1. Introduction
A fungal virus (mycovirus) is a kind of virus that replicates inside fungi [
1]. The genome of fungal viruses exists in the form of single, double-strand RNA, and single-strand DNA [
2]. Based on the latest report of the International Committee on Taxonomy of Viruses, fungal viruses are classified into 23 families (
https://ictv.global/, accessed on 14 October 2022). Among them, sense single strand RNA fungal viruses are the largest group. Most fungal viruses exist as latent or asymptomatic infections. With the development of high-throughput sequencing technology, fungal viruses have been excavated and characterized more rapidly. Currently, some fungal viruses have the ability to attenuate the pathogenicity of host fungi, such as
Cryphonectria parasitica,
Sclerotinia sclerotiorum and
Fusarium graminearum [
3,
4,
5,
6]. It is worth noting that Sclerotinia sclerotiorum hypovirulence-associated DNA virus 1 can convert a pathogenic host to endophytic fungi, which can promote crop production and induce disease resistance [
7].
Fusarium spp. Causing Fusarium head blight threatens wheat, barley and small grain cereals worldwide [
8]. More than 20 viruses have been sequenced from
Fusarium spp [
9]. Among them, Fusarium graminearum hypovirus 1 (FgHV1), sized at 13,023 nt, is the first hypovirus discovered from
F. graminearum. FgHV1 is closely related to Cryphonectria hypovirus 1 (CHV1) [
10]. However, their virulence on host pathogenicity is quite different. CHV1 caused serious effects on
S. sclerotiorum morphology, pathogenicity, pigmentation and sporulation, while FgHV1 had minor effects on fungal morphology, growth and spore production [
3,
10]. Additionally, 378 genes are differentially regulated upon FgHV1 infection in
F. graminearum. These genes are mainly related to transcription factors, cellular redox regulation and ubiquitination system. Moreover, p20 encoded by FgHV1 can induce hyper antisense response and H
2O
2 accumulation in
Nicotiana benthamiana leaves [
11].
RNA silencing is the fundamental pathway for gene expression regulation and virus defense [
12]. RNA silencing can be divided into transcriptional gene silencing (TGS) and post-transcriptional gene silencing (PTGS). In fungi, plants and animals, the critical components and sRNA processing flow are relatively conserved for PTGS. Briefly, innate or virus-originated dsRNA was cleaved by Dicer (Dcl) into 20–30 nt small RNA (sRNA). Then sRNA was loaded into Argonaute (Ago), forming an RNA-induced silencing complex (RISC), and directing target gene cleavage. The RNA silencing signal can be amplified by RNA-dependent RNA polymerase (RdRp) [
13]. Small interfering RNA (siRNA) is the core molecular during the RNA silencing process, and its 3′ end has two hanging bases. According to the different sources of siRNA, it can be divided into endogenous siRNA and exogenous siRNA. Endogenous siRNA is the RNA transcribed from DNA in an organism, which is processed by Dcl digestion. Exogenous siRNA is the siRNA from the virus after the virus infects an organism. At present, phase siRNA (phasiRNA) is the most widely studied siRNA [
14]. phasiRNA is a major subclass of plant secondary siRNA, which is mediated by microRNA (miRNA) and has the characteristics of regular spacing. We characterized the small RNA (sRNA) in FgHV1 infected
F. graminearum, and it was revealed that there were 1,831,081 (88,911 unique) sRNA reads mapped to FgHV1 genome, accounting for 16.51% of
F. graminearum total sRNA [
15]. In addition, the sRNA length distribution and host miRNA were also influenced. These results indicate that RNA silencing was activated and occupied as an important antivirus defense mechanism upon FgHV1 infection.
