Role of Cytosolic Malic Enzyme in Oleaginicity of High-Lipid-Producing Fungal Strain Mucor circinelloides WJ11
Abstract
1. Introduction
2. Materials and Methods
2.1. Strains, Growth, and Transformation Conditions
2.2. Plasmid Construction
2.3. Preparation of Genomic DNA
2.4. Reverse Transcription-Quantitative PCR (RT-qPCR) to Analyse the Expression of Genes
2.5. Measurement of the Concentration of Nitrogen and Glucose in Culture Medium
2.6. Analysis of CDW and Lipid Accumulation
2.7. Determination of ME Activity
2.8. Statistical Analysis
3. Results
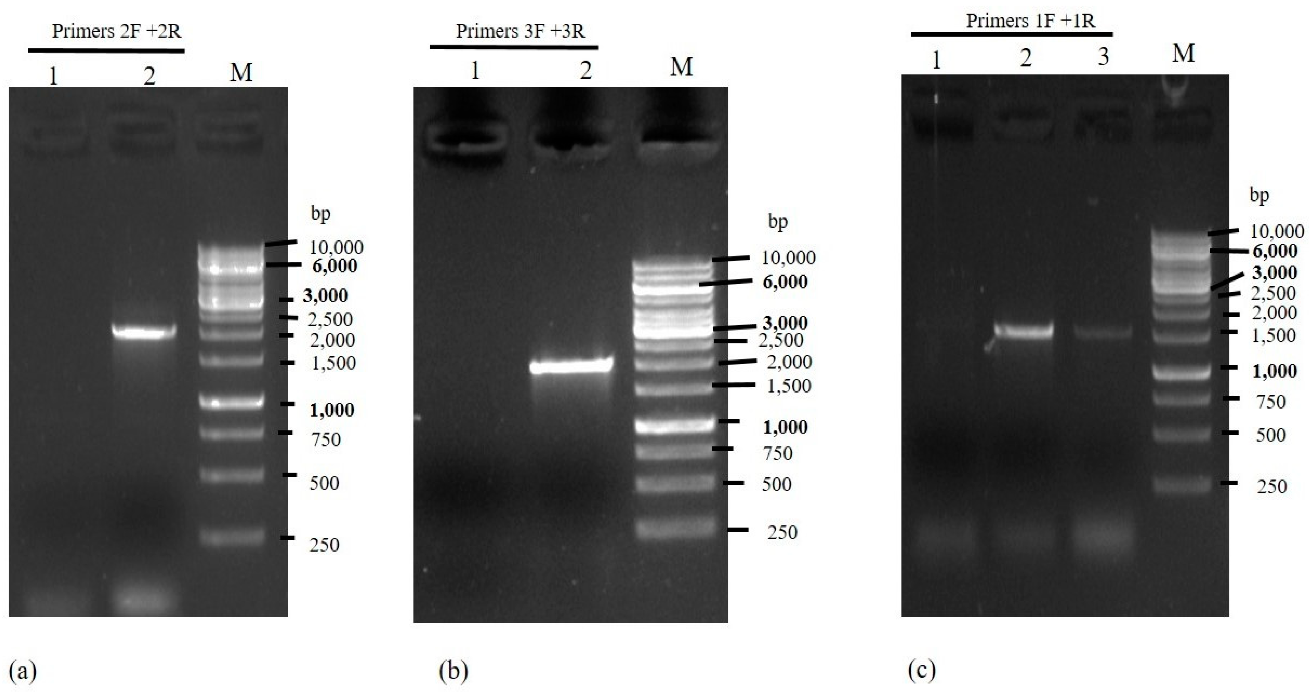
3.1. Genetic Engineering for Generation of cmalA and cmalB Overexpressing M. circinelloides Strains
3.2. The Expression Levels of cmalA and cmalB Genes in Overexpressing Strains
3.3. ME Activity Analysis of cmalA and cmalB Overexpressing Strains
3.4. Cell Growth and Lipid Accumulation in cmalA and cmalB Overexpressing Strains
4. Discussion
5. Conclusions
Supplementary Materials
Author Contributions
Funding
Institutional Review Board Statement
Informed Consent Statement
Data Availability Statement
Acknowledgments
Conflicts of Interest
References
- Ratledge, C. Fatty acid biosynthesis in microorganisms being used for Single Cell Oil production. Biochimie 2004, 86, 807–815. [Google Scholar] [CrossRef]
- Khan, A.K.; Yang, J.; Hussain, S.A.; Zhang, H.; Garre, V.; Song, Y. Genetic Modification of Mucor circinelloides to Construct Stearidonic Acid Producing Cell Factory. Int. J. Mol. Sci. 2019, 20, 1683. [Google Scholar] [CrossRef] [PubMed]
- Yazawa, H.; Iwahashi, H.; Kamisaka, Y.; Kimura, K.; Aki, T.; Ono, K.; Uemura, H. Heterologous Production of Dihomo-γ-Linolenic Acid in Saccharomyces cerevisiae. Appl. Environ. Microbiol. 2007, 73, 6965–6971. [Google Scholar] [CrossRef] [PubMed][Green Version]
- AbdElrazak, A.; Ward, A.; Glassey, J. Response surface methodology for optimising the culture conditions for eicosapentaenoic acid production by marine bacteria. J. Ind. Microbiol. Biotechnol. 2013, 40, 477–487. [Google Scholar] [CrossRef] [PubMed]
- Christophe, G.; Fontanille, P.; Larroche, C. Research and Production of Microbial Polyunsaturated Fatty Acids. Bioprocess Biomol. Prod. 2019, 1, 167–194. [Google Scholar] [CrossRef]
- Wang, W.-J.; Huang, H.; Ji, X.-J. Systems and Synthetic Biotechnology for the Production of Polyunsaturated Fatty Acids. In Systems and Synthetic Biotechnology for Production of Nutraceuticals; Springer: Singapore, 2019; pp. 189–202. [Google Scholar] [CrossRef]
- Nazir, Y.; Halim, H.; Prabhakaran, P.; Ren, X.; Naz, T.; Mohamed, H.; Nosheen, S.; Mustafa, K.; Yang, W.; Hamid, A.A.; et al. Different Classes of Phytohormones Act Synergistically to Enhance the Growth, Lipid and DHA Biosynthetic Capacity of Aurantiochytrium sp. SW1. Biomolecules 2020, 10, 755. [Google Scholar] [CrossRef]
