Honey Environmental DNA Can Be Used to Detect and Monitor Honey Bee Pests: Development of Methods Useful to Identify Aethina tumida and Galleria mellonella Infestations
Abstract
:1. Introduction
2. Materials and Methods
2.1. Samples
2.2. DNA Extraction
2.3. PCR Primers and PCR Analyses
| Target Species | Primer Pair Name | Primer Sequences (5′-3′): Forward (For) and Reverse (Rev) | Size/Ta 1 | Amplified Region |
|---|---|---|---|---|
| A. tumida | Atumida_cox1_190 | For: AGCCCAGTAACTCTATGAGCA Rev: GGAATCATTGAACAAATCCGGC | 190/53 | COI |
| A. tumida | Atum-3 2 | For: CCCATTTCCATTATGTWYTATCTATAGG Rev: CTATTTAAAGTYAATCCTGTAATTAATGG | 97/53 | COI |
| G. mellonella | GallMelCox1_182 | For: TGAACTTGGTAATCCTGGTTCT Rev: TATTATTAAGTCGGGGGAAAGC | 182/58 | COI |
| G. mellonella | GallMelCox1_169 | For: TTTTTAGGACTTGCAGGTATGC Rev: GGGGAAATAATACTGTTCGTTG | 169/58 | COI |
| A. mellifera | ACM 3 | For: GGCAGAATAAGTGCATTG Rev: TTAATATGAATTAAGTGGGG | C 85, M 139, A 153/51 | COI-COII |
2.4. Sanger Sequencing
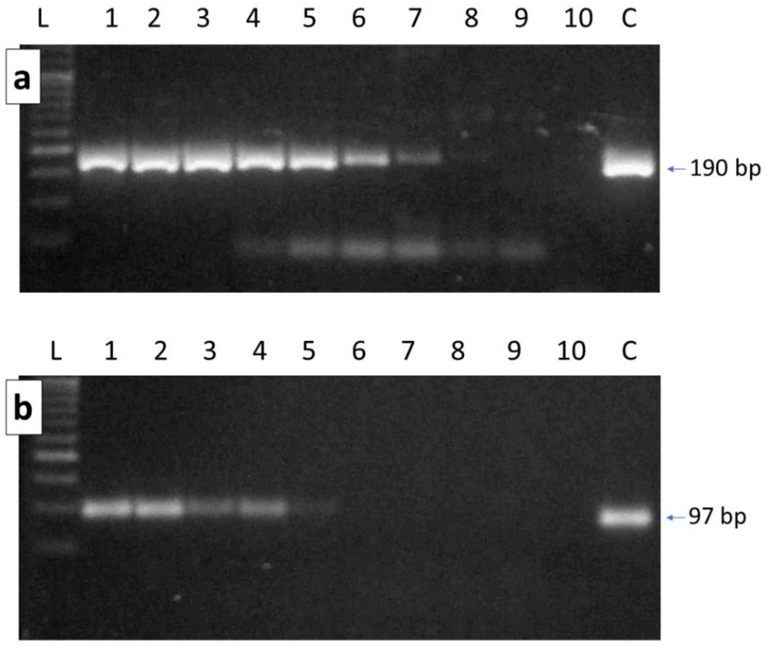
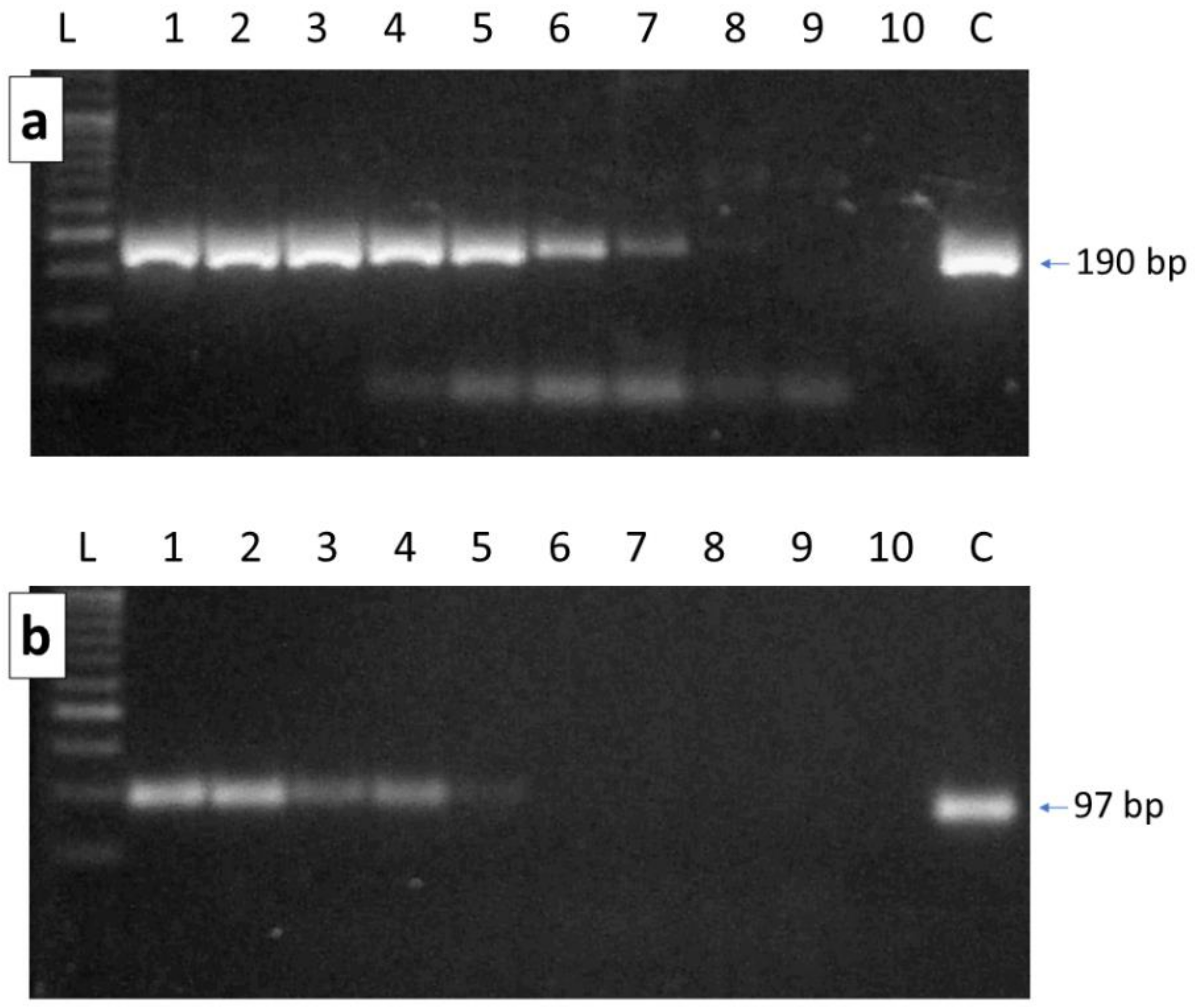
3. Results
4. Discussion
5. Conclusions
Supplementary Materials
Author Contributions
Funding
Institutional Review Board Statement
Informed Consent Statement
Data Availability Statement
Acknowledgments
Conflicts of Interest
References
- Taberlet, P.; Coissac, E.; Hajibabaei, M.; Rieseberg, L.H. Environmental DNA. Mol. Ecol. 2012, 21, 1789–1793. [Google Scholar] [CrossRef] [PubMed]
- Bohmann, K.; Evans, A.; Gilbert, M.T.; Carvalho, G.R.; Creer, S.; Knapp, M.; Yu, D.W.; De Bruyn, M. Environmental DNA for wildlife biology and biodiversity monitoring. Trends Ecol. Evol. 2014, 29, 358–367. [Google Scholar] [CrossRef] [PubMed]
- Ruppert, K.M.; Kline, R.J.; Rahman, M.S. Past, present, and future perspectives of environmental DNA (eDNA) metabarcoding: A systematic review in methods, monitoring, and applications of global eDNA. Glob. Ecol. Conserv. 2019, 17, e00547. [Google Scholar] [CrossRef]
- Rees, H.C.; Maddison, B.C.; Middleditch, D.J.; Patmore, J.R.; Gough, K.C. The detection of aquatic animal species using environmental DNA—A review of eDNA as a survey tool in ecology. J. Appl. Ecol. 2014, 51, 1450–1459. [Google Scholar] [CrossRef]
- Jerde, C.L.; Mahon, A.R.; Chadderton, W.L.; Lodge, D.M. “Sight-unseen” detection of rare aquatic species using environmental DNA. Conserv. Lett. 2011, 4, 150–157. [Google Scholar] [CrossRef]
