Tissue Regeneration and Remodeling in Rat Models after Application of Hypericum perforatum L. Extract-Loaded Bigels
Abstract
1. Introduction
2. Results
2.1. Wound Healing
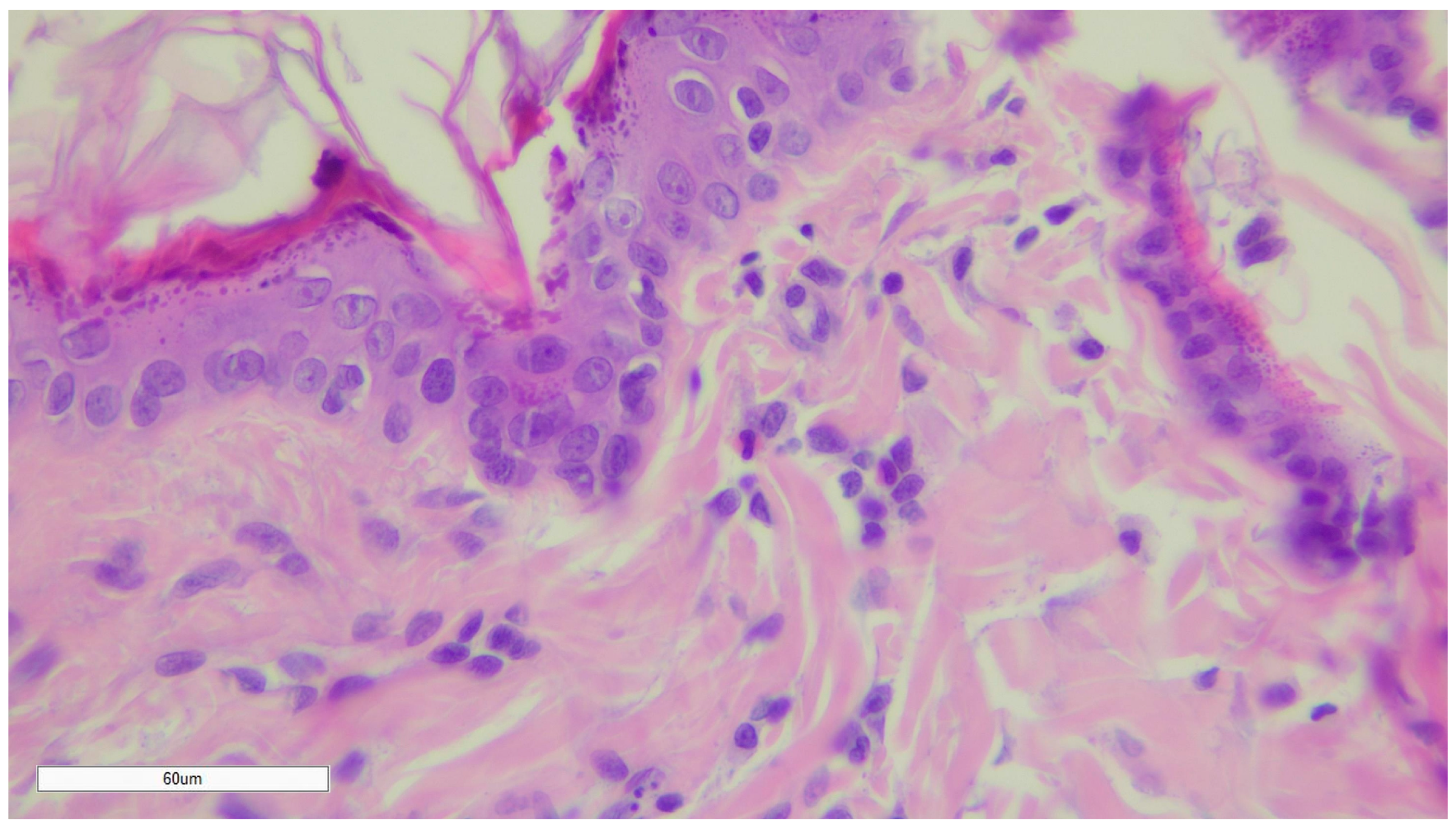
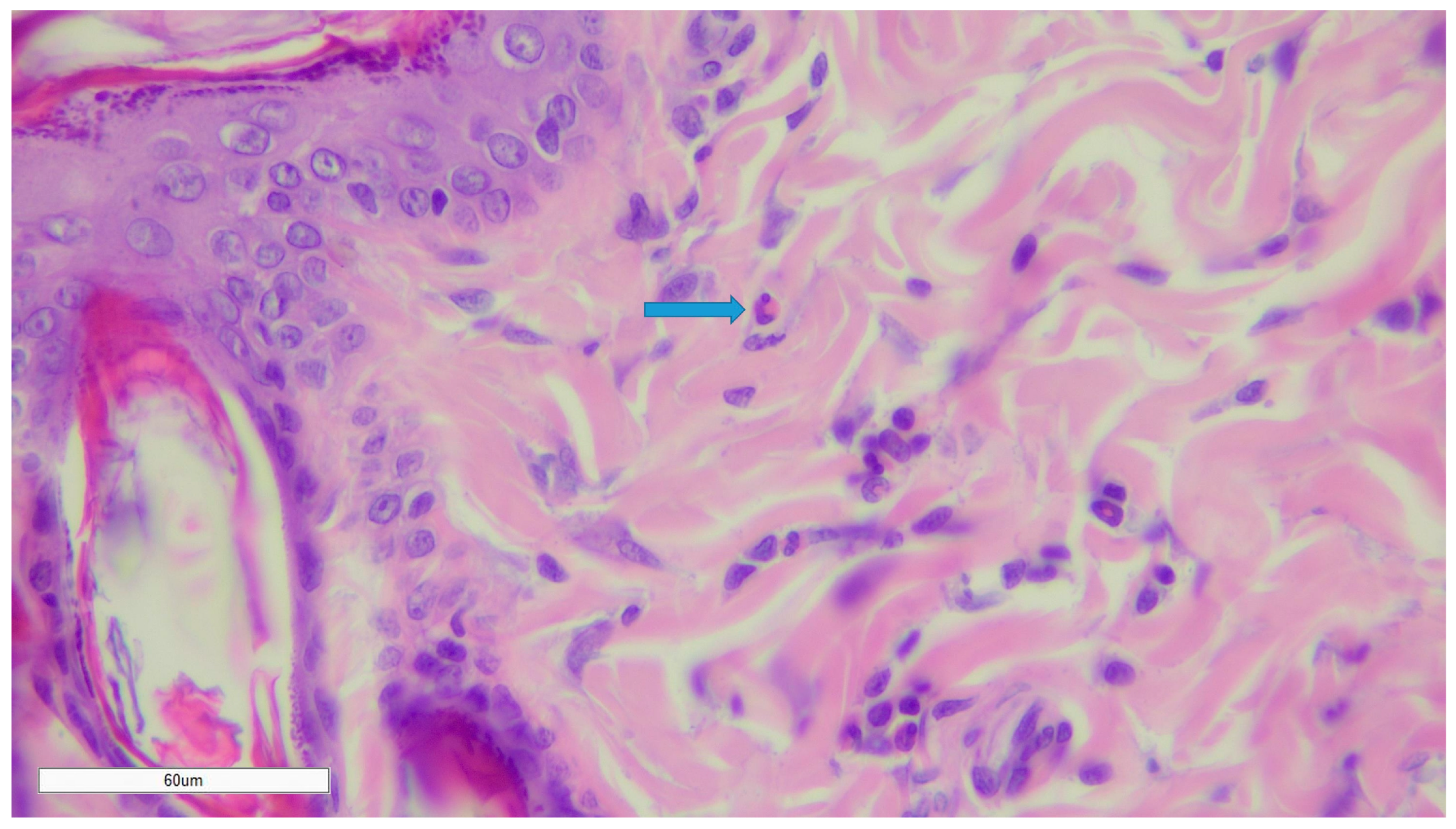
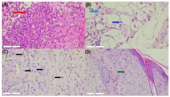
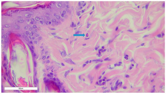
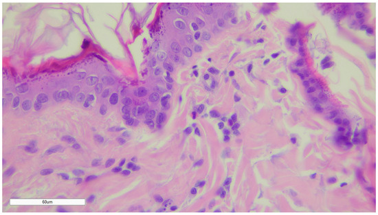
2.2. Histological Studies
2.3. Gene Expression
3. Discussion
- The HP-NLC sample possessed particles with a mean size in the nanoscale (below 200 nm) and high zeta potential values (>|30| mV). The system presented a relatively uniform size distribution expressed as a polydispersity index lower than 0.3 (Figure 6A);
- The successful entrapment of the HP-rich SJW extract was proven through quantitative HPLC analysis: the encapsulation efficiency was nearly 75% (Figure 6A). ATR-FTIR studies were used as qualitative proof—the absorption band with a maximum of 1623 cm−1, present in the HP-NLCs (1.25%), was found to be characteristic of the SJW extract itself (Figure 4). In addition, by preparing overloaded samples (HP-NLC (2.50%) and HP-NLC (5.00%)), the suitability of the selected extract concentration was confirmed;
- The disorder in the inner matrix of HP-NLCs was demonstrated by their X-ray diffraction pattern (Figure 6C). The absence of the extract’s characteristic reflections in the diffractogram suggested its presence in a non-crystalline state within the nanoparticles;
- Shear-thinning behavior (preferable during topical application);
- Favorable mechanical properties, i.e., spreadability, firmness, cohesiveness, and adhesiveness;
- Skin-tolerable pH value;
- Physical stability under stress conditions [50].
4. Conclusions
5. Materials and Methods
5.1. Materials
5.2. Methods
5.2.1. Experimental Animals
5.2.2. Wound Excision Model
- Group G0: wound group, untreated, negative control group;
- Group G1: a positive group treated with a commercial herbal semisolid formulation used for wound healing, containing extracts from Aloe vera, Prunus amygdalus, Vitex negundo, and Rubia cordifolia;
- Group G2: a group treated with B/SJW;
- Group G3: a group treated with B/NLC-SJW.