- Liang, M.H.; Jiang, J.-G. Advancing oleaginous microorganisms to produce lipid via metabolic engineering technology. Prog. Lipid Res. 2013, 52, 395–408. [Google Scholar] [CrossRef]
- Li-Beisson, Y.; Peltier, G. Third-generation biofuels: Current and future research on microalgal lipid biotechnology. OCL 2013, 20, D606. [Google Scholar] [CrossRef]
- Runguphan, W.; Keasling, J.D. Metabolic engineering of Saccharomyces cerevisiae for production of fatty acid-derived biofuels and chemicals. Metab. Eng. 2014, 21, 103–113. [Google Scholar] [CrossRef]
- Ratledge, C. Microbial production of polyunsaturated fatty acids as nutraceuticals. In Microbial Production of Food Ingredients, Enzymes and Nutraceuticals; Elsevier: Amsterdam, The Netherlands, 2013; pp. 531–558. [Google Scholar] [CrossRef]
- Ratledge, C. Microbial lipids. In Biotechnology, 2nd ed.; Wiley: New York, NY, USA, 1997; Volume 7, pp. 133–197. [Google Scholar]
- Mohamed, H.; Naz, T.; Yang, J.; Shah, A.M.; Nazir, Y.; Song, Y. Recent Molecular Tools for the Genetic Manipulation of Highly Industrially Important Mucoromycota Fungi. J. Fungi 2021, 7, 1061. [Google Scholar] [CrossRef]
- Zhao, L.; Zhang, H.; Wang, L.; Chen, H.; Chen, Y.Q.; Chen, W.; Song, Y. 13 C-metabolic flux analysis of lipid accumulation in the oleaginous fungus Mucor circinelloides. Bioresour. Technol. 2015, 197, 23–29. [Google Scholar] [CrossRef] [PubMed]
- Tang, X.; Zan, X.; Zhao, L.; Chen, H.; Chen, Y.Q.; Chen, W.; Song, Y.; Ratledge, C. Proteomics analysis of high lipid-producing strain Mucor circinelloides WJ11: An explanation for the mechanism of lipid accumulation at the proteomic level. Microb. Cell Fact. 2016, 15, 35. [Google Scholar] [CrossRef] [PubMed]
- Tang, X.; Zhao, L.; Chen, H.; Chen, Y.Q.; Chen, W.; Song, Y.; Ratledge, C. Complete Genome Sequence of a High Lipid-Producing Strain of Mucor circinelloides WJ11 and Comparative Genome Analysis with a Low Lipid-Producing Strain CBS 277.49. PLoS ONE 2015, 10, e0137543. [Google Scholar] [CrossRef] [PubMed]
- Rodríguez-Frómeta, R.A.; Gutiérrez, A.; Torres-Martínez, S.; Garre, V. Malic enzyme activity is not the only bottleneck for lipid accumulation in the oleaginous fungus Mucor circinelloides. Appl. Microbiol. Biotechnol. 2013, 97, 3063–3072. [Google Scholar] [CrossRef] [PubMed]
- Zhao, L.; Tang, X.; Luan, X.; Chen, H.; Chen, Y.Q.; Chen, W.; Song, Y.; Ratledge, C. Role of pentose phosphate pathway in lipid accumulation of oleaginous fungus Mucor circinelloides. RSC Adv. 2015, 5, 97658–97664. [Google Scholar] [CrossRef]
- Dzurendova, S.; Zimmermann, B.; Kohler, A.; Reitzel, K.; Nielsen, U.; Dupuy-Galet, B.; Leivers, S.; Horn, S.; Shapaval, V. Calcium Affects Polyphosphate and Lipid Accumulation in Mucoromycota Fungi. J. Fungi 2021, 7, 300. [Google Scholar] [CrossRef]