- Thomsen, P.F.; Kielgast, J.; Iversen, L.L.; Wiuf, C.; Rasmussen, M.; Gilbert, M.T.; Orlando, L.; Willerslev, E. Monitoring endangered freshwater biodiversity using environmental DNA. Mol. Ecol. 2012, 21, 2565–2573. [Google Scholar] [CrossRef]
- Wilcox, T.M.; McKelvey, K.S.; Young, M.K.; Jane, S.F.; Lowe, W.H.; Whiteley, A.R.; Schwartz, M.K. Robust detection of rare species using environmental DNA: The importance of primer specificity. PLoS ONE 2013, 8, e59520. [Google Scholar] [CrossRef] [Green Version]
- Sengupta, M.E.; Hellström, M.; Kariuki, H.C.; Olsen, A.; Thomsen, P.F.; Mejer, H.; Willerslev, E.; Mwanje, M.T.; Madsen, H.; Kristensen, T.K.; et al. Environmental DNA for improved detection and environmental surveillance of schistosomiasis. Proc. Natl. Acad. Sci. USA 2019, 116, 8931–8940. [Google Scholar] [CrossRef] [Green Version]
- Peters, L.; Spatharis, S.; Dario, M.A.; Dwyer, T.; Roca, I.J.T.; Kintner, A.; Kanstad-Hanssen, Ø.; Llewellyn, M.S.; Praebel, K. Environmental DNA: A new low-cost monitoring tool for pathogens in salmonid aquaculture. Front. Microbiol. 2018, 9, 3009. [Google Scholar] [CrossRef] [Green Version]
- Bovo, S.; Ribani, A.; Utzeri, V.J.; Schiavo, G.; Bertolini, F.; Fontanesi, L. Shotgun metagenomics of honey DNA: Evaluation of a methodological approach to describe a multi-kingdom honey bee derived environmental DNA signature. PLoS ONE 2018, 13, e0205575. [Google Scholar] [CrossRef]
- Bovo, S.; Utzeri, V.J.; Ribani, A.; Cabbri, R.; Fontanesi, L. Shotgun sequencing of honey DNA can describe honey bee derived environmental signatures and the honey bee hologenome complexity. Sci. Rep. 2020, 10, 9279. [Google Scholar] [CrossRef]
- Utzeri, V.J.; Ribani, A.; Schiavo, G.; Bertolini, F.; Bovo, S.; Fontanesi, L. Application of next generation semiconductor based sequencing to detect the botanical composition of monofloral, polyfloral and honeydew honey. Food Control 2018, 86, 342–349. [Google Scholar] [CrossRef]
- Prosser, S.W.; Hebert, P.D. Rapid identification of the botanical and entomological sources of honey using DNA metabarcoding. Food Chem. 2017, 214, 183–191. [Google Scholar] [CrossRef]
- Kek, S.P.; Chin, N.L.; Tan, S.W.; Yusof, Y.A.; Chua, L.S. Molecular identification of honey entomological origin based on bee mitochondrial 16S rRNA and COI gene sequences. Food Control 2017, 78, 150–159. [Google Scholar] [CrossRef]
