Onychomycosis in Foot and Toe Malformations
Abstract
1. Introduction
2. Methods
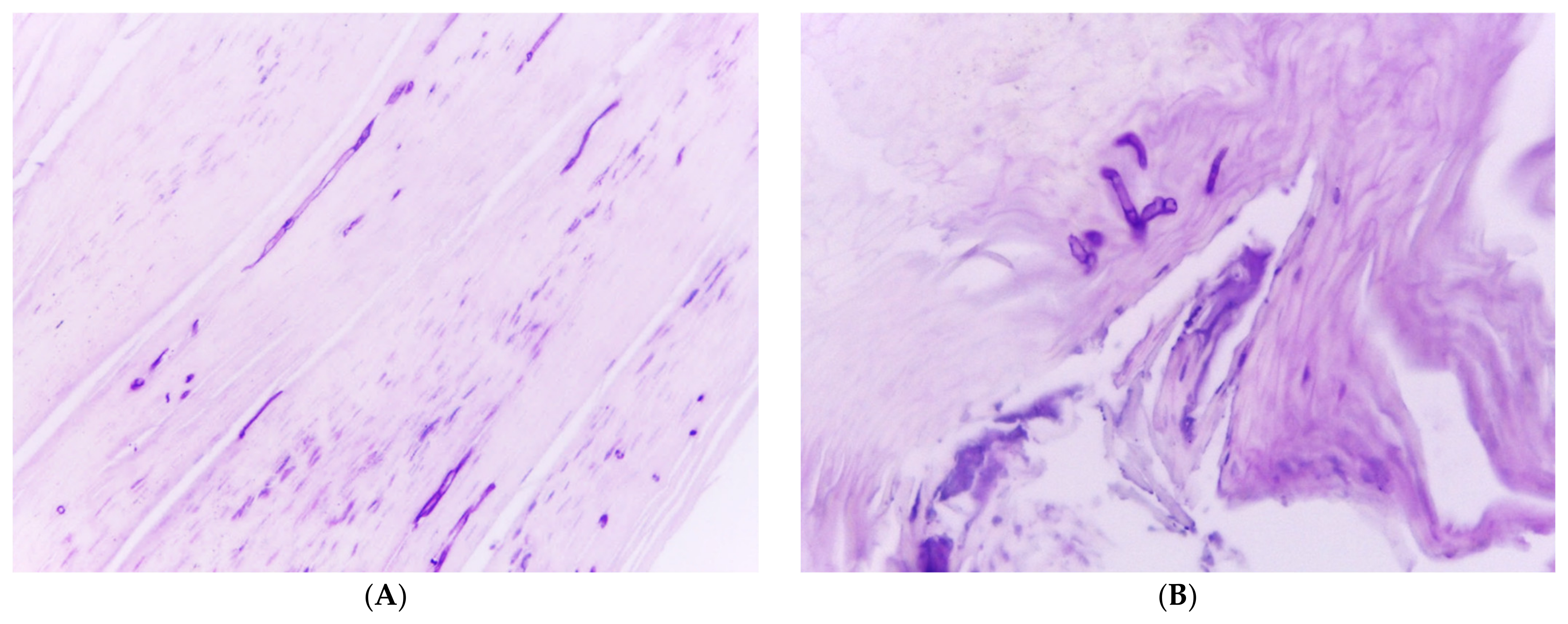
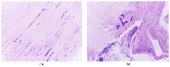
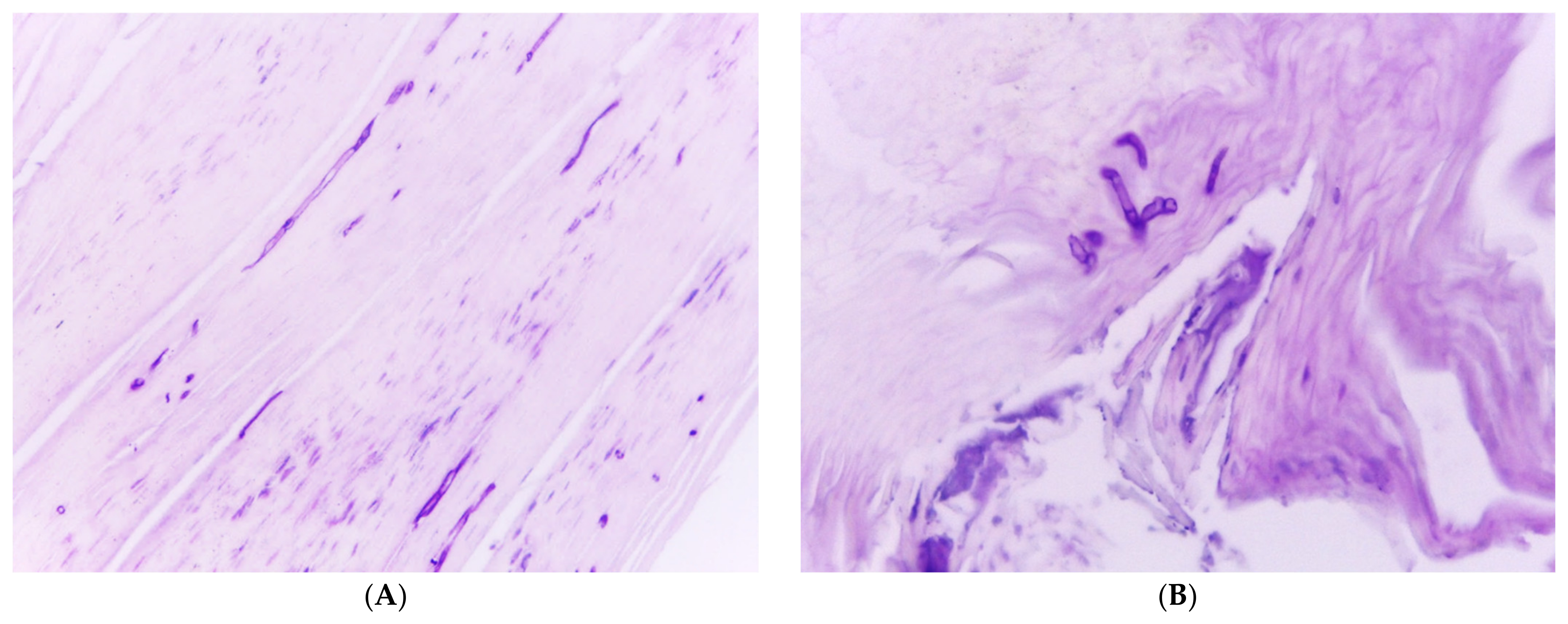
3. Results
4. Discussion
5. Conclusions
5.1. Limitations of the Study
5.2. Strengths of the Study
Funding
Institutional Review Board Statement
Informed Consent Statement
Data Availability Statement
Acknowledgments
Conflicts of Interest
References
- Haneke, E. Epidemiology and pathology of the onychomycoses. In Onychomycoses—Local Antimycotic Treatment; Nolting, S., Korting, H.C., Eds.; Springer: Berlin/Heidelberg, Germany; New York, NY, USA, 1990; pp. 1–11. [Google Scholar]
- Gawdzik, A.; Nowogrodzka, K.; Hryncewicz-Gwóźdź, A.; Szepietowski, J.; Maj, J.; Jankowska-Konsur, A. Epidemiology of dermatophytoses in paediatric population in Southwestern Poland, 2011–2016. Postepy Dermatol. Alergol. 2021, 38, 91–95. [Google Scholar] [CrossRef] [PubMed]
- Kromer, C.; Celis, D.; Hipler, U.C.; Zampeli, V.A.; Mößner, R.; Lippert, U. Dermatophyte infections in children compared to adults in Germany: A retrospective multicenter study in Germany. J. Dtsch. Dermatol. Ges. 2021, 19, 993–1001. [Google Scholar] [CrossRef] [PubMed]
- Gupta, A.K.; Venkataraman, M.; Shear, N.H.; Piguet, V. Onychomycosis in children—Review on treatment and management strategies. J. Dermatolog. Treat. 2022, 33, 1213–1224. [Google Scholar] [CrossRef] [PubMed]
- Lecerf, P.; Abdy, S.; Vollono, L.; Pastushenko, I.; Richert, B.; André, J. Direct examination, histopathology and fungal culture for the diagnosis of onychomycosis: A retrospective, comparative study on 2245 specimens. Mycoses 2021, 64, 187–193. [Google Scholar] [CrossRef] [PubMed]
- Gupta, A.K.; Taborda, V.B.A.; Taborda, P.R.O.; Shemer, A.; Summerbell, R.C.; Nakrieko, K.A. High prevalence of mixed infections in global onychomycosis. PLoS ONE 2020, 15, e0239648. [Google Scholar] [CrossRef] [PubMed]
- Haneke, E. Achilles foot-screening project: Background, objectives and design. J. Eur. Acad. Dermatol. Venereol. 1999, 12 (Suppl. S1), S2–S5. [Google Scholar] [CrossRef] [PubMed]
- Haneke, E.; Roseeuw, D. The scope of onychomycosis: Epidemiology and clinical features. Int. J. Dermatol. 1999, 38 (Suppl. S2), 7–12. [Google Scholar] [CrossRef] [PubMed]
- English, M.P. Trichophyton rubrum infections in families. Br. Med. J. 1957, 2, 744–746. [Google Scholar] [CrossRef]