- Dzurendova, S.; Zimmermann, B.; Tafintseva, V.; Kohler, A.; Horn, S.J.; Shapaval, V. Metal and Phosphate Ions Show Remarkable Influence on the Biomass Production and Lipid Accumulation in Oleaginous Mucor circinelloides. J. Fungi 2020, 6, 260. [Google Scholar] [CrossRef]
- Ratledge, C. The role of malic enzyme as the provider of NADPH in oleaginous microorganisms: A reappraisal and unsolved problems. Biotechnol. Lett. 2014, 36, 1557–1568. [Google Scholar] [CrossRef]
- Botham, P.A.; Ratledge, C. A Biochemical Explanation for Lipid Accumulation in Candida 107 and Other Oleaginous Micro-organisms. J. Gen. Microbiol. 1979, 114, 361–375. [Google Scholar] [CrossRef]
- Ratledge, C.; Wynn, J.P. The Biochemistry and Molecular Biology of Lipid Accumulation in Oleaginous Microorganisms. Adv. Appl. Microbiol. 2002, 51, 1–52. [Google Scholar] [CrossRef]
- Zhang, Y.; Adams, I.P.; Ratledge, C. Malic enzyme: The controlling activity for lipid production? Overexpression of malic enzyme in Mucor circinelloides leads to a 2.5-fold increase in lipid accumulation. Microbiology 2007, 153, 2013–2025. [Google Scholar] [CrossRef]
- Wynn, J.P.; Kendrick, A.; Ratledge, C. Sesamol as an inhibitor of growth and lipid metabolism in Mucor circinelloides via its action on malic enzyme. Lipids 1997, 32, 605–610. [Google Scholar] [CrossRef]
- Wynn, J.P.; Hamid, A.B.A.; Ratledge, C. The role of malic enzyme in the regulation of lipid accumulation in filamentous fungi. Microbiology 1999, 145, 1911–1917. [Google Scholar] [CrossRef]
- Vongsangnak, W.; Zhang, Y.; Chen, W.; Ratledge, C.; Song, Y. Annotation and analysis of malic enzyme genes encoding for multiple isoforms in the fungus Mucor circinelloides CBS 277.49. Biotechnol. Lett. 2012, 34, 941–947. [Google Scholar] [CrossRef] [PubMed]
- Yang, J.; Khan, A.K.; Nosheen, S.; Nazir, M.Y.B.M.; Zhang, H.; Garre, V.; Song, Y. Improved SDA Production in High Lipid Accumulating Strain of Mucor circinelloides WJ11 by Genetic Modification. Am. J. Biochem. Biotechnol. 2020, 16, 138–147. [Google Scholar] [CrossRef]
- Hussain, S.A.; Hameed, A.; Khan, A.K.; Zhang, Y.; Zhang, H.; Garre, V.; Song, Y. Engineering of Fatty Acid Synthases (FASs) to Boost the Production of Medium-Chain Fatty Acids (MCFAs) in Mucor circinelloides. Int. J. Mol. Sci. 2019, 20, 786. [Google Scholar] [CrossRef]
- Nicolas, F.E.; De Haro, J.P.; Torres-Martínez, S.; Ruiz-Vázquez, R.M. Mutants defective in a Mucor circinelloides dicer-like gene are not compromised in siRNA silencing but display developmental defects. Fungal Genet. Biol. 2007, 44, 504–516. [Google Scholar] [CrossRef]
- Kendrick, A.; Ratledge, C. Desaturation of polyunsaturated fatty acids in Mucor circinelloides and the involvement of a novel membrane-bound malic enzyme. Eur. J. Biochem. 1992, 209, 667–673. [Google Scholar] [CrossRef] [PubMed]
