Histoplasmosis in Non-HIV Infected Patients: Another Neglected Infection in French Guiana
Abstract
1. Introduction
2. Patients and Methods
2.1. Statistical Analysis
2.2. Ethical Statement
3. Results
3.1. Epidemiological Data
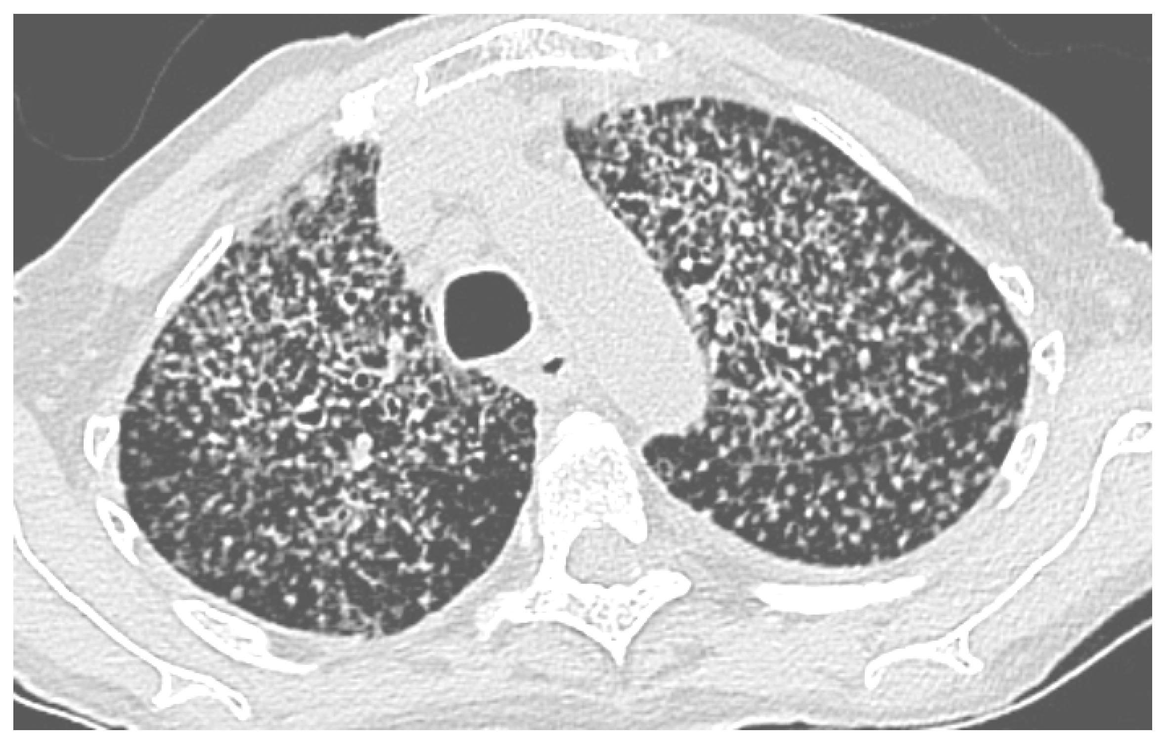
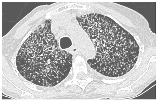
3.2. Clinical Presentation
3.3. Biological Data
3.4. Diagnostic Methods
3.5. Treatment Data
4. Discussion
5. Conclusions
Author Contributions
Funding
Institutional Review Board Statement
Informed Consent Statement
Data Availability Statement
Conflicts of Interest
References
- Carol, A. Kauffman Histoplasmosis: A Clinical and Laboratory Update. Clin. Microbiol. Rev. 2007, 20, 115–132. [Google Scholar] [CrossRef]
- Leimann, B.C.; Pizzini, C.V.; Muniz, M.M.; Albuquerque, P.C.; Monteiro, P.C.; Reis, R.S.; Almeida-Paes, R.; Lazera, M.S.; Wanke, B.; Pérez, M.A.; et al. Histoplasmosis in a Brazilian center: Clinical forms and laboratory tests. Rev. Iberoam. Micol. 2005, 22, 141–146. [Google Scholar] [CrossRef]
- Darling, S.T. A protozoon general infection producing pseudotubercles in the lungs and focal necroses in the liver, spleen and lymphnodes. JAMA 1906, 17, 1283. [Google Scholar] [CrossRef]
- Emmons, C.W. Isolation of Histoplasma capsulatum from soil. Public Health Rep. 1949, 64, 892–896. [Google Scholar] [CrossRef]
- Nacher, M.; Valdes, A.; Adenis, A.; Blaizot, R.; Ugo, F.; Abboud, P.; Demar, M.; Djossou, F.; Epelboin, L.; Misslin, C.; et al. Review of diagnostic methods and results for HIV-associated disseminated histoplasmosis: Pathologists are not sufficiently involved. Trop. Med. Int. Health 2021, 26, 1462–1469. [Google Scholar] [CrossRef]
- World Health Organization. Guidelines for Managing Advanced HIV Disease and Rapid Initiation of Antiretroviral Therapy; World Health Organization: Geneva, Switzerland, 2017. Available online: http://www.who.int/hiv/pub/toolkits/advanced-HIV-disease-policy/en/ (accessed on 2 April 2024).
