Agrobacterium tumefaciens-Mediated Transformation of Fonsecaea monophora and Fonsecaea erecta for Host-Environment Interaction Studies
Abstract
1. Introduction
2. Materials and Methods
2.1. Strains, Plasmids, and Growth Conditions
2.2. Fonsecaea monophora CBS 269.37 and F. erecta CBS 125763 Susceptibility to the Dominant Selective Markers
2.3. Fonsecaea Siblings with A. tumefaciens-Mediated Transformation
2.4. Mitotic Stability of the Transformed Colonies
2.5. PCR Assay and DNA Hybridization
2.6. Fluorescence Evaluation of Transformants Carrying DsRed
2.7. Inoculation in Bactris Gasipaes
2.8. Statistical Analysis
3. Results
3.1. Susceptibility to the Dominant Selective Marker
3.2. Fonsecaea Siblings A. tumefaciens-Mediated Transformation
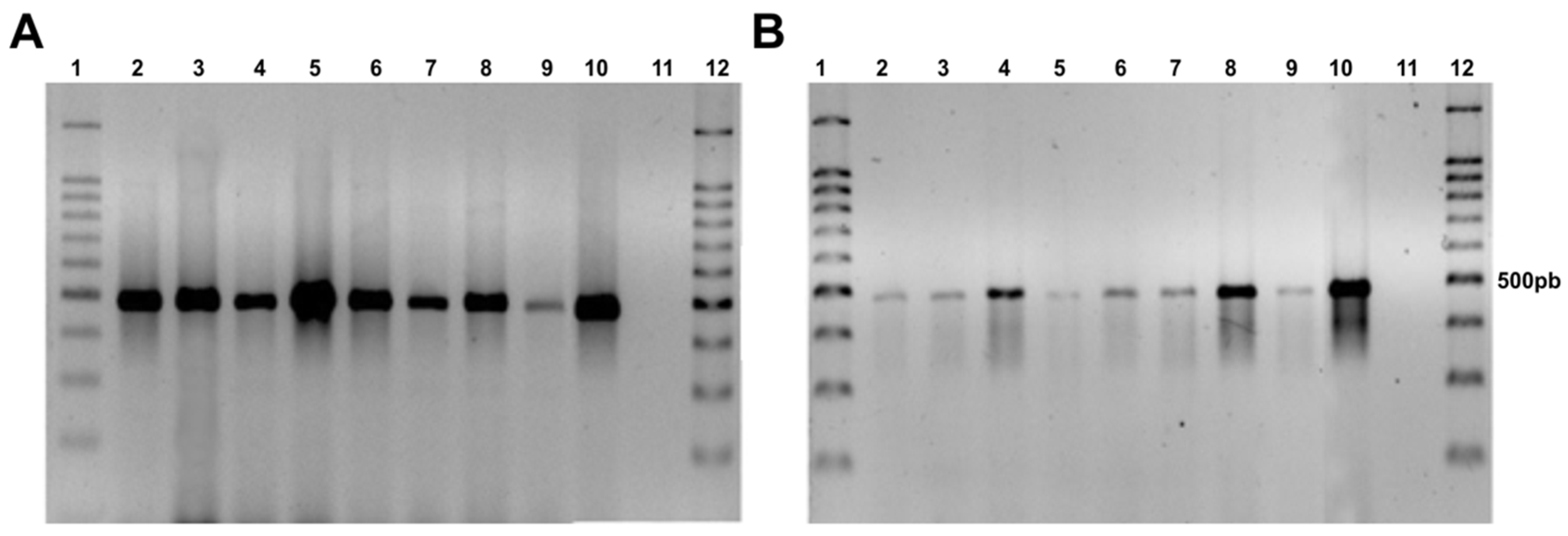
3.3. PCR and DNA Hybridization
3.4. Reporter Fluorescence Emission by Fonsecaea Transformants
4. Discussion
Author Contributions
Funding
Conflicts of Interest
References
- Queiroz-Telles, F.; De Hoog, S.; Santos, D.W.C.L.; Salgado, C.G.; Vicente, V.A.; Bonifaz, A.; Roilides, E.; Xi, L.; Azevedo, C.D.M.P.E.S.; Da Silva, M.B.; et al. Chromoblastomycosis. Clin. Microbiol. Rev. 2016, 30, 233–276. [Google Scholar] [CrossRef]
- Kurien, G.; Sugumar, K.; Chandran, V. Chromoblastomycosis (Chromomycosis). StatPearls [Internet]; 2020. Available online: www.ncbi.nlm.nih.gov/books/NBK470253/ (accessed on 14 September 2020).