- Hanahan, D. Studies on transformation of Escherichia coli with plasmids. J. Mol. Biol. 1983, 166, 557–580. [Google Scholar] [CrossRef]
- Zhao, L.; Cánovas-Márquez, J.T.; Tang, X.; Chen, H.; Chen, Y.Q.; Chen, W.; Garre, V.; Song, Y.; Ratledge, C. Role of malate transporter in lipid accumulation of oleaginous fungus Mucor circinelloides. Appl. Microbiol. Biotechnol. 2016, 100, 1297–1305. [Google Scholar] [CrossRef]
- Naz, T.; Yang, J.; Nosheen, S.; Sun, C.; Nazir, Y.; Mohamed, H.; Fazili, A.B.A.; Ullah, S.; Li, S.; Yang, W.; et al. Genetic Modification of Mucor circinelloides for Canthaxanthin Production by Heterologous Expression of β-carotene Ketolase Gene. Front. Nutr. 2021, 8, 756218. [Google Scholar] [CrossRef] [PubMed]
- Chaney, A.L.; Marbach, E.P. Modified Reagents for Determination of Urea and Ammonia. Clin. Chem. 1962, 8, 130–132. [Google Scholar] [CrossRef] [PubMed]
- Folch, J.; Lees, M.; Stanley, G.H.S. A simple method for the isolation and purification of total lipides from animal tissues. J. Biol. Chem. 1957, 226, 497–509. [Google Scholar] [CrossRef]
- Shah, A.M.; Mohamed, H.; Zhang, Z.; Song, Y. Isolation, characterization and fatty acid analysis of Gilbertella persicaria DSR1: A potential new source of high value single-cell oil. Biomass-Bioenergy 2021, 151, 106156. [Google Scholar] [CrossRef]
- Hsu, R.Y.; Lardy, H.A. Pigeon liver malic enzyme: II. Isolation, crystallization, and some properties. J. Biol. Chem. 1967, 242, 520–526. [Google Scholar] [CrossRef]
- Athenaki, M.; Gardeli, C.; Diamantopoulou, P.; Tchakouteu, S.S.; Sarris, D.; Philippoussis, A.; Papanikolaou, S. Lipids from yeasts and fungi: Physiology, production and analytical considerations. J. Appl. Microbiol. 2018, 124, 336–367. [Google Scholar] [CrossRef]
- Yang, J.; Cánovas-Márquez, J.T.; Li, P.; Li, S.; Niu, J.; Wang, X.; Nazir, Y.; López-García, S.; Garre, V.; Song, Y. Deletion of Plasma Membrane Malate Transporters Increased Lipid Accumulation in the Oleaginous Fungus Mucor circinelloides WJ11. J. Agric. Food Chem. 2021, 69, 9632–9641. [Google Scholar] [CrossRef]
- Wang, L.; Zhang, H.; Zhang, Y.; Song, Y. 13C metabolic flux analysis on roles of malate transporter in lipid accumulation of Mucor circinelloides. Microb. Cell Fact. 2019, 18, 154. [Google Scholar] [CrossRef]
- Yang, J.; Li, S.; Khan, A.K.; Garre, V.; Vongsangnak, W.; Song, Y. Increased Lipid Accumulation in Mucor circinelloides by Overexpression of Mitochondrial Citrate Transporter Genes. Ind. Eng. Chem. Res. 2019, 58, 2125–2134. [Google Scholar] [CrossRef]
- Yang, W.; Dong, S.; Yang, J.; Mohamed, H.; Shah, A.M.; Nazir, Y.; Gao, X.; Fan, H.; Song, Y. Molecular Mechanism of Citrate Efflux by the Mitochondrial Citrate Transporter CT in Filamentous Fungus Mucor circinelloides WJ11. Front. Microbiol. 2021, 12, 673881. [Google Scholar] [CrossRef]
