A Rare Case of Haemophilus Influenzae Serotype F Endocarditis Complicated by Concurrent Cardiogenic and Septic Shock: A Case of Challenging Management
Abstract
1. History of Presentation
2. Past Medical History
3. Differential Diagnosis
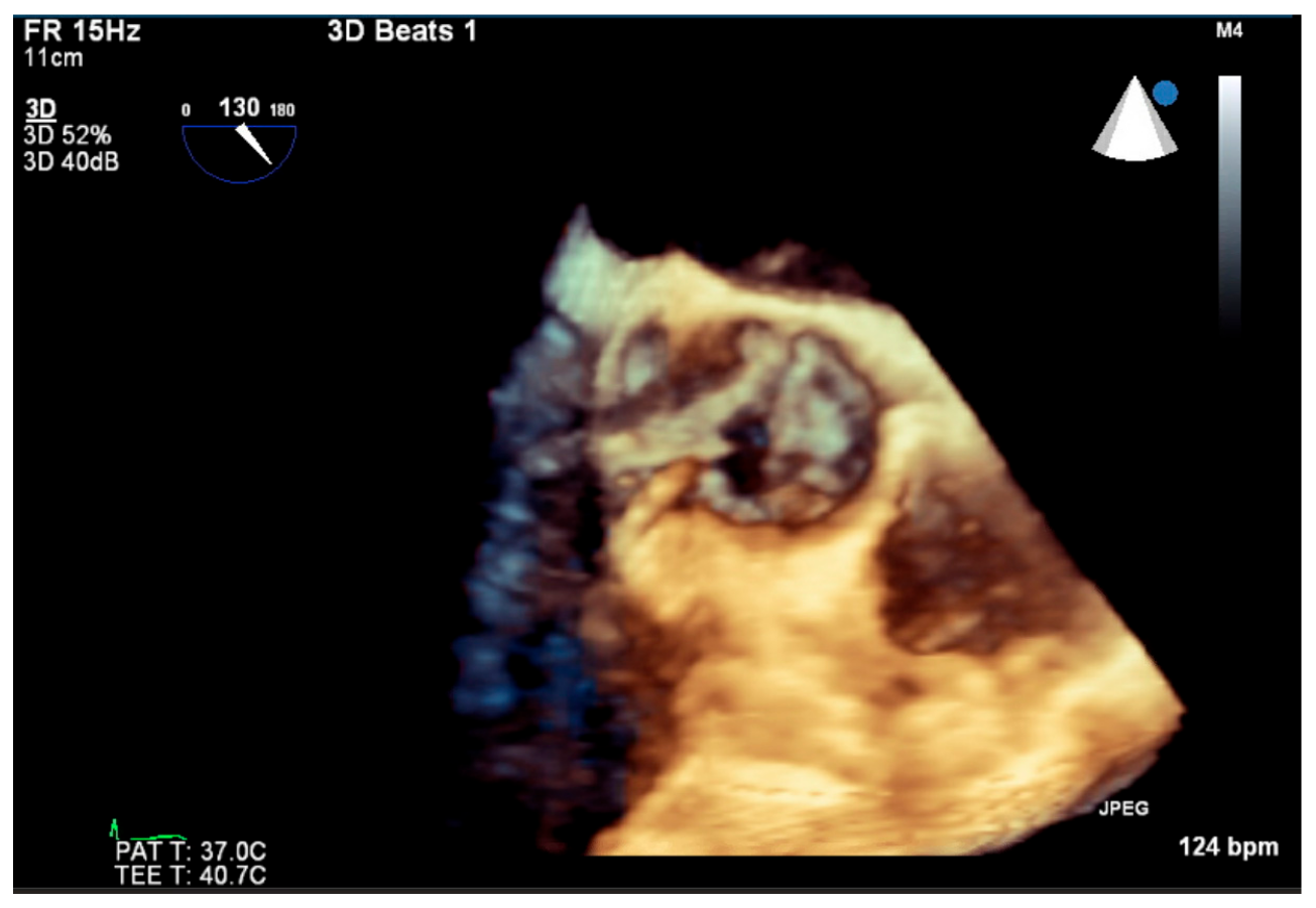
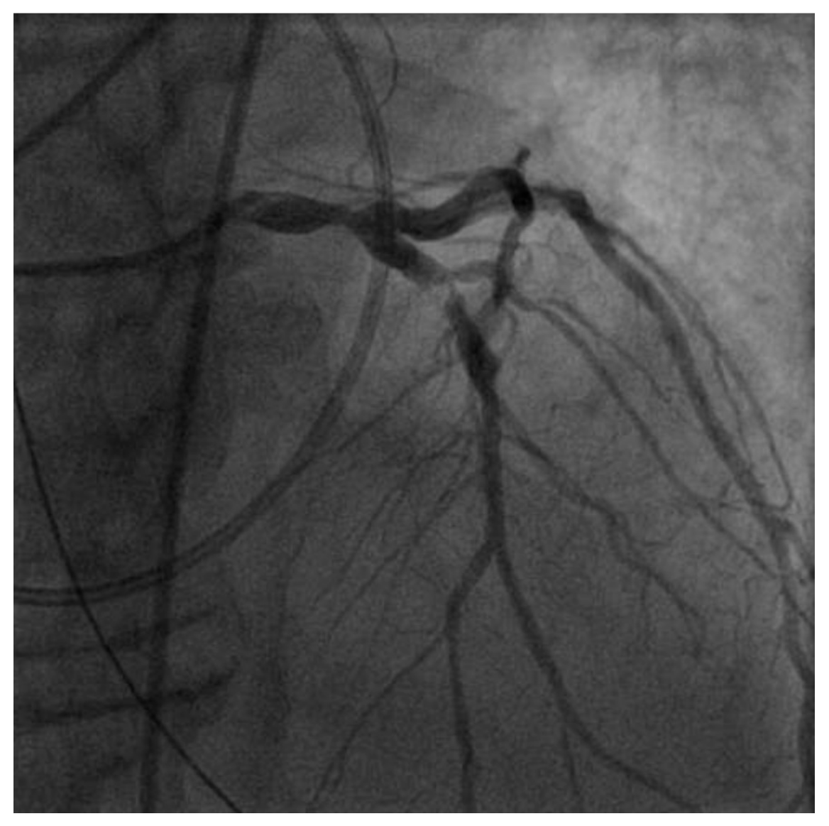
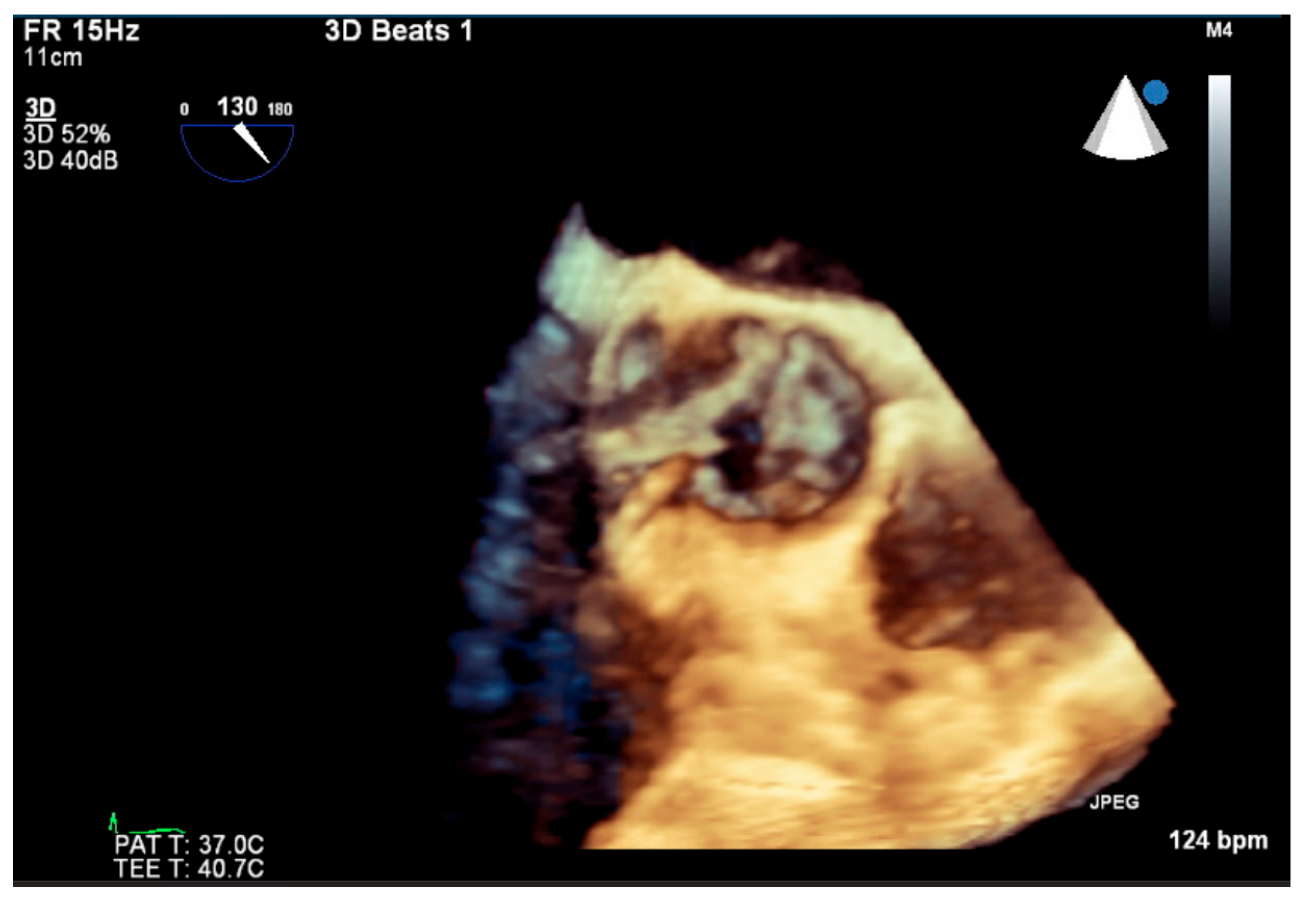
4. Investigations
5. Management (Medical/Interventions)
6. Discussion—Association with Current Guidelines/Position Papers/Current Practice
7. Follow-Up
8. Conclusions
Author Contributions
Funding
Institutional Review Board Statement
Informed Consent Statement
Data Availability Statement
Conflicts of Interest
Disclosures
References
- Petti, C.A.; Bhally, H.S.; Weinstein, M.P.; Joho, K.; Wakefield, T.; Reller, L.B.; Carroll, K.C. Utility of Extended Blood Culture Incubation for Isolation of Haemophilus, Actinobacillus, Cardiobacterium, Eikenella, and Kingella Organisms: A Retrospective Multicenter Evaluation. J. Clin. Microbiol. 2006, 44, 257–259. [Google Scholar] [CrossRef] [PubMed]
- Lützen, L.; Olesen, B.; Voldstedlund, M.; Christensen, J.J.; Moser, C.; Knudsen, J.D.; Fuursted, K.; Hartmeyer, G.N.; Chen, M.; Søndergaard, T.S.; et al. Incidence of HACEK bacteraemia in Denmark: A 6-year population-based study. Int. J. Infect. Dis. 2018, 68, 83–87. [Google Scholar] [CrossRef] [PubMed]
