Pulmonary Adenocarcinoma with Cutaneous Metastasis in a Dog
Abstract
Simple Summary
Abstract
1. Introduction
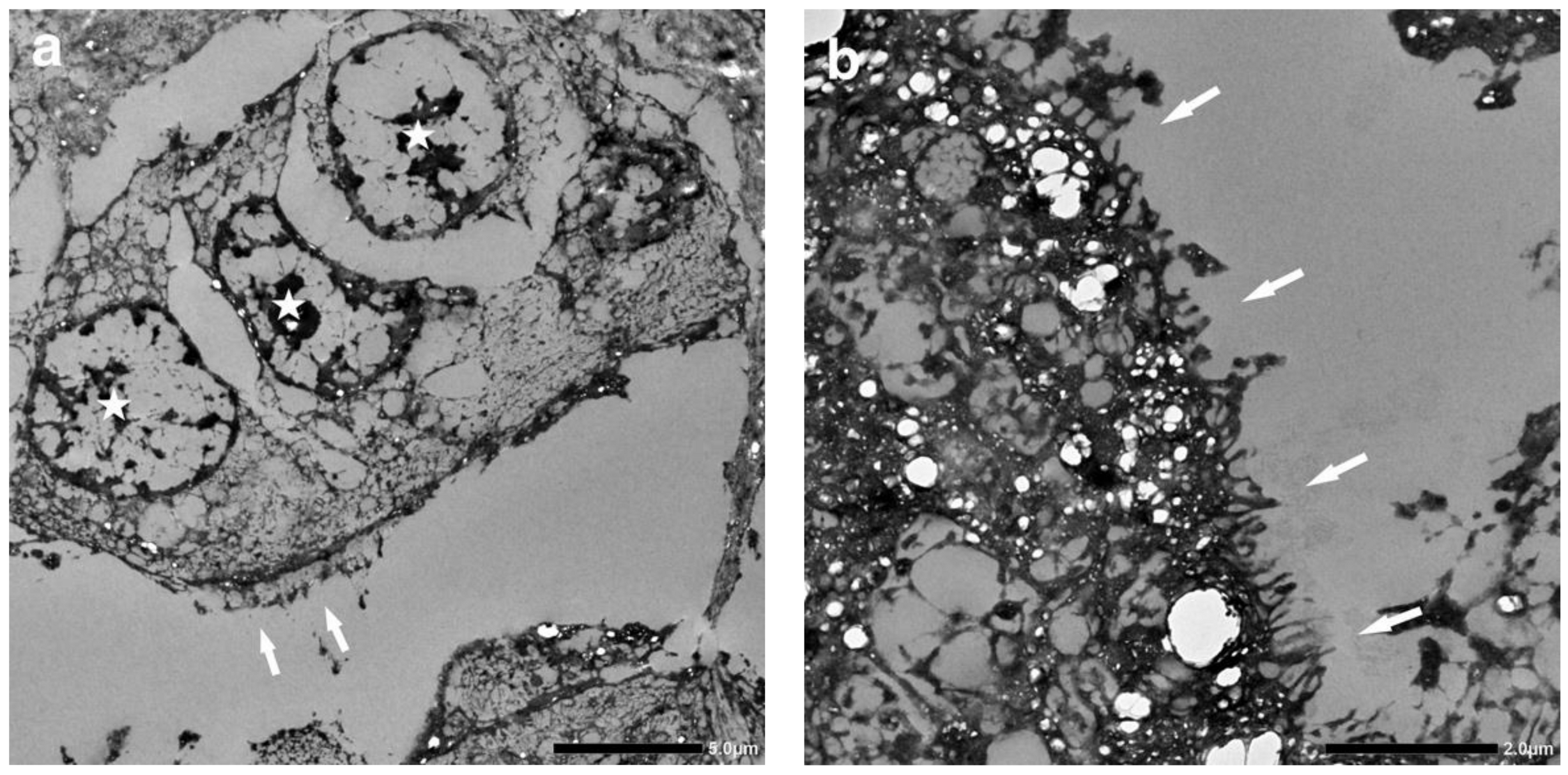
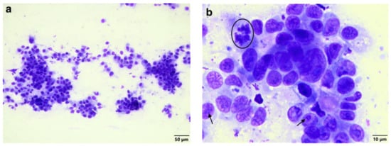
2. Case Report
3. Discussion
4. Conclusions
Author Contributions
Funding
Institutional Review Board Statement
Informed Consent Statement
Data Availability Statement
Acknowledgments
Conflicts of Interest
References
- Dorn, C.R.; Taylor, D.O.; Frye, F.L.; Hibbard, H.H. Survey of animal neoplasms in Alameda and Contra Costa Counties, California. I. Methodology and description of cases. J. Natl. Cancer Inst. 1968, 40, 295–305. [Google Scholar] [PubMed]
- Dobson, J.M.; Samuel, S.; Milstein, H.; Rogers, K.; Wood, J.L. Canine neoplasia in the UK: Estimates of incidence rates from a population of insured dogs. J. Small Anim. Pract. 2002, 43, 240–246. [Google Scholar] [CrossRef] [PubMed]
- Ogilvie, G.K.; Haschek, W.M.; Withrow, S.J.; Richardson, R.C.; Harvey, H.J.; Henderson, R.A.; Fowler, J.D.; Norris, A.M.; Tomlinson, J.; McCaw, D.; et al. Classification of primary lung tumors in dogs: 210 cases (1975–1985). J. Am. Vet. Med. Assoc. 1989, 195, 106–108. [Google Scholar] [PubMed]
- Wilson, D.W. Tumors of the Respiratory Tract. In Tumors in Domestic Animals, 5th ed.; Meuten, D.J., Ed.; Wiley: Hoboken, NJ, USA, 2017; pp. 467–498. [Google Scholar]
- Brodey, R.S.; Craig, P.H. Primary pulmonary neoplasms in the dog: A review of 29 cases. J. Am. Vet. Med. Assoc. 1965, 147, 1628–1643. [Google Scholar] [PubMed]
- Griffey, S.M.; Kraegel, S.A.; Madewell, B.R. Rapid detection of K-ras gene mutations in canine lung cancer using single-strand conformational polymorphism analysis. Carcinogenesis 1998, 19, 959–963. [Google Scholar] [CrossRef] [PubMed]
- Nielsen, S.W.; Horava, A. Primary pulmonary tumors of the dog. A report of sixteen cases. Am. J. Vet. Res. 1960, 21, 813–830. [Google Scholar] [PubMed]
- Owen, L.N.; World Health Organization. TNM Classification of Tumours in Domestic Animals, 1st ed.; World Health Organization: Geneva, Switzerland, 1980. [Google Scholar]
- Castellano, M.C.; Massone, A.R.; Idiart, J.R. Primary pulmonary adenocarcinoma metastatic to the uvea, brain and adrenal gland in a dog. J. Vet. Med. A Physiol. Pathol. Clin. Med. 2006, 53, 194–197. [Google Scholar] [CrossRef]
