Three-Dimensional Adaptive Image Compression Concept for Medical Imaging: Application to Computed Tomography Angiography for Peripheral Arteries
Abstract
:1. Introduction
2. Materials and Methods
3. Results
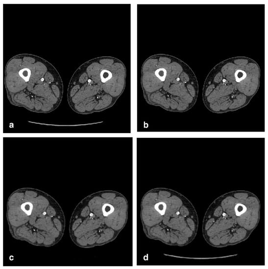
3.1. Image Quality
3.2. Image Size Reduction
4. Discussion
5. Conclusions
Author Contributions
Funding
Institutional Review Board Statement
Informed Consent Statement
Data Availability Statement
Acknowledgments
Conflicts of Interest
References
- Samei, E.; Seibert, J.A.; Andriole, K.; Badano, A.; Crawford, J.; Reiner, B.; Flynn, M.J.; Chang, P. AAPM/RSNA tutorial on equipment selection: PACS equipment overview: General guidelines for purchasing and acceptance testing of PACS equipment. Radiographics 2004, 24, 313–334. [Google Scholar] [CrossRef] [PubMed] [Green Version]
- Cao, X.; Huang, H.K. Current status and future advances of digital radiography and PACS. IEEE Eng. Med. Biol. Mag. 2000, 19, 80–88. [Google Scholar] [CrossRef] [PubMed]
- Dehmeshki, J.; Ion, A.; Ellis, T.J.; Doenz, F.; Jouannic, A.-M.; Qanadli, S. Computer Aided Detection and Measurement of Peripheral Artery Disease. Stud. Health Technol. Inform. 2014, 205, 1153–1157. [Google Scholar] [PubMed]
- Rotzinger, D.C.; Lu, T.-L.; Kawkabani, A.; Marques-Vidal, P.-M.; Fetz, G.; Qanadli, S.D. Computed Tomography Angiography in Peripheral Arterial Disease: Comparison of Three Image Acquisition Techniques to Optimize Vascular Enhancement—Randomized Controlled Trial. Front. Cardiovasc. Med. 2020, 7, 68. [Google Scholar] [CrossRef] [PubMed]
- Krishnan, K.; Marcellin, M.W.; Bilgin, A.; Nadar, M.S. Efficient transmission of compressed data for remote volume visualization. IEEE Trans. Med. Imaging 2006, 25, 1189–1199. [Google Scholar] [CrossRef]
- Martini, M.G.; Istepanian, R.S.; Mazzotti, M.; Philip, N. Robust multilayer control for enhanced wireless telemedical video streaming. IEEE Trans. Mob. Comput. 2009, 9, 5–16. [Google Scholar] [CrossRef] [Green Version]
- Martini, M.G.; Mazzotti, M. Quality driven wireless video transmission for medical applications. In Proceedings of the 2006 International Conference of the IEEE Engineering in Medicine and Biology Society, York, NY, USA, 30 August–3 September 2006; Volume 2006, pp. 3254–3257. [Google Scholar] [CrossRef]
- Martini, M.G. Wireless broadband multimedia health services: Current status and emerging concepts. In Proceedings of the 2008 IEEE 19th International Symposium on Personal, Indoor and Mobile Radio Communications, Cannes, France, 15–18 September 2008; pp. 1–6. [Google Scholar]
- Chan, H.Y.; Sari-Sarraf, H.; Grinstead, B.; Gleason, S.S. Content-based compression of mammograms with fractal-based segmentation and a modified JPEG2000. Opt. Eng. 2004, 43, 2986–2993. [Google Scholar] [CrossRef]
- Anastassopoulos, G.K.; Skodras, A. JPEG2000 ROI coding in medical imaging applications. In Proceedings of the Proc. 2nd IASTED Int. Conf. on Visualisation, Imaging and Image Processing (VIIP2002), Malaga, Spain, 9–12 September 2002; pp. 783–788. [Google Scholar]
- Ansari, M.; Anand, R. Context based medical image compression for ultrasound images with contextual set partitioning in hierarchical trees algorithm. Adv. Eng. Softw. 2009, 40, 487–496. [Google Scholar] [CrossRef]
