The Transcatheter Closure of Patent Ductus Arteriosus in Extremely Low-Birth-Weight Infants: Technique and Results
Abstract
:1. Introduction
2. Definition–Epidemiology
3. Indication for Closure and Patient Selection
4. Available Devices
5. Description of the Procedure
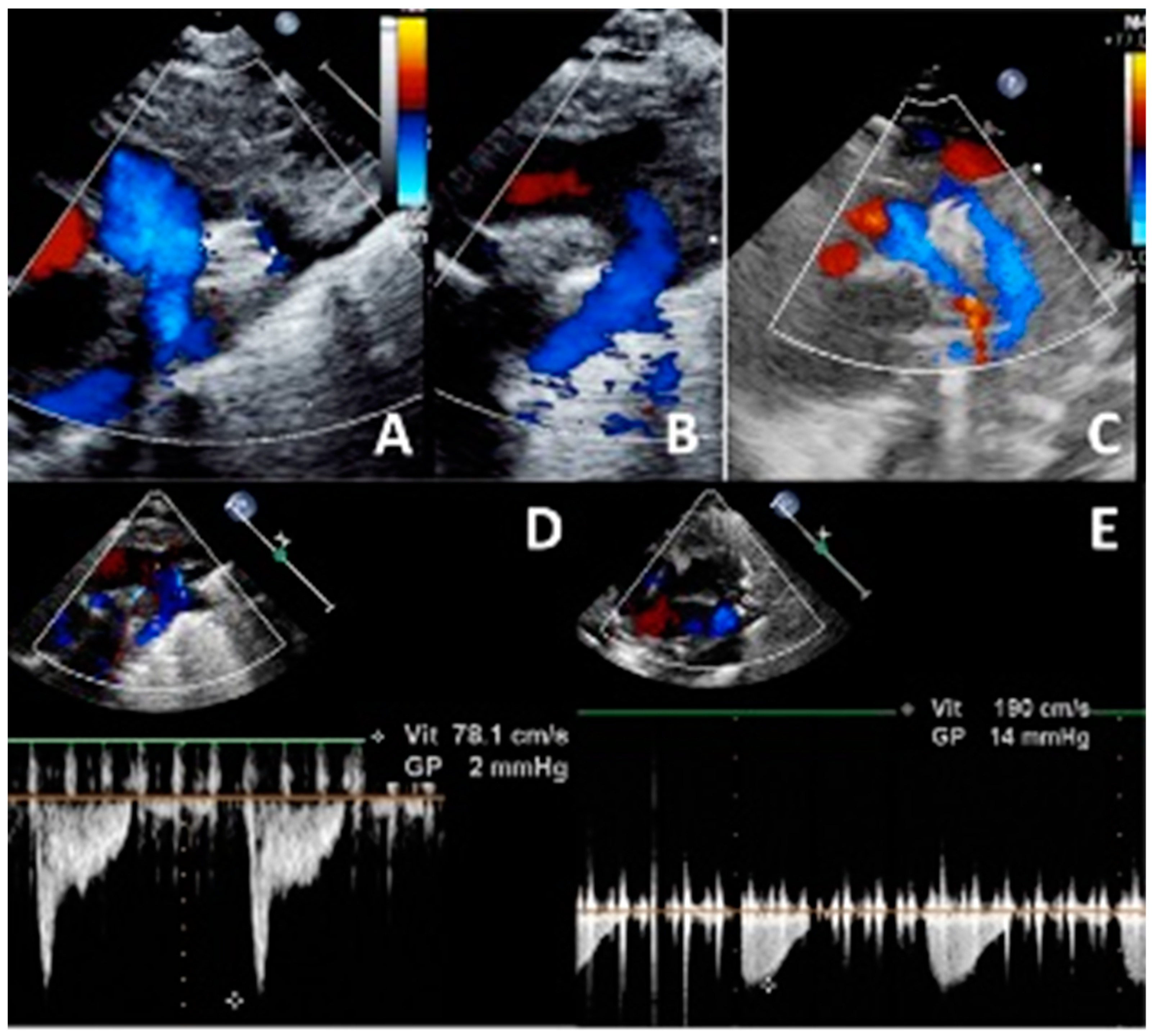
6. Procedural Efficacy
7. Procedural Safety
8. Conclusions
Funding
Conflicts of Interest
References
- McNamara, P.J.; Sehgal, A. Towards rational management of the patent ductus arteriosus: The need for disease staging. Arch. Dis. Child.-Fetal Neonatal Ed. 2007, 92, F424–F427. [Google Scholar] [CrossRef] [PubMed]
- Hundscheid, T.; Onland, W.; Kooi, E.M.; Vijlbrief, D.C.; de Vries, W.B.; Dijkman, K.P.; van Kaam, A.H.; Villamor, E.; Kroon, A.A.; Visser, R.; et al. Expectant Management or Early Ibuprofen for Patent Ductus Arteriosus. N. Engl. J. Med. 2023, 388, 980–990. [Google Scholar] [CrossRef]
- Hamrick, S.E.; Sallmon, H.; Rose, A.T.; Porras, D.; Shelton, E.L.; Reese, J.; Hansmann, G. Patent Ductus Arteriosus of the Preterm Infant. Pediatrics 2020, 146, e20201209. [Google Scholar] [CrossRef]
- Sathanandam, S.; Gutfinger, D.; Morray, B.; Berman, D.; Gillespie, M.; Forbes, T.; Johnson, J.N.; Garg, R.; Malekzadeh-Milani, S.; Fraisse, A.; et al. Consensus Guidelines for the Prevention and Management of Periprocedural Complications of Transcatheter Patent Ductus Arteriosus Closure with the Amplatzer Piccolo Occluder in Extremely Low Birth Weight Infants. Pediatr. Cardiol. 2021, 42, 1258–1274. [Google Scholar] [CrossRef] [PubMed]
- Morville, P.; Akhavi, A. Transcatheter closure of hemodynamic significant patent ductus arteriosus in 32 premature infants by amplatzer ductal occluder additional size-ADOIIAS. Catheter. Cardiovasc. Interv. 2017, 90, 612–617. [Google Scholar] [CrossRef]
- Rodríguez Ogando, A.; Planelles Asensio, I.; de la Blanca, A.R.S.; Ballesteros Tejerizo, F.; Sánchez Luna, M.; Gil Jaurena, J.M.; Medrano Lopez, C.; Zunzunegui Martinez, J.L. Surgical Ligation Versus Percutaneous Closure of Patent Ductus Arteriosus in Very Low-Weight Preterm Infants: Which are the Real Benefits of the Percutaneous Approach? Pediatr. Cardiol. 2018, 39, 398–410. [Google Scholar] [CrossRef] [PubMed]
- Pamukcu, O.; Tuncay, A.; Narin, N.; Baykan, A.; Korkmaz, L.; Argun, M.; Ozyurt, A.; Sunkak, S.; Uzum, K. Patent Ductus Arteriosus closure in preterms less than 2 kg: Surgery versus transcatheter. Int. J. Cardiol. 2018, 250, 110–115. [Google Scholar] [CrossRef]