- Utzeri, V.J.; Schiavo, G.; Ribani, A.; Tinarelli, S.; Bertolini, F.; Bovo, S.; Fontanesi, L. Entomological signatures in honey: An environmental DNA metabarcoding approach can disclose information on plant-sucking insects in agricultural and forest landscapes. Sci. Rep. 2018, 8, 9996. [Google Scholar] [CrossRef] [Green Version]
- Utzeri, V.J.; Ribani, A.; Fontanesi, L. Authentication of honey based on a DNA method to differentiate Apis mellifera subspecies: Application to Sicilian honey bee (A. m. siciliana) and Iberian honey bee (A. m. iberiensis) honeys. Food Control 2018, 91, 294–301. [Google Scholar] [CrossRef]
- Utzeri, V.J.; Ribani, A.; Taurisano, V.; Banqué, C.H.i.; Fontanesi, L. Distribution of the main Apis mellifera mitochondrial DNA lineages in Italy assessed using an environmental DNA approach. Insects 2021, 12, 620. [Google Scholar] [CrossRef]
- Bakonyi, T.; Derakhshifar, I.; Grabensteiner, E.; Nowotny, N. Development and evaluation of PCR assays for the detection of Paenibacillus larvae in honey samples: Comparison with isolation and biochemical characterization. Appl. Environ. Microbiol. 2003, 69, 1504–1510. [Google Scholar] [CrossRef] [Green Version]
- Lauro, F.M.; Favaretto, M.; Covolo, L.; Rassu, M.; Bertoloni, G. Rapid detection of Paenibacillus larvae from honey and hive samples with a novel nested PCR protocol. Int. J. Food Microbiol. 2003, 81, 195–201. [Google Scholar] [CrossRef]
- McKee, B.; Djordjevic, S.; Goodman, R.; Hornitzky, M. The detection of Melissococcus pluton in honey bees (Apis mellifera) and their products using a hemi-nested PCR. Apidologie 2003, 34, 19–27. [Google Scholar] [CrossRef] [Green Version]
- D’Alessandro, B.; Antúnez, K.; Piccini, C.; Zunino, P. DNA extraction and PCR detection of Paenibacillus larvae spores from naturally contaminated honey and bees using spore-decoating and freeze-thawing techniques. World J. Microbiol. Biotechnol. 2007, 23, 593–597. [Google Scholar] [CrossRef]
- Utzeri, V.J.; Schiavo, G.; Ribani, A.; Bertolini, F.; Bovo, S.; Fontanesi, L. A next generation sequencing approach for targeted Varroa destructor (Acari: Varroidae) mitochondrial DNA analysis based on honey derived environmental DNA. J. Invertebr. Pathol. 2019, 161, 47–53. [Google Scholar] [CrossRef] [PubMed]
- Ribani, A.; Utzeri, V.J.; Taurisano, V.; Fontanesi, L. Honey as a source of environmental DNA for the detection and monitoring of honey bee pathogens and parasites. Vet. Sci. 2020, 7, 113. [Google Scholar] [CrossRef] [PubMed]
