Imaging Studies of the Stifle Joint in Puma concolor (Linnaeus, 1771)
Simple Summary
Abstract
1. Introduction
2. Materials and Methods
2.1. Animal Selection
2.2. Imaging Studies
2.3. Statistical Analysis
3. Results
3.1. General Information and CT Measurements
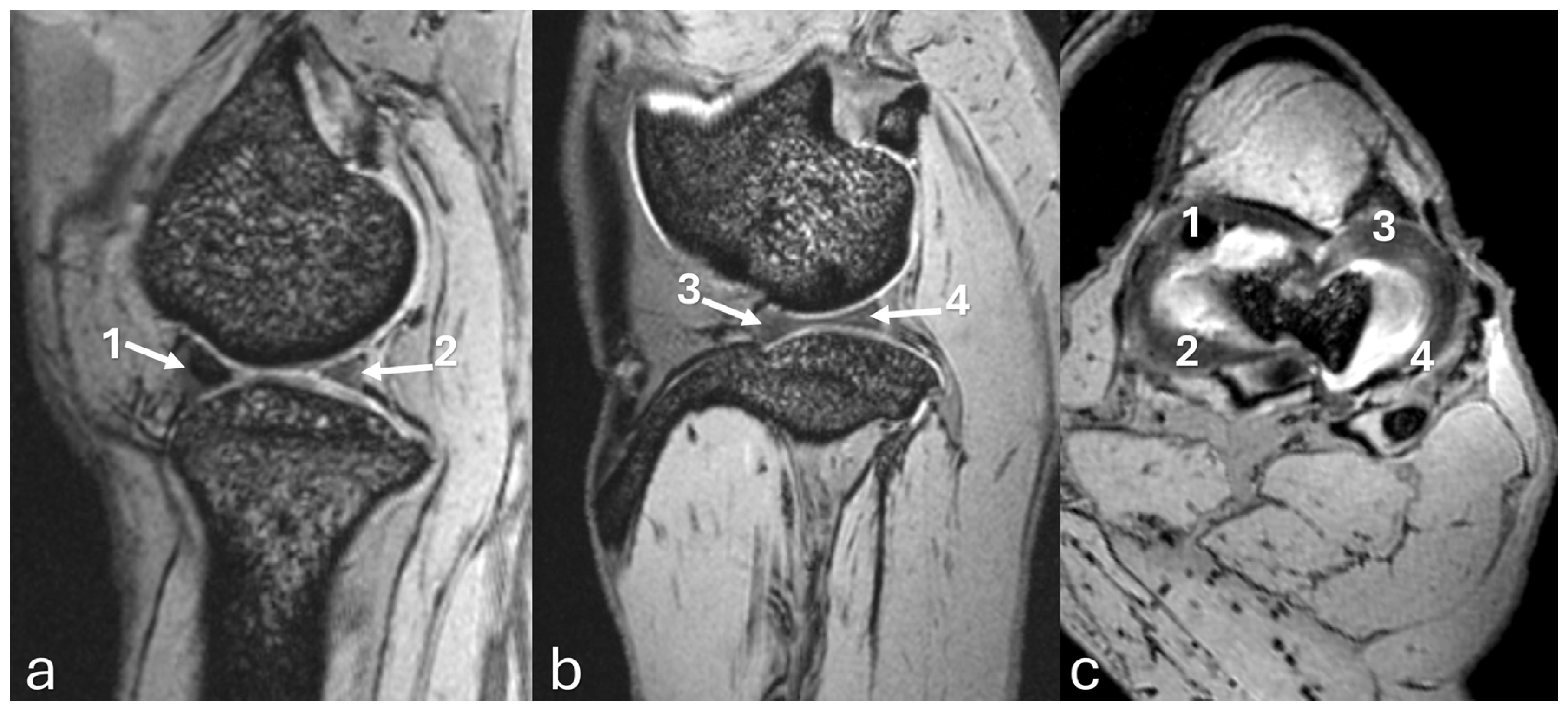
3.2. Stifle Joint Description
3.3. Statistical Analysis
4. Discussion
Author Contributions
Funding
Institutional Review Board Statement
Informed Consent Statement
Data Availability Statement
Acknowledgments
Conflicts of Interest
References and Note
- Culver, M.; Johnson, W.E.; Pecon-Slattery, J.; O’Brien, S.J. Genomic ancestry of the American puma (Puma concolor). J. Hered. 2000, 91, 186–197. [Google Scholar] [CrossRef] [PubMed]
- Nielsen, C.; Thompson, D.; Kelly, M.; Lopez-Gonzalez, C.A. 2015. Puma concolor. IUCN Red List. Threat. Species 2015, e.T18868A97216466. [Google Scholar]
- Azevedo, F.C.; Lemos, F.G.; Almeida, L.B.; Campos, C.B.; Beisiegel, B.M.; Paula, R.C.; Crawshaw Junior, P.G.; Ferraz, K.M.P.M.B.; Oliveira, T.G. Puma concolor (Linnaeus, 1771). In Livro Vermelho da Fauna Brasileira Ameaçada de Extinção; Volume II—Mamíferos; ICMBio/MMA: Brasília, Brazil, 2018; pp. 358–366. [Google Scholar]
- Prist, P.R.; Silva, M.X.; Papi, B. Carnivora Felidae. In Guia de Rastros de Mamíferos Neotropicais de Médio e Grande Porte; Fólio Digital: São Paulo, Brazil, 2020; pp. 30–67. [Google Scholar]
- Cheida, C.C.; Nakano-Oliveira, E.; Fusco-Costa, R.; Rocha-Mendes, F.; Quadros, J. Ordem Carnivora. In Mamíferos do Brasil; Reis, N.R., Peracchi, A.L., Pedro, W.A., Lima, I.P., Eds.; 2011; pp. 235–288. [Google Scholar]
- Azevedo, F.C.; Lemos, F.G.; Almeida, L.B.; Campos, C.B.; Beisiegel, B.M.; Paula, R.C.; Crawshaw Junior, P.G.; Ferraz, K.M.P.M.B.; Oliveira, T.G. Avaliação do risco de extinção da onça-parda Puma concolor (Linnaeus, 1771) no Brasil. Biodiversidade Brasil. 2013, 3, 107–121. [Google Scholar]
- Arsznov, B.M.; Sakai, S.T. Pride diaries: Sex, brain size and sociality in the African lion (Panthera leo) and cougar (Puma concolor). Brain Behav. Evol. 2012, 79, 275–289. [Google Scholar] [CrossRef] [PubMed]
- Voss, K.; Langley-Hobbs, S.J.; Montavon, P.M. Stifle joint. In Feline Orthopedic Surgery and Musculoskeletal Disease; Montavon, P.M., Voss, K., Langley-Hobbs, S.J., Eds.; Saunders Elsevier: Edinburgh, UK, 2009; pp. 475–490. [Google Scholar]
- Agnello, K.A. Cranial cruciate ligament tear. In Comparative Veterinary Anatomy: A Clinical Approach; Orsini, J.A., Grenager, N.S., de Lahunta, A., Eds.; Academic Press Elsevier: Bengaluru, India, 2022; pp. 486–493. [Google Scholar]