- Bartrina-Rapesta, J.; Serra-Sagristà, J.; Auli-Llinas, F. JPEG2000 ROI coding through component priority for digital mammography. Comput. Vis. Image Underst. 2011, 115, 59–68. [Google Scholar] [CrossRef] [Green Version]
- Kim, B.; Lee, K.H.; Kim, K.J.; Richter, T.; Kang, H.S.; Kim, S.Y.; Kim, Y.H.; Seo, J. JPEG2000 3D compression vs. 2D compression: An assessment of artifact amount and computing time in compressing thin-section abdomen CT images. Med. Phys. 2009, 36, 835–844. [Google Scholar] [CrossRef]
- Kim, K.J.; Lee, K.H.; Kim, B.; Richter, T.; Yun, I.D.; Lee, S.U.; Bae, K.T.; Shim, H. JPEG2000 2D and 3D reversible compressions of thin-section chest CT images: Improving compressibility by increasing data redundancy outside the body region. Radiology 2011, 259, 271–277. [Google Scholar] [CrossRef] [PubMed] [Green Version]
- Ringl, H.; Schernthaner, R.; Sala, E.; El-Rabadi, K.; Weber, M.; Schima, W.; Herold, C.J.; Dixon, A.K. Lossy 3D JPEG2000 compression of abdominal CT images in patients with acute abdominal complaints: Effect of compression ratio on diagnostic confidence and accuracy. Radiology 2008, 248, 476–484. [Google Scholar] [CrossRef] [PubMed]
- Tahoces, P.G.; Varela, J.R.; Lado, M.J.; Souto, M. Image compression: Maxshift ROI encoding options in JPEG2000. Comput. Vis. Image Underst. 2008, 109, 139–145. [Google Scholar] [CrossRef]
- Zukoski, M.J.; Boult, T.; Iyriboz, T. A novel approach to medical image compression. Int. J. Bioinform. Res. Appl. 2006, 2, 89–103. [Google Scholar] [CrossRef] [PubMed] [Green Version]
- Kumar, S.N.; Ahilan, A.; Haridhas, A.K.; Sebastian, J. Gaussian Hermite polynomial based lossless medical image compression. Multimed. Syst. 2021, 27, 15–31. [Google Scholar] [CrossRef]
- Gao, Z.; Chung, J.; Abdelrazek, M.; Leung, S.; Hau, W.K.; Xian, Z.; Zhang, H.; Li, S. Privileged Modality Distillation for Vessel Border Detection in Intracoronary Imaging. IEEE Trans. Med. Imaging 2020, 39, 1524–1534. [Google Scholar] [CrossRef] [PubMed]
- Gao, Z.; Wang, X.; Sun, S.; Wu, D.; Bai, J.; Yin, Y.; Liu, X.; Zhang, H.; de Albuquerque, V.H.C. Learning physical properties in complex visual scenes: An intelligent machine for perceiving blood flow dynamics from static CT angiography imaging. Neural Netw. 2020, 123, 82–93. [Google Scholar] [CrossRef]
- Lee, K.H.; Kim, Y.H.; Kim, B.H.; Kim, K.J.; Kim, T.J.; Kim, H.J.; Hahn, S. Irreversible JPEG 2000 compression of abdominal CT for primary interpretation: Assessment of visually lossless threshold. Eur. Radiol. 2007, 17, 1529–1534. [Google Scholar] [CrossRef]
- Seeram, E. Irreversible compression in digital radiology. A literature review. Radiography 2006, 12, 45–59. [Google Scholar] [CrossRef]
- Christopoulos, C.; Skodras, A.; Ebrahimi, T. The JPEG2000 still image coding system: An overview. IEEE Trans. Consum. Electron. 2000, 46, 1103–1127. [Google Scholar] [CrossRef] [Green Version]
- Rabbani, M.; Joshi, R. An overview of the JPEG 2000 still image compression standard. Signal. Process. Image Commun. 2002, 17, 3–48. [Google Scholar] [CrossRef]
- Dehmeshki, J.; Amin, H.; Valdivieso, M.; Ye, X. Segmentation of pulmonary nodules in thoracic CT scans: A region growing approach. IEEE Trans. Med. Imaging 2008, 27, 467–480. [Google Scholar] [CrossRef] [PubMed] [Green Version]