- Woods, J.P. Revisiting old friends: Developments in understanding Histoplasma capsulatum pathogenesis. J. Microbiol. 2016, 54, 265–276. [Google Scholar] [CrossRef]
- Nacher, M.; Valdes, A.; Adenis, A.; Blaizot, R.; Abboud, P.; Demar, M.; Djossou, F.; Epelboin, L.; Misslin, C.; Ntab, B.; et al. Gastrointestinal disseminated histoplasmosis in HIV-infected patients: A descriptive and comparative study. PLoS Negl. Trop. Dis. 2021, 15, e0009050. [Google Scholar] [CrossRef]
- Wheat, L.J.; Freifeld, A.G.; Kleiman, M.B.; Baddley, J.W.; McKinsey, D.S.; Loyd, J.E.; Kauffman, C.A.; Infectious Diseases Society of America. Clinical practice guidelines for the management of patients with histoplasmosis: 2007 update by the Infectious Diseases Society of America. Clin. Infect. Dis. 2007, 45, 807–825. [Google Scholar] [CrossRef]
- Benedict, K.; Derado, G.; Mody, R.K. Histoplasmosis-Associated Hospitalizations in the United States, 2001–2012. Open Forum. Infect. Dis. 2016, 3, ofv219. [Google Scholar] [CrossRef]
- Nacher, M.; Adenis, A.; Adriouch, L.; Dufour, J.; Papot, E.; Hanf, M.; Vantilcke, V.; Calvez, M.; Aznar, C.; Carme, B.; et al. What is AIDS in the Amazon and the Guianas? Establishing the burden of disseminated histoplasmosis. Am. J. Trop. Med. Hyg. 2011, 84, 239–240. [Google Scholar] [CrossRef]
- Nacher, M.; Alsibai, K.D.; Valdes, A.; Abboud, P.; Adenis, A.; Blaizot, R.; Blanchet, D.; Demar, M.; Djossou, F.; Epelboin, L.; et al. HIV-Associated Disseminated Histoplasmosis and Rare Adrenal Involvement: Evidence of Absence or Absence of Evidence. Front. Cell Infect. Microbiol. 2021, 11, 619459. [Google Scholar] [CrossRef]
- Couppié, P.; Sobesky, M.; Aznar, C.; Bichat, S.; Clyti, E.; Bissuel, F.; El Guedj, M.; Alvarez, F.; Demar, M.; Louvel, D.; et al. Histoplasmosis and acquired immunodeficiency syndrome: A study of prognostic factors. Clin. Infect. Dis. 2004, 38, 134–138. [Google Scholar] [CrossRef]
- Perez, F.; Caceres, D.H.; Ford, N.; Ravasi, G.; Gomez, B.L.; Pasqualotto, A.C.; Hine, P.; Adenis, A.A.; Nacher, M.; Chiller, T.; et al. For The Guideline Development Group for Diagnosing and Managing Disseminated Histoplasmosis among People Living with HIV. Summary of Guidelines for Managing Histoplasmosis among People Living with HIV. J. Fungi 2021, 7, 134. [Google Scholar] [CrossRef]
- Nacher, M.; Couppié, P.; Epelboin, L.; Djossou, F.; Demar, M.; Adenis, A. Disseminated Histoplasmosis: Fighting a neglected killer of patients with advanced HIV disease in Latin America. PLoS Pathog. 2020, 16, e1008449. [Google Scholar] [CrossRef]
- Huber, F.; Nacher, M.; Aznar, C.; Pierre-Demar, M.; El Guedj, M.; Vaz, T.; Vantilcke, V.; Mahamat, A.; Magnien, C.; Chauvet, E.; et al. AIDS-related Histoplasma capsulatum var. capsulatum infection: 25 years experience of French Guiana. AIDS 2008, 22, 1047–1053. [Google Scholar] [CrossRef]
- Chincha, O.; Bustamante, B. Disseminated histoplasmosis in Peruvian non-HIV patients: An under recognized endemic disease. J. Mycol. Med. 2021, 31, 101177. [Google Scholar] [CrossRef]
- Bonnet, D.; Balandraud, P.; Lonjon, T.; Rey, P.; Van De Walle, J.P.; Cador, L.; Jancovici, R.; Martet, G.; Branquet, D.; De Muizon, H. Round pulmonary lesions after returning from French Guyana. Six cases of American pulmonary histoplasmosis. Med. Trop. (Mars) 1995, 55, 55–60. [Google Scholar]