To counter-dense host RNA silencing, viruses encode various RNA silencing suppressors (RSS) [
16]. Until now, four RSS have been characterized by fungal viruses. CHV1 encoded p29 can suppress the expression of RNA silencing critical genes,
CpDCL2 and
CpAGO2 [
17,
18,
19]. Similarly,
CpDCL2 was also suppressed by p24 from CHV4 [
20]. By binding to promoter regions of
FgDICER2 and
FgAGO1, the ORF2 protein of Fusarium graminearum virus 1 protect the virus from host RNA silencing elimination [
21]. For the fourth RSS, s10 of Rosellinia necatrix hypovirus 2, the RNA silencing mechanism is unknown [
22]. To explore the function of FgHV1 encoded p20 during RNA silencing, we identified p20 as a novel fungal virus RSS and elucidated its RNA silencing mechanism in this paper.
2. Materials and Methods
2.1. Fungi and Plants Cultivation
The cDNA of p20 were reverse transcripted and amplified from RNA extracted from FgHV1 infected F. graminearum strain 4, which was collected and kept in our lab. After sequencing, the fragment was inserted into multiple clone sites (MCS) of PGTN vector for fungal transformation. In the agro-infiltration assay, p20 was inserted into pGD construct for transient expression. P19-pGD (protein p19 encoded by Carnation Italian Ring-spot Virus) and GFP-pGD construct were used and kept in our laboratory.
F. graminearum PH-1 strain, stored in our laboratory, was used for constructs transformation. All fungal strains were maintained at 4 °C and −80 °C in 25% glycerin. The growth condition of F. graminearum was at 25 °C in the dark on the PDA plate. The fresh mycelium used for DNA or RNA extraction were obtained from 3-day-old cultures grown on PDA overlaid with cellophane membrane (Promega, WI). N. benthamiana wild type and transgenic N. benthamiana (line 16 c) seeds were a gift of Dawei Li from China Agricultural University. Plants were grown in a greenhouse at 25 °C with 16/8 light and dark cycles. Four-week-old plants were used for agro-infiltration.
2.2. sRNA Sequence Used for sRNA Binding and Chemical Synthesis
The sequence of 21 nt eGFP-sense small single-strand RNA was 5′-GCUGACCCUGAAGUUCAUCUU-3′. 21 nt eGFP-antisense small single-strand RNA was 5′-GAUGAACUUCAGGGUCAGCUU-3′. 24 nt eGFP-sense small single-strand RNA was 5′-CGUACGCGGAAUACUUCGAAAGUU-3′. 24 nt eGFP-antisense small single-strand RNA was 5′-CUUUCGAAGUAUUCCGCGUACGUU-3′. The sense and antisense single-strand sRNA were designed as complementary with a 2 nt 3′ overhang for duplex formation. Double-strand small RNA was synthesized with the above sense and antisense single-strand small RNA. The concentration of single-strand small RNA was 100 μM, and the reaction mix together with 5× annealing buffer (Takala, Japan) was denaturated at 94 °C for 5 min and then incubated at 37 °C for 1 h. The FgHV1 derived sRNA for specificity binding test was siRNA-t1130926 (5′-CTCCAGTAGCATGTTCTTCGT-3′) targeting FGSG_09025 (Dicer 1), siRNA-t0999532 (5′-CTCCAGTAGCATGTTCTTCGTG-3′), targeting FGSG_09025 (Dicer 1) and siRNA-t0031901 (5′-TGGAAGAGAATGACGATATT3′), targeting FGSG_09076 (RDRP 5).
2.3. Agro-Infiltration-Mediated Technique for RNA Silencing Suppressor Identification
p20-PGD, p19-PGD, GFP-PGD and pGD were transformed into Agrobacterium tumefaciens (strain EHA105) with electroporation. An equal volume of p20-PGD, p19-PGD (positive control) and pGD (negative control) transformed A. tumefaciens were mixed with A. tumefaciens containing GFP-PGD. All A. tumefaciens strains were adjusted to OD600 = 1 before mixing. The mixtures were stood for at least 3 h before infiltration. The middle leaves of 4-week-old wild type or GFP transgenic N. benthamiana were injected with 1 ml of the mixture with sterile syringes. The injection point was in the middle of the leaf in half. The GFP fluorescence was checked by handheld UV light. Leaves and plants were photographed at 3 and 15 dpi. Each agro-infiltration experiment was conducted on at least 20 leaves of 10 plants and repeated three times.