- Smith, G.; Chen, A.F.; Weiss, E. Chromoblastomycosis infection from a house plant. Cutis 2017, 100, E13–E14. [Google Scholar]
- Subhadarshani, S.; Yadav, D. Dermoscopy of chromoblastomycosis. Dermatol. Pract. Concept. 2017, 7, 23–24. [Google Scholar] [CrossRef] [PubMed]
- Ventura-Flores, R.; Failoc-Rojas, V.E.; Silva-Díaz, H. Cromoblastomicosis: Características clínicas y microbiológicas de una enfermedad desatendida. Rev. Chil. Infectología 2017, 34, 404–407. [Google Scholar] [CrossRef] [PubMed]
- Gomes, R.R.; Vicente, V.A.; De Azevedo, C.M.P.S.; Salgado, C.G.; Da Silva, M.B.; Queiroz-Telles, F.; Marques, S.G.; Santos, D.W.C.L.; De Andrade, T.S.; Takagi, E.H.; et al. Molecular Epidemiology of Agents of Human Chromoblastomycosis in Brazil with the Description of Two Novel Species. PLoS Negl. Trop. Dis. 2016, 10, e0005102. [Google Scholar] [CrossRef] [PubMed]
- De Azevedo, C.M.P.S.; Gomes, R.R.; Vicente, V.A.; Santos, D.W.C.L.; Marques, S.G.; Nascimento, M.M.F.D.; Andrade, C.E.W.; Silva, R.R.; Queiroz-Telles, F.; De Hoog, G.S. Fonsecaea pugnacius, a Novel Agent of Disseminated Chromoblastomycosis. J. Clin. Microbiol. 2015, 53, 2674–2685. [Google Scholar] [CrossRef]
- Chowdhary, A.; Perfect, J.; De Hoog, G.S. Black Molds and Melanized Yeasts Pathogenic to Humans. Cold Spring Harb. Perspect. Med. 2014, 5, a019570. [Google Scholar] [CrossRef]
- Garnica, M.; Nucci, M.; Queiroz-Telles, F. Difficult mycoses of the skin: Advances in the epidemiology and management of eumycetoma, phaeohyphomycosis and chromoblastomycosis. Curr. Opin. Infect. Dis. 2009, 22, 559–563. [Google Scholar] [CrossRef]
- Vicente, V.A.; Orélis-Ribeiro, R.; Najafzadeh, M.; Sun, J.; Guerra, R.S.; Miesch, S.; Ostrensky, A.; Meis, J.F.; Klaassen, C.H.; De Hoog, G.; et al. Black yeast-like fungi associated with Lethargic Crab Disease (LCD) in the mangrove-land crab, Ucides cordatus (Ocypodidae). Vet. Microbiol. 2012, 158, 109–122. [Google Scholar] [CrossRef]
- Najafzadeh, M.; Vicente, V.; Sun, J.; Meis, J.; De Hoog, G.S. Fonsecaea multimorphosa sp. nov, a new species of Chaetothyriales isolated from a feline cerebral abscess. Fungal Biol. 2011, 115, 1066–1076. [Google Scholar] [CrossRef]
- Najafzadeh, M.J.; Sun, J.; Vicente, V.; Xi, L.; Ende, A.H.G.G.V.D.; De Hoog, G.S. Fonsecaea nubicasp. nov, a new agent of human chromoblastomycosis revealed using molecular data. Med. Mycol. 2010, 48, 800–806. [Google Scholar] [CrossRef] [PubMed]
- Najafzadeh, M.J.; Rezusta, A.; Cameo, M.I.; Zubiri, M.L.; Yus, M.C.; Badali, H.; Revillo, M.J.; De Hoog, G.S. Successful treatment of chromoblastomycosis of 36 years duration caused byFonsecaea monophora. Med. Mycol. 2010, 48, 390–393. [Google Scholar] [CrossRef] [PubMed][Green Version]
- Najafzadeh, M.J.; Gueidan, C.; Badali, H.; Ende, A.H.G.G.V.D.; Xi, L.; De Hoog, G.S. Genetic diversity and species delimitation in the opportunistic genusFonsecaea. Med. Mycol. 2009, 47, 17–25. [Google Scholar] [CrossRef] [PubMed]
- De Hoog, G.S.; Attili-Angelis, D.; Vicente, V.A.; Ende, A.H.G.G.V.D.; Queiroz-Telles, F. Molecular ecology and pathogenic potential ofFonsecaeaspecies. Med. Mycol. 2004, 42, 405–416. [Google Scholar] [CrossRef] [PubMed]