- Zaias, N.; Tosti, A.; Rebell, G.; Morelli, R.; Bardazzi, F.; Bieley, H.; Zaiac, M.; Glick, B.; Paley, B.; Allevato, M.; et al. Autosomal dominant pattern of distal subungual onychomycosis caused by Trichophyton rubrum. J. Am. Acad. Dermatol. 1996, 34 Pt 1, 302–304. [Google Scholar] [CrossRef] [PubMed]
- Jazdarehee, A.; Malekafzali, L.; Lee, J.; Lewis, R.; Mukovozov, I. Transmission of onychomycosis and dermatophytosis between household members: A scoping review. J. Fungi 2022, 8, 60. [Google Scholar] [CrossRef] [PubMed]
- Zaias, N.; Rebell, G.; Escovar, S. Asymmetric gait nail unit syndrome: The most common worldwide toenail abnormality and onychomycosis. Skinmed 2014, 12, 217–223. [Google Scholar] [PubMed]
- Zaias, N.; Escovar, S.X.; Rebell, G. Opportunistic toenail onychomycosis. The fungal colonization of an available nail unit space by non-dermatophytes is produced by the trauma of the closed shoe by an asymmetric gait or other trauma. A plausible theory. J. Eur. Acad. Dermatol. Venereol. 2014, 28, 1002–1006. [Google Scholar] [CrossRef] [PubMed]
- Haneke, E. Toenails: Where orthopedics and onychology meet. In Advances in Nail Disease and Management; Baran, R., Ed.; Springer Nature: Cham, Switzerland, 2021; pp. 71–86. [Google Scholar]
- Haneke, E. Foot, toe and nail changes—Are they interdependent? Skin Append. Disord. 2024. accepted. [Google Scholar] [CrossRef]
- Haneke, E. Fungal infections of the nail. Semin. Dermatol. 1991, 10, 41–53. [Google Scholar] [PubMed]
- Ogawa, T.; Matsuda, A.; Ogawa, Y.; Tanaka, R. Risk factors for the development of tinea pedis and onychomycosis: Real-world evidence from a single-podiatry center, large-scale database in Japan. J. Dermatol. 2024, 51, 30–39. [Google Scholar] [CrossRef] [PubMed]
- Roseeuw, D. Achilles foot screening project: Preliminary results of patients screened by dermatologists. J. Eur. Acad. Dermatol. Venereol. 1999, 12 (Suppl. S1), S6–S9, discussion S17. [Google Scholar] [CrossRef] [PubMed]
- Adams, C.; Athanasoula, E.; Lee, W.; Mahmudova, N.; Vlahovic, T.C. Environmental and genetic factors on the development of onychomycosis. J. Fungi 2015, 1, 211–216. [Google Scholar] [CrossRef] [PubMed]
- Gupta, A.K.; Sibbald, R.G.; Lynde, C.W.; Hull, P.R.; Prussick, R.; Shear, N.H.; De Doncker, P.; Daniel, C.R., 3rd; Elewski, B.E. Onychomycosis in children: Prevalence and treatment strategies. J. Am. Acad. Dermatol. 1997, 36 Pt 1, 395–402. [Google Scholar] [CrossRef] [PubMed]
