ECMO-Supported Ablation and Percutaneous Repair of Severe Valvulopathy: A Winning Combination in a Complex Clinical Case
Abstract
:1. Introduction
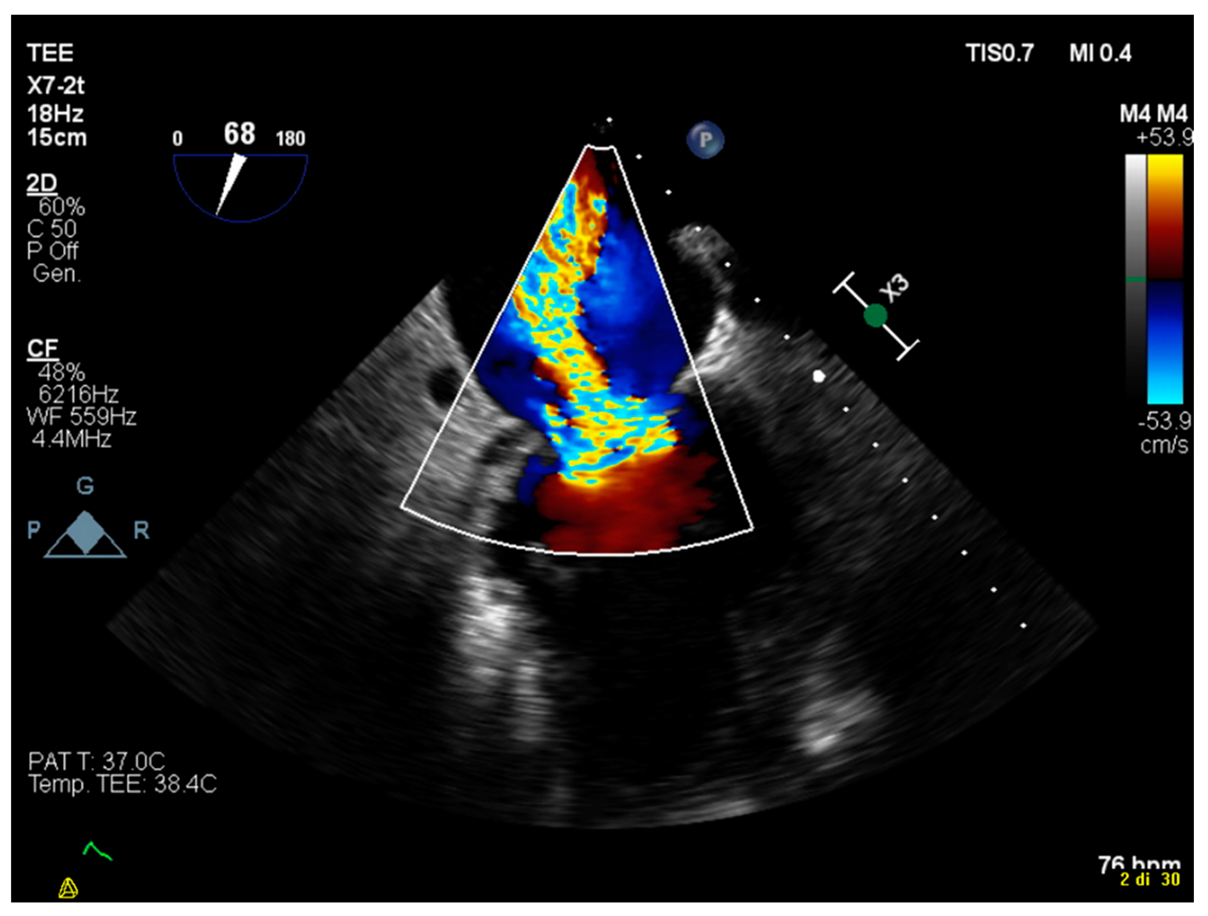
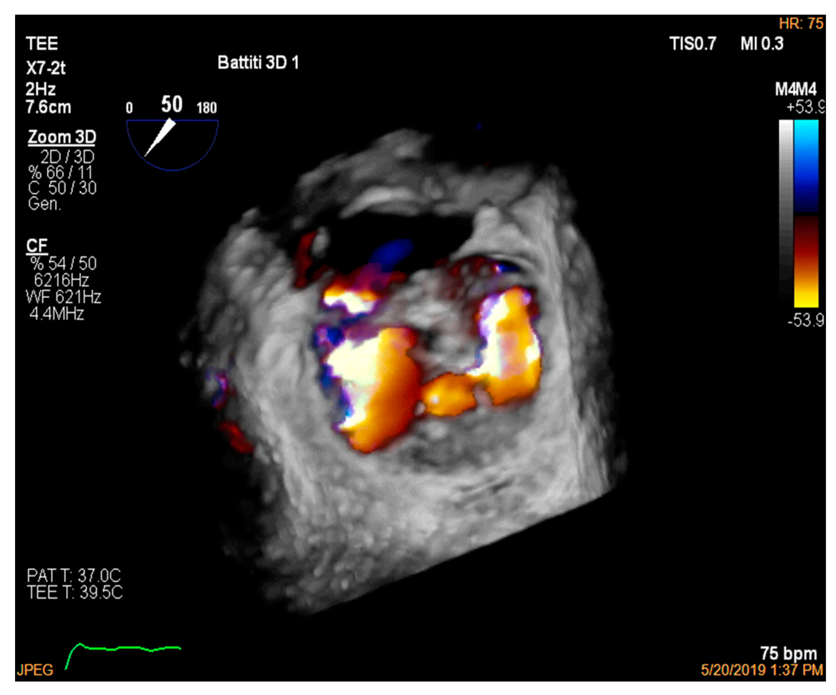
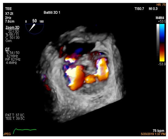
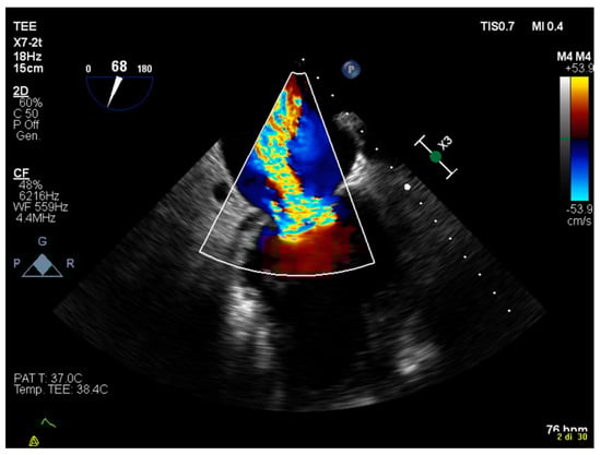
2. Case Report
3. Discussion
Author Contributions
Funding
Institutional Review Board Statement
Informed Consent Statement
Conflicts of Interest
References
- ESC. Guidelines for the management of patients with ventricular arrhythmias and the prevention of sudden cardiac death. Eur. Heart J. 2015, 36, 2793–2867. [Google Scholar]
- HRS/EHRA/APHRS/LAHRS. Expert consensus statement on catheter ablation of ventricular arrhytmias. Europace 2019, 21, 1143–1144. [Google Scholar]
- ESC/EACTS. Guidelines for the management of valvular heart disease. Eur. Heart J. 2017, 38, 2739–2791. [Google Scholar]
- Transcatheter Mitral-Valve Repair in Patients with Heart Failure for the COAPT Investigators. N. Engl. J. Med. 2018, 379, 2307–2318. [CrossRef] [PubMed]
- Percutaneous Repair or Surgery for Mitral Regurgitation for the EVEREST II Investigators. N. Engl. J. Med. 2011, 364, 1395–1406. [CrossRef] [PubMed] [Green Version]
- Della Bella, P.; Radinovic, A.; Limite, L.R.; Baratto, F. Mechanical circulatory support in the management of life-threatening arrhythmia. Europace 2021, 23, 1166–1178. [Google Scholar] [CrossRef] [PubMed]




Publisher’s Note: MDPI stays neutral with regard to jurisdictional claims in published maps and institutional affiliations. |