- Ribani, A.; Utzeri, V.J.; Taurisano, V.; Galuppi, R.; Fontanesi, L. Analysis of honey environmental DNA indicates that the honey bee (Apis mellifera L.) trypanosome parasite Lotmaria passim is widespread in the apiaries of the North of Italy. J. Invertebr. Pathol. 2021, 184, 107628. [Google Scholar] [CrossRef]
- Murray, A. List of Coleoptera received from Old Calabar. Ann. Mag. Nat. Hist. Lond. 1867, 19, 167–179. [Google Scholar] [CrossRef]
- Lundie, A.E. The Small Hive Beetle, Aethina tumida. Sci. Bull. 1940, 220, 40. [Google Scholar]
- Hood, W.M. The small hive beetle, Aethina tumida: A review. Bee World 2004, 85, 51–59. [Google Scholar] [CrossRef]
- Hepburn, H.R.; Radloff, S.E. Honeybees of Africa; Springer: Berlin/Heidelberg, Germany, 1998. [Google Scholar]
- Hepburn, H.R.; Reece, S.; Neumann, P.; Moritz, R.F.A.; Radloff, S.E. Absconding in honeybees (Apis mellifera) in relation to queen status and mode of reproduction. Insectes Soc. 1999, 46, 323–326. [Google Scholar] [CrossRef]
- Neumann, P.; Ellis, J.D. The small hive beetle (Aethina tumida Murray, Coleoptera: Nitidulidae): Distribution, biology and control of an invasive species. J. Apic. Res. 2008, 47, 181–183. [Google Scholar] [CrossRef]
- Ellis, J.D.; Hepburn, H.R. An ecological digest of the small hive beetle (Aethina tumida) a symbiont in honey bee colonies (Apis mellifera). Insectes Soc. 2006, 53, 8–19. [Google Scholar] [CrossRef]
- Hood, W.M. Overview of the small hive beetle Aethina tumida in North America. Bee World 2000, 81, 129–137. [Google Scholar] [CrossRef]
- Gillespie, P.; Staples, J.; King, C.; Flectcher, M.; Dominiak, B.C. Small hive beetle, Aethina tumida (Murray) (Coleoptera: Nitidulidae) in New South Wales. Gen. App. Entomol. 2003, 32, 5–7. [Google Scholar] [CrossRef]
- Spiewok, S.; Pettis, J.; Duncan, M.; Spooner-Hart, R.; Westervelt, D.; Neumann, P. Small hive beetle, Aethina tumida, populations I: Infestation levels of honey bee colonies, apiaries and regions. Apidologie 2007, 38, 595–605. [Google Scholar] [CrossRef] [Green Version]
- Neumann, P.; Pettis, J.S.; Schäfer, M.O. Quo vadis Aethina tumida? Biology and control of small hive beetles. Apidologie 2016, 47, 427–466. [Google Scholar] [CrossRef] [Green Version]
- Lounsberry, Z.; Spiewok, S.; Pernal, S.F.; Sonstegard, T.S.; Hood, W.M.; Pettis, J.; Neumann, P.; Evans, J.D. Worldwide diaspora of Aethina tumida (Coleoptera: Nitidulidae), a nest parasite of honey bees. Ann. Entomol. Soc. Am. 2010, 103, 671–677. [Google Scholar] [CrossRef] [Green Version]