- Cuguillière, A.; N’Guyen, G.; Maslin, J.; Lonjon, T.; Miltgen, J.; Bonnet, D. Tumorform of histoplasmosis in subjects returning from French Guiana. Treatment of an immunocompetentpatient. Presse Medicale 1997, 26, 1724. [Google Scholar]
- Cormier, H.; Perez, N.; Blanchet, D.; Couppié, P.; Carme, B.; Aznar, C. Fatal histoplasmosis in a non-HIV patient in French Guiana. J. Mycol. Médicale/J. Med. Mycol. 2012, 22, 189–191. [Google Scholar] [CrossRef]
- Barthes, N.; Morin, F.; Pommierd, S.V.; Briolant, S. Lung nodule in French Guiana in an immunocompetent patient. Med. Sante Trop. 2017, 27, 26. [Google Scholar] [CrossRef]
- Donnelly, J.P.; Chen, S.C.; Kauffman, C.A.; Steinbach, W.J.; Baddley, J.W.; Verweij, P.E.; Clancy, C.J.; Wingard, J.R.; Lockhart, S.R.; Groll, A.H.; et al. Revision and Update of the Consensus Definitions of Invasive Fungal Disease from the European Organization for Research and Treatment of Cancer and the Mycoses Study Group Education and Research Consortium. Clin. Infect. Dis. 2020, 71, 1367–1376. [Google Scholar] [CrossRef]
- Mochi, A.; Edwards, P.Q. Geographical distribution of histoplasmosis and histoplasmin sensitivity. Bull. World Health Organ. 1952, 5, 259–291. [Google Scholar]
- Edwards, P.Q.; Billings, E.L. Worldwide pattern of skin sensitivity to histoplasmin. Am. J. Trop. Med. Hyg. 1971, 20, 288–319. [Google Scholar] [CrossRef]
- Floch, H. Revue critique des investigations et de la littérature mycologiques pour les annés 1946–1956 en Guyane Française. Mycopathol. Mycol. 1957, 8, 194–205. [Google Scholar] [CrossRef]
- Limper, A.H.; Adenis, A.; Le, T.; Harrison, T.S. Fungal infections in HIV/AIDS. Lancet Infect. Dis. 2017, 17, e334–e343. [Google Scholar] [CrossRef]
- Bourgeois, N.; Douard-Enault, C.; Reynes, J.; Lechiche, C.; Basset, D.; Rispail, P.; Lachaud, L. Seven imported histoplasmosis cases due to Histoplasma capsulatum var. capsulatum: From few weeks to more than three decades asymptomatic period. J. Mycol. Med. 2011, 21, 19–23. [Google Scholar] [CrossRef]
- Hanf, M.; Adenis, A.; Couppie, P.; Carme, B.; Nacher, M. HIV-associated histoplasmosis in French Guiana: Recent. infection or reactivation? AIDS 2010, 24, 1777–1778. [Google Scholar] [CrossRef]
- Nacher, M.; Ouedraogo, E.; Succo, T.; Guarmit, B.; Djossou, F.; Stettler, L.; Alvarez, F.; Elenga, N.; Adenis, A.; Couppié, P. L’infection VIH en Guyane, revue historique et tendances actuelles. Bull. Epidémiol. Hebd. 2020, 9, 43–51. [Google Scholar]
- Nacher, M.; Valdes, A.; Adenis, A.; Blaizot, R.; Abboud, P.; Demar, M.; Djossou, F.; Epelboin, L.; Drak Alsibai, K.; Misslin, C.; et al. Heterogeneity of Clinical Presentations and Paraclinical Explorations to Diagnose Disseminated Histoplasmosis in Patients with Advanced HIV: 34 Years of Experience in French Guiana. J. Fungi 2020, 6, 165. [Google Scholar] [CrossRef]
- Nacher, M.; Valdes, A.; Adenis, A.; Blaizot, R.; Abboud, P.; Demar, M.; Djossou, F.; Epelboin, L.; Misslin, C.; Ntab, B.; et al. Disseminated Histoplasmosis in HIV-Infected Patients: A Description of 34 Years of Clinical and Therapeutic Practice. J. Fungi 2020, 6, 164. [Google Scholar] [CrossRef]
