Characterisation of Alternaria alternata Allergoids: Evaluation of the Stability of Grass Pollen Allergen Extracts Mixed with Alternaria alternata Allergoids
Abstract
1. Introduction
2. Materials and Methods
2.1. A. alternata Allergen Extraction and Polymerisation
2.2. Analysis of the Protein and Allergenic Profile of the Extracts: SDS-PAGE and Immunoblotting
2.3. Physicochemical Analysis and Chemical Composition of the Extracts: Analysis of Amino Acid Content, Nuclear Magnetic Resonance, and Mass Spectrometry
2.4. Analysis of the Allergenic Activity: IgE/IgG ELISA Competition Assays
2.5. Analysis of the Immunogenicity: Mice Immunisation
2.6. Analysis of the Enzymatic Activity of Allergen Native Extracts and Allergoids
2.7. Stability of Grass Extracts in Mixture with Alternaria Allergoids
3. Results
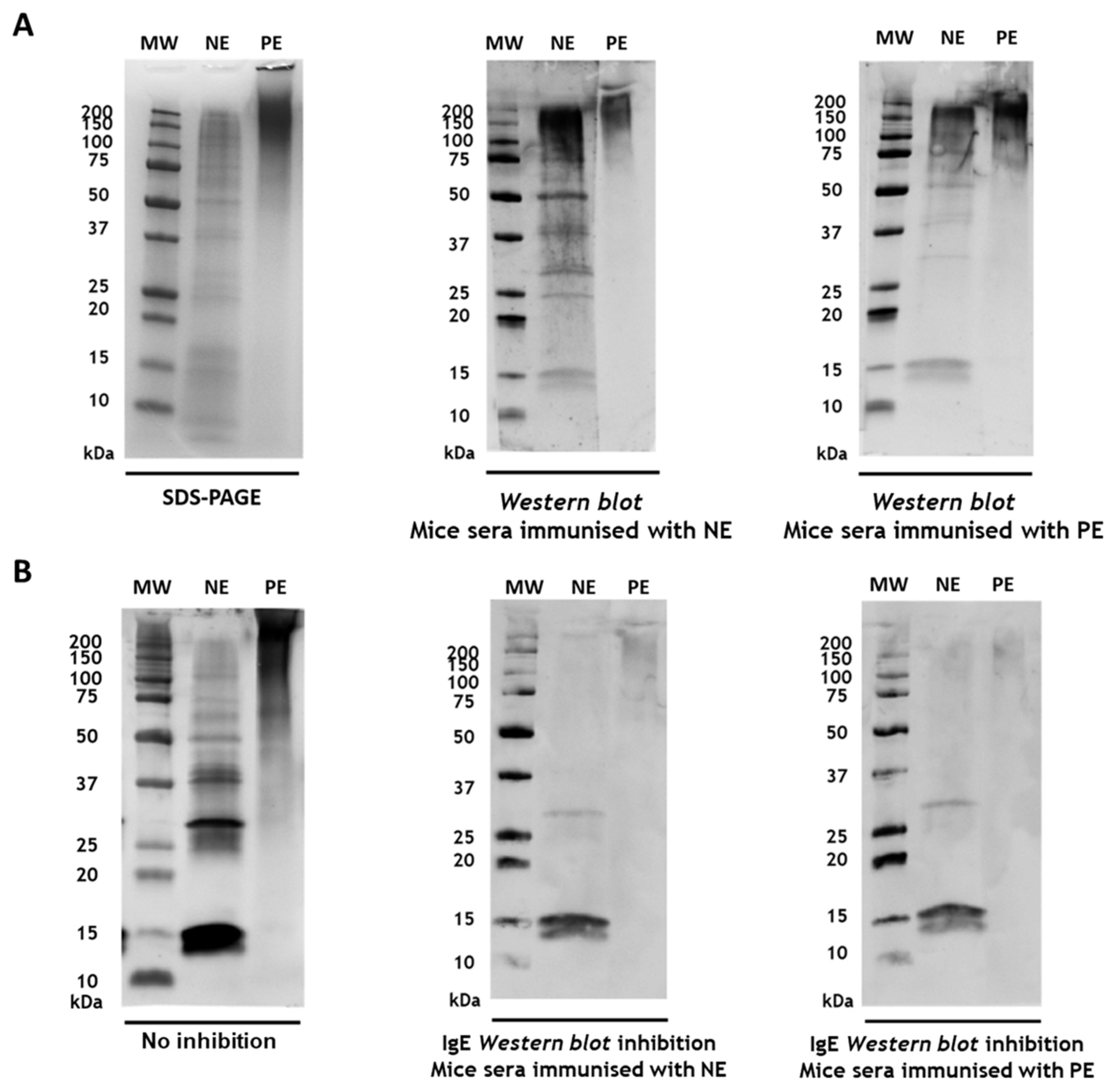
3.1. Protein and Allergenic Profile of the Extracts: SDS-PAGE and Immunoblotting
3.2. Physicochemical Composition Analysis of the Extracts: Amino Acid Content, Nuclear Magnetic Resonance and Mass Spectrometry
3.3. Allergenic Activity Analysis: IgE/IgG ELISA Competition Assays
3.4. Immunogenicity and Inhibition of IgE Reactivity by Mouse IgG Antibodies Induced with A. alternata PE
3.5. Enzymatic Activity of Native and Polymerised Extracts
3.6. Stability of Grass Extracts in Mixture with Alternaria Allergoids
4. Discussion
5. Conclusions
Author Contributions
Funding
Institutional Review Board Statement
Informed Consent Statement
Data Availability Statement
Acknowledgments
Conflicts of Interest
References
- López Couso, V.P.; Tortajada-Girbés, M.; Rodriguez Gil, D.; Martínez Quesada, J.; Palacios Pelaez, R. Fungi Sensitization in Spain: Importance of the Alternaria alternata Species and Its Major Allergen Alt a 1 in the Allergenicity. J. Fungi 2021, 7, 631. [Google Scholar] [CrossRef] [PubMed] [PubMed Central]
- Masaki, K.; Fukunaga, K.; Matsusaka, M.; Kabata, H.; Tanosaki, T.; Mochimaru, T.; Kamatani, T.; Ohtsuka, K.; Baba, R.; Ueda, S.; et al. Characteristics of severe asthma with fungal sensitization. Ann. Allergy Asthma Immunol. 2017, 119, 253–257. [Google Scholar] [CrossRef] [PubMed]
- Möller, C.; Dreborg, S.; Ferdousi, H.A.; Halken, S.; Høst, A.; Jacobsen, L.; Koivikko, A.; Koller, D.Y.; Niggemann, B.; Norberg, L.A.; et al. Pollen immunotherapy reduces the development of asthma in children with seasonal rhinoconjunctivitis (the PAT-study). J. Allergy Clin. Immunol. 2002, 109, 251–256. [Google Scholar] [CrossRef] [PubMed]
- Klain, A.; Senatore, A.A.; Licari, A.; Galletta, F.; Bettini, I.; Tomei, L.; Manti, S.; Mori, F.; del Giudice, M.M.; Indolfi, C. The Prevention of House Dust Mite Allergies in Pediatric Asthma. Children 2024, 11, 469, Erratum in Children 2024, 11, 774. https://doi.org/10.3390/children11070774. [Google Scholar] [CrossRef] [PubMed] [PubMed Central]