- Livorsi, D.J.; MacNeil, J.R.; Cohn, A.C.; Bareta, J.; Zansky, S.; Petit, S.; Gershman, K.; Harrison, L.H.; Lynfield, R.; Reingold, A.; et al. Invasive Haemophilus influenzae in the United States, 1999–2008: Epidemiology and outcomes. J. Infect. 2012, 65, 496–504. [Google Scholar] [CrossRef] [PubMed]
- Whittaker, R.; Economopoulou, A.; Dias, J.G.; Bancroft, E.; Ramliden, M.; Celentano, L.P.; European Centre for Disease Prevention and Control Country Experts for Invasive Haemophilus influenzae Disease. Epidemiology of Invasive Haemophilus influenzae Disease, Europe, 2007–2014. Emerg. Infect. Dis. 2017, 23, 396–404. [Google Scholar] [CrossRef] [PubMed]
- Ladhani, S.N.; Collins, S.; Vickers, A.; Litt, D.J.; Crawford, C.; Ramsay, M.E.; Slack, M.P. Invasive Haemophilus influenzae Serotype e and f Disease, England and Wales. Emerg. Infect. Dis. 2012, 18, 725–732. [Google Scholar] [CrossRef] [PubMed]
- Frayha, H.H.; Kalloghlian, A.K.; Demoor, M.M.A. Endocarditis Due to Haemophilus influenzae Serotype f. Clin. Infect. Dis. 1996, 23, 401–402. [Google Scholar] [CrossRef] [PubMed][Green Version]
- Oikonomou, K.; Alhaddad, B.; Kelly, K.; Rajmane, R.; Apergis, G. Haemophilus influenzae serotype f endocarditis and septic arthritis. IDCases 2017, 9, 79–81. [Google Scholar] [CrossRef] [PubMed]