- Regan, W.; Benbrik, N.; Sharma, S.R.; Auriau, J.; Bouvaist, H.; Bautista-Rodriguez, C.; Sirico, D.; Aw, T.C.; Di Salvo, G.; Foldvari, S.; et al. Improved ventilation in premature babies after transcatheter versus surgical closure of patent ductus arteriosus. Int. J. Cardiol. 2020, 311, 22–27. [Google Scholar] [CrossRef]
- Malekzadeh-Milani, S.; Akhavi, A.; Douchin, S.; Dauphin, C.; Chalard, A.; Mauran, P.; Bouvaist, H.; Bonnet, D.; Boudjemline, Y. Percutaneous closure of patent ductus arteriosus in premature infants: A French national survey. Catheter. Cardiovasc. Interv. 2020, 95, 71–77. [Google Scholar] [CrossRef]
- Sathanandam, S.K.; Gutfinger, D.; O’Brien, L.; Forbes, T.J.; Gillespie, M.J.; Berman, D.P.; Armstrong, A.K.; Shahanavaz, S.; Jones, T.K.; Morray, B.H.; et al. Amplatzer Piccolo Occluder clinical trial for percutaneous closure of the patent ductus arteriosus in patients ≥700 grams. Catheter. Cardiovasc. Interv. 2020, 96, 1266–1276. [Google Scholar] [CrossRef]
- Wang, J.-N.; Lin, Y.-C.; Hsieh, M.-L.; Wei, Y.-J.; Ju, Y.-T.; Wu, J.-M. Transcatheter Closure of Patent Ductus Arteriosus in Premature Infants with Very Low Birth Weight. Front. Pediatr. 2021, 8, 615919. [Google Scholar] [CrossRef] [PubMed]
- Liu, Y.; Chen, S.; Zühlke, L.; Black, G.C.; Choy, M.-K.; Li, N.; Keavney, B.D. Global birth prevalence of congenital heart defects 1970–2017: Updated systematic review and meta-analysis of 260 studies. Leuk. Res. 2019, 48, 455–463. [Google Scholar] [CrossRef] [PubMed]
- Fraisse, A.; Bautista-Rodriguez, C.; Burmester, M.; Lane, M.; Singh, Y. Transcatheter Closure of Patent Ductus Arteriosus in Infants with Weight under 1500 Grams. Front. Pediatr. 2020, 8, 558256. [Google Scholar] [CrossRef]
- Semberova, J.; Sirc, J.; Miletin, J.; Kucera, J.; Berka, I.; Sebkova, S.; O’sullivan, S.; Franklin, O.; Stranak, Z. Spontaneous Closure of Patent Ductus Arteriosus in Infants ≤1500 g. Pediatrics 2017, 140, e20164258. [Google Scholar] [CrossRef] [PubMed]
- Singh, Y.; Fraisse, A.; Erdeve, O.; Atasay, B. Echocardiographic Diagnosis and Hemodynamic Evaluation of Patent Ductus Arteriosus in Extremely Low Gestational Age Newborn (ELGAN) Infants. Front. Pediatr. 2020, 8, 573627. [Google Scholar] [CrossRef] [PubMed]
- Roberts, P.; Adwani, S.; Archer, N.; Wilson, N. Catheter closure of the arterial duct in preterm infants. Arch. Dis. Child.-Fetal Neonatal Ed. 2007, 92, F248–F250. [Google Scholar] [CrossRef] [PubMed]