- Walker, M.; Phalan, D.; Jensen, J.; Johnson, J.; Drew, M.; Samii, V.; Henry, G.; McCauley, J. Meniscal ossicles in large non-domestic cats. Vet. Radiol. Ultrasound. 2002, 43, 249–254. [Google Scholar] [CrossRef] [PubMed]
- Cervený, C.; Páral, V. Sesamoid bones of the knee joint of the Puma concolor. Acta Vet. Bmo. 1995, 64, 79–82. [Google Scholar] [CrossRef]
- Pacheco, J.I.; Zapata, C. Bone description of the Andean puma (Puma concolor): I. appendicular skeleton. Rev. Inv. Vet. Perú. 2017, 28, 1047–1054. [Google Scholar] [CrossRef][Green Version]
- Janis, C.M.; Shoshitaishvili, B.; Kambic, R.; Figueirido, B. On their knees: Distal femur asymmetry in ungulates and its relationship to body size and locomotion. J. Vert. Paleontol. 2012, 32, 433–445. [Google Scholar] [CrossRef]
- Langley-Hobbs, S.J. The patella, fabellae and popliteal sesamoids. In BSAVA Manual of Canine and Feline Fracture Repair and Management; Gemmill, T.J., Clements, D.N., Eds.; BSAVA: Gloucester, UK, 2016; pp. 353–356. [Google Scholar]
- Murray, C.; Beck, C. Femoral fracture. In Comparative Veterinary Anatomy: A Clinical Approach; Orsini, J.A., Grenager, N.S., de Lahunta, A., Eds.; Academic Press Elsevier: London, UK, 2022; pp. 469–485. [Google Scholar]
- Muhlbauer, M.C.; Kneller, S.K. Musculoskeleton. In Radiography of the Dog and Cat: Guide to Making and Interpreting; John Wiley & Sons: Ames, IA, USA, 2013; pp. 123–145. [Google Scholar]
- Menon, R.G.; Chang, G.; Regatte, R.R. The emerging role of 7 Tesla MRI in musculoskeletal imaging. Curr. Radiol. Rep. 2018, 6, 1–10. [Google Scholar] [CrossRef]
- Kajabi, A.W.; Zbýň, Š.; Smith, J.S.; Hedayati, E.; Knutsen, K.; Tollefson, L.V.; Homan, M.; Abbasguliyev, H.; Takahashi, T.; Metzger, G.J.; et al. Seven tesla knee MRI T2*-mapping detects intrasubstance meniscus degeneration in patients with posterior root tears. Radiol. Adv. 2024, 1, umae005. [Google Scholar] [CrossRef] [PubMed]
- Wirth, W.; Nevitt, M.; Hellio Le Graverand, M.P.; Benichou, O.; Dreher, D.; Davies, R.Y.; Lee, J.; Picha, K.; Gimona, A.; Maschek, S.; et al. Sensitivity to change of cartilage morphometry using coronal FLASH, sagittal DESS, and coronal MPR DESS protocols—Comparative data from the Osteoarthritis Initiative (OAI). Osteoarthr. Cartil. 2010, 18, 547–554. [Google Scholar] [CrossRef] [PubMed]
- Rodrigues, M.B.; Camanho, G.L. MRI evaluation of knee cartilage. Rev. Bras. Ortop. 2015, 45, 340–346. [Google Scholar] [CrossRef] [PubMed]
- Ganey, T.M.; Ogden, J.A.; Abou-Madi, N.; Colville, B.; Zdyziarski, J.M.; Olsen, J.H. Meniscal ossification. II. The normal pattern in the tiger knee. Skeletal Radiol. 1994, 23, 173–179. [Google Scholar] [CrossRef] [PubMed]