- Vicente, V.A.; Najafzadeh, M.J.; Sun, J.; Gomes, R.R.; Robl, D.; Marques, S.G.; Azevedo, C.M.P.S.; De Hoog, G.S. Environmental siblings of black agents of human chromoblastomycosis. Fungal Divers. 2013, 65, 47–63. [Google Scholar] [CrossRef]
- Vicente, V.; Attili-Angelis, D.; Pie, M.; Queiroz-Telles, F.; Cruz, L.; Najafzadeh, M.; De Hoog, G.; Zhao, J.; Pizzirani-Kleiner, A. Environmental isolation of black yeast-like fungi involved in human infection. Stud. Mycol. 2008, 61, 137–144. [Google Scholar] [CrossRef]
- Vicente, V.A.; De Angelis, D.A.; Filho, F.Q.-T.; Pizzirani-Kleiner, A.A. Isolation of herpotrichiellacious fungi from the environment. Braz. J. Microbiol. 2001, 32, 47–51. [Google Scholar] [CrossRef]
- Vicente, V.A.; Weiss, V.A.; Bombassaro, A.; Moreno, L.F.; Costa, F.F.; Raittz, R.T.; Leão, A.C.; Gomes, R.R.; Bocca, A.L.; Fornari, G.; et al. Comparative Genomics of Sibling Species of Fonsecaea Associated with Human Chromoblastomycosis. Front. Microbiol. 2017, 8, 1924. [Google Scholar] [CrossRef]
- Seyedmousavi, S.; Guillot, J.; De Hoog, G.S. Phaeohyphomycoses, Emerging Opportunistic Diseases in Animals. Clin. Microbiol. Rev. 2013, 26, 19–35. [Google Scholar] [CrossRef]
- Badali, H.; Gueidan, C.; Najafzadeh, M.J.; Bonifaz, A.; Ende, A.G.V.D.; De Hoog, G.S. Biodiversity of the genus Cladophialophora. Stud. Mycol. 2008, 61, 175–191. [Google Scholar] [CrossRef]
- De Hoog, G.S.; Zeng, J.S.; Harrak, M.J.; Sutton, D.A. Exophiala xenobiotica sp. nov., an opportunistic black yeast inhabiting environments rich in hydrocarbons. Antonie Van Leeuwenhoek 2006, 90, 257–268. [Google Scholar] [CrossRef]
- Koo, S.; Klompas, M.; Marty, F.F. Fonsecaea monophoracerebral phaeohyphomycosis: Case report of successful surgical excision and voriconazole treatment and review. Med. Mycol. 2010, 48, 769–774. [Google Scholar] [CrossRef] [PubMed]
- Surash, S.; Tyagi, A.; De Hoog, G.S.; Zeng, J.-S.; Barton, R.C.; Hobson, R.P. Cerebral phaeohyphomycosis caused byFonsecaea monophora. Med. Mycol. 2005, 43, 465–472. [Google Scholar] [CrossRef] [PubMed]
- Mullins, E.; Kang, S. Transformation: A tool for studying fungal pathogens of plants. Cell. Mol. Life Sci. 2001, 58, 2043–2052. [Google Scholar] [CrossRef] [PubMed]
- Michielse, C.B.; Hooykaas, P.J.J.; Hondel, C.A.M.J.J.V.D.; Ram, A.F.J. Agrobacterium-mediated transformation of the filamentous fungus Aspergillus awamori. Nat. Protoc. 2008, 3, 1671–1678. [Google Scholar] [CrossRef]
- De Groot, M.J.; Bundock, P.; Hooykaas, P.J.; Beijersbergen, A.G. Agrobacterium tumefaciens-mediated transformation of filamentous fungi. Nat. Biotechnol. 1998, 16, 839–842. [Google Scholar] [CrossRef] [PubMed]
- Eckert, M.; Maguire, K.; Urban, M.; Foster, S.J.; Fitt, B.; Lucas, J.; Hammond-Kosack, K.E. Agrobacterium tumefaciens-mediated transformation of Leptosphaeria spp. and Oculimacula spp. with the reef coral gene DsRed and the jellyfish gene gfp. FEMS Microbiol. Lett. 2005, 253, 67–74. [Google Scholar] [CrossRef]