- Zahn, E.M.; Nevin, P.; Simmons, C.; Garg, R. A novel technique for transcatheter patent ductus arteriosus closure in extremely preterm infants using commercially available technology. Catheter. Cardiovasc. Interv. 2015, 85, 240–248. [Google Scholar] [CrossRef]
- Zahn, E.M.; Peck, D.; Phillips, A.; Nevin, P.; Basaker, K.; Simmons, C.; McRae, M.E.; Early, T.; Garg, R. Transcatheter Closure of Patent Ductus Arteriosus in Extremely Premature Newborns: Early Results and Midterm Follow-Up. JACC Cardiovasc. Interv. 2016, 9, 2429–2437. [Google Scholar] [CrossRef]
- Philip, R.; Rush Waller, B., III; Agrawal, V.; Wright, D.; Arevalo, A.; Zurakowski, D.; Sathanandam, S. Morphologic characterization of the patent ductus arteriosus in the premature infant and the choice of transcatheter occlusion device. Catheter. Cardiovasc. Interv. 2016, 87, 310–317. [Google Scholar] [CrossRef]
- Sathanandam, S.; Balduf, K.; Chilakala, S.; Washington, K.; Allen, K.; Knott-Craig, C.; Waller, B.R.; Philip, R. Role of Transcatheter patent ductus arteriosus closure in extremely low birth weight infants. Catheter. Cardiovasc. Interv. 2019, 93, 89–96. [Google Scholar] [CrossRef]
- Prsa, M.; Ewert, P. Transcatheter closure of a patent ductus arteriosus in a preterm infant with an Amplatzer Vascular Plug IV device. Catheter. Cardiovasc. Interv. 2011, 77, 108–111. [Google Scholar] [CrossRef]
- Sathanandam, S.; Justino, H.; Waller, B.R., III; Radtke, W.; Qureshi, A.M. Initial clinical experience with the Medtronic Micro Vascular Plug™ in transcatheter occlusion of PDAs in extremely premature infants. Catheter. Cardiovasc. Interv. 2017, 89, 1051–1058. [Google Scholar] [CrossRef] [PubMed]
- Heyden, C.M.; El-Said, H.G.; Moore, J.W.; Guyon, P.W.; Katheria, A.C.; Ratnayaka, K. Early experience with the Micro Plug Set for preterm patent ductus arteriosus closure. Catheter. Cardiovasc. Interv. 2020, 96, 1439–1444. [Google Scholar] [CrossRef] [PubMed]
- Guyon, P.; Duster, N.; Katheria, A.; Heyden, C.; Griffin, D.; Steinbergs, R.; Rojas, A.M.; Ratnayaka, K.; El-Said, H.G. Institutional Trend in Device Selection for Transcatheter PDA Closure in Premature Infants. Pediatr. Cardiol. 2022, 43, 1716–1722. [Google Scholar] [CrossRef] [PubMed]
- Shibbani, K.; Mohammad Nijres, B.; McLennan, D.; Bischoff, A.R.; Giesinger, R.; McNamara, P.J.; Klein, J.; Windsor, J.; Aldoss, O. Feasibility, Safety, and Short-Term Outcomes of Transcatheter Patent Ductus Arteriosus Closure in Premature Infants on High-Frequency Jet Ventilation. J. Am. Heart Assoc. 2022, 11, e025343. [Google Scholar] [CrossRef]