- Freire, M.; Brown, J.; Robertson, I.D.; Pease, A.P.; Hash, J.; Hunter, S.; Simpson, W.; Thomson Sumrell, A.; Lascelles, B.D. Meniscal mineralization in domestic cats. Vet. Surg. 2010, 39, 545–552. [Google Scholar] [CrossRef] [PubMed]
- Rahal, S.C.; Fillipi, M.G.; Mamprim, M.J.; Oliveira, H.S.; Teixeira, C.R.; Teixeira, R.H.; Monteiro, F.O. Meniscal mineralisation in little spotted cats. BMC Vet. Res. 2013, 9, 50. [Google Scholar] [CrossRef] [PubMed]
- Voss, K.; Karli, P.; Montavon, P.M.; Geyer, H. Association of mineralisations in the stifle joint of domestic cats with degenerative joint disease and cranial cruciate ligament pathology. J. Feline Med. Surg. 2017, 19, 27–35. [Google Scholar] [CrossRef] [PubMed]
- Kirberger, R.M.; Groenewald, H.B.; Wagner, W.M. A radiological study of the sesamoid bones and os meniscus of the cheetah (Acinonyxjubatus). Vet. Comp. Orthop. Traumatol. 2000, 13, 172–177. [Google Scholar] [CrossRef]









| No. | Age, Sex, Body Mass | Right Patella | Left Patella | Right Medial Fabella | Left Medial Fabella | Right Lateral Fabella | Left Lateral Fabella | Right Popliteal Sesamoid | Left Popliteal Sesamoid | Right Meniscus | Left Meniscus |
|---|---|---|---|---|---|---|---|---|---|---|---|
| 1 | Adult, M, 45.5 kg | 3.18 | 2.96 | 0.7 | 0.62 | 0.98 | 1.06 | 0.28 | 0.27 | 0.02 | 0.08 |
| 2 | Adult, M, 46.5 kg | 2.68 | 2.37 | 0.57 | 0.55 | 1 | 1.06 | 0.25 | 0.28 | ||
| 3 | Adult, F, 37 kg | 1.73 | 1.7 | 0.31 | 0.3 | 0.63 | 0.6 | 0.13 | 0.21 | 0.07 | 0.06 |
| 4 | Adult, M, 45.5 kg | 2.73 | 2.62 | 0.49 | 0.48 | 0.87 | 0.74 | 0.22 | 0.2 | ||
| 5 | Adult, F, 42 kg | 2.2 | 2.09 | 0.44 | 0.43 | 0.72 | 0.68 | 0.2 | 0.19 | 0.07 | 0.09 |
| 6 | Adult, F, 51 kg | 2.87 | 3 | 0.54 | 0.49 | 0.44 | 0.82 | 0.24 | 0.24 | ||
| 7 | Young, F, 26.5 kg | 2.56 | 2.3 | 0.29 | 0.31 | 0.67 | 0.58 | 0.17 | 0.15 | 0.01 | 0.01 |
| 8 | Young, F, 36.5 kg | 2.28 | 2.33 | 0.58 | 0.59 | 0.76 | 0.74 | 0.27 | 0.25 | ||
| Mean ± SD | 2.53 ± 0.45 | 2.42 ± 0.43 | 0.49 ± 0.14 | 0.47 ± 0.12 | 0.76 ± 0.19 | 0.78 ± 0.74 | 0.22 ± 0.05 | 0.22 ± 0.04 | 0.04 ± 0.03 | 0.06 ± 0.03 |
| No. | Age, Sex, Body Mass | Patella | Medial Fabella | Lateral Fabella | Popliteal Sesamoid | Meniscus | ||||
|---|---|---|---|---|---|---|---|---|---|---|
| Central | Cortical | Central | Cortical | Central | Cortical | Central | Cortical | |||
| 1 | Adult, M, 45.5 kg | 675 | 1227 | 362 | 1459 | 344 | 1559 | 614 | 1724 | 1335 |
| 2 | Adult, M, 46.5 kg | 662 | 1390 | 366 | 994 | 497 | 1174 | 713 | 938 | |
| 3 | Adult, F, 37 kg | 657 | 1206 | 420 | 1179 | 465 | 1448 | 706 | 1054 | 1099 |
| 4 | Adult, M, 45.5 kg | 640 | 1315 | 384 | 1468 | 446 | 1485 | 725 | 1426 | |
| 5 | Adult, F, 42 kg | 620 | 1078 | 331 | 1028 | 400 | 1211 | 544 | 1004 | 892 |