- Nosheen, S.; Yang, J.; Naz, T.; Nazir, Y.; Ahmad, M.I.; Fazili, A.B.A.; Li, S.; Mustafa, K.; Song, Y. Annotation of AMP-activated protein kinase genes and its comparative transcriptional analysis between high and low lipid producing strains of Mucor circinelloides. Biotechnol. Lett. 2020, 43, 193–202. [Google Scholar] [CrossRef] [PubMed]
- Nosheen, S.; Naz, T.; Yang, J.; Hussain, S.A.; Fazili, A.B.A.; Nazir, Y.; Li, S.; Mohamed, H.; Yang, W.; Mustafa, K.; et al. Role of Snf-β in lipid accumulation in the high lipid-producing fungus Mucor circinelloides WJ11. Microb. Cell Fact. 2021, 20, 52. [Google Scholar] [CrossRef] [PubMed]
- Tang, X.; Chen, H.; Gu, Z.; Zhang, H.; Chen, Y.Q.; Song, Y.; Chen, W. Role of g6pdh and leuB on Lipid Accumulation in Mucor circinelloides. J. Agric. Food Chem. 2020, 68, 4245–4251. [Google Scholar] [CrossRef] [PubMed]
- Chu, L.; Zan, X.; Tang, X.; Zhao, L.; Chen, H.; Chen, Y.Q.; Chen, W.; Song, Y. The role of a xylose isomerase pathway in the conversion of xylose to lipid in Mucor circinelloides. RSC Adv. 2016, 6, 77944–77952. [Google Scholar] [CrossRef]
- Zhang, L.; Zhang, H.; Song, Y. Identification and Characterization of Diacylglycerol Acyltransferase from Oleaginous Fungus Mucor circinelloides. J. Agric. Food Chem. 2018, 66, 674–681. [Google Scholar] [CrossRef]
- Zan, X.; Tang, X.; Chu, L.; Zhao, L.; Chen, H.; Chen, Y.Q.; Chen, W.; Song, Y. Lipase genes in Mucor circinelloides: Identification, sub-cellular location, phylogenetic analysis and expression profiling during growth and lipid accumulation. J. Ind. Microbiol. Biotechnol. 2016, 43, 1467–1480. [Google Scholar] [CrossRef]
- Zan, X.; Tang, X.; Chu, L.; Song, Y. Dual Functions of Lip6 and Its Regulation of Lipid Metabolism in the Oleaginous Fungus Mucor circinelloides. J. Agric. Food Chem. 2018, 66, 2796–2804. [Google Scholar] [CrossRef]
- Zan, X.; Cui, F.; Sun, J.; Zhou, S.; Song, Y. Novel Dual-Functional Enzyme Lip10 Catalyzes Lipase and Acyltransferase Activities in the Oleaginous Fungus Mucor circinelloides. J. Agric. Food Chem. 2019, 67, 13176–13184. [Google Scholar] [CrossRef]
- Grubišić, M.; Mihajlovski, K.; Gruičić, A.M.; Beluhan, S.; Šantek, B.; Ivančić Šantek, M. Strategies for Improvement of Lipid Production by Yeast Trichosporon oleaginosus from Lignocellulosic Biomass. J. Fungi 2021, 7, 934. [Google Scholar] [CrossRef]
- Hao, G.; Chen, H.; Wang, L.; Gu, Z.; Song, Y.; Zhang, H.; Chen, W.; Chen, Y.Q. Role of Malic Enzyme during Fatty Acid Synthesis in the Oleaginous Fungus Mortierella alpina. Appl. Environ. Microbiol. 2014, 80, 2672–2678. [Google Scholar] [CrossRef]