- Herron, C.; Forbes, T.J.; Kobayashi, D. Transjugular venous approach for Piccolo patent ductus arteriosus closure in a 1.4 kg infant. Cardiol. Young 2022, 32, 111–112. [Google Scholar] [CrossRef]
- Sathanandam, S.; Agrawal, H.; Chilakala, S.; Johnson, J.; Allen, K.; Knott-Craig, C.; Waller, B.R.; Philip, R. Can transcatheter PDA closure be performed in neonates ≤1000 grams? The Memphis experience. Congenit. Heart Dis. 2019, 14, 79–84. [Google Scholar] [CrossRef]
- Meot, M.; Gaudin, R.; Szezepanski, I.; Bajolle, F.; Bonnet, D.; Malekzadeh-Milani, S. Transcatheter patent arterial duct closure in premature infants: A new technique to ease access to the patent arterial duct, with particular benefit for the tricuspid valve. Arch. Cardiovasc. Dis. 2021, 114, 482–489. [Google Scholar] [CrossRef]
- Baruteau, A.-E.; Fraisse, A. Transcatheter patent ductus arteriosus closure in preterm infants: Appropriate device selection is primordial. Int. J. Cardiol. 2020, 316, 108–109. [Google Scholar] [CrossRef]
- Padovani, P.; Benbrik, N.; Baruteau, A.-E. Late aortic obstruction due to ductal vasoconstriction on pulmonic end after transcatheter patent ductus arteriosus closure in an extremely low-birth-weight infant. Cardiol. Young 2023, 33, 2113–2115. [Google Scholar] [CrossRef]
- Serrano, R.M.; Madison, M.; Lorant, D.; Hoyer, M.; Alexy, R. Comparison of ‘post-patent ductus arteriosus ligation syndrome’ in premature infants after surgical ligation vs. percutaneous closure. J. Perinatol. 2020, 40, 324–329. [Google Scholar] [CrossRef] [PubMed]
- Foster, M.; Mallett, L.H.; Govande, V.; Vora, N.; Castro, A.; Raju, M.; Cantey, J.B. Short-Term Complications Associated with Surgical Ligation of Patent Ductus Arteriosus in ELBW Infants: A 25-Year Cohort Study. Am. J. Perinatol. 2021, 38, 477–481. [Google Scholar] [CrossRef] [PubMed]
- Ulrich, T.J.B.; Hansen, T.P.; Reid, K.J.; Bingler, M.A.; Olsen, S.L. Post-ligation cardiac syndrome is associated with increased morbidity in preterm infants. J. Perinatol. 2018, 38, 537–542. [Google Scholar] [CrossRef] [PubMed]
- Henry, B.M.; Hsieh, W.C.; Sanna, B.; Vikse, J.; Taterra, D.; Tomaszewski, K.A. Incidence, Risk Factors, and Comorbidities of Vocal Cord Paralysis after Surgical Closure of a Patent Ductus Arteriosus: A Meta-analysis. Pediatr. Cardiol. 2019, 40, 116–125. [Google Scholar] [CrossRef] [PubMed]
- Markush, D.; Tsing, J.C.; Gupta, S.; Berndsen, N.C.; Radville, G.; Garg, R.; Zahn, E.M.; Almeida-Jones, M. Fate of the Left Pulmonary Artery and Thoracic Aorta after Transcatheter Patent Ductus Arteriosus Closure in Low Birth Weight Premature Infants. Pediatr. Cardiol. 2021, 42, 628–636. [Google Scholar] [CrossRef] [PubMed]