- Ion, A.; Dehmeshki, J.; Amin, H.; Jouannic, A.; Qanadli, S. Automated detection of peripheral arteries in CTA datasets. In Proceedings of the 2010 Fourth International Conference on Digital Society, Washington, DC, USA, 10–16 February 2010; pp. 290–293. [Google Scholar]
- Chen, Y.Y. Medical images compression for remote diagnosis using modified SPIHT data organization and fidelity enhancement filter. Int. J. Imaging Syst. Technol. 2007, 17, 49–61. [Google Scholar] [CrossRef]
- Sheikh, H.R.; Bovik, A.C. Image information and visual quality. IEEE Trans. Image Process. 2006, 15, 430–444. [Google Scholar] [CrossRef] [PubMed]
- Wang, Z.; Bovik, A.C.; Sheikh, H.R.; Simoncelli, E.P. Image quality assessment: From error visibility to structural similarity. IEEE Trans. Image Process. 2004, 13, 600–612. [Google Scholar] [CrossRef] [PubMed] [Green Version]
- Li, M.; Poovendran, R.; Narayanan, S. Protecting patient privacy against unauthorized release of medical images in a group communication environment. Comput. Med. Imaging Graph. 2005, 29, 367–383. [Google Scholar] [CrossRef]
- Huynh-Thu, Q.; Garcia, M.-N.; Speranza, F.; Corriveau, P.; Raake, A. Study of rating scales for subjective quality assessment of high-definition video. IEEE Trans. Broadcast. 2010, 57, 1–14. [Google Scholar] [CrossRef]
- Hoßfeld, T.; Heegaard, P.E.; Varela, M.; Möller, S. QoE beyond the MOS: An in-depth look at QoE via better metrics and their relation to MOS. Qual. User Exp. 2016, 1, 1–23. [Google Scholar] [CrossRef] [Green Version]
- Sullivan, G.J.; Topiwala, P.N.; Luthra, A. The H. 264/AVC advanced video coding standard: Overview and introduction to the fidelity range extensions. In Proceedings of the Applications of Digital Image Processing XXVII, Denver, CO, USA, 2–6 August 2004; pp. 454–474. [Google Scholar]
- Firoozbakht, M. Regions-of-Interest-Driven Medical Image Compression; Kingston University: Kingston, UK, 2014. [Google Scholar]
- Starosolski, R. Employing new hybrid adaptive wavelet-based transform and histogram packing to improve JP3D compression of volumetric medical images. Entropy 2020, 22, 1385. [Google Scholar] [CrossRef]
- Ma, S.; Zhang, X.; Jia, C.; Zhao, Z.; Wang, S.; Wang, S. Image and video compression with neural networks: A review. IEEE Trans. Circuits Syst. Video Technol. 2019, 30, 1683–1698. [Google Scholar] [CrossRef] [Green Version]
- Taghanaki, S.A.; Abhishek, K.; Cohen, J.P.; Cohen-Adad, J.; Hamarneh, G. Deep semantic segmentation of natural and medical images: A review. Artif. Intell. Rev. 2021, 54, 137–178. [Google Scholar] [CrossRef]
- Hanna, T.N.; Steenburg, S.D.; Rosenkrantz, A.B.; Pyatt, R.S., Jr.; Duszak, R., Jr.; Friedberg, E.B. Emerging challenges and opportunities in the evolution of teleradiology. Am. J. Roentgenol. 2020, 215, 1411–1416. [Google Scholar] [CrossRef] [PubMed]
- Kumar, S.; Fred, A.L.; Miriam, L.J.; Padmanabhan, P.; Gulyás, B.; Ajay, K.H. Applications of Image Processing in Teleradiology for the Medical Data Analysis and Transfer Based on IOT. Machine Learning Approaches for Convergence of IoT and Blockchain. 2021, pp. 175–204. Available online: https://onlinelibrary.wiley.com/doi/10.1002/9781119761884.ch8 (accessed on 23 July 2021).