5.2.3. Wound Area Measurements
5.2.4. Histological Examinations
5.2.5. Gene Expression Analyses
5.2.6. Statistical Analysis
Author Contributions
Funding
Institutional Review Board Statement
Informed Consent Statement
Data Availability Statement
Conflicts of Interest
References
- Phillipson, M.; Kubes, P. The Healing Power of Neutrophils. Trends Immunol. 2019, 40, 635–647. [Google Scholar] [CrossRef] [PubMed]
- Aitcheson, S.M.; Frentiu, F.D.; Hurn, S.E.; Edwards, K.; Murray, R.Z. Skin Wound Healing: Normal Macrophage Function and Macrophage Dysfunction in Diabetic Wounds. Molecules 2021, 26, 4917. [Google Scholar] [CrossRef] [PubMed]
- Rodrigues, M.; Kosaric, N.; Bonham, C.A.; Gurtner, G.C. Wound Healing: A Cellular Perspective. Physiol. Rev. 2019, 99, 665–706. [Google Scholar] [CrossRef]
- Wilgus, T.A.; Roy, S.; McDaniel, J.C. Neutrophils and Wound Repair: Positive Actions and Negative Reactions. Adv. Wound Care 2013, 2, 379–388. [Google Scholar] [CrossRef] [PubMed]
- Gillitzer, R.; Goebeler, M. Chemokines in cutaneous wound healing. J. Leukoc. Biol. 2001, 69, 513–521. [Google Scholar] [CrossRef]
- Barrientos, S.; Stojadinovic, O.; Golinko, M.S.; Brem, H.; Tomic-Canic, M. Growth factors and cytokines in wound healing. Wound Repair Regen. 2008, 16, 585–601. [Google Scholar] [CrossRef] [PubMed]
- Nosenko, M.A.; Ambaryan, S.G.; Drutskaya, M.S. Proinflammatory cytokines and skin wound healing in mice. Mol. Biol. 2019, 53, 653–664. [Google Scholar] [CrossRef] [PubMed]
- Ritsu, M.; Kawakami, K.; Kanno, E.; Tanno, H.; Ishii, K.; Imai, Y.; Maruyama, R.; Tachi, M. Critical role of tumor necrosis factor-α in the early process of wound healing in skin. J. Dermatol. Dermatol. Surg. 2017, 21, 14–19. [Google Scholar] [CrossRef]
- Zhang, E.; Gao, B.; Yang, L.; Wu, X.; Wang, Z. Ft1 Accelerates Diabetic Wound Healing. J. Pharmacol. Exp. Ther. 2016, 356, 324–332. [Google Scholar] [CrossRef]
- Criollo-Mendoza, M.S.; Contreras-Angulo, L.A.; Leyva-López, N.; Gutiérrez-Grijalva, E.P.; Jiménez-Ortega, L.A.; Heredia, J.B. Wound Healing Properties of Natural Products: Mechanisms of Action. Molecules 2023, 28, 598. [Google Scholar] [CrossRef]
- Patten, J.; Wang, K. Fibronectin in development and wound healing. Adv. Drug Del. Rev. 2021, 170, 353–368. [Google Scholar] [CrossRef]
- Grinnel, F.; Ho, C.-H.; Wysocki, A. Degredation of fibronectin adn vitronectin in chronic wound fluid: Analysis by cell blotting, immunoblotting, and cell adhesion assays. J. Investig. Dermatol. 1992, 98, 410–416. [Google Scholar] [CrossRef]
- Serezani, A.P.M.; Bozdogan, G.; Sehra, S.; Walsh, D.; Krishnamurthy, P.; Sierra Potchanant, E.A.; Nalepa, G.; Goenka, S.; Turner, M.J.; Spandau, D.F.; et al. IL-4 impairs wound healing potential in the skin by repressing fibronectin expression. J. Allergy Clin. Immunol. 2017, 139, 142–151. [Google Scholar] [CrossRef]
- Barber-Pérez, N.; Georgiadou, M.; Guzmán, C.; Isomursu, A.; Hamidi, H.; Ivaska, J. Mechano-responsiveness of fibrillar adhesions on stiffness-gradient gels. J. Cell Sci. 2020, 133, jcs242909. [Google Scholar] [CrossRef]
- Larjava, H.; Salo, T.; Haapasalmi, K.; Kramer, R.H.; Heino, J. Expression of integrins and basement membrane components by wound keratinocytes. J. Clin. Invest. 1993, 92, 1425–1435. [Google Scholar] [CrossRef]
- Shi, F.; Sottile, J. MT1-MMP regulates the turnover and endocytosis of extracellular matrix fibronectin. J. Cell Sci. 2011, 124, 4039–4050. [Google Scholar] [CrossRef]
- Lenselink, E.A. Role of fibronectin in normal wound healing. Int. Wound J. 2015, 12, 313–316. [Google Scholar] [CrossRef]
- Verma, R.P.; Hansch, C. Matrix metalloproteinases (MMPs): Chemical-biological functions and (Q)SARs. Bioorg. Med. Chem. 2007, 15, 2223–2268. [Google Scholar] [CrossRef]
- Kandhwal, M.; Behl, T.; Singh, S.; Sharma, N.; Arora, S.; Bhatia, S.; Al-Harrasi, A.; Sachdeva, M.; Bungau, S. Role of matrix metalloproteinase in wound healing. Am. J. Transl. Res. 2022, 14, 4391–4405. [Google Scholar]
- Gooyit, M.; Peng, Z.; Wolter, W.R.; Pi, H.; Ding, D.; Hesek, D.; Lee, M.; Boggess, B.; Champion, M.M.; Suckow, M.A.; et al. A chemical biological strategy to facilitate diabetic wound healing. ACS Chem. Biol. 2014, 9, 105–110. [Google Scholar] [CrossRef]
- Nobakht, S.Z.; Akaberi, M.; Mohammadpour, A.H.; Moghadam, A.T.; Emami, S.A. Hypericum perforatum: Traditional uses, clinical trials, and drug interactions. Iran. J. Basic Med. Sci. 2022, 26, 1045–1058. [Google Scholar] [CrossRef]
- Baytop, T. Therapy with Herbs in Turkey; Istanbul University Publications: Istanbul, Turkey, 1984; pp. 185–186. Available online: https://scholar.google.com/scholar?cluster=6126831152632644711&hl=bg&as_sdt=2005&sciodt=0,5 (accessed on 10 November 2023).