- Moore, J.A.; Taylor, H.W. Primary pulmonary adenocarcinoma with brain stem metastasis in a dog. J. Am. Vet. Med. Assoc. 1988, 192, 219–221. [Google Scholar]
- Sung, H.; Ferlay, J.; Siegel, R.L.; Laversanne, M.; Soerjomataram, I.; Jemal, A.; Bray, F. Global Cancer Statistics 2020: GLOBOCAN Estimates of Incidence and Mortality Worldwide for 36 Cancers in 185 Countries. CA Cancer J. Clin. 2021, 71, 209–249. [Google Scholar] [CrossRef]
- Thandra, K.C.; Barsouk, A.; Saginala, K.; Aluru, J.S.; Barsouk, A. Epidemiology of lung cancer. Contemp. Oncol. 2021, 25, 45–52. [Google Scholar] [CrossRef]
- Lee, B.M.; Clarke, D.; Watson, M.; Laver, T. Retrospective evaluation of a modified human lung cancer stage classification in dogs with surgically excised primary pulmonary carcinomas. Vet. Comp. Oncol. 2020, 18, 590–598. [Google Scholar] [CrossRef] [PubMed]
- Ichimata, M.; Kagawa, Y.; Namiki, K.; Toshima, A.; Nakano, Y.; Matsuyama, F.; Fukazawa, E.; Harada, K.; Katayama, R.; Kobayashi, T. Prognosis of primary pulmonary adenocarcinoma after surgical resection in small-breed dogs: 52 cases (2005–2021). J. Vet. Intern. Med. 2023, 37, 1466–1474. [Google Scholar] [CrossRef] [PubMed]
- McNiel, E.A.; Ogilvie, G.K.; Powers, B.E.; Hutchison, J.M.; Salman, M.D.; Withrow, S.J. Evaluation of prognostic factors for dogs with primary lung tumors: 67 cases (1985–1992). J. Am. Vet. Med. Assoc. 1997, 211, 1422–1427. [Google Scholar] [CrossRef] [PubMed]
- Sato, T.; Ito, J.; Shibuya, H.; Asano, K.; Watari, T. Pulmonary adenosquamous carcinoma in a dog. J. Vet. Med. A Physiol. Pathol. Clin. Med. 2005, 52, 510–513. [Google Scholar] [CrossRef] [PubMed]
- Rose, R.J.; Worley, D.R. A Contemporary Retrospective Study of Survival in Dogs With Primary Lung Tumors: 40 Cases (2005–2017). Front. Vet. Sci. 2020, 7, 519703. [Google Scholar] [CrossRef] [PubMed]
- McPhetridge, J.B.; Scharf, V.F.; Regier, P.J.; Toth, D.; Lorange, M.; Tremolada, G.; Dornbusch, J.A.; Selmic, L.E.; Bae, S.; Townsend, K.L.; et al. Distribution of histopathologic types of primary pulmonary neoplasia in dogs and outcome of affected dogs: 340 cases (2010–2019). J. Am. Vet. Med. Assoc. 2021, 260, 234–243. [Google Scholar] [CrossRef]