© 2021 by the authors. Licensee MDPI, Basel, Switzerland. This article is an open access article distributed under the terms and conditions of the Creative Commons Attribution (CC BY) license (https://creativecommons.org/licenses/by/4.0/).
Share and Cite
Troisi, F.; Lucarelli, K.; Casamassima, V.; Langialonga, T.; Caruso, R.; Duni, N.; Quadrini, F.; Di Monaco, A.; Vitulano, N.; Grimaldi, M. ECMO-Supported Ablation and Percutaneous Repair of Severe Valvulopathy: A Winning Combination in a Complex Clinical Case. J. Cardiovasc. Dev. Dis. 2021, 8, 188. https://doi.org/10.3390/jcdd8120188
Troisi F, Lucarelli K, Casamassima V, Langialonga T, Caruso R, Duni N, Quadrini F, Di Monaco A, Vitulano N, Grimaldi M. ECMO-Supported Ablation and Percutaneous Repair of Severe Valvulopathy: A Winning Combination in a Complex Clinical Case. Journal of Cardiovascular Development and Disease. 2021; 8(12):188. https://doi.org/10.3390/jcdd8120188
Chicago/Turabian StyleTroisi, Federica, Katya Lucarelli, Vito Casamassima, Tommaso Langialonga, Rosa Caruso, Nicola Duni, Federico Quadrini, Antonio Di Monaco, Nicola Vitulano, and Massimo Grimaldi. 2021. "ECMO-Supported Ablation and Percutaneous Repair of Severe Valvulopathy: A Winning Combination in a Complex Clinical Case" Journal of Cardiovascular Development and Disease 8, no. 12: 188. https://doi.org/10.3390/jcdd8120188
APA StyleTroisi, F., Lucarelli, K., Casamassima, V., Langialonga, T., Caruso, R., Duni, N., Quadrini, F., Di Monaco, A., Vitulano, N., & Grimaldi, M. (2021). ECMO-Supported Ablation and Percutaneous Repair of Severe Valvulopathy: A Winning Combination in a Complex Clinical Case. Journal of Cardiovascular Development and Disease, 8(12), 188. https://doi.org/10.3390/jcdd8120188