- Duke, J.A. Handbook of Medicinal Herbs, 2nd ed.; CRC Press: Boca Raton, FL, USA, 1985; pp. 698–701. [Google Scholar]
- Jarić, S.; Kostić, O.; Mataruga, Z.; Pavlović, D.; Pavlović, M.; Mitrović, M.; Pavlović, P. Traditional wound-healing plants used in the Balkan region (Southeast Europe). J. Ethnopharmacol. 2018, 211, 311–328. [Google Scholar] [CrossRef]
- Zhang, R.; Ji, Y.; Zhang, X.; Kennelly, E.J.; Long, C. Ethnopharmacology of Hypericum species in China: A comprehensive review on ethnobotany, phytochemistry and pharmacology. J. Ethnopharmacol. 2020, 254, 112686. [Google Scholar] [CrossRef]
- Gunther, R. The Greek Herbal of Dioscorides; Hafner Publishing Company: New York, NY, USA, 1959; p. 396. [Google Scholar]
- Yeşilada, E.; Honda, G.; Sezik, E.; Tabata, M.; Goto, K.; Ikeshiro, Y. Traditional medicine in Turkey IV. Folk medicine in the Mediterranean subdivision. J. Ethnopharmacol. 1993, 39, 31–38. [Google Scholar] [CrossRef]
- Bladt, S.; Wagner, H. Inhibition of MAO by fractions and constituents of hypericum extract. J. Geriatr. Psychiatry Neurol. 1994, 7, 57–59. [Google Scholar] [CrossRef]
- Oliveira, A.I.; Pinho, C.; Sarmento, B.; Dias, A.C.P. Neuroprotective Activity of Hypericum perforatum and Its Major Components. Front. Plant Sci. 2016, 7, 1004. [Google Scholar] [CrossRef]
- Reichling, J.; Weseler, A.; Saller, R. A current review of the antimicrobial activity of Hypericum perforatum L. Pharmacopsychiatry 2001, 34, S116–S118. [Google Scholar] [CrossRef]
- Öztürk, N.; Korkmaz, S.; Öztürk, Y. Wound-healing activity of St. John’s Wort (Hypericum perforatum L.) on chicken embryonic fibroblasts. J. Ethnopharmacol. 2007, 111, 33–39. [Google Scholar] [CrossRef]
- Yalcınkaya, E.; Basaran, M.M.; Tunckasık, M.E.; Yazici, G.N.; Elmas, Ç.; Kocaturk, S. Efficiency of hypericum perforatum, povidone iodine, tincture benzoin and tretinoin on wound healing. Food Chem. Toxicol. 2022, 166, 113209. [Google Scholar] [CrossRef]
- Altan, A.; Aras, M.H.; Damlar, I.; Gokce, H.; Ozcan, O.; Alpaslan, C. The effect of Hypericum Perforatum on wound healing of oral mucosa in diabetic rats. Eur. Oral Res. 2018, 52, 143–149. [Google Scholar] [CrossRef]
- Kıyan, S.; Uyanıkgil, Y.; Ali Altuncı, Y.; Çavuşoğlu, T.; Uyanıkgil, E.Ö.Ç.; Karabey, F. Investigation of acute effects of Hypericum perforatum (St. John’s Wort-Kantaron) treatment in experimental thermal burns and comparison with silver sulfadiazine treatment. Ulus. Travma Acil Cerrahi Derg. 2015, 21, 323–336. [Google Scholar] [PubMed]
- Prisăcaru, A.I.; Andriţoiu, C.V.; Andriescu, C.; Hăvârneanu, E.C.; Popa, M.; Motoc, A.G.M.; Sava, A. Evaluation of the wound-healing effect of a novel Hypericum perforatum ointment in skin injury. Rom. J. Morphol. Embryol. 2013, 54, 1053–1059. [Google Scholar] [PubMed]
- Agapouda, A.; Booker, A.; Kiss, T.; Hohmann, J.; Heinrich, M.; Csupor, D. Quality control of Hypericum perforatum L. analytical challenges and recent progress. J. Pharm. Pharmacol. 2019, 71, 15–37. [Google Scholar] [CrossRef] [PubMed]
- Klemow, K.M.; Bartlow, A.; Crawford, J.; Kocher, N.; Shah, J.; Ritsick, M. Medical Attributes of St. John’s Wort (Hypericum perforatum). In Herbal Medicine: Biomolecular and Clinical Aspects, 2nd ed.; Benzie, I.F.F., Wachtel-Galor, S., Eds.; CRC Press: Boca Raton, FL, USA, 2011; pp. 211–237. [Google Scholar]
- Gugleva, V.; Ivanova, N.; Sotirova, Y.; Andonova, V. Dermal Drug Delivery of Phytochemicals with Phenolic Structure via Lipid-Based Nanotechnologies. Pharmaceuticals 2021, 14, 837. [Google Scholar] [CrossRef]
- Cordenonsi, L.M.; Santer, A.; Sponchiado, R.M.; Wingert, N.R.; Raffin, R.P.; Schapoval, E.E.S. Amazonia Products in Novel Lipid Nanoparticles for Fucoxanthin Encapsulation. AAPS PharmSciTech 2019, 21, 32. [Google Scholar] [CrossRef]
- Pivetta, T.P.; Simões, S.; Araújo, M.M.; Carvalho, T.; Arruda, C.; Marcato, P.D. Development of nanoparticles from natural lipids for topical delivery of thymol: Investigation of its anti-inflammatory properties. Colloids Surf. B Biointerfaces 2018, 164, 281–290. [Google Scholar] [CrossRef]