- Samaddar, A.; Sharma, A.; Kumar Ph, A.; Srivastava, S.; Shrimali, T.; Gopalakrishnan, M.; Bohra, G.K. Disseminated histoplasmosis in immunocompetent patients from an arid zone in Western India: A case series. Med. Mycol. Case Rep. 2019, 25, 49–52. [Google Scholar] [CrossRef]
- Rahim, M.A.; Zaman, S.; Amin, M.R.; Nazim Uddin, K.; Chowdhury, M.J. Adrenal histoplasmosis among immunocompetent Bangladeshi patients. Trop. Doct. 2019, 49, 132–133. [Google Scholar] [CrossRef]
- Kathuria, S.; Capoor, M.R.; Yadav, S.; Singh, A.; Ramesh, V. Disseminated histoplasmosis in an apparently immunocompetent individual from north India: A case report and review. Med. Mycol. 2013, 51, 774–778. [Google Scholar] [CrossRef] [PubMed]
- Couppié, P.; Herceg, K.; Bourne-Watrin, M.; Thomas, V.; Blanchet, D.; Alsibai, K.D.; Louvel, D.; Djossou, F.; Demar, M.; Blaizot, R.; et al. The Broad Clinical Spectrum of Disseminated Histoplasmosis in HIV-Infected Patients: A 30 Years’ Experience in French Guiana. J. Fungi 2019, 5, 115. [Google Scholar] [CrossRef] [PubMed]



| Place of Birth: | Number/% of patient |
| French Guiana | 16 (47) |
| Mainland France | 7 (21) |
| Brazil | 6 (18) |
| Suriname | 2 (6) |
| Venezuela | 1 (3) |
| Haiti | 1 (3) |
| Italy | 1 (3) |
| Sex: | Number/% of patient |
| Men | 23 (68) |
| Women | 11 (32) |
| Sex ratio: | 2 |
| Age: | Number/Median |
| Children | 3 (7) |
| Men | 21 (54) |
| Women | 10 (70) |
| General Condition: | Number/% of patient |
| WHO performance status score > 2 | 21 (62) |
| WHO performance status score ≤ 2 | 11 (32) |
| Not defined | 2 (6) |
| Number/% of patient | |
| Fever | 19 (56) |
| Clinical Forms: | Number/% of patient |
| Acute disseminated histoplasmosis | 8 (23) |
| Chronic disseminated histoplasmosis | 20 (59) |
| Acute pulmonary histoplasmosis | 1 (3) |
| Chronic pulmonary histoplasmosis | 5 (15) |
| Immunosuppressive Conditions and Diseases Associated with Histoplasmosis | Number of Patients |
|---|---|
| Malignant lymphoid hemopathies | 5 |
| Diabetes | 5 |
| Immunosuppressive drugs | 7 |
| Biologic agents (anti-TNF alpha) | 1 |
| Advanced hepatitis/cirrhosis | 2 |
| Solid organ cancer | 2 |
| Autoimmune disease | 3 |
| HTLV-1 infection | 1 |
| Alcoholism | 3 |
| Specimen | Patients Tested n (%) | Positive Direct Examination (%) | Positive Culture (%) | Positive Cytology (%) | Positive Histology (%) |
|---|---|---|---|---|---|
| Respiratory samples: | 13/34 (38) | 6/11 (54) | |||
| - BAL | 9/13 (69) | 5/7 (71) | 5/7 (71) | ||
| - Tracheobronchial suctioning | 1/13 (7.6) | 1/1 (100) | 1/1 (100) | ||
| - Sputum | 2/13 (15) | 1/2 (50) | 1/2 (50) | ||
| - Biopsy | 1/13 (7.6) | -- | -- | 1/1 (100) | |
| Blood culture | 7/34 (20.5) | -- | 7/7 (100) | -- | |
| Digestive tract biopsy | 5/34 (15) | 3/4 (75) | 3/4 (75) | -- | 4/4 (100) |
| Ascites | 3/34 (9) | 2/3 (66) | 3/3 (100) | -- | |
| Lymph node biopsy | 3/34 (9) | 0/3 (0) | 1/3 (33) | -- | 2/3 (66) |
| Bone marrow aspirate and biopsy | 2/34 (6) | -- | 1/2 (50) | -- | 1/2 (50) |
| Urine | 2/34 (6) | 2/2 (100) | -- | -- | |
| Laryngeal biopsy | 2/34 (6) | 1/2 (50) | 2/2 (100) | -- | 1/2 (50) |