- Tosca, M.A.; Licari, A.; Olcese, R.; Marseglia, G.; Sacco, O.; Ciprandi, G. Immunotherapy and Asthma in Children. Front. Pediatr. 2018, 6, 231. [Google Scholar] [CrossRef]
- Di Bona, D.; Frisenda, F.; Albanesi, M. Efficacy and safety of allergen immunotherapy in patients with allergy to molds: A systematic review. Clin. Exp. Allergy 2018, 48, 1391–1401. [Google Scholar] [CrossRef] [PubMed]
- Brehler, R.; Rabe, U. Allergen-specific immunotherapy for mold allergies. Allergo J. Int. 2024, 33, 101–105. [Google Scholar] [CrossRef]
- Ostergaard, P.A.; Kaad, P.H.; Kristensen, T. A prospective study on the safety of immunotherapy in children with severe asthma. Allergy 1986, 41, 588–593. [Google Scholar] [CrossRef] [PubMed]
- Twaroch, T.E.; Curin, M.; Valenta, R.; Swoboda, I. Mold allergens in respiratory allergy: From structure to therapy. Allergy Asthma Immunol. Res. 2015, 7, 205–220. [Google Scholar] [CrossRef] [PubMed] [PubMed Central]
- Kaad, P.H.; Ostergaard, P.A. The hazard of mould hyposensitization in children with asthma. Clin. Allergy 1982, 12, 317–320. [Google Scholar] [CrossRef] [PubMed]
- Jutel, M.; Agache, I.; Bonini, S.; Burks, A.W.; Calderon, M.; Canonica, W.; Cox, L.; Demoly, P.; Frew, A.J.; O'Hehir, R.; et al. International Consensus on Allergen Immunotherapy II: Mechanisms, standardization, and pharmacoeconomics. J. Allergy Clin. Immunol. 2016, 137, 358–368. [Google Scholar] [CrossRef] [PubMed]
- Alvaro-Lozano, M.; Akdis, C.A.; Akdis, M.; Alviani, C.; Angier, E.; Arasi, S.; Arzt-Gradwohl, L.; Barber, D.; Bazire, R.; Cavkaytar, O.; et al. EAACI Allergen Immunotherapy User’s Guide. Pediatr. Allergy Immunol. Off. Publ. Eur. Soc. Pediatr. Allergy Immunol. 2020, 31 (Suppl. 25), 1–101. [Google Scholar] [CrossRef] [PubMed] [PubMed Central]
- Akdis, M.; Akdis, C.A. Mechanisms of allergen-specific immunotherapy: Multiple suppressor factors at work in immune tolerance to allergens. J. Allergy Clin. Immunol. 2014, 133, 621–631. [Google Scholar] [CrossRef] [PubMed]
- Jacobsen, L.; Valovirta, E. How strong is the evidence that immunotherapy in children prevents the progression of allergy and asthma? Curr. Opin. Allergy Clin. Immunol. 2007, 7, 556–560. [Google Scholar] [CrossRef] [PubMed]
- Ricketti, P.A.; Alandijani, S.; Lin, C.H.; Casale, T.B. Investigational new drugs for allergic rhinitis. Expert. Opin. Investig. Drugs 2017, 26, 279–292. [Google Scholar] [CrossRef] [PubMed]
- Ouyang, X.; Reihill, J.A.; Douglas, L.E.J.; Martin, S.L. Airborne indoor allergen serine proteases and their contribution to sensitisation and activation of innate immunity in allergic airway disease. Eur. Respir. Rev. 2024, 33, 230126. [Google Scholar] [CrossRef] [PubMed] [PubMed Central]