- Sotirova, Y. Solid Lipid Nanoparticles and Nanostructured Lipid Carriers: Current Perspectives in Wound Care. Scr. Sci. Pharm. 2023, 1–11. [Google Scholar]
- Müller, R.H.; Radtke, M.; Wissing, S.A. Solid lipid nanoparticles (SLN) and nanostructured lipid carriers (NLC) in cosmetic and dermatological preparations. Adv. Drug. Del. Rev. 2002, 54, S131–S155. [Google Scholar] [CrossRef]
- Garg, N.K.; Tandel, N.; Bhadada, S.K.; Tyagi, R.K. Nanostructured Lipid Carrier-Mediated Transdermal Delivery of Aceclofenac Hydrogel Present an Effective Therapeutic Approach for Inflammatory Diseases. Front. Pharmacol. 2021, 12, 713616. [Google Scholar] [CrossRef]
- Ahmadi, M.; Mehdikhani, M.; Varshosaz, J.; Farsaei, S.; Torabi, H. Pharmaceutical evaluation of atorvastatin-loaded nanostructured lipid carriers incorporated into the gelatin/hyaluronic acid/polycaprolactone scaffold for the skin tissue engineering. J. Biomater. Appl. 2021, 35, 958–977. [Google Scholar] [CrossRef]
- Varrica, C.; Carvalheiro, M.; Faria-Silva, C.; Eleutério, C.; Sandri, G.; Simões, S. Topical Allopurinol-Loaded Nanostructured Lipid Carriers: A Novel Approach for Wound Healing Management. Bioengineering 2021, 8, 192. [Google Scholar] [CrossRef] [PubMed]
- Singh, A.; Iqubal, M.K.; Mittal, S.; Qizilbash, F.F.; Sartaz, A.; Kumar, S.; Ali, J.; Baboota, S. Designing and evaluation of dermal targeted combinatorial nanostructured lipid carrier gel loaded with curcumin and resveratrol for accelerating cutaneous wound healing. Part. Sci. Technol. 2023, 42, 88–106. [Google Scholar] [CrossRef]
- Carbone, C.; Caddeo, C.; Grimaudo, M.A.; Manno, D.E.; Serra, A.; Musumeci, T. Ferulic Acid-NLC with Lavandula Essential Oil: A Possible Strategy for Wound-Healing? Nanomaterials 2020, 10, 898. [Google Scholar] [CrossRef] [PubMed]
- Alexander, H.R.; Syed Alwi, S.S.; Yazan, L.S.; Zakarial Ansar, F.H.; Ong, Y.S. Migration and Proliferation Effects of Thymoquinone-Loaded Nanostructured Lipid Carrier (TQ-NLC) and Thymoquinone (TQ) on In Vitro Wound Healing Models. Evid. Based Complement. Alternat. Med. 2019, 2019, 9725738. [Google Scholar] [CrossRef] [PubMed]
- Martín-Illana, A.; Notario-Pérez, F.; Cazorla-Luna, R.; Ruiz-Caro, R.; Bonferoni, M.C.; Tamayo, A.; Veiga, M.D. Bigels as drug delivery systems: From their components to their applications. Drug Discov. Today 2022, 27, 1008–1026. [Google Scholar] [CrossRef] [PubMed]
- Sotirova, Y.; Gugleva, V.; Stoeva, S.; Kolev, I.; Nikolova, R.; Marudova, M.; Nikolova, K.; Kiselova-Kaneva, Y.; Hristova, M.; Andonova, V. Bigel Formulations of Nanoencapsulated St. John’s Wort Extract—An Approach for Enhanced Wound Healing. Gels 2023, 9, 360. [Google Scholar] [CrossRef]
- Sotirova, Y.; Vankova, D.; Tasinov, O.; Stoeva, S.; Hristova, M.; Iliev, I.; Georgieva, S.; Kiselova-Kaneva, Y.; Andonova, V. Bigel formulations of St. John’s wort extract in wound healing: Toxicological aspects. Biotechnol. Biotechnol. Equip. 2023, 37, 2263570. [Google Scholar] [CrossRef]
- Süntar, I.P.; Akkol, E.K.; Yilmazer, D.; Baykal, T.; Kirmizibekmez, H.; Alper, M.; Yeşilada, E. Investigations on the in vivo wound healing potential of Hypericum perforatum L. J. Ethnopharmacol. 2010, 127, 468–477. [Google Scholar] [CrossRef]
- Wölfle, U.; Seelinger, G.; Schempp, C.M. Topical application of St. John’s wort (Hypericum perforatum). Planta Med. 2014, 80, 109–120. [Google Scholar] [CrossRef]
- Belwal, T.; Devkota, H.P.; Singh, M.K.; Sharma, R.; Upadhayay, S.; Joshi, C.; Bisht, K.; Gour, J.K.; Bhatt, I.D.; Rawal, R.S.; et al. St. John’s Wort (Hypericum perforatum). In Nonvitamin and Nonmineral Nutritional Supplements, 1st ed.; Nabavi, S.M., Silva, A.S., Eds.; Academic Press: Cambridge, MA, USA, 2018; pp. 415–432. [Google Scholar]