| Cutaneo-mucous biopsy | 2/34 (6) | 2/2 (100) | 2/2 (100) | -- | |
| Synovial fluid | 1/34 (3) | -- | -- | 1 (100) | -- |
| Laboratory Tests | N0/Total/(%) | Median | [Q1; Q3] |
|---|---|---|---|
| Hemoglobin level | -- | 11.4 | [8.8; 12.7] |
| <11.5 g/dL | 17/33 (51.5) | ||
| Neutrophil count | -- | 4.6 | [3.0; 6.1] |
| >7 G/L | 6/32 (18) | ||
| <2 G/L | 3/32 (9) | ||
| Platelets | -- | 227 | [130.0; 332.0] |
| <150 G/L | 10/32 (31) | ||
| Albumin | -- | 30.5 | [25.5; 33.5] |
| <35 g/L | 18/23 (78) | ||
| Protein | -- | 65 | [58.0; 78.0] |
| <60 g/L | 10/29 (34.5) | ||
| Creatinine level | -- | 84.25 | [62.5; 127.2] |
| >100 umol/L | 11/32 (34.5) | ||
| Aspartate aminotransferase (ASAT) level | -- | 30 | [20.5; 70.5] |
| >35 U/L | 13/31 (42) | ||
| Alanine transaminase (ALAT) level | -- | 30 | [12.5; 44.0] |
| >55 U/L | 6/31 (19.5) | ||
| Alkaline phosphatase level | -- | 107.5 | [70.0; 181.7] |
| >150 U/L | 8/31 (26) | ||
| Gamma glutamyltransferase (GGT) level | -- | 54 | [25.5; 136.5] |
| >50 U/L | 17/31 (55) | ||
| Lactate dehydrogenase (LDH) level | -- | 262 | [201.0; 394.0] |
| >300 U/L | 10/27 (37) | ||
| C-reactive protein level | -- | 45.1 | [18.5; 100.5] |
| >5 mg/L | 29/32 (91) |
Disclaimer/Publisher’s Note: The statements, opinions and data contained in all publications are solely those of the individual author(s) and contributor(s) and not of MDPI and/or the editor(s). MDPI and/or the editor(s) disclaim responsibility for any injury to people or property resulting from any ideas, methods, instructions or products referred to in the content. |
© 2024 by the authors. Licensee MDPI, Basel, Switzerland. This article is an open access article distributed under the terms and conditions of the Creative Commons Attribution (CC BY) license (https://creativecommons.org/licenses/by/4.0/).
Share and Cite
Aissaoui, H.; Bourne-Watrin, M.; Lemarie, B.; Guillot, G.; Aboikoni, A.; Chhorn, P.; Gaudard, D.; Hadj-Amara, G.; Manasse, R.; Ouedraogo, M.; et al. Histoplasmosis in Non-HIV Infected Patients: Another Neglected Infection in French Guiana. J. Fungi 2024, 10, 400. https://doi.org/10.3390/jof10060400
Aissaoui H, Bourne-Watrin M, Lemarie B, Guillot G, Aboikoni A, Chhorn P, Gaudard D, Hadj-Amara G, Manasse R, Ouedraogo M, et al. Histoplasmosis in Non-HIV Infected Patients: Another Neglected Infection in French Guiana. Journal of Fungi. 2024; 10(6):400. https://doi.org/10.3390/jof10060400
Chicago/Turabian StyleAissaoui, Houari, Morgane Bourne-Watrin, Benoit Lemarie, Genevieve Guillot, Alolia Aboikoni, Piseth Chhorn, Dana Gaudard, Ghazi Hadj-Amara, Ricardo Manasse, Mahamado Ouedraogo, and et al. 2024. "Histoplasmosis in Non-HIV Infected Patients: Another Neglected Infection in French Guiana" Journal of Fungi 10, no. 6: 400. https://doi.org/10.3390/jof10060400
APA StyleAissaoui, H., Bourne-Watrin, M., Lemarie, B., Guillot, G., Aboikoni, A., Chhorn, P., Gaudard, D., Hadj-Amara, G., Manasse, R., Ouedraogo, M., Salloum, C., Demar, M., Epelboin, L., Kallel, H., Adenis, A., Nacher, M., Drak Alsibai, K., & Louvel, D. (2024). Histoplasmosis in Non-HIV Infected Patients: Another Neglected Infection in French Guiana. Journal of Fungi, 10(6), 400. https://doi.org/10.3390/jof10060400