- Li, Z.; Sun, H.; Mo, X.; Li, X.; Xu, B.; Tian, P. Overexpression of malic enzyme (ME) of Mucor circinelloides improved lipid accumulation in engineered Rhodotorula glutinis. Appl. Microbiol. Biotechnol. 2013, 97, 4927–4936. [Google Scholar] [CrossRef]
- Tang, X.; Chen, H.; Chen, Y.Q.; Chen, W.; Garre, V.; Song, Y.; Ratledge, C. Comparison of Biochemical Activities between High and Low Lipid-Producing Strains of Mucor circinelloides: An Explanation for the High Oleaginicity of Strain WJ11. PLoS ONE 2015, 10, e0128396. [Google Scholar] [CrossRef] [PubMed]
- Hernández, M.A.; Alvarez, H.M. Increasing lipid production using an NADP+-dependent malic enzyme from Rhodococcus jostii. Microbiology 2019, 165, 4–14. [Google Scholar] [CrossRef]
- Zhu, B.-H.; Zhang, R.-H.; Lv, N.-N.; Yang, G.-P.; Wang, Y.-S.; Pan, K.-H. The Role of Malic Enzyme on Promoting Total Lipid and Fatty Acid Production in Phaeodactylum tricornutum. Front. Plant Sci. 2018, 9, 826. [Google Scholar] [CrossRef] [PubMed]
- Xue, J.; Wang, L.; Zhang, L.; Balamurugan, S.; Li, D.-W.; Zeng, H.; Yang, W.-D.; Liu, J.-S.; Li, H.-Y. The pivotal role of malic enzyme in enhancing oil accumulation in green microalga Chlorella pyrenoidosa. Microb. Cell Fact. 2016, 15, 120. [Google Scholar] [CrossRef] [PubMed]
- Xue, J.; Niu, Y.-F.; Huang, T.; Yang, W.-D.; Liu, J.-S.; Li, H.-Y. Genetic improvement of the microalga Phaeodactylum tricornutum for boosting neutral lipid accumulation. Metab. Eng. 2015, 27, 1–9. [Google Scholar] [CrossRef] [PubMed]
- Yan, J.; Kuang, Y.; Gui, X.; Han, X.; Yan, Y. Engineering a malic enzyme to enhance lipid accumulation in Chlorella protothecoides and direct production of biodiesel from the microalgal biomass. Biomass-Bioenergy 2019, 122, 298–304. [Google Scholar] [CrossRef]
- Sun, X.; Han, G.; Meng, Z.; Lin, L.; Sui, N. Roles of malic enzymes in plant development and stress responses. Plant Signal. Behav. 2019, 14, e1644596. [Google Scholar] [CrossRef]
- Brutnell, T.P.; Wang, L.; Swartwood, K.; Goldshmidt, A.; Jackson, D.; Zhu, X.-G.; Kellogg, E.; Van Eck, J. Setaria viridis: A Model for C4 Photosynthesis. Plant Cell 2010, 22, 2537–2544. [Google Scholar] [CrossRef]
- Zhou, H.; Liu, S.K.; Yang, C.P. Over-Expression of a NAD-Malic Enzyme Gene from Rice in Arabidopsis thaliana Confers Tolerances to Several Abiotic Stresses. Adv. Mater. Res. 2011, 393–395, 863–866. [Google Scholar] [CrossRef]
- Drincovich, M.F.; Casati, P.; Andreo, C.S. NADP-malic enzyme from plants: A ubiquitous enzyme involved in different metabolic pathways. FEBS Lett. 2001, 490, 1–6. [Google Scholar] [CrossRef]
- Kang, F.; Rawsthorne, S. Starch and fatty acid synthesis in plastids from developing embryos of oilseed rape (Brassica napus L.). Plant J. 1994, 6, 795–805. [Google Scholar] [CrossRef]





| Strains | Time (h) | 16:0 | 16:1 | 18:0 | 18:1 | 18:2 (LA) | 18:3 (GLA) |
|---|---|---|---|---|---|---|---|