- Noyes, A.M.; Ramu, B.; Parker, M.; Underhill, D.; Gluck, J. Extracorporeal membrane oxygenation (ecmo) as bridge-to-surgery for infective endocarditis. J. Am. Coll. Cardiol. 2014, 63, A670. [Google Scholar] [CrossRef][Green Version]
- John, S.G.; William, P.; Murugapandian, S.; Thajudeen, B. Outcome of Patients with Infective Endocarditis Who Were Treated with Extracorporeal Membrane Oxygenation and Continuous Renal Replacement Therapy. Clin. Pract. 2014, 4, 670. [Google Scholar] [CrossRef] [PubMed]
- Vohra, H.A.; Jones, C.; Viola, N.; Haw, M.P. Use of extra corporeal membrane oxygenation in the management of sepsis secondary to an infected right ventricle-to-pulmonary artery Contegra conduit in an adult patient. Interact. Cardiovasc. Thorac. Surg. 2008, 8, 272–274. [Google Scholar] [CrossRef] [PubMed][Green Version]
- Martin, G.R.; Short, B.L.; Abbott, C.; O’Brien, A.M. Cardiac stun in infants undergoing extracorporeal membrane oxygenation. J. Thorac. Cardiovasc. Surg. 1991, 101, 607–611. [Google Scholar] [CrossRef]





Publisher’s Note: MDPI stays neutral with regard to jurisdictional claims in published maps and institutional affiliations. |
© 2022 by the authors. Licensee MDPI, Basel, Switzerland. This article is an open access article distributed under the terms and conditions of the Creative Commons Attribution (CC BY) license (https://creativecommons.org/licenses/by/4.0/).