| Score | Quality | Impairment |
|---|---|---|
| 5 | Excellent | Imperceptible |
| 4 | Good | Perceptible but not annoying |
| 3 | Fair | Slightly annoying |
| 2 | Poor | Annoying |
| 1 | Bad | Very annoying |
| Slice No. | PSNRMVAR | PSNRMFIX | PSNRJP2K | MSEMVAR | MSEMFIX | MSEJP2K |
|---|---|---|---|---|---|---|
| 1 | 40.70 | 19.31 | 31.00 | 5.52 | 761.83 | 51.59 |
| 100 | 40.25 | 23.96 | 31.43 | 6.13 | 260.86 | 46.71 |
| 200 | 41.78 | 21.43 | 32.92 | 4.31 | 466.91 | 33.14 |
| 300 | 42.10 | 23.46 | 35.47 | 4.00 | 292.95 | 18.44 |
| 400 | 40.46 | 42.51 | 39.96 | 5.83 | 3.64 | 6.55 |
| 500 | 40.98 | 78 | 41.28 | 5.18 | 0.001 | 4.83 |
| 600 | 54.02 | 78 | 40.38 | 0.25 | 0.001 | 5.95 |
| 700 | 43.29 | 78 | 42.43 | 3.04 | 0.001 | 3.71 |
| 800 | 54.89 | 78 | 44.13 | 0.21 | 0.001 | 2.50 |
| 900 | 57.85 | 78 | 42.79 | 0.10 | 0.001 | 3.42 |
| 1000 | 56.29 | 78 | 45.01 | 0.15 | 0.001 | 2.05 |
| Method | Average Slice Size (kB) | Average MSE |
|---|---|---|
| Proposed method with variable bit rate (MVAR) | 71.15 | 3.29 |
| Proposed method with fixed bit rate (MFIX) | 61.59 | 127.16 |
| Lossy JPEG2000 without ROI | 73.46 | 13.86 |
| Dataset | Number of Slices | Avg. MOSMVAR | Avg. MOSMFIX | Avg. MOSJP2K |
|---|---|---|---|---|
| Dataset 1 | 1038 | 5 | 2.7 | 4 |
| Dataset 2 | 0985 | 5 | 2.8 | 4.3 |
| Dataset 3 | 1046 | 5 | 2.9 | 4.2 |
| Dataset 4 | 1000 | 5 | 3.0 | 4.3 |
| Dataset 5 | 1029 | 5 | 3.0 | 4.2 |
| Dataset 6 | 1034 | 5 | 2.7 | 4.1 |
| Dataset 7 | 0990 | 5 | 3.0 | 4.4 |
| Dataset 8 | 1009 | 5 | 2.6 | 4.3 |
| Dataset 9 | 1000 | 5 | 2.8 | 4 |
| Dataset 10 | 0986 | 5 | 3.1 | 4.1 |
| Method | Avg. Slice Size (kB) | Avg. CR |
|---|---|---|
| Original file | 512 | 1:1 |
| Lossless JPEG2000 | 145.95 | 3.5:1 |
| Lossless JP3D | 142.78 | 3.6:1 |
| Lossless H.264 | 170.3 | 3:1 |
| Proposed method with variable bit rate (MVAR) | 56.44 | 9:1 |
Publisher’s Note: MDPI stays neutral with regard to jurisdictional claims in published maps and institutional affiliations. |
© 2022 by the authors. Licensee MDPI, Basel, Switzerland. This article is an open access article distributed under the terms and conditions of the Creative Commons Attribution (CC BY) license (https://creativecommons.org/licenses/by/4.0/).
Share and Cite
Fahrni, G.; Rotzinger, D.C.; Nakajo, C.; Dehmeshki, J.; Qanadli, S.D. Three-Dimensional Adaptive Image Compression Concept for Medical Imaging: Application to Computed Tomography Angiography for Peripheral Arteries. J. Cardiovasc. Dev. Dis. 2022, 9, 137. https://doi.org/10.3390/jcdd9050137
Fahrni G, Rotzinger DC, Nakajo C, Dehmeshki J, Qanadli SD. Three-Dimensional Adaptive Image Compression Concept for Medical Imaging: Application to Computed Tomography Angiography for Peripheral Arteries. Journal of Cardiovascular Development and Disease. 2022; 9(5):137. https://doi.org/10.3390/jcdd9050137
Chicago/Turabian StyleFahrni, Guillaume, David C. Rotzinger, Chiaki Nakajo, Jamshid Dehmeshki, and Salah Dine Qanadli. 2022. "Three-Dimensional Adaptive Image Compression Concept for Medical Imaging: Application to Computed Tomography Angiography for Peripheral Arteries" Journal of Cardiovascular Development and Disease 9, no. 5: 137. https://doi.org/10.3390/jcdd9050137
APA StyleFahrni, G., Rotzinger, D. C., Nakajo, C., Dehmeshki, J., & Qanadli, S. D. (2022). Three-Dimensional Adaptive Image Compression Concept for Medical Imaging: Application to Computed Tomography Angiography for Peripheral Arteries. Journal of Cardiovascular Development and Disease, 9(5), 137. https://doi.org/10.3390/jcdd9050137