- Jha, B.; Sharma, M.; Gc, S.; Sapkota, J. Onychomycosis among clinically suspected cases attending the dermatology out-patient department of a tertiary care centre: A descriptive cross-sectional study. JNMA J. Nepal Med. Assoc. 2021, 59, 450–453. [Google Scholar] [CrossRef]
- Gupta, A.K.; Wang, T.; Cooper, E.A.; Lincoln, S.A.; Foreman, H.C.; Scherer, W.P.; Bakotic, W.L. Clinical diagnosis and laboratory testing of abnormal appearing toenails: A retrospective assessment of confirmatory testing for onychomycosis in the United States, 2022–2023. J. Fungi 2024, 10, 149. [Google Scholar] [CrossRef]
- Walshe, M.M.; English, M.P. Fungi in nails. Br. J. Dermatol. 1966, 78, 198–207. [Google Scholar] [CrossRef] [PubMed]
- English, M.P. Nails and fungi. Br. J. Dermatol. 1976, 94, 697–701. [Google Scholar] [CrossRef] [PubMed]
- Gudnadóttir, G.; Hilmarsdóttir, I.; Sigurgeirsson, B. Onychomycosis in Icelandic swimmers. Acta Derm. Venereol. 1999, 79, 376–377. [Google Scholar] [CrossRef] [PubMed]
- Möhrenschlager, M.; Seidl, H.P.; Schnopp, C.; Ring, J.; Abeck, D. Professional ice hockey players: A high-risk group for fungal infection of the foot? Dermatology 2001, 203, 271. [Google Scholar] [CrossRef] [PubMed]
- Caputo, R.; De Boulle, K.; Del Rosso, J.; Nowicki, R. Prevalence of superficial fungal infections among sports-active individuals: Results from the Achilles survey, a review of the literature. J. Eur. Acad. Dermatol. Venereol. 2001, 15, 312–316. [Google Scholar] [PubMed]
- Jenkins, D.W.; Cooper, K.; O’Connor, R.; Watanabe, L.; Wills, C. Prevalence of podiatric conditions seen in Special Olympics athletes: Structural, biomechanical and dermatological findings. Foot 2011, 21, 15–25. [Google Scholar] [CrossRef] [PubMed]
- Buder, V.; Augustin, M.; Schäfer, I.; Welsch, G.; Catala-Lehnen, P.; Herberger, K. Prävalenz von Dermatomykosen bei Profifußballspielern: Untersuchung im Rahmen der Bundesligatauglichkeitsuntersuchung (2013–2015) im Vergleich mit Daten der Allgemeinbevölkerung [Prevalence of dermatomycoses in professional football players: A study based on data of German Bundesliga fitness check-ups (2013–2015) compared to data of the general population]. Hautarzt 2018, 69, 401–407. [Google Scholar] [CrossRef] [PubMed]
- Kubec, K. Vascular factor in onychomycosis. Acta Univ. Carol. Med. 1979, 25, 247–333. [Google Scholar]