- Kespohl, S.; Raulf, M. Mould allergens: Where do we stand with molecular allergy diagnostics? Part 13 of the series Molecular Allergology. Allergo J. Int. 2014, 23, 120–125. [Google Scholar] [CrossRef] [PubMed] [PubMed Central]
- Kobayashi, T.; Iijima, K.; Radhakrishnan, S.; Mehta, V.; Vassallo, R.; Lawrence, C.B.; Cyong, J.-C.; Pease, L.R.; Oguchi, K.; Kita, H. Asthma-related environmental fungus, Alternaria, activates dendritic cells and produces potent Th2 adjuvant activity. J. Immunol. 2009, 182, 2502–2510. [Google Scholar] [CrossRef] [PubMed] [PubMed Central]
- Cardona Villa, R.; Yépes Núñez, J.J.; Salgado Vélez, H.; Montoya Guarín, C.J. Aspectos básicos de las reacciones de hipersensibilidad y la alergia. In Alergia Abordaje Clínico, Diagnóstico y Tratamiento; Panamericana: Singapore, 2010; p. 736. [Google Scholar]
- Borger, P.; Koeter, G.H.; Timmerman, J.A.; Vellenga, E.; Tomee, J.F.; Kauffman, H.F. Proteases from Aspergillus fumigatus induce interleukin (IL)-6 and IL-8 production in airway epithelial cell lines by transcriptional mechanisms. J. Infect. Dis. 1999, 180, 1267–1274. [Google Scholar] [CrossRef] [PubMed]
- Kauffman, H.F.; Tomee, J.F.C.; van de Riet, M.A.; Timmerman, A.J.B.; Borger, P. Protease-dependent activation of epithelial cells by fungal allergens leads to morphologic changes and cytokine production. J. Allergy Clin. Immunol. 2000, 105, 1185–1193. [Google Scholar] [CrossRef]
- Tai, H.; Tam, M.F.; Chou, H.; Peng, H.; Su, S.; Perng, D.; Shen, H. Pen ch 13 allergen induces secretion of mediators and degradation of occludin protein of human lung epithelial cells. Allergy 2006, 61, 382–388. [Google Scholar] [CrossRef] [PubMed]
- Lamhamedi-Cherradi, S.-E.; Martin, R.E.; Ito, T.; Kheradmand, F.; Corry, D.B.; Liu, Y.-J.; Moyle, M. Fungal proteases induce Th2 polarization through limited dendritic cell maturation and reduced production of IL-12. J. Immunol. 2008, 180, 6000–6009. [Google Scholar] [CrossRef]
- Boitano, S.; Flynn, A.N.; Sherwood, C.L.; Schulz, S.M.; Hoffman, J.; Gruzinova, I.; Daines, M.O.; Yee, M.C.; Nichols, H.L.; Polley, D.; et al. Alternaria alternata serine proteases induce lung inflammation and airway epithelial cell activation via PAR2. Am. J. Physiol. Lung Cell. Mol. Physiol. 2011, 300, L605–L614. [Google Scholar] [CrossRef] [PubMed] [PubMed Central]
- Chen, J.C.; Chuang, J.G.; Su, Y.Y.; Chiang, B.L.; Lin, Y.S.; Chow, L.P. The protease allergen Pen c 13 induces allergic airway inflammation and changes in epithelial barrier integrity and function in a murine model. J. Biol. Chem. 2011, 286, 26667–26679. [Google Scholar] [CrossRef] [PubMed] [PubMed Central]
- Snelgrove, R.J.; Gregory, L.G.; Peiró, T.; Akthar, S.; Campbell, G.A.; Walker, S.A.; Lloyd, C.M. Alternaria-derived serine protease activity drives IL-33-mediated asthma exacerbations. J. Allergy Clin. Immunol. 2014, 134, 583–592.e6. [Google Scholar] [CrossRef] [PubMed] [PubMed Central]