| 6 | Adult, F, 51 kg | 670 | 1164 | 352 | 801 | 365 | 1120 | 663 | 1001 | |
| 7 | Young, F, 26.5 kg | 551 | 1198 | 386 | 1236 | 425 | 1065 | 714 | 1226 | 398 |
| 8 | Young, F, 36.5 kg | 582 | 1145 | 390 | 1135 | 465 | 1355 | 300 | 902 | |
| Mean ± SD | 632.12 ± 44.86 | 1215.37 ± 98.13 | 373.87 ± 27.14 | 1162.50 ± 228.29 | 425.87 ± 52.92 | 1302.12 ± 184.24 | 622.37 ± 144.38 | 1159.37 ± 285.33 | 931 ± 398.77 | |
| No. | Age, Sex, Body Mass | Patella | Medial Fabella | Lateral Fabella | Popliteal Sesamoid | Meniscus | ||||
|---|---|---|---|---|---|---|---|---|---|---|
| Central | Cortical | Central | Cortical | Central | Cortical | Central | Cortical | |||
| 1 | Adult, M, 45.5 kg | 672 | 1383 | 450 | 1481 | 410 | 1749 | 676 | 1790 | 1354 |
| 2 | Adult, M, 46.5 kg | 658 | 1408 | 437 | 1022 | 506 | 1777 | 772 | 1095 | |
| 3 | Adult, F, 37 kg | 660 | 1208 | 412 | 1154 | 453 | 1528 | 659 | 1129 | 1050 |
| 4 | Adult, M, 45.5 kg | 647 | 1267 | 257 | 1376 | 358 | 1219 | 617 | 1408 | |
| 5 | Adult, F, 42 kg | 625 | 1080 | 409 | 1079 | 419 | 1158 | 524 | 971 | 878 |
| 6 | Adult, F, 51 kg | 508 | 1152 | 430 | 974 | 473 | 1118 | 647 | 1117 | |
| 7 | Young, F, 26.5 kg | 560 | 1165 | 377 | 1223 | 431 | 1123 | 780 | 1185 | 414 |
| 8 | Young, F, 36.5 kg | 573 | 1141 | 379 | 1227 | 444 | 1236 | 365 | 963 | |
| Mean ± SD | 612.87 ± 50.09 | 1225.5 ± 118.03 | 393.87 ± 61.08 | 1192 ± 173.29 | 436.75 ± 44.22 | 1363.5 ± 278.81 | 630 ± 134.98 | 1207.25 ± 273.26 | 924 ± 392.85 | |
| Mensuration Sites | Mean ± Standard Deviation | Minimum | Maximum | 95% Confidence Interval |
|---|---|---|---|---|
| Patella | 2.475 ± 0.431 | 1.700 | 3.180 | 2.246–2.704 |
| Medial fabella | 0.481 ± 0.126 | 0.290 | 0.700 | 0.4136–0.5476 |
| Lateral fabella | 0.772 ± 0.181 | 0.440 | 1.060 | 0.6752–0.8685 |
| Popliteal sesamoid | 0.222 ± 0.046 | 0.130 | 0.280 | 0.1972–0.2465 |
| Medial meniscus | 0.051 ± 0.033 | 0.010 | 0.090 | 0.02391–0.07859 |
| Mensuration Sites | Median | Standard Error | Minimum | Maximum | 95% Confidence Interval | 1°–3° Quartile | |
|---|---|---|---|---|---|---|---|
| Patella | Central | 643.50 | 12.91 | 508.00 | 675.00 | 595.0–650 | 575.3–661.5 |
| Cortical | 1202.00 | 26.25 | 1078.00 | 1408.00 | 1164–1276 | 1147–1303 | |
| Medial fabella | Central | 385.00 | 11.70 | 257.00 | 450.00 | 358.9–408.8 | 363.0–418.0 |
| Cortical | 1167.00 | 49.10 | 801.00 | 1481.00 | 1073–1282 | 1024–1341 | |
| Lateral fabella | Central | 437.50 | 11.86 | 344.00 | 506.00 | 406.0–456.6 | 402.5–465.0 |
| Cortical | 1228.00 | 57.62 | 1065.00 | 1777.00 | 1210–1456 | 1132–1777 | |
| Popliteal sesamoid | Central | 661.00 | 33.77 | 300.00 | 780.00 | 554.2–698.2 | 561.5–780.0 |