- Schäfer, M.O.; Cardaio, I.; Cilia, G.; Cornelissen, B.; Crailsheim, K.; Formato, G.; Lawrence, A.K.; Le Conte, Y.; Mutinelli, F.; Nanetti, A.; et al. How to slow the global spread of small hive beetles, Aethina tumida. Biol. Invasions 2019, 21, 1451–1459. [Google Scholar] [CrossRef]
- Murilhas, A.M. Aethina tumida arrives in Portugal. Will it be eradicated? Eur. Bee Newsl. 2004, 2, 7–9. [Google Scholar]
- Mutinelli, F.; Montarsi, F.; Federico, G.; Granato, A.; Maroni Ponti, A.; Grandinetti, G.; Ferrè, N.; Franco, S.; Duquesne, V.; Rivière, M.-P.; et al. Detection of Aethina tumida Murray (Coleoptera: Nitidulidae.) in Italy: Outbreaks and early reaction measures. J. Apic. Res. 2014, 53, 569–575. [Google Scholar] [CrossRef]
- Palmeri, V.; Scirtò, G.; Malacrinò, A.; Laudani, F.; Campolo, O. A scientific note on a new pest for European honeybees: First report of small hive beetle Aethina tumida, (Coleoptera: Nitidulidae) in Italy. Apidologie 2015, 46, 527–529. [Google Scholar] [CrossRef] [Green Version]
- Granato, A.; Zecchin, B.; Baratto, C.; Duquesne, V.; Negrisolo, E.; Chauzat, M.P.; Ribière-Chabert, M.; Cattoli, G.; Mutinelli, F. Introduction of Aethina tumida (Coleoptera: Nitidulidae) in the regions of Calabria and Sicily (southern Italy). Apidologie 2017, 48, 194–203. [Google Scholar] [CrossRef] [Green Version]
- Rivera-Gomis, J.; Gregorc, A.; Ponti, A.M.; Artese, F.; Zowitsky, G.; Formato, G. Monitoring of small hive beetle (Aethina tumida Murray) in Calabria (Italy) from 2014 to 2016: Practical identification methods. J. Apic. Sci. 2017, 61, 257–262. [Google Scholar] [CrossRef] [Green Version]
- Al Toufailia, H.; Alves, D.A.; Bena, D.D.C.; Bento, J.M.; Iwanicki, N.S.; Cline, A.R.; Ellis, J.D.; Ratnieks, F.L. First record of small hive beetle, Aethina tumida Murray, in South America. J. Apic. Res. 2017, 56, 76–80. [Google Scholar] [CrossRef]
- Lee, S.; Hong, K.J.; Cho, Y.S.; Choi, Y.S.; Yoo, M.S.; Lee, S. Review of the subgenus Aethina Erichson s. str. (Coleoptera: Nitidulidae: Nitidulinae) in Korea, reporting recent invasion of small hive beetle, Aethina tumida. J. Asia-Pac. Entomol. 2017, 20, 553–558. [Google Scholar] [CrossRef]
- Muli, E.; Kilonzo, J.; Sookar, P. Small hive beetle infestations in Apis mellifera unicolor colonies in Mauritius island, Mauritius. Bee World 2018, 95, 44–45. [Google Scholar] [CrossRef]