Share and Cite
Kwok, M.; Sheikh, W.; Lima, F.V.; Russell, R. A Rare Case of Haemophilus Influenzae Serotype F Endocarditis Complicated by Concurrent Cardiogenic and Septic Shock: A Case of Challenging Management. J. Cardiovasc. Dev. Dis. 2022, 9, 384. https://doi.org/10.3390/jcdd9110384
Kwok M, Sheikh W, Lima FV, Russell R. A Rare Case of Haemophilus Influenzae Serotype F Endocarditis Complicated by Concurrent Cardiogenic and Septic Shock: A Case of Challenging Management. Journal of Cardiovascular Development and Disease. 2022; 9(11):384. https://doi.org/10.3390/jcdd9110384
Chicago/Turabian StyleKwok, Michael, Wasiq Sheikh, Fabio V. Lima, and Raymond Russell. 2022. "A Rare Case of Haemophilus Influenzae Serotype F Endocarditis Complicated by Concurrent Cardiogenic and Septic Shock: A Case of Challenging Management" Journal of Cardiovascular Development and Disease 9, no. 11: 384. https://doi.org/10.3390/jcdd9110384
APA StyleKwok, M., Sheikh, W., Lima, F. V., & Russell, R. (2022). A Rare Case of Haemophilus Influenzae Serotype F Endocarditis Complicated by Concurrent Cardiogenic and Septic Shock: A Case of Challenging Management. Journal of Cardiovascular Development and Disease, 9(11), 384. https://doi.org/10.3390/jcdd9110384