- Morray, B.H.; Sathanandam, S.K.; Forbes, T.; Gillespie, M.; Berman, D.; Armstrong, A.K.; Shahanavaz, S.; Jones, T.; Rockefeller, T.; Justino, H.; et al. 3-year follow-up of a prospective, multicenter study of the Amplatzer Piccolo™ Occluder for transcatheter patent ductus arteriosus closure in children ≥700 g. J. Perinatol. 2023, 43, 1238–1244. [Google Scholar] [CrossRef] [PubMed]
- Abalo, K.D.; Malekzadeh-Milani, S.; Hascoët, S.; Dreuil, S.; Feuillet, T.; Cohen, S.; Dauphin, C.; Di Filippo, S.; Douchin, S.; Godart, F.; et al. Exposure to low-dose ionising radiation from cardiac catheterisation and risk of cancer: The COCCINELLE study cohort profile. BMJ Open 2021, 11, e048576. [Google Scholar] [CrossRef]
- Piatek, M.; Schneider, D.J.; Smith, W.J.; Hanna, M.; Abu Jawdeh, E.G. Hypothyroidism after Percutaneous Patent Ductus Arteriosus Device Closure in an Extremely Preterm Infant: Possible Role of Iodinated IV Contrast. Neonatology 2020, 117, 776–779. [Google Scholar] [CrossRef]
- Bentham, J.; Meur, S.; Hudsmith, L.; Archer, N.; Wilson, N. Echocardiographically guided catheter closure of arterial ducts in small preterm infants on the neonatal intensive care unit. Catheter. Cardiovasc. Interv. 2011, 77, 409–415. [Google Scholar] [CrossRef]
- Pouldar, T.M.; Wong, R.; Almeida-Jones, M.; Zahn, E.; Lubin, L. Bedside Transcatheter Patent Ductus Arteriosus Device Occlusion in an Extremely Low Birth Weight Neonate: A Novel Approach in a High-Risk Population. Case Rep. Anesthesiol. 2021, 2021, 4716997. [Google Scholar] [CrossRef]
- Georgiev, S.; Tanase, D.; Eicken, A.; Peters, J.; Hörer, J.; Ewert, P. Transvenous, Echocardiographically Guided Closure of Persistent Ductus Arteriosus in 11 Premature Infants: A Pilot Study. JACC Cardiovasc. Interv. 2021, 14, 814–816. [Google Scholar] [CrossRef] [PubMed]





| Author, Year | N | Country | Procedural Weight (kg) | Success Rate (%) | Major AE (%) | Device Embolization | Aortic Obstruction | LPA Obstruction | Cardiovascular Injury | Procedural Mortality |
|---|---|---|---|---|---|---|---|---|---|---|
| Morville, 2017 [5] | 32 | France | 1.37 (0.68–2.48) | 31/32 (97%) | 9.4 | 0 (0.0%) | 0 (0.0%) | 1 (3.1%) | 1 (3.1%) a | 1 (3.1%) |
| Rodriguez, 2018 [6] | 27 | Spain | 1.26 (1.00–1.98) | 27/27 (100%) | 11.1 | 2 (7.4%) | 0 (0.0%) | 0 (0.0%) | 1 (3.7%) a | 0 (0.0%) |