2.4. p20 Expression and EMSA Assay
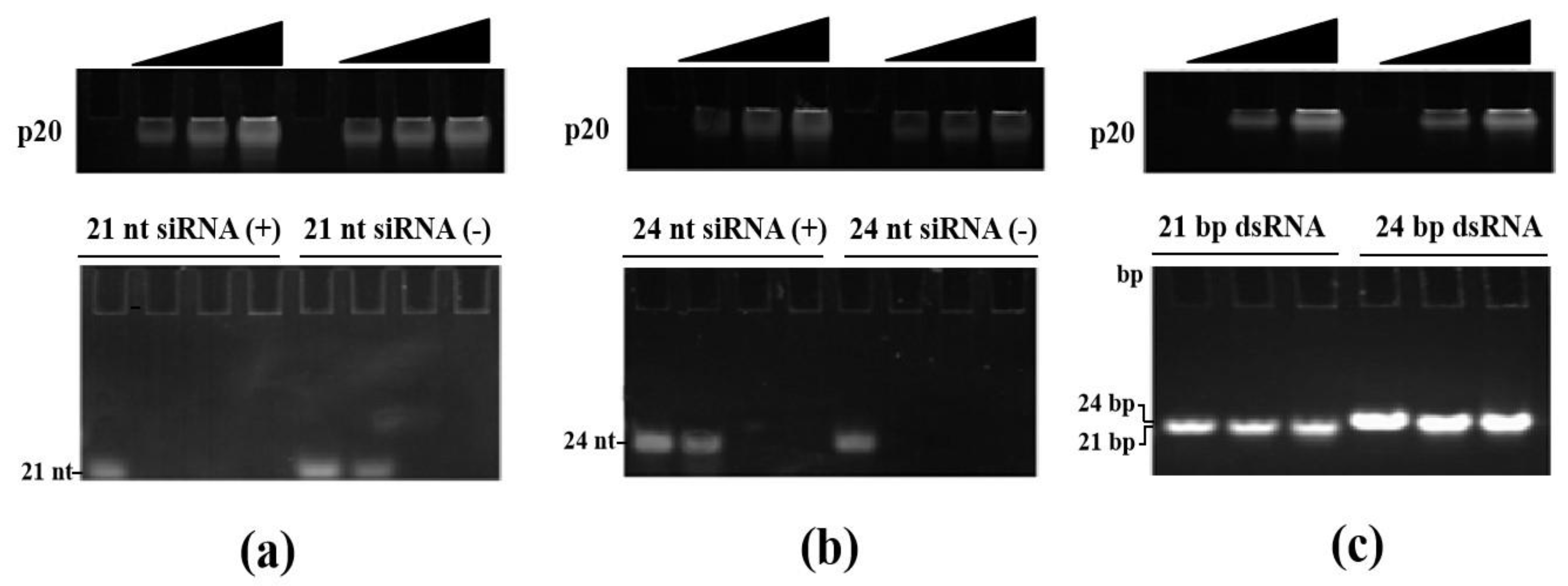
p20 gene was reverse transcribed and PCR amplified from FgHV1 genome RNA. The segment was purified and cloned into MCS sites of the protein expression vector, pET30 a in Escherichia coli BL21, tagged with histidine. The transformed BL21 strain was cultured in LB medium with 1 mM IPTG at 16 °C for 16 h. Then the bacteria cells were collected by centrifugation. The his-tagged protein was purified with affinity chromatography by ÄKTA. p20 purity was separated on 12% polyacrylamide gel electrophoresis and stained with coomassie blue dye. The final protein was adjusted to 1 mg/mL for electrophoretic mobility shift assay (EMSA), and the reaction concentration of chemically synthesized siRNA was 100 μM. Four EMSA reactions were conducted with 0, 1, 3, 9 μL of p20, respectively. The reaction mix was incubated at room temperature for 30 min and loaded in 8% native polyacrylamide gel for electrophoresis. The gel was run for 10 min at 30 mA, followed by 40 min at 10 mA. The gel was transferred for nucleic acid and protein staining, respectively, using an EMSA kit (Invitrogen, Leiden, The Netherlands).