- Polton, G.; Finotello, R.; Sabattini, S.; Rossi, F.; Laganga, P.; Vasconi, M.E.; Barbanera, A.; Stiborova, K.; Rohrer Bley, C.; Marconato, L. Survival analysis of dogs with advanced primary lung carcinoma treated by metronomic cyclophosphamide, piroxicam and thalidomide. Vet. Comp. Oncol. 2018, 16, 399–408. [Google Scholar] [CrossRef] [PubMed]
- Rinaldi, V.; Finotello, R.; Boari, A.; Cabibbo, E.; Crisi, P.E. Vinorelbine as First-Line Treatment in Stage IV Canine Primary Pulmonary Carcinoma. Vet. Sci. 2023, 10, 664. [Google Scholar] [CrossRef]
- Kobayashi, K.; Takemura, R.D.; Miyamae, J.; Mitsui, I.; Murakami, K.; Kutara, K.; Saeki, K.; Kanda, T.; Okamura, Y.; Sugiyama, A. Phenotypic and molecular characterization of novel pulmonary adenocarcinoma cell lines established from a dog. Sci. Rep. 2023, 13, 16823. [Google Scholar] [CrossRef]
- Tamura, K.; Fujiyuki, T.; Moritoh, K.; Akimoto, H.; Iizuka, K.; Sato, H.; Asano, K.; Yoneda, M.; Kai, C. Anti-tumor activity of a recombinant measles virus against canine lung cancer cells. Sci. Rep. 2023, 13, 18168. [Google Scholar] [CrossRef]
- Hackshaw, A.K.; Law, M.R.; Wald, N.J. The accumulated evidence on lung cancer and environmental tobacco smoke. Bmj 1997, 315, 980–988. [Google Scholar] [CrossRef]
- Turner, M.C.; Andersen, Z.J.; Baccarelli, A.; Diver, W.R.; Gapstur, S.M.; Pope, C.A., 3rd; Prada, D.; Samet, J.; Thurston, G.; Cohen, A. Outdoor air pollution and cancer: An overview of the current evidence and public health recommendations. CA Cancer J. Clin. 2020, 70, 460–479. [Google Scholar] [CrossRef] [PubMed]
- Chen, K.C.; Tsai, S.W.; Shie, R.H.; Zeng, C.; Yang, H.Y. Indoor Air Pollution Increases the Risk of Lung Cancer. Int. J. Environ. Res. Public. Health 2022, 19, 1164. [Google Scholar] [CrossRef]
- Roza, M.R.; Viegas, C.A. The dog as a passive smoker: Effects of exposure to environmental cigarette smoke on domestic dogs. Nicotine Tob. Res. 2007, 9, 1171–1176. [Google Scholar] [CrossRef]
- Reif, J.S.; Dunn, K.; Ogilvie, G.K.; Harris, C.K. Passive smoking and canine lung cancer risk. Am. J. Epidemiol. 1992, 135, 234–239. [Google Scholar] [CrossRef]