- Casanovas, M.; Fernandez-Caldas, E.; Alamar, R.; Basomba, A. Comparative study of tolerance between unmodified and high doses of chemically modified allergen vaccines of Dermatophagoides pteronyssinus. Int. Arch. Allergy Immunol. 2005, 137, 211–218. [Google Scholar] [CrossRef] [PubMed]
- Chaker, A.M.; Al-Kadah, B.; Luther, U.; Neumann, U.; Wagenmann, M. An accelerated dose escalation with a grass pollen allergoid is safe and well-tolerated: A randomized open label phase II trial. Clin. Transl. Allergy 2015, 6, 4. [Google Scholar] [CrossRef] [PubMed] [PubMed Central]
- Himly, M.; Carnes, J.; Fernandez-Caldas, E.; Briza, P.; Ferreira, F. Characterization of allergoids. Arb. Paul-Ehrlich-Inst. Bundesinstitut Impfstoffe Biomed. Arzneim. Langen Hess. 2009, 96, 61–69; discussion 69–70. [Google Scholar] [PubMed]
- Manzano, A.I.; Javier Cañada, F.; Cases, B.; Sirvent, S.; Soria, I.; Palomares, O.; Fernández-Caldas, E.; Casanovas, M.; Jiménez-Barbero, J.; Subiza, J.L. Structural studies of novel glycoconjugates from polymerized allergens (allergoids) and mannans as allergy vaccines. Glycoconj. J. 2016, 33, 93–101. [Google Scholar] [CrossRef] [PubMed] [PubMed Central]
- Morales, M.; Gallego, M.; Iraola, V.; Taules, M.; de Oliveira, E.; Moya, R.; Carnés, J. In vitro evidence of efficacy and safety of a polymerized cat dander extract for allergen immunotherapy. BMC Immunol. 2017, 18, 10. [Google Scholar] [CrossRef] [PubMed] [PubMed Central]
- Passalacqua, G.; Pasquali, M.; Ariano, R.; Lombardi, C.; Giardini, A.; Baiardini, I.; Majani, G.; Falagiani, P.; Bruno, M.; Canonica, G.W. Randomized double-blind controlled study with sublingual carbamylated allergoid immunotherapy in mild rhinitis due to mites. Allergy 2006, 61, 849–854. [Google Scholar] [CrossRef] [PubMed]
- Rodriguez Mosquera, M.; Sola Martinez, F.J.; Montoro de Francisco, A.; Chivato Perez, T.; Sanchez Moreno, V.; Rodriguez-Marco, A.; Hernández-Peña, J. Satisfaction and perceived effectiveness in patients on subcutaneous immunotherapy with a high-dose hypoallergenic pollen extract. Eur. Ann. Allergy Clin. Immunol. 2016, 48, 188–193. [Google Scholar] [PubMed]
- Roger, A.; Depreux, N.; Jurgens, Y.; Heath, M.D.; Garcia, G.; Skinner, M.A. A novel and well tolerated mite allergoid subcutaneous immunotherapy: Evidence of clinical and immunologic efficacy. Immun. Inflamm. Dis. 2014, 2, 92–98. [Google Scholar] [CrossRef] [PubMed] [PubMed Central]
- del Río, P.R.; Vidal, C.; Just, J.; Tabar, A.I.; Sanchez-Machin, I.; Eberle, P.; Borja, J.; Bubel, P.; Pfaar, O.; Demoly, P.; et al. The European Survey on Adverse Systemic Reactions in Allergen Immunotherapy (EASSI): A paediatric assessment. Pediatr. Allergy Immunol. Off. Publ. Eur. Soc. Pediatr. Allergy Immunol. 2017, 28, 60–70. [Google Scholar] [CrossRef] [PubMed]