- Dos Santos, P.J.C.; Savi, D.C.; Gomes, R.R.; Goulin, E.H.; Senkiv, C.D.C.; Tanaka, F.A.O.; Almeida, Á.M.R.; Galli-Terasawa, L.; Kava, V.; Glienke, C. Diaporthe endophytica and D. terebinthifolii from medicinal plants for biological control of Phyllosticta citricarpa. Microbiol. Res. 2016, 186, 153–160. [Google Scholar] [CrossRef]
- Abuodeh, R.O.; Orbach, M.J.; Mandel, M.A.; Das, A.; Galgiani, J.N. Genetic Transformation ofCoccidioides immitisFacilitated byAgrobacterium tumefaciens. J. Infect. Dis. 2000, 181, 2106–2110. [Google Scholar] [CrossRef]
- Florencio, C.S.; Brandão, F.; Teixeira, M.D.M.; Bocca, A.L.; Felipe, M.S.S.; Vicente, V.A.; Fernandes, L. Genetic manipulation of Fonsecaea pedrosoi using particles bombardment and Agrobacterium mediated transformation. Microbiol. Res. 2018, 207, 269–279. [Google Scholar] [CrossRef]
- Sebastianes, F.L.S.; Lacava, P.T.; Fávaro, L.C.L.; Rodrigues, M.B.C.; Araújo, W.L.; Azevedo, J.L.; Pizzirani-Kleiner, A.A. Genetic transformation of Diaporthe phaseolorum, an endophytic fungus found in mangrove forests, mediated by Agrobacterium tumefaciens. Curr. Genet. 2012, 58, 21–33. [Google Scholar] [CrossRef] [PubMed]
- Malonek, S.; Meinhardt, F. Agrobacterium tumefaciens-mediated genetic transformation of the phytopathogenic ascomycete Calonectria morganii. Curr. Genet. 2001, 40, 152–155. [Google Scholar] [CrossRef] [PubMed]
- Murashige, T.; Skoog, F. A revised medium for rapid growth and bioassays with tobacco tissue cultures. Physiol. Plant. 1962, 15, 473–497. [Google Scholar] [CrossRef]
- Fornari, G.; Gomes, R.R.; Degenhardt-Goldbach, J.; Dos Santos, S.S.; De Almeida, S.R.; Dos Santos, G.D.; Muro, M.D.; Bona, C.; Scola, R.H.; Trindade, E.S.; et al. A Model for Trans-Kingdom Pathogenicity in Fonsecaea Agents of Human Chromoblastomycosis. Front. Microbiol. 2018, 9, 2211. [Google Scholar] [CrossRef]
- Salgado, C.G.; Da Silva, J.P.; Diniz, J.A.P.; Da Silva, M.B.; Da Costa, P.F.; Teixeira, C.; Salgado, U.I. Isolation of Fonsecaea pedrosoi from thorns of Mimosa pudica, a probable natural source of chromoblastomycosis. Rev. Do Inst. De Med. Trop. De São Paulo 2004, 46, 33–36. [Google Scholar] [CrossRef][Green Version]
- Hood, E.E.; Gelvin, S.B.; Melchers, L.S.; Hoekema, A. NewAgrobacterium helper plasmids for gene transfer to plants. Transgenic Res. 1993, 2, 208–218. [Google Scholar] [CrossRef]
- Xiao, X.; Li, Y.; Qin, J.; He, Y.; Cai, W.; Chen, Z.; Xi, L.; Zhang, J. An optimized Agrobacterium tumefaciens-mediated transformation system for random insertional mutagenesis in Fonsecaea monophora. J. Microbiol. Methods 2020, 170, 105838. [Google Scholar] [CrossRef]
- Rho, H.S.; Kang, S.; Lee, Y.H. Agrobacterium tumefaciens-mediated transformation of the plant pathogenic fungus, Magnaporthe grisea. Mol. Cells 2001, 12, 407–411. [Google Scholar]
- Figueiredo, J.A.G.; Goulin, E.; Tanaka, F.; Stringari, D.; Kava, V.; Galli-Terasawa, L.V.; Staats, C.C.; Schrank, A.; Glienke, C. Agrobacterium tumefaciens-mediated transformation of Guignardia citricarpa. J. Microbiol. Methods 2010, 80, 143–147. [Google Scholar] [CrossRef]