- Namin, S.M.; Koh, Y.; Osabutey, A.F.; Jung, C. Invasion pathway of the honeybee pest, small hive beetle, Aethina tumida (Coleoptera: Nitidulidae) in the Republic of Korea inferred by mitochondrial DNA sequence analysis. J. Asia-Pac. Entomol. 2019, 22, 963–968. [Google Scholar] [CrossRef]
- Cordeiro, E.M.G.; Soares, P.L.; Alves, D.A.; Corrêa, A.S. Updating the saga of the small hive beetle (Aethina tumida): Molecular inference of the origin of the South American invasion. Apidologie 2019, 50, 273–276. [Google Scholar] [CrossRef]
- Neumann, P.; Elzen, P.J. The biology of the small hive beetle (Aethina tumida, Coleoptera: Nitidulidae): Gaps in our knowledge of an invasive species. Apidologie 2004, 35, 229–247. [Google Scholar] [CrossRef] [Green Version]
- Ward, L.; Brown, M.; Neumann, P.; Wilkins, S.; Pettis, J.; Boonham, N. A DNA method for screening hive debris for the presence of small hive beetle (Aethina tumida). Apidologie 2007, 38, 272–280. [Google Scholar] [CrossRef] [Green Version]
- Kim, J.M.; Lim, S.J.; Tai, T.A.; Hong, K.J.; Yoon, B.S. Development of rapid detection system for small hive beetle (Aethina tumida) by using ultra-rapid PCR. Kor. J. Apic. 2017, 32, 119–131. [Google Scholar] [CrossRef]
- Li, D.; Waite, D.W.; Fan, Q.H.; George, S.; Semeraro, L.; Blacket, M.J. Molecular detection of small hive beetle Aethina tumida Murray (Coleoptera: Nitidulidae): DNA barcoding and development of a real-time PCR assay. Sci. Rep. 2018, 8, 9623. [Google Scholar] [CrossRef] [PubMed]
- Silacci, P.; Biolley, C.; Jud, C.; Charrière, J.D.; Dainat, B. An improved DNA method to unambiguously detect small hive beetle Aethina tumida, an invasive pest of honeybee colonies. Pest Manag. Sci. 2018, 74, 2667–2670. [Google Scholar] [CrossRef] [Green Version]
- Ouessou Idrissou, F.; Huang, Q.; Yañez, O.; Akinwande, K.L.; Neumann, P. PCR diagnosis of small hive beetles. Insects 2018, 9, 24. [Google Scholar] [CrossRef] [Green Version]
- Ponting, S.; Tomkies, V.; Stainton, K. Rapid identification of the invasive small hive beetle (Aethina tumida) using LAMP. Pest Manag. Sci. 2021, 77, 1476–1481. [Google Scholar] [CrossRef]
- Van Gent-Pelzer, M.; Cornelissen, B. Detection of small hive beetle: Frass as a source of DNA. J. Apic. Res. 2021, 60, 683–685. [Google Scholar] [CrossRef]