- Lavagna, S.M.; Secci, D.; Chimenti, P.; Bonsignore, L.; Ottaviani, A.; Bizzarri, B. Efficacy of Hypericum and Calendula oils in the epithelial reconstruction of surgical wounds in childbirth with caesarean section. Farmaco 2001, 56, 451–453. [Google Scholar] [CrossRef]
- Hajhashemi, M.; Ghanbari, Z.; Movahedi, M.; Rafieian, M.; Keivani, A.; Haghollahi, F. The effect of Achillea millefolium and Hypericum perforatum ointments on episiotomy wound healing in primiparous women. J. Matern. Fetal Neonatal Med. 2018, 31, 63–69. [Google Scholar] [CrossRef] [PubMed]
- Najafizadeh, P.; Hashemian, F.; Mansouri, P.; Farshi, S.; Surmaghi, M.S.; Chalangari, R. The evaluation of the clinical effect of topical St Johns wort (Hypericum perforatum L.) in plaque type psoriasis vulgaris: A pilot study. Australas. J. Dermatol. 2012, 53, 131–135. [Google Scholar] [CrossRef] [PubMed]
- Mansouri, P.; Mirafzal, S.; Najafizadeh, P.; Safaei-Naraghi, Z.; Salehi-Surmaghi, M.H.; Hashemian, F. The impact of topical Saint John’s Wort (Hypericum perforatum) treatment on tissue tumor necrosis factor-alpha levels in plaque-type psoriasis: A pilot study. J. Postgrad. Med. 2017, 63, 215. [Google Scholar] [CrossRef]
- Samadi, S.; Khadivzadeh, T.; Emami, A.; Moosavi, N.S.; Tafaghodi, M.; Behnam, H.R. The effect of Hypericum perforatum on the wound healing and scar of cesarean. J. Altern. Complement. Med. 2010, 16, 113–117. [Google Scholar] [CrossRef]
- Sotirova, Y.; Stoeva, S.; Nikolova, R.; Andonova, V. Nanostructured Lipid Carriers as a Promising Dermal Delivery Platform for St. John’s Wort Extract: Preliminary Studies. J. IMAB 2023, 29, 4911–4919. [Google Scholar] [CrossRef]
- National Library of Medicine. StatPearls. Wound Debridement. Biagio Manna; Phillip Nahirniak; Christopher A. Morrison. Available online: https://www-ncbi-nlm-nih-gov.translate.goog/books/NBK507882/?_x_tr_sl=en&_x_tr_tl=bg&_x_tr_hl=bg&_x_tr_pto=sc (accessed on 24 March 2024).
- Wang, W.; Lu, K.J.; Yu, C.H.; Huang, Q.L.; Du, Y.Z. Nano-drug delivery systems in wound treatment and skin regeneration. J. Nanobiotechnol. 2019, 17, 82. [Google Scholar] [CrossRef] [PubMed]
- Koh, T.J.; DiPietro, L.A. Inflammation and wound healing: The role of the macrophage. Expert Rev. Mol. Med. 2011, 13, e23. [Google Scholar] [CrossRef]
- Wang, X.; Balaji, S.; Steen, E.H.; Li, H.; Rae, M.M.; Blum, A.J.; Miao, Q.; Butte, M.J.; Bollyky, P.L.; Keswani, S.G. T Lymphocytes Attenuate Dermal Scarring by Regulating Inflammation, Neovascularization, and Extracellular Matrix Remodeling. Adv. Wound Care 2019, 8, 527–537. [Google Scholar] [CrossRef]
- Short, W.D.; Wang, X.; Keswani, S.G. The Role of T Lymphocytes in Cutaneous Scarring. Adv. Wound Care 2022, 11, 121–131. [Google Scholar] [CrossRef]
- Toriseva, M.; Kahari, V.M. Proteinases in cutaneous wound healing. Cell Mol. Life Sci. 2009, 66, 203–224. [Google Scholar] [CrossRef]
- Guo, S.; Dipietro, L.A. Factors affecting wound healing. J. Dent. Res. 2010, 89, 219–229. [Google Scholar] [CrossRef] [PubMed]
- George, A.J.; Thomas, W.G.; Hannan, R.D. The renin-angiotensin system and cancer: Old dog, new tricks. Nat. Rev. Cancer 2010, 10, 745–759. [Google Scholar] [CrossRef]
- Schreml, S.; Szeimies, R.M.; Prantl, L.; Karrer, S.; Landthaler, M.; Babilas, P. Oxygen in acute and chronic wound healing. Br. J. Dermatol. 2010, 163, 257–268. [Google Scholar] [CrossRef] [PubMed]
- Egozi, E.I.; Ferreira, A.M.; Burns, A.L.; Gamelli, R.L.; Dipietro, L.A. Mast cells modulate the in-flammatory but not the proliferative response in healing wounds. Wound Repair Regen. 2003, 11, 46–54. [Google Scholar] [CrossRef] [PubMed]
- Schultz, G.S.; Wysocki, A. Interactions between extracellular matrix and growth factors in wound healing. Wound Repair Regen. 2009, 17, 153–162. [Google Scholar] [CrossRef]
- Pankov, R.; Yamada, K.M. Fibronectin at a glance. J. Cell Sci. 2002, 115, 3861–3863. [Google Scholar] [CrossRef] [PubMed]
- Šemeláková, M.; Sačková, V.; Fedoročko, P. The potential of hypericin and hyperforin for antiadhesion therapy to prevent metastasis of parental and oxaliplatin-resistant human adenocarcinoma cells (HT-29). Anticancer Drugs 2018, 29, 983–994. [Google Scholar] [CrossRef]