- Shemer, A.; Nathansohn, N.; Kaplan, B.; Trau, H. Toenail abnormalities and onychomycosis in chronic venous insufficiency of the legs: Should we treat? J. Eur. Acad. Dermatol. Venereol. 2008, 22, 279–282. [Google Scholar] [CrossRef] [PubMed]
- Rocha, N.; Velho, G.; Horta, M.; Martins, A.; Massa, A. Cutaneous manifestations of familial amyloidotic polyneuropathy. J. Eur. Acad. Dermatol. Venereol. 2005, 19, 605–607. [Google Scholar] [CrossRef] [PubMed]
- Rich, P. Special patient populations: Onychomycosis in the diabetic patient. J. Am. Acad. Dermatol. 1996, 35 Pt 2, S10–S12. [Google Scholar] [CrossRef]
- Dogra, S.; Kumar, B.; Bhansali, A.; Chakrabarty, A. Epidemiology of onychomycosis in patients with diabetes mellitus in India. Int. J. Dermatol. 2002, 41, 647–651. [Google Scholar] [CrossRef] [PubMed]
- Muniz, E.C.; Rocha, R.M.; Reis, M.L.; Santos, V.L.; Grossi, S.A. Neuropathic and ischemic changes of the foot in Brazilian patients with diabetes. Ostomy Wound Manag. 2003, 49, 60–70, 72–73. [Google Scholar] [PubMed]
- Saunte, D.M.; Holgersen, J.B.; Haedersdal, M.; Strauss, G.; Bitsch, M.; Svendsen, O.L.; Arendrup, M.C.; Svejgaard, E.L. Prevalence of toe nail onychomycosis in diabetic patients. Acta Derm. Venereol. 2006, 86, 425–428. [Google Scholar] [CrossRef] [PubMed]
- Eckhard, M.; Lengler, A.; Liersch, J.; Bretzel, R.G.; Mayser, P. Fungal foot infections in patients with diabetes mellitus—Results of two independent investigations. Mycoses 2007, 50 (Suppl. S2), 14–19. [Google Scholar] [CrossRef] [PubMed]
- Dumont, I.J. Diagnosis and prevalence of onychomycosis in diabetic neuropathic patients: An observational study. J. Am. Podiatr. Med. Assoc. 2009, 99, 135–139. [Google Scholar] [CrossRef] [PubMed]
- Lauterbach, S.; Kostev, K.; Becker, R. Characteristics of diabetic patients visiting a podiatry practice in Germany. J. Wound Care 2010, 19, 140, 142, 144 passim. [Google Scholar] [CrossRef] [PubMed]
- Navarro-Pérez, D.; Tardáguila-García, A.; García-Oreja, S.; López-Moral, M.; García-Madrid, M.; Lázaro-Martínez, J.L. Onychomycosis associated with diabetic foot syndrome: A systematic review. Mycoses 2023, 66, 459–466. [Google Scholar] [CrossRef] [PubMed]
- Kuvandik, G.; Cetin, M.; Genctoy, G.; Horoz, M.; Duru, M.; Akcali, C.; Satar, S.; Kiykim, A.A.; Kaya, H. The prevalance, epidemiology and risk factors for onychomycosis in hemodialysis patients. BMC Infect Dis. 2007, 7, 102. [Google Scholar] [CrossRef] [PubMed]