- Abel-Fernández, E. Producción y Caracterización de Extractos Alergénicos Polimerizados de Alternaria alternata. Evaluación de su Alergenicidad e Inmunogenicidad. Ph.D. Thesis, Universidad Complutense de Madrid, Madrid, Spain, 2017. [Google Scholar]
- Morales, M.; Gallego, M.T.; Iraola, V.; Moya, R.; Santana, S.; Carnes, J. Preclinical safety and immunological efficacy of Alternaria alternata polymerized extracts. Immun. Inflamm. Dis. 2018, 6, 234–244. [Google Scholar] [CrossRef] [PubMed] [PubMed Central]
- Nelson, H.S. To mix or not to mix in allergy immunotherapy vaccines. Curr. Opin. Allergy Clin. Immunol. 2021, 21, 583–589. [Google Scholar] [CrossRef] [PubMed]
- Di Bona, D.; Albanesi, M.; Macchia, L. Is immunotherapy with fungal vaccines effective? Curr. Opin. Allergy Clin. Immunol. 2019, 19, 646–653. [Google Scholar] [CrossRef] [PubMed]
- Bozek, A.; Pyrkosz, K. Immunotherapy of mold allergy: A review. Human. Vaccines Immunother. 2017, 13, 2397–2401. [Google Scholar] [CrossRef] [PubMed] [PubMed Central]
- Gabriel, M.F.; Postigo, I.; Tomaz, C.T.; Martinez, J. Alternaria alternata allergens: Markers of exposure, phylogeny and risk of fungi-induced respiratory allergy. Environ. Int. 2016, 89–90, 71–80. [Google Scholar] [CrossRef] [PubMed]
- Abel-Fernández, E.; Martínez, M.J.; Galán, T.; Pineda, F. Going over Fungal Allergy: Alternaria alternata and Its Allergens. J. Fungi 2023, 9, 582. [Google Scholar] [CrossRef] [PubMed] [PubMed Central]
- Martínez-Cañavate Burgos, A.; Valenzuela-Soria, A.; Rojo-Hernández, A. Immunotherapy with Alternaria alternata: Present and future. Allergol. Immunopathol. 2007, 35, 259–263. [Google Scholar] [CrossRef] [PubMed]
- Chen, H.; Zhu, R. Alternaria Allergy and Immunotherapy. Int. Arch. Allergy Immunol. 2024, 185, 964–974. [Google Scholar] [CrossRef] [PubMed]
- Cirkovic, T.D.; Bukilica, M.N.; Gavrovic, M.D.; Vujcic, Z.M.; Petrovic, S.; Jankov, R.M. Physicochemical and immunologic characterization of low-molecular-weight allergoids of Dactylis glomerata pollen proteins. Allergy 1999, 54, 128–134. [Google Scholar] [CrossRef] [PubMed]
- Kahler, H.; Stuwe, H.; Cromwell, O.; Fiebig, H. Reactivity of T cells with grass pollen allergen extract and allergoid. Int. Arch. Allergy Immunol. 1999, 120, 146–157. [Google Scholar] [CrossRef] [PubMed]
- López-Matas, M.A.; Gallego, M.; Iraola, V.; Robinson, D.; Carnés, J. Depigmented allergoids reveal new epitopes with capacity to induce IgG blocking antibodies. BioMed Res. Int. 2013, 2013, 284615. [Google Scholar] [CrossRef] [PubMed] [PubMed Central][Green Version]
- Starchenka, S.; Bell, A.J.; Mwange, J.; Skinner, M.A.; Heath, M.D. Molecular fingerprinting of complex grass allergoids: Size assessments reveal new insights in epitope repertoires and functional capacities. World Allergy Organ. J. 2017, 10, 17. [Google Scholar] [CrossRef] [PubMed] [PubMed Central]
