from Frozen-Stored Silver Carp" Gels 10, no. 6: 374. https://doi.org/10.3390/gels10060374
APA StyleYang, J., Yu, X., Dong, X., & Yu, C. (2024). Improvement of Surimi Gel from Frozen-Stored Silver Carp. Gels, 10(6), 374. https://doi.org/10.3390/gels10060374