- Filho, A.M.S.; Ventura, C.G.; Criado, P.R.; Del Negro, G.B.; Freitas, R.S.; Luiz, O.C.; Giudice, M.C.; Neto, E.D.; Benard, G. Hemodialysis and kidney transplantation as predisposing conditions to onychomycosis. Nephron 2017, 137, 38–46. [Google Scholar] [CrossRef] [PubMed]
- Bersano, J.M.Q.B.; Cordeiro, M.G.; Marson, F.A.L. Prevalence and risk predictors of onychomycosis in patients on hemodialysis: An observation, prospective, and unicenter study in Brazil. Front. Med. 2023, 10, 1268324. [Google Scholar] [CrossRef] [PubMed]
- Eftekhari, H.; Haghdar Saheli, Y.; Ashoobi, M.T.; Mahjoob, M.; Kazemnezhad Leyli, E.; Bagheri Toolaroud, P. The prevalence of onychomycosis in patients with chronic renal failure undergoing dialysis: A cross-sectional study. Heliyon 2024, 10, e25737. [Google Scholar] [CrossRef] [PubMed]
- Howard, J.; Sattler, F.; Mahon, R.; Sperling, J.; Leedom, J. Clinical features of 100 human immunodeficiency virus antibody-positive individuals from an alternate test site. Arch. Intern. Med. 1987, 147, 2131–2133. [Google Scholar] [CrossRef] [PubMed]
- Dompmartin, D.; Dompmartin, A.; Deluol, A.M.; Grosshans, E.; Coulaud, J.P. Onychomycosis and AIDS. Clinical and laboratory findings in 62 patients. Int. J. Dermatol. 1990, 29, 337–339. [Google Scholar] [CrossRef] [PubMed]
- Daniel, C.R., 3rd; Norton, L.A.; Scher, R.K. The spectrum of nail disease in patients with human immunodeficiency virus infection. J. Am. Acad. Dermatol. 1992, 27, 93–97. [Google Scholar] [CrossRef] [PubMed]
- Castro, L.Á.; Álvarez, M.I. Nail dermatophytoma in HIV-infected patients in Cali, Colombia. J. Mycol. Med. 2021, 31, 101172. [Google Scholar] [CrossRef] [PubMed]
- Gómez-Moyano, E.; Crespo-Erchiga, V. HIV infection manifesting as proximal white onychomycosis. N. Engl. J. Med. 2017, 377, e26. [Google Scholar] [CrossRef] [PubMed]
- Levy, L.A. Epidemiology of onychomycosis in special-risk populations. J. Am. Podiatr. Med. Assoc. 1997, 87, 546–550. [Google Scholar] [CrossRef] [PubMed]
- Faergemann, J.; Baran, R. Epidemiology, clinical presentation and diagnosis of onychomycosis. Br. J. Dermatol. 2003, 149 (Suppl. S65), 1–4. [Google Scholar] [CrossRef]
- Borba, O.S.M.; Ogawa, M.M.; Kirsztajn, G.M.; Tomimori, J. Onychomycosis in immunocompromised population: Phenotypic and molecular identification. Mycoses 2023, 66, 1018–1024. [Google Scholar] [CrossRef] [PubMed]