- Shih, C.M.; Wu, C.H.; Wu, W.J.; Hsiao, Y.M.; Ko, J.L. Hypericin inhibits hepatitis C virus replication via deacetylation and down-regulation of heme oxygenase-1. Phytomedicine 2018, 46, 193–198. [Google Scholar] [CrossRef] [PubMed]
- Martins, V.L.; Caley, M.; O’Toole, E.A. Matrix metalloproteinases and epidermal wound re-pair. Cell Tissue Res. 2013, 351, 255–268. [Google Scholar] [CrossRef]
- Gutiérrez-Fernández, A.; Inada, M.; Balbín, M.; Fueyo, A.; Pitiot, A.S.; Astudillo, A.; Hirose, K.; Hirata, M.; Shapiro, S.D.; Noël, A.; et al. Increased inflammation delays wound healing in mice deficient in collagenase-2 (MMP-8). FASEB J. 2007, 21, 2580–2591. [Google Scholar] [CrossRef]
- Gao, M.; Nguyen, T.T.; Suckow, M.A.; Wolter, W.R.; Gooyit, M.; Mobashery, S.; Chang, M. Acceleration of diabetic wound healing using a novel protease-anti-protease combination therapy. Proc. Natl. Acad. Sci. USA 2015, 112, 15226–15231. [Google Scholar] [CrossRef] [PubMed]
- Kotsiou, A.; Tesseromatis, C. Hypericum perforatum for experimental skin burns treatment in rats in comparison to nitrofurazone. J. Med. Plant. Res. 2020, 8, 227–231. [Google Scholar]
- Mast, B.A.; Schultz, G.S. Interactions of cytokines, growth factors, and proteases in acute and chronic wounds. Wound Repair Regen. 1996, 4, 411–420. [Google Scholar] [CrossRef] [PubMed]
- Rao, S.G.; Udupa, A.L.; Udupa, S.L.; Rao, P.G.M.; Rao, G.; Kulkarni, D.R. Calendula and Hypericum: Two homeopathic drugs promoting wound healing in rats. Fitoterapia 1991, 62, 508–510. [Google Scholar]
- Viegas, C.; Patrício, A.B.; Prata, J.M.; Nadhman, A.; Chintamaneni, P.K.; Fonte, P. Solid Lipid Nanoparticles vs. Nanostructured Lipid Carriers: A Comparative Review. Pharmaceutics 2023, 15, 1593. [Google Scholar] [CrossRef] [PubMed]
- Syed Azhar, S.N.A.; Ashari, S.E.; Zainuddin, N.; Hassan, M. Nanostructured Lipid Carriers-Hydrogels System for Drug Delivery: Nanohybrid Technology Perspective. Molecules 2022, 27, 289. [Google Scholar] [CrossRef] [PubMed]
- Directive 2010/63/EU of the European Parliament and of the Council of 22 September 2010 on the Protection of Animals Used for Scientific Purposes. Available online: https://eur-lex.europa.eu/LexUriServ/LexUriServ.do?uri=OJ:L:2010:276:0033:0079:En:PDF (accessed on 10 February 2024).
- United Nations Environment Programme. Basel Convention on the Control of Transboundary Movements of Hazardous Wastes and Their Disposal. Available online: https://www.basel.int/Portals/4/Basel%20Convention/docs/text/BaselConventionText-e.pdf (accessed on 10 February 2024).
- International Council for Laboratory Animal Science. ICLAS Ethics and Animal Welfare Committee. ICLAS Ethical Guideline for Researchers. Available online: https://media-01.imu.nl/storage/iclas.org/5197/iclas-ethical-guidlines-researcher.pdf (accessed on 10 February 2024).
- Da Cruz Campos, M.I.; Campos, C.N.; Corrêa, J.O.A.; Aarestrup, F.M.; Aarestrup, B.J.V. Induced oral mucositis in Wistar rats treated with different drugs: Preventive potential in cytokine production. Mol. Clin. Oncol. 2021, 14, 127. [Google Scholar] [CrossRef] [PubMed]
- Masson-Meyers, D.S.; Andrade, T.A.M.; Caetano, G.F.; Guimaraes, F.R.; Leite, M.N.; Leite, S.N.; Frade, M.A.C. Experimental models and methods for cutaneous wound healing assessment. Int. J. Exp. Pathol. 2020, 101, 21–37. [Google Scholar] [CrossRef]
- El-Kased, R.F.; Amer, R.I.; Attia, D.; Elmazar, M.M. Honey-based hydrogel: In vitro and comparative In vivo evaluation for burn wound healing. Sci. Rep. 2017, 7, 9692. [Google Scholar] [CrossRef]






| Wound Diameter, mm | ||||
|---|---|---|---|---|
| Time, Days | G0 | G1 | G2 | G3 |
| 0 | 6.000 ± 0.00 a | 6.000 ± 0.00 a | 6.000 ± 0.00 a | 6.000 ± 0.00 a |
| 2 | 5.250 ± 0.27 b | 4.667 ± 0.52 c | 3.917 ± 0.59 d | 3.750 ± 0.52 d,e |