| Mc-cmal-2075 | 24 | 17.44 ± 0.3 | 2.61 ± 0.2 | 4.90 ± 0.1 | 39.10 ± 0.9 | 11.01 ± 0.8 | 13.59 ± 0.4 |
| 48 | 20.18 ± 0.5 | 2.92 ± 0.2 | 5.18 ± 0.3 | 41.12 ± 1.0 | 10.74 ± 0.6 | 10.80 ± 0.2 | |
| 72 | 22.55 ± 0.7 | 3.41 ± 0.1 | 4.62 ± 0.3 | 41.88 ± 2.1 | 11.09 ± 0.6 | 9.76 ± 0.3 | |
| 96 | 22.59 ± 0.5 | 4.00 ± 0.3 | 3.93 ± 0.1 | 42.94 ± 1.5 | 12.41 ± 0.3 | 9.91 ± 05 | |
| Mc-cmalA-4 | 24 | 17.96 ± 0.4 * | 1.92 ± 0.2 * | 4.89 ± 0.9 | 35.37 ± 0.8 * | 11.48 ± 0.5 ** | 12.72 ± 0.7 * |
| 48 | 21.72 ± 0.4 ** | 2.57 ± 0.1 * | 5.01 ± 0.6 * | 40.38 ± 1.5 ** | 10.45 ± 0.3 * | 10.68 ± 0.2 ** | |
| 72 | 21.00 ± 1.1 * | 2.79 ± 0.2 ** | 4.46 ± 0.3 | 41.00 ± 1.5 ** | 10.56 ± 0.2 | 9.05 ± 0.6 * | |
| 96 | 22.95 ± 0.7 ** | 3.59 ± 0.1 * | 4.18 ± 0.2 * | 41.97 ± 1.3 * | 11.36 ± 0.3 | 9.88 ± 0.6 * | |
| Mc-cmalB-5 | 24 | 18.95 ± 0.7 * | 2.14 ± 0.3 * | 4.88 ± 0.4 | 39.20 ± 0.7 * | 12.92 ± 0.2 * | 13.49 ± 0.4 * |
| 48 | 21.82 ± 0.6 ** | 2.99 ± 0.2 * | 6.95 ± 0.4 * | 43.74 ± 1.3 * | 11.89 ± 0.3 ** | 10.89 ± 0.3 ** | |
| 72 | 22.75 ± 0.9 ** | 3.23 ± 0.4 | 5.31 ± 0.3 | 45.06 ± 1.5 ** | 11.45 ± 0.4 ** | 10.30 ± 0.2 * | |
| 96 | 23.66 ± 0.2 *** | 4.89 ± 0.3 * | 4.94 ± 0.2 * | 45.10 ± 1.8 * | 12.26 ± 0.1 | 10.35 ± 0.4 * |
Publisher’s Note: MDPI stays neutral with regard to jurisdictional claims in published maps and institutional affiliations. |
© 2022 by the authors. Licensee MDPI, Basel, Switzerland. This article is an open access article distributed under the terms and conditions of the Creative Commons Attribution (CC BY) license (https://creativecommons.org/licenses/by/4.0/).
Share and Cite
Fazili, A.B.A.; Shah, A.M.; Naz, T.; Nosheen, S.; Yang, W.; Garre, V.; Majeed, Y.; Al-Sadoon, M.K.; Song, Y. Role of Cytosolic Malic Enzyme in Oleaginicity of High-Lipid-Producing Fungal Strain Mucor circinelloides WJ11. J. Fungi 2022, 8, 265. https://doi.org/10.3390/jof8030265
Fazili ABA, Shah AM, Naz T, Nosheen S, Yang W, Garre V, Majeed Y, Al-Sadoon MK, Song Y. Role of Cytosolic Malic Enzyme in Oleaginicity of High-Lipid-Producing Fungal Strain Mucor circinelloides WJ11. Journal of Fungi. 2022; 8(3):265. https://doi.org/10.3390/jof8030265
Chicago/Turabian StyleFazili, Abu Bakr Ahmad, Aabid Manzoor Shah, Tahira Naz, Shaista Nosheen, Wu Yang, Victoriano Garre, Younis Majeed, Mohammed Khalid Al-Sadoon, and Yuanda Song. 2022. "Role of Cytosolic Malic Enzyme in Oleaginicity of High-Lipid-Producing Fungal Strain Mucor circinelloides WJ11" Journal of Fungi 8, no. 3: 265. https://doi.org/10.3390/jof8030265
APA StyleFazili, A. B. A., Shah, A. M., Naz, T., Nosheen, S., Yang, W., Garre, V., Majeed, Y., Al-Sadoon, M. K., & Song, Y. (2022). Role of Cytosolic Malic Enzyme in Oleaginicity of High-Lipid-Producing Fungal Strain Mucor circinelloides WJ11. Journal of Fungi, 8(3), 265. https://doi.org/10.3390/jof8030265