- Al-Mutairi, N.; Nour, T.; Al-Rqobah, D. Onychomycosis in patients of nail psoriasis on biologic therapy: A randomized, prospective open label study comparing Etanercept, Infliximab and Adalimumab. Expert Opin. Biol. Ther. 2013, 13, 625–629. [Google Scholar] [CrossRef] [PubMed]
- Andersen, P.L.; Henning, M.A.S.; Jemec, G.B.E.; Arendrup, M.C.; Saunte, D.M. Two cases of proximal subungual onychomycosis caused by trichophyton rubrum in HIV-negative patients during treatment with TNF-α inhibitors combined with methotrexate. Acta Dermatovenerol. Croat. 2018, 26, 304–306. [Google Scholar] [PubMed]
- Alves, N.C.P.O.P.; Moreira, T.A.; Malvino, L.D.S.; Rodrigues, J.J.; Ranza, R.; de Araújo, L.B.; Pedroso, R.D.S. Onychomycosis in psoriatic patients with nail disorders: Aetiological agents and immunosuppressive therapy. Dermatol. Res. Pract. 2020, 2020, 7209518. [Google Scholar] [CrossRef] [PubMed]
- Chularojanamontri, L.; Pattanaprichakul, P.; Leeyaphan, C.; Suphatsathienkul, P.; Wongdama, S.; Bunyaratavej, S. Overall prevalence and prevalence compared among psoriasis treatments of onychomycosis in patients with nail psoriasis and fungal involvement. Biomed. Res. Int. 2021, 2021, 9113418. [Google Scholar] [CrossRef] [PubMed]
- Murray, S.C.; Dawber, R.P. Onychomycosis of toenails: Orthopaedic and podiatric considerations. Australas. J. Dermatol. 2002, 43, 105–112. [Google Scholar] [CrossRef] [PubMed]
- McGonagle, D.; Tan, A.L.; Benjamin, M. The nail as a musculoskeletal appendage—Implications for an improved understanding of the link between psoriasis and arthritis. Dermatology 2009, 218, 97–102. [Google Scholar] [CrossRef] [PubMed]
- Ash, Z.; McGonagle, D. Joint appendages: The structures which have historically been overlooked in arthritis research and therapy development. Best Pract. Res. Clin. Rheumatol. 2011, 25, 779–784. [Google Scholar] [CrossRef] [PubMed]
- Haneke, E. Anatomy of the nail unit and the nail biopsy. Semin. Cutan. Med. Surg. 2015, 34, 95–100. [Google Scholar] [CrossRef] [PubMed]
- Braswell, M.A.; Daniel, C.R., 3rd; Brodell, R.T. Beau lines, onychomadesis, and retronychia: A unifying hypothesis. J. Am. Acad. Dermatol. 2015, 73, 849–855. [Google Scholar] [CrossRef]
- Buttars, B.; Scott, S.G.; Glinka, D.; Daniel, C.R.; Brodell, R.T.; Braswell, M.A. Congenital malalignment of the great toenail, the disappearing nail bed, and distal phalanx deviation: A review. Skin Appendage Disord. 2022, 8, 8–12. [Google Scholar] [CrossRef] [PubMed]