2.5. Small RNA Sequencing and Analysis
Total RNA was extracted, and quality was determined by HPLC. Additionally, the qualified RNA was used for high-throughput sequencing using the DNBSEQ-T7 system (MGI Tech, China). The original data was obtained by sequencing (Raw Reads); before data analysis was carried out, low-quality data and adapters were removed. By mapping the sequencing data with the reference genome sequence, the contamination or confusion in the sample was judged. Samples with very high genome mapping rates were used for the following analysis. Three databases were used for non-coding RNA identification. miRBase V22 (
http://www.mirbase.org/, accessed on 14 October 2022) database contain a large number of miRNA information and target gene of animals and plants. RNAcentral V16.0 (
https://rnacentral.org/, accessed on 14 October 2022) is a non-coding RNA database, and it provides the most comprehensive and up-to-date non-coding RNA information on different species. The Rfam V13.0 database (
https://rfam.xfam.org/, accessed on 14 October 2022) is a collection of RNA families, each represented by multiple sequence alignments, consensus secondary structures and covariance models. Based on the taxonomy ID of the species, we downloaded the non-coding RNA sequence of this species from miRBase and RNAcentral, and then map reads to these sequences to identify known non-coding RNAs. After these, the unannotated reads were mapped to Rfam. However, if there were no non-coding RNA in miRBase and RNAcentral, reads were mapped to Rfam directly. Based on the AASRA theory (
http://biorxiv.org/content/early/2017/05/01/132928, accessed on 14 October 2022), we chose the best mapping of each read, and then stat the TPM (tags per million reads) expression of each non-coding RNA (more information of TPM, please see the help document of this report). After obtaining the expression of all non-coding RNAs, principal component analysis and correlation analysis were carried out. According to the results of correlation analysis and principal component analysis, the similarity between samples can be judged. The better the repeatability, the greater the correlation coefficient, and the closer the cluster in the principal component analysis diagram. The sRNA sequencing raw data was submitted to the national center for biotechnology information website (
https://www.ncbi.nlm.nih.gov/, accessed on 14 October 2022) under project No. PRJNA879941.
2.6. Transcriptome Profiling
RNA for transcriptome sequencing was prepared as follows: mRNA was enriched by oligodT beads. rRNA was eliminated by RNase H digestion after hybridization with a DNA probe. The probe was digested with DNase. The RNA was cut into appropriate lengths and reverse transcripted with a random N6 primer. Then the second strand was synthesized. The products were phosphorylated and ligated with an adapter. After amplification, the heated single strand was cyclized and sequenced. The clean reads were mapped to
F. graminearum PH-1 genome with Bowtie2. v1.2.8 (
http://deweylab.biostat.wisc.edu/rsem/rsem-calculate-expression.html, accessed on 14 October 2022). DEseq2 was used for differentially expressed gene analysis with
p ≤ 0.05. Based on GO and KEGG annotation, differentially expressed genes (DEGs) were enriched into different terms with pHYPER function in R statistical software. The RNA sequencing raw data was submitted to the national center for biotechnology information website (
https://www.ncbi.nlm.nih.gov/, accessed on 14 October 2022) under project No. PRJNA879941.