- Zierenberg-Ripoll, A.; Pollard, R.E.; Stewart, S.L.; Allstadt, S.D.; Barrett, L.E.; Gillem, J.M.; Skorupski, K.A. Association between environmental factors including second-hand smoke and primary lung cancer in dogs. J. Small Anim. Pract. 2018, 59, 343–349. [Google Scholar] [CrossRef]
- Bettini, G.; Morini, M.; Marconato, L.; Marcato, P.S.; Zini, E. Association between environmental dust exposure and lung cancer in dogs. Vet. J. 2010, 186, 364–369. [Google Scholar] [CrossRef]
- Fowler, B.L.; Johannes, C.M.; O’Connor, A.; Collins, D.; Lustgarten, J.; Yuan, C.; Weishaar, K.; Sullivan, K.; Hume, K.R.; Mahoney, J.; et al. Ecological level analysis of primary lung tumors in dogs and cats and environmental radon activity. J. Vet. Intern. Med. 2020, 34, 2660–2670. [Google Scholar] [CrossRef]
- Mollet, T.W.; Garcia, C.A.; Koester, G. Skin metastases from lung cancer. Dermatol. Online J. 2009, 15, 1. [Google Scholar] [CrossRef]




Disclaimer/Publisher’s Note: The statements, opinions and data contained in all publications are solely those of the individual author(s) and contributor(s) and not of MDPI and/or the editor(s). MDPI and/or the editor(s) disclaim responsibility for any injury to people or property resulting from any ideas, methods, instructions or products referred to in the content. |
© 2024 by the authors. Licensee MDPI, Basel, Switzerland. This article is an open access article distributed under the terms and conditions of the Creative Commons Attribution (CC BY) license (https://creativecommons.org/licenses/by/4.0/).
Share and Cite
Greyling, A.; van der Weyden, L.; Lensink, A.V.; O’Dell, N. Pulmonary Adenocarcinoma with Cutaneous Metastasis in a Dog. Vet. Sci. 2024, 11, 312. https://doi.org/10.3390/vetsci11070312
Greyling A, van der Weyden L, Lensink AV, O’Dell N. Pulmonary Adenocarcinoma with Cutaneous Metastasis in a Dog. Veterinary Sciences. 2024; 11(7):312. https://doi.org/10.3390/vetsci11070312
Chicago/Turabian StyleGreyling, Anita, Louise van der Weyden, Antonia V. Lensink, and Nicolize O’Dell. 2024. "Pulmonary Adenocarcinoma with Cutaneous Metastasis in a Dog" Veterinary Sciences 11, no. 7: 312. https://doi.org/10.3390/vetsci11070312
APA StyleGreyling, A., van der Weyden, L., Lensink, A. V., & O’Dell, N. (2024). Pulmonary Adenocarcinoma with Cutaneous Metastasis in a Dog. Veterinary Sciences, 11(7), 312. https://doi.org/10.3390/vetsci11070312