- Arai, H.; Arai, T.; Nakajima, H.; Haneke, E. Formable acrylic treatment for ingrowing nail with gutter splint and sculptured nail. Int. J. Dermatol. 2004, 43, 759–765. [Google Scholar] [CrossRef] [PubMed]
- Haneke, E. Controversies in the treatment of ingrown nails. Dermatol. Res. Pract. 2012, 2012, 783924. [Google Scholar] [CrossRef] [PubMed]
- Daniel, C.R., 3rd; Tosti, A.; Iorizzo, M.; Piraccini, B.M. The disappearing nail bed: A possible outcome of onycholysis. Cutis 2005, 76, 325–327. [Google Scholar] [PubMed]
- Zaias, N.; Escovar, S.X.; Zaiac, M.N.; Edwards, R.; Dutra, M.; Pona, A.; Rio, E.D.; Jungcharoensukying, P. Onychomycosis, the active invasion of a normal nail unit by a dermatophytic versus the colonization of an existing abnormal nail unit by environmental fungus. Skinmed 2020, 18, 18–22. [Google Scholar] [PubMed]
- Kim, J.K.; Chung, H.C.; Chun, E.J.; Kim, S.; Kim, C.W. Correlation between nail thickness and onychomycosis: Misuse of antifungal agents in patients with thick nails. Ann. Dermatol. 2024, 36, 123–124. [Google Scholar] [CrossRef] [PubMed]
- Drake, L.A.; Patrick Dl Fleckman, P.; Andre, J.; Baran, R.; Haneke, E.; Sapede, C.; Tosti, A. The impact of onychomycosis on quality of life: Development of an international onychomycosis-specific questionnaire to measure patient quality of life. J. Am. Acad. Dermatol. 1999, 41, 189–196. [Google Scholar] [CrossRef] [PubMed]
- Vlahovic, T.C. Onychomycosis: Evaluation, treatment options, managing recurrence, and patient outcomes. Clin. Podiatr. Med. Surg. 2016, 33, 305–318. [Google Scholar] [CrossRef] [PubMed]
- Sommer, S.; Sheehan-Dare, R.A.; Goodfield, M.J.; Evans, E.G. Prediction of outcome in the treatment of onychomycosis. Clin. Exp. Dermatol. 2003, 28, 425–428. [Google Scholar] [CrossRef] [PubMed]
- Evans, E.G. The rationale for combination therapy. Br. J. Dermatol. 2001, 145 (Suppl. S60), 9–13. [Google Scholar] [CrossRef] [PubMed]
- Roberts, D.T.; Evans, E.G. Subungual dermatophytoma complicating dermatophyte onychomycosis. Br. J. Dermatol. 1998, 138, 189–190. [Google Scholar] [CrossRef] [PubMed]
- Burkhart, C.N.; Burkhart, C.G.; Gupta, A.K. Dermatophytoma: Recalcitrance to treatment because of existence of fungal biofilm. J. Am. Acad. Dermatol. 2002, 47, 629–631. [Google Scholar] [CrossRef] [PubMed]