4. Discussion
Fungal virus (mycovirus) exists in all kinds of fungi [
28]. Mycovirus serves as a good tool for fundamental research of fungal biology and pathogenic fungi biocontrol application [
29,
30]. A total of 70–80% of plant diseases are caused by fungal infection [
31]. The mycoviruses that are capable of attenuating the pathogenicity of host fungi attract more attention for their biological control potentiality. Many virulence-attenuating fungal viruses are classified into
Hypoviridae family. FgHV1 is the first hypovirus, belonging to
Hypoviridae, discovered in
F. graminearum [
10]. In the prior research, we studied the influence of FgHV1 on host RNA silencing and found that the sRNA length abundances were altered by FgHV1 infection [
11,
15]. Moreover, lots of FgHV1-derived sRNA were produced and distributed along the virus genome in a non-random pattern. To counter defense host RNA silencing, viruses also have different measurements to protect themselves from degradation. In this paper, we found that FgHV1-encoded p20 was an RNA silencing suppressor and elucidated its RNA silencing suppression mechanism. To the best of our knowledge, this is the first report of fungal virus-encoded protein with sRNA incorporating capability to suppress host RNA silencing.
Using the GFP-transgenic N. benthamiana line 16 c, our experiments demonstrated that the p20 expression construct could inhibit RNA silencing induced by GFP mRNA co-infiltration. In addition, we wondered whether p20 could suppress systemic RNA silencing signal transmission. It was quite exciting to find that the systemic RNA silencing signal was blocked by p20. In fungi, further experiments can be designed to confirm whether p20 can facilitate virus spread and benefit other viruses’ co-infection for its systemic RNA silencing suppression capability.
Further, we elucidated the RNA silencing suppression mechanism of p20. Based on protein structure, p20 might have sRNA-incorporating channels. EMSA indicated that single-strand sRNA could be loaded into p20, while double-strand sRNA cannot be incorporated inside. The mechanisms of RSS are also various in different viruses infecting plants and animals. Until now, there have been four fungal virus RSS, and three of them have been characterized by their suppression mechanism. p29 and p24 from CHV1 and CHV4 could interact with RNA silencing-related protein, thus suppressing the expression of RNA silencing critical genes,
FgDCL2 and
FgAGO2 [
17,
18,
19,
20]. In contrast, FgV1-encoded ORF2 had DNA binding capability [
21]. The promoter region of
FgDCL2 and
FgAGO1 could be bounded by ORF2, which resulted in their expression suppression. Further experiments about other RSS mechanisms of p20 can be explored.
Because of the sRNA binding capacity of p20, it was reasonable to speculate that the total sRNA amount in the host would be reduced. Therefore, we sequenced the sRNA in p20-transformed F. graminearum. However, the total sRNA reads were nearly equal in p20 transformed and empty construct control groups. This result indicated that p20 could not bind a large number of sRNA in the host, even with sRNA binding ability. However, it was also possible that FgHV1 infection induces RNA silencing and sRNA production increase. Partial sRNAs were incorporated into p20, and then the accumulation of sRNA was returned to a normal level. We also analyzed the data in detail and found that 22 and 23-nt sRNA abundances were regulated. Then we were curious about the sequence selectivity of p20. It is well known that the targets of some virus-derived sRNA were host genes, which mediated host gene suppression. Two RNA silencing critical genes, FgDicer1 (FGSG_09025) and FgRdRp5 (FGSG_09076), have been predicted as targets of three FgHV1-derived sRNAs. The incorporation of these three vsiRNA is not beneficial for RNA silencing suppression and virus accumulation. Thus, we tested the binding of p20 with these three vsiRNA. It is unexpected that p20 incorporated them un-selectively. This result indicated that p20 bound sRNA in a non-sequence-specific manner.
In this paper, it was interesting to figure out the sRNA binding capacity of p20, as this is the first report of a fungal virus with an sRNA-binding RSS. However, the sRNA incorporating capability might not be the only manner for RNA silencing suppression by p20. Many genes and pathways were regulated by p20. DNA repair (methylation), RNA processing and redox regulation were the most enriched pathways among p20-regulated terms. Previously, we also found that p20 can induce H2 O2 accumulation and hypersensitive reaction in N. benthamiana. Future studies about the functions of p20 during host antivirus and virus counterdefense are needed.