- Shamji, M.H.; Francis, J.N.; Würtzen, P.A.; Lund, K.; Durham, S.R.; Till, S.J. Cell-free detection of allergen-IgE cross-linking with immobilized phase CD23: Inhibition by blocking antibody responses after immunotherapy. J. Allergy Clin. Immunol. 2013, 132, 1003–1005.e4. [Google Scholar] [CrossRef] [PubMed]
- Reithofer, M.; Böll, S.L.; Kitzmüller, C.; Horak, F.; Sotoudeh, M.; Bohle, B.; Jahn-Schmid, B. Alum-adjuvanted allergoids induce functional IgE-blocking antibodies. Clin. Exp. Allergy 2018, 48, 741–744. [Google Scholar] [CrossRef] [PubMed]
- Rauber, M.M.; Wu, H.K.; Adams, B.; Pickert, J.; Bohle, B. Birch pollen allergen-specific immunotherapy with glutaraldehyde-modified allergoid induces IL-10 secretion and protective antibody responses. Allergy 2019, 74, 1575–1579. [Google Scholar] [CrossRef] [PubMed]
- Abel-Fernández, E.; Fernández-Caldas, E. Allergy to fungi: Advances in the understanding of fungal allergens. Mol. Immunol. 2023, 163, 216–223. [Google Scholar] [CrossRef] [PubMed]
- Armentia, A.; Martín-Armentia, S.; Moral, A.; Montejo, D.; Martin-Armentia, B.; Sastre, R.; Fernández, S.; Corell, A.; Fernandez, D. Molecular study of hypersensitivity to spores in adults and children from Castile & Leon. Allergol. Immunopathol. 2019, 47, 350–356. [Google Scholar] [CrossRef] [PubMed]
- Rodríguez, D.; Tabar, A.I.; Castillo, M.; Martínez-Gomariz, M.; Dobski, I.C.; Palacios, R. Changes in the Sensitization Pattern to Alternaria alternata Allergens in Patients Treated with Alt a 1 Immunotherapy. J. Fungi 2021, 7, 974. [Google Scholar] [CrossRef] [PubMed] [PubMed Central]
- Celakovska, J.; Vankova, R.; Bukac, J.; Cermakova, E.; Andrys, C.; Krejsek, J. Atopic Dermatitis and Sensitisation to Molecular Components of Alternaria, Cladosporium, Penicillium, Aspergillus, and Malassezia—Results of Allergy Explorer ALEX 2. J. Fungi 2021, 7, 183. [Google Scholar] [CrossRef] [PubMed] [PubMed Central]
- Nelson, H.S.; Ikle, D.; Buchmeier, A. Studies of allergen extract stability: The effects of dilution and mixing. J. Allergy Clin. Immunol. 1996, 98, 382–388. [Google Scholar] [CrossRef] [PubMed]
- Grier, T.J.; LeFevre, D.M.; Duncan, E.A.; Esch, R.E. Stability of standardized grass, dust mite, cat, and short ragweed allergens after mixing with mold or cockroach extracts. Ann. Allergy Asthma Immunol. Off. Publ. Am. Coll. Allergy Asthma Immunol. 2007, 99, 151–160. [Google Scholar] [CrossRef] [PubMed]
- Esch, R.E. Allergen immunotherapy: What can and cannot be mixed? J. Allergy Clin. Immunol. 2008, 122, 659–660. [Google Scholar] [CrossRef] [PubMed]
- Coop, C.A. Immunotherapy for mold allergy. Clin. Rev. Allergy Immunol. 2014, 47, 289–298. [Google Scholar] [CrossRef] [PubMed]