- Markantonatou, A.M.; Samaras, K.; Vyzantiadis, T.A. Dermatophytic biofilms: Characteristics, significance and treatment approaches. J. Fungi 2023, 9, 228. [Google Scholar] [CrossRef] [PubMed]
- Haneke, E. Nail psoriasis: Clinical features, pathogenesis, differential diagnoses, and management. Psoriasis 2017, 7, 51–63. [Google Scholar] [CrossRef] [PubMed]
- Haneke, E. Differential diagnosis of nail psoriasis and onychomycoses: A report based on 40 years of specialised nail consultations. EMJ Dermatol. 2020. [Google Scholar] [CrossRef]
- Aldana-Caballero, A.; Mayordomo, R.; Marcos-Tejedor, F. Assessment of visual diagnosis by podiatrists for HPV and onychomycosis: The need for complementary tests. J. Fungi 2022, 8, 135. [Google Scholar] [CrossRef] [PubMed]

















| Age [Years] | Gender | |
|---|---|---|
| Female 84 (45.4%) | Male 101 * (54.6%) | |
| 0–9 | 1 | 1 |
| 10–19 | 4 | 2 |
| 20–29 | 9 | 10 |
| 30–39 | 11 | 5 |
| 40–49 | 22 | 23 |
| 50–59 | 19 | 24 |
| 60–69 | 13 | 20 |
| 70–79 | 5 | 14 |
| >80 | 0 | 1 |
| Number | Percent | |
|---|---|---|
| Normal straight toe | 9 | 5 |
| Hallux valgus (HV) | 105 | 58.6 |
| Hallux valgus interphalangeus (HVI) | 143 | 78.1 |
| HV plus HVI | 83 | 44.9 |
| Hallux erectus (HE) | 43 | 23.2 |
| HV + HVI + HE | 25 | 10.8 |
| HVI + HE | 6 | 3.2 |
Disclaimer/Publisher’s Note: The statements, opinions and data contained in all publications are solely those of the individual author(s) and contributor(s) and not of MDPI and/or the editor(s). MDPI and/or the editor(s) disclaim responsibility for any injury to people or property resulting from any ideas, methods, instructions or products referred to in the content. |
© 2024 by the author. Licensee MDPI, Basel, Switzerland. This article is an open access article distributed under the terms and conditions of the Creative Commons Attribution (CC BY) license (https://creativecommons.org/licenses/by/4.0/).
Share and Cite
Haneke, E. Onychomycosis in Foot and Toe Malformations. J. Fungi 2024, 10, 399. https://doi.org/10.3390/jof10060399
Haneke E. Onychomycosis in Foot and Toe Malformations. Journal of Fungi. 2024; 10(6):399. https://doi.org/10.3390/jof10060399
Chicago/Turabian StyleHaneke, Eckart. 2024. "Onychomycosis in Foot and Toe Malformations" Journal of Fungi 10, no. 6: 399. https://doi.org/10.3390/jof10060399
APA StyleHaneke, E. (2024). Onychomycosis in Foot and Toe Malformations. Journal of Fungi, 10(6), 399. https://doi.org/10.3390/jof10060399