- Kwadha, C.A.; Ong’amo, G.O.; Ndegwa, P.N.; Raina, S.K.; Fombong, A.T. The biology and control of the greater wax moth, Galleria mellonella. Insects 2017, 8, 61. [Google Scholar] [CrossRef] [Green Version]
- Ellis, J.D.; Graham, J.R.; Mortensen, A. Standard methods for wax moth research. J. Apic. Res. 2013, 52, 1–17. [Google Scholar] [CrossRef] [Green Version]
- Williams, J.L. Insects: Lepidoptera (moths). In Honey Bee Pests, Predators, and Diseases; Morse, R., Flottum, K., Eds.; AI Root Company: Medina, OH, USA, 1997; pp. 121–141. [Google Scholar]
- Pirk, C.W.; Strauss, U.; Yusuf, A.A.; Démares, F.; Human, H. Honeybee health in Africa—A review. Apidologie 2015, 47, 276–300. [Google Scholar] [CrossRef] [Green Version]
- Chantawannakul, P.; de Guzman, L.I.; Li, J.; Williams, G.R. Parasites, pathogens, and pests of honeybees in Asia. Apidologie 2016, 47, 301–324. [Google Scholar] [CrossRef]
- Tsai, C.J.Y.; Loh, J.M.S.; Proft, T. Galleria mellonella infection models for the study of bacterial diseases and for antimicrobial drug testing. Virulence 2016, 7, 214–229. [Google Scholar] [CrossRef] [Green Version]
- Singkum, P.; Suwanmanee, S.; Pumeesat, P.; Luplertlop, N. A powerful in vivo alternative model in scientific research: Galleria mellonella. Acta Microb. Immunol. Hung. 2019, 66, 31–55. [Google Scholar] [CrossRef]
- Hernandez, R.J.; Hesse, E.; Dowling, A.J.; Coyle, N.M.; Feil, E.J.; Gaze, W.H.; Vos, M. Using the wax moth larva Galleria mellonella infection model to detect emerging bacterial pathogens. PeerJ 2019, 6, e6150. [Google Scholar] [CrossRef] [PubMed] [Green Version]
- Decreto del Presidente della Repubblica 8 Febbraio 1954, n. 320 Regolamento di Polizia Veterinaria. (GU Serie Generale n.142 del 24-06-1954—Suppl. Ordinario). Available online: https://www.gazzettaufficiale.it/atto/serie_generale/caricaDettaglioAtto/originario?atto.dataPubblicazioneGazzetta=1954-06-24&atto.codiceRedazionale=054U0320&elenco30giorni=false (accessed on 30 June 2021).
- European Reference Laboratory for Bee Health (EURL). Analytical Method for Animal Health, ANSES/SOP/ANA-I1.MOA.1500, Version 04: “Morphological Identification of the Small Hive Beetle (OIE Method)”. Available online: https://sitesv2.anses.fr/en/system/files/Protocol_Instructions_SHB_morphological_Id_2.pdf (accessed on 30 June 2021).
- National Center for Biotechnology Information. Primer-BLAST. Available online: https://www.ncbi.nlm.nih.gov/tools/primer-blast/ (accessed on 15 March 2021).