| Cortical | 1106.00 | 67.76 | 902.00 | 1790.00 | 1039–1328 | 978.5–1790 | |
| Medial meniscus | 971.00 | 129.60 | 398.00 | 1354.00 | 621.1–1234 | 530.0–1354 |
| Variables | p Values | Statistical Test |
|---|---|---|
| Central patella X Cortical patella | <0.0001 | Paired T |
| Central patella X Central fabella | <0.0001 | Paired T |
| Central patella X Cortical fabella | 0.0005 | Wilcoxon |
| Central patella X Central popliteal sesamoid | 0.8160 | Wilcoxon |
| Central patella X Cortical popliteal sesamoid | <0.0001 | Paired T |
| Cortical patella X Central fabella | <0.0001 | Paired T |
| Cortical patella X Cortical fabella | 0.7761 | Wilcoxon |
| Cortical patella X Central popliteal sesamoid | <0.0001 | Wilcoxon |
| Cortical patella X Cortical popliteal sesamoid | 0.5516 | Paired T |
Disclaimer/Publisher’s Note: The statements, opinions and data contained in all publications are solely those of the individual author(s) and contributor(s) and not of MDPI and/or the editor(s). MDPI and/or the editor(s) disclaim responsibility for any injury to people or property resulting from any ideas, methods, instructions or products referred to in the content. |
© 2025 by the authors. Licensee MDPI, Basel, Switzerland. This article is an open access article distributed under the terms and conditions of the Creative Commons Attribution (CC BY) license (https://creativecommons.org/licenses/by/4.0/).
Share and Cite
Cardoso, E.B.M.; Rahal, S.C.; Silva, J.P.d.; Mamprim, M.J.; Filho, J.T.; Frigerio, G.M.; Saldiva, P.H.N.; Ginja, M.M.D.; Werther, K. Imaging Studies of the Stifle Joint in Puma concolor (Linnaeus, 1771). Vet. Sci. 2025, 12, 103. https://doi.org/10.3390/vetsci12020103
Cardoso EBM, Rahal SC, Silva JPd, Mamprim MJ, Filho JT, Frigerio GM, Saldiva PHN, Ginja MMD, Werther K. Imaging Studies of the Stifle Joint in Puma concolor (Linnaeus, 1771). Veterinary Sciences. 2025; 12(2):103. https://doi.org/10.3390/vetsci12020103
Chicago/Turabian StyleCardoso, Eduardo Burgarelli Mayrink, Sheila Canevese Rahal, Jeana Pereira da Silva, Maria Jaqueline Mamprim, Jair Theodoro Filho, Gabriela Montezel Frigerio, Paulo Hilário Nascimento Saldiva, Mário Manuel Dinis Ginja, and Karin Werther. 2025. "Imaging Studies of the Stifle Joint in Puma concolor (Linnaeus, 1771)" Veterinary Sciences 12, no. 2: 103. https://doi.org/10.3390/vetsci12020103
APA StyleCardoso, E. B. M., Rahal, S. C., Silva, J. P. d., Mamprim, M. J., Filho, J. T., Frigerio, G. M., Saldiva, P. H. N., Ginja, M. M. D., & Werther, K. (2025). Imaging Studies of the Stifle Joint in Puma concolor (Linnaeus, 1771). Veterinary Sciences, 12(2), 103. https://doi.org/10.3390/vetsci12020103