| Pamukcu, 2018 [7] | 26 | Turkey | 1.39 (0.75–2.00) | 22/26 (85%) | 15.4 | 2 (7.7%) | 1 (3.8%) | 0 (0.0%) | 1 (3.8%)a | 0 (0.0%) |
| Regan, 2020 [8] | 64 | UK, France | 1.20 (1.02–1.70) | 63/64 (98%) | 4.7 | 2 (3.1%) | 1 (1.6%) | 0 (0.0%) | 0 (0.0%) | 0 (0.0%) |
| Milani, 2020 [9] | 73 | France | <2000 g | 73/73 (100%) | 4.1 | 0 (0.0%) | 0 (0.0) | 3 (4.1) | 0 (0.0%) | 0 (0.0%) |
| Sathanandam, 2020 [10] | 100 | USA | 1.25 (0.7–2.00) | 99/100 (99%) | 4.0 | 2 (2.0%) | 2 (2.0%) | 0 (0.0%) | 0 (0.0%) | 0 (0.0%) |
| Wang, 2021 [11] | 25 | Taiwan | 1.21 (0.48–1.98) | 25/25 (100%) | 16.0 | 0 (0.0%) | 1 (4.0%) | 3 (12.0%) | 0 (0.0%) | 0 (0.0%) |
| All | 350 | <2000 g | 340/347 (98%) | 8/347 (2.3%) | 5/347 (1.4%) | 7/347 (2.0%) | 3/347 (0.9%) | 1/347 (0.3%) |
Disclaimer/Publisher’s Note: The statements, opinions and data contained in all publications are solely those of the individual author(s) and contributor(s) and not of MDPI and/or the editor(s). MDPI and/or the editor(s) disclaim responsibility for any injury to people or property resulting from any ideas, methods, instructions or products referred to in the content. |
© 2023 by the authors. Licensee MDPI, Basel, Switzerland. This article is an open access article distributed under the terms and conditions of the Creative Commons Attribution (CC BY) license (https://creativecommons.org/licenses/by/4.0/).
Share and Cite
Baruteau, A.-E.; Fraisse, A.; Butera, G.; Bautista-Rodriguez, C. The Transcatheter Closure of Patent Ductus Arteriosus in Extremely Low-Birth-Weight Infants: Technique and Results. J. Cardiovasc. Dev. Dis. 2023, 10, 476. https://doi.org/10.3390/jcdd10120476
Baruteau A-E, Fraisse A, Butera G, Bautista-Rodriguez C. The Transcatheter Closure of Patent Ductus Arteriosus in Extremely Low-Birth-Weight Infants: Technique and Results. Journal of Cardiovascular Development and Disease. 2023; 10(12):476. https://doi.org/10.3390/jcdd10120476
Chicago/Turabian StyleBaruteau, Alban-Elouen, Alain Fraisse, Gianfranco Butera, and Carles Bautista-Rodriguez. 2023. "The Transcatheter Closure of Patent Ductus Arteriosus in Extremely Low-Birth-Weight Infants: Technique and Results" Journal of Cardiovascular Development and Disease 10, no. 12: 476. https://doi.org/10.3390/jcdd10120476
APA StyleBaruteau, A.-E., Fraisse, A., Butera, G., & Bautista-Rodriguez, C. (2023). The Transcatheter Closure of Patent Ductus Arteriosus in Extremely Low-Birth-Weight Infants: Technique and Results. Journal of Cardiovascular Development and Disease, 10(12), 476. https://doi.org/10.3390/jcdd10120476