- Michielse, C.B.; Hooykaas, P.J.J.; Hondel, C.A.M.J.J.V.D.; Ram, A. Agrobacterium-mediated transformation as a tool for functional genomics in fungi. Curr. Genet. 2005, 48, 1–17. [Google Scholar] [CrossRef]
- Nahálková, J.; Fatehi, J. Red fluorescent protein (DsRed2) as a novel reporter inFusarium oxysporumf. sp.lycopersici. FEMS Microbiol. Lett. 2003, 225, 305–309. [Google Scholar] [CrossRef]
- Lorang, J.M.; Tuori, R.P.; Martinez, J.P.; Sawyer, T.L.; Redman, R.S.; Rollins, J.A.; Wolpert, T.J.; Johnson, K.B.; Rodriguez, R.J.; Dickman, M.B.; et al. Green Fluorescent Protein Is Lighting Up Fungal Biology. Appl. Environ. Microbiol. 2001, 67, 1987–1994. [Google Scholar] [CrossRef] [PubMed]
- Caligiorne, R.B.; Licinio, P.; Dupont, J.; De Hoog, G.S. Internal Transcribed Spacer rRNA Gene-Based Phylogenetic Reconstruction Using Algorithms with Local and Global Sequence Alignment for Black Yeasts and Their Relatives. J. Clin. Microbiol. 2005, 43, 2816–2823. [Google Scholar] [CrossRef] [PubMed]
- De Hoog, G.; Nishikaku, A.; Fernandez-Zeppenfeldt, G.; Padín-González, C.; Burger, E.; Badali, H.; Richard-Yegres, N.; Ende, A.G.V.D. Molecular analysis and pathogenicity of the Cladophialophora carrionii complex, with the description of a novel species. Stud. Mycol. 2007, 58, 219–234. [Google Scholar] [CrossRef]





Publisher’s Note: MDPI stays neutral with regard to jurisdictional claims in published maps and institutional affiliations. |
© 2020 by the authors. Licensee MDPI, Basel, Switzerland. This article is an open access article distributed under the terms and conditions of the Creative Commons Attribution (CC BY) license (http://creativecommons.org/licenses/by/4.0/).
Share and Cite
Villena, C.I.F.; Gomes, R.R.; Fernandes, L.; Florencio, C.S.; Bombassaro, A.; Grisolia, M.E.; da Silva Trindade, E.; de Hoog, S.; Vicente, V.A. Agrobacterium tumefaciens-Mediated Transformation of Fonsecaea monophora and Fonsecaea erecta for Host-Environment Interaction Studies. J. Fungi 2020, 6, 325. https://doi.org/10.3390/jof6040325
Villena CIF, Gomes RR, Fernandes L, Florencio CS, Bombassaro A, Grisolia ME, da Silva Trindade E, de Hoog S, Vicente VA. Agrobacterium tumefaciens-Mediated Transformation of Fonsecaea monophora and Fonsecaea erecta for Host-Environment Interaction Studies. Journal of Fungi. 2020; 6(4):325. https://doi.org/10.3390/jof6040325
Chicago/Turabian StyleVillena, Cristina Isabel Ferrer, Renata Rodrigues Gomes, Larissa Fernandes, Camille Silva Florencio, Amanda Bombassaro, Maria Eduarda Grisolia, Edvaldo da Silva Trindade, Sybren de Hoog, and Vania Aparecida Vicente. 2020. "Agrobacterium tumefaciens-Mediated Transformation of Fonsecaea monophora and Fonsecaea erecta for Host-Environment Interaction Studies" Journal of Fungi 6, no. 4: 325. https://doi.org/10.3390/jof6040325
APA StyleVillena, C. I. F., Gomes, R. R., Fernandes, L., Florencio, C. S., Bombassaro, A., Grisolia, M. E., da Silva Trindade, E., de Hoog, S., & Vicente, V. A. (2020). Agrobacterium tumefaciens-Mediated Transformation of Fonsecaea monophora and Fonsecaea erecta for Host-Environment Interaction Studies. Journal of Fungi, 6(4), 325. https://doi.org/10.3390/jof6040325