- Ye, J.; Coulouris, G.; Zaretskaya, I.; Cutcutache, I.; Rozen, S.; Madden, T. Primer-BLAST: A tool to design target-specific primers for polymerase chain reaction. BMC Bioinform. 2012, 13, 134. [Google Scholar] [CrossRef] [PubMed] [Green Version]
- Duquesne, V.; Delcont, A.; Huleux, A.; Beven, V.; Touzain, F.; Ribière-Chabert, M. Complete mitochondrial genome sequence of Aethina tumida (Coleoptera: Nitidulidae), a beekeeping pest. Genome Announc. 2017, 5, e01165-17. [Google Scholar] [CrossRef] [PubMed] [Green Version]
- Park, Y.J.; Park, C.E.; Hong, S.J.; Jung, B.K.; Ibal, J.C.; Park, G.S.; Shin, J.H. The complete mitochondrial genome sequence of the greater wax moth Galleria mellonella (Insecta, Lepidoptera, Pyralidae): Sequence and phylogenetic analysis comparison based on whole mitogenome. Mitochondrial DNA B 2017, 2, 714–715. [Google Scholar] [CrossRef] [Green Version]
- Hall, T.A. BioEdit: A user-friendly biological sequence alignment editor and analysis program for Windows 95/98/NT. Nucl. Acids Symp. Ser. 1999, 41, 95–98. [Google Scholar] [CrossRef]
- Tamura, K.; Stecher, G.; Kumar, S. MEGA11: Molecular evolutionary genetics analysis version 11. Mol. Biol. Evol. 2021, 38, 3022–3027. [Google Scholar] [CrossRef]
- National Center for Biotechnology Information. Blast. Available online: http://www.ncbi.nlm.nih.gov/BLAST/ (accessed on 15 September 2021).
- Cersini, A.; Pietropaoli, M.; Pietrella, G.; Rivera-Gomis, J.; Federico, G.; Tofani, S.; Conti, R.; Rubino, R.C.; Di Ruggiero, C.; Formato, G. New matrixes to diagnose Aethina tumida presence at apiary level. J. Apic. Sci. 2021, 65, 345–348. [Google Scholar] [CrossRef]
- Sohail, M.; Aqueel, M.A.; Ellis, J.D.; Afzal, M.; Raza, A.M. Seasonal abundance of greater wax moths (Galleria mellonella L.) in hives of western honey bees (Apis mellifera L.) correlates with minimum and maximum ambient temperature. J. Apic. Res. 2017, 56, 416–420. [Google Scholar] [CrossRef]


Publisher’s Note: MDPI stays neutral with regard to jurisdictional claims in published maps and institutional affiliations. |
© 2022 by the authors. Licensee MDPI, Basel, Switzerland. This article is an open access article distributed under the terms and conditions of the Creative Commons Attribution (CC BY) license (https://creativecommons.org/licenses/by/4.0/).
Share and Cite
Ribani, A.; Taurisano, V.; Utzeri, V.J.; Fontanesi, L. Honey Environmental DNA Can Be Used to Detect and Monitor Honey Bee Pests: Development of Methods Useful to Identify Aethina tumida and Galleria mellonella Infestations. Vet. Sci. 2022, 9, 213. https://doi.org/10.3390/vetsci9050213
Ribani A, Taurisano V, Utzeri VJ, Fontanesi L. Honey Environmental DNA Can Be Used to Detect and Monitor Honey Bee Pests: Development of Methods Useful to Identify Aethina tumida and Galleria mellonella Infestations. Veterinary Sciences. 2022; 9(5):213. https://doi.org/10.3390/vetsci9050213
Chicago/Turabian StyleRibani, Anisa, Valeria Taurisano, Valerio Joe Utzeri, and Luca Fontanesi. 2022. "Honey Environmental DNA Can Be Used to Detect and Monitor Honey Bee Pests: Development of Methods Useful to Identify Aethina tumida and Galleria mellonella Infestations" Veterinary Sciences 9, no. 5: 213. https://doi.org/10.3390/vetsci9050213
APA StyleRibani, A., Taurisano, V., Utzeri, V. J., & Fontanesi, L. (2022). Honey Environmental DNA Can Be Used to Detect and Monitor Honey Bee Pests: Development of Methods Useful to Identify Aethina tumida and Galleria mellonella Infestations. Veterinary Sciences, 9(5), 213. https://doi.org/10.3390/vetsci9050213