| 7 | 4.750 ± 0.27 b,c | 3.583 ± 0.80 d,e,f | 3.333 ± 0.26 d,e,f,g | 3.000 ± 0.45 f,g,h |
| 14 | 4.683 ± 0.42 c | 3.568 ± 0.49 d,e,f | 3.287 ± 0.18 e,f,g | 2.435 ± 0.18 h |
| 21 | 2.833 ± 0.52 g,h | 3.167 ± 0.98 e,f,g | 2.583 ± 0.59 h | 1.500 ± 0.55 i |
| Factor | Neu | Eos | Ma | Ly | Pl |
|---|---|---|---|---|---|
| Time | 0.000 | 0.003 | 0.000 | 0.000 | 0.000 |
| Product | 0.166 | 0.008 | 0.000 | 0.019 | 0.131 |
| Time × Product | 0.391 | 0.750 | 0.002 | 0.196 | 0.209 |
| Group | Time | Neu | Eos | Ma | Ly | Pl |
|---|---|---|---|---|---|---|
| G0 | D2 | 45.67 ± 8.76 c,d | 1.33 ± 0.33 b,c | 2.00 ± 0.58 b,c | 18.33 ± 8.82 a | 1.67 ± 0.88 a,b |
| D7 | 1.67 ± 0.85 g | 3.00 ± 1.78 b,c | 1.33 ± 0.47 c,d | 10.67 ± 1.89 b,c | 0.67 ± 0.47 b,c | |
| D14 | 6.67 ± 5.18 f,g | 0.00 ± 0.00 c | 5.33 ± 3.53 b | 8.00 ± 3.06 b,c | 2.33 ± 0.88 a | |
| D21 | 0.00 ± 0.00 g | 2.00 ± 0.00 b,c | 0.00 ± 0.00 d | 0.00 ± 0.00 d | 0.00 ± 0.00 c | |
| G1 | D2 | 54.67 ± 5.61 b,c | 2.67 ± 1.76 b | 8.67 ± 2.03 a | 14.33 ± 2.73 a,b | 1.33 ± 0.67 a,b,c |
| D7 | 21.33 ± 17.33 e | 0.33 ± 0.33 c | 9.00 ± 3.61 a | 8.67 ± 3.28 b,c | 2.33 ± 1.45 a | |
| D14 | 6.00 ± 5.51 f,g | 1.00 ± 0.58 c | 5.00 ± 1.00 b,c | 10.67 ± 3.71 b,c | 1.33 ± 0.67 a,b,c | |
| D21 | 0.00 ± 0.00 g | 0.00 ± 0.00 c | 0.00 ± 0.00 d | 0.00 ± 0.00 e | 0.00 ± 0.00 c | |
| G2 | D2 | 70.67 ± 5.42 a | 6.33 ± 4.13 a,b | 5.00 ± 0.41 b,c | 10.00 ± 1.41 b,c | 2.33 ± 0.26 a |
| D7 | 33.33 ± 11.60 d,e | 2.00 ± 1.16 b,c | 4.67 ± 0.88 b,c | 12.00 ± 0.58 a,b,c | 1.00 ± 0.00 a,b,c | |
| D14 | 1.67 ± 0.88 g | 0.33 ± 0.33 c | 2.33 ± 1.45 b,c,d | 8.67 ± 2.03 b,c | 0.67 ± 0.67 b,c | |
| D21 | 0.00 ± 0.00 g | 0.67 ± 0.33 c | 0.00 ± 0.00 d | 0.00 ± 0.00 d | 0.00 ± 0.00 c | |
| G3 | D2 | 64.33 ± 8.17 a,b | 9.67 ± 5.24 a | 1.67 ± 1.20 b,c,d | 6.00 ± 0.58 c,d | 1.00 ± 0.58 a,b,c |
| D7 | 13.33 ± 12.35 f,g | 3.00 ± 2.08 b,c | 1.33 ± 0.33 c,d | 8.00 ± 2.52 b,c | 0.67 ± 0.33 b,c | |
| D14 | 10.00 ± 5.00 f,g | 0.00 ± 0.00 c | 10.67 ± 2.33 a | 14.67 ± 0.33 a,b | 1.67 ± 0.67 a,b | |
| D21 | 0.00 ± 0.00 g | 3.33 ± 0.47 b,c | 0.00 ± 0.00 d | 0.00 ± 0.00 d | 0.00 ± 0.00 c |
Disclaimer/Publisher’s Note: The statements, opinions and data contained in all publications are solely those of the individual author(s) and contributor(s) and not of MDPI and/or the editor(s). MDPI and/or the editor(s) disclaim responsibility for any injury to people or property resulting from any ideas, methods, instructions or products referred to in the content. |
© 2024 by the authors. Licensee MDPI, Basel, Switzerland. This article is an open access article distributed under the terms and conditions of the Creative Commons Attribution (CC BY) license (https://creativecommons.org/licenses/by/4.0/).
Share and Cite
Sotirova, Y.; Kiselova-Kaneva, Y.; Vankova, D.; Tasinov, O.; Ivanova, D.; Popov, H.; Hristova, M.; Nikolova, K.; Andonova, V. Tissue Regeneration and Remodeling in Rat Models after Application of Hypericum perforatum L. Extract-Loaded Bigels. Gels 2024, 10, 341. https://doi.org/10.3390/gels10050341
Sotirova Y, Kiselova-Kaneva Y, Vankova D, Tasinov O, Ivanova D, Popov H, Hristova M, Nikolova K, Andonova V. Tissue Regeneration and Remodeling in Rat Models after Application of Hypericum perforatum L. Extract-Loaded Bigels. Gels. 2024; 10(5):341. https://doi.org/10.3390/gels10050341
Chicago/Turabian StyleSotirova, Yoana, Yoana Kiselova-Kaneva, Deyana Vankova, Oskan Tasinov, Diana Ivanova, Hristo Popov, Minka Hristova, Krastena Nikolova, and Velichka Andonova. 2024. "Tissue Regeneration and Remodeling in Rat Models after Application of Hypericum perforatum L. Extract-Loaded Bigels" Gels 10, no. 5: 341. https://doi.org/10.3390/gels10050341
APA StyleSotirova, Y., Kiselova-Kaneva, Y., Vankova, D., Tasinov, O., Ivanova, D., Popov, H., Hristova, M., Nikolova, K., & Andonova, V. (2024). Tissue Regeneration and Remodeling in Rat Models after Application of Hypericum perforatum L. Extract-Loaded Bigels. Gels, 10(5), 341. https://doi.org/10.3390/gels10050341