- Kordash, T.R.; Amend, M.J.; Williamson, S.L.; Jones, J.K.; Plunkett, G.A. Effect of mixing allergenic extracts containing Helminthosporium, D. farinae, and cockroach with perennial ryegrass. Ann. Allergy 1993, 71, 240–246. [Google Scholar] [PubMed]





| Enzymatic Activity | Native Extract |
|---|---|
| Alkaline phosphatase | + |
| Esterase (C4) | + |
| Esterase lipase (C8) | + |
| Lipase (C14) | - |
| Leucine arylamidase | + |
| Valine arylamidase | - |
| Cystine arylamidase | - |
| Trypsin | + |
| α-chymotrypsin | - |
| Acid phosphatase | + |
| Naphthol AS-BI-phosphohydrolase | + |
| α-galactosidase | + |
| β -galactosidase | + |
| β-glucuronidase | - |
| α-glucosidase | + |
| β-glucosidase | + |
| N-acetyl-β-glucosaminidase | + |
| β-mannosidase | + |
| α-fucosidase | - |
| Proteolytic Activity | Native Extract | Polymerised Extract | % Diminution |
|---|---|---|---|
| Trypsin | 119.049 | 0.321 | 99.73 |
| Serine protease | 6172.52 | 614.03 | 90.05 |
| Cysteine protease | 3.55 | 1.45 | 59.15 |
| Acid phosphatase | 98.62 | 28.27 | 71.33 |
| Alkaline phosphatase | 543.86 | 134.80 | 75.21 |
Disclaimer/Publisher’s Note: The statements, opinions and data contained in all publications are solely those of the individual author(s) and contributor(s) and not of MDPI and/or the editor(s). MDPI and/or the editor(s) disclaim responsibility for any injury to people or property resulting from any ideas, methods, instructions or products referred to in the content. |
© 2025 by the authors. Licensee MDPI, Basel, Switzerland. This article is an open access article distributed under the terms and conditions of the Creative Commons Attribution (CC BY) license (https://creativecommons.org/licenses/by/4.0/).
Share and Cite
Abel-Fernández, E.; Fernández-Caldas, E.; Iborra, S. Characterisation of Alternaria alternata Allergoids: Evaluation of the Stability of Grass Pollen Allergen Extracts Mixed with Alternaria alternata Allergoids. J. Fungi 2025, 11, 181. https://doi.org/10.3390/jof11030181
Abel-Fernández E, Fernández-Caldas E, Iborra S. Characterisation of Alternaria alternata Allergoids: Evaluation of the Stability of Grass Pollen Allergen Extracts Mixed with Alternaria alternata Allergoids. Journal of Fungi. 2025; 11(3):181. https://doi.org/10.3390/jof11030181
Chicago/Turabian StyleAbel-Fernández, Eva, Enrique Fernández-Caldas, and Salvador Iborra. 2025. "Characterisation of Alternaria alternata Allergoids: Evaluation of the Stability of Grass Pollen Allergen Extracts Mixed with Alternaria alternata Allergoids" Journal of Fungi 11, no. 3: 181. https://doi.org/10.3390/jof11030181
APA StyleAbel-Fernández, E., Fernández-Caldas, E., & Iborra, S. (2025). Characterisation of Alternaria alternata Allergoids: Evaluation of the Stability of Grass Pollen Allergen Extracts Mixed with Alternaria alternata Allergoids. Journal of Fungi, 11(3), 181. https://doi.org/10.3390/jof11030181

